Sign in to use this feature.

Years

Between: -

Subjects

remove_circle_outline
remove_circle_outline
remove_circle_outline
remove_circle_outline
remove_circle_outline
remove_circle_outline
remove_circle_outline
remove_circle_outline
remove_circle_outline

Journals

remove_circle_outline
remove_circle_outline
remove_circle_outline
remove_circle_outline

Article Types

Countries / Regions

remove_circle_outline
remove_circle_outline
remove_circle_outline
remove_circle_outline

Search Results (296)

Search Parameters:
Keywords = Doppler velocity observation

Order results
Result details
Results per page
Select all
Export citation of selected articles as:
12 pages, 614 KB  
Article
Echocardiographic Markers of Right Ventricle Diastolic Dysfunction in Neonates and Infants with Congenital Heart Disease
by Massimiliano Cantinotti, Guglielmo Capponi, Marco Scalese, Eleonora Palladino, Raffaele Giordano, Eliana Franchi, Cecilia Viacava, Giulia Corana, Pietro Marchese, Alessandra Pizzuto, Nadia Assanta and Giuseppe Santoro
J. Clin. Med. 2026, 15(1), 98; https://doi.org/10.3390/jcm15010098 - 23 Dec 2025
Viewed by 150
Abstract
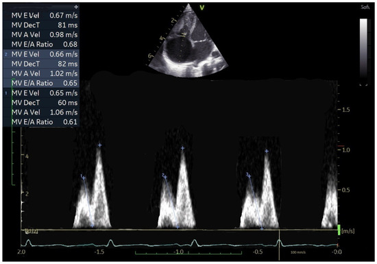
Background: Assessing right ventricular (RV) diastolic function by echocardiography in pediatric patients remains complex, particularly in congenital heart disease (CHD) characterized by RV pressure overload. The geometric peculiarities of the RV, respiratory influences, and age-dependent maturational changes complicate interpretation of Doppler-derived indices. This [...] Read more.
Background: Assessing right ventricular (RV) diastolic function by echocardiography in pediatric patients remains complex, particularly in congenital heart disease (CHD) characterized by RV pressure overload. The geometric peculiarities of the RV, respiratory influences, and age-dependent maturational changes complicate interpretation of Doppler-derived indices. This study aimed to characterize tricuspid valve (TV) pulsed-wave Doppler E/A inflow patterns in infants with CHD and RV pressure overload, evaluated shortly after surgical or percutaneous intervention. Methods: Echocardiographic analysis included TV E- and A-wave velocities obtained by pulsed-wave Doppler and measurement of E-wave deceleration time (EDT). Beat-to-beat variability was quantified over three consecutive cardiac cycles. Data were compared with a large cohort of age-matched healthy children. Results: Fifty-seven infants with CHD (35 pulmonary stenosis; 22 tetralogy of Fallot), examined 12–48 h post-intervention, were compared with 134 healthy controls. CHD patients showed markedly reduced beat-to-beat variability of both E- and A-wave velocities (p < 0.001 and p = 0.007, respectively). A three-beat E/A inversion pattern—common in neonates but variable in healthy infants—was consistently observed in CHD patients (p < 0.001). A-wave velocities were significantly higher (p < 0.001), whereas E/A ratios (p < 0.001) and EDT values (p = 0.010) were significantly lower compared with controls. Conclusions: Infants with CHD and RV pressure overload exhibit a characteristic Doppler pattern consisting of E/A ratio inversion, reduced beat-to-beat variability, increased A-wave velocity, and shortened E/A ratio and EDT. These findings may serve as practical and reproducible indicators of RV diastolic dysfunction in the early post-intervention period in neonates and infants. Full article
(This article belongs to the Section Cardiovascular Medicine)
Show Figures

Figure 1

22 pages, 3132 KB  
Article
A Study on a Low-Cost IMU/Doppler Integrated Velocity Estimation Method Under Insufficient GNSS Observation Conditions
by Yinggang Wang, Hongli Zhang, Kemeng Li, Hanghang Xu and Yijin Chen
Sensors 2025, 25(24), 7674; https://doi.org/10.3390/s25247674 - 18 Dec 2025
Viewed by 385
Abstract
The Global Navigation Satellite System (GNSS)/Inertial Measurement Unit (IMU) Loosely Coupled (LC) integration framework has been widely adopted due to its simple structure, but it relies on complete GNSS position and velocity solutions, and the rapid accumulation of IMU errors can easily lead [...] Read more.
The Global Navigation Satellite System (GNSS)/Inertial Measurement Unit (IMU) Loosely Coupled (LC) integration framework has been widely adopted due to its simple structure, but it relies on complete GNSS position and velocity solutions, and the rapid accumulation of IMU errors can easily lead to navigation failure when fewer than four satellites are visible. In this paper, GNSS Doppler observations are fused with IMU attitude information within an LC framework. An inter-satellite differential Doppler model is introduced, and the velocity obtained from the differential Doppler solution is transformed into the navigation frame using the IMU-derived attitude, enabling three-dimensional velocity estimation in the navigation frame even when only two satellites are available. Analysis of real vehicle data collected by the GREAT team at Wuhan University shows that the Signal-to-Noise Ratio (SNR) and the geometric relationship between the Satellite Difference Vector (SDV) and the Receiver Motion Direction (RMD) are the dominant factors affecting velocity accuracy. A multi-factor threshold screening strategy further indicates that when SNR> 40 and SDV·RMD >0.2, the Root Mean Square (RMS) of the velocity error is approximately 0.3 m/s and the data retention rate exceeds 44%, achieving a good balance between accuracy and availability. The results indicate that, while maintaining a simple system structure, the proposed Doppler–IMU fusion method can significantly enhance velocity robustness and positioning continuity within an LC architecture under weak GNSS conditions (when more than two satellites are visible but standalone GNSS positioning is still unavailable), and is suitable for constructing low-cost, highly reliable integrated navigation systems. Full article
(This article belongs to the Section Navigation and Positioning)
Show Figures

Figure 1

16 pages, 2677 KB  
Article
Outlier-Resistant Initial Alignment of DVL-Aided SINS Using Mahalanobis Distance
by Yidong Shen, Li Luo, Guoqing Wang, Tao Liu, Lin Luo, Jiaxi Guo and Shuangshuang Wang
Sensors 2025, 25(24), 7599; https://doi.org/10.3390/s25247599 - 15 Dec 2025
Viewed by 195
Abstract
Due to the influence of the complex underwater environment, the initial alignment method for Doppler velocity log (DVL)-aided strap-down inertial navigation systems (SINS) often suffer from performance degradation, especially when DVL measurements are contaminated by outliers. In this paper, an outlier-resistant Initial Alignment [...] Read more.
Due to the influence of the complex underwater environment, the initial alignment method for Doppler velocity log (DVL)-aided strap-down inertial navigation systems (SINS) often suffer from performance degradation, especially when DVL measurements are contaminated by outliers. In this paper, an outlier-resistant Initial Alignment method with interference suppression for SINS/DVL integrated navigation system is proposed, by which, by constructing an improved Mahalanobis distance anomalous detection criterion, the anomaly of the residual vector composed of observation vectors is judged, and an adaptive weighting factor is introduced into the observation matrix to suppress the abnormal interference in the alignment process. Simulation and experimental results show that, compared with existing initial alignment methods, the proposed method achieves higher alignment accuracy in the presence of outliers, which is more suitable for the SINS/DVL integrated navigation system. Full article
(This article belongs to the Section Navigation and Positioning)
Show Figures

Figure 1

19 pages, 1204 KB  
Review
Fetal Hepatic Circulation: From Vascular Physiology to Doppler Assessment
by Inês Gil-Santos and Luís Guedes-Martins
Diagnostics 2025, 15(24), 3147; https://doi.org/10.3390/diagnostics15243147 - 10 Dec 2025
Viewed by 358
Abstract
During fetal life, the hepatic artery (HA) is responsible for a small contribution to the total hepatic blood inflow; however, it plays a key role in maintaining liver perfusion and reflects fetal hemodynamic adaptation. With advances in ultrasonography, HA Doppler assessment has emerged [...] Read more.
During fetal life, the hepatic artery (HA) is responsible for a small contribution to the total hepatic blood inflow; however, it plays a key role in maintaining liver perfusion and reflects fetal hemodynamic adaptation. With advances in ultrasonography, HA Doppler assessment has emerged as a potential tool for evaluating fetal well-being. This review aims to synthesize current knowledge on the embryology, anatomy, physiology, and Doppler assessment of the fetal hepatic artery, highlighting its diagnostic and clinical significance. A prenatal hepatic arterial buffer response (HABR), analogous to that in postnatal life, allows for compensatory vasodilatation when umbilical or portal venous inflow decreases. Doppler studies demonstrate that a reduced pulsatility index (PI) and resistance index (RI) and an increased peak systolic velocity (PSV) correspond to enhanced arterial flow and decreased vascular resistance. These patterns have been observed in fetal growth restriction (FGR) and certain chromosomal abnormalities. Fetal hepatic artery Doppler assessment contributes to the understanding of fetal adaptation to hypoxia and has a promising role in fetal well-being evaluation. As of now, there are no established reference curves, and it has not yet been incorporated into routine obstetric screening; future research should focus on standardizing measurement techniques and validating its prognostic value. Full article
(This article belongs to the Section Medical Imaging and Theranostics)
Show Figures

Figure 1

27 pages, 7755 KB  
Article
Characterization of a Multi-Diffuser Fine-Bubble Aeration Reactor: Influence of Local Parameters and Hydrodynamics on Oxygen Transfer
by Oscar Prades-Mateu, Guillem Monrós-Andreu, Delia Trifi, Jaume Luis-Gómez, Salvador Torró, Raúl Martínez-Cuenca and Sergio Chiva
Water 2025, 17(24), 3448; https://doi.org/10.3390/w17243448 - 5 Dec 2025
Viewed by 493
Abstract
Fine-bubble aeration is a core process in wastewater treatment plants (WWTPs). However, the physical mechanisms linking bubble plume hydrodynamics to oxygen transfer performance remain insufficiently quantified under configurations representative of full-scale installations. This study presents a local multi-sensor experimental characterization of a multiple [...] Read more.
Fine-bubble aeration is a core process in wastewater treatment plants (WWTPs). However, the physical mechanisms linking bubble plume hydrodynamics to oxygen transfer performance remain insufficiently quantified under configurations representative of full-scale installations. This study presents a local multi-sensor experimental characterization of a multiple bubble plume system using a 4 × 4 array of commercial membrane diffusers in a pilot-scale aeration tank (2 m3), emulating WWTP diffuser density and geometry. Airflow rate was varied to analyze its effects on mixing and oxygen transfer efficiency. The experimental methodology combines three complementary measurement approaches. Oxygen transfer performance is quantified using a dissolved oxygen probe. Liquid-phase velocity fields are then mapped using Acoustic Doppler Velocimetry (ADV). Finally, local two-phase measurements are obtained using dual-tip Conductivity Probe (CP) arrays, which provide bubble size, bubble velocity, void fraction, and Interfacial Area Concentration (IAC). Based on these observations, a zonal hydrodynamic model is proposed to describe plume interaction, wall-driven recirculation, and the formation of a collective plume core at higher airflows. Quantitatively, the results reveal a 29% reduction in Standard Oxygen Transfer Efficiency (SOTE) between 10 and 40 m3/h, driven by a 41% increase in bubble size and an 18% rise in bubble velocity. Bubble chord length also increased with height, by 33%, 19%, and 15% over 0.8 m for 10, 20, and 40 m3/h, respectively. These trends indicate that increasing airflow enhances turbulent mixing but simultaneously enlarges bubbles and accelerates their ascent, thereby reducing residence time and negatively affecting oxygen transfer. Overall, the validated multiphase datasets and mechanistic insights demonstrate the dominant role of diffuser interaction in dense layouts, supporting improved parameterization and experimental benchmarking of fine-bubble aeration systems in WWTPs. Full article
(This article belongs to the Special Issue Hydrodynamics Science Experiments and Simulations, 2nd Edition)
Show Figures

Figure 1

11 pages, 689 KB  
Article
Cerebrovascular Reactivity to Acetazolamide in Stable COPD Patients
by Péter Siró, Regina Szabó-Szűcs, Viktória Dudás, Ildikó Horváth, Béla Fülesdi and Attila Vaskó
J. Clin. Med. 2025, 14(23), 8535; https://doi.org/10.3390/jcm14238535 - 1 Dec 2025
Viewed by 273
Abstract
Background: COPD patients may be prone to cerebral small vessel disease resulting in perivascular white matter lesions and consequent cognitive decline. The pathophysiological background of these observations is not completely understood. It is hypothesized that COPD may involve systemic vascular dysfunction extending to [...] Read more.
Background: COPD patients may be prone to cerebral small vessel disease resulting in perivascular white matter lesions and consequent cognitive decline. The pathophysiological background of these observations is not completely understood. It is hypothesized that COPD may involve systemic vascular dysfunction extending to the brain. The present study aimed to assess whether acetazolamide-induced cerebral vasoreactivity and cerebrovascular reserve capacity are impaired in patients with COPD. Methods: A total of 17 patients with COPD and 20 healthy control subjects underwent transcranial Doppler monitoring before and after IV administration of 15 mg/kgBW acetazolamide for 20 min. Cerebrovascular reactivity (CVR) was defined as a percent increase in blood flow velocity in the middle cerebral artery (MBFV) after acetazolamide. Cerebrovascular reserve capacity (CVRC) was defined as the maximal percent change in MBFV during the entire registration. Results: Administration of acetazolamide resulted in a slight decrease in pH and a mild increase in PaCO2 (both p < 0.001) in COPD patients. Absolute MBFV values were consequently higher, and pulsatility indices were lower in control subjects compared to those measured in patients with COPD. The CVR at different time points after acetazolamide and CVRC did not show any difference between COPD patients and control subjects. Conclusions: In the present study, in normocapnic mild and normocapnic moderate COPD patients, cerebrovascular reactivity is not impaired, indicating that in mild stages, cerebral arteriolar function is preserved. Further studies, using patient selection based on different severity stages of the disease, may show whether alteration of the cerebral arteriolar function is responsible for the white matter lesions and cognitive decline observed in severe COPD patients. Full article
Show Figures

Figure 1

10 pages, 1757 KB  
Article
Left Atrial Blood Flow Dynamics: Preliminary Observations Using HyperDoppler
by Vittorio Smarrazzo, Vittoria Miano, Marco Maglione, Gianni Pedrizzetti and Donato Mele
Appl. Sci. 2025, 15(23), 12548; https://doi.org/10.3390/app152312548 - 26 Nov 2025
Viewed by 377
Abstract
Background: Evaluation of blood flow dynamics within the left atrium (LA) using cardiac imaging techniques, such as four-dimensional (4D) flow magnetic resonance imaging (MRI) and contrast and non-contrast ultrasound, is an area of increasing interest, especially in patients with atrial fibrillation (AF). While [...] Read more.
Background: Evaluation of blood flow dynamics within the left atrium (LA) using cardiac imaging techniques, such as four-dimensional (4D) flow magnetic resonance imaging (MRI) and contrast and non-contrast ultrasound, is an area of increasing interest, especially in patients with atrial fibrillation (AF). While 4D flow MRI and contrast ultrasound are limited in their application in routine clinical practice, non-contrast ultrasound techniques have the potential for extensive clinical application. However, there are no studies on LA flow dynamics evaluated using these latter techniques. Here we present the first application of HyperDoppler, a non-contrast color Doppler-based technique, to the assessment of LA flow dynamics in a case series. Methods: The transthoracic color Doppler modified apical 4-chamber view of a normal healthy subject and two patients with AF (one with persistent and the other with permanent AF) were analyzed using HyperDoppler. The resulting velocity vector map was visually examined frame-by-frame to describe LA flow dynamics. Results: In the healthy subject, HyperDoppler showed a LA flow behavior consistent with findings from the literature employing 4D flow MRI. In both patients with AF, HyperDoppler showed alterations of the LA flow dynamics pattern. Conclusions: Our preliminary observations suggest that HyperDoppler may be a valuable tool for characterizing physiological and pathological LA flow dynamics. Further studies are needed to confirm, explain and expand our initial findings. Full article
Show Figures

Figure 1

19 pages, 2569 KB  
Article
M-Mode and Tissue Doppler Ultrasonographic Assessment of Diaphragmatic Function in Dogs With and Without Respiratory Distress
by Jesús Talavera-López and Ariana Tur-Martín
Animals 2025, 15(23), 3371; https://doi.org/10.3390/ani15233371 - 21 Nov 2025
Viewed by 440
Abstract
The diaphragm plays a central role in respiration, and its dysfunction may contribute to respiratory distress (RD). Although ultrasound is widely used to assess diaphragmatic function in humans, its value in veterinary patients remains poorly defined. Fifty-eight dogs undergoing cardiorespiratory evaluation were classified [...] Read more.
The diaphragm plays a central role in respiration, and its dysfunction may contribute to respiratory distress (RD). Although ultrasound is widely used to assess diaphragmatic function in humans, its value in veterinary patients remains poorly defined. Fifty-eight dogs undergoing cardiorespiratory evaluation were classified as normal (n = 31) or with RD (n = 27) based on clinical scores. All underwent standardised echodiaphragmatic assessment (M-mode and tissue Doppler imaging, TDI), and interobserver measurement reproducibility was analysed. Demographic characteristics did not differ significantly between groups. Respiratory rate (RR) and body weight were the main factors influencing echodiaphragmatic parameters, with RR being the most relevant. Both groups exhibited mild asymmetry between hemidiaphragms. The mean left–right excursion difference was 4.9% (−79.9 to 79.4%) in the no-RD group and 15.2% (−63.2 to 69.6%) in RD dogs. Significant differences between groups were observed for RR (p = 0.039), as well as TDI-derived peak contraction velocity (p = 0.019) and peak relaxation velocity (p = 0.01). However, no single echodiaphragmatic variable demonstrated strong discriminatory ability for RD in ROC or multivariable logistic analyses. Interobserver reproducibility was excellent for all measurements (intraclass correlation coefficient > 87%). In conclusion, M-mode and TDI provide reliable quantitative evaluation of diaphragmatic motion in dogs. A mild dynamic asymmetry exists between hemidiaphragms, but RD is not necessarily indicative of diaphragmatic dysfunction. Respiratory rate remains the main factor influencing echodiaphragmatic parameters. Full article
(This article belongs to the Section Companion Animals)
Show Figures

Figure 1

17 pages, 6352 KB  
Article
A Decoupled Doppler Positioning Algorithm for Dynamic Receivers Using LEO Constellation Signals
by Tianqi Liu, Yan Liu, Chenggan Wen, Yonghang Jiang, Linxiong Wang, Rong Yang and Jiong Yi
Sensors 2025, 25(21), 6760; https://doi.org/10.3390/s25216760 - 5 Nov 2025
Viewed by 524
Abstract
The advancement of low-earth-orbit (LEO) communication constellations has revitalized interest in Doppler-based positioning. However, conventional Doppler positioning algorithms struggle with dynamic receivers under unknown initial states due to the inherent nonlinearity of the observation model. To address this challenge, we propose an improved [...] Read more.
The advancement of low-earth-orbit (LEO) communication constellations has revitalized interest in Doppler-based positioning. However, conventional Doppler positioning algorithms struggle with dynamic receivers under unknown initial states due to the inherent nonlinearity of the observation model. To address this challenge, we propose an improved least-squares-based algorithm that decouples the estimation of position and velocity, enabling robust positioning from a zero initial state. Simulation results demonstrate that the proposed method achieves meter-level positioning accuracy and decimeter-per-second velocity accuracy under various dynamic scenarios, including high-speed motion. This approach establishes a viable framework for real-time navigation in GNSS-challenged environments using LEO signals. Full article
Show Figures

Figure 1

11 pages, 8619 KB  
Article
Doppler Lidar Based on Mode-Locked Semiconductor Lasers
by Yibing Chen, Mengxi Zhou, Wenxuan Ma, Zhenxing Sun, Yuechun Shi, Hui Zou and Yunshan Zhang
Micromachines 2025, 16(11), 1239; https://doi.org/10.3390/mi16111239 - 30 Oct 2025
Viewed by 459
Abstract
This paper presents a Doppler lidar system based on a mode-locked semiconductor laser (ML-SL) source. The ML-SL consists of two sections: a Fabry–Pérot (F-P) cavity and a saturable absorber (SA) region. The system utilizes multiple phase-correlated modes of the optical frequency comb to [...] Read more.
This paper presents a Doppler lidar system based on a mode-locked semiconductor laser (ML-SL) source. The ML-SL consists of two sections: a Fabry–Pérot (F-P) cavity and a saturable absorber (SA) region. The system utilizes multiple phase-correlated modes of the optical frequency comb to acquire multiple Doppler shift signals; through cross-referencing of these signals, the robustness of the velocimetry system is enhanced. Experimental validation of precise velocity measurements for moving objects was conducted within the speed range of 0.005 m/s to 0.5 m/s. For target speeds of 0.563 m/s and 0.00563 m/s, the maximum and minimum absolute errors were 0.00064 m/s and 0.00003 m/s, respectively, with relative errors consistently below 1%. Comparative experiments demonstrated that utilizing multiple comb teeth reduces the maximum absolute error from 0.001286 m/s (observed when using a single tooth) to 0.000833 m/s. Furthermore, the velocity resolution of the system was analyzed: a frequency resolution of 30 Hz corresponds to a velocity resolution of 0.1117 m/s, while improving the frequency resolution to 1 Hz yields a velocity resolution of 0.0037 m/s. Full article
Show Figures

Figure 1

20 pages, 8723 KB  
Article
Real-Time Speed Measurement of Moving Objects with Continuous Wave Doppler Radar Using Software-Defined Radio: Implementation and Performance Analysis
by Antonio Flores, Robin Alvarez, Pablo Lupera, Christian Tipantuña, Ricardo Llugsi and Fernando Lara
Electronics 2025, 14(21), 4225; https://doi.org/10.3390/electronics14214225 - 29 Oct 2025
Cited by 1 | Viewed by 1014
Abstract
This paper presents a novel continuous-wave Doppler RADAR system for real-time speed measurement of moving objects, implemented using software-defined radio (SDR). Unlike traditional high-cost solutions typically found in research centers or specialized laboratories, this prototype offers a low-cost, compact, and easily deployable platform [...] Read more.
This paper presents a novel continuous-wave Doppler RADAR system for real-time speed measurement of moving objects, implemented using software-defined radio (SDR). Unlike traditional high-cost solutions typically found in research centers or specialized laboratories, this prototype offers a low-cost, compact, and easily deployable platform that lowers the entry barrier for experimentation and research. Operating within the 70 MHz–6 GHz range, SDR enables highly flexible signal processing; in this implementation, a 5.5 GHz carrier is selected to improve the detection precision by exploiting its reduced bandwidth for more accurate observation of frequency shifts. The carrier is modulated with a 2 kHz signal, and Doppler frequency deviations induced by object motion are processed to calculate velocity. Using a Welch spectral estimator, the system effectively reduces noise and extracts the Doppler frequency with high reliability. The prototype achieves speed measurements up to 196.36 km/h with approximately 2% error in the 0–100 km/h range, confirming its suitability for road traffic monitoring. A key innovation of this work is its single-antenna cross-polarized configuration, which simplifies hardware requirements while maintaining measurement accuracy. Furthermore, the system’s portability and open-access design make it ideal for in-vehicle applications, enabling direct deployment for automotive testing, driver-assistance research, and educational demonstrations. All design files and implementation details are openly shared, eliminating patent restrictions and encouraging adoption in low-resource academic and research environments. Full article
Show Figures

Figure 1

20 pages, 3002 KB  
Article
High-Sensitivity Troponin T as a Prognostic Factor of Conventional Echocardiographic Parameters in Cancer Patients: A Prospective Observational Study
by Svetoslava Elefterova Slavcheva, Sevim Ahmed Shefket, Yana Bocheva and Atanas Angelov
Medicina 2025, 61(11), 1911; https://doi.org/10.3390/medicina61111911 - 24 Oct 2025
Viewed by 634
Abstract
Background and Objectives: Cardiac injury caused by cancer therapy can be detected early using high-sensitivity cardiac troponins (hs-cTns), and this is crucial for preventing irreversible consequences. Clinically relevant issues regarding hs-cTns in oncologic settings—such as reliable cut-off values, the optimal assessment timeframe, [...] Read more.
Background and Objectives: Cardiac injury caused by cancer therapy can be detected early using high-sensitivity cardiac troponins (hs-cTns), and this is crucial for preventing irreversible consequences. Clinically relevant issues regarding hs-cTns in oncologic settings—such as reliable cut-off values, the optimal assessment timeframe, factors influencing their levels, and their prognostic ability in relation to functional echocardiographic parameters—require further investigation. In this study, we aimed to examine the determinants of hs-cTnT variations during cancer therapy and the relationship between the biomarker and functional conventional echocardiographic parameters. Materials and Methods: We prospectively evaluated adult patients scheduled for chemotherapy for either breast or gastrointestinal cancers, excluding those with pulmonary and cardiac disorders. We enrolled 40 patients who underwent a minimum of one cycle of potentially cardiotoxic regimens containing at least one of the following agents: anthracyclines, cyclophosphamide, taxanes, 5-fluorouracil, platinum compounds, trastuzumab, or bevacizumab. We observed two-dimensional and tissue Doppler echocardiographic parameters and hs-cTnT levels for a median of 360 days (IQR 162, 478) following the start of chemotherapy. Results: The generalised estimating equation (GEE) analysis revealed significant elevations in hs-cTnT levels at three months (β = 1.2; p = 0.005) and six months (β = 2.3; p = 0.02) from baseline, influenced by anthracycline treatment (p = 0.009), renal function (p = 0.003), and increased cardiotoxicity risk (high: p = 0.013; medium: p < 0.001). Elevated hs-cTnT levels independently predicted the deterioration of the LV longitudinal myocardial function, measured by the systolic tissue velocities, according to the GEE analysis. The receiver operating characteristic curve-derived hs-cTnT thresholds—of 8.23 ng/L and 8.08 ng/L—had a high negative predictive value for identifying Average and Lateral LVS′ decreases, respectively. Conclusions: Our research supports the use of baseline and continuing hs-cTnT testing in cancer patients, showing the dependence of the biomarker on renal function, cardiovascular toxicity risk level, and anthracycline treatment. The hs-cTnT cut-off value of approximately 8 ng/L may suggest a low probability of longitudinal myocardial function impairment and this observation needs further validation in larger cohorts. Full article
(This article belongs to the Section Cardiology)
Show Figures

Figure 1

12 pages, 347 KB  
Article
The Impact of Ursodeoxycholic Acid on Fetal Cardiac Function in Women with Gestational Diabetes Mellitus: A Randomized Controlled Study (GUARDS Trial)
by Ana Maria Company Calabuig, Jose Eliseo Blanco Carnero, Christos Chatzakis, Catherine Williamson, Kypros H. Nicolaides, Marietta Charakida and Catalina De Paco Matallana
J. Clin. Med. 2025, 14(20), 7366; https://doi.org/10.3390/jcm14207366 - 17 Oct 2025
Viewed by 849
Abstract
Background: Gestational diabetes mellitus (GDM) is associated with subclinical alterations in fetal cardiac morphology and function. Ursodeoxycholic acid (UDCA), widely used in pregnancy for intrahepatic cholestasis, has demonstrated cardioprotective properties in experimental fetal models, preventing conduction abnormalities and improving myocardial function. Whether UDCA [...] Read more.
Background: Gestational diabetes mellitus (GDM) is associated with subclinical alterations in fetal cardiac morphology and function. Ursodeoxycholic acid (UDCA), widely used in pregnancy for intrahepatic cholestasis, has demonstrated cardioprotective properties in experimental fetal models, preventing conduction abnormalities and improving myocardial function. Whether UDCA modifies fetal or neonatal cardiac adaptation in GDM pregnancies has not been previously investigated. The objective was to evaluate the effect of ursodeoxycholic acid (UDCA) on fetal and neonatal cardiac function in pregnancies complicated by gestational diabetes mellitus (GDM). Methods: In this randomized, placebo-controlled study, 113 women with GDM were enrolled, of whom 56 received UDCA and 57 the placebo. After measurement of maternal blood UDCA concentrations, 43 participants in the treatment group had levels ≥0.5 µmol/L and were included in the per-protocol analysis. Echocardiographic and Doppler-derived cardiac indices were assessed at baseline, 36 weeks’ gestation, and postpartum. Comparisons were performed using univariable tests and mixed-effects multivariable models accounting for time and treatment. Results: In the treatment group, compared to the placebo group, there were no significant differences in cardiac indices at 36 weeks’ gestation or postpartum when assessed individually. However, in the mixed-effects longitudinal analysis, a significant treatment-by-time interaction was observed. Specifically, in the postpartum period, mitral A-wave velocity (MV-A) was higher in the treatment group compared to that under the placebo (9.58, 95% CI 2.29–16.87; p = 0.010), reflecting a more pronounced increase in the atrial contribution to left ventricular filling over time. Similarly, aortic peak velocity (Ao_Vmáx) was significantly higher in the treatment group compared to that under the placebo in the postpartum period (7.97, 95% CI 0.19–15.75; p = 0.045), indicating a greater augmentation in left ventricular outflow dynamics. Conclusions: In pregnancies complicated by GDM, UDCA did not lead to significant cross-sectional differences in fetal or neonatal cardiac indices at 36 weeks or postpartum. However, longitudinal modeling indicated that UDCA was associated with a greater increase in the atrial contribution to ventricular filling (MV-A) and aortic peak velocity (Ao_Vmáx) in the postpartum period compared to that under the placebo. These findings suggest that while UDCA does not broadly alter cardiac function, it may modulate specific aspects of diastolic filling and systolic outflow dynamics during late gestation and early neonatal adaptation. Full article
(This article belongs to the Section Obstetrics & Gynecology)
Show Figures

Figure 1

13 pages, 921 KB  
Article
Predictive Value of Umbilical Artery Half Peak Systolic Velocity Deceleration Time for Adverse Perinatal Outcomes in Gestational Diabetes Mellitus
by Ruken Dayanan, Dilara Duygulu Bulan, Merve Ayas Ozkan, Gulsan Karabay, Zeynep Seyhanli and Ali Turhan Caglar
J. Clin. Med. 2025, 14(19), 7016; https://doi.org/10.3390/jcm14197016 - 3 Oct 2025
Viewed by 638
Abstract
Objective: To evaluate the predictive value of umbilical artery half peak systolic velocity deceleration time (UA hPSV-DT) for composite adverse perinatal outcomes (CAPO) in pregnancies complicated by gestational diabetes mellitus (GDM). Methods: In this prospective observational study, 120 singleton pregnancies in the third [...] Read more.
Objective: To evaluate the predictive value of umbilical artery half peak systolic velocity deceleration time (UA hPSV-DT) for composite adverse perinatal outcomes (CAPO) in pregnancies complicated by gestational diabetes mellitus (GDM). Methods: In this prospective observational study, 120 singleton pregnancies in the third trimester were enrolled: 30 insulin-regulated GDM (IRGDM), 30 diet-regulated GDM (DRGDM), and 60 healthy controls. UA hPSV-DT and standard Doppler indices were measured using a standardized protocol by a single perinatologist. An abnormal UA hPSV-DT was defined as <5th percentile for gestational age. Maternal metabolic parameters, fetal biometry, and neonatal outcomes were recorded. The primary outcome was CAPO, defined as the presence of one or more adverse perinatal events. Results: Median UA hPSV-DT values were significantly lower in IRGDM (171 ms) and DRGDM (184 ms) compared with controls (227 ms) (p = 0.006). Abnormal UA hPSV-DT occurred in 43.3% of GDM cases and was associated with higher estimated fetal weight and abdominal circumference percentiles, increased amniotic fluid, elevated OGTT values, higher HbA1c, and more frequent insulin therapy (p < 0.01 for all). In GDM pregnancies, CAPO occurred in 73.1% of the abnormal UA hPSV-DT group versus 11.8% of the normal group (p < 0.001). ROC analysis identified a cut-off of < 181 ms for predicting CAPO (AUC 0.741, 70.3% sensitivity, 66.7% specificity). Conclusions: UA hPSV-DT is a novel, reproducible Doppler parameter that independently predicts adverse perinatal outcomes in GDM pregnancies, even when conventional UA Doppler indices are normal. Incorporating UA hPSV-DT into routine surveillance may improve risk stratification and guide management to optimize perinatal outcomes. Full article
(This article belongs to the Section Obstetrics & Gynecology)
Show Figures

Figure 1

20 pages, 6389 KB  
Article
Study on Characteristics and Numerical Simulation of a Convective Low-Level Wind Shear Event at Xining Airport
by Juan Gu, Yuting Qiu, Shan Zhang, Xinlin Yang, Shi Luo and Jiafeng Zheng
Atmosphere 2025, 16(10), 1137; https://doi.org/10.3390/atmos16101137 - 27 Sep 2025
Viewed by 591
Abstract
Low-level wind shear (LLWS) is a critical issue in aviation meteorology, posing serious risks to flight safety—especially at plateau airports with high elevation and complex terrain. This study investigates a convective wind shear event at Xining Airport on 29 May 2021. Multi-source observations—including [...] Read more.
Low-level wind shear (LLWS) is a critical issue in aviation meteorology, posing serious risks to flight safety—especially at plateau airports with high elevation and complex terrain. This study investigates a convective wind shear event at Xining Airport on 29 May 2021. Multi-source observations—including the Doppler Wind Lidar (DWL), the Doppler weather radar (DWR), reanalysis datasets, and automated weather observation systems (AWOS)—were integrated to examine the event’s fine-scale structure and temporal evolution. High-resolution simulations were conducted using the Large Eddy Simulation (LES) framework within the Weather Research and Forecasting (WRF) model. Results indicate that the formation of this wind shear was jointly triggered by convective downdrafts and the gust front. A northwesterly flow with peak wind speeds of 18 m/s intruded eastward across the runway, generating multiple radial velocity couplets on the eastern side, closely associated with mesoscale convergence and divergence. A vertical shear layer developed around 700 m above ground level, and the critical wind shear during aircraft go-around was linked to two convergence zones east of the runway. The event lasted about 30 min, producing abrupt changes in wind direction and vertical velocity, potentially causing flight path deviation and landing offset. Analysis of horizontal, vertical, and glide-path wind fields reveals the spatiotemporal evolution of the wind shear and its impact on aviation safety. The WRF-LES accurately captured key features such as wind shifts, speed surges, and vertical disturbances, with strong agreement to observations. The integration of multi-source observations with WRF-LES improves the accuracy and timeliness of wind shear detection and warning, providing valuable scientific support for enhancing safety at plateau airports. Full article
(This article belongs to the Section Meteorology)
Show Figures

Figure 1

Back to TopTop