An Oxymetazoline-Based Hemostatic Solution Used with MTA for Pulpal Therapy: A Retrospective Study
Highlights
- MTA-based pulpotomies pretreated with a hemostatic solution of 0.05% oxymetazoline were found to be more successful in preventing radiographic pathosis compared to 20% ferric sulfate (FS)-based pulpotomies.
- Younger children had lower chances of developing radiographic and clinical signs of pathosis compared to older children.
- Oxymetazoline controls pulpal bleeding prior to MTA placement in a primary tooth pulpotomy, resulting in a relatively high chance of survival compared to FS after 36 months.
- Pulpotomy success depends on both age and the materials used.
Abstract
1. Introduction
2. Materials and Methods
2.1. Study Design
2.2. Inclusion and Exclusion Criteria
2.3. Calibration and Assessment
2.4. Study Variables
- Group 1—pulpotomy procedure with ferric sulfate.
- Group 2—pulpotomy procedure with oxymetazoline and MTA.
2.5. Statistical Analyses
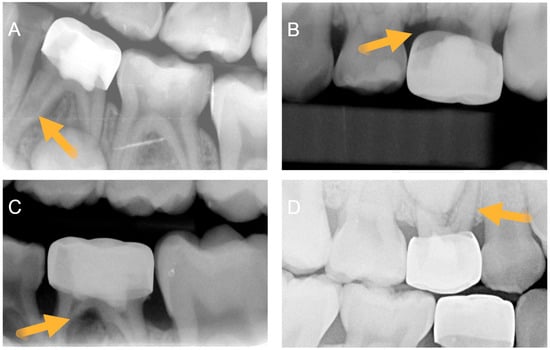
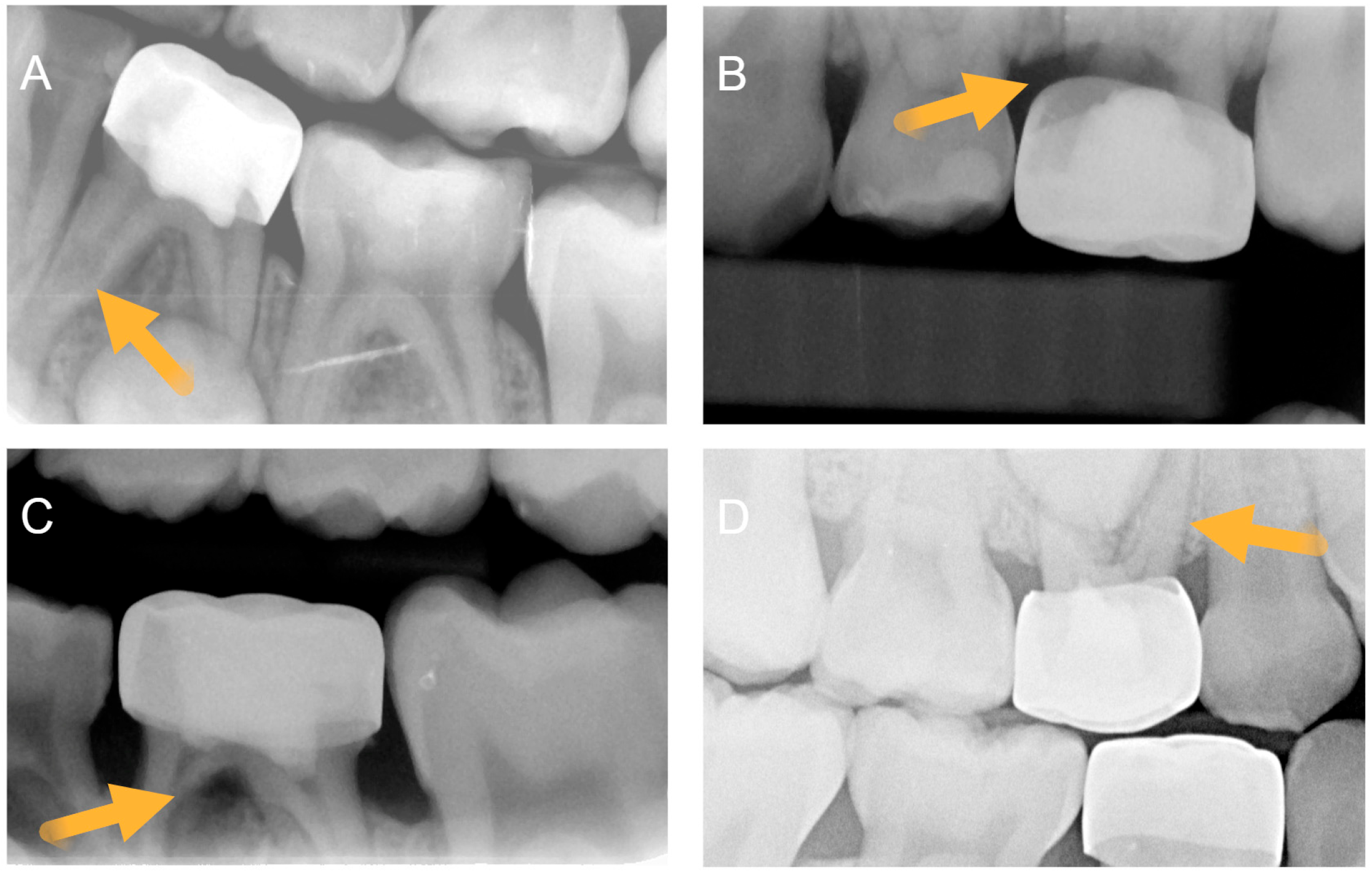
- Radiographic pathosis—internal resorption without perforation, internal resorption with perforation, and/or furcation radiolucency.
- Clinical pathosis—pain during chewing, spontaneous pain, gingival abscess, parulis, and/or swelling.
3. Results
3.1. Examining Variable Distribution Within Groups
3.2. Calibration and Radiographic Assessment
3.3. Survival Analysis
4. Discussion
5. Conclusions
Supplementary Materials
Author Contributions
Funding
Institutional Review Board Statement
Informed Consent Statement
Data Availability Statement
Acknowledgments
Conflicts of Interest
Abbreviations
| ANOVA | Analysis of Variance |
| CEJ | Cementoenamel junction |
| FS | Ferric sulfate |
| FRL | Furcal radiolucency |
| Group 1 | Pulpotomy procedure with ferric sulfate |
| Group 2 | Pulpotomy procedure with oxymetazoline and MTA |
| HR | Hazard ratio |
| IRM | Intermediate restorative material |
| IRR | Internal root resorption |
| IRR_P | Perforating internal root resorption |
| KM | Kaplan–Meier |
| MTA | Mineral trioxide aggregate |
| OXY | Oxymetazoline |
| RSMT | Restrictive mean survival time |
| ZOE | Zinc oxide eugenol |
References
- AlDhelai, T.A.; Alsughier, Z.; Alotaiby, F.; Alattas, M.H.; Javed, M.Q.; Sadan, M.; Salem, R.M.; Elkateb, M.A. Pulpal Response to Partial Pulpotomy versus Full Pulpotomy Procedures in Puppies: An Experimental Study. PLoS ONE 2024, 19, e0312076. [Google Scholar] [CrossRef]
- Mutluay, M.; Arıkan, V.; Sarı, S.; Kısa, Ü. Does Achievement of Hemostasis After Pulp Exposure Provide an Accurate Assessment of Pulp Inflammation? Pediatr. Dent. 2018, 40, 37–42. [Google Scholar]
- Jones, R.S.; Pride, M.A.; Kumar, D. An Oxymetazoline-Based Nasal Solution Removes Bacteria–Blood Debris on Dental Surfaces and Has Antimicrobial Activity Toward Streptococcus Mutans. Int. J. Mol. Sci. 2025, 26, 1242. [Google Scholar] [CrossRef]
- Olgart, L. Neural Control of Pulpal Blood Flow. Crit. Rev. Oral Biol. Med. 1996, 7, 159–171. [Google Scholar] [CrossRef]
- Edwall, L.; Kindlová, M. The Effect of Sympathetic Nerve Stimulation on the Rate of Disappearance of Tracers from Various Oral Tissues. Acta Odontol. Scand. 1971, 29, 387–400. [Google Scholar] [CrossRef] [PubMed]
- Chou, A.-K.; Chiu, C.-C.; Zhu, G.-C.; Wang, J.-J.; Chen, Y.-W.; Hung, C.-H. Naphazoline and Oxymetazoline Are Superior to Epinephrine in Enhancing the Cutaneous Analgesia of Lidocaine in Rats. Fundam. Clin. Pharmacol. 2023, 37, 296–304. [Google Scholar] [CrossRef] [PubMed]
- Jones, R.S. Conceptual Model for Using Imidazoline Derivative Solutions in Pulpal Management. J. Clin. Med. 2021, 10, 1212. [Google Scholar] [CrossRef]
- Higgins, T.S.; Hwang, P.H.; Kingdom, T.T.; Orlandi, R.R.; Stammberger, H.; Han, J.K. Systematic Review of Topical Vasoconstrictors in Endoscopic Sinus Surgery. Laryngoscope 2011, 121, 422–432. [Google Scholar] [CrossRef]
- Rodriguez Valiente, A.; Roldan Fidalgo, A.; Laguna Ortega, D. Bleeding Control in Endoscopic Sinus Surgery: A Systematic Review of the Literature. Rhinology 2013, 51, 298–305. [Google Scholar] [CrossRef][Green Version]
- Masoudifar, M.; Rezaeian, A.; Mosharaf, S. The Effect of Half Percent Oxymetazoline Nasal Drops on Post-Tonsillectomy Cough, Sore Throat and Bleeding in Children; A Double-Blind Randomized Clinical Trial. Adv. Biomed. Res. 2023, 12, 193. [Google Scholar] [CrossRef] [PubMed]
- Cartabuke, R.S.; Anderson, B.J.; Elmaraghy, C.; Rice, J.; Tumin, D.; Tobias, J.D. Hemodynamic and Pharmacokinetic Analysis of Oxymetazoline Use during Nasal Surgery in Children. Laryngoscope 2019, 129, 2775–2781. [Google Scholar] [CrossRef]
- Coll, J.A.; Dhar, V.; Chen, C.-Y.; Crystal, Y.O.; Guelmann, M.; Marghalani, A.A.; AlShamali, S.; Xu, Z.; Glickman, G.; Wedeward, R. Primary Tooth Vital Pulp Treatment Interventions: Systematic Review and Meta-Analyses. Pediatr. Dent. 2023, 45, 474–546. [Google Scholar] [PubMed]
- Brar, K.A.; Kratunova, E.; Avenetti, D.; da Fonseca, M.A.; Marion, I.; Alapati, S. Success of Biodentine and Ferric Sulfate as Pulpotomy Materials in Primary Molars: A Retrospective Study. J. Clin. Pediatr. Dent. 2021, 45, 22–28. [Google Scholar] [CrossRef]
- Berkarda, Z.; Wiedemann, S.; Wilpert, C.; Strecker, R.; Koerzdoerfer, G.; Nickel, D.; Bamberg, F.; Benndorf, M.; Mayrhofer, T.; Russe, M.F.; et al. Deep Learning Reconstructed T2-Weighted Dixon Imaging of the Spine: Impact on Acquisition Time and Image Quality. Eur. J. Radiol. 2024, 178, 111633. [Google Scholar] [CrossRef] [PubMed]
- Hartman, N.; Kim, S.; He, K.; Kalbfleisch, J.D. Concordance Indices with Left-Truncated and Right-Censored Data. Biometrics 2023, 79, 1624–1634. [Google Scholar] [CrossRef]
- Liao, X.; Chen, C.; Liao, Z.; Chang, H.; Yang, G.; Ding, G. Survival Analysis of Pulpotomy versus Pulpectomy in Primary Molars with Carious Pulp Exposure: A Retrospective Cohort Study. BMC Oral Health 2024, 24, 1370. [Google Scholar] [CrossRef] [PubMed]
- Rubanenko, M.; Petel, R.; Tickotsky, N.; Fayer, I.; Fuks, A.B.; Moskovitz, M. A Randomized Controlled Clinical Trial Comparing Tricalcium Silicate and Formocresol Pulpotomies Followed for Two to Four Years. Pediatr. Dent. 2019, 41, 446–450. [Google Scholar]
- Sakai, V.T.; Moretti, A.B.S.; Oliveira, T.M.; Fornetti, A.P.C.; Santos, C.F.; Machado, M.A.A.M.; Abdo, R.C.C. Pulpotomy of Human Primary Molars with MTA and Portland Cement: A Randomised Controlled Trial. Br. Dent. J. 2009, 207, E5. [Google Scholar] [CrossRef]
- Atasever, G.; Keceli, T.I.; Uysal, S.; Gungor, H.C.; Olmez, S. Primary Molar Pulpotomies with Different Hemorrhage Control Agents and Base Materials: A Randomized Clinical Trial. Niger. J. Clin. Pract. 2019, 22, 305–312. [Google Scholar]
- Jones, R.S.; Garcia, R.; Mutreja, I.; Kumar, D. Tissue Biocompatibility and Antimicrobial Properties of Sympathomimetic Nasal Solutions for Potential Use in Dental Pulpal Management. Clin. Exp. Dent. Res. 2025, 11, e70259. [Google Scholar] [CrossRef]
- Kumar, D.; Pride, M.; Mukherjee, K.; Jain, G.; Mutreja, I.; Jones, R.S. The Use of Oxymetazoline-Based Nasal Solutions to Remove Bacteria-Blood Debris and Eradicate Rothia Dentocariosa: An Artificial Cavity Model Study. BMC Oral Health 2025, 25, 448. [Google Scholar] [CrossRef]
- Collado-González, M.; García-Bernal, D.; Oñate-Sánchez, R.E.; Ortolani-Seltenerich, P.S.; Álvarez-Muro, T.; Lozano, A.; Forner, L.; Llena, C.; Moraleda, J.M.; Rodríguez-Lozano, F.J. Cytotoxicity and Bioactivity of Various Pulpotomy Materials on Stem Cells from Human Exfoliated Primary Teeth. Int. Endod. J. 2017, 50, e19–e30. [Google Scholar] [CrossRef]
- Alajaji, N.; Kratunova, E.; Avenetti, D.; Wang, H.; Alapati, S. Success of Three Materials and Influence of Behavior Guidance in Primary Molar Pulpotomies: A Retrospective Study. J. Dent. Child. 2024, 91, 129–136. [Google Scholar]
- Kim, C.H.; Bae, J.S.; Kim, I.-H.; Song, J.S.; Choi, H.-J.; Kang, C.-M. Prognostic Factors for the Survival of Primary Molars Following Pulpotomy with Mineral Trioxide Aggregate: A Retrospective Cohort Study. Clin. Oral Investig. 2021, 25, 1797–1804. [Google Scholar] [CrossRef]
- Riegle, E.V.; Gunter, J.B.; Lusk, R.P.; Muntz, H.R.; Weiss, K.L. Comparison of Vasoconstrictors for Functional Endoscopic Sinus Surgery in Children. Laryngoscope 1992, 102, 820–823. [Google Scholar] [CrossRef] [PubMed]
- Ramesh, A.S.; Cartabuke, R.; Essig, G.; Tobias, J.D. Oxymetazoline-Induced Postoperative Hypertension. Pediatr. Anesth. Crit. Care J. 2013, 1, 72–77. [Google Scholar]
- Thrush, D.N. Cardiac Arrest after Oxymetazoline Nasal Spray. J. Clin. Anesth. 1995, 7, 512–514. [Google Scholar] [CrossRef]
- Cartabuke, R.; Tobias, J.D.; Jatana, K.R. Topical Nasal Decongestant Oxymetazoline: Safety Considerations for Perioperative Pediatric Use. Pediatrics 2021, 148, e2021054271. [Google Scholar] [CrossRef] [PubMed]



| Group 1 (n = 41) | Group 2 (n = 34) | p-Value | |
|---|---|---|---|
| Age (months) | 74.3 | 74.1 | 0.97 1 |
| Behavior (uncoop) 2 | 20.0% | 8.8% | 0.18 3 |
| IP caries below CEJ 2 | 70.0% | 64.7% | 0.63 3 |
| Gender (male) | 46.3% | 35.3% | 0.34 3 |
| Jaw (mandible) | 70.7% | 55.9% | 0.19 3 |
| Location (clinic) | 92.7% | 79.4% | 0.09 3 |
| Molar position (2nd) 4 | 34.1% | 47.1% | 0.26 3 |
| Follow-up (months) 5 | 9-19-27 | 10-14.5-26 | 0.35 6 |
| Group | IRR | IRR_P | FRL | PCC |
|---|---|---|---|---|
| 1 (n = 41) | 9 (22.5%) 2 | 4 (10.0%) 2 | 11 (26.8%) | 22 (55.5%) |
| 2 (n = 34) | 2 (5.9%) | 0 (0.0%) | 6 (17.6%) | 18 (52.9%) |
| HR (95% CI) 1 | p-Value | Adjusted HR 2 (95% CI) | p-Value | |
|---|---|---|---|---|
| Age (months) | 1.03 (1.00–1.07) | 0.07 | 1.04 (1.01–1.07) | 0.02 |
| Behavior (uncoop) | 0.49 (0.11–2.26) | 0.36 | ||
| IP caries below CEJ | 2.18 (0.74–6.50) | 0.16 | ||
| Gender (male) 3 | 0.77 (0.32–1.85) | 0.56 | ||
| Group (2) 4 | 0.28 (0.10–0.76) | 0.01 | 0.30 (0.11–0.82) | 0.02 |
| Jaw (mandible) 5 | 0.66 (0.29–1.53) | 0.34 | ||
| Location (clinic) 6 | 0.38 (0.10–1.42) | 0.15 | 0.31 (0.09–1.03) | 0.06 |
| Molar position (2nd) 7 | 1.52 (0.60–3.84) | 0.38 |
| Group | Radiographic RMST (95% CI) | p-Value | Clinical RMST (95% CI) | p-Value |
|---|---|---|---|---|
| 1 | 24.7 (21.6–27.8) | 0.025 | 32.2 (29.6–34.8) | 0.091 |
| 2 | 30.1 (26.5–33.7) | 35.0 (33.2–36.8) |
Disclaimer/Publisher’s Note: The statements, opinions and data contained in all publications are solely those of the individual author(s) and contributor(s) and not of MDPI and/or the editor(s). MDPI and/or the editor(s) disclaim responsibility for any injury to people or property resulting from any ideas, methods, instructions or products referred to in the content. |
© 2025 by the authors. Licensee MDPI, Basel, Switzerland. This article is an open access article distributed under the terms and conditions of the Creative Commons Attribution (CC BY) license.
Share and Cite
Jones, R.S.; Lee, H.; Jia, J.; Sarvas, E.W. An Oxymetazoline-Based Hemostatic Solution Used with MTA for Pulpal Therapy: A Retrospective Study. Children 2026, 13, 28. https://doi.org/10.3390/children13010028
Jones RS, Lee H, Jia J, Sarvas EW. An Oxymetazoline-Based Hemostatic Solution Used with MTA for Pulpal Therapy: A Retrospective Study. Children. 2026; 13(1):28. https://doi.org/10.3390/children13010028
Chicago/Turabian StyleJones, Robert S., Hannah Lee, Jingqi Jia, and Elise W. Sarvas. 2026. "An Oxymetazoline-Based Hemostatic Solution Used with MTA for Pulpal Therapy: A Retrospective Study" Children 13, no. 1: 28. https://doi.org/10.3390/children13010028
APA StyleJones, R. S., Lee, H., Jia, J., & Sarvas, E. W. (2026). An Oxymetazoline-Based Hemostatic Solution Used with MTA for Pulpal Therapy: A Retrospective Study. Children, 13(1), 28. https://doi.org/10.3390/children13010028

