Sign in to use this feature.

Years

Between: -

Subjects

remove_circle_outline
remove_circle_outline
remove_circle_outline
remove_circle_outline
remove_circle_outline
remove_circle_outline
remove_circle_outline
remove_circle_outline
remove_circle_outline

Journals

remove_circle_outline
remove_circle_outline
remove_circle_outline
remove_circle_outline
remove_circle_outline
remove_circle_outline
remove_circle_outline
remove_circle_outline

Article Types

Countries / Regions

remove_circle_outline
remove_circle_outline
remove_circle_outline
remove_circle_outline
remove_circle_outline
remove_circle_outline
remove_circle_outline

Search Results (504)

Search Parameters:
Keywords = Q355 angles

Order results
Result details
Results per page
Select all
Export citation of selected articles as:
20 pages, 4209 KB  
Article
Investigation of Acoustic Resonances Control of a Nose Landing Gear Cavity Using an Acoustic Eigenvalue Solver
by Yifeng Sun, Peiqing Liu, Bréard Cyrille and Hao Guo
Symmetry 2026, 18(3), 494; https://doi.org/10.3390/sym18030494 - 13 Mar 2026
Viewed by 115
Abstract
This study aims to address the acoustic resonance control problem of a three-dimensional nose landing gear (NLG) cavity. We propose a refined numerical approach based on an eigenvalue solver for the Helmholtz equation. A high-order finite element method (FEM) combined with perfectly matched [...] Read more.
This study aims to address the acoustic resonance control problem of a three-dimensional nose landing gear (NLG) cavity. We propose a refined numerical approach based on an eigenvalue solver for the Helmholtz equation. A high-order finite element method (FEM) combined with perfectly matched layer (PML) boundary conditions was employed to accurately capture complex eigenmodes. The radiation damping characteristics of the system were then quantitatively characterized using the quality factor (Q-factor) and resonance frequency. Results indicate that the Helmholtz-type (0,0,0) mode dominates the cavity’s resonance response, with its frequency coinciding with the shear layer-driven Rossiter mode. This study reveals a strong coupling mechanism with the shear-layer-driven Rossiter mode at Mach 0.57, confirming that this interaction is the primary driver of cavity aeroacoustic tonal noise. Taking radiation damping as the core design parameter, a systematic sensitivity analysis was conducted on geometric modifications: aft door length, front door angle, cavity volume, and the introduction of a longitudinal gap. Key findings: shortening the aft door reduces the resonance peak by 8.5 dB; introducing a longitudinal gap with a 10% width reduces the Q-factor by approximately 50%; a combined control strategy (2.5% gap width and 6% cavity volume reduction) achieves 4.9 dB of noise attenuation. Finally, this study establishes a validated acoustic-damping control framework, providing quantitative design criteria and technical guidance for aeroacoustic noise control of NLG cavities. Full article
(This article belongs to the Section Physics)
Show Figures

Figure 1

16 pages, 2251 KB  
Article
Linking Leaf Angle to Physiological Responses for Drought Stress Detection: Case Study on Quercus acutissima Carruth. in Forest Nursery
by Ukhan Jeong, Dohee Kim, Sohyun Kim, Jiyeon Park, Seung Hyun Han and Eun Ju Cheong
Forests 2026, 17(3), 348; https://doi.org/10.3390/f17030348 - 10 Mar 2026
Viewed by 121
Abstract
Due to climate change, seedling damage caused by drought stress is expected to increase in both afforestation sites and nurseries. Therefore, to ensure stable seedling production under high-temperature conditions and to cultivate seedlings with enhanced drought tolerance through hardening treatments, the development of [...] Read more.
Due to climate change, seedling damage caused by drought stress is expected to increase in both afforestation sites and nurseries. Therefore, to ensure stable seedling production under high-temperature conditions and to cultivate seedlings with enhanced drought tolerance through hardening treatments, the development of an effective irrigation system is required. Conventional physiological methods for non-destructive drought detection, such as chlorophyll fluorescence and leaf temperature measurements, require expensive and manual operation, thereby limiting their real-time applicability in forest nurseries. This study evaluated the applicability of using image-based leaf angle measurements for drought stress detection in Quercus acutissima Carruth. seedlings. One-year-old seedlings were grown under two water regimes—well-watered (CT: control) and unwatered (DT: drought)—through Day 8. Statistical analyses (RMANOVA) revealed that changes in the leaf angle parameter PMD–MD (the difference between the previous and current measurement days) showed treatment effects similar to those of the physiological responses ΦNO (quantum yield of non-regulated energy dissipation) and qL (fraction of open PSII reaction centers) to drought on Day 6. Leaf angle reflected drought stress but did not precede physiological changes, indicating its role as a complementary rather than an early indicator. Multiple regression models identified AT (air temperature), SM (soil moisture), Fm′ (maximum fluorescence in the light-adapted state), and VPD (vapor pressure deficit) as the main factors influencing leaf angle variation. Although leaf angle was affected by combined environmental stresses such as high temperature, it was less sensitive to heat stress than physiological responses based on RMANOVA results. These results indicate the potential of image-based leaf angle measurements for drought stress detection. To establish plant-based smart irrigation systems, future studies should validate and refine this approach using larger datasets. Full article
Show Figures

Figure 1

13 pages, 3192 KB  
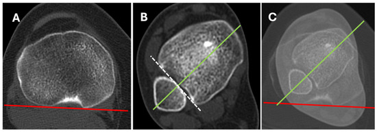
Review
Anterior Knee Pain and Excessive External Tibial Torsion in Female Patients: Rationale and Outcomes of Rotational Tibial Osteotomy
by Vicente Sanchis-Alfonso, Jesus Castellano-Curado, Erik Montesinos-Berry, Santiago Ferrer-Piquer and Robert A. Teitge
J. Clin. Med. 2026, 15(5), 2015; https://doi.org/10.3390/jcm15052015 - 6 Mar 2026
Viewed by 180
Abstract
Excessive external tibial torsion (ETT) is a recognized cause of anterior knee pain (AKP). In patients with excessive ETT, placing the foot forward during gait causes the knee joint to point inward, increasing the Q-angle and the lateral quadriceps vector. In appropriately selected [...] Read more.
Excessive external tibial torsion (ETT) is a recognized cause of anterior knee pain (AKP). In patients with excessive ETT, placing the foot forward during gait causes the knee joint to point inward, increasing the Q-angle and the lateral quadriceps vector. In appropriately selected cases, internal rotational tibial osteotomy is a reliable treatment option for symptomatic excessive ETT, yielding favorable outcomes with minimal complications. Nevertheless, no universally accepted torsion threshold exists to guide surgical decision-making, and evidence remains limited regarding the optimal anatomic level for performing the osteotomy. Full article
(This article belongs to the Section Orthopedics)
Show Figures

Figure 1

26 pages, 10580 KB  
Article
Investigations and Improvement of the Joint Between Narrow Steel Beams and CFST Columns
by Neng-Ming Cheng, Yao-Lin Zhang, Ke-Jun Li, Ming-Yuan Chang, Hua-Jian Jin, Tian Chu, Wen-Bo Li and Rong Zhang
Buildings 2026, 16(5), 1028; https://doi.org/10.3390/buildings16051028 - 5 Mar 2026
Viewed by 138
Abstract
In this paper, the forked-web joint configuration was introduced first, in order to transfer the shear and moment forces better and avoid the local buckling problem that usually happens in narrow steel beams and concrete-filled steel tubular (CFST) column joints. Experiments including three [...] Read more.
In this paper, the forked-web joint configuration was introduced first, in order to transfer the shear and moment forces better and avoid the local buckling problem that usually happens in narrow steel beams and concrete-filled steel tubular (CFST) column joints. Experiments including three specimens of that joint were then conducted, considering different axial compression ratios of the column. The test results indicated that no failure phenomenon happened to the proposed joint when the equivalent rotational angle was no more than 1/50. However, the final failure mode of each specimen was still local buckling and tearing failure of beam flanges due to the excessively large stress. Finally, based on the tests and FEA results, a corresponding improvement, including a single-web configuration with U-shape and triangular stiffeners, was thus brought forward and numerically verified in terms of rotational stiffness, failure mode, and the hysteretic curve. The FEA results revealed that the rotational stiffness of the proposed single-web joint with triangular stiffeners for beams and U-shape stiffeners for CFST columns efficiently increased from 0.87 to 3.83, and it was almost twice that of the narrow beam-column joint with internal horizontal diaphragms. Moreover, the previous undesirable tearing failure mode was finally avoided by adopting high-strength steel Q550 for the joint beam part. Full article
Show Figures

Figure 1

30 pages, 4069 KB  
Article
Dynamic Response of Steel Radial Sluice Gate Subjected to Flood-Driven Steel Tube Impact
by Changli Li, Xuan Zhang, Meng Li and Zhe Liu
Water 2026, 18(5), 586; https://doi.org/10.3390/w18050586 - 28 Feb 2026
Viewed by 223
Abstract
Sluice gates are critical infrastructure for flood mitigation. During extreme floods, steel tubes from upstream sites can be transported downstream and impact radial gates, a scenario reported by operators but lacking systematic investigation. This study investigates the dynamic response and damage characteristics of [...] Read more.
Sluice gates are critical infrastructure for flood mitigation. During extreme floods, steel tubes from upstream sites can be transported downstream and impact radial gates, a scenario reported by operators but lacking systematic investigation. This study investigates the dynamic response and damage characteristics of a steel radial gate subjected to such impacts. A finite element model of an in-service radial gate was developed using shell elements. The Johnson–Cook constitutive model was adopted to capture the strain-rate hardening and to quantify the damage extent of Q235 steel. Numerical simulations were conducted across various impact scenarios, comparing the effects of a realistic steel tube against a mass-equivalent spherical impactor, and analyzing the influence of tube size, velocity, angle, and impact location. The results demonstrate that using a mass-equivalent spherical model yields unsafe estimates, underestimating the impact impulse and maximum total displacement by up to 10.58% and 26.16%, respectively, and under-predicting the damage parameter by as much as 51.53% in certain conditions. The maximum gate displacement (885.2 mm) occurs when the tube strikes near the top edge, while the most severe damage (parameter 0.53) is observed near the main crossbeam-support arm joint. The analysis further identifies two primary deformation modes under tube impact: local bending and a cantilever plate deformation. The latter, occurring at top-corner impacts, induces large displacements and forms a plastic hinge line, causing critical damage that is remote from the initial impact point. This research provides quantitative insights that are necessary for the anti-collision design and vulnerability assessment of radial gates. The findings underscore the need to consider realistic impactor geometry in structural analyses, contributing to enhanced risk management and the operational resilience of flood-control infrastructure during extreme flood events. Full article
(This article belongs to the Section Hydraulics and Hydrodynamics)
Show Figures

Figure 1

10 pages, 2333 KB  
Article
Quasi-Bound States in the Continuum in PDMS-Supported Silicon Metasurfaces
by Sy Khiem Nguyen, Ba Thong Trinh, Dayeon Kim, Netrapal Singh, Young Kyu Hwang, Vu Dinh Lam and Ilsun Yoon
Photonics 2026, 13(3), 226; https://doi.org/10.3390/photonics13030226 - 26 Feb 2026
Viewed by 271
Abstract
Quasi-bound states in the continuum (quasi-BICs) in all-dielectric metasurfaces support high-Q resonances that are highly sensitive to structural symmetry and radiative coupling. Most previous studies have focused on static configurations on rigid substrates, whereas the behavior of quasi-BIC modes in the presence of [...] Read more.
Quasi-bound states in the continuum (quasi-BICs) in all-dielectric metasurfaces support high-Q resonances that are highly sensitive to structural symmetry and radiative coupling. Most previous studies have focused on static configurations on rigid substrates, whereas the behavior of quasi-BIC modes in the presence of low-index polymer supports remains less explored. In this work, we present a numerical investigation of quasi-BIC resonances in a silicon nanodimer metasurface on a polydimethylsiloxane (PDMS) substrate by systematically analyzing the effects of in-plane asymmetry, light incident angle and substrate thickness variation on their spectral position and quality factor. The results demonstrate pronounced tuning of the resonance wavelength and linewidth while preserving the characteristic high-Q behavior of quasi-BIC modes. This study establishes PDMS-supported silicon nanodimers as a viable platform for quasi-BIC metasurfaces and provides guidelines for future mechanically or chemically reconfigurable infrared devices based on polymer substrates. Full article
(This article belongs to the Special Issue Photonics Metamaterials: Processing and Applications)
Show Figures

Figure 1

22 pages, 3975 KB  
Article
Calibration of V2 Discrete Element Model Parameters for Simulation of Atlantic Potato Slicing and Sorting
by Hui Geng, Jingming Hu, Quan Feng, Wei Sun, Mei Yang, Haohua Wang, Weihao Qiao and Pan Wang
Agriculture 2026, 16(4), 489; https://doi.org/10.3390/agriculture16040489 - 22 Feb 2026
Viewed by 305
Abstract
To address the lack of contact and breakage parameters in the discrete element method (DEM) simulation of potato seed cutting and sorting processes, this study took the ‘Atlantic’ potato seed as the research object and constructed a crushable potato model using EDEM. Through [...] Read more.
To address the lack of contact and breakage parameters in the discrete element method (DEM) simulation of potato seed cutting and sorting processes, this study took the ‘Atlantic’ potato seed as the research object and constructed a crushable potato model using EDEM. Through physical experiments, the mean average diameter, moisture content, density, Poisson’s ratio, and elastic modulus were measured. The coefficients of collision restitution, static friction, and rolling friction between the potato seed and the Q235 steel plate were determined as 0.576, 0.559, and 0.073, respectively. Using the actual repose angle of 22.89° as the response target, and combining the steepest ascent test with the Box–Behnken design, the non-cohesive contact parameters between potato seed particles were calibrated. The resulting coefficients of collision restitution, static friction, and rolling friction between particles were determined as 0.404, 0.412, and 0.0156, respectively. Finally, based on physical shear tests (maximum shear force 23.56 N), significant influencing factors were identified through Plackett–Burman screening as the bonding radius ratio r and the normal stiffness per unit area Kn. Using the steepest ascent test and the Box–Behnken response surface method, the key bonding parameters of the Bonding V2 model were calibrated as follows: r = 1.098, Kn = 8.597 × 107 N·mm−3, tangential stiffness per unit area Kt = 3.250 × 106 N·mm−3, critical compressive stress σn = 5.500 × 105 Pa, and shear strength τt = 3.000 × 104 Pa. The relative error between the simulated and actual maximum shear forces was 0.89%, which is small. The calibrated flexible model accurately represents the physical characteristics of potato seeds and provides a reliable reference for the design of mechanized potato seed cutting and sorting equipment. Full article
(This article belongs to the Section Agricultural Technology)
Show Figures

Graphical abstract

24 pages, 6102 KB  
Article
Nucleation Studies of Lactobacillus brevis Alcohol Dehydrogenases in a Stirred Crystallizer Monitored by In Situ Multi-Angle Dynamic Light Scattering (MADLS)
by Julian Mentges, Daniel Bischoff and Dirk Weuster-Botz
Crystals 2026, 16(2), 148; https://doi.org/10.3390/cryst16020148 - 19 Feb 2026
Viewed by 243
Abstract
Nucleation remains one of the least understood steps during protein crystallization, although it strongly impacts product quality attributes, including total crystal numbers, final crystal size distributions, and thus downstream processing. In this work, the nucleation behavior of Lactobacillus brevis alcohol dehydrogenase (Lb [...] Read more.
Nucleation remains one of the least understood steps during protein crystallization, although it strongly impacts product quality attributes, including total crystal numbers, final crystal size distributions, and thus downstream processing. In this work, the nucleation behavior of Lactobacillus brevis alcohol dehydrogenase (LbADH) wild type (WT) and five mutants (Q207D, Q126H, K32A, D54F, and T102E) is investigated in a stirred 7 mL crystallizer monitored by in situ multi-angle dynamic light scattering (MADLS). Nucleation was studied with highly pure homotetrameric LbADHs by establishing a crystallization, lyophilization, and re-solubilization protocol combined with size exclusion chromatography (SEC) and size exclusion high-performance liquid chromatography (SE-HPLC), yielding tetramer purities above 94% and removing low molecular weight impurities. During stirred batch crystallizations initiated by the addition of polyethyleneglycol 550 monomethyl ether (PEG 550 MME), SEC and SE-HPLC revealed decreasing tetramer peak areas but essentially constant peak apex positions, indicating that no long-lasting oligomeric intermediates accumulate at detectable levels. Time-resolved MADLS measurements using a custom-made flow-through cuvette in a bypass to the stirred crystallizer uncovered transient cluster populations. All protein variants exhibited an initial tetramer peak, followed by the formation of larger aggregates and a rapid rise in signal above a hydrodynamic diameter of 1000 nm, coinciding with the onset of macroscopic turbidity. A simple mesoscale nucleation model was formulated, yielding end-of-nucleation times, crystallized fractions, critical soluble concentrations, and apparent nucleation rate constants. The crystal contact mutations modulate both the timing and magnitude of the nucleation burst (rapid build-up of nuclei/cluster populations). The mutant Q207D showed strongly attenuated nucleation compared to the WT, whereas the other mutants (K32A, D54F, and particularly T102E) display markedly accelerated nucleation at nearly invariant critical concentrations. The combined workflow demonstrates how in situ MADLS, together with a tailored kinetic description, can provide mechanistic insight into protein nucleation in stirred batch crystallizers. Full article
(This article belongs to the Section Biomolecular Crystals)
Show Figures

Figure 1

14 pages, 1718 KB  
Article
Physical and Ski Technical Factors Associated with ACL Injury Susceptibility in Elite and Recreational Alpine Skiers
by Márton Kékesi, Dorina Annar, Mira Ambrus, Ádám Uhlár, András Tállay and Zsombor Lacza
J. Funct. Morphol. Kinesiol. 2026, 11(1), 76; https://doi.org/10.3390/jfmk11010076 - 13 Feb 2026
Viewed by 386
Abstract
Introduction: Anterior cruciate ligament (ACL) injuries are among the most severe and frequent injuries in alpine skiing, often occurring in non-contact situations during high-demand turns. Various instrumental techniques were used to assess susceptibility to anterior cruciate ligament (ACL) injuries in alpine ski [...] Read more.
Introduction: Anterior cruciate ligament (ACL) injuries are among the most severe and frequent injuries in alpine skiing, often occurring in non-contact situations during high-demand turns. Various instrumental techniques were used to assess susceptibility to anterior cruciate ligament (ACL) injuries in alpine ski racers and recreational skiers. This cross-sectional exploratory study aimed to identify key factors contributing to ACL injury susceptibility, comparing lab-based and on-snow tests. Materials and Methods: We examined nine elite ski racers and nine recreational skiers with strong athletic backgrounds. Skiing technique was analyzed using an instrumented insole system (CARV) to measure body position, pressure symmetry, and edge angle. Dynamic Q-angle symmetry during single-leg squats were assessed with an optical system (DynaKnee), while balance, strength, and agility were evaluated through ACL-specific lab tests (CoRehab). Group comparisons were performed using the nonparametric Mann–Whitney U test. Results: No significant differences were found between groups in ACL-specific lab tests, including balance, agility, and jump performance. However, ski racers exhibited 34.9% higher asymmetry in the Q-angle symmetry index during the one-leg squat. In contrast, ski technique differences were significant: ski racers achieved 16.3% higher Edge Similarity, 48% better Pressure Symmetry, and 5.8% better Fore-Aft Balance compared to recreational skiers. Conclusions: Despite similar general athletic abilities, elite skiers showed higher Q-angle asymmetry, which has been previously associated with ACL injury risk. However, their advanced skiing technique may partially mitigate the functional consequences of this asymmetry during on-snow tests. This suggests that refined skiing skills may influence functional performance in racing conditions, while pronounced one-sided dominance could indicate potential injury risk. Full article
Show Figures

Figure 1

34 pages, 19099 KB  
Article
From Ancient Aqueducts to Modern Turbines: Exploring the Impact of Nazca-Inspired Spiral Geometry on Gravitational Vortex Turbine Efficiency
by Juliana Carvajal Guerra, Ainhoa Rubio-Clemente and Edwin Chica
Sci 2026, 8(2), 34; https://doi.org/10.3390/sci8020034 - 5 Feb 2026
Viewed by 309
Abstract
This study investigates an inlet design for a gravitational vortex turbine (GVT), drawing inspiration from the ancient Nazca puquios. The puquios are ingenious subterranean aqueducts constructed by the Nazca culture (c. 100 BC–800 AD) in southern Peru, featuring spiral ojos de agua (water [...] Read more.
This study investigates an inlet design for a gravitational vortex turbine (GVT), drawing inspiration from the ancient Nazca puquios. The puquios are ingenious subterranean aqueducts constructed by the Nazca culture (c. 100 BC–800 AD) in southern Peru, featuring spiral ojos de agua (water eyes) used to access groundwater and stabilize flow.The primary objective was to enhance vortex stability and overall GVT efficiency under low-head, low-flow operating conditions. A parametric Nazca-type inlet feeding a conical basin was defined by two controlling factors: the number of turns (N) and the inclination angle (θ). The optimal geometry was determined through a 32 full factorial design, computational fluid dynamics (CFD) simulations, and response surface methodology (RSM), with vortex circulation (Γ) serving as the optimization metric. The best-performing inlet configuration (N=4, θ=13) yielded Γ=1.3459 m2/s. This circulation level is comparable to that reported for optimized conventional wrap-around inlets at similar flow rates, but uniquely produced a broader and more symmetric vortex structure. Subsequently, two four-bladed runners (one with twisted blades and one with curved cross-flow blades) were evaluated numerically and experimentally using a laboratory-scale prototype operated at a consistent flow rate (Q0.00143 m3/s). CFD predicted maximum efficiencies of 15.37% and 17.07% for the twisted and curved runners, respectively, while experimental tests achieved 8.70% and 11.61%, demonstrating similar efficiency (η) versus angular velocity (ω) characteristics. These results indicate reduced hydraulic effectiveness of the Nazca-inspired geometry for the GVT, with experimental efficiencies below those reported in the literature. Full article
Show Figures

Figure 1

26 pages, 14801 KB  
Article
FLA1, Enhancing GA3 Contents in Flag Leaf Lamina Joint, Increases Flag Leaf Angle to Improve Outcross Rate and Hybrid Rice Seed Production
by Zhiyao Dong, Dalu Li, Xiaoxiao Hu, Xuanchi Liu, Nuoya Fei, Guocan Wu, Erbao Liu, Xiaojing Dang, Siyuan Zeng, Yuzhu Chen and Delin Hong
Plants 2026, 15(3), 446; https://doi.org/10.3390/plants15030446 - 31 Jan 2026
Viewed by 522
Abstract
Flag leaf angle (FLA) in rice (Oryza sativa L.) is one of the important traits affecting F1 seed production by mechanization. Here, we report the map-based cloning and functional characterization of the FLA1 (FLAG-LEAF-ANGLE 1) gene, which resides at [...] Read more.
Flag leaf angle (FLA) in rice (Oryza sativa L.) is one of the important traits affecting F1 seed production by mechanization. Here, we report the map-based cloning and functional characterization of the FLA1 (FLAG-LEAF-ANGLE 1) gene, which resides at a major-effect quantitative trait locus (QTL). Through cell morphological observations and exogenous hormone treatment assays, we demonstrate that gibberellin (GA) modulates rice FLA by altering both the number of cell layers and cell length. Combining genetic and molecular biological analyses with genetic complementation and gene overexpression assays, we elucidated and validated the biological function of FLA1. In addition, we found that FLA1 is constitutively expressed and encodes a protein localized to both the cell membrane and nucleus. Via RT-qPCR assays, we further demonstrated that the FLA1fla-R allele from the rice accession fla-R enhances GA biosynthesis by upregulating the expression of CLA1 and GA20ox2. Furthermore, yeast two-hybrid assays revealed that auxin-repressed protein 1 (ARP1) interacts with FLA1, suggesting a potential role of this interaction in the modulation of rice FLA. Collectively, our results demonstrate that optimizing rice FLA via molecular manipulation of FLA1 can resolve the problem of flag leaf shearing during F1 hybrid rice seed production without compromising F1 hybrid seed yield, thereby facilitating mechanized F1 hybrid rice seed production. Full article
Show Figures

Figure 1

16 pages, 1057 KB  
Article
Combined Therapy Versus Fortified Anti-VEGF Monotherapy in Type C Polypoidal Choroidal Vasculopathy: Long-Term Outcomes and Exploratory Biomarker Insights
by Windsor Wen-Jin Chao, Howard Wen-Haur Chao and Hsiao-Ming Chao
Int. J. Mol. Sci. 2026, 27(3), 1224; https://doi.org/10.3390/ijms27031224 - 26 Jan 2026
Viewed by 475
Abstract
While standard anti- vascular endothelial growth factor (VEGF) therapy, with or without photodynamic therapy (PDT), is effective for patients with polypoidal choroidal vasculopathy (PCV), not all achieve optimal visual outcomes. This study aimed to compare fortified (double the dose and the volume of [...] Read more.
While standard anti- vascular endothelial growth factor (VEGF) therapy, with or without photodynamic therapy (PDT), is effective for patients with polypoidal choroidal vasculopathy (PCV), not all achieve optimal visual outcomes. This study aimed to compare fortified (double the dose and the volume of the standard one) anti-VEGF combined with PDT versus fortified anti-VEGF monotherapy and to investigate biomolecular profiles and disease relationships among PCV, neovascular age-related macular degeneration (nvAMD), and central serous chorioretinopathy (CSCR). The goal was to identify novel pathways to inform future therapeutic strategies, including hypoxia-inducible factors (HIF)-1α inhibitors. This retrospective cohort study included 23 eyes with indocyanine green-confirmed type C PCV. One eye treated with transpupillary thermotherapy was not included in the following two groups. Patients received either combined therapy (PDT + fortified-dose anti-VEGF; n = 12) or fortified-dose anti-VEGF monotherapy (n = 10). Primary outcomes were changes in best-corrected visual acuity (BCVA) and central retinal thickness (CRT). Secondary outcomes included injection burden and recurrence. Exploratory analyses examined aqueous biomarkers, including VEGF, placental growth factor (PlGF), β-catenin, HIF-1α, and Wnt1 across PCV, CSCR, and nvAMD to identify novel therapeutic targets. Significant (p = 0.003/p = 0.005) median CRT reduction was similar (p = 0.468) between groups (combined/monotherapy: 137.5 µm/106.5 µm). BCVA (median [Q1, Q3]) change in logarithm of the minimum angle of resolution (LogMAR) was not statistically significant (p = 0.279), with 0.25 [0.00, 0.98] in the combined group versus 0.00 [−0.03, 0.28] in the monotherapy group. Treatment burden of anti-VEGFs per person per year was lower with combined therapy (1.16 ± 0.47# PDT + 2.81 ± 0.92# anti-VEGF injections) compared with monotherapy (4.61 ± 1.49# injections). Six eyes demonstrated recurrence at a mean of 15.5 months. Incomplete regression of polyps and branching vascular networks was observed in all eyes. Exploratory biomarker analysis revealed significantly (p < 0.05) higher VEGF and PlGF levels in nvAMD compared with PCV. nvAMD also demonstrated significantly (p < 0.05) higher β-catenin and lower HIF-1α levels relative to PCV and CSCR, while no significant biomarker differences were observed between PCV and CSCR. Combined therapy or monotherapy with fortified anti-VEGFs reduced treatment burden and achieved significant anatomical improvement but did not yield superior functional outcomes, highlighting the therapeutic difficulty of type C PCV. Biomarker profiling revealed shared hypoxia-related mechanisms between PCV and CSCR, with elevated HIF-1α compared to nvAMD indicating a “preliminary” possible role for HIF-1α inhibitors. Differential expression of these biomarkers highlights additional molecular pathways that may inform future targeted interventions. Full article
(This article belongs to the Special Issue Molecular Insight into Retinal Diseases: 2nd Edition)
Show Figures

Figure 1

13 pages, 1278 KB  
Article
Four-State Programmable Quasi-BIC Metasurface with Polarization-Divergent Dispersion Rewriting
by Wenbin Wang and Yun Meng
Photonics 2026, 13(2), 105; https://doi.org/10.3390/photonics13020105 - 23 Jan 2026
Viewed by 392
Abstract
A central challenge in reconfigurable photonics based on quasi bound states in the continuum (quasi-BICs) is to move beyond binary switching toward multistate and polarization-aware programmability. Here we propose a dual-phase-change material (PCM) metasurface that enables four-state nonvolatile switching and polarization-divergent dispersion rewriting [...] Read more.
A central challenge in reconfigurable photonics based on quasi bound states in the continuum (quasi-BICs) is to move beyond binary switching toward multistate and polarization-aware programmability. Here we propose a dual-phase-change material (PCM) metasurface that enables four-state nonvolatile switching and polarization-divergent dispersion rewriting within a single unit cell. Two independently switchable PCM layers provide four addressable configurations (0-0, 0-1, 1-0, 1-1) at a fixed geometry, allowing the resonance landscape to be reprogrammed through complex-index rewriting without structural modification. Angle-resolved transmission maps reveal fundamentally different evolution pathways for orthogonal polarizations. For p polarization, the quasi-BIC exhibits strong state sensitivity with dispersion reshaping and multi-branch features near normal incidence; the resonance red-shifts from ~1331 nm to ~1355 nm while the quality factor decreases from ~6.7 × 104 to ~4.0 × 104. In contrast, for s polarization, a single weakly dispersive branch translates coherently across states, producing a much larger shift from ~1635 nm to ~1790 nm while the quality factor increases from ~9.0 × 103 to ~1.8 × 104. The opposite quality-factor trajectories, together with the polarization-contrasting tuning ranges, demonstrate that dual-PCM programming reconfigures polarization-selective radiative coupling rather than imposing a uniform resonance shift. This compact two-bit metasurface platform provides multistate, high-Q control with active dispersion engineering, enabling polarization-multiplexed reconfigurable filters, state-addressable sensors, and other programmable photonic devices. Full article
(This article belongs to the Special Issue Advances in the Propagation and Coherence of Light)
Show Figures

Figure 1

21 pages, 2805 KB  
Article
Composition of Immune Cells in Sporadic Vestibular Schwannomas with Different Tumor Volumes
by Anna-Louisa Becker, Clara Helene Klause, Martin Sebastian Staege, Edith Willscher, Jonas Scheffler, Paola Schildhauer, Christian Ostalecki, Christian Strauss, Julian Prell, Christian Scheller, Stefan Rampp and Sandra Leisz
Cancers 2026, 18(3), 355; https://doi.org/10.3390/cancers18030355 - 23 Jan 2026
Viewed by 418
Abstract
Background/Objectives: Vestibular schwannoma (VS) is the most common benign tumor in the cerebellopontine angle. In preliminary studies, macrophage infiltration has been suggested to influence disease progression. However, the infiltration of other immune cells in VS remains largely unexplored. The aim of this study [...] Read more.
Background/Objectives: Vestibular schwannoma (VS) is the most common benign tumor in the cerebellopontine angle. In preliminary studies, macrophage infiltration has been suggested to influence disease progression. However, the infiltration of other immune cells in VS remains largely unexplored. The aim of this study was to comprehensively characterize the immune cells in sporadic VS. Methods: Cryosections of five tumor samples from VS patients with different tumor volumes were examined. The abundance of fourteen immune-cell markers, one vascular marker, and two tumor markers were detected using multi-epitope ligand cartography (MELC). This enabled the spatial distribution and colocalization of immune- and tumor cell markers to be examined. Furthermore, using qPCR and bulk RNAseq, the mRNA levels of the immune-cell markers were examined in 204 VS samples of different tumor sizes. Results: VSs with greater tumor volumes showed an increased number of immune cells, more precisely T-helper cells (TH cells), cytotoxic T cells (Tc cells), CD68+, and CD163+ macrophages, as well as CD279+ (PD-1) and CTLA4+ cells (p < 0.05). In addition, an increased number of CD274+ (PD-L1) tumor cells were detected in VSs with higher tumor volume (p < 0.05). Conclusions: These results indicate that an increased diversity of immune-cell subtypes influences VS tumor size. Thus, novel diagnostic and therapeutic options could be developed by targeting the tumor-associated immune-cell populations in VSs. Full article
(This article belongs to the Section Cancer Immunology and Immunotherapy)
Show Figures

Graphical abstract

19 pages, 5005 KB  
Article
Analysis of Heat and Moisture Transfer Characteristics on the Air Side of a Refrigerated Air Dryer Evaporator
by Yuzheng Wu, Zinan Ye, Dapeng Ye and Bing Fang
Appl. Sci. 2026, 16(2), 991; https://doi.org/10.3390/app16020991 - 19 Jan 2026
Viewed by 223
Abstract
The demand for efficient dehumidification in evaporators has become one of the key technical challenges restricting the high-quality development of the refrigerated air dryer industry. To investigate the effects of fin structure on the air-side heat transfer and dehumidification performance of finned-tube evaporators [...] Read more.
The demand for efficient dehumidification in evaporators has become one of the key technical challenges restricting the high-quality development of the refrigerated air dryer industry. To investigate the effects of fin structure on the air-side heat transfer and dehumidification performance of finned-tube evaporators applied in refrigerated air dryers under the operating conditions of 50 °C, RH = 85%, numerical heat and mass transfer models for the air side of evaporators with plain fins and wavy fins were established based on the Ansys Fluent software 2022R1. The study found that wavy fins possess superior heat transfer and moisture removal capabilities. Key performance indicators, including the air-side heat transfer rate (Q), moisture removal amount (Δm), friction factor (f), and the nusselt number (Nu), were all higher for wavy fins compared to plain fins. Building upon this, three types of vortex generators (VGs) were introduced to further optimize the performance of the wavy fins, aiming to balance heat transfer enhancement and flow resistance control. At an attack angle of 30°, the comprehensive performance factor (JF) showed the highest improvement, reaching 43% with the Delta Winglet vortex generators. The 15° configuration also showed improvement, while 45° led to the worst performance due to increased flow resistance. The results indicate that for typical high-temperature and high-humidity environments, the wavy fin is recommended as the preferred choice due to its superior overall performance and simple structure. For applications requiring higher dehumidification capacity, wavy fins equipped with vortex generators can be selected to achieve the most efficient dehumidification. This study provides valuable insights for the design and application of finned-tube evaporators in dehumidification systems under high-temperature, high-humidity conditions for refrigerated air dryers. Full article
Show Figures

Figure 1

Back to TopTop