Mucinous Tubular and Spindle Cell Carcinoma of the Kidney: A Rare Renal Neoplasm—Case Report and Literature Review
Abstract
1. Introduction and Clinical Significance
2. Case Presentation
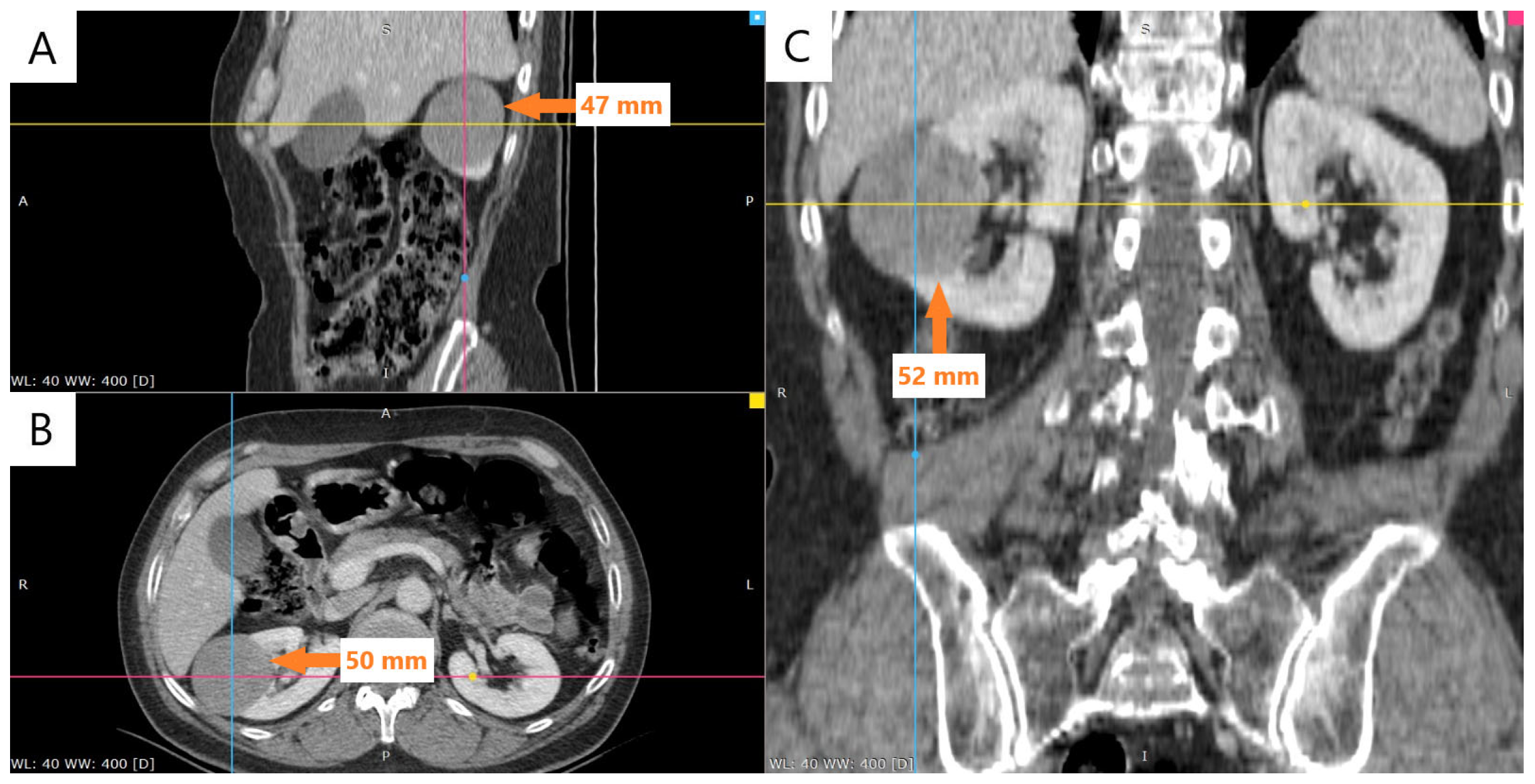
2.1. Clinical Presentation
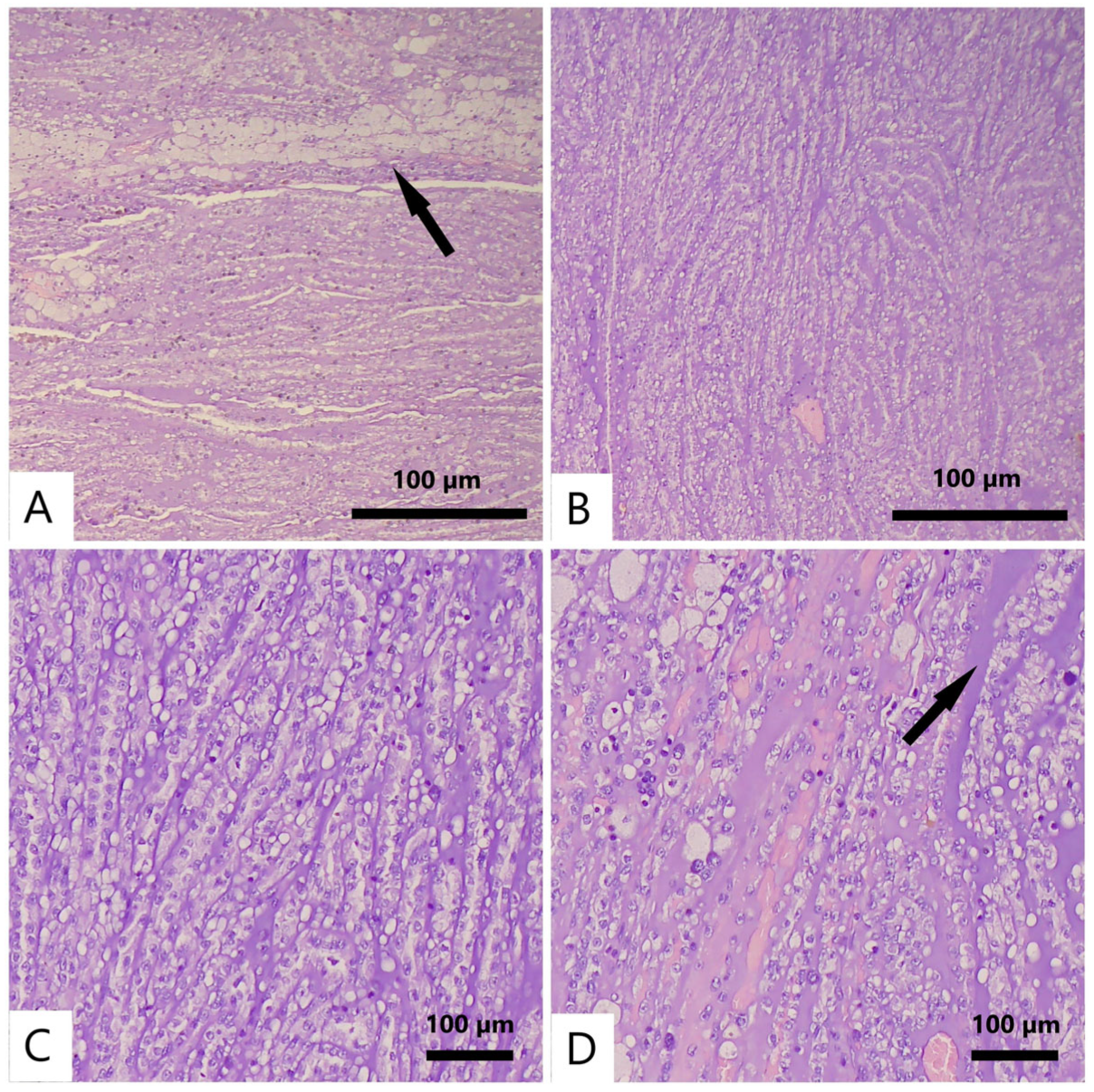
2.2. Pathological Findings
3. Discussion
4. Conclusions
Supplementary Materials
Author Contributions
Funding
Institutional Review Board Statement
Informed Consent Statement
Data Availability Statement
Conflicts of Interest
Abbreviations
| CT | Computed tomography |
| H&E | Hematoxylin and eosin |
| IHC | Immunohistochemistry |
| MRI | Magnetic resonance imaging |
| MTSCC | Mucinous tubular and spindle cell carcinoma |
| papRCC | Papillary renal cell carcinoma |
| RCC | Renal cell carcinoma |
| WHO | World Health Organization |
References
- Lopez-Beltran, A.; Scarpelli, M.; Montironi, R.; Kirkali, Z. 2004 WHO classification of the renal tumors of the adults. Eur. Urol. 2006, 49, 798–805. [Google Scholar] [CrossRef]
- Moch, H.; Cubilla, A.L.; Humphrey, P.A.; Reuter, V.E.; Ulbright, T.M. The 2016 WHO classification of tumours of the urinary system and male genital organs. Part A: Renal, penile, and testicular tumours. Eur. Urol. 2016, 70, 93–105. [Google Scholar] [CrossRef]
- WHO Classification of Tumours Editorial Board. Urinary and Male Genital Tumours, 5th ed.; International Agency for Research on Cancer: Lyon, France, 2022; ISBN 978-92-832-4503-3. [Google Scholar]
- Tsang, S.L.; Hsu, S.S.; An, C.; Ho, S.; Ng, A. Mucinous Tubular and Spindle Cell Carcinoma: Case Report and Literature Review. J. Kidney Cancer VHL 2025, 12, 6–11. [Google Scholar] [CrossRef]
- Hasan, N.; Moatasim, A. Mucinous tubular and spindle cell carcinoma with high-grade transformation: Case report. Surg. Exp. Pathol. 2022, 5, 4. [Google Scholar] [CrossRef]
- Ling, C.; Tan, R.; Li, J.; Feng, J. Mucinous tubular and spindle cell carcinoma of the kidney: A report of seven cases. BMC Cancer 2023, 23, 815. [Google Scholar] [CrossRef] [PubMed]
- Fine, S.W.; Argani, P.; DeMarzo, A.M.; Delahunt, B.; Sebo, T.J.; Reuter, V.E.; Epstein, J.I. Expanding the histologic spectrum of mucinous tubular and spindle cell carcinoma of the kidney. Am. J. Surg. Pathol. 2006, 30, 1554–1560. [Google Scholar] [CrossRef] [PubMed]
- Wang, H.; Peng, X.; Li, L.; Yang, Y. A retrospective study of imaging characteristics of mucinous tubular and spindle cell carcinoma in the kidney. Front. Oncol. 2025, 15, 1515569. [Google Scholar] [CrossRef]
- Xu, X.; Zhong, J.; Zhou, X.; Wei, Z.; Xia, Q.; Huang, P.; Shi, C.; Da, J.; Tang, C.; Cheng, W.; et al. Mucinous Tubular and Spindle Cell Carcinoma of the Kidney: A Study of Clinical, Imaging Features and Treatment Outcomes. Front. Oncol. 2022, 12, 865263. [Google Scholar] [CrossRef]
- Cornelis, F.; Ambrosetti, D.; Rocher, L.; Derchi, L.E.; Renard, B.; Puech, P.; Claudon, M.; Rouvière, O.; Ferlicot, S.; Roy, C.; et al. CT and MR imaging features of mucinous tubular and spindle cell carcinoma of the kidneys: A multi-institutional review. Eur. Radiol. 2017, 27, 1087–1095. [Google Scholar] [CrossRef]
- Paner, G.P.; Srigley, J.R.; Radhakrishnan, A.; Cohen, C.; Skinnider, B.F.; Tickoo, S.K.; Young, A.N.; Amin, M.B. Immunohistochemical analysis of mucinous tubular and spindle cell carcinoma and papillary renal cell carcinoma of the kidney: Significant immunophenotypic overlap warrants diagnostic caution. Am. J. Surg. Pathol. 2006, 30, 13–19. [Google Scholar] [CrossRef]
- Mehdi, M.Z.; Nagi, A.H.; Naseem, N. MCM-2 and Ki-67 as Proliferation Markers in Renal Cell Carcinoma: A Quantitative and Semi-Quantitative Analysis. Int. Braz. J. Urol. 2016, 42, 1121–1128. [Google Scholar] [CrossRef]
- Ren, Q.; Wang, L.; Al-Ahmadie, H.A.; Fine, S.W.; Gopalan, A.; Sirintrapun, S.J.; Tickoo, S.K.; Reuter, V.E.; Chen, Y.B. Distinct Genomic Copy Number Alterations Distinguish Mucinous Tubular and Spindle Cell Carcinoma of the Kidney From Papillary Renal Cell Carcinoma With Overlapping Histologic Features. Am. J. Surg. Pathol. 2018, 42, 767–777. [Google Scholar] [CrossRef]
- Sadimin, E.T.; Chen, Y.B.; Wang, L.; Argani, P.; Epstein, J.I. Chromosomal abnormalities of high-grade mucinous tubular and spindle cell carcinoma of the kidney. Histopathology 2017, 71, 719–724. [Google Scholar] [CrossRef]
- Makker, S.; Shah, N.J.; Carlo, M.I.; Kuo, F.; Hakimi, A.A.; Chen, Y.-B.; Iyer, G.; Kotecha, R.R. Immune Checkpoint Blockade Response in Mucinous Tubular and Spindle Cell Carcinoma. Curr. Oncol. 2025, 32, 94. [Google Scholar] [CrossRef] [PubMed]
- Ged, Y.; Chen, Y.B.; Knezevic, A.; Donoghue, M.T.A.; Carlo, M.I.; Lee, C.H.; Feldman, D.R.; Patil, S.; Hakimi, A.A.; Russo, P.; et al. Mucinous Tubular and Spindle-Cell Carcinoma of the Kidney: Clinical Features, Genomic Profiles, and Treatment Outcomes. Clin. Genitourin. Cancer 2019, 17, 268–274.e1. [Google Scholar] [CrossRef] [PubMed]
- Rao, B.V.; Regulavalasa, T.; Fonseca, D.; Murthy, S.S.; Sharma, R.; Raju, K.V.V.N.; Rao, T.S.; Sundaram, C. Differentiation of renal cell tumors with morphological cocktails using a minimal panel of immunohistochemical markers. Urol. Ann. 2020, 12, 236–240. [Google Scholar] [CrossRef] [PubMed]
- Sanguedolce, F.; Mazzucchelli, R.; Falagario, U.G.; Cormio, A.; Zanelli, M.; Palicelli, A.; Zizzo, M.; Eccher, A.; Brunelli, M.; Galosi, A.B.; et al. Diagnostic Biomarkers in Renal Cell Tumors According to the Latest WHO Classification: A Focus on Selected New Entities. Cancers 2024, 16, 1856. [Google Scholar] [CrossRef]
- Yamashita, K.; Yoshida, K.; Sakamoto, T.; Kubota, S.; Shiseki, T.; Nakazawa, T.; Nagashima, Y.; Inui, M. High-grade mucinous tubular and spindle cell carcinoma of the kidney in a patient on hemodialysis: A case report and literature review. Ren. Replace. Ther. 2024, 10, 57. [Google Scholar] [CrossRef]
- Nathany, S.; Monappa, V. Mucinous Tubular and Spindle Cell Carcinoma: A Review of Histopathology and Clinical and Prognostic Implications. Arch. Pathol. Lab. Med. 2020, 144, 115–118. [Google Scholar] [CrossRef]
- Farghaly, H. Mucin-poor mucinous tubular and spindle cell carcinoma of the kidney, with non-classic morphologic variant of spindle cell predominance and psammomatous calcification. Ann. Diagn. Pathol. 2012, 16, 59–62. [Google Scholar] [CrossRef]
- Bhardwaj, N.; Parkhi, M.; Chatterjee, D.; Singh, S.K. Mucinous tubular and spindle cell carcinoma of the kidney. Autops. Case Rep. 2023, 13, e2023415. [Google Scholar] [CrossRef]
- Sarsık, B.; Şimşir, A.; Karaarslan, S.; Şen, S. Mucinous tubular and spindle cell carcinoma of kidney and problems in diagnosis. Turk. J. Pathol. 2011, 27, 116–126. [Google Scholar] [CrossRef]
- Pérez-González, S.; Del Rosario-Rodríguez, V.; Feltes-Ochoa, J.A.; Gimeno-Aranguez, M.; Alcojor-Ballesteros, I.; Carrero-López, V.M. Carcinoma mucinoso tubular y de células fusiformes renal: Aportación de 2 nuevos casos y revisión de la literatura. Arch. Esp. Urol. 2022, 75, 19–26. [Google Scholar]
- Yang, C.; Cimera, R.S.; Aryeequaye, R.; Jayakumaran, G.; Sarungbam, J.; Al-Ahmadie, H.A.; Gopalan, A.; Sirintrapun, S.J.; Fine, S.W.; Tickoo, S.K.; et al. Adverse histology, homozygous loss of CDKN2A/B, and complex genomic alterations in locally advanced/metastatic renal mucinous tubular and spindle cell carcinoma. Mod. Pathol. 2021, 34, 445–456. [Google Scholar] [CrossRef] [PubMed]
- Bajpai, M.; Pooja, S.; Tyagi, M.; Pathre, A. Mucinous spindle and tubular renal cell cancer: A rare variant of renal cell cancer. J. Cancer Res. Ther. 2022, 18, 1168–1170. [Google Scholar] [CrossRef] [PubMed]
- Mehra, R.; Vats, P.; Cieslik, M.; Cao, X.; Su, F.; Shukla, S.; Udager, A.M.; Wang, R.; Pan, J.; Kasaian, K.; et al. Biallelic Alteration and Dysregulation of the Hippo Pathway in Mucinous Tubular and Spindle Cell Carcinoma of the Kidney. Cancer Discov. 2016, 6, 1258–1266. [Google Scholar] [CrossRef] [PubMed]
- Ljungberg, B.; Albiges, L.; Abu-Ghanem, Y.; Bedke, J.; Capitanio, U.; Dabestani, S.; Fernández-Pello, S.; Giles, R.H.; Hofmann, F.; Hora, M.; et al. European Association of Urology Guidelines on Renal Cell Carcinoma: The 2022 Update. Eur. Urol. 2022, 82, 399–410. [Google Scholar] [CrossRef]
- Fuchizawa, H.; Kijima, T.; Takada-Owada, A.; Nagashima, Y.; Okazaki, A.; Yokoyama, M.; Nishihara, D.; Ishida, K.; Kamai, T. Metastatic mucinous tubular and spindle cell carcinoma of the kidney responding to nivolumab plus ipilimumab. IJU Case Rep. 2021, 4, 333–337. [Google Scholar] [CrossRef]




| Parameter | Measured Value at Hospital Admission | Postoperative Measured Value (Day 1) | Reference Range | Unit |
|---|---|---|---|---|
| Blood biochemistry | ||||
| Alanine aminotransferase | 18 | 13 | <33 | U/L |
| Aspartate aminotransferase | 20 | 18 | <32 | U/L |
| Creatinine | 0.72 | 0.78 | <1 | mg/dL |
| Glucose | 98 | 61 | 60–99 | mg/dL |
| Urea | 39 | 30 | ||
| Complete Blood Count | ||||
| Red blood cells | 3.65 | 4.77 | 3.8–5.3 | mil/µL |
| Hemoglobin | 11.5 | 15.4 | 11.7–16 | g/dL |
| Hematocrit | 35.7 | 45 | 35–47 | % |
| Mean corpuscular volume | 97.8 | 94.3 | 81–101 | fL |
| Mean corpuscular hemoglobin | 31.5 | 32.3 | 27–34 | pg/cell |
| Mean corpuscular hemoglobin concentration | 32.2 | 34.2 | 31–36 | g/dL |
| White blood cell count | 5.7 | 6.32 | 4–10 | K/µL |
| Lymphocytes | 28.2 | 47.6 | 20–55 | % |
| Monocytes | 5.8 | 9.3 | ≤15 | % |
| Neutrophils | 63.9 | 37.1 | 45–80 | % |
| Eosinophils | 1.9 | 5.4 | ≤7 | % |
| Basophils | 0.2 | 0.6 | ≤2 | % |
| Platelet count | 228 | 176 | 150–450 | K/µL |
| Coagulation screening tests | ||||
| International normalized ratio | 1.03 | - | 0.8–1.2 | |
| Partial thromboplastin time | 32.2 | - | <40 | seconds |
| Quick time | 12.7 | - | - | seconds |
| Urine biochemistry | ||||
| Density | 1015 | - | 1015–1025 | |
| pH | 6 | - | 4.8–7.4 | |
| Leucocytes | negative | - | negative | |
| Nitrites | negative | - | negative | |
| Proteins | <10 | - | <10 | mg/dL |
| Glucose | undetectable | - | undetectable | |
| Ketone bodies | negative | - | negative | |
| Urobilinogen | normal | - | normal | |
| Bilirubine | negative | - | negative | |
| Eritrocytes | negative | - | negative |
| Antibody | Result | Localization |
|---|---|---|
| CK7 | Positive | Cytoplasmic |
| CK19 | Positive | Cytoplasmic |
| EMA | Positive | Cytoplasmic |
| PAX8 | Positive | Nuclear |
| AMACR | Positive | Cytoplasmic |
| CD117 | Negative | – |
| RCC | Negative | – |
| CD10 | Negative | – |
| Chromogranin | Negative | – |
| Ki-67 | <10% | Nuclear |
Disclaimer/Publisher’s Note: The statements, opinions and data contained in all publications are solely those of the individual author(s) and contributor(s) and not of MDPI and/or the editor(s). MDPI and/or the editor(s) disclaim responsibility for any injury to people or property resulting from any ideas, methods, instructions or products referred to in the content. |
© 2025 by the authors. Licensee MDPI, Basel, Switzerland. This article is an open access article distributed under the terms and conditions of the Creative Commons Attribution (CC BY) license (https://creativecommons.org/licenses/by/4.0/).
Share and Cite
Burlacu, I.; Aşchie, M.; Boşoteanu, M.; Bălţătescu, G.I.; Dinu, A. Mucinous Tubular and Spindle Cell Carcinoma of the Kidney: A Rare Renal Neoplasm—Case Report and Literature Review. Reports 2025, 8, 189. https://doi.org/10.3390/reports8040189
Burlacu I, Aşchie M, Boşoteanu M, Bălţătescu GI, Dinu A. Mucinous Tubular and Spindle Cell Carcinoma of the Kidney: A Rare Renal Neoplasm—Case Report and Literature Review. Reports. 2025; 8(4):189. https://doi.org/10.3390/reports8040189
Chicago/Turabian StyleBurlacu, Ionuţ, Mariana Aşchie, Mădălina Boşoteanu, Gabriela Izabela Bălţătescu, and Alexandra Dinu. 2025. "Mucinous Tubular and Spindle Cell Carcinoma of the Kidney: A Rare Renal Neoplasm—Case Report and Literature Review" Reports 8, no. 4: 189. https://doi.org/10.3390/reports8040189
APA StyleBurlacu, I., Aşchie, M., Boşoteanu, M., Bălţătescu, G. I., & Dinu, A. (2025). Mucinous Tubular and Spindle Cell Carcinoma of the Kidney: A Rare Renal Neoplasm—Case Report and Literature Review. Reports, 8(4), 189. https://doi.org/10.3390/reports8040189

