Sign in to use this feature.

Years

Between: -

Subjects

remove_circle_outline
remove_circle_outline
remove_circle_outline
remove_circle_outline
remove_circle_outline
remove_circle_outline
remove_circle_outline
remove_circle_outline
remove_circle_outline

Journals

remove_circle_outline
remove_circle_outline
remove_circle_outline
remove_circle_outline
remove_circle_outline
remove_circle_outline
remove_circle_outline
remove_circle_outline
remove_circle_outline
remove_circle_outline

Article Types

Countries / Regions

remove_circle_outline
remove_circle_outline
remove_circle_outline
remove_circle_outline

Search Results (609)

Search Parameters:
Keywords = PAX4

Order results
Result details
Results per page
Select all
Export citation of selected articles as:
18 pages, 931 KB  
Article
Rare BLK, CEL, KLF11, PDX1, and PAX4 Gene Variants in Russian Patients with Monogenic Diabetes: Clinical and Molecular Characterization
by Rita I. Khusainova, Ildar R. Minniakhmetov, Dmitry N. Laptev, Mariya P. Koltakova, Roman V. Deev, Bulat I. Yalaev, Yaroslav V. Dvoryanchikov, Elena A. Sechko and Natalia G. Mokrysheva
Biomedicines 2025, 13(10), 2452; https://doi.org/10.3390/biomedicines13102452 - 9 Oct 2025
Abstract
Background: Maturity-onset diabetes of the young (MODY) is a heterogeneous group of monogenic diabetes forms that are frequently misclassified as type 1 or type 2 diabetes due to overlapping phenotypic features. The true prevalence of MODY is likely substantially underestimated. As DNA-based diagnostics [...] Read more.
Background: Maturity-onset diabetes of the young (MODY) is a heterogeneous group of monogenic diabetes forms that are frequently misclassified as type 1 or type 2 diabetes due to overlapping phenotypic features. The true prevalence of MODY is likely substantially underestimated. As DNA-based diagnostics become increasingly accessible, an expanding number of novel genetic variants are being identified. Objectives: The aim of this study was to characterize the clinical and genetic features of patients carrying rare variants in the BLK, KLF11, PAX4, PDX1, and CEL genes, with attention to population-specific aspects, family history, and treatment outcomes. Methods: Targeted next-generation sequencing (NGS) using a custom-designed panel covering 27 genes implicated in MODY, neonatal diabetes, and related hereditary syndromes was performed on the Illumina NovaSeq 6000 platform (Illumina). Results: We identified 21 variants in five genes associated with rare MODY subtypes among 24 unrelated patients. MODY9 was diagnosed in two unrelated patients of Russian ethnicity harboring an identical heterozygous missense mutation in exon 5 of the PAX4 gene (HG38, chr7:127615049G>A, c.191C>T, p.Thr64Ile), which has not been previously described in patients with diabetes. MODY11 was diagnosed in a patient carrying the c.773-1G>A variant in the BLK gene. A patient with a de novo c.40_41dupGC (p.Val15Glnfs*41) variant in the KLF11 gene was clinically diagnosed with type 1 diabetes. Conclusion: Our findings expand the current understanding of rare MODY subtypes and contribute to the growing body of evidence on the spectrum and frequency of potentially pathogenic variants in BLK, CEL, KLF11, PDX1, and PAX4 genes across ethnically diverse populations worldwide. Full article
(This article belongs to the Section Endocrinology and Metabolism Research)
Show Figures

Figure 1

20 pages, 41804 KB  
Article
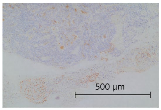
Immunophenotypic Panel for Comprehensive Characterization of Aggressive Thyroid Carcinomas
by Mihail Ceausu, Mihai Alin Publik, Dana Terzea, Carmen Adina Cristea, Dumitru Ioachim, Dana Manda and Sorina Schipor
Cells 2025, 14(19), 1554; https://doi.org/10.3390/cells14191554 - 6 Oct 2025
Viewed by 233
Abstract
Aggressive thyroid carcinomas—anaplastic (ATC) and poorly differentiated (PDTC)—are rare but highly lethal malignant entities. Their immunophenotypical characterization is still incomplete, and no standardized diagnostic algorithms have been used. Our study retrospectively analyzes 40 thyroidectomy cases as follows: 12 ATC and 28 PDTC from [...] Read more.
Aggressive thyroid carcinomas—anaplastic (ATC) and poorly differentiated (PDTC)—are rare but highly lethal malignant entities. Their immunophenotypical characterization is still incomplete, and no standardized diagnostic algorithms have been used. Our study retrospectively analyzes 40 thyroidectomy cases as follows: 12 ATC and 28 PDTC from 2014 to 2024 by evaluating clinical data, histopathological aspects, molecular analysis for presence of BRAFV600E and TERTC228/250T mutations, as well as immunohistochemical expression of BRAFV600E, total BRAF, K-RAS, TERT, PAX-8, TTF-1, P53, and Ki-67. BRAFV600E was present in 70% of cases, with higher prevalence in ATC. Total BRAF correlated positively with K-RAS and TERT and negatively with BRAFV600E. TERT abnormal expression was highly prevalent in over 90% of cases, while loss of TTF-1 and PAX-8 is associated with anaplastic transformation. Ki-67 proliferative index had significantly higher values in ATC, thus supporting its role as a marker for aggressiveness. On univariate analysis, higher Ki-67 indices and lymph node invasion are independent predictor factors for the presence of metastases. However, on multivariate analysis, they both lose significance. Upon multivariate analysis, loss of TTF-1 and tumor necrosis were significant predictors for anaplastic histotype. Specific BRAFV600E immunohistochemistry may be a good screening tool for the BRAFV600E mutation. Molecularly, there is a relatively frequent association of the BRAFV600E mutation and TERTC228, mainly in the PDTC subgroup. Patterns of marker expression suggest that BRAF or RAF activation with subsequent loss of TTF-1 or PAX-8, TERT upregulation, and TP53 alteration are frequent occurrences in aggressive thyroid carcinomas. The association between TTF-1 loss and anaplastic transformation, presence of necrosis alongside BRAFV600E, underlines their diagnostic potential in subclassifying aggressive thyroid carcinomas. Full article
Show Figures

Figure 1

31 pages, 4404 KB  
Article
Integrative Transcriptomic and Network-Based Analysis of Neuromuscular Diseases
by Federico García-Criado, Lucia Hurtado-García, Elena Rojano, Álvaro Esteban-Martos, Jesús Pérez-García, Pedro Seoane and Juan A. G. Ranea
Int. J. Mol. Sci. 2025, 26(19), 9376; https://doi.org/10.3390/ijms26199376 - 25 Sep 2025
Viewed by 360
Abstract
Neuromuscular diseases (NMDs) like Duchenne muscular dystrophy (DMD), limb–girdle muscular dystrophy (LGMD), and amyotrophic lateral sclerosis (ALS) are rare, progressive disorders with complex molecular mechanisms. Traditional transcriptomic analyses often struggle to capture systems-level dysregulation, especially given the small sample sizes typical of rare [...] Read more.
Neuromuscular diseases (NMDs) like Duchenne muscular dystrophy (DMD), limb–girdle muscular dystrophy (LGMD), and amyotrophic lateral sclerosis (ALS) are rare, progressive disorders with complex molecular mechanisms. Traditional transcriptomic analyses often struggle to capture systems-level dysregulation, especially given the small sample sizes typical of rare disease studies. Our differential expression analysis of eight public RNA-seq datasets from various cell types in DMD, LGMD, and ALS revealed not only disease-relevant pathways but also unexpected enrichments, such as renal development, suggesting systemic impacts beyond muscle tissue. To address limitations in capturing broader molecular mechanisms, we applied an integrative systems biology approach combining differential expression data, protein–protein interaction (PPI) networks, and network embedding techniques. Comparative functional enrichment revealed shared pathways, including glycosaminoglycan binding in both DMD and FUS-related ALS, implicating extracellular matrix–protein interactions in FUS mutation effects. Mapping DEGs onto the human PPI network and assessing their proximity to causal genes uncovered dysregulated non-coding RNAs, such as PAX8-AS1, SBF2-AS1, and NEAT1, potentially indicating common regulatory roles. We also found candidate genes within disease-proximal clusters, like HS3ST3A1, which may contribute to pathogenesis. Overall, this integrative approach reveals shared transcriptional programs and novel targets, advancing our understanding and potential treatment strategies for NMDs. Full article
Show Figures

Figure 1

41 pages, 520 KB  
Review
Childhood, Adolescent and Young Adult Poor-Prognosis Rhabdomyosarcoma
by Ajla T. Wasti, Gianni Bisogno, Raquel Hladun, Anne-Sophie Defachelles, Michela Casanova, Willemijn B. Breunis, Susanne A. Gatz, Reineke A. Schoot, Andrea Ferrari, Meriel Jenney, Rita Alaggio, Raquel Davila Fajardo, Sheila Terwisscha van Scheltinga, Janet Shipley, Michael Torsten Meister, Rick R. van Rijn, John Anderson, Monika Sparber-Sauer, Julia C. Chisholm and Johannes H. M. Merks
Cancers 2025, 17(19), 3100; https://doi.org/10.3390/cancers17193100 - 23 Sep 2025
Viewed by 487
Abstract
Rhabdomyosarcoma (RMS) is the most common soft tissue sarcoma in children and young people. Despite the advances in multimodality treatment over recent decades through successive prospective clinical trials, improved rates of survival for patients are mainly limited to those with localised RMS without [...] Read more.
Rhabdomyosarcoma (RMS) is the most common soft tissue sarcoma in children and young people. Despite the advances in multimodality treatment over recent decades through successive prospective clinical trials, improved rates of survival for patients are mainly limited to those with localised RMS without adverse biologic features. Current clinicopathologic prognostic factors include PAX3(7)::FOXO1 fusion status, the site of primary disease, the pre-chemotherapy extent of disease (including microscopic vs. macroscopic residual disease, locoregional nodal involvement and metastatic status), tumour size and patient age. These factors are used to stratify patients into prognostic risk groups that guide treatment intensity and duration. Risk stratification algorithms are evolving, supported by advances in molecular biology and cancer genomics. In this review we focus on the poorest prognostic groups of paediatric-type RMS (i.e., Very High Risk or relapsed/progressive disease). These include patients whose tumours harbour poor biological characteristics such as PAX3(7)::FOXO1 fusion-positive tumours with locoregional nodal involvement and tumours harbouring other poor-risk genetic variants (particularly MYOD1 and TP53 variants); adolescent and young adult patients; newly diagnosed patients with metastatic RMS; and patients with relapsed and refractory disease. Here we aim to describe the clinical characteristics of these patients, outline current standard multimodality treatments in the context of sequential international clinical trials across the major cooperative groups and summarise emerging novel diagnostic and therapeutic approaches. Full article
10 pages, 1910 KB  
Case Report
Mucinous Tubular and Spindle Cell Carcinoma of the Kidney: A Rare Renal Neoplasm—Case Report and Literature Review
by Ionuţ Burlacu, Mariana Aşchie, Mădălina Boşoteanu, Gabriela Izabela Bălţătescu and Alexandra Dinu
Reports 2025, 8(4), 189; https://doi.org/10.3390/reports8040189 - 23 Sep 2025
Viewed by 375
Abstract
Background and Clinical Significance: Mucinous tubular and spindle cell carcinoma (MTSCC) is an uncommon subtype of renal cell carcinoma, representing 1–4% of epithelial renal tumors. It usually shows a low-grade morphology and indolent behavior, although sarcomatoid variants with an aggressive course have been [...] Read more.
Background and Clinical Significance: Mucinous tubular and spindle cell carcinoma (MTSCC) is an uncommon subtype of renal cell carcinoma, representing 1–4% of epithelial renal tumors. It usually shows a low-grade morphology and indolent behavior, although sarcomatoid variants with an aggressive course have been described. Because of its overlap with papillary renal cell carcinoma (papRCC), sarcomatoid RCC, mesenchymal tumors, and oncocytic neoplasms, diagnosis requires the integration of imaging, histopathology, and immunohistochemistry. Case Presentation: We report a 71-year-old female who presented with a three-month history of right-sided lumbar pain and intermittent hematuria. Her laboratory tests were unremarkable. Contrast-enhanced CT revealed a well-circumscribed nodular lesion in the mid-portion of the right kidney, measuring 50 × 47 × 52 mm. The patient underwent right nephrectomy. Macroscopic findings revealed an encapsulated, yellowish-gray nodule (5.2 × 5 × 4 cm) without renal pelvis invasion. Microscopically, the tumor consisted of cuboidal- to spindle-shaped cells arranged in cords and tubular structures within a mucinous stroma, with focal necrosis and foamy macrophages. Immunohistochemistry showed positivity for CK19, CK7, EMA, PAX8, and AMACR, with a Ki-67 index <10%, while CD117, RCC, CD10, and chromogranin were negative. Together, the low Ki-67 proliferation index, absence of invasion, and low-grade histological architecture confirmed MTSCC of low malignant potential. At a five-year follow-up, the patient remained disease-free. Conclusions: MTSCC is a rare renal neoplasm that can be diagnosed by integrating clinico-radiological, histopathological, and immunophenotypic features. Molecular profiling may further distinguish MTSCC from papRCC and identify aggressive variants. Surgical excision remains the cornerstone of management, supported by vigilant long-term follow-up. Full article
(This article belongs to the Section Oncology)
Show Figures

Figure 1

22 pages, 2358 KB  
Article
Sonic Contrasts at Sea: A Comparative Case Study of Noise Exposure and Crew Fatigue on a Conventional Ferry and a High-Speed Craft
by Fernando Crestelo Moreno, Rebeca Bouzón Otero, Luis Alfonso Díaz-Secades and Yolanda Amado-Sánchez
Environments 2025, 12(9), 335; https://doi.org/10.3390/environments12090335 - 20 Sep 2025
Viewed by 464
Abstract
This study provides a comparative analysis of noise exposure and its occupational implications for two types of vessels operating in the Strait of Gibraltar: a conventional steel roll-on/roll-off passenger ferry (Ro-Pax) and an aluminium high-speed catamaran (HSC). A mixed-methods approach was employed, integrating [...] Read more.
This study provides a comparative analysis of noise exposure and its occupational implications for two types of vessels operating in the Strait of Gibraltar: a conventional steel roll-on/roll-off passenger ferry (Ro-Pax) and an aluminium high-speed catamaran (HSC). A mixed-methods approach was employed, integrating objective acoustic measurements with subjective assessments of fatigue, workload, and circadian typology using validated survey instruments. The comparative framework is based on International Maritime Organization (IMO) Resolution A.468(XII), which establishes design-based noise limits for both vessel types. This framework is supported by the High-Speed Craft (HSC) Code and European Union (EU) Directive 2003/10/EC, both of which address occupational exposure. While both vessels comply with IMO design standards, the HSC consistently exceeds the noise limits set out in the HSC Code and European regulations in the accommodation and bridge areas. These elevated noise levels correlate with higher fatigue and workload scores among HSC crew, particularly in the engine and deck departments. In contrast, the Ro-Pax ferry demonstrates better acoustic insulation due to its steel construction, resulting in lower overall exposure and improved rest conditions. The results highlight the inadequacy of applying uniform noise standards to structurally distinct vessels, emphasising the importance of vessel-specific acoustic management strategies. Crucially, the study reaffirms the importance of maintaining compliance with both IMO design standards and EU occupational health regulations to ensure the comprehensive protection of seafarers’ well-being and safety. Full article
(This article belongs to the Special Issue Interdisciplinary Noise Research)
Show Figures

Figure 1

26 pages, 2624 KB  
Review
The Dual Role of RASSF4 in Tumorigenesis: Mechanisms and Epigenetic Targeting Strategies
by Rui Tian, Yixin Wu, Wenbin Yuan, Lingli Tian, Rui Zhang, Hao Lyu, Shuai Xiao, Dong Guo, Qi Zhang, Declan William Ali, Marek Michalak, Cefan Zhou, Jingfeng Tang and Xing-Zhen Chen
Biology 2025, 14(9), 1289; https://doi.org/10.3390/biology14091289 - 18 Sep 2025
Viewed by 514
Abstract
RASSF4 is a key member of the Ras-associated domain family (RASSF) that exhibits dual functionality in tumorigenesis, playing critical yet context-dependent roles in various malignancies. Its expression is epigenetically regulated through promoter hypermethylation, histone modifications, and microRNAs including miR-155 and miR-196a-5p, which directly [...] Read more.
RASSF4 is a key member of the Ras-associated domain family (RASSF) that exhibits dual functionality in tumorigenesis, playing critical yet context-dependent roles in various malignancies. Its expression is epigenetically regulated through promoter hypermethylation, histone modifications, and microRNAs including miR-155 and miR-196a-5p, which directly target its 3′ untranslated region. In most cancers, such as non-small cell lung cancer (NSCLC) and gastric adenocarcinoma (GAC), RASSF4 acts as a tumor suppressor by inhibiting the RAS/MAPK pathway while activating the Hippo signaling cascade, ultimately inducing cell cycle arrest and apoptosis. Conversely, in aRMS, RASSF4 is upregulated by the PAX3-FOXO1 fusion oncoprotein and promotes tumor growth through MST1 inhibition and subsequent YAP activation. This review systematically analyzes current evidence regarding RASSF4’s complex regulatory mechanisms and clinical significance. We propose targeted therapeutic strategies including epigenetic reactivation, gene intervention, and combination therapies. Furthermore, we identify RASSF4 as a promising diagnostic biomarker and therapeutic target based on integrated mechanistic and clinical evidence. Future research should focus on elucidating context-dependent regulatory switches, developing targeted delivery systems, and validating clinical utility through prospective trials. Full article
(This article belongs to the Special Issue Signalling Pathways in Cancer and Disease)
Show Figures

Figure 1

27 pages, 948 KB  
Review
Tumor–Immune Interactions in Pediatric Oral Rhabdomyosarcoma: A Narrative Review on Immuno-Oncology and Emerging Therapies
by Omar A. El Meligy, Noha M. Elemam, Wael A. Hassan and Iman M. Talaat
Children 2025, 12(9), 1249; https://doi.org/10.3390/children12091249 - 17 Sep 2025
Viewed by 628
Abstract
Pediatric oral rhabdomyosarcoma (RMS) is a rare and aggressive cancer of the head and neck, characterized by a complex and mostly immunosuppressive tumor–immune microenvironment. Unlike adult cancers, pediatric RMS typically exhibits a “cold” immune profile, characterized by minimal T-cell infiltration, a low mutational [...] Read more.
Pediatric oral rhabdomyosarcoma (RMS) is a rare and aggressive cancer of the head and neck, characterized by a complex and mostly immunosuppressive tumor–immune microenvironment. Unlike adult cancers, pediatric RMS typically exhibits a “cold” immune profile, characterized by minimal T-cell infiltration, a low mutational burden, and resistance to immune checkpoint blockade. The tumor’s location in the oral cavity adds difficulty to treatment because of anatomical and functional limitations. Additionally, the presence of fusion oncogenes, such as PAX3:FOXO1, hampers immunogenicity and treatment response by disrupting antigen presentation and reducing immune cell infiltration. Advances in immuno-oncology have introduced new strategies, including immune checkpoint inhibitors, chimeric antigen receptor (CAR) therapies, cancer vaccines, and oncolytic viruses. However, these approaches face specific challenges in the pediatric population due to developmental immune factors. This narrative review highlights recent findings on the immunobiology of pediatric oral RMS, focusing on tumor–immune interactions and their impact on disease progression and treatment resistance. We reviewed the cellular components of the TIME, the mechanisms of immune evasion, and the expression of immune checkpoints, including PD-L1 and B7-H3. Emerging immunotherapies, including CAR-T, CAR-NK, and CAR-CIK cell therapies; checkpoint inhibitors; oncolytic viruses; and cancer vaccines, are discussed, with an emphasis on their current limitations and potential to transform the pediatric RMS immune landscape. Full article
Show Figures

Figure 1

19 pages, 11017 KB  
Article
Functional Recovery by Transplantation of Human iPSC-Derived A2B5 Positive Neural Progenitor Cell After Spinal Cord Injury in Mice
by Yiyan Zheng, Xiaohui Chen, Ping Bu, Haipeng Xue, Dong H. Kim, Hongxia Zhou, Xugang Xia, Ying Liu and Qilin Cao
Int. J. Mol. Sci. 2025, 26(18), 8940; https://doi.org/10.3390/ijms26188940 - 13 Sep 2025
Viewed by 655
Abstract
Human induced pluripotent stem cells (hiPSCs) hold great potential for patient-specific therapies. Transplantation of hiPSC-derived neural progenitor cells (NPCs) is a promising reparative strategy for spinal cord injury (SCI), but clinical translation requires efficient differentiation into desired neural lineages and purification before transplantation. [...] Read more.
Human induced pluripotent stem cells (hiPSCs) hold great potential for patient-specific therapies. Transplantation of hiPSC-derived neural progenitor cells (NPCs) is a promising reparative strategy for spinal cord injury (SCI), but clinical translation requires efficient differentiation into desired neural lineages and purification before transplantation. Here, differentiated hiPSCs—reprogrammed from human skin fibroblasts using Sendai virus-mediated expression of OCT4, SOX2, KLF4, and C-MYC—into neural rosettes expressing SOX1 and PAX6, followed by neuronal precursors (β-tubulin III+/NESTIN+) and glial precursors (GFAP+/NESTIN+). Both neuronal and glial precursors expressed the A2B5 surface antigen. A2B5+ NPCs, purified by fluorescence-activated cell sorting (FACS), proliferated in vitro with mitogens, and differentiated into mature neurons and astrocytes under lineage-specific conditions. Then, NOD-SCID mice received a T9 contusion injury followed by transplantation of A2B5+ NPCs, human fibroblasts, or control medium at 8 days post-injury. At two months, grafted NPCs showed robust survival, progressive neuronal maturation (β-tubulin III+→doublecortin+→NeuN+), and astrocytic differentiation (GFAP+), particularly in spared white matter. Transplantation significantly increased spared white matter volume and improved hindlimb locomotor recovery, with no teratoma formation observed. These results demonstrate that hiPSC-derived, FACS-purified A2B5+ NPCs can survive, differentiate into neurons and astrocytes, and enhance functional recovery after SCI. This approach offers a safe and effective candidate cell source for treating SCI and potentially other neurological disorders. Full article
(This article belongs to the Special Issue Molecular and Cellular Mechanisms of Spinal Cord Injury and Repair)
Show Figures

Figure 1

16 pages, 2203 KB  
Article
Therapeutic Effects of Lurbinectedin in PARP Inhibitor-Resistant High-Grade Serous Ovarian Cancer Using Patient-Derived Cell Lines and Organoid Models
by Akshi Srivastava, Christine Unterweger, Sarah Guttmann, Andrea Wolf, Leonhard Müllauer, Martin Schepelmann, Dan Cacsire Castillo-Tong and Thomas Bartl
Int. J. Mol. Sci. 2025, 26(18), 8866; https://doi.org/10.3390/ijms26188866 - 11 Sep 2025
Viewed by 567
Abstract
High-grade serous ovarian cancer (HGSOC) is an aggressive malignancy which is often treated with platinum-based chemotherapy and PARP inhibitors (PARPi). However, PARPi resistance remains a major clinical challenge, necessitating alternative therapeutic strategies. In this study, we establish the first known patient-derived organoid models [...] Read more.
High-grade serous ovarian cancer (HGSOC) is an aggressive malignancy which is often treated with platinum-based chemotherapy and PARP inhibitors (PARPi). However, PARPi resistance remains a major clinical challenge, necessitating alternative therapeutic strategies. In this study, we establish the first known patient-derived organoid models directly from PARPi-resistant HGSOC and demonstrate that they preserve the original tumor architecture and key biomarkers (EpCAM, CA125, PAX8, HER2, MEK1/2, Cyclin E1), thus providing unique preclinical models for drug testing. These organoids were used to evaluate lurbinectedin in comparison with standard carboplatin and paclitaxel. While lurbinectedin showed comparable apoptotic effects to paclitaxel and superior activity to carboplatin, it induced chromosomal breaks to different extents in different cell lines, suggesting a distinct mechanism of action. Importantly, this work does not advocate for lurbinectedin as a superior therapy but, rather, demonstrates the utility of organoid models in uncovering drug-specific genomic effects. Our findings underscore the critical need for expanded testing using clinically relevant models to identify more effective strategies against PARPi-resistant disease. Full article
Show Figures

Figure 1

25 pages, 2041 KB  
Review
Genetic Basis of Non-Syndromic Childhood Glaucoma Associated with Anterior Segment Dysgenesis: A Narrative Review
by Nicola Cronbach, Cécile Méjécase and Mariya Moosajee
Pharmaceuticals 2025, 18(9), 1352; https://doi.org/10.3390/ph18091352 - 9 Sep 2025
Viewed by 679
Abstract
Twenty causative genes have been reported that cause non-syndromic childhood glaucoma associated with anterior segment dysgenesis. FOXC1, PAX6 and PITX2 are the most well-known, but cases linked to SLC4A11, PITX3 and SOX11 have also been reported. As genetic testing becomes increasingly [...] Read more.
Twenty causative genes have been reported that cause non-syndromic childhood glaucoma associated with anterior segment dysgenesis. FOXC1, PAX6 and PITX2 are the most well-known, but cases linked to SLC4A11, PITX3 and SOX11 have also been reported. As genetic testing becomes increasingly widespread and rates of molecular diagnosis rise, the extent of phenotypic overlap between the different genetic causes of non-syndromic glaucoma associated with anterior segment dysgenesis is becoming more evident. Taking aniridia as an example, whilst PAX6 mutations remain the predominant cause, variants in CYP1B1, FOXC1, PXDN and SOX11 have also been reported in patients with childhood glaucoma and aniridia. Developments in molecular-based therapies for retinal and corneal disease are advancing rapidly, and pre-clinical studies of gene-based treatments for glaucoma and aniridia are showing promising results. Use of adeno-associated viral vectors for gene delivery is most common, with improvements in intraocular pressure and retinal ganglion cell survival in Tg-MYOCY437H mouse models of glaucoma, and successful correction of a germline PAX6G194X nonsense variant in mice using CRISPR-Cas9 gene editing. This review will explore the actions and interactions of the genetic causes of non-syndromic glaucoma associated with anterior segment dysgenesis and discuss the current developments in molecular therapies for these patients. Full article
Show Figures

Figure 1

16 pages, 2019 KB  
Article
Molecular and Clinicopathological Profiling of Clear Cell Renal Cell Carcinoma with Rhabdoid Features: An Integrative Pathway-Based Stratification Approach
by Zhichun Lu, Qing Zhao, Huihong Xu, Mark H. Katz, David S. Wang, Christopher D. Andry and Shi Yang
Cancers 2025, 17(17), 2744; https://doi.org/10.3390/cancers17172744 - 23 Aug 2025
Viewed by 706
Abstract
Background: Clear cell renal cell carcinoma with rhabdoid features (ccRCC-R) is a highly aggressive variant of renal cell carcinoma that carries a poor prognosis and limited treatment options. Methods: To better define the clinicopathologic and molecular landscape of ccRCC-R, we conducted [...] Read more.
Background: Clear cell renal cell carcinoma with rhabdoid features (ccRCC-R) is a highly aggressive variant of renal cell carcinoma that carries a poor prognosis and limited treatment options. Methods: To better define the clinicopathologic and molecular landscape of ccRCC-R, we conducted an integrated clinicopathologic and molecular study of 17 tumors of ccRCC-R, utilizing comprehensive histomorphologic evaluation, immunohistochemistry, and targeted next-generation sequencing (NGS). Results: Histologically, all tumors demonstrated classic clear cell renal cell carcinoma morphology with focal to extensive rhabdoid differentiation, characterized by eccentrically located nuclei, prominent nucleoli, abundant eosinophilic cytoplasm, and paranuclear intracytoplasmic inclusion. Architectural alterations, including solid/sheet-like, alveolar/trabecular, and pseudopapillary growth patterns, were frequently observed. Immunohistochemically, tumors commonly exhibited loss of PAX8 and Claudin4 expression, preserved cytokeratin AE1/AE3 staining, and diffuse membranous CAIX expression. Frequent loss of SMARCA2 with retained SMARCA4 supported aberrations in chromatin remodeling. Unsupervised hierarchical clustering based on pathway-specific somatic mutations identified four distinct molecular subgroups defined by recurrent alterations in (1) DNA damage repair (DDR) genes, (2) chromatin remodeling genes, (3) PI3K/AKT/mTOR signaling components, and (4) MAPK pathway genes. Clinicopathologic correlation revealed that each subgroup was associated with unique biological characteristics and suggested distinct therapeutic vulnerabilities. Conclusions: Our findings underscore the molecular heterogeneity of ccRCC-R and support the utility of pathway-based stratification for guiding precision oncology approaches and biomarker-informed clinical trial design. Full article
(This article belongs to the Special Issue Recent Advances in Management of Renal Cell Carcinoma)
Show Figures

Figure 1

20 pages, 5606 KB  
Article
Ptip and the Trr-COMPASS-like Complex Regulate Cardiac Progenitor Cell Division in the Drosophila Embryonic Heart Tube
by Adam J. Farmer, Mark H. Inlow, Shaad M. Ahmad and Kristopher R. Schwab
Int. J. Mol. Sci. 2025, 26(16), 7954; https://doi.org/10.3390/ijms26167954 - 18 Aug 2025
Viewed by 585
Abstract
The Complex Proteins Associated with Set1 (COMPASS)-like complex regulates developmental gene expression via histone 3 lysine 4 (H3K4) methylation and other transcriptional mechanisms. Several members of the lysine methyltransferase 2C and D (KMT2C/D)-COMPASS-like complex are implicated in human congenital heart and vascular defects. [...] Read more.
The Complex Proteins Associated with Set1 (COMPASS)-like complex regulates developmental gene expression via histone 3 lysine 4 (H3K4) methylation and other transcriptional mechanisms. Several members of the lysine methyltransferase 2C and D (KMT2C/D)-COMPASS-like complex are implicated in human congenital heart and vascular defects. The investigation of the orthologous Trithorax-related (Trr)-COMPASS-like complex in Drosophila melanogaster (the fruit fly) offers a versatile model to explore gene function in the developing heart. Previous studies have demonstrated the importance of the genes encoding complex members in the later stages of heart development and heart function in both insect and mammalian models. In this study, we investigate the function of trr and the complex member PAX transcription activation domain interacting protein (Ptip) within the Drosophila embryonic dorsal vessel (heart tube). The loss of activity of either gene results in cardiac cell division defects in the Tinman (Tin) and Seven up (Svp) lineages. Furthermore, genetic interaction studies identify a strong synergistic interaction between Ptip and trr implicating Ptip–Trr–COMPASS-like complex regulation in cardiac progenitor cell division. Interestingly, global H3K4 mono-methylation (H3K4me1) and di-methylation (H3K4me2) levels were not significantly affected in either Ptip or trr mutants, suggesting that these proteins regulate cardiac target genes at a local scale. In conclusion, these results suggest that the Trr/KMT2C/D–COMPASS-like complex is a key regulator of cardiac progenitor cell division during early embryonic heart development. Full article
(This article belongs to the Special Issue Drosophila: A Versatile Model in Biology and Medicine—2nd Edition)
Show Figures

Figure 1

17 pages, 2085 KB  
Article
Association of PAX3 Gene Polymorphism with Three-Dimensional Nasal Root Morphology
by Seishiro Ueda, Ryosuke Kimura, Yong-Il Kim, Mohamed Adel, Yu Hikita, Reina Hatanaka, Masahiro Takahashi, So Koizumi and Tetsutaro Yamaguchi
Int. J. Mol. Sci. 2025, 26(16), 7842; https://doi.org/10.3390/ijms26167842 - 14 Aug 2025
Viewed by 619
Abstract
Paired box gene 3 (PAX3) plays an important role in craniofacial development. Mutations in this gene are associated with Waardenburg syndrome, which is a condition characterized by facial anomalies such as widely spaced inner corners of the eyes. PAX3 gene polymorphisms [...] Read more.
Paired box gene 3 (PAX3) plays an important role in craniofacial development. Mutations in this gene are associated with Waardenburg syndrome, which is a condition characterized by facial anomalies such as widely spaced inner corners of the eyes. PAX3 gene polymorphisms are associated with the relative position of the nasal root (nasion), even among healthy individuals. Facial morphology has primarily been examined using three-dimensional (3D) facial scans of soft tissues, whereas studies focusing on hard tissues remain limited. Therefore, the present study aimed to analyze 3D craniofacial morphology in hard tissues using computed tomography imaging and investigate the influence of PAX3 polymorphisms on the 3D morphology of the nasal root. The analysis was conducted on three populations: 201 healthy Japanese, 74 healthy Korean, and 142 healthy Egyptian individuals. DNA was extracted from saliva samples, and the genotypes of two PAX3 single-nucleotide polymorphisms (SNPs; rs9288572 and rs7559271) were analyzed. A multiple regression analysis of the association between these SNPs and measurements related to nasal root morphology revealed a significant association between rs7559271 and the protrusion angle of the nasion. These findings suggest that PAX3 gene polymorphisms influence the morphological development of the nasal root within the normal range of hard tissues. Full article
(This article belongs to the Section Molecular Genetics and Genomics)
Show Figures

Figure 1

16 pages, 1826 KB  
Article
Epigenetic Signatures of Dental Stem Cells: Insights into DNA Methylation and Noncoding RNAs
by Rosanna Guarnieri, Agnese Giovannetti, Giulia Marigliani, Michele Pieroni, Tommaso Mazza, Ersilia Barbato and Viviana Caputo
Appl. Sci. 2025, 15(15), 8749; https://doi.org/10.3390/app15158749 - 7 Aug 2025
Viewed by 718
Abstract
Tooth development (odontogenesis) is regulated by interactions between epithelial and mesenchymal tissues through signaling pathways such as Bone Morphogenetic Protein (BMP), Wingless-related integration site (Wnt), Sonic Hedgehog (SHH), and Fibroblast Growth Factor (FGF). Mesenchymal stem cells (MSCs) derived from dental tissues—including dental pulp [...] Read more.
Tooth development (odontogenesis) is regulated by interactions between epithelial and mesenchymal tissues through signaling pathways such as Bone Morphogenetic Protein (BMP), Wingless-related integration site (Wnt), Sonic Hedgehog (SHH), and Fibroblast Growth Factor (FGF). Mesenchymal stem cells (MSCs) derived from dental tissues—including dental pulp stem cells (DPSCs), periodontal ligament stem cells (PDLSCs), and dental follicle progenitor cells (DFPCs)—show promise for regenerative dentistry due to their multilineage differentiation potential. Epigenetic regulation, particularly DNA methylation, is hypothesized to underpin their distinct regenerative capacities. This study reanalyzed publicly available DNA methylation data generated with Illumina Infinium HumanMethylation450 BeadChip arrays (450K arrays) from DPSCs, PDLSCs, and DFPCs. High-confidence CpG sites were selected based on detection p-values, probe variance, and genomic annotation. Principal Component Analysis (PCA) and hierarchical clustering identified distinct methylation profiles. Functional enrichment analyses highlighted biological processes and pathways associated with specific methylation clusters. Noncoding RNA analysis was integrated to construct regulatory networks linking DNA methylation patterns with key developmental genes. Distinct epigenetic signatures were identified for DPSCs, PDLSCs, and DFPCs, characterized by differential methylation across specific genomic contexts. Functional enrichment revealed pathways involved in odontogenesis, osteogenesis, and neurodevelopment. Network analysis identified central regulatory nodes—including genes, such as PAX6, FOXC2, NR2F2, SALL1, BMP7, and JAG1—highlighting their roles in tooth development. Several noncoding RNAs were also identified, sharing promoter methylation patterns with developmental genes and being implicated in regulatory networks associated with stem cell differentiation and tissue-specific function. Altogether, DNA methylation profiling revealed that distinct epigenetic landscapes underlie the developmental identity and differentiation potential of dental-derived mesenchymal stem cells. This integrative analysis highlights the relevance of noncoding RNAs and regulatory networks, suggesting novel biomarkers and potential therapeutic targets in regenerative dentistry and orthodontics. Full article
Show Figures

Figure 1

Back to TopTop