Sign in to use this feature.

Years

Between: -

Subjects

remove_circle_outline
remove_circle_outline
remove_circle_outline
remove_circle_outline
remove_circle_outline

Journals

Article Types

Countries / Regions

Search Results (36)

Search Parameters:
Keywords = alpha-adrenergic agonists

Order results
Result details
Results per page
Select all
Export citation of selected articles as:
12 pages, 772 KB  
Article
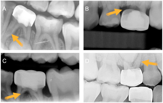
An Oxymetazoline-Based Hemostatic Solution Used with MTA for Pulpal Therapy: A Retrospective Study
by Robert S. Jones, Hannah Lee, Jingqi Jia and Elise W. Sarvas
Children 2026, 13(1), 28; https://doi.org/10.3390/children13010028 - 24 Dec 2025
Viewed by 179
Abstract
Background/Objectives: The purpose of this study is to assess whether the addition of an oxymetazoline (OXY) hemostatic solution, which can be used to manage pulpal bleeding, maintains higher MTA survivability than pulpotomies treated with FS. Methods: In this retrospective cross-sectional study, patient [...] Read more.
Background/Objectives: The purpose of this study is to assess whether the addition of an oxymetazoline (OXY) hemostatic solution, which can be used to manage pulpal bleeding, maintains higher MTA survivability than pulpotomies treated with FS. Methods: In this retrospective cross-sectional study, patient data (n = 75) were used to assess radiographic and clinical signs and symptoms of pathosis in primary molars treated with a pulpotomy and a stainless-steel crown. Pulpotomies treated with FS (Group 1) were compared to those treated with MTA with OXY-induced hemostasis (Group 2). Restricted mean survival times (RMSTs) were calculated for the two groups, and Cox proportional hazards regression was used to analyze the effects of patient and practice level covariates on radiographic and clinical pathosis. Results: Cox proportional-hazard regression identified three potential covariates (age, pulpotomy groups, and procedure location) that predicted radiographic pathosis. The adjusted hazard ratio for Group 2 was 0.30 (95% CI: 0.11–0.82), indicating improved radiographic outcomes compared with Group 1 (p = 0.02). The 36-month RMST for Group 2 was 30.1 months (95% CI: 26.5–33.7) compared to 24.7 months (21.6–27.8) for Group 1 (p = 0.025). Conclusions: A pulpotomy utilizing OXY hemostasis prior to MTA placement led to a higher chance of pulpotomy survival than FS. Full article
(This article belongs to the Section Pediatric Dentistry & Oral Medicine)
Show Figures

Figure 1

17 pages, 1525 KB  
Article
Clonidine Protects Endothelial Cells from Angiotensin II-Induced Injury via Anti-Inflammatory and Antioxidant Mechanisms
by Bekir Sıtkı Said Ulusoy, Mehmet Cudi Tuncer and İlhan Özdemir
Life 2025, 15(8), 1193; https://doi.org/10.3390/life15081193 - 27 Jul 2025
Cited by 1 | Viewed by 1179
Abstract
Background: Cerebral aneurysm (CA) is a focal or diffuse pathological dilation of the cerebral arterial wall that arises due to various etiological factors. It represents a serious vascular condition, particularly affecting the elderly, and carries a high risk of rupture and neurological morbidity. [...] Read more.
Background: Cerebral aneurysm (CA) is a focal or diffuse pathological dilation of the cerebral arterial wall that arises due to various etiological factors. It represents a serious vascular condition, particularly affecting the elderly, and carries a high risk of rupture and neurological morbidity. Clonidine (CL), an α2-adrenergic receptor agonist, has been reported to suppress aneurysm progression; however, its underlying molecular mechanisms, especially in relation to cerebral endothelial dysfunction, remain unclear. This study aimed to investigate the potential of CL to mitigate CA development by modulating apoptosis, inflammation, and oxidative stress in an Angiotensin II (Ang II)-induced endothelial injury model. Methods: Human brain microvascular endothelial cells (HBMECs) were used to establish an in vitro model of endothelial dysfunction by treating cells with 1 µM Ang II for 48 h. CL was administered 2 h prior to Ang II exposure at concentrations of 0.1, 1, and 10 µM. Cell viability was assessed using the MTT assay. Oxidative stress markers, including reactive oxygen species (ROS) and Nitric Oxide (NO), were measured using 2′,7′–dichlorofluorescin diacetate (DCFDA). Gene expression levels of vascular endothelial growth factor (VEGF), matrix metalloproteinases (MMP-2 and MMP-9), high mobility group box 1 (HMGB1), and nuclear factor kappa B (NF-κB) were quantified using RT-qPCR. Levels of proinflammatory cytokines; tumor necrosis factor-alpha (TNF-α), Interleukin-6 (IL-6), and interferon-gamma (IFN-γ); were measured using commercial ELISA kits. Results: Ang II significantly increased ROS production and reduced NO levels, accompanied by heightened proinflammatory cytokine release and endothelial dysfunction. MTT assay revealed a marked decrease in cell viability following Ang II treatment (34.18%), whereas CL preserved cell viability in a concentration-dependent manner: 44.24% at 0.1 µM, 66.56% at 1 µM, and 81.74% at 10 µM. CL treatment also significantly attenuated ROS generation and inflammatory cytokine levels (p < 0.05). Furthermore, the expression of VEGF, HMGB1, NF-κB, MMP-2, and MMP-9 was significantly downregulated in response to CL. Conclusions: CL exerts a protective effect on endothelial cells by reducing oxidative stress and suppressing proinflammatory signaling pathways in Ang II-induced injury. These results support the potential of CL to mitigate endothelial injury in vitro, though further in vivo studies are required to confirm its translational relevance. Full article
(This article belongs to the Section Pharmaceutical Science)
Show Figures

Figure 1

13 pages, 751 KB  
Article
Feline Testicular Biometry and Gonadosomatic Index: Associations Among Conventional Measurements, Mathematical Estimates, and Seminal Parameters
by Mónica Madrigal-Valverde, Rodrigo F. Bittencourt, Antonio Lisboa Ribeiro Filho, Thereza Cristina Calmon de Bittencourt, Isabella de Matos Brandão Carneiro, Luiz Di Paolo Maggitti, Gabriel Felipe Oliveira de Menezes, Carmo Emanuel de Almeida Biscarde, Gleice Mendes Xavier, Paola Pereira das Neves Snoeck and Larissa Pires Barbosa
Animals 2025, 15(15), 2191; https://doi.org/10.3390/ani15152191 - 25 Jul 2025
Viewed by 844
Abstract
The development of biometric techniques in domestic animals has greatly advanced scientific practices in wildlife research. The association between seminal characteristics and body and testicular biometry enables the selection of suitable breeders, though appropriate measurement techniques are required. The present study assessed differences [...] Read more.
The development of biometric techniques in domestic animals has greatly advanced scientific practices in wildlife research. The association between seminal characteristics and body and testicular biometry enables the selection of suitable breeders, though appropriate measurement techniques are required. The present study assessed differences among conventional methods and formulas for estimating testicular parameters. Testicular length, width, and thickness were measured using three methods in 13 adult male domestic cats. Testicular area, volume, and weight were estimated, from which the gonadosomatic index (GSI) was calculated. Sperm were collected using an alpha-2 adrenergic agonist and urethral catheterization, and characterized in terms of volume, vigor, total motility, progressive motility, concentration, plasma membrane integrity, and morphology. The three methods were consistent in terms of testicular area, volume, weight, and GSI. Moderate positive correlations were observed for testicular weight (r = 0.61, p < 0.05) and GSI (r = 0.58, p < 0.05). Testicular parameters showed strong positive correlations among each other (r > 0.80, p < 0.05). We observed a moderate positive correlation between head length and progressive motility (r = 0.65, p < 0.05). In conclusion, all testicular measurement and estimation techniques showed comparable performance. Therefore, testicular biometry is useful for selecting breeding males in feline conservation programs, wherein larger body biometrics are related to improved seminal and reproductive parameters. Full article
(This article belongs to the Section Animal Physiology)
Show Figures

Figure 1

17 pages, 3403 KB  
Article
Effects of Endotoxemia and Blood Pressure on Microcirculation and Noradrenaline Needs With or Without Dexmedetomidine in Beagle Dogs—A Blinded Cross-Over Study
by Barbara Steblaj, Fabiola Binia Joerger, Sonja Hartnack, Angela Briganti and Annette P. N. Kutter
Animals 2025, 15(12), 1779; https://doi.org/10.3390/ani15121779 - 17 Jun 2025
Viewed by 896
Abstract
Endotoxemia often leads to microcirculatory derangement. In six sevoflurane anaesthetized Beagle dogs, we investigated the effects of 1 mg/kg of Escherichia coli lipopolysaccharide endotoxin intravenous and blood pressure (mean arterial pressure of 65 mmHg versus 85 mmHg) on microcirculation assessed on buccal mucosa [...] Read more.
Endotoxemia often leads to microcirculatory derangement. In six sevoflurane anaesthetized Beagle dogs, we investigated the effects of 1 mg/kg of Escherichia coli lipopolysaccharide endotoxin intravenous and blood pressure (mean arterial pressure of 65 mmHg versus 85 mmHg) on microcirculation assessed on buccal mucosa using side stream dark field microscopy. Dogs were afterwards resuscitated with fluids and noradrenaline. We investigated dose requirements of noradrenaline with or without dexmedetomidine. Microcirculatory parameters, and markers of sepsis (cardiac output, mixed venous oxygen saturation, carbon dioxide gap, and lactate) were analysed before endotoxemia, after endotoxemia, after a 30 mL/kg of Ringer’s acetate fluid bolus, and during noradrenaline +/− dexmedetomidine infusion, after a second fluid bolus, and a second time after vasopressor treatment in a cross-over fashion. Endotoxemia and mean arterial pressure had no statistically significant effect on microcirculation; however, endotoxemia resulted in a decrease in cardiac output. Dexmedetomidine neither improved microcirculation nor reduced noradrenaline requirements. Full article
(This article belongs to the Section Veterinary Clinical Studies)
Show Figures

Figure 1

34 pages, 7701 KB  
Article
Docking Simulations of G-Protein Coupled Receptors Uncover Crossover Binding Patterns of Diverse Ligands to Angiotensin, Alpha-Adrenergic and Opioid Receptors: Implications for Cardiovascular Disease and Addiction
by Harry Ridgway, Graham J. Moore, Laura Kate Gadanec and John M. Matsoukas
Biomolecules 2025, 15(6), 855; https://doi.org/10.3390/biom15060855 - 11 Jun 2025
Cited by 3 | Viewed by 2901
Abstract
Recent bioassay studies have unexpectedly supported the high (computationally predicted) binding affinities of angiotensin receptor blockers (ARBs) at α-adrenergic receptors (αARs) in isolated smooth muscle. Computational predictions from ligand docking studies are consistent with very low concentrations of ARBs (e.g., sartans or bisartans) [...] Read more.
Recent bioassay studies have unexpectedly supported the high (computationally predicted) binding affinities of angiotensin receptor blockers (ARBs) at α-adrenergic receptors (αARs) in isolated smooth muscle. Computational predictions from ligand docking studies are consistent with very low concentrations of ARBs (e.g., sartans or bisartans) that partially reduce (20–50%) the contractile response to phenylephrine, suggesting that some ARBs may function as partial inverse agonists at αARs. Virtual ligand screening (docking) and molecular dynamics (MD) simulations were carried out to explore the binding affinities and stabilities of selected non-peptide ligands (e.g., ARBs and small-molecule opioids) for several G-protein coupled receptor (GPCR) types, including angiotensin II (AngII) type 1 receptor (AT1R), α1AR, α2AR, and μ-(µOR) and ժ-opioid receptors (ժOR). Results: All ligands docked preferentially to the binding pocket on the cell surface domain of the GPCR types investigated. Drug binding was characterized by weak interactions (hydrophobic, hydrogen bonding, pi-pi) and stronger ionic and salt-bridge interactions (cation-pi and cation-anion interactions). Ligands specific to each GPCR category showed considerable cross-binding with alternative GPCRs, with small-molecule medications appearing less selective than their peptide or ARB functional equivalents. ARBs that exhibit higher affinities for AT1R also demonstrate higher affinities for µORs and ժORs than opiate ligands, such as fentanyl and naltrexone. Moreover, ARBs had a higher affinity for αARs than either alpha agonists (epinephrine and phenylephrine) or inhibitors (prazosin and doxazosin). MD simulations of membrane-embedded ARB-GPCR complexes proved stable over nanosecond time scales and suggested that some ARBs may behave as agonists or antagonists depending on the GPCR type. Based on the results presented in this and related investigations, we propose that agonists bind to the resting A-site of GPCRs, while inverse agonists occupy the desensitizing D-site, which partial agonists like morphine and fentanyl share, contributing to addiction. ARBs block both AngII and alpha receptors, suggesting that they are more potent antihypertensive drugs than ACE inhibitors. ARBs have the potential to inhibit morphine tolerance and appear to disrupt receptor desensitization processes, potentially by competing at the D-site. Our results suggest the possible therapeutic potential of ARBs in treating methamphetamine and opiate addictions. Full article
Show Figures

Figure 1

13 pages, 2863 KB  
Article
Protective Effects of Dexmedetomidine and Amifostine Against Radiotherapy-Induced Kidney Injury
by Sule Batcik, Levent Tumkaya, Eyup Dil, Leyla Kazancioglu, Elif Gaygusuz, Zihni Acar Yazici, Zulkar Ozden, Kagan Kilinc and Tolga Mercantepe
Life 2025, 15(6), 897; https://doi.org/10.3390/life15060897 - 31 May 2025
Cited by 4 | Viewed by 1029
Abstract
Backgrounds: Approximately 18 million individuals were diagnosed with cancer in 2018. The rate is predicted to exceed 22 million by 2030. Radiotherapy is an essential part of cancer therapy, with well documented local and systemic side effects, including oxidative stress and apoptosis. [...] Read more.
Backgrounds: Approximately 18 million individuals were diagnosed with cancer in 2018. The rate is predicted to exceed 22 million by 2030. Radiotherapy is an essential part of cancer therapy, with well documented local and systemic side effects, including oxidative stress and apoptosis. Kidney tissues are also exposed to the deleterious effects of radiotherapy, resulting in acute or chronic kidney function impairment. This study compared the effects of the potent selective α2-adrenoreceptor agonist dexmedetomidine and amifostine on oxidative stress and apoptosis in kidney damage induced by x-irradiation in rats. Methods: Forty Sprague Dawley rats were assigned into five groups: control, x-irradiation, x-irradiation + amifostine, x-irradiation + dexmedetomidine 100 µg/kg, and X-ray irradiation + dexmedetomidine 200 µg/kg. Results: Necrotic tubules and degenerative Bowman’s capsules were present in the x-irradiation group. An increase was determined in malondialdehyde (MDA), Cleaved Caspase-3, and 8-OHdG levels compared to the control group (p ≤ 0.05). In contrast, there was a decrease in necrotic tubules, degenerative Bowman’s capsules, and the levels of MDA, Cleaved Caspase-3, and 8-OHdG in the amifostine and dexmedetomidine 100 µg/kg and 200 µg/kg treatment groups (p ≤ 0.05). Conclusions: Alpha 2 adrenergic receptor agonists exhibit protective effects against kidney injury induced in association with x-irradiation by reducing oxidative stress and apoptosis. Full article
(This article belongs to the Section Radiobiology and Nuclear Medicine)
Show Figures

Figure 1

11 pages, 215 KB  
Review
The Perioperative Use of Dexmedetomidine in Paediatric Patients
by Esaias Janse van Rensburg, Laura Indiveri and Palesa Mogane
Children 2025, 12(6), 690; https://doi.org/10.3390/children12060690 - 28 May 2025
Cited by 1 | Viewed by 3572
Abstract
Background/Objectives: Dexmedetomidine, an alpha-2 adrenergic agonist, has gained significant attention for its sedative, analgesic, and anxiolytic properties in paediatric anaesthesia. This review explores its pharmacokinetics and pharmacodynamics, perioperative applications and efficacy, and safety profile in paediatric patients. Findings: Dexmedetomidine has emerged [...] Read more.
Background/Objectives: Dexmedetomidine, an alpha-2 adrenergic agonist, has gained significant attention for its sedative, analgesic, and anxiolytic properties in paediatric anaesthesia. This review explores its pharmacokinetics and pharmacodynamics, perioperative applications and efficacy, and safety profile in paediatric patients. Findings: Dexmedetomidine has emerged as a highly effective adjunct in paediatric anaesthesia, offering significant advantages across various perioperative settings. It reduces the need for other anaesthetics and opioids, leading to smoother recoveries with lower postoperative pain and agitation. Studies highlight its role in enhancing procedural sedation, improving patient cooperation, and providing superior analgesia in neuraxial and general anaesthesia. Its neuroprotective properties and stable haemodynamic profile make it particularly valuable in the perioperative and critical care settings. Conclusions: Dexmedetomidine has shown a favourable safety and efficacy profile in paediatric anaesthesia when doses are carefully titrated within the ranges recommended in the literature. While its use remains off-label in paediatric populations, increasing clinical experience and evidence support its integration into perioperative protocols. Full article
(This article belongs to the Section Pediatric Anesthesiology, Pain Medicine and Palliative Care)
12 pages, 465 KB  
Review
Dexmedetomidine: Shifting Paradigms in Neonatal Sedation and Pain Control
by Kok Joo Chan and Srinivas Bolisetty
Children 2025, 12(4), 444; https://doi.org/10.3390/children12040444 - 30 Mar 2025
Cited by 1 | Viewed by 4472
Abstract
Background: Newborns, including preterm infants, are capable of responding to pain. Recurrent pain exposure is associated with suboptimal motor development, cognitive impairments, abnormal brain growth, and maladapted nociceptive reactions. Problem: Current agents, primarily opioids and benzodiazepines, raise major concerns due to their adverse [...] Read more.
Background: Newborns, including preterm infants, are capable of responding to pain. Recurrent pain exposure is associated with suboptimal motor development, cognitive impairments, abnormal brain growth, and maladapted nociceptive reactions. Problem: Current agents, primarily opioids and benzodiazepines, raise major concerns due to their adverse effects, including insufficient sedation or analgesia, withdrawal, depressed respiratory effort, tolerance, and occasional paradoxical agitation. Commonly used drugs such as midazolam and morphine have been shown to induce neuroapoptosis and neurodevelopmental abnormalities in animal studies. Evaluation—Dexmedetomidine: As a specific alpha-2 adrenergic agonist, dexmedetomidine causes a significantly lower reduction in breathing effort. It has over 800 times greater affinity for alpha-2 receptors compared to alpha-1 receptors. Common side effects include bradycardia and hypotension. Prolonged use may necessitate a transition to clonidine during the weaning process. Dexmedetomidine can be administered intravenously as a bolus or infusion or intranasally. Indications include sedation and analgesia for mechanical ventilation, therapeutic hypothermia, procedural premedication, and as an adjunct to inhalational anesthesia and nerve-blocking agents. Research across varying age groups has demonstrated that dexmedetomidine shortens periods of invasive ventilation and decreases the need for other sedatives. Neonatal studies suggest that dexmedetomidine may help accelerate the achievement of full enteral feeds and can be safely administered within specific dosage ranges without causing significant adverse events that would necessitate abrupt discontinuation. Conclusions: Dexmedetomidine can be used alone or in combination with other agents. By increasing the use of dexmedetomidine, it is possible to reduce the dosage of concurrent medications, thereby minimizing the risk of complications while still achieving the desired sedation and analgesia. Full article
(This article belongs to the Special Issue Renal and Cardiovascular Consequences of Prematurity)
Show Figures

Figure 1

18 pages, 4051 KB  
Article
Effects of Brimonidine, Latanoprost, and Omidenepag on Tunicamycin-Induced Endoplasmic Reticulum Stress and Fibrosis in Human Trabecular Meshwork Cells
by Mengxuan Liu, Megumi Honjo, Reiko Yamagishi and Makoto Aihara
Biomolecules 2025, 15(3), 389; https://doi.org/10.3390/biom15030389 - 8 Mar 2025
Viewed by 1312
Abstract
This study evaluated the effects of α2-adrenergic agonist, prostaglandin F2α analog, and EP2 receptor agonist on tunicamycin-induced endoplasmic reticulum (ER) stress and fibrosis in human trabecular meshwork (TM) cells. Human TM cells were treated with tunicamycin for 24 h, followed by cotreatment with [...] Read more.
This study evaluated the effects of α2-adrenergic agonist, prostaglandin F2α analog, and EP2 receptor agonist on tunicamycin-induced endoplasmic reticulum (ER) stress and fibrosis in human trabecular meshwork (TM) cells. Human TM cells were treated with tunicamycin for 24 h, followed by cotreatment with brimonidine (BRI), latanoprost (LAT), or omidenepag (OMD). Immunocytochemistry was used to assess expressions of collagen type I alpha 1 chain (COL1A1), fibronectin, F-actin, and alpha-smooth muscle actin (α-SMA). Western blotting was performed to evaluate levels of C/EBP homologous protein (CHOP), 78-kDa glucose-regulated protein (GRP78), and splicing X-box binding protein-1 (sXBP-1). Real-time qPCR was used to examine the mRNA expressions of COL1A1, connective tissue growth factor (CTGF), fibronectin, α-SMA, CHOP, GRP78, and sXBP-1. Expressions of COL1A1, CTGF, F-actin, fibronectin, α-SMA, CHOP, GRP78, and sXBP-1 significantly increased after tunicamycin treatment. BRI cotreatment significantly downregulated the mRNA and protein expressions of GRP78, and LAT or OMD cotreatment significantly reduced the CHOP and sXBP-1 expressions compared to the tunicamycin-treated group. BRI, LAT, or OMD cotreatment significantly attenuated cellular cytoskeletal changes and the increase of fibrosis markers such as COL1A1, CTGF, fibronectin, and α-SMA. In addition, COL1A1 mRNA expression was significantly lowered with LAT or OMD cotreatment compared to the BRI-cotreated group. Cotreatment with α2-adrenergic agonist, prostaglandin F2α analog, or EP2 receptor agonist alleviates tunicamycin-induced ER stress in human TM cells. Full article
(This article belongs to the Section Biomacromolecules: Proteins, Nucleic Acids and Carbohydrates)
Show Figures

Figure 1

20 pages, 3190 KB  
Systematic Review
Dexmedetomidine in Bariatric Surgery: A Systematic Review and Meta-Analysis of Its Effects on Postoperative Pain and Postoperative Nausea and Vomiting
by Reem Altamimi, Danah Alnajjar, Rawan Bin Salamah, Joana Mandoorah, Abdulaziz Alghamdi, Reema E. Aloteibi, Lamya Almusharaf and Bader Albabtain
J. Clin. Med. 2025, 14(3), 679; https://doi.org/10.3390/jcm14030679 - 21 Jan 2025
Cited by 2 | Viewed by 2581
Abstract
Background: Bariatric surgery is associated with significant postoperative challenges, including pain and nausea. Dexmedetomidine (Dex), an alpha-2 adrenergic agonist, is commonly used to manage pain and postoperative nausea and vomiting (PONV) in various surgical settings. This meta-analysis evaluates the efficacy of Dex in [...] Read more.
Background: Bariatric surgery is associated with significant postoperative challenges, including pain and nausea. Dexmedetomidine (Dex), an alpha-2 adrenergic agonist, is commonly used to manage pain and postoperative nausea and vomiting (PONV) in various surgical settings. This meta-analysis evaluates the efficacy of Dex in bariatric surgery patients, focusing on postoperative pain intensity, opioid consumption, and PONV. Methods: We conducted a systematic review and meta-analysis of randomized controlled trials (RCTs) published between 2010 and 2023, assessing Dex use during or after bariatric surgery. Studies comparing Dex to placebo or standard care were included. Data extraction was performed independently by two reviewers, and statistical analysis was conducted using a random-effects model. Study quality was assessed using the Cochrane Risk of Bias tool. Results: Six RCTs (485 participants) met the inclusion criteria. Dex significantly reduced intraoperative fentanyl use (SMD −1.33, 95% CI [−2.19, −0.47], p = 0.002). Pain scores showed mixed results, with some studies reporting lower pain intensity in the Dex group, while others found no significant difference compared to morphine or placebo. PONV scores were generally lower in the Dex group (p = 0.01) compared to placebo and morphine. No significant differences were found in morphine consumption (SMD −1.13, 95% CI [−2.24, 0.01], p = 0.05) or recovery time. Conclusions: Dexmedetomidine appears to reduce opioid requirements and postoperative nausea in bariatric surgery patients. However, the variability in pain management outcomes suggests that further well-designed RCTs are needed to confirm its overall efficacy. The findings are based on moderate-quality evidence, and further research should aim to standardize dosing protocols and patient populations. Full article
(This article belongs to the Section Anesthesiology)
Show Figures

Figure 1

13 pages, 10525 KB  
Article
Dexmedetomidine Improves Learning Functions in Male Rats Modeling Cognitive Impairment by Modulating the BDNF/TrkB/CREB Signaling Pathway
by Sinan Saral, Tolga Mercantepe, Atilla Topçu, Ali Koray Kaya and Aykut Öztürk
Life 2024, 14(12), 1672; https://doi.org/10.3390/life14121672 - 17 Dec 2024
Cited by 1 | Viewed by 1339
Abstract
Dexmedetomidine (DEX) is a selective alpha-2 adrenergic receptor agonist with sedative and anxiolytic properties. Increasing evidence reports that DEX has a neuroprotective effect. In this study, we investigated the potential effects of DEX on learning and memory functions in rats with experimental cognitive [...] Read more.
Dexmedetomidine (DEX) is a selective alpha-2 adrenergic receptor agonist with sedative and anxiolytic properties. Increasing evidence reports that DEX has a neuroprotective effect. In this study, we investigated the potential effects of DEX on learning and memory functions in rats with experimental cognitive impairment. In the study, 21 adult male rats were used. The rats were divided into three groups, namely control, Scopolamine (SCOP) and SCOP + DEX. Cognitive impairment was induced with 1 mg/kg SCOP daily for 21 days. DEX was administered at a dose of 10 µg/kg between days 14 and 21 of the experiment. Following the injections, a spatial memory test was performed with a Morris Water Maze (MWM). At the end of the experiment, the hippocampus was dissected. The brain-derived neurotrophic factor (BDNF), acetylcholine (ACh) and acetylcholinesterase (AChE) levels were determined by ELISA. The tropomyosin receptor kinase B (TrkB) and Cyclic AMP-Response Element-Binding Protein (CREB) levels were measured by immunohistochemistry. DEX treatment improved the learning performance of rats compared to SCOP for 5 days. However, it did not significantly change memory performance. DEX increased the BDNF and ACh levels in the hippocampus while decreasing the AChE levels. Similarly, DEX treatment significantly increased CREB phosphorylation. No significant difference was observed between the TrkB receptor levels of the groups. This study demonstrated that the role of DEX in reducing SCOP-induced cognitive impairment is partially mediated by the increase in BDNF/TrkB/CREB signaling pathway activity. Full article
(This article belongs to the Special Issue Feature Paper in Physiology and Pathology: 2nd Edition)
Show Figures

Figure 1

14 pages, 474 KB  
Review
Possible Extracellular Signals to Ameliorate Sarcopenia in Response to Medium-Chain Triglycerides (8:0 and 10:0) in Frail Older Adults
by Osamu Ezaki
Nutrients 2024, 16(16), 2606; https://doi.org/10.3390/nu16162606 - 8 Aug 2024
Cited by 2 | Viewed by 2480
Abstract
In frail older adults (mean age 85 years old), a 3-month supplementation with a low dose (6 g/day) of medium-chain triglycerides (MCTs; C8:0 and C10:0) given at a meal increased muscle mass and function, relative to supplementation with long-chain triglycerides (LCTs), but it [...] Read more.
In frail older adults (mean age 85 years old), a 3-month supplementation with a low dose (6 g/day) of medium-chain triglycerides (MCTs; C8:0 and C10:0) given at a meal increased muscle mass and function, relative to supplementation with long-chain triglycerides (LCTs), but it decreased fat mass. The reduction in fat mass was partly due to increased postprandial energy expenditure by stimulation of the sympathetic nervous system (SNS). However, the extracellular signals to ameliorate sarcopenia are unclear. The following three potential extracellular signals to increase muscle mass and function after MCT supplementation are discussed: (1) Activating SNS—the hypothesis for this is based on evidence that a beta2-adrenergic receptor agonist acutely (1–24 h) markedly upregulates isoforms of peroxisomal proliferator-activated receptor gamma coactivator-1alpha (PGC-1alpha) mRNAs, promotes mitochondrial biogenesis, and chronically (~1 month) induces muscle hypertrophy. (2) An increased concentration of plasma acyl-ghrelin stimulates growth hormone secretion. (3) A nitrogen-sparing effect of ketone bodies, which fuel skeletal muscle, may promote muscle protein synthesis and prevent muscle protein breakdown. This review will help guide clinical trials of using MCTs to treat primary (age-related) sarcopenia. Full article
Show Figures

Figure 1

15 pages, 3303 KB  
Article
Clinical Effects and Pharmacokinetic Profile of Intramuscular Dexmedetomidine (10 μg/kg) in Cats
by Naftáli S. Fernandes, Yanna D. B. Passos, Kathryn N. Arcoverde, Andressa N. Mouta, Thainá C. Paiva, Kalyne D. S. Oliveira, Gabriel Araujo-Silva and Valéria Veras de Paula
Animals 2024, 14(15), 2274; https://doi.org/10.3390/ani14152274 - 5 Aug 2024
Cited by 6 | Viewed by 4302
Abstract
This study investigated the pharmacokinetic profile of and pharmacodynamic response to dexmedetomidine administered intramuscularly (IM) at a dose of 10 μg/kg in healthy cats. Nine adult cats were evaluated before and after administration of the drug, with serial collections of plasma samples. Dexmedetomidine [...] Read more.
This study investigated the pharmacokinetic profile of and pharmacodynamic response to dexmedetomidine administered intramuscularly (IM) at a dose of 10 μg/kg in healthy cats. Nine adult cats were evaluated before and after administration of the drug, with serial collections of plasma samples. Dexmedetomidine induced deep sedation, with a rapid onset of action and a duration of one hour, reaching a peak between 20 and 30 min after administration. The half-life (T½) was 70.2 ± 48 min, with a maximum concentration (Cmax) of 2.2 ± 1.9 ng/mL and time to reach maximum concentration (Tmax) of 26.4 ± 19.8 min. The area under the curve (AUC) was 167.1 ± 149.1 ng/mL*min, with a volume of distribution (Vd) of 2159.9 ± 3237.8 mL/kg and clearance (Cl) of 25.8 ± 33.0 mL/min/kg. There was a reduction in heart rate (HR) and respiratory rate (RR) in relation to the baseline, with a slight decrease in systolic (SBP), diastolic (DBP), and mean (MAP) blood pressure in the first hour. Blood glucose increased after 60 min. Dexmedetomidine proved to be effective and safe, with rapid absorption, metabolization, and elimination, promoting good sedation with minimal adverse effects after IM administration in healthy cats. Full article
(This article belongs to the Section Veterinary Clinical Studies)
Show Figures

Figure 1

13 pages, 1997 KB  
Review
Ingestion of Fluids of the Ocular Surface Containing Eye Drops of Imidazole Derivatives—Alpha Adrenergic Receptor Agonists as Paragons
by Ivan Šoša
Pharmaceuticals 2024, 17(6), 758; https://doi.org/10.3390/ph17060758 - 9 Jun 2024
Cited by 1 | Viewed by 9158
Abstract
Accidental poisonings by ingesting conjunctival fluid mixed with eye drops commonly involve alpha-2 adrenergic receptor agonists and tetrahydrozoline. These substances are recognized in commonly reported ingestions. Victims of all ages, otherwise in good health, often present as pale and lethargic to the emergency [...] Read more.
Accidental poisonings by ingesting conjunctival fluid mixed with eye drops commonly involve alpha-2 adrenergic receptor agonists and tetrahydrozoline. These substances are recognized in commonly reported ingestions. Victims of all ages, otherwise in good health, often present as pale and lethargic to the emergency department (ED) after unintentionally ingesting topical eye medication. While eye drop poisoning cases in childhood include accidents during the play and poisonings in adults mean either suicide attempts or side effects caused by the systemic absorption of the substance, fluid of the ocular surface is a risk to all age groups. With this in mind, this study aimed to summarize data in the literature on tetrahydrozoline and alpha-2 adrenergic receptor agonists as dangerous medications, even when administered in low-bioavailability forms, such as eye drops. With this aim, a Preferred Reporting Items for Systematic Reviews and Meta-Analyses (PRISMA)-compliant systematic review of relevant studies was conducted. A search of PubMed, Scopus, Web of Science, and EBSCOhost yielded nine studies that met the rigorous inclusion criteria. The primary studies were subject to a meta-analysis once a quality appraisal of the studies and a narrative synthesis of the extracted data had been conducted. The author hopes that this information will provide observations that will lead to better designs for over-the-counter eye drops, off-label drug usage policies, and parental attention. Full article
(This article belongs to the Special Issue Novel Imidazole Derivatives in Medicinal Chemistry)
Show Figures

Figure 1

22 pages, 5741 KB  
Article
Structural Features Influencing the Bioactive Conformation of Angiotensin II and Angiotensin A: Relationship between Receptor Desensitization, Addiction, and the Blood–Brain Barrier
by Graham J. Moore, Harry Ridway, Laura Kate Gadanec, Vasso Apostolopoulos, Anthony Zulli, Jordan Swiderski, Konstantinos Kelaidonis, Veroniki P. Vidali, Minos-Timotheos Matsoukas, Christos T. Chasapis and John M. Matsoukas
Int. J. Mol. Sci. 2024, 25(11), 5779; https://doi.org/10.3390/ijms25115779 - 26 May 2024
Cited by 4 | Viewed by 2824
Abstract
The N-terminal portion of the octapeptide angiotensin II (DRVYIHPF; AngII), a vasopressor peptide that favorably binds to, and activates, AngII type 1 receptor (AT1R), has an important role in maintaining bioactive conformation. It involves all three charged groups, namely (i) the [...] Read more.
The N-terminal portion of the octapeptide angiotensin II (DRVYIHPF; AngII), a vasopressor peptide that favorably binds to, and activates, AngII type 1 receptor (AT1R), has an important role in maintaining bioactive conformation. It involves all three charged groups, namely (i) the N-terminal amino group cation, (ii) the Asp sidechain anion and (iii) the Arg guanidino cation. Neutralization of any one of these three charged groups results in a substantial reduction (<5%) in bioactivity, implicating a specialized function for this cluster. In contrast, angiotensin A (ARVYIHPF; AngA) has reduced bioactivity at AT1R; however, replacement of Asp in AngII with sarcosine (N-methyl-glycine) not only restores bioactivity but increases the activity of agonist, antagonist, and inverse agonist analogues. A bend produced at the N-terminus by the introduction of the secondary amino acid sarcosine is thought to realign the functional groups that chaperone the C-terminal portion of AngII, allowing transfer of the negative charge originating at the C-terminus to be transferred to the Tyr hydroxyl-forming tyrosinate anion, which is required to activate the receptor and desensitizes the receptor (tachyphylaxis). Peptide (sarilesin) and nonpeptide (sartans) moieties, which are long-acting inverse agonists, appear to desensitize the receptor by a mechanism analogous to tachyphylaxis. Sartans/bisartans were found to bind to alpha adrenergic receptors resulting in structure-dependent desensitization or resensitization. These considerations have provided information on the mechanisms of receptor desensitization/tolerance and insights into possible avenues for treating addiction. In this regard sartans, which appear to cross the blood–brain barrier more readily than bisartans, are the preferred drug candidates. Full article
Show Figures

Figure 1

Back to TopTop