Sign in to use this feature.

Years

Between: -

Subjects

remove_circle_outline
remove_circle_outline
remove_circle_outline
remove_circle_outline
remove_circle_outline
remove_circle_outline
remove_circle_outline

Journals

Article Types

Countries / Regions

Search Results (27)

Search Parameters:
Keywords = arabian camel

Order results
Result details
Results per page
Select all
Export citation of selected articles as:
19 pages, 4035 KB  
Article
Isolation of Lactic Acid Bacteria from Raw Camel Milk in Saudi Arabia and Evaluation of Their Probiotic Potential
by Mohammed Alhejaili, Eman Farrag, Sabry Mahmoud, Abd-Ellah Abd-Alla and Tarek Elsharouny
Microbiol. Res. 2025, 16(12), 248; https://doi.org/10.3390/microbiolres16120248 - 26 Nov 2025
Viewed by 399
Abstract
Milk contains wide microbial diversity, composed mainly of lactic acid bacteria (LAB), which are used as probiotics for both humans and livestock. We isolated, characterized, and evaluated LAB from indigenous Saudi Arabian camel milk to assess its probiotic potential, including antagonistic activity (against [...] Read more.
Milk contains wide microbial diversity, composed mainly of lactic acid bacteria (LAB), which are used as probiotics for both humans and livestock. We isolated, characterized, and evaluated LAB from indigenous Saudi Arabian camel milk to assess its probiotic potential, including antagonistic activity (against Methicillin-Resistant Staphylococcus aureus (MRSA) and Klebsiella pneumoniae), survivability in simulated gastric juice, tolerance to bile salts, cell surface hydrophobicity, auto- and co-aggregation, and antibiotic susceptibility tests. The two most promising LAB strains showed probiotic potential and were identified as Leuconostoc mesenteroides based on 16S rRNA gene sequences. These strains inhibited all pathogens tested to varying degrees and were resistant to kanamycin and vancomycin. None of the LAB cultures demonstrated hemolytic or gelatinase activity. Overall, the current data suggests that camel milk has substantial potential for introducing probiotics/LAB strains into the human food chain, making camel milk a potentially sustainable food. Full article
Show Figures

Figure 1

16 pages, 1217 KB  
Systematic Review
Epidemiology and Diversity of Paratuberculosis in the Arabian Peninsula: A Systematic Review and Meta-Analysis with Implications for One Health
by Md Mazharul Islam, Ahmed K. Elfadl, Aisha Naeem, Randa Abdeen, Haya M. Al-Hajri, Md Abu Sayeed, Haileyesus Dejene, John I. Alawneh and Mohammad Mahmudul Hassan
Pathogens 2025, 14(9), 841; https://doi.org/10.3390/pathogens14090841 - 23 Aug 2025
Viewed by 1330
Abstract
Paratuberculosis is a chronic zoonotic bacterial infection, primarily affecting ruminants. This review examines the disease in the Arabian Peninsula, focusing on distribution, molecular diversity, prevalence, and associated risk factors. Following PRISMA guidelines, a systematic search was conducted in PubMed, Scopus, and Web of [...] Read more.
Paratuberculosis is a chronic zoonotic bacterial infection, primarily affecting ruminants. This review examines the disease in the Arabian Peninsula, focusing on distribution, molecular diversity, prevalence, and associated risk factors. Following PRISMA guidelines, a systematic search was conducted in PubMed, Scopus, and Web of Science. After duplicate removal and eligibility screening, data extraction, analysis, and quality assessment were performed. Pathogen sequences were retrieved from NCBI GenBank for phylogenetic analysis. The review included a total of 31 published articles from 1997 to 2025, of which 26 were used in the meta-analysis. Most studies (n = 12) were published between 2011 and 2015, predominantly from Saudi Arabia (n = 22), with no reports from Qatar, Bahrain, or Yemen. The majority of the studies involved camels and sheep (n = 16 on each species), followed by cattle (n = 9), goats (n = 7), humans (n = 2), and buffalo (n = 1). Phylogenetic analysis delineates two major clades—Type S and Type C—suggesting greater genetic diversity in Type S. The estimated pooled seroprevalence and pathogen prevalence in livestock ruminants were 8.1% and 22.4%, respectively. Herd-level estimated pooled seroprevalence was 26.9%. Small ruminants (19.3%) were more sero-prevalent than large ruminants (7.4%), with goats (28.7%) significantly (p < 0.01) more affected than sheep (21.5%), camel (9.8%), and cattle (6.6%). Clinical signs in ruminants included chronic diarrhea, emaciation, anorexia, alopecia, wry neck, and dehydration. The reviewed study patterns and findings suggest high pathogen diversity and a significant risk of transboundary transmission at the human–animal interface in this region. A One Health surveillance approach is crucial, particularly on farms with diarrheic and emaciated animals. Establishing a national surveillance plan and phased (short-, intermediate-, and long-term) control programs is essential to mitigate economic losses, limit transmission, overcome the cultural barrier, and protect public health. Full article
Show Figures

Figure 1

15 pages, 2269 KB  
Article
The Differences in the Evolutionary Dynamics of MERS and SARS Coronaviruses
by Yushan Ding, Jiameng Liu, Jamal S. M. Sabir, Xinyuan Cui, Xuejuan Shen, Nahid H. Hajrah, Mohamed M. M. Ahmed, Meshaal J. Sabir, Onaizan Godian Al-Zogabi, David M. Irwin and Yongyi Shen
Viruses 2025, 17(8), 1114; https://doi.org/10.3390/v17081114 - 13 Aug 2025
Viewed by 1259
Abstract
SARS-CoV and MERS-CoV are two coronaviruses that have received significant attention due to their high pathogenicity and mortality rates in human populations. In this study, we compared their evolutionary dynamics to provide a One Health perspective on their differences in terms of the [...] Read more.
SARS-CoV and MERS-CoV are two coronaviruses that have received significant attention due to their high pathogenicity and mortality rates in human populations. In this study, we compared their evolutionary dynamics to provide a One Health perspective on their differences in terms of the results of disease control. The phylogenetic network of SARS-CoVs showed that human isolates gathered into a “super-spreader” cluster and were distinct from civet isolates. In contrast, dromedary camel- and human-isolated MERS-CoVs were clustered together. Thus, most clades of MERS-CoV can infect humans, and MERS-CoVs seem to more easily spill over the animal-to-human interface. Additionally, the civet can be easily controlled, while the intermediate host (dromedary camels) of MERS-CoV is an important livestock species, so it is impossible to eliminate all animals. This further leads to difficulties in disease control in MERS. Although MERS-CoVs are endemic to dromedary camels in both the Middle East and Africa, human infections are mainly linked to the Middle East. The nucleotide sequences of the MERS-CoV receptor gen (dipeptidyl peptidase 4 (DPP4)) from 30 Egyptians, 36 Sudanese, and 34 Saudi Arabians showed little difference. These findings suggest that the observed disparities in MERS prevalence between populations in the Middle East and Africa may be more strongly attributed to inadequate disease surveillance and the limited camel-to-human transmission of clade C MERS-CoV in Africa, rather than variations in DPP4 gene. Full article
Show Figures

Figure 1

20 pages, 9240 KB  
Article
In Silico Analysis of Temperature-Induced Structural, Stability, and Flexibility Modulations in Camel Cytochrome c
by Heba A. Alkhatabi, Mohammad Alhashmi, Hind Ali Alkhatabi and Hisham N. Altayb
Animals 2025, 15(3), 381; https://doi.org/10.3390/ani15030381 - 28 Jan 2025
Cited by 1 | Viewed by 1624
Abstract
Cytochrome c is a critical protein in energy metabolism, and its structural adaptations to different temperatures play a key role in enabling species like the wild Bactrian camel (Camelus ferus) and the Arabian camel (Camelus dromedarius) to thrive in [...] Read more.
Cytochrome c is a critical protein in energy metabolism, and its structural adaptations to different temperatures play a key role in enabling species like the wild Bactrian camel (Camelus ferus) and the Arabian camel (Camelus dromedarius) to thrive in their respective cold and hot environments. This study investigates the structural, thermodynamic, and dynamic properties of cytochrome c at different temperatures. Thermal Titration Molecular Dynamics (TTMD) simulations, which involve analyzing protein behaviour across a range of temperatures, were carried out using GROMACS, with each simulation running for 100 nanoseconds, at 245 K, 280 K, 303 K, 308 K, and 320 K, to evaluate stability and flexibility. Structural alterations were indicated by an increase in root mean square deviations (RMSDs) to 0.4 nm at 320 K, as opposed to lower RMSD values (0.1–0.2 nm) at 245 K and 280 K. Root mean square fluctuation (RMSF) analyses revealed modest flexibility at 245 K and 280 K (0.1–0.2 nm) but considerable flexibility (0.3–0.4 nm) at 303 K and 320 K. Principal component analysis (PCA) found that the formational space was constrained at lower temperatures but expanded at higher temperatures. Entropy peaked at 280 K (13,816 J/mol) and then fell substantially at 320 K (451.765 J/mol), indicating diminished stability. These findings highlight cytochrome c adaptations for cold stability in Camelus ferus and thermal resilience in Camelus dromedarius, showing evolutionary strategies for harsh conditions. Full article
(This article belongs to the Special Issue Genomics for Camelid Biodiversity Management and Conservation)
Show Figures

Figure 1

9 pages, 668 KB  
Article
Prevalence and Associated Risk Factors of Helminth Infections in the Digestive Tract of Camels in Xinjiang, China
by Yi Zhang, Danchen Aaron Yang, Min Yang, Mengjie Pi, Yang Zhang and Zhanqiang Su
Vet. Sci. 2024, 11(10), 503; https://doi.org/10.3390/vetsci11100503 - 14 Oct 2024
Cited by 1 | Viewed by 1966
Abstract
Camels, vital to economies in Asia, Africa, and the Arabian Peninsula, have been domesticated for over 4000 years. They thrive in arid regions like Xinjiang, China, but face challenges from internal and external parasites, particularly gastrointestinal parasites, which impact health, meat and milk [...] Read more.
Camels, vital to economies in Asia, Africa, and the Arabian Peninsula, have been domesticated for over 4000 years. They thrive in arid regions like Xinjiang, China, but face challenges from internal and external parasites, particularly gastrointestinal parasites, which impact health, meat and milk quality, and production efficiency. This study investigates the prevalence of gastrointestinal helminth infections in camels from five major regions in Xinjiang. We collected 435 fresh fecal samples and used the saturated saline flotation method and McMaster’s method for detection. Molecular examination followed. The overall prevalence was 18.2% (95% confidence interval [CI]: 14.7–22.2%), with Urumqi showing the highest prevalence (29%, 95% CI: 23.4–35.1%) compared to other regions (odds ratio [OR]: 4.62, 95% CI: 2.63–8.41%). Younger camels (≤3 years old) were more likely infected by the parasites after adjusting for the region differences (OR: 10.53, 5.12–24.65%). However, we found no evidence that the prevalence was different between male and female camels. PCR analysis identified Trichostrongylus spp., Chabertia ovina, and Haemonchus contortus as predominant parasites, with observed co-infections indicating a complex parasitic landscape. The findings provide essential epidemiological data for effective parasite control strategies. Full article
(This article belongs to the Section Veterinary Microbiology, Parasitology and Immunology)
Show Figures

Figure 1

14 pages, 4163 KB  
Review
Mitochondrial DNA of the Arabian Camel Camelus dromedarius
by Manee M. Manee, Badr M. Al-Shomrani and Fahad H. Alqahtani
Animals 2024, 14(17), 2460; https://doi.org/10.3390/ani14172460 - 24 Aug 2024
Cited by 2 | Viewed by 4512
Abstract
The Camelidae family, ranging from southwest Asia to north Africa, South America, and Australia, includes key domesticated species adapted to diverse environments. Among these, the Arabian camel (Camelus dromedarius) is vital to the cultural and economic landscape of the Arabian Peninsula. [...] Read more.
The Camelidae family, ranging from southwest Asia to north Africa, South America, and Australia, includes key domesticated species adapted to diverse environments. Among these, the Arabian camel (Camelus dromedarius) is vital to the cultural and economic landscape of the Arabian Peninsula. This review explores the mitochondrial DNA of the dromedary camel, focusing on the D-loop region to understand its genetic diversity, maternal inheritance, and evolutionary history. We aim to investigate the unique characteristics of Arabian camel mtDNA, analyze the D-loop for genetic diversity and maternal lineage patterns, and explore the implications of mitochondrial genomic studies for camel domestication and adaptation. Key findings on mtDNA structure and variation highlight significant genetic differences and adaptive traits. The D-loop, essential for mtDNA replication and transcription, reveals extensive polymorphisms and haplotypes, providing insights into dromedary camel domestication and breeding history. Comparative analyses with other camelid species reveal unique genetic signatures in the Arabian camel, reflecting its evolutionary and adaptive pathways. Finally, this review integrates recent advancements in mitochondrial genomics, demonstrating camel genetic diversity and potential applications in conservation and breeding programs. Through comprehensive mitochondrial genome analysis, we aim to enhance the understanding of Camelidae genetics and contribute to the preservation and improvement of these vital animals. Full article
(This article belongs to the Section Animal Genetics and Genomics)
Show Figures

Figure 1

15 pages, 2630 KB  
Article
Evaluation of Predicted siRNA as an Antiviral against MERS-CoV Targeting the Membrane Gene in the Vero Cell Line
by Amany Y. El-Sayed, Mahmoud Shehata, Sara H. Mahmoud, Mahmoud ElHefnawi, Dina M. Seoudi and Mohamed A. Ali
Microbiol. Res. 2023, 14(4), 1687-1701; https://doi.org/10.3390/microbiolres14040116 - 17 Oct 2023
Cited by 2 | Viewed by 2618
Abstract
The Middle East respiratory syndrome coronavirus (MERS-CoV) was first isolated from a patient with acute pneumonia and renal failure in Saudi Arabia in 2012. By July 2023, MERS-CoV had resulted in 2605 human cases worldwide, causing a fatality rate of 36%, with 90.2% [...] Read more.
The Middle East respiratory syndrome coronavirus (MERS-CoV) was first isolated from a patient with acute pneumonia and renal failure in Saudi Arabia in 2012. By July 2023, MERS-CoV had resulted in 2605 human cases worldwide, causing a fatality rate of 36%, with 90.2% of cases being located in the Arabian Peninsula. The dromedary camel (Camelus dromedarius) is presumed to be an intermediate host for viral transmission to humans. So far, no prophylactic vaccines or effective antiviral treatments have been approved for MERS-CoV. RNA silencing is a novel approach for treating several diseases. A web-based bioinformatics tool (i-Score Designer) with integrative computational methods was used to predict and evaluate the designed siRNAs. This approach enabled the targeting of a highly conserved region of the MERS-CoV membrane (M) gene to inhibit virus replication. siRNA-M1, -M2, and -M3 were selected as the best of 559 designed siRNA candidates for an in vitro validation based on 2nd generation algorithm scoring, thermodynamic properties, off-target filtration, position-specific nucleotide preferences, and a free immune-stimulatory motifs. siRNAs were evaluated in Vero cells for their cytotoxicity and antiviral efficacy in vitro. Our results showed that the predicted siRNAs had no apparent cytotoxicity observed in Vero cells. The obtained results from the plaque reduction assay and RT-qPCR indicated that siRNA-M3 was the best candidate to inhibit MERS-CoV replication with a defined concentration of 400 picoMolar (pM). The computational methods used, and the in vitro evaluation, may provide an insight for a new antiviral strategy against MERS-CoV, a further in vivo study will nevertheless be required. Full article
Show Figures

Figure 1

16 pages, 3041 KB  
Article
Image-Based Arabian Camel Breed Classification Using Transfer Learning on CNNs
by Sultan Alfarhood, Atheer Alrayeh, Mejdl Safran, Meshal Alfarhood and Dunren Che
Appl. Sci. 2023, 13(14), 8192; https://doi.org/10.3390/app13148192 - 14 Jul 2023
Cited by 10 | Viewed by 5297
Abstract
Image-based Arabian camel breed classification is an important task for various practical applications, such as breeding management, genetic improvement, conservation, and traceability. However, it is a challenging task due to the lack of standardized criteria and methods, the high similarity among breeds, and [...] Read more.
Image-based Arabian camel breed classification is an important task for various practical applications, such as breeding management, genetic improvement, conservation, and traceability. However, it is a challenging task due to the lack of standardized criteria and methods, the high similarity among breeds, and the limited availability of data and resources. In this paper, we propose an approach to tackle this challenge by using convolutional neural networks (CNNs) and transfer learning to classify images of six different Arabian camel breeds: Waddeh, Majaheem, Homor, Sofor, Shaele, and Shageh. To achieve this, we created, preprocessed, and annotated a novel dataset of 1073 camel images. We then pre-trained CNNs as feature extractors and fine-tuned them on our new dataset. We evaluated several popular CNN architectures with diverse characteristics such as InceptionV3, NASNetLarge, PNASNet-5-Large, MobileNetV3-Large, and EfficientNetV2 (small, medium, and large variants), and we found that NASNetLarge achieves the best test accuracy of 85.80% on our proposed dataset. Finally, we integrated the best-performing CNN architecture, NASNetLarge, into a mobile application for further validation and actual use in a real-world scenarios. Full article
(This article belongs to the Special Issue Applications of Machine Learning in Agriculture)
Show Figures

Figure 1

15 pages, 662 KB  
Article
Prevalence of Aflatoxins in Camel Milk from the Arabian Peninsula and North Africa: A Reduction Approach Using Probiotic Strains
by Tawfiq Alsulami, Mohamed G. Shehata, Hatem S. Ali, Abdulhakeem A. Alzahrani, Mohamed A. Fadol and Ahmed Noah Badr
Foods 2023, 12(8), 1666; https://doi.org/10.3390/foods12081666 - 17 Apr 2023
Cited by 5 | Viewed by 2373
Abstract
Camel milk is known as a source of nutritional and health supplements. It is known to be rich in peptides and functional proteins. One main issue facing it is related to its contamination, mainly with aflatoxins. The present study aimed to evaluate camel [...] Read more.
Camel milk is known as a source of nutritional and health supplements. It is known to be rich in peptides and functional proteins. One main issue facing it is related to its contamination, mainly with aflatoxins. The present study aimed to evaluate camel milk samples from different regions while trying to reduce its toxicity using safe approaches based on probiotic bacteria. Collected samples of camel milk were sourced from two main regions: the Arabic peninsula and North Africa. Samples were tested for their contents of aflatoxins (B1 and M1) using two techniques to ensure desired contamination levels. Additionally, feed materials used in camel foods were evaluated. Applied techniques were also tested for their validation. The antioxidant activity of camel milk samples was determined through total phenolic content and antioxidant activity assays. Two strains of probiotic bacteria (Lactobacillus acidophilus NRC06 and Lactobacillus plantarum NRC21) were investigated for their activity against toxigenic fungi. The result revealed high contamination of aflatoxin M1 for all samples investigated. Furthermore, cross-contamination with aflatoxin B1 was recorded. Investigated bacteria were recorded according to their significant inhibition zones against fungal growth (11 to 40 mm). The antagonistic impacts were between 40% and 70% against toxigenic fungi. Anti-aflatoxigenic properties of bacterial strains in liquid media were recorded according to mycelia inhibition levels between 41 to 52.83% against Aspergillus parasiticus ITEM11 with an ability to reduce aflatoxin production between 84.39% ± 2.59 and 90.4% ± 1.32 from media. Bacteria removed aflatoxins from the spiked camel milk in cases involving individual toxin contamination. Full article
(This article belongs to the Special Issue New Insights into Milk and Dairy Products: Quality and Sustainability)
Show Figures

Figure 1

18 pages, 4291 KB  
Article
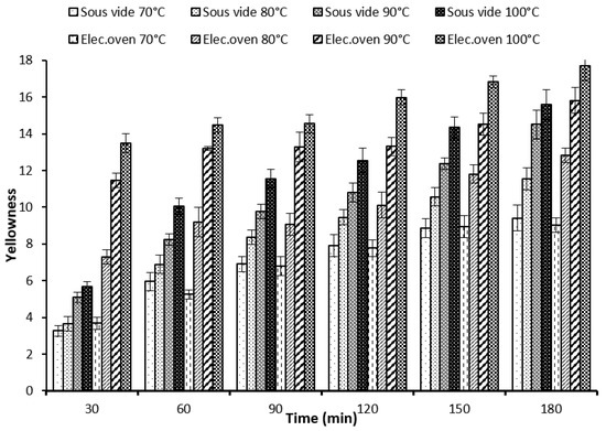
Effects of the Sous Vide and Conventional Electric Oven Cooking Methods on the Physio-Sensory Quality Attributes of Arabian Camel (Camelus dromedarius) Meat
by Ali I. Hobani, Moath B. Othman, Adil A. Fickak and Gamaleldin M. Suliman
Processes 2023, 11(1), 182; https://doi.org/10.3390/pr11010182 - 6 Jan 2023
Cited by 7 | Viewed by 2774
Abstract
This study aimed to evaluate the effect of the sous vide and electric oven cooking methods on the physical and sensory characteristics of camel meat. A combination of 4 cooking temperatures (70, 80, 90, and 100 °C) and 6 cooking times (30, 60, [...] Read more.
This study aimed to evaluate the effect of the sous vide and electric oven cooking methods on the physical and sensory characteristics of camel meat. A combination of 4 cooking temperatures (70, 80, 90, and 100 °C) and 6 cooking times (30, 60, 90, 120, 150, and 180 min) was applied. Both methods significantly affected the meat’s physical properties (pH, cooking loss, density, lightness, redness, and yellowness color components), except for water activity. Furthermore, the cooking temperature and time significantly affected all the sensory properties (tenderness, flavor, juiciness, and general acceptance). The cooking loss was the only parameter affected significantly by the interaction of the cooking method, cooking temperature, and cooking time. It is concluded that the sous vide method is the more suitable method for cooking camel meat compared to the electric oven method considering the cooking temperature and time. Further studies are recommended to estimate energy consumption for both cooking methods evaluated in this study aiming at reducing the overall power expenditure. Full article
(This article belongs to the Section Food Process Engineering)
Show Figures

Figure 1

25 pages, 7285 KB  
Systematic Review
Effect of Camel Milk on Glucose Homeostasis in Patients with Diabetes: A Systematic Review and Meta-Analysis of Randomized Controlled Trials
by Refat AlKurd, Nivine Hanash, Narmin Khalid, Dana N. Abdelrahim, Moien A. B. Khan, Lana Mahrous, Hadia Radwan, Farah Naja, Mohamed Madkour, Khaled Obaideen, Katia Abu Shihab and MoezAlIslam Faris
Nutrients 2022, 14(6), 1245; https://doi.org/10.3390/nu14061245 - 15 Mar 2022
Cited by 28 | Viewed by 9646
Abstract
The effects of camel milk (CM) intake on glycemic control in patients with diabetes are controversial. This systematic review and meta-analysis of randomized controlled trials (RCTs) was conducted to summarize the effect of CM intake on glucose homeostasis parameters in patients with both [...] Read more.
The effects of camel milk (CM) intake on glycemic control in patients with diabetes are controversial. This systematic review and meta-analysis of randomized controlled trials (RCTs) was conducted to summarize the effect of CM intake on glucose homeostasis parameters in patients with both types of diabetes mellitus; T1DM and T2DM. We searched Google Scholar, PubMed/MEDLINE, EBSCO host, CINAHL, ScienceDirect, Cochrane, ProQuest Medical, Web of Science, and Scopus databases from inception until the end of November 2021. Relevant RCTs were identified, and the effect size was reported as mean difference (MD) and standard deviation (SD). Parameters of glycosylated hemoglobin (HbA1c), fasting blood glucose (FBG), postprandial blood glucose (PBG), fasting serum insulin (FI), insulin resistance (expressed in terms of HOMA-IR), insulin dose (ID) received, serum insulin antibody (IA), and C-peptide (CP) were tested. Out of 4054 collected articles, 14 RCTs (total 663 subjects) were eligible for inclusion. The pooled results obtained using a random-effects model showed a statistically significant decrease in HbA1c levels (MD, −1.24, 95% confidence interval (CI): −2.00, −0.48, p < 0.001 heterogeneity (I2) = 94%) and ID received (MD, −16.72, 95% CI: −22.09, −11.35 p < 0.00001, I2 = 90%), with a clear tendency was shown, but non-significant, to decrease FBG (MD, −23.32, 95% CI: −47.33, 0.70, p = 0.06, I2 = 98%) in patients with diabetes who consumed CM in comparison to those on usual care. Conversely, the consumption of CM did not show significant reductions in the rest of the glucose homeostasis parameters. Subgroup analysis revealed that patients with T2DM were more beneficially affected by CM intake than those with T1DM in lowering FBG, while patients with T1DM were more beneficially affected by CM intake than those with T2DM in lowering HbA1c. Both fresh and treated (pasteurized/fermented) CM gave similar beneficial effects in lowering HbA1c. Lastly, a relatively superior effect for longer duration on shorter duration (>6 months, ≤6 months, respectively) of CM intake is found in lowering HbA1c. To conclude, long-term consumption of CM by patients with diabetes could be a useful adjuvant therapy alongside classical medications, especially in lowering the required insulin dose and HbA1c. Due to the high heterogeneity observed in the included studies, more controlled trials with a larger sample size are warranted to confirm our results and to control some confounders and interfering factors existing in the analyzed articles. Full article
Show Figures

Figure 1

18 pages, 7577 KB  
Article
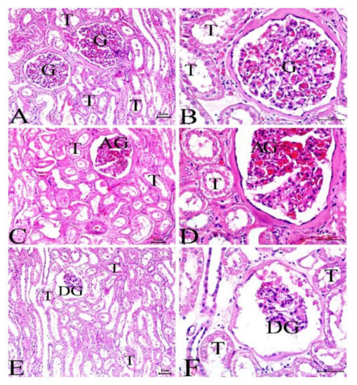
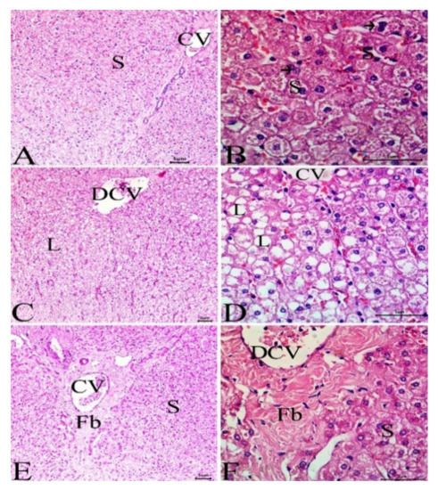
Heavy Metal Accumulation, Tissue Injury, Oxidative Stress, and Inflammation in Dromedary Camels Living near Petroleum Industry Sites in Saudi Arabia
by Jamaan S. Ajarem, Ahmad K. Hegazy, Gamal A. Allam, Ahmed A. Allam, Saleh N. Maodaa and Ayman M. Mahmoud
Animals 2022, 12(6), 707; https://doi.org/10.3390/ani12060707 - 11 Mar 2022
Cited by 26 | Viewed by 3997
Abstract
The petroleum industry can impact the environment and human health. Heavy metals (HMs), including lead (Pb), cadmium (Cd), nickel (Ni), and vanadium (V), are toxic pollutants found in petroleum that can cause several severe diseases. This study investigated the impact of the oil [...] Read more.
The petroleum industry can impact the environment and human health. Heavy metals (HMs), including lead (Pb), cadmium (Cd), nickel (Ni), and vanadium (V), are toxic pollutants found in petroleum that can cause several severe diseases. This study investigated the impact of the oil industry on the Arabian camel (Camelus dromedarius) in the eastern region of Saudi Arabia, pointing to HMs accumulation, tissue injury, redox imbalance, inflammation, and apoptosis. Soil and camel samples (milk, blood, muscle, liver, and kidney) were collected from a site near an oil industry field and another two sites to analyze HMs. Pb, Cd, Ni, and V were increased in the soil and in the camel’s milk, blood, muscle, liver, and kidney at the polluted site. Serum aminotransferases, urea, and creatinine were elevated, and histopathological alterations were observed in the liver and kidney of camels at the oil industry site. Hepatic and renal lipid peroxidation, pro-inflammatory cytokines, Bax, and caspase-3 were increased, whereas cellular antioxidants and Bcl-2 declined in camels at the oil extraction site. In conclusion, the oil industry caused soil and tissue accumulation of HMs, liver and kidney injury, oxidative stress, and apoptosis in camels living close to the oil extraction site. These findings pinpoint the negative impact of the oil industry on the environment, animal, and human health. Full article
(This article belongs to the Section Ecology and Conservation)
Show Figures

Figure 1

13 pages, 1188 KB  
Article
Crimean–Congo Hemorrhagic Fever Virus Past Infections Are Associated with Two Innate Immune Response Candidate Genes in Dromedaries
by Sara Lado, Jan Futas, Martin Plasil, Tom Loney, Pia Weidinger, Jeremy V. Camp, Jolanta Kolodziejek, Dafalla O. Kannan, Petr Horin, Norbert Nowotny and Pamela A. Burger
Cells 2022, 11(1), 8; https://doi.org/10.3390/cells11010008 - 21 Dec 2021
Cited by 6 | Viewed by 3813
Abstract
Dromedaries are an important livestock, used as beasts of burden and for meat and milk production. However, they can act as an intermediate source or vector for transmitting zoonotic viruses to humans, such as the Middle East respiratory syndrome coronavirus (MERS-CoV) or Crimean–Congo [...] Read more.
Dromedaries are an important livestock, used as beasts of burden and for meat and milk production. However, they can act as an intermediate source or vector for transmitting zoonotic viruses to humans, such as the Middle East respiratory syndrome coronavirus (MERS-CoV) or Crimean–Congo hemorrhagic fever virus (CCHFV). After several outbreaks of CCHFV in the Arabian Peninsula, recent studies have demonstrated that CCHFV is endemic in dromedaries and camel ticks in the United Arab Emirates (UAE). There is no apparent disease in dromedaries after the bite of infected ticks; in contrast, fever, myalgia, lymphadenopathy, and petechial hemorrhaging are common symptoms in humans, with a case fatality ratio of up to 40%. We used the in-solution hybridization capture of 100 annotated immune genes to genotype 121 dromedaries from the UAE tested for seropositivity to CCHFV. Through univariate linear regression analysis, we identified two candidate genes belonging to the innate immune system: FCAR and CLEC2B. These genes have important functions in the host defense against viral infections and in stimulating natural killer cells, respectively. This study opens doors for future research into immune defense mechanisms in an enzootic host against an important zoonotic disease. Full article
(This article belongs to the Special Issue Cells as Viral Hosts)
Show Figures

Figure 1

11 pages, 3940 KB  
Article
Outbreak of a Systemic Form of Camelpox in a Dromedary Herd (Camelus dromedarius) in the United Arab Emirates
by Sunitha Joseph, Joerg Kinne, Péter Nagy, Jutka Juhász, Rajib Barua, Nissy Annie Georgy Patteril, Donata Hoffmann, Florian Pfaff, Bernd Hoffmann and Ulrich Wernery
Viruses 2021, 13(10), 1940; https://doi.org/10.3390/v13101940 - 28 Sep 2021
Cited by 15 | Viewed by 3001
Abstract
Camelpox virus (CMLV) is the causative agent of camelpox, which frequently occurs in the Old World camelids-rearing countries except for Australia. It has also been described in experimentally inoculated New World camelids. Camelpox outbreaks are often experienced shortly after the rainy season, which [...] Read more.
Camelpox virus (CMLV) is the causative agent of camelpox, which frequently occurs in the Old World camelids-rearing countries except for Australia. It has also been described in experimentally inoculated New World camelids. Camelpox outbreaks are often experienced shortly after the rainy season, which occurs twice a year on the Arabian Peninsula because of the increased density of the insect population, particularly mosquitos. A systemic form of camelpox outbreak in seven dromedary camels was diagnosed by histology, virus isolation, and PCR. A phylogenetic analysis using full length CMLV genomes of the isolated CMLV strains showed a single phylogenetic unit without any distinctive differences between them. The United Arab Emirates (UAE) isolate sequences showed phylogenetical relatedness with CMLV isolates from Israel with only minor sequence differences. Although the sequences of viruses from both countries were closely related, the disease manifestation was vastly different. Our study shows that the virulence is not only determined by genetic features of CMLV alone but may also depend on other factors such as unknown aspects of the host (e.g., age, overall fitness), management, and the environment. Full article
Show Figures

Figure 1

13 pages, 3958 KB  
Article
Viral RNA Metagenomics of Hyalomma Ticks Collected from Dromedary Camels in Makkah Province, Saudi Arabia
by Fathiah Zakham, Aishah E. Albalawi, Abdullah D. Alanazi, Phuoc Truong Nguyen, Abdulaziz S. Alouffi, Altaf Alaoui, Tarja Sironen, Teemu Smura and Olli Vapalahti
Viruses 2021, 13(7), 1396; https://doi.org/10.3390/v13071396 - 18 Jul 2021
Cited by 31 | Viewed by 6176
Abstract
Arthropod-borne infections are a medical and economic threat to humans and livestock. Over the last three decades, several unprecedented viral outbreaks have been recorded in the Western part of the Arabian Peninsula. However, little is known about the circulation and diversity of arthropod-borne [...] Read more.
Arthropod-borne infections are a medical and economic threat to humans and livestock. Over the last three decades, several unprecedented viral outbreaks have been recorded in the Western part of the Arabian Peninsula. However, little is known about the circulation and diversity of arthropod-borne viruses in this region. To prepare for new outbreaks of vector-borne diseases, it is important to detect which viruses circulate in each vector population. In this study, we used a metagenomics approach to characterize the RNA virome of ticks infesting dromedary camels (Camelus dromedaries) in Makkah province, Saudi Arabia. Two hundred ticks of species Hyalomma dromedarii (n = 196) and Hyalomma impeltatum (n = 4) were collected from the Alkhurma district in Jeddah and Al-Taif city. Virome analysis showed the presence of several tick-specific viruses and tick-borne viruses associated with severe illness in humans. Some were identified for the first time in the Arabian Peninsula. The human disease-associated viruses detected included Crimean Congo Hemorrhagic fever virus and Tamdy virus (family Nairoviridae), Guertu virus (family Phenuiviridae), and a novel coltivirus that shares similarities with Tarumizu virus, Tai forest reovirus and Kundal virus (family Reoviridae). Furthermore, Alkhurma hemorrhagic virus (Flaviviridae) was detected in two tick pools by specific qPCR. In addition, tick-specific viruses in families Phenuiviridae (phleboviruses), Iflaviridae, Chuviridae, Totiviridae and Flaviviridae (Pestivirus) were detected. The presence of human pathogenetic viruses warrants further efforts in tick surveillance, xenosurveillence, vector control, and sero-epidemiological investigations in human and animal populations to predict, contain and mitigate future outbreaks in the region. Full article
(This article belongs to the Special Issue Viral Zoonoses and Global Public Health)
Show Figures

Figure 1

Back to TopTop