Sign in to use this feature.

Years

Between: -

Subjects

remove_circle_outline
remove_circle_outline
remove_circle_outline
remove_circle_outline
remove_circle_outline
remove_circle_outline
remove_circle_outline

Journals

Article Types

Countries / Regions

Search Results (25)

Search Parameters:
Keywords = LV-rule

Order results
Result details
Results per page
Select all
Export citation of selected articles as:
13 pages, 866 KB  
Article
Phenotype-Guided Outpatient Levosimendan as a Bridge-to-Transplant in Low-Output Advanced Heart Failure: A Single-Center Cohort
by Ricardo Carvalheiro, Ana Raquel Santos, Ana Rita Teixeira, João Ferreira Reis, António Valentim Gonçalves, Rita Ilhão Moreira, Tiago Pereira da Silva, Valdemar Gomes, Pedro Coelho and Rui Cruz Ferreira
J. Pers. Med. 2025, 15(10), 473; https://doi.org/10.3390/jpm15100473 - 2 Oct 2025
Viewed by 191
Abstract
Background: Advanced heart failure (HF) carries high morbidity and mortality, and deterioration on the heart transplantation (HT) waiting list remains a major challenge. Intermittent outpatient levosimendan has been proposed as a bridge strategy, but the optimal regimen and its impact on peri-transplant [...] Read more.
Background: Advanced heart failure (HF) carries high morbidity and mortality, and deterioration on the heart transplantation (HT) waiting list remains a major challenge. Intermittent outpatient levosimendan has been proposed as a bridge strategy, but the optimal regimen and its impact on peri-transplant outcomes remain uncertain. Within a personalized-medicine framework, we targeted a low-output/INTERMACS 3 phenotype and operationalized an adaptable, protocolized levosimendan pathway focused on perfusion/congestion stabilization to preserve transplant candidacy. Methods: We conducted a single-center, retrospective cohort study of 25 consecutive adults actively listed for HT between 2019 and 2024, treated with a standardized outpatient program of a 14-day interval of 6 h intravenous levosimendan infusions (target 0.2 μg/kg/min infusions) continued until transplant. Personalization in this program was operationalized through (i) phenotype-based eligibility (low CI and elevated filling pressures despite GDMT), (ii) predefined titration and safety rules for blood pressure, arrhythmias, and renal function, and (iii) individualized continuation until transplant with nurse-supervised monitoring and review of patient trajectories. Baseline characteristics, treatment exposure and safety, changes in hospitalizations and biomarkers, and peri-transplant outcomes were analyzed. Results: Patients were predominantly male (68%), with a mean age of 47.9 ± 17.5 years and severe LV dysfunction (LVEF 30.6 ± 9.8%). Median treatment duration was 131 days (IQR 60–241). No infusions required discontinuation for hypotension or arrhythmia, and no adverse events were directly attributed to levosimendan. Two patients (8%) died on the waiting list, both unrelated to therapy. During treatment, HF hospitalizations decreased significantly compared with the previous 6 months (48% vs. 20%, p = 0.033), renal function remained stable, and NT-proBNP trended downward. Of the 23 patients transplanted, two (9%) underwent urgent HT during decompensation. Post-transplant, vasoplegia occurred in 26% (n = 6 of 23), and 30-day mortality was 9% (n = 2 of 23). Conclusions: By defining the target phenotype, therapeutic goals, and adaptation rules, this study shows how a standardized but flexible outpatient levosimendan regimen can function as a personalized bridge strategy for low-output advanced HF. The approach was associated with fewer hospitalizations, stable renal function, and acceptable peri-transplant outcomes, and merits confirmation in multicenter cohorts with attention to patient heterogeneity and treatment effect refinement. Full article
(This article belongs to the Special Issue Personalized Treatment for Heart Failure)
Show Figures

Figure 1

21 pages, 3066 KB  
Article
Effective Mechanical Properties of a Composite Material Reinforced by Oil Shale Ash Particles
by Olga Kononova, Andrejs Krasnikovs, Ilgar Jafarli, Iveta Novakova, Volodymyr Gulik and Mindaugas Vaišnoras
Appl. Sci. 2025, 15(3), 1281; https://doi.org/10.3390/app15031281 - 26 Jan 2025
Cited by 1 | Viewed by 2284
Abstract
This study determined the elastic properties of composites and concretes reinforced with oil shale ash (OSA) particles, a byproduct of oil shale combustion in an electric power plant in Estonia (Auvere). Since 2018, OSA has no longer been classified as hazardous waste in [...] Read more.
This study determined the elastic properties of composites and concretes reinforced with oil shale ash (OSA) particles, a byproduct of oil shale combustion in an electric power plant in Estonia (Auvere). Since 2018, OSA has no longer been classified as hazardous waste in the EU, enabling its reuse in sustainable materials. The present research examined the effect of OSA on the elastic properties of epoxy–OSA and concrete–OSA composites. The experimental results show that the elastic modulus of epoxy resin increases with an increase in the ash concentration, while it decreases in concrete with a higher OSA content. Theoretical models, including the rule of mixtures, finite element method (FEM), Mori–Tanaka method, and Halpin–Tsai method, were used to predict these properties numerically. The rule of mixtures and FEM generally overestimated the modulus for epoxy–OSA, whereas the Mori–Tanaka and Halpin–Tsai methods provided closer predictions. For concrete–OSA, the compressive strength tests followed the LVS EN 12390-3:2019 standards, with elastic modulus conversions being made via IS 456:2000 Clause 6.2.3.1, which showed a variable decrease across different strength classes. The findings highlight the potential of OSA as a reinforcing filler in construction materials, promoting environmental sustainability by repurposing industrial waste while offering mechanical benefits. Full article
Show Figures

Figure 1

30 pages, 3696 KB  
Article
A Zonal Approach for Wide-Area Temporary Voltage Quality Assessment in a Smart Grid
by Miodrag Forcan, Aleksandar Simović, Srđan Jokić and Jovana Forcan
Energies 2024, 17(11), 2475; https://doi.org/10.3390/en17112475 - 22 May 2024
Cited by 1 | Viewed by 1305
Abstract
Wide-area voltage quality assessment represents one of the mandatory objectives for distribution system operators in the development of advanced distribution management systems supporting smart grid requirements. This paper introduces a zonal approach for wide-area temporary voltage quality evaluation in a distribution network. The [...] Read more.
Wide-area voltage quality assessment represents one of the mandatory objectives for distribution system operators in the development of advanced distribution management systems supporting smart grid requirements. This paper introduces a zonal approach for wide-area temporary voltage quality evaluation in a distribution network. The concept of temporary voltage quality evaluation and assessment is recommended to incentivize active/online management of voltage quality issues. A decision support system based on simple deterministic rules is proposed for rating the voltage quality zones in a distribution network and making recommendations to the distribution system operator. Voltage RMS level, unbalance, and total harmonic distortion are considered voltage quality indices representing the inputs in the decision support system. Residential, commercial, and industrial load types are considered when setting the thresholds for voltage quality indices. The proposed zonal approach for the division of distribution networks in voltage quality zones is applied to the example of a typical European-type distribution network. The operation of a decision support system is tested using the developed distribution smart grid model. The following simulation case studies are conducted: loads with low power factors, manual voltage regulation at MV/LV transformers, unbalanced loads, integration of solar power plant, and nonlinear loads. The obtained simulation results reveal the benefits of the proposed voltage quality assessment approach. Cybersecurity challenges that may impact the proposed approach are addressed, including security vulnerabilities, data privacy, and resilience to cyber threats. Full article
(This article belongs to the Section A1: Smart Grids and Microgrids)
Show Figures

Figure 1

8 pages, 4331 KB  
Case Report
Acquired Cardiovascular Diseases in Patients with Pulmonary Hypertension Due to Congenital Heart Disease: A Case Report
by Eglė Ereminienė, Mantvydas Stuoka, Rasa Ordienė, Jurgita Plisienė, Skaidrius Miliauskas and Eglė Tamulėnaitė
Medicina 2024, 60(2), 266; https://doi.org/10.3390/medicina60020266 - 3 Feb 2024
Viewed by 2086
Abstract
Background: Advances in the diagnosis and treatment of congenital heart diseases (CHDs) have resulted in improved survival rates for CHD patients. Up to 90% of individuals with mild CHD and 40% with complex CHD now reach the age of 60. Previous studies have [...] Read more.
Background: Advances in the diagnosis and treatment of congenital heart diseases (CHDs) have resulted in improved survival rates for CHD patients. Up to 90% of individuals with mild CHD and 40% with complex CHD now reach the age of 60. Previous studies have indicated an elevated risk of atherosclerotic cardiovascular disease (ASCVD) and associated risk factors, morbidity, and mortality in adults with congenital heart disease (ACHD). However, there were no comprehensive guidelines for the prevention and management of acquired cardiovascular diseases (CVDs) in ACHD populations until recently. Case presentation: A 55-year-old man with Eisenmenger syndrome and comorbidities (arterial hypertension, heart failure, dyslipidemia, hyperuricemia, and a history of pulmonary embolism (PE)) presented with progressive breathlessness. The electrocardiogram (ECG) revealed signs of right ventricle (RV) hypertrophy and overload, while echocardiography showed reduced RV function, RV overload, and severe pulmonary hypertension (PH) signs, and preserved left ventricle (LV) function. After ruling out a new PE episode, acute coronary syndrome (ACS) was diagnosed, and percutaneous intervention was performed within 24–48 h of admission. Conclusions: This case highlights the importance of increased awareness of acquired heart diseases in patients with pulmonary hypertension due to CHD. Full article
(This article belongs to the Special Issue Pulmonary Hypertension: Symptoms, Diagnosis and Management)
Show Figures

Figure 1

16 pages, 6076 KB  
Article
Full-Custom 90 nm CNTFET Process Design Kit: Characterization, Modeling, and Implementation
by Liming Chen, Yuyan Zhang, Zhifeng Chen, Jiming Chen, Huangwei Chen, Jianhua Jiang and Chengying Chen
Electronics 2024, 13(3), 605; https://doi.org/10.3390/electronics13030605 - 1 Feb 2024
Cited by 5 | Viewed by 3192
Abstract
As the semiconductor industry enters the post-Moore era, the carbon nanotube field-effect transistor (CNTFET) has become a powerful substitute for silicon-based transistors beyond 5 nm process nodes due to its high mobility, low power consumption, and ultra-thin-body electrical advantages. Carbon-based transistor technology has [...] Read more.
As the semiconductor industry enters the post-Moore era, the carbon nanotube field-effect transistor (CNTFET) has become a powerful substitute for silicon-based transistors beyond 5 nm process nodes due to its high mobility, low power consumption, and ultra-thin-body electrical advantages. Carbon-based transistor technology has made significant progress in device manufacture and preparation, but carbon-based process design kits (PDKs) that meet the standards of commercial design tools are still an important bottleneck hindering the development of carbon-based integrated circuits. For the first time, a complete full-custom 90 nm CNTFET PDK is proposed in this paper, which includes Pcells for transistors, resistors, and capacitors; a compact model; DRC/LVS/PEX rules; and a standard cell and timing library. It can support the entire design flow of analog, digital, and mixed-signal carbon-based integrated circuits. To achieve an accurate compact model, the back-gate effect of CNTFETs and the influence of gate/drain voltage on transport probability are analyzed. Then the theoretical formulas for mobility and channel current are established. The comparison of the simulation and test results of CNTFET characteristics proves the accuracy of the compact model. Using this PDK, combined with standard IC design tools and design flow, the circuit and layout of an operational amplifier, SRAM, and 8-bit counter are completed. The simulation results verify the correctness and effectiveness of the PDK, laying a solid foundation for the large-scale industrialization of carbon-based integrated circuits. Full article
(This article belongs to the Special Issue High Carrier Mobility Devices Technology and Applications)
Show Figures

Figure 1

10 pages, 692 KB  
Review
Severe Refractory Vasoplegic Shock Syndrome after OPCABG Successfully Treated with Hydroxycobalamin: A Case Report and Review of the Literature
by Beatrice Bacchi, Francesco Cabrucci, Bruno Chiarello, Aleksander Dokollari and Massimo Bonacchi
J. Clin. Med. 2024, 13(1), 169; https://doi.org/10.3390/jcm13010169 - 28 Dec 2023
Cited by 1 | Viewed by 3105
Abstract
Background: Vasoplegic shock syndrome (VSS) after an off-pump coronary artery bypass graft (OPCABG) is an extremely rare condition. Inotropic support is usually the first-line therapy, though it can precipitate several complications or be ineffective. We report the first case of severe refractory VSS [...] Read more.
Background: Vasoplegic shock syndrome (VSS) after an off-pump coronary artery bypass graft (OPCABG) is an extremely rare condition. Inotropic support is usually the first-line therapy, though it can precipitate several complications or be ineffective. We report the first case of severe refractory VSS after OPCABG successfully treated with hydroxycobalamin. Methods: A 77-year-old gentleman underwent OPCABG for three vessels coronary artery disease. Preoperative LV ejection fraction was 28%, and the patient before surgery started sacubitril/valsartan titrated, then, at the highest dose. Surgery was uneventful and, by the end of the procedure, TEE showed improved biventricular contractility. Results: The patient was transferred to the ICU without inotropic support, but soon developed hypotension. TEE ruled out pericardial tamponade and confirmed fair contractility. Norepinephrine was titrated to a medium-high dose, vasopressin was started and a Swan-Ganz catheter was placed. SVR was 480 dyn·s·cm−5. Despite aggressive pharmacologic treatment (including methylprednisolone and methylene blue), no improvements were noticed. Ten grams of hydroxycobalamin were administered. One hour later, hemodynamic status re-assessment showed SVR > 800 dyn·s·cm−5. Afterward, vasopressors were gradually reduced. Conclusions: Our case demonstrated the importance of adequate early treatment in VSS after OPCABG. This case report shows, for the first time, that hydroxycobalamin was effectively used to restore homeostasis. Full article
(This article belongs to the Special Issue Coronary Revascularization: Latest Advances and Prospects)
Show Figures

Figure 1

15 pages, 4624 KB  
Article
CAPTIVE: Constrained Adversarial Perturbations to Thwart IC Reverse Engineering
by Amir Hosein Afandizadeh Zargari, Marzieh AshrafiAmiri, Minjun Seo, Sai Manoj Pudukotai Dinakarrao, Mohammed E. Fouda and Fadi Kurdahi
Information 2023, 14(12), 656; https://doi.org/10.3390/info14120656 - 11 Dec 2023
Cited by 2 | Viewed by 2228
Abstract
Reverse engineering (RE) in Integrated Circuits (IC) is a process in which one will attempt to extract the internals of an IC, extract the circuit structure, and determine the gate-level information of an IC. In general, the RE process can be done for [...] Read more.
Reverse engineering (RE) in Integrated Circuits (IC) is a process in which one will attempt to extract the internals of an IC, extract the circuit structure, and determine the gate-level information of an IC. In general, the RE process can be done for validation as well as Intellectual Property (IP) stealing intentions. In addition, RE also facilitates different illicit activities such as the insertion of hardware Trojan, pirating, or counterfeiting a design, or developing an attack. In this work, we propose an approach to introduce cognitive perturbations, with the aid of adversarial machine learning, to the IC layout that could prevent the RE process from succeeding. We first construct a layer-by-layer image dataset of 45 nm predictive technology. With this dataset, we propose a conventional neural network model called RecoG-Net to recognize the logic gates, which is the first step in RE. RecoG-Net is successful in recognizing the gates with more than 99.7% accuracy. Our thwarting approach utilizes the concept of adversarial attack generation algorithms to generate perturbation. Unlike traditional adversarial attacks in machine learning, the perturbation generation needs to be highly constrained to meet the fab rules such as Design Rule Checking (DRC) Layout vs. Schematic (LVS) checks. Hence, we propose CAPTIVE as a constrained perturbation generation satisfying the DRC. The experiments show that the accuracy of reverse engineering using machine learning techniques can decrease from 100% to approximately 30% based on the adversary generator. Full article
(This article belongs to the Special Issue Hardware Security and Trust)
Show Figures

Figure 1

30 pages, 5301 KB  
Article
Expert System Integrating Rule-Based Reasoning to Voltage Control in Photovoltaic-Systems-Rich Low Voltage Electric Distribution Networks: A Review and Results of a Case Study
by Vasilica Dandea and Gheorghe Grigoras
Appl. Sci. 2023, 13(10), 6158; https://doi.org/10.3390/app13106158 - 17 May 2023
Cited by 4 | Viewed by 2680
Abstract
Nowadays, in low voltage electric distribution networks, the distribution network operators are encountering a high number of connected small-scale distributed generation units, mainly photovoltaic prosumers. The intermittent nature of the prosumers, together with the degree of uncertainty of the requested and injected powers [...] Read more.
Nowadays, in low voltage electric distribution networks, the distribution network operators are encountering a high number of connected small-scale distributed generation units, mainly photovoltaic prosumers. The intermittent nature of the prosumers, together with the degree of uncertainty of the requested and injected powers associated with all end-users from low voltage electric distribution networks, can cause voltage variations that violate the allowable limits. In this context, this paper developed an efficient and resilient expert system integrating rule-based reasoning applied to the on-load tap changer-fitted transformer to improve the efficiency of the voltage control in the PV-rich LV EDNs. An in-depth analysis based on 75 scenarios, resulting from the combinations of three indicators—the penetration degree of the photovoltaic prosumers, the consumption evolution associated with the consumers, and the energy production of the photovoltaic systems—was performed to demonstrate the efficiency of the proposed expert system in a low voltage electric distribution network from a rural area belonging to a Romanian distribution network operator. The success rate of the expert system was 86.7% (65 out of 75 scenarios did not have voltage issues). All voltages were between the allowable limits in 100% of the time slots associated with the analysed period. For the other scenarios (representing 13.3%), voltages were inside the range [−10%, +10%] in at least 95% of the time slots. Full article
(This article belongs to the Special Issue New Trends in Control Strategy for Smart Grids)
Show Figures

Figure 1

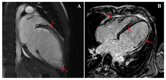
4 pages, 2509 KB  
Interesting Images
A Young Patient Presenting with Dilated Cardiomyopathy and Renal Infarction during Treatment with Isotretinoin: Mere Coincidence or Serious Side Effect of a Drug Commonly Used in Adolescence?
by Martino Pepe, Gianluigi Napoli, Maria Cristina Carella, Daniele De Feo, Rocco Tritto, Andrea Igoren Guaricci, Cinzia Forleo and Marco Matteo Ciccone
Diagnostics 2023, 13(9), 1543; https://doi.org/10.3390/diagnostics13091543 - 25 Apr 2023
Cited by 5 | Viewed by 2563
Abstract
Isotretinoin or 13-cis-retinoic acid (RA) is one of the most effective and widely used drugs for the treatment of severe acne vulgaris. Despite being deemed safe, no definite consensus has been reached on the cardiovascular risk of RA derivatives. We report a case [...] Read more.
Isotretinoin or 13-cis-retinoic acid (RA) is one of the most effective and widely used drugs for the treatment of severe acne vulgaris. Despite being deemed safe, no definite consensus has been reached on the cardiovascular risk of RA derivatives. We report a case of heart failure due to dilated cardiomyopathy (DCM) and concomitant renal infarction occurring after 5 months of isotretinoin use in a previously healthy 18-year-old male. The patient, with a history of acne vulgaris, presented to our emergency department with left iliac fossa pain and effort dyspnea. A trans-thoracic echocardiogram showed DCM and severely reduced left ventricle ejection fraction (LVEF: 29%). During hospitalization, a total body computed tomography (CT) showed an ischemic lesion in the left kidney. Ischemic, autoimmune, infective, and heritable causes of DCM were ruled out. Cardiac magnetic resonance (CMR) evidenced LV circumferential mid-wall late gadolinium enhancement. Heart failure therapy was promptly started and up-titrated, but only poor LVEF improvement was detected overtime. Our case aims to raise awareness on rare life-threatening cardiovascular events possibly associated with isotretinoin use. To the best of our knowledge, this is the first described case of renal thromboembolism and severe DCM leading to implantable cardioverter-defibrillator (ICD) implantation occurring during isotretinoin treatment. Full article
(This article belongs to the Section Pathology and Molecular Diagnostics)
Show Figures

Figure 1

21 pages, 3518 KB  
Article
Fault Segment Location for MV Distribution System Based on the Characteristic Voltage of LV Side
by Dehai Zhang, Wenhai Zhang, Changzhi Wang and Xianyong Xiao
Electronics 2023, 12(7), 1734; https://doi.org/10.3390/electronics12071734 - 5 Apr 2023
Cited by 4 | Viewed by 2526
Abstract
The voltage and current measurement of the medium-voltage (MV) side are used for the traditional fault location method, which leads to a high installation cost of the measurement and complicated post-operational and maintenance work. A fault location method is proposed based on the [...] Read more.
The voltage and current measurement of the medium-voltage (MV) side are used for the traditional fault location method, which leads to a high installation cost of the measurement and complicated post-operational and maintenance work. A fault location method is proposed based on the distributed measurement at the low-voltage (LV) side. On the analysis of voltage distribution rules and the influence of the distribution transformer on voltage transmission, obvious differences are found in the variation of voltage (phase voltage and sequence voltage) at the LV side for different faults—specifically, the detection sensitivity of the voltage to different faults varies. Therefore, a fault location method for the MV distribution network based on characteristic voltage at the LV side is proposed. Firstly, the characteristic voltage is selected adaptively according to the fault type. The suspected fault path is then determined by the characteristic voltage amplitude of measuring points. Finally, the fault segment is located via the characteristic current of each segment. This method can be applied in combination with the widely used LV measurement equipment such as the power consumption information acquisition system and the intelligent fusion terminal to acquire LV side voltage without adding new measurement devices. The distribution difference of the characteristic voltage at the LV side is applied for accurate fault finding, which is an economical and practical new idea for the fault location of the distribution network. The correctness and effectiveness of the method were verified by the simulation of the IEEE 34 system built in PSCAD/EMTDC and a real distribution network. Full article
Show Figures

Figure 1

13 pages, 10049 KB  
Article
Paragenetic Association of Platinum and Gold Minerals in Placers of the Anabar River in the Northeast of the Siberian Platform
by Alexander Okrugin and Boris Gerasimov
Minerals 2023, 13(1), 96; https://doi.org/10.3390/min13010096 - 7 Jan 2023
Cited by 7 | Viewed by 2861
Abstract
Areal placers of diamond and precious metals (platinum and gold) of unknown origin are widespread in the Anabar River basin on the northeastern part of the Siberian Platform. This article discusses the typomorphic features of palladium gold (porpezite) and ferroan platinum, which, in [...] Read more.
Areal placers of diamond and precious metals (platinum and gold) of unknown origin are widespread in the Anabar River basin on the northeastern part of the Siberian Platform. This article discusses the typomorphic features of palladium gold (porpezite) and ferroan platinum, which, in addition to fragmented individual grains, sometimes form close growths, which indicates their obvious genetic relationship. This can be used to delimit the primary sources of commercial components of complex placers by their genetic types. The composition of minerals was determined on a Camebax-Micro (Cameca, France) microprobe analyzer, and their microstructural relationships were studied using the scanning microscope JSM-6480LV JEOL. Determination of the structure and parameters of elementary lattices of minerals was carried out on the D8 Discover diffractometer. According to microprobe analysis, the Pd content in porpezite ranges from 0.73% to 12.83%, Ag does not exceed 2.75% and Cu reaches 3–4%. Considering the composition, such a gold–platinum mineral association from placers of the Anabar river is close to precious metals from placers of the Gulinsky massif, as well as Au–PGE ore occurrences related to ultramafic–mafic intrusions of other regions of the world. Complex gold–platinum-metal mineralizations are usually closely related to parent rocks and are often observed in sulfide and chromite ores of layered ultramafic–mafic intrusions with complex metasomatic and hydrothermal transformations. It is shown that in such cases gold and platinum form a magmatogenic paragenesis of minerals that coexist until the separation of hydrothermal solutions from magma, which, as a rule, transports Au and Ag with a small fraction of PGE from the fluid-ore-magmatic system in accordance with the model of the formation of gold–porphyry deposits. Within the Anabar diamond-bearing region, according to modern geophysical data, a significant number of local gravimagnetic anomalies associated with the presence of intrusive massifs of basic and alkaline-ultrabasic rocks in the cover and within the basement have been identified. This allows us to assume that the buried parent rocks of the Anabar Au–Pt placers may be located in both the Precambrian and Phanerozoic strata. Full article
(This article belongs to the Special Issue Native Gold as a Specific Indicator Mineral for Gold Deposits)
Show Figures

Figure 1

12 pages, 1155 KB  
Review
Predictive Factors of Giant Cell Arteritis in Polymyalgia Rheumatica Patients
by André Ramon, Hélène Greigert, Paul Ornetti, Jean-Francis Maillefert, Bernard Bonnotte and Maxime Samson
J. Clin. Med. 2022, 11(24), 7412; https://doi.org/10.3390/jcm11247412 - 14 Dec 2022
Cited by 6 | Viewed by 2994
Abstract
Polymyalgia rheumatica (PMR) is an inflammatory rheumatism of the shoulder and pelvic girdles. In 16 to 21% of cases, PMR is associated with giant cell arteritis (GCA) that can lead to severe vascular complications. Ruling out GCA in patients with PMR is currently [...] Read more.
Polymyalgia rheumatica (PMR) is an inflammatory rheumatism of the shoulder and pelvic girdles. In 16 to 21% of cases, PMR is associated with giant cell arteritis (GCA) that can lead to severe vascular complications. Ruling out GCA in patients with PMR is currently a critical challenge for clinicians. Two GCA phenotypes can be distinguished: cranial GCA (C-GCA) and large vessel GCA (LV-GCA). C-GCA is usually suspected when cranial manifestations (temporal headaches, jaw claudication, scalp tenderness, or visual disturbances) occur. Isolated LV-GCA is more difficult to diagnose, due to the lack of specificity of clinical features which can be limited to constitutional symptoms and/or unexplained fever. Furthermore, many studies have demonstrated the existence—in varying proportions—of subclinical GCA in patients with apparently isolated PMR features. In PMR patients, the occurrence of clinical features of C-GCA (new onset temporal headaches, jaw claudication, or abnormality of temporal arteries) are highly predictive of C-GCA. Additionally, glucocorticoids’ resistance occurring during follow-up of PMR patients, the occurrence of constitutional symptoms, or acute phase reactants elevation are suggestive of associated GCA. Research into the predictive biomarkers of GCA in PMR patients is critical for selecting PMR patients for whom imaging and/or temporal artery biopsy is necessary. To date, Angiopoietin-2 and MMP-3 are powerful for predicting GCA in PMR patients, but these results need to be confirmed in further cohorts. In this review, we discuss the diagnostic challenges of subclinical GCA in PMR patients and will review the predictive factors of GCA in PMR patients. Full article
(This article belongs to the Section Immunology & Rheumatology)
Show Figures

Figure 1

9 pages, 745 KB  
Article
Long-Term Cardiovascular Outcome in Children with MIS-C Linked to SARS-CoV-2 Infection—An Italian Multicenter Experience
by Nicoletta Cantarutti, Virginia Battista, Nicola Stagnaro, Marianna Eleonora Labate, Marianna Cicenia, Marta Campisi, Valerio Vitali, Aurelio Secinaro, Andrea Campana, Gianluca Trocchio and Fabrizio Drago
Biology 2022, 11(10), 1474; https://doi.org/10.3390/biology11101474 - 8 Oct 2022
Cited by 16 | Viewed by 2991
Abstract
MIS-C is a multisystem inflammatory syndrome that is characterized by multi-organ failure and cardiac involvement. The aim of this study was to describe the long-term cardiovascular outcome in a cohort of MIS-C pediatric patients, who were admitted to two Italian Pediatric Referral Centers. [...] Read more.
MIS-C is a multisystem inflammatory syndrome that is characterized by multi-organ failure and cardiac involvement. The aim of this study was to describe the long-term cardiovascular outcome in a cohort of MIS-C pediatric patients, who were admitted to two Italian Pediatric Referral Centers. Sixty-seven patients (mean age 8.7 ± 4.7 years, male 60%) were included; 65 (97%) of them showed cardiac involvement. All of the patients completed one month of the follow-up, and 47% completed 1 year of it. ECG abnormalities were present in 65% of them, arrhythmias were present in 9% of them during an acute phase and it disappeared at the point of discharge or later. Pericarditis were detected in 66% of them and disappeared after 6 months. Coronaritis was observed in 35% of the children during an acute phase, and there were no more instances at the 1-year point. An LV dysfunction was present in 65% of the patients at the beginning of the study, with them having a full recovery at the point of discharge and thereafter. Elevated values of the NTproBNP and hsTp were initially detected, which progressively decreased and normalized at the points of discharge and FU. The CMR at the point of FU, there was a presence of long-term myocardial scars in 50% of the patients that were tested. No deaths that were caused by MIS-C during the FU were recorded. Cardiac involvement in MIS-C patients is almost the rule, but the patients’ clinical course was satisfactory, and no additional events or sequelae were observed apart from there being long-term myocardial scars in 50% of the patients that underwent CMR. Full article
(This article belongs to the Special Issue Advances in COVID-19-Related Myocarditis)
Show Figures

Figure 1

24 pages, 11319 KB  
Article
On the Detection of Snow Cover Changes over the Australian Snowy Mountains Using a Dynamic OBIA Approach
by Aliakbar A. Rasouli, Kevin K. W. Cheung, Keyvan Mohammadzadeh Alajujeh and Fei Ji
Atmosphere 2022, 13(5), 826; https://doi.org/10.3390/atmos13050826 - 18 May 2022
Cited by 4 | Viewed by 4394
Abstract
This study detected the spatial changes in Snow Cover Area (SCA) over the Snowy Mountains in New South Wales, Australia. We applied a combination of Object-Based Image Analysis (OBIA) algorithms by segmentation, classification, and thresholding rules to extract the snow, water, vegetation, and [...] Read more.
This study detected the spatial changes in Snow Cover Area (SCA) over the Snowy Mountains in New South Wales, Australia. We applied a combination of Object-Based Image Analysis (OBIA) algorithms by segmentation, classification, and thresholding rules to extract the snow, water, vegetation, and non-vegetation land covers. For validation, the Maximum Snow Depths (MSDs) were collected at three local snow observation sites (namely Three Mile Dam, Spencer Creek, and Deep Creek) from 1984 to 2020. Multiple Landsat 5, 7, and 8 imageries extracted daily MSDs. The process was followed by applying an Estimation Scale Parameter (ESP) tool to build the local variance (LV) of object heterogeneity for each satellite scene. By matching the required segmentation parameters, the optimal separation step of the image objects was weighted for each of the image bands and the Digital Elevation Model (DEM). In the classification stage, a few land cover classes were initially assigned, and three different indices—Normalized Differential Vegetation Index (NDVI), Surface Water Index (SWI), and a Normalized Differential Snow Index (NDSI)—were created. These indices were used to adjust a few classification thresholds and ruleset functions. The resulting MSDs in all snow observation sites proves noticeable reduction trends during the study period. The SCA classified maps, with an overall accuracy of nearly 0.96, reveal non-significant trends, although with considerable fluctuations over the past 37 years. The variations concentrate in the north and south-east directions, to some extent with a similar pattern each year. Although the long-term changes in SCA are not significant, since 2006, the pattern of maximum values has decreased, with fewer fluctuations in wet and dry episodes. A preliminary analysis of climate drivers’ influences on MSD and SCA variability has also been performed. A dynamic indexing OBIA indicated that continuous processing of satellite images is an effective method of obtaining accurate spatial–temporal SCA information, which is critical for managing water resources and other geo-environmental investigations. Full article
(This article belongs to the Section Climatology)
Show Figures

Figure 1

14 pages, 2540 KB  
Article
Long Term Prognostic Value of Contractile Reserve Assessed by Global Longitudinal Strain in Patients with Asymptomatic Severe Aortic Stenosis
by Rosina Arbucci, Diego M. Lowenstein Haber, María Graciela Rousse, Ariel K. Saad, Liliana Martínez Golleti, Natalio Gastaldello, Miguel Amor, Cristian Caniggia, Pablo Merlo, Gustavo Zambrana, Marcela Galello, Esteban Clos, Vicente Mora and Jorge A. Lowenstein
J. Clin. Med. 2022, 11(3), 689; https://doi.org/10.3390/jcm11030689 - 28 Jan 2022
Cited by 4 | Viewed by 2476
Abstract
Background. Left ventricle (LV) global longitudinal strain (GLS) at rest has shown prognostic value in patients (pts) with severe aortic stenosis (SAS). Contractile reserve (CR) during exercise stress echo (ESE) estimated via GLS (CR-GLS) could better stratify the asymptomatic patients who could benefit [...] Read more.
Background. Left ventricle (LV) global longitudinal strain (GLS) at rest has shown prognostic value in patients (pts) with severe aortic stenosis (SAS). Contractile reserve (CR) during exercise stress echo (ESE) estimated via GLS (CR-GLS) could better stratify the asymptomatic patients who could benefit from early intervention. Aims. To determine the long-term prognostic value of CR-GLS in patients with asymptomatic SAS with an ESE without inducible ischemia. Additionally, to compare the prognostic value of CR assessed via ejection fraction (CR-EF) and CR-GLS. Methods. In a prospective, single-center, observational study between 2013 and 2019, 101 pts with asymptomatic SAS and preserved left ventricular ejection fraction (LVEF) > 55% were enrolled. CR was considered present with an exercise-rest increase in LVEF (Simpson’s rule) ≥ 5 points and > 2 absolute points in GLS. Patients were assigned to 2 groups (G): G1: 56 patients with CR-GLS present; and G2: 45 patients CR-GLS absent. All patients were followed up. Results. G2 Patients were older, with lower exercise capability, less aortic valve area (AVA), a higher peak aortic gradient, and less LVEF (71.5% ± 5.9 vs. 66.8% ± 7.9; p = 0.002) and GLS (%) at exercise (G1: −22.2 ± 2.8 vs. G2: −18.45 ± 2.4; p = 0.001). During mean follow-up of 46.6 ± 3.4 months, events occurred in 45 pts., with higher incidence in G2 (G2 = 57.8% vs. G1 = 42.2%, p < 0.01). At Cox regression analysis, CR-GLS was an independent predictor of major cardiovascular events (HR: 1.98, 95% CI 1.09–3.58, p = 0.025). Event-free survival was lower for patients with CR-GLS absent (log rank test p = 0.022). CR-EF was not outcome predictive (log rank test p 0.095). Conclusions: In patients with asymptomatic SAS, the absence of CR-GLS during ESE is associated with worse prognosis. Additionally, CR-GLS was a better predictor of events than CR-EF. Full article
(This article belongs to the Special Issue Imaging Research in Cardiovascular Diseases)
Show Figures

Figure 1

Back to TopTop