Sign in to use this feature.

Years

Between: -

Subjects

remove_circle_outline
remove_circle_outline
remove_circle_outline
remove_circle_outline
remove_circle_outline
remove_circle_outline
remove_circle_outline
remove_circle_outline
remove_circle_outline

Journals

Article Types

Countries / Regions

Search Results (72)

Search Parameters:
Keywords = South Sumatra

Order results
Result details
Results per page
Select all
Export citation of selected articles as:
27 pages, 11839 KB  
Article
Impact of Tropical Climate Anomalies on Land Cover Changes in Sumatra’s Peatlands, Indonesia
by Agus Dwi Saputra, Muhammad Irfan, Mokhamad Yusup Nur Khakim and Iskhaq Iskandar
Sustainability 2026, 18(2), 919; https://doi.org/10.3390/su18020919 - 16 Jan 2026
Viewed by 199
Abstract
Peatlands play a critical role in global and regional climate regulation by functioning as long-term carbon sinks, regulating hydrology, and modulating land–atmosphere energy exchange. Intact peat ecosystems store large amounts of organic carbon and stabilize local climate through high water retention and evapotranspiration, [...] Read more.
Peatlands play a critical role in global and regional climate regulation by functioning as long-term carbon sinks, regulating hydrology, and modulating land–atmosphere energy exchange. Intact peat ecosystems store large amounts of organic carbon and stabilize local climate through high water retention and evapotranspiration, whereas peatland degradation disrupts these functions and can transform peatlands into significant sources of greenhouse gas emissions and climate extremes such as drought and fire. Indonesia contains approximately 13.6–40.5 Gt of carbon, around 40% of which is stored on the island of Sumatra. However, tropical peatlands in this region are highly vulnerable to climate anomalies and land-use change. This study investigates the impacts of major climate anomalies—specifically El Niño and positive Indian Ocean Dipole (pIOD) events in 1997/1998, 2015/2016, and 2019—on peatland cover change across South Sumatra, Jambi, Riau, and the Riau Islands. Landsat 5 Thematic Mapper and Landsat 8 Operational Land Imager/Thermal Infrared Sensor imagery were analyzed using a Random Forest machine learning classification approach. Climate anomaly periods were identified using El Niño-Southern Oscillation (ENSO) and IOD indices from the National Oceanic and Atmospheric Administration. To enhance classification accuracy and detect vegetation and hydrological stress, spectral indices including the Normalized Difference Vegetation Index (NDVI), Modified Soil Adjusted Vegetation Index (MSAVI), Normalized Difference Water Index (NDWI), and Normalized Difference Drought Index (NDDI) were integrated. The results show classification accuracies of 89–92%, with kappa values of 0.85–0.90. The 2015/2016 El Niño caused the most severe peatland degradation (>51%), followed by the 1997/1998 El Niño (23–38%), while impacts from the 2019 pIOD were comparatively limited. These findings emphasize the importance of peatlands in climate regulation and highlight the need for climate-informed monitoring and management strategies to mitigate peatland degradation and associated climate risks. Full article
(This article belongs to the Special Issue Sustainable Development and Land Use Change in Tropical Ecosystems)
Show Figures

Figure 1

18 pages, 3879 KB  
Article
Asphalt as a Plasticizer for Natural Rubber in Accelerated Production of Rubber-Modified Asphalt
by Bahruddin Ibrahim, Zuchra Helwani, Jahrizal, Nasruddin, Arya Wiranata, Edi Kurniawan and Anjar Siti Mashitoh
Constr. Mater. 2026, 6(1), 4; https://doi.org/10.3390/constrmater6010004 - 9 Jan 2026
Viewed by 192
Abstract
One of the main obstacles to producing natural rubber-modified asphalt is the difficulty of mixing Technical Specification Natural Rubber (TSNR) or its compounds with asphalt, leading to long mixing times and high costs. This study aims to evaluate the use of 60/70 penetration [...] Read more.
One of the main obstacles to producing natural rubber-modified asphalt is the difficulty of mixing Technical Specification Natural Rubber (TSNR) or its compounds with asphalt, leading to long mixing times and high costs. This study aims to evaluate the use of 60/70 penetration asphalt as a plasticizer to accelerate the mixing process and improve the rheological properties of modified asphalt using Technical Specification Natural Rubber (TSNR). The production process for technical specification natural rubber-modified asphalt involves two stages: the production of the technical specification natural rubber compound (CTSNR) and the production of CTSNR-based modified asphalt (CTSNRMA). The CTSNR production process begins with mastication of technical specification natural rubber (TSNR), followed by the addition of activators (zinc oxide, stearic acid), accelerators (Mercaptobenzothiazole sulfenamide (MBTS)), antioxidants (2,2,4-Trimethyl-1,2-dihydroquinoline (TMQ)), and 60/70 penetration asphalt as a plasticizer (at concentrations of 30%, 40%, and 50%). After homogeneous mixing for 30–60 min, the CTSNR is diluted 5–10 mm for the next mixing stage with hot asphalt at 160–170 °C. The best results of this study showed that CTSNR-modified asphalt with 4% rubber content and 50% plasticizer (CTSNRM-450) successfully reduced the mixing time to 16 min, making it more efficient than the traditional method, which takes up to 180 min. The addition of asphalt plasticizer decreased penetration to 35.6 dmm and increased the softening point to 55.4 °C. The CTSNRMA-440 formula, with 4% rubber content and 40% plasticizer, produced the best results in terms of storage stability, meeting the ASTM D5892 standard with a softening-point difference of 0.95 °C, which is well below the threshold of 2.2 °C. The CTSNRMA-440 sample achieved a Performance Grade (PG) of 76, suitable for hot-climate conditions, with a significant reduction in mixing time, greater stability, and increased resistance to high temperatures. Full article
(This article belongs to the Special Issue Advances in Sustainable Construction Materials for Asphalt Pavements)
Show Figures

Figure 1

18 pages, 12268 KB  
Article
Peat Hydrological Properties and Vulnerability to Fire Risk
by Budi Kartiwa, Setyono Hari Adi, Hendri Sosiawan, Setiari Marwanto, Maswar, Suratman, Bastoni, Andree Ekadinata, Wahyu Widiyono and Fahmuddin Agus
Fire 2026, 9(1), 24; https://doi.org/10.3390/fire9010024 - 31 Dec 2025
Viewed by 595
Abstract
Peatlands provide essential ecological services but are highly vulnerable to degradation from drainage, leading to greenhouse gas emissions, land subsidence, and increased fire susceptibility. This study investigates peat hydrology and its relationship to fire risk in a fire-prone area in South Sumatra, Indonesia. [...] Read more.
Peatlands provide essential ecological services but are highly vulnerable to degradation from drainage, leading to greenhouse gas emissions, land subsidence, and increased fire susceptibility. This study investigates peat hydrology and its relationship to fire risk in a fire-prone area in South Sumatra, Indonesia. Groundwater levels and soil moisture were continuously monitored using automated loggers, and recession analysis quantified their rates of decline. Multispectral drone imagery (NDVI, NDWI) over a 44.1-ha area assessed vegetation and surface wetness, while fire occurrences (2019–2024) were analyzed using the Fire Information for Resource Management System (FIRMS). During a 58-day dry period, groundwater depth reached 78.5 cm with a recession rate of 9.68 mm day−1, while soil moisture decreased by 0.00291 m3 m−3 per day over 27 consecutive dry days. Drone imagery revealed that unhealthy and dead grass covered nearly 90% of the site, although wetness remained moderate (NDWI = 0.02–0.58). FIRMS data indicated that rainfall below 2000 mm year−1 and prolonged dry spells (>30 days) strongly trigger peat fires. These findings correspond with early-warning model outputs based on soil moisture recession and ignition thresholds. Maintaining a high groundwater level is, therefore, crucial for reducing peat fire vulnerability under extended dry conditions. Full article
Show Figures

Figure 1

19 pages, 1055 KB  
Article
Analysis of Tax Compliance Levels for Regional Taxes in the Provinces of Indonesia
by Nella Ervina, Junaidi Junaidi, Zulgani Zulgani and Erni Achmad
Economies 2025, 13(12), 354; https://doi.org/10.3390/economies13120354 - 2 Dec 2025
Viewed by 2241
Abstract
This study examines how socialization costs, inspection costs, collection costs, motor vehicle tax rates (Pajak Kendaraan Bermotor, PKB), vehicle ownership transfer tax rates (Bea Balik Nama Kendaraan Bermotor, BBNKB), the Corruption Perception Index (CPI), and the Indonesian Digital Society Index (Indeks Masyarakat Digital [...] Read more.
This study examines how socialization costs, inspection costs, collection costs, motor vehicle tax rates (Pajak Kendaraan Bermotor, PKB), vehicle ownership transfer tax rates (Bea Balik Nama Kendaraan Bermotor, BBNKB), the Corruption Perception Index (CPI), and the Indonesian Digital Society Index (Indeks Masyarakat Digital Indonesia, IMDI) influence regional tax compliance across 34 provinces in Indonesia, using secondary data from 2020 to 2024. Guided by Fiscal Federalism, Tax Optimization Theory, and the Fischer Tax Compliance Model, the analysis integrates spatial regression and SWOT to capture both structural and spatial dynamics in provincial tax administration. The spatial error model reveals that socialization costs, PKB, and BBNKB significantly shape provincial tax compliance. At the same time, the other variables show no measurable effect. Spatial clustering indicates High–High compliance in Central Java, Low–Low compliance in South Sumatra and Lampung, and Low–High compliance in North Sumatra. The SWOT assessment places Indonesia’s provincial tax compliance strategy in Quadrant I, suggesting strong institutional capacity and substantial external opportunities to support aggressive improvement strategies. This study contributes by providing province-wide empirical evidence on the fiscal and administrative determinants of compliance and by incorporating collection costs and spatial relationships into the analysis. Policy implications include strengthening targeted socialization, improving rate-setting mechanisms, and expanding digital reporting systems to enhance taxpayer understanding and administrative transparency. Full article
(This article belongs to the Section Economic Development)
Show Figures

Figure 1

14 pages, 3490 KB  
Article
Growth Performance of Tamanu (Calophyllum inophyllum L.) in Relation to Peatland Restoration in South Sumatra and Central Kalimantan, Indonesia
by A-Ram Yang, Eunho Choi, Hyunyoung Yang, Jumi Cha and Novisari Wahyuni
Forests 2025, 16(11), 1740; https://doi.org/10.3390/f16111740 - 18 Nov 2025
Viewed by 516
Abstract
Peatlands store approximately 30% of global terrestrial carbon, and tropical peatlands contribute 10%–30% of the total peatland carbon storage. Indonesia holds approximately 15% of this resource. Given the rapid degradation of these ecosystems, the Indonesian government has promoted revegetation, identifying Calophyllum inophyllum L. [...] Read more.
Peatlands store approximately 30% of global terrestrial carbon, and tropical peatlands contribute 10%–30% of the total peatland carbon storage. Indonesia holds approximately 15% of this resource. Given the rapid degradation of these ecosystems, the Indonesian government has promoted revegetation, identifying Calophyllum inophyllum L. (Tamanu) as a promising restoration species. However, long-term studies on Tamanu performance and optimal environmental conditions in actual peatland settings are lacking. This study aimed to identify the environmental characteristics conducive to Tamanu growth. We planted Tamanu at Perigi in South Sumatra and Buntoi in Central Kalimantan and monitored its growth over a five-year period. We assessed the soil properties and hydrological conditions at both sites. Results revealed that Tamanu trees at the Perigi site, with higher soil nutrient levels, initially exhibited greater root collar diameter, height, and stem volume compared to those at Buntoi. However, prolonged flooding in Perigi caused complete mortality at 60 months. In contrast, despite lower soil nutrient levels, the Buntoi site maintained a survival rate of 52% because of the more stable water levels. These findings suggest that hydrological management is more critical than soil nutrient conditions for the long-term survival of Tamanu in tropical peatlands, informing effective peatland restoration strategies. Full article
(This article belongs to the Special Issue Climate Change Effects on Forest and Peatland Ecosystems)
Show Figures

Figure 1

19 pages, 2812 KB  
Article
Elemental Stoichiometry of Tropical Peatland Trees: Implications for Adaptation and Carbon Sequestration
by Moh Syukron Ismail, Sulistijorini Sulistijorini, Mafrikhul Muttaqin, Zakaria Al Anshori, Muhammad Rifki Rizaldi, Lahiru Wijedasa, Jared Moore, Randi Agusti, Sanjay Swarup and Triadiati Triadiati
Forests 2025, 16(9), 1379; https://doi.org/10.3390/f16091379 - 28 Aug 2025
Viewed by 1142
Abstract
Indonesia has 13.43 million hectares of tropical peatlands, the largest in Southeast Asia, which are crucial for carbon sequestration. This function is influenced by vegetation nutrient content, particularly carbon (C), nitrogen (N), phosphorus (P), and potassium (K), which regulate biogeochemical cycles and peat [...] Read more.
Indonesia has 13.43 million hectares of tropical peatlands, the largest in Southeast Asia, which are crucial for carbon sequestration. This function is influenced by vegetation nutrient content, particularly carbon (C), nitrogen (N), phosphorus (P), and potassium (K), which regulate biogeochemical cycles and peat formation. This study analyzed stoichiometric profiles of tree species in South Sumatra peatlands based on (1) C:N ratios across roots, stems, twigs, and leaves, and identified species with traits associated with high carbon sequestration potential, and (2) leaf N:P:K stoichiometry to infer nutrient limitations. Research was conducted in a 1-hectare primary peatland plot within the PT. Tri Pupa Jaya conservation area. C, N, P, and K contents were measured using Kjeldahl distillation, spectrophotometry, flame photometry, and the Walkley–Black method following acid digestion. Stoichiometric distribution was visualized with violin-box plots and species grouped through hierarchical clustering. Among 153 identified species, stems showed the highest mean C:N ratio (314.9 ± 210.8), while leaves had the lowest (29.7 ± 13.0). Species were grouped into three clusters by C:N ratios across four organs, with six in clusters 1 and 2 showing high carbon sequestration potential. Leaf N:P:K stoichiometry suggested nitrogen, phosphorus, or combined N + P limitations. Full article
(This article belongs to the Section Forest Soil)
Show Figures

Figure 1

35 pages, 37595 KB  
Article
Maritime Links Between China, Sumatra, the Malay Peninsula, and Buddhist Monasteries in India (c. 11th–12th Centuries) in the Light of Two Fragmentary Inscribed Strips of Copper from Muara Jambi
by Wahyu Rizky Andhifani, Hedwi Prihatmoko, Andrea Acri, Arlo Griffiths, Mathilde Mechling and Gregory Sattler
Religions 2025, 16(6), 664; https://doi.org/10.3390/rel16060664 - 23 May 2025
Cited by 1 | Viewed by 7830
Abstract
This article explores the maritime connections relating to Buddhism and diplomacy between polities in Sumatra, the Malay Peninsula, the Indian subcontinent, and China from the beginning of the 11th century up to the 12th century CE. It focuses on new epigraphic evidence from [...] Read more.
This article explores the maritime connections relating to Buddhism and diplomacy between polities in Sumatra, the Malay Peninsula, the Indian subcontinent, and China from the beginning of the 11th century up to the 12th century CE. It focuses on new epigraphic evidence from Muara Jambi in the form of two inscribed strips of copper mentioning the Cūḍāmaṇivarmavihāra, a monastery funded by the king of Śrīvijaya in Nagapattinam (South India), and the Bālādityavihāra, probably located in Nālandā (Northeastern India). These new findings are compared to archaeological and textual materials from elsewhere in the Buddhist world that cast light on the web of transregional connections between Nusantara, China, and India in the early centuries of the second millennium. Full article
Show Figures

Figure 1

19 pages, 2280 KB  
Review
Addressing Stunting in Children Under Five: Insights and Opportunities from Nepal, Bangladesh, and Vietnam—A Review of Literature
by Muhammad Yazid Jalaludin, Moretta Damayanti Fauzi, I Gusti Lanang Sidiartha, Collins John, Shamira Aviella, Edy Novery, Annisa Permatasari and Leilani Muhardi
Children 2025, 12(5), 641; https://doi.org/10.3390/children12050641 - 16 May 2025
Cited by 2 | Viewed by 5357
Abstract
Background: Stunting remains a significant global health issue, particularly in low- and middle-income countries (LMICs). Globally, around 22% of children under five are affected, with high rates persisting in South and Southeast Asia. This review examines government-led programs in high-performing LMICs (Nepal, [...] Read more.
Background: Stunting remains a significant global health issue, particularly in low- and middle-income countries (LMICs). Globally, around 22% of children under five are affected, with high rates persisting in South and Southeast Asia. This review examines government-led programs in high-performing LMICs (Nepal, Bangladesh, and Vietnam) to identify key strategies and opportunities for effective intervention. Methods: A literature search was conducted on PubMed using keywords and Medical Subject Heading terms, including “stunting”, “child undernutrition”, “malnutrition” and the names of the three specified countries. Articles were evaluated for relevance based on their focus on stunting prevalence, risk factors, and interventions in these countries, without restrictions on publication date or language. Results: Stunting prevalence among children under five has significantly declined in Nepal, Bangladesh, and Vietnam over the past two decades, reflecting the impact of sustained nutrition and health interventions. Nepal reduced stunting from 55.8% in 2000 to 26.7% in 2022, Bangladesh from 54.7% to 26.4%, and Vietnam from 41.5% to 19.3%. Successful strategies included multisectoral approaches integrating nutrition-specific and nutrition-sensitive interventions, enhanced policy frameworks, and strong governance. Despite progress, challenges remain, such as high wasting prevalence in Nepal and disparities among marginalized communities in Vietnam, emphasizing the need for targeted, context-specific interventions. Conclusions: Effective stunting reduction requires multisectoral strategies addressing underlying, intermediate, and immediate determinants. Insights from Nepal, Bangladesh, and Vietnam highlight the importance of sustained government commitment, robust policies, and coordinated interventions. Adapting these successful strategies to local contexts can support stunting prevention and management, promoting healthier and more resilient communities. Full article
(This article belongs to the Section Global Pediatric Health)
Show Figures

Figure 1

25 pages, 6362 KB  
Article
Assessing Climate Change Impacts on Cropland and Greenhouse Gas Emissions Using Remote Sensing and Machine Learning
by Nehir Uyar and Azize Uyar
Atmosphere 2025, 16(4), 418; https://doi.org/10.3390/atmos16040418 - 3 Apr 2025
Cited by 9 | Viewed by 2495
Abstract
This study investigated the impact of grassland and cropland expansion on carbon (C) and nitrous oxide (N2O) emissions using remote sensing data and machine learning models. The research focused on agricultural land-use changes in South Sumatra from 1992 to 2018, utilizing [...] Read more.
This study investigated the impact of grassland and cropland expansion on carbon (C) and nitrous oxide (N2O) emissions using remote sensing data and machine learning models. The research focused on agricultural land-use changes in South Sumatra from 1992 to 2018, utilizing Landsat satellite imagery and Google Earth Engine (GEE) for spatial and temporal analysis. Machine learning algorithms, including gradient boosting trees (GBT), random forest (RF), support vector machines (SVM), and classification and regression trees (CART), were employed to estimate greenhouse gas emissions based on multiple environmental parameters. These parameters include enhanced vegetation index (EVI), land surface temperature (LST), normalized difference vegetation index (NDVI), albedo, elevation, humidity, population density, precipitation, soil moisture, and wind speed. The results revealed a strong correlation between agricultural expansion and increased C and N2O emissions, with RF and GBT models demonstrating superior predictive accuracy. Specifically, GBT and RF achieved the highest R2 value (0.71, 0.59) and the lowest error metrics in modeling emissions, whereas SVM performed poorly across all cases. The study highlights the effectiveness of machine learning in quantifying emission dynamics and underscores the necessity of sustainable land management strategies to mitigate greenhouse gas emissions. By integrating remote sensing and data-driven methodologies, this research contributes to climate change mitigation policies and precision agriculture strategies aimed at balancing food security and environmental sustainability. Full article
(This article belongs to the Special Issue Observation of Climate Change and Cropland with Satellite Data)
Show Figures

Figure 1

13 pages, 17350 KB  
Article
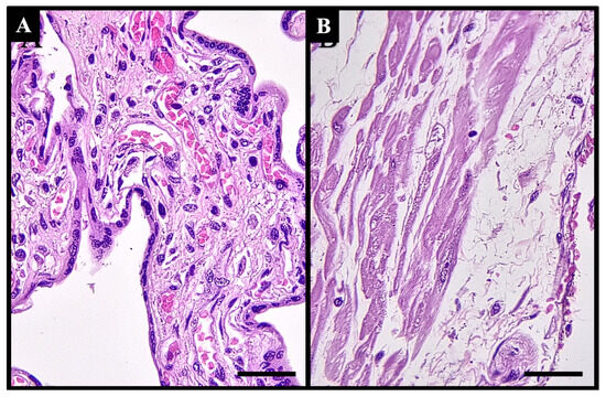
The Role of CXCR2, MMP-2, and MMP-9 in the Pathogenesis of Placenta Accreta: A Molecular Expression Study
by Putri Mirani, Krisna Murti, Peby Maulina Lestari, Iche Andriyani Liberty, Cindy Kesty, Hana Andrina and Bella Stevanny
Medicina 2025, 61(3), 461; https://doi.org/10.3390/medicina61030461 - 6 Mar 2025
Cited by 3 | Viewed by 1474
Abstract
Background and Objectives: The pathogenesis of placenta accreta spectrum disorder (PASD) is influenced by the inflammatory process. Therefore, the examination of biomarkers related to the inflammatory process, namely matrix metalloproteinase (MMP) and CXC motif chemokine receptor 2 (CXCR2), is expected to bring [...] Read more.
Background and Objectives: The pathogenesis of placenta accreta spectrum disorder (PASD) is influenced by the inflammatory process. Therefore, the examination of biomarkers related to the inflammatory process, namely matrix metalloproteinase (MMP) and CXC motif chemokine receptor 2 (CXCR2), is expected to bring researchers to a bright spot regarding the pathogenesis of PASD. This study analyzes the role of CXCR2, MMP-2, and MMP-9 in the pathogenesis of PASD. Materials and Methods: An observational study with a case–control design was conducted to assess differences in the mean density of CXCR2, MMP-2, and MMP-9 immunostaining in placental and uterine tissue in 17 patients with PASD and 34 patients without PASD at the Department of Obstetrics and Gynecology, Dr. Mohammad Hoesin Hospital Palembang. The expression of CXCR2, MMP-2, and MMP-9 was measured by immunohistochemistry analysis. The data were analyzed using STATA version 15. Results: There were no significant differences in the mean levels of MMP-2 expression in patients with and without PASD. There were significant differences in the expression of placental CXCR2 (p = 0.003), uterine CXCR2 (p < 0.001), and uterine MMP-9 (p = 0.018) in patients with and without PASD. Conclusions: CXCR2 and MMP-9 may play a role in the pathogenesis of PASD. Full article
(This article belongs to the Section Obstetrics and Gynecology)
Show Figures

Figure 1

15 pages, 6613 KB  
Article
Observations and Numerical Modelling of the Sumatra Tsunami of 28 March 2005
by Alisa Medvedeva and Alexander Rabinovich
J. Mar. Sci. Eng. 2025, 13(2), 290; https://doi.org/10.3390/jmse13020290 - 4 Feb 2025
Cited by 1 | Viewed by 1814
Abstract
On 28 March 2005, a major Mw 8.6 earthquake occurred near Nias and Simeulueislands, in the vicinity of northwestern Sumatra (Indonesia). The earthquake generated a significant tsunami. Although it was not as destructive as the 2004 Sumatra tsunami, the 2005 event was [...] Read more.
On 28 March 2005, a major Mw 8.6 earthquake occurred near Nias and Simeulueislands, in the vicinity of northwestern Sumatra (Indonesia). The earthquake generated a significant tsunami. Although it was not as destructive as the 2004 Sumatra tsunami, the 2005 event was of sufficient strength to be recorded by tide gauges throughout the entire Indian Ocean. We selected 12 records for analysis, most from open-ocean islands but also some from continental stations. The maximum wave heights were measured at Salalah (Oman) (87 cm), Colombo (Sri Lanka), Pointe La Rue (Seychelles) and Rodrigues Island (53–54 cm). The dominant wave periods, estimated from frequency–time (f-t) diagrams, were 60–66 min, 40–48 min, and 20 min, which we assume are associated with the 2005 tsunami source. From the same stations, we calculated the mean ratio of the 2004 to 2005 tsunami heights as 5.11 ± 0.60, with the maximum and minimum heights to the west and south of the source region as 9.0 and 2.49, respectively. We also used these data to estimate the mean energy index, E0 = 65 cm2, for the 2005 tsunami, which was 16 times smaller than for the 2004 event. The USGS seismic solution was used to construct a numerical model of the 2005 tsunami and to simulate the tsunami waveforms for all 12 tide gauge stations. The results of the numerical computations were in general agreement with the observations and enabled us to map the spatial wave field of the event. To estimate the influence of location and orientation of the source area on the propagating tsunami waves, we undertook a set of additional numerical experiments and found that this influence is substantial and that these factors explain some of the differences between the physical properties of the 2004 and 2005 events. Full article
(This article belongs to the Section Physical Oceanography)
Show Figures

Figure 1

26 pages, 25931 KB  
Article
Vajravārāhī in Khara Khoto and Prajñāpāramitā in East Java: Connected by Pearl Ornaments
by Lesley S Pullen
Religions 2025, 16(1), 84; https://doi.org/10.3390/rel16010084 - 15 Jan 2025
Viewed by 3346
Abstract
This research, situated in the geographical and historical context of the Tangut and East Java, uncovers a significant aspect of the evolution of Buddhist art styles. A thangka of the goddess Vajravārāhī found in Khara Khoto, dated to the late 12th century, shows [...] Read more.
This research, situated in the geographical and historical context of the Tangut and East Java, uncovers a significant aspect of the evolution of Buddhist art styles. A thangka of the goddess Vajravārāhī found in Khara Khoto, dated to the late 12th century, shows the bodhisattva decorated with a pearl-chain girdle and upper-arm bands. This form of pearl-chain jewellery, which appears on Vajravārāhī and other Sino-Tibetan-style bodhisattvas, also appears on three stone statues of the goddess Prajñāpāramitā in East Java, all of which depict a near identical use of this pearl-chain ornamentation, as well as on a statue of Prajñāpāramitā at the Muara Jambi Buddhist site in Sumatra. Maritime trade between the regions of China and Java was extensive. The commonality of such motifs in China and Java may highlight a convergence of cultural forces and perhaps shared styles originating from the maritime realm and traded via maritime routes; however, a direct or indirect influence of Sino-Tibetan styles on thangka paintings featuring this depiction of the jewellery perhaps occurred following dynamics of north–south exchange, highlighting the interrelated links along maritime and overland routes through the Pāla Buddhist kingdom in eastern India. Thus, I propose that the connection between the Vajravārāhī and other Tibetan thangka paintings was inspired by Northeast Indian influence from the Hexi corridor, eventually reaching East Java. Full article
Show Figures

Figure 1

27 pages, 578 KB  
Article
Temple Diplomacy, Sacred Rites, and Overseas Chinese During the Reign of Song Emperor Zhenzong (997–1022)
by Gregory Sattler
Religions 2024, 15(11), 1401; https://doi.org/10.3390/rel15111401 - 18 Nov 2024
Cited by 3 | Viewed by 3990
Abstract
Throughout most of Chinese history, leaders viewed the migration and movement of their subjects beyond state borders as a symptom of poor governance. As a result, record keepers generally avoided addressing the topic of Chinese people traveling or residing overseas. There is, however, [...] Read more.
Throughout most of Chinese history, leaders viewed the migration and movement of their subjects beyond state borders as a symptom of poor governance. As a result, record keepers generally avoided addressing the topic of Chinese people traveling or residing overseas. There is, however, an exceptional moment in Chinese history that provides valuable insight into the early establishment of Chinese communities abroad. Facing political pressure after signing a humiliating peace treaty with foreign adversaries in 1005, the Song dynasty emperor Zhenzong (968–1022, r. 997–1022) utilized unconventional forms of religious diplomacy and revived ancient rites to shore up support for his rule. The Feng and Shan rites were the highest level of sacrifice that an emperor could undertake, and they were only carried out by several emperors prior to Zhenzong’s reign. One of the requirements of this complex ritual was for the sovereign to attract foreign peoples from afar by his virtuous character, and so Zhenzong’s reign witnessed major initiatives to attract foreign envoys from states such as Srivijaya (Sumatra), Dai Viet (northern Vietnam), Japan, and India. Zhenzong’s reign also incorporated forms of diplomacy that originated in South and Southeast Asia, namely, the construction of temples in foreign states to enhance his spiritual authority. This essay will demonstrate that Emperor Zhenzong relied on Chinese merchants residing overseas to work with foreign leaders to coordinate the participation of foreign emissaries in such forms of temple diplomacy and in the Feng and Shan sacrifices. The significance of these events brought the activities of Chinese people trading and residing overseas to the attention of the Song court and its chroniclers, and as a result, we are left with the earliest indications of Chinese communities abroad in official Chinese histories. Full article
23 pages, 903 KB  
Article
High-Involvement Human Resource Management Practices and Employee Resilience: The Mediating Role of Employee Technology Adaptation—A Case Study of South Sumatra
by Afriyadi Cahyadi, Taufiq Marwa, József Poór, Ahmad Maulana and Katalin Szabó
Adm. Sci. 2024, 14(11), 292; https://doi.org/10.3390/admsci14110292 - 6 Nov 2024
Cited by 5 | Viewed by 5278
Abstract
In the post-COVID-19 era, the need for a resilient workforce to maintain a competitive advantage has become increasingly critical. Despite advancements, there is a research gap in understanding how employee resilience is influenced by high-involvement human resource management practices and employee technology adaptation. [...] Read more.
In the post-COVID-19 era, the need for a resilient workforce to maintain a competitive advantage has become increasingly critical. Despite advancements, there is a research gap in understanding how employee resilience is influenced by high-involvement human resource management practices and employee technology adaptation. This study addresses this gap by developing and empirically testing a mediation model linking to employee technology adaptation and resilience. Theoretical frameworks include the resource-based view, human co-adaptation, and positive organizational behavior. A cross-sectional survey of 322 employees from small and medium enterprises in South Sumatra was conducted. Structural equation modeling was used to analyze the mediating role of employee technology adaptation in the relationship between high-involvement human resource management practices and employee resilience. The results indicate that high-involvement human resource management practices positively affects both technology adaptation and resilience. Employee technology adaptation partially mediates this relationship. The findings offer practical insights for human resource managers, suggesting that fostering technology adaptation through high-involvement human resource management practices can enhance employee resilience. This study concludes with a discussion on the theoretical and practical implications contributing to the development of small and medium enterprises in the digital era post COVID-19. Full article
(This article belongs to the Special Issue Human Resource Management Innovation and Practice in a Digital Age)
Show Figures

Figure 1

13 pages, 2573 KB  
Article
Growth and Biomass Yield of Grey Sedge (Lepironia articulata Retz. Domin) under Different Shoot-Cutting Intervals in a Tropical Peatland
by Erizal Sodikin, Irmawati Irmawati, Rujito A. Suwignyo, Entis S. Halimi, Marudut Tampubolon, A-Ram Yang, Hyunyoung Yang and Himlal Baral
Sustainability 2024, 16(20), 8896; https://doi.org/10.3390/su16208896 - 14 Oct 2024
Viewed by 2012
Abstract
Grey sedge (Lepironia articulata Retz. Domin) is a plant endemic to tropical peatlands and is widely used as a handicraft and biodegradable product that brings income to local farmers. However, its habitat has been decreasing due to peatland degradation, which has forced [...] Read more.
Grey sedge (Lepironia articulata Retz. Domin) is a plant endemic to tropical peatlands and is widely used as a handicraft and biodegradable product that brings income to local farmers. However, its habitat has been decreasing due to peatland degradation, which has forced local farmers to harvest L. articulata repeatedly in the same habitat. To examine the effects of repeated shoot cutting at different time intervals on L. articulata growth and biomass yield, a mesocosm experiment was conducted from June 2019 to March 2020 in a tropical peatland in Perigi village, Ogan Ilir District, South Sumatra, Indonesia, using a randomized block design with four treatments and three replicates. The treatments were as follows: P1 (cutting every 1 month), P2 (cutting every 2 months), P3 (cutting every 3 months), and P4 (cutting at 6-months). The results showed that P1 significantly reduced monthly shoot height, shoot diameter, shoot number, dry biomass, cumulative shoot number, and cumulative dry biomass. In contrast, considering L. articulata‘s regenerative growth, the growth and cumulative biomass yield of P3 (1453.5 ± 518.4 g m−2) were as good as those of P4. These results indicate that the harvesting interval should be longer than 3 months for the sustainable use of L. articulata in tropical peatlands without damaging its regenerative ability. Full article
(This article belongs to the Section Sustainability, Biodiversity and Conservation)
Show Figures

Figure 1

Back to TopTop