Sign in to use this feature.

Years

Between: -

Subjects

remove_circle_outline
remove_circle_outline
remove_circle_outline
remove_circle_outline
remove_circle_outline
remove_circle_outline
remove_circle_outline
remove_circle_outline
remove_circle_outline

Journals

remove_circle_outline
remove_circle_outline
remove_circle_outline
remove_circle_outline
remove_circle_outline
remove_circle_outline
remove_circle_outline
remove_circle_outline
remove_circle_outline
remove_circle_outline
remove_circle_outline
remove_circle_outline

Article Types

Countries / Regions

remove_circle_outline
remove_circle_outline
remove_circle_outline
remove_circle_outline
remove_circle_outline

Search Results (996)

Search Parameters:
Keywords = ERP

Order results
Result details
Results per page
Select all
Export citation of selected articles as:
19 pages, 1172 KB  
Article
Behavioral and Event-Related Potential Study of Emotion Concept Activation in Young Adults with High Versus Low Alexithymia Traits
by Jiafeng Jia, Minggang Zhang, Xiaoying He, Zeming Chen and Xiaochun Wang
Brain Sci. 2026, 16(3), 264; https://doi.org/10.3390/brainsci16030264 - 26 Feb 2026
Viewed by 64
Abstract
Background: Although alexithymia is characterized by difficulties in emotional processing, the underlying mechanisms remain uncertain. We hypothesized that specific deficits in activating and using emotion concepts would be associated with impairments in higher-order emotional processing in individuals with high levels of alexithymia. [...] Read more.
Background: Although alexithymia is characterized by difficulties in emotional processing, the underlying mechanisms remain uncertain. We hypothesized that specific deficits in activating and using emotion concepts would be associated with impairments in higher-order emotional processing in individuals with high levels of alexithymia. Methods: To elucidate these mechanisms, 20 high-alexithymia and 17 low-alexithymia young adults (Mage = 18.38, SDage = 0.77), identified according to the Toronto Alexithymia Scale-20, were included in this study to examine distinct neural and behavioral features between participants with different levels of alexithymia. Participants selected target facial expressions primed by emotion concepts from interferential faces while their event-related potentials (ERPs) were recorded. We modulated the clarity of emotion concepts and varied the relative working-memory load of the emotion concepts versus facial features to promote top-down or bottom-up processing. Results: Behaviorally, clear emotion concepts facilitated accurate target identification in both groups. Event-related potential results show that the high alexithymia group had reduced N400 amplitudes than the low-alexithymia group in the top-down domain processing condition (mean difference of 2.75 μV, 95% CI [0.40, 5.11], Cohen’s d = 0.54), indicating reduced cognitive resource allocation for deliberately activating emotion concepts. Conclusions: These findings suggest that individuals with high alexithymia have emotion deficits, potentially due to difficulty in the deliberate activation of emotion concepts. Our findings provide theoretical and clinical implications for affective science by highlighting a possible conceptual-processing mechanism through which alexithymia may be linked to the development and persistence of comorbid affective symptoms. Full article
(This article belongs to the Special Issue Advances in Emotion Processing and Cognitive Neuropsychology)
15 pages, 4809 KB  
Article
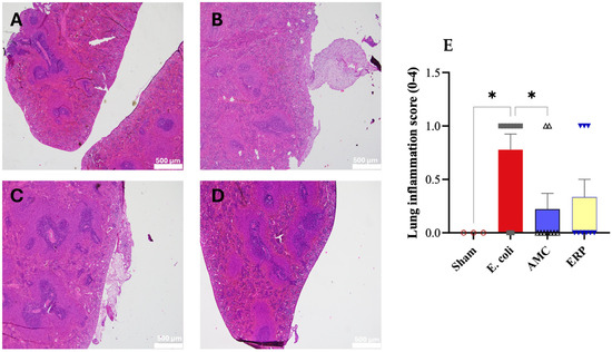
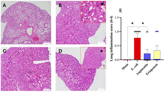
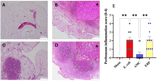
Comparative Evaluation of Amoxicillin–Clavulanate and Ertapenem in an Exploratory Rat Model of ESBL E. coli Peritonitis
by Elie Haddad, Bassem Habr, Hussein Nassereddine and Nassim Fares
Biomedicines 2026, 14(3), 500; https://doi.org/10.3390/biomedicines14030500 - 25 Feb 2026
Viewed by 101
Abstract
Background: Extended-spectrum β-lactamase (ESBL)–producing Escherichia coli represent an increasing therapeutic challenge. While ertapenem (ERP) is commonly used as first-line therapy, amoxicillin–clavulanic acid (AMC) achieves therapeutic concentrations in serum and ascitic fluid and may offer a narrower-spectrum alternative. This exploratory preclinical study evaluated [...] Read more.
Background: Extended-spectrum β-lactamase (ESBL)–producing Escherichia coli represent an increasing therapeutic challenge. While ertapenem (ERP) is commonly used as first-line therapy, amoxicillin–clavulanic acid (AMC) achieves therapeutic concentrations in serum and ascitic fluid and may offer a narrower-spectrum alternative. This exploratory preclinical study evaluated whether AMC produces effects comparable to ERP in a rat model of ESBL E. coli peritonitis. Methods: Thirty-three male rats were allocated to four groups: untreated E. coli, AMC, ERP, and sham controls. Peritonitis was induced by intraperitoneal injection of an ESBL-producing E. coli strain. The primary outcome was peritoneal bacterial culture positivity. Secondary outcomes included plasma inflammatory cytokines (CRP, PCT, TNF-α, IL-1β, IL-6), proteomic signaling markers, and histopathological inflammation scores in the peritoneum, spleen, and lungs. Results: One death occurred in the untreated group. Both AMC and ERP were associated with lower peritoneal culture positivity compared with untreated animals, with ERP achieving statistical significance and AMC showing a similar downward trend. Inflammatory cytokines and proteomic markers demonstrated comparable reductions in both treated groups. Histopathology showed reduced inflammatory scores, with AMC exhibiting the lowest peritoneal inflammation. Lung involvement was observed in 7/10 untreated rats versus 5/10 AMC- and ERP-treated rats; these differences were not statistically significant, reflecting the limited sample size. Conclusions: AMC and ERP produced broadly comparable effects on microbiological, biochemical, and inflammatory parameters in ESBL E. coli peritonitis. These findings suggest that AMC may merit further investigation as a potential narrower-spectrum option, though definitive comparisons require larger, adequately powered studies. Full article
Show Figures

Graphical abstract

13 pages, 1909 KB  
Article
Speed-Sensitive EEG Biomarkers in a Motion Tracking Paradigm: Implications for Dynamic Visual Acuity Research
by Zejin Li, Guanghua Xu, Hui Li, Chenghang Du, Chengcheng Han, Xiaobing Guo, Jiahuan Wang and Sicong Zhang
Brain Sci. 2026, 16(2), 245; https://doi.org/10.3390/brainsci16020245 - 22 Feb 2026
Viewed by 163
Abstract
Background: Dynamic visual acuity (DVA) is functionally distinct from static visual acuity (SVA), though SVA is often used clinically as a reference. Methods: To identify EEG biomarkers for DVA, we presented participants with a high-contrast checkerboard moving horizontally at speeds ranging from 4°/s [...] Read more.
Background: Dynamic visual acuity (DVA) is functionally distinct from static visual acuity (SVA), though SVA is often used clinically as a reference. Methods: To identify EEG biomarkers for DVA, we presented participants with a high-contrast checkerboard moving horizontally at speeds ranging from 4°/s to 30°/s, engaging motion-sensitive pathways while preserving spatial detail. Six EEG features—ERPs (N200 and P300), TRCA, Hjorth activity, mean curve length, and Tsallis entropy—were extracted from eight occipito-parietal channels and evaluated for speed sensitivity. Results: Hjorth activity and Tsallis entropy showed consistent monotonic trends with respect to speed. Hjorth activity exhibited the strongest univariate correlation (r = 0.88, p < 0.05). In a Lasso regression model using all speed-sensitive features, the predicted speed correlated with actual speed at r = 0.588, with TRCA-weighted features retained for their multivariate contribution. Notably, Hjorth activity peaked at PO7/PO8 (3.558 and 1.478 µV2 at 30°/s), aligning with V5/MT+ activation. Conclusion: Given its high sensitivity, neuroanatomical plausibility, and simplicity, Hjorth activity is recommended as a primary candidate for EEG-based DVA biomarker development. This study provides a foundation for objective neurophysiological evaluation of dynamic vision. Full article
Show Figures

Figure 1

19 pages, 1695 KB  
Article
Cognate Effects on Bilingual Lexical–Semantic Processing in Children: Insights from ERPs
by Chih Yeh, Kathrin Wicinski, Caroline F. Rowland and Sergio Miguel Pereira Soares
Behav. Sci. 2026, 16(2), 294; https://doi.org/10.3390/bs16020294 - 19 Feb 2026
Viewed by 206
Abstract
This study investigates whether and, if so, how cognates facilitate lexical–semantic processing during early bilingual development. Additionally, we examine the interaction between the cognate facilitation effect (CFE) and bilingual experience factors, such as language proficiency, exposure, and age. We investigated language backgrounds and [...] Read more.
This study investigates whether and, if so, how cognates facilitate lexical–semantic processing during early bilingual development. Additionally, we examine the interaction between the cognate facilitation effect (CFE) and bilingual experience factors, such as language proficiency, exposure, and age. We investigated language backgrounds and recorded event-related potentials during a semantic priming task in Dutch–German bilingual children. Most participants were Dutch-dominant, characterized by higher exposure and proficiency in Dutch. We compared the N400 response to target words preceded by semantically related cognate versus non-cognate primes. We found a reduced N400 effect (indexing cognate facilitation) only in the non-dominant language (nDL; German). Individual difference analyses further revealed that higher proficiency of nDL and increasing age attenuated the CFE. In contrast, higher cumulative exposure was associated with an amplified CFE. These findings suggest that cross-linguistic activation in lexical–semantic processing may benefit younger children with either lower proficiency or higher exposure to their non-dominant language during language processing. Together, the study offers direct neural evidence for bilingual cognate facilitation effects and highlights the importance of investigating interactions with external factors in early bilingualism. Future longitudinal research should examine whether cognate reliance serves as a temporary scaffolding mechanism for the acquisition of the non-dominant language. Full article
(This article belongs to the Special Issue Language and Cognitive Development in Bilingual Children)
Show Figures

Figure 1

11 pages, 1432 KB  
Article
The Impact of Experience on Motion Information Processing: An ERP Study
by Yinan Xu and Xue Sui
Behav. Sci. 2026, 16(2), 284; https://doi.org/10.3390/bs16020284 - 15 Feb 2026
Viewed by 211
Abstract
The purpose is to investigate how sports experience influences the processing of motor-related information. Sixty participants with differing levels of sports experience were recruited: 20 table tennis athletes, 20 athletes from other sports, and 20 non-athletes. A total of 150 images depicting table-tennis [...] Read more.
The purpose is to investigate how sports experience influences the processing of motor-related information. Sixty participants with differing levels of sports experience were recruited: 20 table tennis athletes, 20 athletes from other sports, and 20 non-athletes. A total of 150 images depicting table-tennis scenarios, divided into competitive and non-competitive, were shown to participates and recorded their electroencephalographic responses. We found that both table tennis and ordinary athletes exhibited significantly smaller P3 amplitudes in the parietal region compared with non-athletes. In addition, under competitive conditions, athletes showed larger N2 amplitudes in the central region than non-athletes. However, no significant difference in N2 amplitude was observed between table tennis athletes and athletes from other sports. These findings indicate that greater sports experience reduces the cognitive resources required for processing motor-related information and enhances individuals’ abilities in conflict monitoring and response inhibition. Furthermore, the effects of sports experience appear to be transferable across different athletic domains. Full article
Show Figures

Figure 1

17 pages, 1434 KB  
Article
Approach or Avoidance? The Impact of Pain Expectation on Pain Empathy: An ERP Study
by Bingni Huang, Meijing Du, Jiaxian Luo and Pinchao Luo
Behav. Sci. 2026, 16(2), 281; https://doi.org/10.3390/bs16020281 - 15 Feb 2026
Viewed by 270
Abstract
Pain empathy plays an important role in both social bonding and defensive mechanisms, yet previous studies have mostly used non-predictive paradigms and rarely examined the effects of expectation. Using event-related potentials (ERPs), this study explored how pain expectation temporally modulates empathic responses and [...] Read more.
Pain empathy plays an important role in both social bonding and defensive mechanisms, yet previous studies have mostly used non-predictive paradigms and rarely examined the effects of expectation. Using event-related potentials (ERPs), this study explored how pain expectation temporally modulates empathic responses and proposed an avoidance–approach dual-drive model. Behaviorally, participants responded faster and more accurately under pain-expectation conditions. At the neural level, greater N2 amplitudes were elicited by pain expectation, reflecting avoidance reactions driven by self-protection. In the P3 stage, two concurrent effects emerged: (1) overall P3 amplitudes decreased under pain expectation, suggesting reduced cognitive resource allocation due to avoidance; and (2) painful stimuli still evoked larger P3 amplitudes than neutral stimuli, indicating empathic engagement associated with approach motivation. These results suggest that pain empathy is not governed by a single mechanism but by a dynamic interplay between avoidance and approach motivations at different temporal stages, providing a neurophysiological framework that integrates defensive and affiliative needs in pain empathy. Full article
Show Figures

Figure 1

17 pages, 1066 KB  
Article
Vulnerable Narcissism Modulates Early Neural Processing of Verbal Violence in Women: An ERP Study
by Qianglong Wang, Ping Song, Yongxiang Hu and Rongbao Li
Behav. Sci. 2026, 16(2), 270; https://doi.org/10.3390/bs16020270 - 12 Feb 2026
Viewed by 339
Abstract
This study examined how narcissistic traits influence women’s cognitive processing of verbal violence. Using a lexical decision task, an emotional Stroop task, and event-related potentials, we analyzed neural responses to violent versus neutral words in 70 women. Behaviorally, while narcissism showed no significant [...] Read more.
This study examined how narcissistic traits influence women’s cognitive processing of verbal violence. Using a lexical decision task, an emotional Stroop task, and event-related potentials, we analyzed neural responses to violent versus neutral words in 70 women. Behaviorally, while narcissism showed no significant impact on performance in the Lexical Decision Task, a specific interference effect emerged in the emotional Stroop task, where higher narcissistic vulnerability predicted reduced accuracy for violent words relative to neutral ones. Notably, ERP results revealed a consistent pattern across both tasks: higher PNI total scores significantly predicted reduced amplitudes of early components, specifically the N170 and P2. Furthermore, in the emotional Stroop task, the vulnerability dimension emerged as a significant predictor of reduced EPN and P2 amplitudes. These findings suggest that when exposed to verbal violence, narcissistic women exhibit attenuated early evaluation and attentional allocation. This reflects a preemptive cognitive avoidance strategy used to protect the self-concept, driven primarily by a general narcissistic defensive pattern that manifests most acutely in vulnerable traits under high-interference conditions. Full article
(This article belongs to the Section Social Psychology)
Show Figures

Figure 1

13 pages, 3446 KB  
Article
Comparing Simultaneous Scalp EEG Recordings from the OpenBCI Cyton and Brain Products BrainAmp
by Alessandro D’Amico and Virginia R. de Sa
Sensors 2026, 26(4), 1153; https://doi.org/10.3390/s26041153 - 11 Feb 2026
Viewed by 241
Abstract
Portable, affordable electroencephalography (EEG) amplifiers could enable neuroscience-scale data collection. The open-source OpenBCI Cyton shows promise in this regard, but remains undervalidated for cognitive neuroscience ERP experiments. We simultaneously recorded eight scalp electrodes with both Cyton and gold-standard Brain Products BrainAmp amplifiers across [...] Read more.
Portable, affordable electroencephalography (EEG) amplifiers could enable neuroscience-scale data collection. The open-source OpenBCI Cyton shows promise in this regard, but remains undervalidated for cognitive neuroscience ERP experiments. We simultaneously recorded eight scalp electrodes with both Cyton and gold-standard Brain Products BrainAmp amplifiers across P3b-, ERN-, and N400-eliciting tasks. Five healthy volunteers completed visual oddball (P3b), flankers (ERN), and word association (N400) tasks. We quantified within-subject signal similarity using Pearson r2, mean absolute error (MAE), mean arctangent absolute percentage error (MAAPE), and within-component window mean and standard deviation. Cyton signals showed r2 = 97–100%, MAE ≈ 1 µV, and MAAPE ≈ 20% with BrainAmp signals at ERP sites of interest. No significant differences emerged in mean amplitudes within ERP component windows across amplifiers, though standard deviations differed significantly. These results demonstrate that the Cyton records highly similar but not identical scalp EEG as research-grade equipment. This first multi-subject, concurrent scalp EEG validation across multiple ERP components validates the Cyton for cognitive neuroscience and supports broader adoption of affordable open-source tools. Full article
Show Figures

Figure 1

21 pages, 2593 KB  
Article
Perceptual Decision Advantages in Open-Skill Athletes Emerge near the Threshold of Awareness: Behavioral, Computational, and Electrophysiological Evidence
by Xudong Liu, Shiying Gao, Yanglan Yu and Anmin Li
Brain Sci. 2026, 16(2), 198; https://doi.org/10.3390/brainsci16020198 - 7 Feb 2026
Viewed by 239
Abstract
Background/Objectives: Perceptual awareness and decision formation unfold gradually as sensory evidence increases. Near the threshold of awareness, small differences in neural processing efficiency can be amplified into marked behavioral variability. Open-skill athletes are trained to make rapid decisions under dynamic and uncertain conditions, [...] Read more.
Background/Objectives: Perceptual awareness and decision formation unfold gradually as sensory evidence increases. Near the threshold of awareness, small differences in neural processing efficiency can be amplified into marked behavioral variability. Open-skill athletes are trained to make rapid decisions under dynamic and uncertain conditions, yet it remains unclear whether their perceptual advantage reflects enhanced early sensory sensitivity or more efficient late-stage evidence accumulation. This study aimed to identify the processing stage at which open-skill sports expertise exerts its influence. Methods: Twenty-five open-skill athletes and twenty-three non-athlete controls completed a visual orientation discrimination task with eight graded levels of stimulus visibility, ranging from subliminal to clearly visible. Behavioral performance was analyzed together with hierarchical drift–diffusion modeling to estimate latent decision parameters. Event-related potentials (ERPs) were recorded using a 64-channel EEG system during an active decision task and a passive viewing task, focusing on early (N2, P2) and late (P3) components. ERP–behavior correlations were examined across visibility levels. Results: No group differences were observed at the lowest visibility levels. Group differences emerged selectively at intermediate to high visibility levels, where athletes showed higher accuracy and a tendency toward faster responses. Drift–diffusion modeling revealed that this advantage was driven by higher drift rates in athletes, with no group differences in non-decision time, boundary separation, or starting point. Early ERP components (N2, P2) were strongly modulated by stimulus visibility but showed no consistent group differences. In contrast, the P3 component exhibited earlier and more pronounced differentiation across visibility levels in athletes. In the passive viewing task, group differences were substantially reduced. ERP–behavior analyses showed stronger and earlier P3–behavior coupling in athletes. Conclusions: Open-skill sports expertise selectively optimizes late-stage evidence accumulation and its translation into behavior, rather than enhancing unconscious or early sensory processing. Full article
(This article belongs to the Section Cognitive, Social and Affective Neuroscience)
Show Figures

Figure 1

16 pages, 1159 KB  
Article
Oscillatory Correlates of Habituation: EEG Evidence of Sustained Frontal Theta Activity to Food Cues
by Aruna Duraisingam, Daniele Soria and Ramaswamy Palaniappan
Sensors 2026, 26(3), 1001; https://doi.org/10.3390/s26031001 - 3 Feb 2026
Viewed by 393
Abstract
Understanding how the brain adapts to repeated food-related cues provides insight into attentional and motivational mechanisms that influence eating behaviour. Previous studies using event-related potentials (ERPs) have shown that food cues, particularly high-calorie stimuli, elicit sustained neural responses with repeated exposure. The present [...] Read more.
Understanding how the brain adapts to repeated food-related cues provides insight into attentional and motivational mechanisms that influence eating behaviour. Previous studies using event-related potentials (ERPs) have shown that food cues, particularly high-calorie stimuli, elicit sustained neural responses with repeated exposure. The present study extends this line of inquiry by examining the oscillatory dynamics of within-session habituation using time-frequency analysis of electroencephalographic (EEG) data from 24 healthy adult participants. Repeated presentations of the same high-calorie, low-calorie, and non-food images were shown, and changes in power across the delta, theta, alpha, beta, and gamma bands were analysed using cluster-based permutation testing. The results revealed a significant habituation effect for the non-food image within the theta band at frontal scalp electrode clusters between 110–330 ms, characterised by a progressive reduction in power over time. In contrast, both high and low-calorie food cues maintained more stable oscillatory activity, indicating sustained attentional engagement. Participant-level analyses further suggested that changes in attentional engagement followed a graded pattern rather than clear categorical differences across stimulus types. These findings suggest that neural habituation is modulated by stimulus salience, with high-calorie food images resisting adaptation through persistent theta-band synchronisation at frontal scalp electrodes. Integrating these oscillatory results with prior time-domain evidence highlights a multi-stage attentional process: an early sensory filtering phase reflected in parietal ERPs and a sustained regulatory phase indexed by theta-band activity recorded at frontal scalp electrodes. This study provides novel evidence that time-frequency analysis captures complementary aspects of attentional adaptation that are not visible in traditional ERP measures, offering a richer understanding of how the brain maintains attention to appetitive visual stimuli. Full article
Show Figures

Figure 1

8 pages, 754 KB  
Proceeding Paper
Noise Injection as a Structural Diagnostic Tool for Deep Model Reduction
by Chu-Hui Lee, Chun-Ming Huang and Wei-Lin Lai
Eng. Proc. 2025, 120(1), 31; https://doi.org/10.3390/engproc2025120031 - 2 Feb 2026
Viewed by 169
Abstract
In this study, we introduce a novel, functionally driven method for model pruning guided by sensitivity analysis. Conventional model compression techniques often rely on proxy metrics, such as weight magnitude, which may not accurately reflect a component’s true functional importance. The proposed method [...] Read more.
In this study, we introduce a novel, functionally driven method for model pruning guided by sensitivity analysis. Conventional model compression techniques often rely on proxy metrics, such as weight magnitude, which may not accurately reflect a component’s true functional importance. The proposed method directly assesses this by systematically injecting controlled noise into network layers and measuring the resultant perturbation on inference output. Components exhibiting low sensitivity to this noise are identified as functionally redundant and are pruned. We validated the method on EEGNet, a compact convolutional neural network, using the MNE Sample Event-Related Potential (ERP) dataset, a widely used benchmark for electroencephalography classification. After training the baseline model, we generated a sensitivity profile by quantifying how noise injection at different layers impacts predictive accuracy. This profile then guided targeted pruning of less influential convolutional kernels and weights. Experimental results demonstrate the method’s efficacy, achieving a significant reduction in both parameter count and computational complexity. Crucially, the pruned model retains classification accuracy nearly identical to the original, heavyweight EEGNet. This confirms that sensitivity-guided pruning effectively removes redundancy without degrading performance. In conclusion, our noise injection framework provides a more direct and interpretable criterion for neural network simplification. By linking component pruning to functional impact, our method enables a more precise and efficient model reduction than traditional heuristic-based approaches. The method developed presents a practical pathway toward developing lightweight, accurate, and low-latency models essential for real-world neuro-computational applications. Future work will focus on automating the pruning pipeline and extending the framework’s applicability to diverse neural architectures. Full article
(This article belongs to the Proceedings of 8th International Conference on Knowledge Innovation and Invention)
Show Figures

Figure 1

22 pages, 3487 KB  
Article
Structure Influences Case Processing: Electrophysiological Insights from Hindi Light Verb Constructions
by Anna Merin Mathew, R. Muralikrishnan, Mahima Gulati and Kamal Kumar Choudhary
Brain Sci. 2026, 16(2), 176; https://doi.org/10.3390/brainsci16020176 - 31 Jan 2026
Viewed by 305
Abstract
Background: Case marking serves as a crucial cue in sentence processing, enabling the prediction of upcoming arguments, thematic roles, and event structure. Cross-linguistic studies have revealed language-specific variations in case processing, with differences observed between nominative–accusative and ergative languages, albeit with limited data [...] Read more.
Background: Case marking serves as a crucial cue in sentence processing, enabling the prediction of upcoming arguments, thematic roles, and event structure. Cross-linguistic studies have revealed language-specific variations in case processing, with differences observed between nominative–accusative and ergative languages, albeit with limited data from the latter. Objective: To this end, we investigated case processing in Hindi compound light verb constructions, leveraging its split-ergative system. Methods: An ERP study was conducted with twenty-four native Hindi speakers, wherein the subject case (ergative or nominative) either matched or mismatched with the aspect marking on the light verb (perfective or imperfective). Results: The results revealed distinct ERP effects depending upon the subject case: a P600 effect for ergative case violations at the imperfective light verb and a biphasic N400-P600 effect for nominative case violations at the perfective light verb. Conclusions: These findings suggest underlying neurophysiological differences in the processing of ergative versus nominative case alignment within light verb structures. Moving forward, a closer examination of structure-specific neurophysiological variation can help bridge the gap between typological distributions and their neural underpinnings. Full article
(This article belongs to the Special Issue Language Perception and Processing)
Show Figures

Figure 1

15 pages, 2879 KB  
Article
The Right PPC Plays an Important Role in the Interaction of Temporal Attention and Expectation: Evidence from a tACS-EEG Study
by Bingbing Fu, Kaishi Lin, Ying Chen, Junjun Zhang, Zhenlan Jin and Ling Li
Biomedicines 2026, 14(2), 336; https://doi.org/10.3390/biomedicines14020336 - 31 Jan 2026
Viewed by 321
Abstract
Background/Objectives: Temporal attention and temporal expectation are two key mechanisms that facilitate perception by prioritizing information at specific moments and by leveraging temporal predictability, respectively. While their behavioral interaction is established, the underlying neural mechanisms remain poorly understood. Building on functional magnetic resonance [...] Read more.
Background/Objectives: Temporal attention and temporal expectation are two key mechanisms that facilitate perception by prioritizing information at specific moments and by leveraging temporal predictability, respectively. While their behavioral interaction is established, the underlying neural mechanisms remain poorly understood. Building on functional magnetic resonance imaging (fMRI) evidence linking temporal attention to parietal cortex activity and the role of alpha oscillations in temporal prediction, we investigated whether the right posterior parietal cortex (rPPC) may be involved in integrating these two processes. Methods: Experiment 1 used a behavioral paradigm to dissociate temporal expectation from attention across 600 ms and 1400 ms intervals. Experiment 2 retained only the 600 ms interval, combining behavioral assessments with electroencephalography (EEG), recording following transcranial alternating current stimulation (tACS) applied to the rPPC to probe neural mechanisms. Results: Experiment 1 showed an attention/expectation interaction exclusively at 600 ms: enhanced expectation improved response times under attended, not unattended, conditions. Experiment 2 replicated these behavioral and event-related potential (ERP) findings. Temporal attention modulated N1 amplitude: in attended conditions, the N1 was significantly more negative under high versus low expectation, while no difference was observed in unattended contexts. Anodal tACS over the rPPC reduced this N1 amplitude difference between high and low attentional expectation conditions to non-significance. Restricting analyses to attended conditions, paired-samples t-tests revealed that alpha-band power differed between high and low expectation under sham tACS, but this difference was absent under anodal tACS, which also attenuated the corresponding behavioral attention/expectation interaction effects. Conclusions: These findings provide suggestive evidence that the rPPC may be key to integrating temporal attention and expectation, occurring in early processing stages and specific to brief intervals. Full article
Show Figures

Figure 1

27 pages, 2073 KB  
Article
SparseMambaNet: A Novel Architecture Integrating Bi-Mamba and a Mixture of Experts for Efficient EEG-Based Lie Detection
by Hanbeot Park, Yunjeong Cho and Hunhee Kim
Appl. Sci. 2026, 16(3), 1437; https://doi.org/10.3390/app16031437 - 30 Jan 2026
Viewed by 278
Abstract
Traditional lie detection technologies, such as the polygraph and event-related potential (ERP)-based approaches, often face limitations in real-world applicability due to their sensitivity to psychological states and the complex, nonlinear nature of electroencephalogram (EEG) signals. In this study, we propose SparseMambaNet, a novel [...] Read more.
Traditional lie detection technologies, such as the polygraph and event-related potential (ERP)-based approaches, often face limitations in real-world applicability due to their sensitivity to psychological states and the complex, nonlinear nature of electroencephalogram (EEG) signals. In this study, we propose SparseMambaNet, a novel neural architecture that integrates the recently developed Bi-Mamba model with a Sparsely Activated Mixture of Experts (MoE) structure to effectively model the intricate spatio-temporal dynamics of EEG data. By leveraging the near-linear computational complexity of Mamba and the bidirectional contextual modeling of Bi-Mamba, the proposed framework efficiently processes long EEG sequences while maximizing representational power through the selective activation of expert networks tailored to diverse input characteristics. Experiments were conducted with 46 healthy subjects using a simulated criminal scenario based on the Comparison Question Technique (CQT) with monetary incentives to induce realistic psychological tension. We extracted nine statistical and neural complexity features, including Hjorth parameters, Sample Entropy, and Spectral Entropy. The results demonstrated that Sample entropy and Hjorth parameters achieved exceptional classification performance, recording F1 scores of 0.9963 and 0.9935, respectively. Statistical analyses further revealed that the post-response “answer” interval provided significantly higher discriminative power compared to the “question” interval. Furthermore, channel-level analysis identified core neural loci for deception in the frontal and fronto-central regions, specifically at channels E54 and E63. These findings suggest that SparseMambaNet offers a highly efficient and precise solution for EEG-based lie detection, providing a robust foundation for the development of personalized brain–computer interface (BCI) systems in forensic and clinical settings. Full article
(This article belongs to the Special Issue Brain-Computer Interfaces: Development, Applications, and Challenges)
Show Figures

Figure 1

16 pages, 1763 KB  
Article
Subliminal Semantic Processing of Grasping Actions: Evidence from ERP Measures of Action-Verb Priming
by Yanglan Yu and Anmin Li
Behav. Sci. 2026, 16(2), 206; https://doi.org/10.3390/bs16020206 - 30 Jan 2026
Viewed by 274
Abstract
Human interaction with manipulable objects relies heavily on the ability to perceive and execute grasping actions, yet it remains unclear whether the semantics of these actions are processed without conscious awareness. While previous work has identified bottom-up influences on grasp recognition, direct evidence [...] Read more.
Human interaction with manipulable objects relies heavily on the ability to perceive and execute grasping actions, yet it remains unclear whether the semantics of these actions are processed without conscious awareness. While previous work has identified bottom-up influences on grasp recognition, direct evidence for subliminal semantic processing of grasping actions is limited. Grounded in embodied cognition theory—which posits overlapping neural mechanisms for action language and action execution—the present study examined whether grasp-related verbs can elicit subliminal priming effects on grasping-action recognition. Using a masked priming paradigm, participants classified objects requiring either precision or power grasps while subliminal Chinese action verbs served as primes. Behavioral measures revealed faster responses for semantically congruent cue–target pairs. ERP analyses further demonstrated congruency effects in the N400 and P600 components, reflecting semantic integration and conflict monitoring, as well as modulation of the P300 associated with action-related evaluation. Both grasp types showed evidence of unconscious semantic processing, though precision- and power-grasping actions produced distinct neural patterns. These findings provide direct experimental support for subthreshold semantic activation of grasping actions and confirm the viewpoint of action-language-embodied processing. The study advances the theoretical understanding of unconscious-action semantics and offers a framework for investigating how manipulative-action meaning is accessed below the threshold of awareness. Full article
(This article belongs to the Special Issue Neurocognitive Foundations of Embodied Learning)
Show Figures

Figure 1

Back to TopTop