Protective Effects of Dexmedetomidine and Amifostine Against Radiotherapy-Induced Kidney Injury
Abstract
1. Introduction
2. Materials and Methods
2.1. Animals
2.2. Experimental Design
2.3. X-Irradiation Protocols
Biochemical Analysis
2.4. Measurement of Antioxidant Enzyme Activities
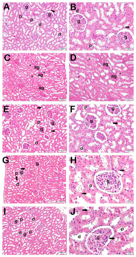
2.5. Histopathological Analysis
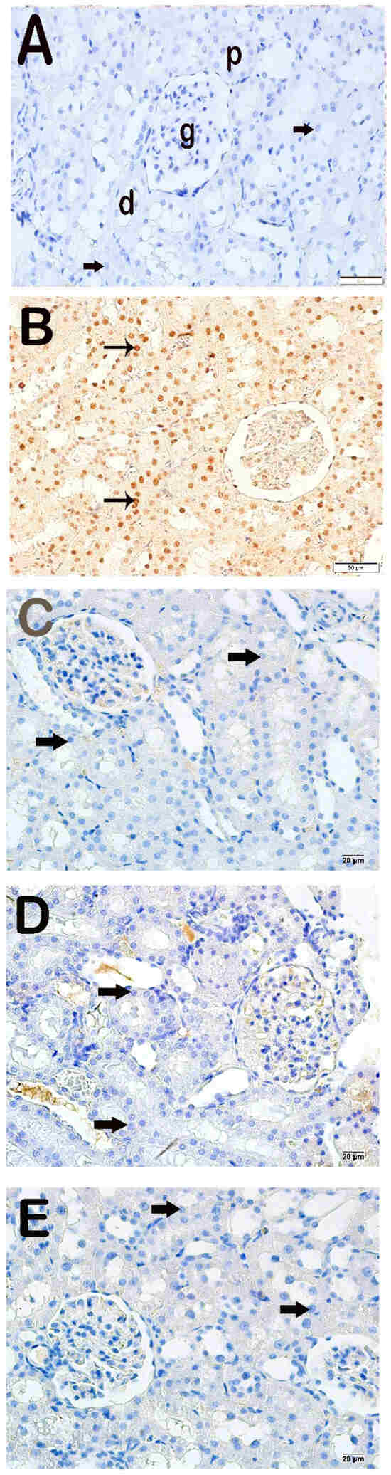
2.6. Immunohistochemical (IHC) Analysis
2.7. Semi-Quantitative Analysis
2.8. Statistical Analysis
3. Results
3.1. Biochemical Results
3.2. Histopathological Analysis
3.3. Semi-Quantitative Results
3.4. Immunohistochemical Results
4. Discussion
Author Contributions
Funding
Institutional Review Board Statement
Informed Consent Statement
Data Availability Statement
Conflicts of Interest
References
- Bray, F.; Ferlay, J.; Soerjomataram, I.; Siegel, R.L.; Torre, L.A.; Jemal, A. Global Cancer Statistics 2018: GLOBOCAN Estimates of Incidence and Mortality Worldwide for 36 Cancers in 185 Countries. CA A Cancer J. Clin. 2018, 68, 394–424. [Google Scholar] [CrossRef]
- Ferlay, J.; Soerjomataram, I.; Dikshit, R.; Eser, S.; Mathers, C.; Rebelo, M.; Parkin, D.M.; Forman, D.; Bray, F. Cancer Incidence and Mortality Worldwide: Sources, Methods and Major Patterns in GLOBOCAN 2012. Int. J. Cancer 2015, 136, E359–E386. [Google Scholar] [CrossRef] [PubMed]
- McGuire, S. World Cancer Report 2014. Geneva, Switzerland: World Health Organization, International Agency for Research on Cancer, WHO Press, 2015. Adv. Nutr. 2016, 7, 418–419. [Google Scholar] [CrossRef] [PubMed]
- Ward, T.H.; Gilbert, D.C.; Higginbotham, G.; Morris, C.M.; Speirs, V.; Curtin, N.J. Radiotherapy Biobanking: Current Landscape, Opportunities, Challenges, and Future Aspirations. J. Pathol. Clin. Res. 2021, 8, 3–13. [Google Scholar] [CrossRef] [PubMed]
- Schaue, D.; Mcbride, W.H. Opportunities and Challenges of Radiotherapy for Treating Cancer. Nat. Rev. Clin. Oncol. 2015, 12, 527–540. [Google Scholar] [CrossRef]
- Li, Q.B.; Li, L.; You, Y.; Chen, Z.C.; Xia, L.H.; Zou, P. A Comparative Study of Outcomes of Idarubicin- and Etoposide-Intensified Conditioning Regimens for Allogeneic Peripheral Blood Stem Cell Transplantation in Patients with High-Risk Acute Leukemia. Acta Pharmacol. Sin. 2009, 30, 1471–1478. [Google Scholar] [CrossRef][Green Version]
- Zhu, X.; Palmer, M.R.; Makrigiorgos, G.M.; Kassis, A.I. Solid-Tumor Radionuclide Therapy Dosimetry: New Paradigms in View of Tumor Microenvironment and Angiogenesis. Med. Phys. 2010, 37, 2974–2984. [Google Scholar] [CrossRef]
- Charnsangavej, C.; Cinqualbre, A.; Wallace, S. Radiation Changes in the Liver, Spleen, and Pancreas: Imaging Findings. Semin. Roentgenol. 1994, 29, 53–63. [Google Scholar] [CrossRef]
- Mane, S.D.; Kamatham, A.N. Ascorbyl Stearate and Ionizing Radiation Potentiate Apoptosis through Intracellular Thiols and Oxidative Stress in Murine T Lymphoma Cells. Chem.-Biol. Interact. 2018, 281, 37–50. [Google Scholar] [CrossRef]
- Klaus, R.; Niyazi, M.; Lange-Sperandio, B. Radiation-Induced Kidney Toxicity: Molecular and Cellular Pathogenesis. Radiat. Oncol. 2021, 16, 43. [Google Scholar] [CrossRef]
- Wei, J.; Wang, B.; Wang, H.; Meng, L.; Zhao, Q.; Li, X.; Xin, Y.; Jiang, X. Radiation-Induced Normal Tissue Damage: Oxidative Stress and Epigenetic Mechanisms. Oxidative Med. Cell. Longev. 2019, 2019, 3010342. [Google Scholar] [CrossRef] [PubMed]
- Lord, C.J.; Ashworth, A. The DNA Damage Response and Cancer Therapy. Nature 2012, 481, 287–294. [Google Scholar] [CrossRef]
- Abou-zeid, S.M.; El-bialy, B.E.; El-borai, N.B.; Abubakr, H.O. Radioprotective Effect of Date Syrup on Radiation-Induced Damage in Rats. Sci. Rep. 2018, 8, 7423. [Google Scholar] [CrossRef]
- Özyurt, H.; Çevik, Ö; Özgen, Z.; Özden, A.S.; Çadırcı, S.; Elmas, M.A.; Ercan, F.; Gören, M.Z.; Şener, G. Quercetin Protects Radiation-Induced DNA Damage and Apoptosis in Kidney and Bladder Tissues of Rats. Free Radic. Res. 2014, 48, 1247–1255. [Google Scholar] [CrossRef]
- Schüler, E.; Larsson, M.; Parris, T.Z.; Johansson, M.E.; Helou, K.; Forssell-Aronsson, E. Potential Biomarkers for Radiation-Induced Renal Toxicity Following 177Lu-Octreotate Administration in Mice. PLoS ONE 2015, 10, e0136204. [Google Scholar] [CrossRef]
- Withers, H.R.; Mason, K.A.; Thames, H.D. Late Radiation Response of Kidney Assayed by Tubule-Cell Survival. Br. J. Radiol. 1986, 59, 587–595. [Google Scholar] [CrossRef] [PubMed]
- Cassady, J.R. Clinical Radiation Nephropathy. Int. J. Radiat. Oncol. Biol. Phys. 1995, 31, 1249–1256. [Google Scholar] [CrossRef] [PubMed]
- Foster-Nora, J.A.; Siden, R. Amifostine for Protection from Antineoplastic Drug Toxicity. Am. J. Health-Syst. Pharm. 1997, 54, 787–800. [Google Scholar] [CrossRef]
- Fleischer, G.; Dörr, W. Amelioration of Early Radiation Effects in Oral Mucosa (Mouse) by Intravenous or Subcutaneous Administration of Amifostine. Strahlenther. Onkol. 2006, 182, 567–575. [Google Scholar] [CrossRef]
- Sasse, A.D.; De Oliveira Clark, L.G.; Sasse, E.C.; Clark, O.A.C. Amifostine Reduces Side Effects and Improves Complete Response Rate during Radiotherapy: Results of a Meta-Analysis. Int. J. Radiat. Oncol. Biol. Phys. 2006, 64, 784–791. [Google Scholar] [CrossRef]
- Ma, C.; Xie, J.; Jiang, Z.; Wang, G.; Zuo, S. Does Amifostine Have Radioprotective Effects on Salivary Glands in High-Dose Radioactive Iodine-Treated Differentiated Thyroid Cancer. Eur. J. Nucl. Med. Mol. Imaging 2010, 37, 1778–1785. [Google Scholar] [CrossRef] [PubMed]
- Brenner, W.; Kampen, W.U.; Brümmer, C.; Von Forstner, C.; Zuhayra, M.; Muhle, C.; Czech, N.; Henze, E. Myeloprotective Effects of Different Amifostine Regimens in Rabbits Undergoing High-Dose Treatment with 186rhenium-(Tin)1,1-Hydroxyethylidene Diphosphonate (186Re-HEDP). Cancer Biother. Radiopharm. 2003, 18, 887–893. [Google Scholar] [CrossRef]
- Naiki-Ito, A.; Asamoto, M.; Naiki, T.; Ogawa, K.; Takahashi, S.; Sato, S.; Shirai, T. Gap Junction Dysfunction Reduces Acetaminophen Hepatotoxicity with Impact on Apoptotic Signaling and Connexin 43 Protein Induction in Rat. Toxicol. Pathol. 2010, 38, 280–286. [Google Scholar] [CrossRef]
- Weerink, M.A.S.; Struys, M.M.R.F.; Hannivoort, L.N.; Barends, C.R.M.; Absalom, A.R.; Colin, P. Clinical Pharmacokinetics and Pharmacodynamics of Dexmedetomidine. Clin. Pharmacokinet. 2017, 56, 893–913. [Google Scholar] [CrossRef]
- Bao, N.; Tang, B. Organ-Protective Effects and the Underlying Mechanism of Dexmedetomidine. Mediat. Inflamm. 2020, 2020, 6136105. [Google Scholar] [CrossRef] [PubMed]
- Karahan, M.A.; Yalcin, S.; Aydogan, H.; Büyükfirat, E.; Kücük, A.; Kocarslan, S.; Yüce, H.H.; Taskın, A.; Aksoy, N. Curcumin and Dexmedetomidine Prevents Oxidative Stress and Renal Injury in Hind Limb Ischemia/Reperfusion Injury in a Rat Model. Ren. Fail. 2016, 38, 693–698. [Google Scholar] [CrossRef]
- Fu, C.; Dai, X.; Yang, Y.; Lin, M.; Cai, Y.; Cai, S. Dexmedetomidine Attenuates Lipopolysaccharide-Induced Acute Lung Injury by Inhibiting Oxidative Stress, Mitochondrial Dysfunction and Apoptosis in Rats. Mol. Med. Rep. 2017, 15, 131–138. [Google Scholar] [CrossRef]
- Ohkawa, H.; Ohishi, N.; Yagi, K. Assay for Lipid Peroxides in Animal Tissues by Thiobarbituric Acid Reaction. Anal. Biochem. 1979, 95, 351–358. [Google Scholar] [CrossRef] [PubMed]
- Ellman, G.L. Tissue Sulfhydryl Groups. Arch. Biochem. Biophys. 1959, 82, 70–77. [Google Scholar] [CrossRef]
- Mercantepe, F.; Topcu, A.; Rakici, S.; Tumkaya, L.; Yilmaz, A. The Effects of N-Acetylcysteine on Radiotherapy-Induced Small Intestinal Damage in Rats. Exp. Biol. Med. 2019, 244, 372–379. [Google Scholar] [CrossRef]
- Sung, M.J.; Kim, D.H.; Jung, Y.J.; Kang, K.P.; Lee, A.S.; Lee, S.; Kim, W.; Davaatseren, M.; Hwang, J.T.; Kim, H.J.; et al. Genistein Protects the Kidney from Cisplatin-Induced Injury. Kidney Int. 2008, 74, 1538–1547. [Google Scholar] [CrossRef] [PubMed]
- Elkady, A.A.; Ibrahim, I.M. Protective Effects of Erdosteine against Nephrotoxicity Caused by Gamma Radiation in Male Albino Rats. Hum. Exp. Toxicol. 2016, 35, 21–28. [Google Scholar] [CrossRef]
- Talebpour Amiri, F.; Hamzeh, M.; Naeimi, R.A.; Ghasemi, A.; Hosseinimehr, S.J. Radioprotective Effect of Atorvastatin against Ionizing Radiation-Induced Nephrotoxicity in Mice. Int. J. Radiat. Biol. 2018, 94, 106–113. [Google Scholar] [CrossRef]
- Yahyapour, R.; Motevaseli, E.; Rezaeyan, A.; Abdollahi, H.; Farhood, B.; Cheki, M.; Rezapoor, S.; Shabeeb, D.; Musa, A.E.; Najafi, M.; et al. Reduction-Oxidation (Redox) System in Radiation-Induced Normal Tissue Injury: Molecular Mechanisms and Implications in Radiation Therapeutics. Clin. Transl. Oncol. Off. Publ. Fed. Span. Oncol. Soc. Natl. Cancer Inst. Mex. 2018, 20, 975–988. [Google Scholar] [CrossRef]
- Yahyapour, R.; Shabeeb, D.; Cheki, M.; Musa, A.E.; Farhood, B.; Rezaeyan, A.; Amini, P.; Fallah, H.; Najafi, M. Radiation Protection and Mitigation by Natural Antioxidants and Flavonoids: Implications to Radiotherapy and Radiation Disasters. Curr. Mol. Pharmacol. 2018, 11, 285–304. [Google Scholar] [CrossRef] [PubMed]
- Jha, J.C.; Banal, C.; Chow, B.S.M.; Cooper, M.E.; Jandeleit-Dahm, K. Diabetes and Kidney Disease: Role of Oxidative Stress. Antioxid. Redox Signal. 2016, 25, 657–684. [Google Scholar] [CrossRef]
- Samarghandian, S.; Azimi-Nezhad, M.; Farkhondeh, T.; Samini, F. Anti-Oxidative Effects of Curcumin on Immobilization-Induced Oxidative Stress in Rat Brain, Liver and Kidney. Biomed. Pharmacother. 2017, 87, 223–229. [Google Scholar] [CrossRef] [PubMed]
- Mercantepe, T.; Topcu, A.; Rakici, S.; Tumkaya, L.; Yilmaz, A.; Mercantepe, F. The Radioprotective Effect of N-Acetylcysteine against x-Radiation-Induced Renal Injury in Rats. Environ. Sci. Pollut. Res. 2019, 26, 29085–29094. [Google Scholar] [CrossRef]
- Wang, Z.; Wu, J.; Hu, Z.; Luo, C.; Wang, P.; Zhang, Y.; Li, H. Dexmedetomidine Alleviates Lipopolysaccharide-Induced Acute Kidney Injury by Inhibiting P75NTR-Mediated Oxidative Stress and Apoptosis. Oxidative Med. Cell. Longev. 2020, 2020, 5454210. [Google Scholar] [CrossRef]
- Akpinar, H.; Akpinar, O. The Effects of Dexmedetomidine on Biomarkers of Oxidative Stress and Antioxidants in Kidney. Bratisl. Lek. Listy 2018, 119, 476–480. [Google Scholar] [CrossRef]
- Naeimi, R.A.; Talebpour Amiri, F.; Khalatbary, A.R.; Ghasemi, A.; Zargari, M.; Ghesemi, M.; Hosseinimehr, S.J. Atorvastatin Mitigates Testicular Injuries Induced by Ionizing Radiation in Mice. Reprod. Toxicol. 2017, 72, 115–121. [Google Scholar] [CrossRef] [PubMed]
- Yoshioka, N.; Nakashima, H.; Hosoda, K.; Eitaki, Y.; Shimada, N.; Omae, K. Urinary Excretion of an Oxidative Stress Marker, 8-Hydroxyguanine (8-OH-Gua), among Nickel-Cadmium Battery Workers. J. Occup. Health 2008, 50, 229–235. [Google Scholar] [CrossRef] [PubMed]
- Liu, C.M.; Ma, J.Q.; Sun, Y.Z. Quercetin Protects the Rat Kidney against Oxidative Stress-Mediated DNA Damage and Apoptosis Induced by Lead. Environ. Toxicol. Pharmacol. 2010, 30, 264–271. [Google Scholar] [CrossRef]
- Valko, M.; Rhodes, C.J.; Moncol, J.; Izakovic, M.; Mazur, M. Free Radicals, Metals and Antioxidants in Oxidative Stress-Induced Cancer. Chem.-Biol. Interact. 2006, 160, 1–40. [Google Scholar] [CrossRef] [PubMed]
- Chen, Y.; Feng, X.; Hu, X.; Sha, J.; Li, B.; Zhang, H.; Fan, H. Dexmedetomidine Ameliorates Acute Stress-Induced Kidney Injury by Attenuating Oxidative Stress and Apoptosis through Inhibition of the ROS/JNK Signaling Pathway. Oxidative Med. Cell. Longev. 2018, 2018, 4035310. [Google Scholar] [CrossRef]



| Type of Damage | Score | Findings |
|---|---|---|
| Deterioration of Brush Border Structure in Proximal Tubules | 0 | ≤5% |
| 1 | 6–25% | |
| 2 | 26–50% | |
| 3 | >50% | |
| Loss of tubular epithelial cells connections (debris accumulation in the lumen) | 0 | ≤5% |
| 1 | 6–25% | |
| 2 | 26–50% | |
| 3 | >50% | |
| Degenerative glomerulus | 0 | ≤5% |
| 1 | 6–25% | |
| 2 | 26–50% | |
| 3 | >50% |
| Group | MDA (nmol/mg Tissue) | GSH (nmol/mg Tissue) |
|---|---|---|
| Control | 0.74 ± 0.26 | 53.74 ± 2.65 |
| X-ray irradiation | 1.86 ± 0.27 a | 38.51 ± 1.94 a |
| X-ray irradiation + AMF | 0.86 ± 0.26 a,b | 47.55 ± 1.85 a,b |
| X-ray irradiation + Dex 100 mg | 0.81 ± 0.24 a,b | 47.75 ± 2.4 a,b |
| X-ray irradiation + Dex 200 mg | 0.82 ± 0.27 a,b | 50.25 ± 1.84 a,c |
| Brush Border Damage Score | Luminal Debris Accumulation Score | Degenerative Glomerulus Score | KHDS | |
|---|---|---|---|---|
| Control | 0.00 (0–0) | 0.00 (0–0) | 0.00 (0–0) | 0.50 (0–1) |
| X-irradiation | 2.50 (2–3) a | 2.00 (2–2) d | 2.00 (2–2) d | 6.50 (6–7) a |
| X-ray irradiation + AMF | 1.00 (0–1) b | 1.00 (0–1) e | 0.00 (0–1) f | 1.00 (1–3) c |
| X-ray irradiation + Dex 100 mg | 0.50 (0–1) b | 1.00 (0–1) e | 0.00 (0–1) f | 1.00 (1–2) c |
| X-ray irradiation + Dex 200 mg | 0.00 (0–1) c | 1.00 (0–1) e | 0.00 (0–0) g | 1.00 (1–1) c |
| Group | Cleaved Caspase-3 Positivity | 8-OHdG Positivity |
|---|---|---|
| Control | 0.00 (0–0) | 0.00 (0–1) |
| X-irradiation | 2.50 (2–3) a | 3.00 (2–3) a |
| X-ray irradiation + AMF | 0.50 (0–1) b | 1.00 (1–2) b |
| X-ray irradiation + Dex 100 mg | 0.00 (0–1) b | 0.00 (0–1) c |
| X-ray irradiation + Dex 200 mg | 0.00 (0–1) b | 0.00 (0–1) c |
Disclaimer/Publisher’s Note: The statements, opinions and data contained in all publications are solely those of the individual author(s) and contributor(s) and not of MDPI and/or the editor(s). MDPI and/or the editor(s) disclaim responsibility for any injury to people or property resulting from any ideas, methods, instructions or products referred to in the content. |
© 2025 by the authors. Licensee MDPI, Basel, Switzerland. This article is an open access article distributed under the terms and conditions of the Creative Commons Attribution (CC BY) license (https://creativecommons.org/licenses/by/4.0/).
Share and Cite
Batcik, S.; Tumkaya, L.; Dil, E.; Kazancioglu, L.; Gaygusuz, E.; Yazici, Z.A.; Ozden, Z.; Kilinc, K.; Mercantepe, T. Protective Effects of Dexmedetomidine and Amifostine Against Radiotherapy-Induced Kidney Injury. Life 2025, 15, 897. https://doi.org/10.3390/life15060897
Batcik S, Tumkaya L, Dil E, Kazancioglu L, Gaygusuz E, Yazici ZA, Ozden Z, Kilinc K, Mercantepe T. Protective Effects of Dexmedetomidine and Amifostine Against Radiotherapy-Induced Kidney Injury. Life. 2025; 15(6):897. https://doi.org/10.3390/life15060897
Chicago/Turabian StyleBatcik, Sule, Levent Tumkaya, Eyup Dil, Leyla Kazancioglu, Elif Gaygusuz, Zihni Acar Yazici, Zulkar Ozden, Kagan Kilinc, and Tolga Mercantepe. 2025. "Protective Effects of Dexmedetomidine and Amifostine Against Radiotherapy-Induced Kidney Injury" Life 15, no. 6: 897. https://doi.org/10.3390/life15060897
APA StyleBatcik, S., Tumkaya, L., Dil, E., Kazancioglu, L., Gaygusuz, E., Yazici, Z. A., Ozden, Z., Kilinc, K., & Mercantepe, T. (2025). Protective Effects of Dexmedetomidine and Amifostine Against Radiotherapy-Induced Kidney Injury. Life, 15(6), 897. https://doi.org/10.3390/life15060897

