Sign in to use this feature.

Years

Between: -

Subjects

remove_circle_outline
remove_circle_outline
remove_circle_outline
remove_circle_outline
remove_circle_outline
remove_circle_outline
remove_circle_outline
remove_circle_outline
remove_circle_outline

Journals

Article Types

Countries / Regions

Search Results (190)

Search Parameters:
Keywords = NHC complexes

Order results
Result details
Results per page
Select all
Export citation of selected articles as:
7 pages, 862 KB  
Short Note
Dichloro[2,5-bis(diisopropylphosphorimidoyl-κN-(4,6-dimethylpyrimidine-κN))pyrrole-κN]yttrium(III)·toluene
by Emily L. Trew, David Szucs and Paul G. Hayes
Molbank 2025, 2025(4), M2066; https://doi.org/10.3390/M2066 - 30 Sep 2025
Abstract
The compound dichloro[bis(diisopropylphosphorimidoyl-κN-(4,6-dimethylpyrimidine-κN))pyrrole-κN]yttrium(III) was synthesized from one equivalent of NaL [L = 2,5-[iPr2P=N(PymMe)]2NH(C4H2); PymMe = 4,6-dimethylpyrimidine] and YCl3(THF)3.5 and crystallized from [...] Read more.
The compound dichloro[bis(diisopropylphosphorimidoyl-κN-(4,6-dimethylpyrimidine-κN))pyrrole-κN]yttrium(III) was synthesized from one equivalent of NaL [L = 2,5-[iPr2P=N(PymMe)]2NH(C4H2); PymMe = 4,6-dimethylpyrimidine] and YCl3(THF)3.5 and crystallized from toluene. X-ray quality crystals of LYCl2 were obtained with one toluene solvent molecule in the asymmetric unit. The geometry, bond lengths and angles were analyzed and found to contain similar parameters to comparable structures in the literature, and the product was further characterized by NMR spectroscopy. To the best of our knowledge, this is the first reported seven-coordinate Y(III) complex supported by a pentadentate ligand wherein all five donor atoms are nitrogen. Full article
Show Figures

Figure 1

26 pages, 5868 KB  
Article
Silver(I)-NHC Complexes as Dual-Action Agents Against Pathogenic Acanthamoeba Trophozoites: Anti-Amoebic and Anti-Adhesion Activities
by Shaima Hkiri, Neslihan Şahin, Zübeyda Akın-Polat, Elvan Üstün, Bui Minh Thu Ly, İsmail Özdemir and David Sémeril
Int. J. Mol. Sci. 2025, 26(19), 9393; https://doi.org/10.3390/ijms26199393 - 25 Sep 2025
Abstract
A series of six silver(I) complexes, namely bromo(1-benzyl-3-cinnamyl-benzimidazol-2-ylidene)silver (I) (1a), bromo[1-(4-methylbenzyl)-3-cinnamyl-benzimidazol-2-yliden]silver(I) (1b), bromo[1-(3-methoxylbenzyl)-3-cinnamyl-benzimidazol-2-yliden]silver(I) (1c), bromo[1-(3,5-dimethoxy-benzyl)-3-cinnamyl-benzimidazol-2-ylidene]silver(I) (1d), bromo[1-(naphthalen-1-ylmethyl)-3-cinnamyl-benzimidazol-2-ylidene]silver(I) (1e) and bromo[1-(pyren-1-ylmethyl)-3-cinnamyl-benzimidazol-2-yliden]silver(I) (1f), were synthetized and characterized by microanalyses and mass spectrometry and [...] Read more.
A series of six silver(I) complexes, namely bromo(1-benzyl-3-cinnamyl-benzimidazol-2-ylidene)silver (I) (1a), bromo[1-(4-methylbenzyl)-3-cinnamyl-benzimidazol-2-yliden]silver(I) (1b), bromo[1-(3-methoxylbenzyl)-3-cinnamyl-benzimidazol-2-yliden]silver(I) (1c), bromo[1-(3,5-dimethoxy-benzyl)-3-cinnamyl-benzimidazol-2-ylidene]silver(I) (1d), bromo[1-(naphthalen-1-ylmethyl)-3-cinnamyl-benzimidazol-2-ylidene]silver(I) (1e) and bromo[1-(pyren-1-ylmethyl)-3-cinnamyl-benzimidazol-2-yliden]silver(I) (1f), were synthetized and characterized by microanalyses and mass spectrometry and characterized by FT-IR and NMR spectroscopic techniques. The in vitro effects of silver(I) complexes on trophozoites of two Acanthamoeba isolates obtained from patients with keratitis were investigated. The parasites were exposed to concentrations of 10, 100 and 1000 µM for 24, 48 and 72 h. The complexes exhibited potent, dose- and time-dependent activity. Complete inhibition was observed within 24 h at a concentration of 1000 µM. At a concentration of 100 µM, complexes 1ce exhibited reduced viability to less than 10% within 48 to 72 h. At a concentration of 10 µM, partial inhibition was observed. Preliminary morphological changes included the loss of acanthopodia, rounding, and detachment. These effects were not observed in the presence of the pre-ligands or commercially available silver compounds. Furthermore, molecular docking was utilized to analyze the molecules against Acanthamoeba castellanii CYP51, A. castellanii profilin IA, IB, and II. The highest recorded interactions were identified as −9.85 and −11.26 kcal/mol for 1e and 1f, respectively, when evaluated against the A. castellanii CYP51 structure. Full article
(This article belongs to the Section Molecular Pharmacology)
Show Figures

Figure 1

23 pages, 6536 KB  
Article
Developing a Composite Hydrological Drought Index Using the VIC Model: Case Study in Northern Thailand
by Duangnapha Lapyai, Chakrit Chotamonsak, Somporn Chantara and Atsamon Limsakul
Water 2025, 17(18), 2732; https://doi.org/10.3390/w17182732 - 16 Sep 2025
Viewed by 398
Abstract
Hydrological drought indices, while critical for monitoring, are often limited by their reliance on single variables, failing to capture the multidimensional complexity of water scarcity, particularly in data-scarce and climate-sensitive regions. This study addresses this critical gap by introducing a Composite Hydrological Drought [...] Read more.
Hydrological drought indices, while critical for monitoring, are often limited by their reliance on single variables, failing to capture the multidimensional complexity of water scarcity, particularly in data-scarce and climate-sensitive regions. This study addresses this critical gap by introducing a Composite Hydrological Drought Index (CHDI) for a northern watershed in Thailand, a region where drought risk is intensified by climatic shifts and intensive land use. The proposed methodology integrates multiple outputs from the Variable Infiltration Capacity (VIC) hydrological model, including precipitation, runoff, evapotranspiration, baseflow, and soil moisture layers, and employs Principal Component Analysis (PCA) to synthesize the dominant drivers of water-level variability. The first principal component (PC1), which accounted for over 50% of the total variance, served as the basis for the CHDI, and was strongly correlated with precipitation, surface runoff, and surface soil moisture. The performance of CHDI was rigorously evaluated against observed data from eight hydrological stations. The index demonstrated significant predictive skill, with Pearson’s correlation coefficients (R) ranging from 0.49 to 0.79 (p < 0.05), a maximum Nash–Sutcliffe Efficiency (NSE) of 0.63, and F1-scores for drought detection as high as 0.92. It effectively captured seasonal and interannual variability, including the accurate identification of low-flow events reported by the National Hydro Informatics Data Center (NHC). While the CHDI showed robust performance, particularly under high-flow conditions and in drought classification, some limitations were observed in complex or anthropogenically influenced sub-catchments. These findings highlight the potential of CHDI as a reliable and integrative tool for hydrological drought monitoring and for supporting water resource management in data-scarce and climate-sensitive regions. Full article
(This article belongs to the Section Hydrology)
Show Figures

Figure 1

14 pages, 2074 KB  
Article
Fluorinated Rh(I)–NHC Compounds as Potential Antibacterials Against Multidrug-Resistant Klebsiella pneumoniae Clinical Isolates Producing ESBL
by Luis Ángel Turcio-García, Ricardo Parra-Unda, Hugo Valdés, Simón Hernández-Ortega, Gladymar Guadalupe Valenzuela-Ramirez, Yesmi Patricia Ahumada-Santos, Yesenia Sánchez-Lugo, Viviana Reyes-Márquez and David Morales-Morales
Pharmaceutics 2025, 17(8), 973; https://doi.org/10.3390/pharmaceutics17080973 - 28 Jul 2025
Viewed by 586
Abstract
Background/objectives: The increasing prevalence of multidrug-resistant (MDR) bacteria, particularly Klebsiella pneumoniae, calls for the development of new antimicrobial agents. This study investigates a series of fluorinated azolium salts and their rhodium(I) complexes for antibacterial activity against clinical and reference strains of K. [...] Read more.
Background/objectives: The increasing prevalence of multidrug-resistant (MDR) bacteria, particularly Klebsiella pneumoniae, calls for the development of new antimicrobial agents. This study investigates a series of fluorinated azolium salts and their rhodium(I) complexes for antibacterial activity against clinical and reference strains of K. pneumoniae. Methods: Eleven fluorinated azolium salts and their corresponding Rh(I) complexes (22 compounds total) were synthesized and tested against several K. pneumoniae strains, including three MDR clinical isolates (U–13685, H–9871, U–13815) and ATCC reference strains. Minimum inhibitory concentrations (MICs) were determined. In silico ADMET analyses were conducted to evaluate intestinal absorption, oral bioavailability, Caco-2 permeability, carcinogenicity, solubility, and synthetic accessibility. Results: Among the Rh(I) complexes, Rh–1, Rh–3, and Rh–11 showed activity against the three MDR isolates (MIC = 62.5–250 µg/mL), while Rh–1, Rh–4, Rh–6, and Rh–11 were active against all ATCC strains (MIC = 3.9–250 µg/mL). The corresponding azolium salts displayed weak or no activity, highlighting the critical role of the metal center. ADMET predictions indicated that most Rh complexes had good intestinal absorption, and all except Rh–3, Rh–4, and Rh–9 were predicted to be orally bioavailable. Compounds Rh–1 to Rh–7 showed Caco-2 permeability, and all were classified as non-carcinogenic. Rh–8 to Rh–11 exhibited lower solubility and synthetic accessibility. Conclusions: The results underscore the potential of fluorinated Rh(I) complexes as antibacterial agents against MDR K. pneumoniae, with Rh–1 and Rh–11 emerging as promising leads based on activity and favorable predicted pharmacokinetics. Full article
Show Figures

Graphical abstract

12 pages, 2466 KB  
Article
ROMP and Vinyl Polynorbornenes with Vanadium(III) and Nickel(II) diNHC Complexes
by Katarzyna Halikowska-Tarasek, Elwira Bisz, Dawid Siodłak, Błażej Dziuk and Wioletta Ochędzan-Siodłak
Int. J. Mol. Sci. 2025, 26(14), 6691; https://doi.org/10.3390/ijms26146691 - 12 Jul 2025
Viewed by 490
Abstract
The polymerization of norbornene can occur via ring-opening metathesis polymerization (ROMP) or vinyl-addition pathways, each yielding polynorbornene with distinct structures and properties. This study reports on the synthesis and catalytic application of a new class of vanadium(III) and nickel(II) complexes bearing N-heterocyclic [...] Read more.
The polymerization of norbornene can occur via ring-opening metathesis polymerization (ROMP) or vinyl-addition pathways, each yielding polynorbornene with distinct structures and properties. This study reports on the synthesis and catalytic application of a new class of vanadium(III) and nickel(II) complexes bearing N-heterocyclic carbene ligands, based on the IPr* framework, for the polymerization of norbornene. The vanadium(III) complexes, activated by diethylaluminum chloride and in the presence of ethyl trichloroacetate, showed activity in ROMP. In contrast, the nickel(II) complexes, activated by methylaluminoxane, exhibited catalytic activity toward vinyl-addition polymerization. Characterization by GPC, NMR, and FTIR confirmed the formation of both ring-opening metathesis polymerization and vinyl-type-derived polynorbornenes, with vinyl-type polymers showing significantly higher molecular weights. Structural variations in the N-heterocyclic carbene ligands, particularly the linker length between imidazole donors, were found to strongly influence polymer molecular weight and the morphology of polynorbornenes. Full article
(This article belongs to the Section Materials Science)
Show Figures

Figure 1

20 pages, 6758 KB  
Article
Novel Au(I)- and Ag(I)-NHC Complexes with N-Boc-Protected Proline as Potential Candidates for Neurodegenerative Disorders
by Jessica Ceramella, Assunta D’Amato, Francesca Procopio, Annaluisa Mariconda, Daniel Chavarria, Domenico Iacopetta, Francesco Ortuso, Pasquale Longo, Fernanda Borges and Maria Stefania Sinicropi
Int. J. Mol. Sci. 2025, 26(13), 6116; https://doi.org/10.3390/ijms26136116 - 25 Jun 2025
Cited by 1 | Viewed by 549
Abstract
Neurodegenerative diseases (NDDs), including Alzheimer’s disease (AD) and Parkinson’s disease (PD), are characterized by progressive neuronal dysfunction and loss and represent a significant global health challenge. Oxidative stress, neuroinflammation, and neurotransmitter dysregulation, particularly affecting acetylcholine (ACh) and monoamines, are key hallmarks of these [...] Read more.
Neurodegenerative diseases (NDDs), including Alzheimer’s disease (AD) and Parkinson’s disease (PD), are characterized by progressive neuronal dysfunction and loss and represent a significant global health challenge. Oxidative stress, neuroinflammation, and neurotransmitter dysregulation, particularly affecting acetylcholine (ACh) and monoamines, are key hallmarks of these conditions. The current therapeutic strategies targeting cholinergic and monoaminergic systems have some limitations, highlighting the need for novel approaches. Metallodrugs, especially ruthenium and platinum complexes, are gaining attention for their therapeutic use. Among metal complexes, gold(I) and silver(I) N-heterocyclic carbene (NHC) complexes exhibit several biological activities, but their application in NDDs, particularly as monoamine oxidase (MAO) inhibitors, remains largely unexplored. To advance the understanding of this field, we designed, synthesized, and evaluated the biological activity of a new series of Au(I) and Ag(I) complexes stabilized by NHC ligands and bearing a carboxylate salt of tert-butyloxycarbonyl (Boc)-N-protected proline as an anionic ligand. Through in silico and in vitro studies, we assessed their potential as acetylcholinesterase (AChE) and MAO inhibitors, as well as their antioxidant and anti-inflammatory properties, aiming to contribute to the development of potential novel therapeutic agents for NDD management. Full article
Show Figures

Figure 1

17 pages, 3400 KB  
Article
In Vitro Evaluation of Silver-NHC Complexes Against a Clinical Isolate of Acanthamoeba castellanii: Time- and Dose-Dependent Effects
by Zübeyda Akın-Polat, Neslihan Şahin, Shaima Hkiri, Bui Minh Thu Ly, İsmail Özdemir and David Sémeril
Inorganics 2025, 13(6), 204; https://doi.org/10.3390/inorganics13060204 - 18 Jun 2025
Cited by 1 | Viewed by 522
Abstract
The synthesis of a series of six chloro[N-alkyl-N-cinnamyl-benzimidazol-2-yliden]silver(I) complexes was successfully achieved, wherein allyl (3a), methoxymethyl (3b), benzyl (3c), 3-fluorobenzyl (3d), 4-fluorobenzyl (3e) and 4-methyl-benzyl (3f) substituents [...] Read more.
The synthesis of a series of six chloro[N-alkyl-N-cinnamyl-benzimidazol-2-yliden]silver(I) complexes was successfully achieved, wherein allyl (3a), methoxymethyl (3b), benzyl (3c), 3-fluorobenzyl (3d), 4-fluorobenzyl (3e) and 4-methyl-benzyl (3f) substituents were grafted on the benzimidazole ring. The isolated silver N-heterocyclic carbene (NHC) complexes were identified by microanalyses and mass spectrometry and characterized by FT-IR and NMR spectroscopic techniques. Conclusive evidence for the structures of complexes 3c and 3d was provided by single-crystal X-ray crystallography. The in vitro inhibitory activity of the six Ag-NHC complexes was tested against trophozoites and cysts of the pathogenic Acanthamoeba castellanii strain and the efficacy sequence is as follows: 3d > 3c > 3f > 3a > 3b > 3e. At a concentration of 100 µM in complexes 3c, 3d and 3f and after 72 h of incubation, 5.3, 3.2 and 6.3% A. castellanii trophozoite viabilities were observed, respectively. The utilization of elevated silver(I) drug concentrations, 1000 µM, resulted in the near-total eradication of pathogenic protozoa. Full article
Show Figures

Graphical abstract

48 pages, 13615 KB  
Review
Overview of Some Second- and Third-Row Late Transition Metal Pincer-Type N-Heterocyclic Carbene Complexes: Synthesis, Optical Properties, and Applications
by Dong-Ling Kuang, Ka-Kit Li, Lai-Hon Chung, Jun He and Chun-Yuen Wong
Molecules 2025, 30(12), 2640; https://doi.org/10.3390/molecules30122640 - 18 Jun 2025
Cited by 1 | Viewed by 653
Abstract
N-heterocyclic carbenes (NHCs) were first isolated as stable species by Arduengo in 1991. Since then, they have expanded the boundaries of carbene chemistry and sparked extensive research. Utilizing NHCs to modify the electronic properties of transition metal complexes represents a significant advancement [...] Read more.
N-heterocyclic carbenes (NHCs) were first isolated as stable species by Arduengo in 1991. Since then, they have expanded the boundaries of carbene chemistry and sparked extensive research. Utilizing NHCs to modify the electronic properties of transition metal complexes represents a significant advancement in the field. Pincer-type NHCs, which occupy half or more of the vacant sites on metal centers, typically result in structurally well-defined molecular platforms with specific active sites for a variety of applications. This review provides an overview of late transition metal complexes based on pincer-type NHCs, discussing their synthetic strategies, reactivities, and electronic properties, as well as their applications. Additionally, some perspectives will be presented to highlight future directions in this rapidly growing field. Full article
(This article belongs to the Special Issue Featured Reviews in Organometallic Chemistry, 2nd Edition)
Show Figures

Figure 1

20 pages, 2160 KB  
Article
Conformational Locking of the Geometry in Photoluminescent Cyclometalated N^C^N Ni(II) Complexes
by Maryam Niazi, Iván Maisuls, Lukas A. Mai, Sascha A. Schäfer, Alex Oster, Lukas Santiago Diaz, Dirk M. Guldi, Nikos L. Doltsinis, Cristian A. Strassert and Axel Klein
Molecules 2025, 30(9), 1901; https://doi.org/10.3390/molecules30091901 - 24 Apr 2025
Cited by 1 | Viewed by 787
Abstract
In our research aimed at replacing precious transition metals like platinum with abundant base metals such as nickel for efficient triplet emitters, we synthesized and studied Ni(II) complexes [Ni(LNHR)Cl]. These complexes containing the N^C^N cyclometalating dipyridyl-phenide ligand, equipped with pending H-bonding [...] Read more.
In our research aimed at replacing precious transition metals like platinum with abundant base metals such as nickel for efficient triplet emitters, we synthesized and studied Ni(II) complexes [Ni(LNHR)Cl]. These complexes containing the N^C^N cyclometalating dipyridyl-phenide ligand, equipped with pending H-bonding amine groups (NH(C₆H₅) (LNHPh) and NH(C₆H₅CH₂), ClLNHBn). Molecular structures determined from experimental X-ray diffractometry and density functional theory (DFT) calculations in the ground state showed marked deviation of the Cl coligand (ancillary ligand) from the ideal planar coordination, with τ4 values of 0.35 and 0.33, respectively, along with hydrogen bonding interactions of the ligand NH function with the Cl coligand. The complexes exhibit long-wavelength absorption bands at approximately 425 nm in solution, with the experimental spectra being accurately reproduced through time-dependent density functional theory (TD-DFT) calculations. Vibrationally structured emission profiles and steady-state photoluminescence quantum yields of 30% for [Ni(LNHPh)Cl] and 40% for [Ni(LNHBn)Cl] (along with dual excited state lifetimes in the ns and in the ms range) were found in frozen 2-methyl-tetrahydrofuran (2MeTHF) glassy matrices at 77 K. Furthermore, within a poly(methyl methacrylate) matrix, the complexes showed emission bands centered at around 550 nm within a temperature range from 6 K to 300 K with lifetimes similar to 77 K. Based on TD-DFT potential scans along the metal–ligand (Ni–N) coordinate, we found that in a rigid environment that restricts the geometry to the Franck-Condon region, either the triplet T5 or the singlet S4 state could contribute to the photoluminescence. Full article
Show Figures

Graphical abstract

18 pages, 5022 KB  
Review
Searching for New Gold(I)-Based Complexes as Anticancer and/or Antiviral Agents
by Paola Checconi, Annaluisa Mariconda, Alessia Catalano, Jessica Ceramella, Michele Pellegrino, Stefano Aquaro, Maria Stefania Sinicropi and Pasquale Longo
Molecules 2025, 30(8), 1726; https://doi.org/10.3390/molecules30081726 - 11 Apr 2025
Cited by 2 | Viewed by 1184
Abstract
Approaches capable of simultaneously treating cancer and protecting susceptible patients from lethal infections are highly desirable, although they prove challenging. Taking inspiration from the well-known anticancer platinum complexes, successive studies about the complexation of organic compounds with other late transition metals, such as [...] Read more.
Approaches capable of simultaneously treating cancer and protecting susceptible patients from lethal infections are highly desirable, although they prove challenging. Taking inspiration from the well-known anticancer platinum complexes, successive studies about the complexation of organic compounds with other late transition metals, such as silver, gold, palladium, rhodium, ruthenium, iridium, and osmium, have led to remarkable anticancer activities. Among the numerous chemical moieties studied, N-heterocyclic carbenes (NHCs) have revealed very attractive activities due to their favorable chemical properties. Specifically, gold–NHC complexes emerged as some of the most active complexes acting as antitumor agents. On the other hand, some recent studies have highlighted the involvement of these complexes in antiviral research as well. The well-known gold-based, orally available complex auranofin approved by the Food and Drug Administration (FDA) for the treatment of rheumatoid arthritis has been suggested as a repositioned drug for both cancer and viral infections. In the era of the COVID-19 pandemic, the most interesting goal could be the discovery of gold–NHC complexes as dual antiviral and anticancer agents. In this review, the most recent studies regarding the anticancer and antiviral activities of gold(I)–NHC complexes will be analyzed and discussed, offering an interesting insight into the research in this field. Full article
(This article belongs to the Special Issue Exclusive Feature Papers in Inorganic Chemistry, 3rd Edition)
Show Figures

Graphical abstract

26 pages, 3639 KB  
Article
An Adaptive Combined Filtering Algorithm for Non-Holonomic Constraints with Time-Varying and Thick-Tailed Measurement Noise
by Zijian Wang, Jianghua Liu, Jinguang Jiang, Jiaji Wu, Qinghai Wang and Jingnan Liu
Remote Sens. 2025, 17(7), 1126; https://doi.org/10.3390/rs17071126 - 21 Mar 2025
Cited by 1 | Viewed by 677
Abstract
Aiming at the problem that the pseudo-velocity measurement noise of non-holonomic constraints (NHCs) in the integrated navigation of vehicle-mounted a global navigation satellite system/inertial navigation system (GNSS/INS) is time-varying and thick-tailed in complex road conditions (turning, sideslip, etc.) and cannot be accurately predicted, [...] Read more.
Aiming at the problem that the pseudo-velocity measurement noise of non-holonomic constraints (NHCs) in the integrated navigation of vehicle-mounted a global navigation satellite system/inertial navigation system (GNSS/INS) is time-varying and thick-tailed in complex road conditions (turning, sideslip, etc.) and cannot be accurately predicted, an adaptive estimation method for the initial value of NHC lateral velocity noise based on multiple linear regression is proposed. On the basis of this method, a Gaussian Student’s T distribution variational Bayesian filtering algorithm (Ga-St VBAKF) based on NHC pseudo-velocity measurement noise modeling is proposed through modeling and analysis of pseudo-velocity measurement noise. Firstly, in order to adaptively adjust the initial value of NHC lateral velocity noise, a vehicle turning detection algorithm is used to detect whether the vehicle is turning. Secondly, based on the vehicle motion state, the variational Bayesian method is used to adaptively estimate the statistical characteristics of the measurement noise in real time based on modeling of the lateral velocity noise as Gaussian white noise or Student’s T distribution thick-tail noise. The test results show that compared to the traditional Kalman filtering algorithm with fixed noise, the Ga-St VBAKF algorithm with noise adaptation reduces the maximum horizontal position error by 65.9% in the GNSS/NHC/OD/INS (where OD stands for odometer and INS stands for inertial measurement unit) system when the vehicle is in a turning state, and by 42.3% in the NHC/OD/INS system. This indicates that the algorithm can effectively suppress the divergence of positioning errors during turning and improve the performance of integrated navigation. Full article
Show Figures

Graphical abstract

24 pages, 2813 KB  
Article
Axial Ligand Effects on the Mechanism of Ru-CO Bond Photodissociation and Photophysical Properties of Ru(II)-Salen PhotoCORMs/Theranostics: A Density Functional Theory Study
by Niq Catevas and Athanassios Tsipis
Molecules 2025, 30(5), 1147; https://doi.org/10.3390/molecules30051147 - 3 Mar 2025
Cited by 1 | Viewed by 1297
Abstract
Density functional theory (DFT) calculations were employed to study a series of complexes of general formula [Ru(salen)(X)(CO)]0/−1 (X = Cl, F, SCN, DMSO, Phosphabenzene, Phosphole, TPH, CN, N3, NO3 [...] Read more.
Density functional theory (DFT) calculations were employed to study a series of complexes of general formula [Ru(salen)(X)(CO)]0/−1 (X = Cl, F, SCN, DMSO, Phosphabenzene, Phosphole, TPH, CN, N3, NO3, CNH, NHC, P(OH)3, PF3, PH3). The effect of ligands X on the Ru-CO bond was quantified by the trans-philicity, Δσ13C NMR parameter. The potential of Δσ13C to be used as a probe of the CO photodissociation by Ru(II) transition metal complexes is established upon comparing it with other trans-effect parameters. An excellent linear correlation is found between the energy barrier for the Ru-CO photodissociation and the Δσ13C parameter, paving the way for studying photoCORMs with the 13C NMR method. The strongest trans-effect on the Ru-CO bond in the [Ru(salen)(X)(CO)]0/−1 complexes are found when X = CNH, NHC, and P(OH)3, while the weakest for X = Cl, NO3 and DMSO trans-axial ligands. The Ru-CO bonding properties were scrutinized using Natural Bond Orbital (NBO), Natural Energy Decomposition Analysis (NEDA) and Natural Orbital of Chemical Valence (NOCV) methods. The nature of the Ru-CO bond is composite, i.e., electrostatic, covalent and charge transfer. Both donation and backdonation between CO ligand and Ru metal centre equally stabilize the Ru(II) complexes. Ru-CO photodissociation proceeds via a 3MC triplet excited state, exhibiting a conical intersection with the T1 3MLCT excited state. Calculations show that these complexes show bands within visible while they are expected to be red emitters. Therefore, the [Ru(salen)(X)(CO)]0/−1 complexes under study could potentially be used for dual action, photoCORMs and theranostics compounds. Full article
(This article belongs to the Special Issue Exclusive Feature Papers in Inorganic Chemistry, 3rd Edition)
Show Figures

Figure 1

16 pages, 1172 KB  
Article
Mechanochemistry to Form Substituted Imidazoles, Imidazolium Salts and NHC–Gold Complexes with Fluorine-Containing Groups
by Chloé Salis, Sabrina Mohammedi, Lucia Turazza, Yuna Blandin, Maritie Garnier, Catherine Hemmert, Michel Baltas and Heinz Gornitzka
Molecules 2025, 30(3), 522; https://doi.org/10.3390/molecules30030522 - 24 Jan 2025
Viewed by 1713
Abstract
Synthesis of organometallic compounds has had an enormous impact on medicine. In this context, gold complexes are gaining much interest since the discovery of the cytotoxic effect of cisplatin. On the other hand, in the last two decades, the mechanochemical synthetic approaches have [...] Read more.
Synthesis of organometallic compounds has had an enormous impact on medicine. In this context, gold complexes are gaining much interest since the discovery of the cytotoxic effect of cisplatin. On the other hand, in the last two decades, the mechanochemical synthetic approaches have been developed considerably demonstrating that they could also be a powerful tool enabling environmentally benign and sustainable synthesis of metal complexes. The present work focuses on mechanochemical synthesis of precursors and gold–NHC complexes of type NHCAuCl and [AubisNHC]+. The mechanochemical approach has been studied to afford four substituted imidazoles, eight imidazolium salts and six NHCAuCl and one [AubisNHC]+. Substituted imidazoles were obtained with yields varying between 29–99%. Five imidazolium salts bearing aliphatic carbon atoms were obtained, with yields from 46–81%. It is important to notice that the reaction can follow the aging process giving rise to imidazolium salts in very good yields. Concerning the gold(I) complexes, for the first time, six mono NHC complexes of type NHCAuCl have been synthesized, five of them with yields varying between 41–83%. Finally, compound 19 [AubisNHC]+ has been obtained not only by transmetallation, but most gratifyingly through direct metalation in 73% yield. Full article
(This article belongs to the Section Organometallic Chemistry)
Show Figures

Figure 1

11 pages, 1159 KB  
Article
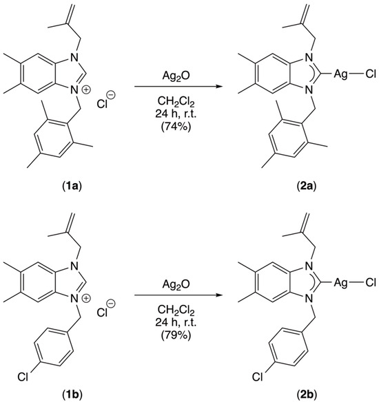
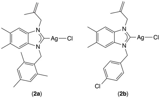
Reactions of 1-Alkyl-3-phenylbenzimidazolium Salts with Ag2O: The Formation of a Ring-Opening Formamide Derivative and a Ag Complex with an N-heterocyclic Carbene Ligand
by Satoshi Sakaguchi, Takashi Higashino, Yudai Tasaki, Ryo Ichihara and Tatsuo Yajima
Inorganics 2025, 13(1), 18; https://doi.org/10.3390/inorganics13010018 - 10 Jan 2025
Viewed by 1014
Abstract
This study investigated the reactions of 1-alkyl-3-phenylbenzimidazolium salts with Ag2O. It was found that the selectivity of the reaction products was influenced by the N-alkyl substituent on the azolium ring. For example, treating 1-methyl-3-phenylbenzimidazolium iodide (2) with Ag [...] Read more.
This study investigated the reactions of 1-alkyl-3-phenylbenzimidazolium salts with Ag2O. It was found that the selectivity of the reaction products was influenced by the N-alkyl substituent on the azolium ring. For example, treating 1-methyl-3-phenylbenzimidazolium iodide (2) with Ag2O for 24 h produced the ring-opening formamide derivative N-[2-(phenylamino)phenyl]-N-methylformamide (2b) in an 85% yield. In contrast, the reaction of 1-benzyl-3-phenylbenzimidazolium chloride (3) with Ag2O under the same conditions yielded the corresponding N-heterocyclic carbene (NHC)–Ag complex (1-benzyl-3-phenylbenzimidazol-2-ylidene) silver(I) chloride (3a) in an 86% yield. Furthermore, the corresponding monodentate NHC–Au complex 2c could be synthesized by allowing 2 to react with AuCl(SMe2) in the presence of Ag2O. Full article
Show Figures

Graphical abstract

15 pages, 4320 KB  
Article
Antimicrobial Activity and Mode of Action of N-Heterocyclic Carbene Silver(I) Complexes
by Giusy Castagliuolo, Michela Di Napoli, Tshering Zangmo, Joanna Szpunar, Luisa Ronga, Anna Zanfardino, Mario Varcamonti and Diego Tesauro
Molecules 2025, 30(1), 76; https://doi.org/10.3390/molecules30010076 - 28 Dec 2024
Cited by 3 | Viewed by 1136
Abstract
Silver drugs have played a vital role in human healthcare for the treatment of infections for many centuries. Currently, due to antibiotic resistance, a potential scenario or the application of silver complexes may arise as substitutes for conventional antibiotics. In this perspective, N-heterocyclic [...] Read more.
Silver drugs have played a vital role in human healthcare for the treatment of infections for many centuries. Currently, due to antibiotic resistance, a potential scenario or the application of silver complexes may arise as substitutes for conventional antibiotics. In this perspective, N-heterocyclic carbene (NHC) ligands have been selected as carrier molecules for silver ions. In this study, we selected two mono NHC-silver halide complexes: bromo[1,3-diethyl-4,5-bis(4-methoxyphenyl)imidazol-2-ylidene]silver(I) (Ag4MC) and chloro[2-pyridin- N-(2-ethylacetylamido)-2-yl-2H-imidazol-2-ylidene]silver(I) (Ag5MC), and two cationic bis NHC silver complexes: bis[1,3-diethyl-4,5-bis(4-methoxyphenyl)imidazol-2-ylidene]silver(I) (Ag4BC) and bis[2-pyridin-N-(2-ethylacetylamido)-2-yl-2H-imidazol-2-ylidene]silver(I) (Ag5BC). The inhibitory properties of the four complexes were evaluated for their antimicrobial potential against a set of Gram (+) and Gram (−) bacterial strains and the fungus C. albicans. In addition, further investigations were made using fluorescence and scanning electron microscopy (SEM) in order to gain more insights into the mechanism of action. Some preliminary information on the Ag target was obtained by analyzing the cytosol of E. coli treated with Ag5MC by size-exclusion chromatography (SEC) coupled with inductively coupled plasma mass spectrometry (ICP-MS). Full article
Show Figures

Graphical abstract

Back to TopTop