A Young Patient Presenting with Dilated Cardiomyopathy and Renal Infarction during Treatment with Isotretinoin: Mere Coincidence or Serious Side Effect of a Drug Commonly Used in Adolescence?
Abstract
Highlights
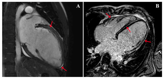
- We presented a case of new onset dilated cardiomyopathy (DCM) with renal infarction in a young man on a treatment with high-dose isotretinoin.
- Possible known causes of DCM using a complete cardiac imaging assessment, genetic testing, and laboratory analysis have been ruled out.
- The possible association of DCM with isotretinoin assumption is, to the authors’ opinion, deserving of further investigations.
Abstract


Author Contributions
Funding
Institutional Review Board Statement
Informed Consent Statement
Data Availability Statement
Conflicts of Interest
References
- Schulpis, K.H.; Karikas, G.A.; Georgala, S.; Michas, T.; Tsakiris, S. Elevated Plasma Homocysteine Levels in Patients on Isotretinoin Therapy for Cystic Acne. Int. J. Dermatol. 2001, 40, 33–36. [Google Scholar] [CrossRef] [PubMed]
- Polat, M.; Lenk, N.; Bingöl, S.; Oztaş, P.; Ilhan, M.N.; Artüz, F.; Alli, N. Plasma Homocysteine Level Is Elevated in Patients on Isotretinoin Therapy for Cystic Acne: A Prospective Controlled Study. J. Dermatol. Treat. 2008, 19, 229–232. [Google Scholar] [CrossRef] [PubMed]
- Kapała, J.; Lewandowska, J.; Placek, W.; Owczarczyk-Saczonek, A. Adverse Events in Isotretinoin Therapy: A Single-Arm Meta-Analysis. Int. J. Environ. Res. Public Health 2022, 19, 6463. [Google Scholar] [CrossRef] [PubMed]
- Fallah, H.; Rademaker, M. Isotretinoin for acne vulgaris—An update on adverse effects and laboratory monitoring. J. Dermatol. Treat. 2022, 33, 2414–2424. [Google Scholar] [CrossRef] [PubMed]
- Bagatin, E.; Costa, C.S. The use of isotretinoin for acne—An update on optimal dosing, surveillance, and adverse effects. Expert Rev. Clin. Pharmacol. 2020, 13, 885–897. [Google Scholar] [CrossRef] [PubMed]
- Ghanshani, S.; Chen, C.; Lin, B.; Zhou, H.; Lee, M.S. Isotretinoin and Risk of Cardiovascular Events in Adults with Acne: A Population-based Retrospective Cohort Study. Am. J. Clin. Dermatol. 2021, 22, 267–274. [Google Scholar] [CrossRef] [PubMed]
- Montastruc, G.; Favreliere, S.; Sommet, A.; Pathak, A.; Lapeyre-Mestre, M.; Perault-Pochat, M.-C.; Montastruc, J.-L. French Association of Regional PharmacoVigilance Centres Drugs and Dilated Cardiomyopathies: A Case/Noncase Study in the French PharmacoVigilance Database. Br. J. Clin. Pharmacol. 2010, 69, 287–294. [Google Scholar] [CrossRef] [PubMed]
- Klein, S.K.; Biemond, B.J.; van Oers, M.H.J. Two Cases of Isolated Symptomatic Myocarditis Induced by All-Trans Retinoic Acid (ATRA). Ann Hematol. 2007, 86, 917–918. [Google Scholar] [CrossRef] [PubMed]
- Laroche, M.-L.; Macian-Montoro, F.; Merle, L.; Vallat, J.-M. Cerebral Ischemia Probably Related to Isotretinoin. Ann. Pharmacother. 2007, 41, 1073–1076. [Google Scholar] [CrossRef] [PubMed]
- Lorenzo, N.; Antuña, P.; Dominguez, L.; Rivero, F.; Bastante, T.; Alfonso, F. Acute Myocardial Infarction in a Young Woman on Isotretinoin Treatment. Int. J. Cardiol. 2015, 181, 39–41. [Google Scholar] [CrossRef] [PubMed]
- Naranjo, C.A.; Busto, U.; Sellers, E.M.; Sandor, P.; Ruiz, I.; Roberts, E.A.; Janecek, E.; Domecq, C.; Greenblatt, D.J. A Method for Estimating the Probability of Adverse Drug Reactions. Clin. Pharmacol. Ther. 1981, 30, 239–245. [Google Scholar] [CrossRef] [PubMed]
- Soriano, E.A.; Azevedo, P.S.; Miot, H.A.; Minicucci, M.F.; Pansani, M.C.; Matsubara, L.S.; Okoshi, K.; Zornoff, L.A.M.; Matsubara, B.B.; Paiva, S.A.R. Cardiac Remodeling Induced by 13-Cis Retinoic Acid Treatment in Acne Patients. Int. J. Cardiol. 2013, 163, 68–71. [Google Scholar] [CrossRef] [PubMed]
- Pan, J.; Baker, K.M. Retinoic Acid and the Heart. Vitam. Horm. 2007, 75, 257–283. [Google Scholar] [CrossRef] [PubMed]
- de Paiva, S.A.R.; Zornoff, L.A.M.; Okoshi, M.P.; Okoshi, K.; Matsubara, L.S.; Matsubara, B.B.; Cicogna, A.C.; Campana, A.O. Ventricular Remodeling Induced by Retinoic Acid Supplementation in Adult Rats. Am. J. Physiol. Heart Circ. Physiol. 2003, 284, H2242–H2246. [Google Scholar] [CrossRef] [PubMed]
- Dwyer, J.M.; Kenicer, K.; Thompson, B.T.; Chen, D.; LaBraico, J.; Schiefferdecker, R.; Winkelmann, R.K. Vasculitis and Retinoids. Lancet 1989, 2, 494–496. [Google Scholar] [CrossRef] [PubMed]
Disclaimer/Publisher’s Note: The statements, opinions and data contained in all publications are solely those of the individual author(s) and contributor(s) and not of MDPI and/or the editor(s). MDPI and/or the editor(s) disclaim responsibility for any injury to people or property resulting from any ideas, methods, instructions or products referred to in the content. |
© 2023 by the authors. Licensee MDPI, Basel, Switzerland. This article is an open access article distributed under the terms and conditions of the Creative Commons Attribution (CC BY) license (https://creativecommons.org/licenses/by/4.0/).
Share and Cite
Pepe, M.; Napoli, G.; Carella, M.C.; De Feo, D.; Tritto, R.; Guaricci, A.I.; Forleo, C.; Ciccone, M.M. A Young Patient Presenting with Dilated Cardiomyopathy and Renal Infarction during Treatment with Isotretinoin: Mere Coincidence or Serious Side Effect of a Drug Commonly Used in Adolescence? Diagnostics 2023, 13, 1543. https://doi.org/10.3390/diagnostics13091543
Pepe M, Napoli G, Carella MC, De Feo D, Tritto R, Guaricci AI, Forleo C, Ciccone MM. A Young Patient Presenting with Dilated Cardiomyopathy and Renal Infarction during Treatment with Isotretinoin: Mere Coincidence or Serious Side Effect of a Drug Commonly Used in Adolescence? Diagnostics. 2023; 13(9):1543. https://doi.org/10.3390/diagnostics13091543
Chicago/Turabian StylePepe, Martino, Gianluigi Napoli, Maria Cristina Carella, Daniele De Feo, Rocco Tritto, Andrea Igoren Guaricci, Cinzia Forleo, and Marco Matteo Ciccone. 2023. "A Young Patient Presenting with Dilated Cardiomyopathy and Renal Infarction during Treatment with Isotretinoin: Mere Coincidence or Serious Side Effect of a Drug Commonly Used in Adolescence?" Diagnostics 13, no. 9: 1543. https://doi.org/10.3390/diagnostics13091543
APA StylePepe, M., Napoli, G., Carella, M. C., De Feo, D., Tritto, R., Guaricci, A. I., Forleo, C., & Ciccone, M. M. (2023). A Young Patient Presenting with Dilated Cardiomyopathy and Renal Infarction during Treatment with Isotretinoin: Mere Coincidence or Serious Side Effect of a Drug Commonly Used in Adolescence? Diagnostics, 13(9), 1543. https://doi.org/10.3390/diagnostics13091543

