Sign in to use this feature.

Years

Between: -

Subjects

remove_circle_outline
remove_circle_outline
remove_circle_outline
remove_circle_outline
remove_circle_outline

Journals

Article Types

Countries / Regions

Search Results (23)

Search Parameters:
Keywords = D-lactic acidosis

Order results
Result details
Results per page
Select all
Export citation of selected articles as:
22 pages, 1866 KB  
Review
Correlation of MLASA2 Clinical Phenotype and Survival with Mt-TyrRS Protein Damage: Linking Systematic Review, Meta-Analysis and 3D Hotspot Mapping
by José Rafael Villafan-Bernal, Angélica Martínez-Hernández, Humberto García-Ortiz, Cecilia Contreras-Cubas, Israel Guerrero-Contreras, José Luis Frías-Cabrera, Federico Centeno-Cruz, Monserrat Ivonne Morales Rivera, Jhonatan Rosas Hernández, Alessandra Carnevale, Francisco Barajas-Olmos and Lorena Orozco
Curr. Issues Mol. Biol. 2026, 48(1), 95; https://doi.org/10.3390/cimb48010095 - 16 Jan 2026
Viewed by 206
Abstract
Myopathy, Lactic Acidosis, and Sideroblastic Anemia type 2 (MLASA2) is a rare mitochondrial disorder caused by pathogenic variants (PVs) in the YARS2 gene (which encodes the Mt-TyrRS protein. We performed a comprehensive clinical–molecular synthesis by integrating a systematic review and meta-analysis of all [...] Read more.
Myopathy, Lactic Acidosis, and Sideroblastic Anemia type 2 (MLASA2) is a rare mitochondrial disorder caused by pathogenic variants (PVs) in the YARS2 gene (which encodes the Mt-TyrRS protein. We performed a comprehensive clinical–molecular synthesis by integrating a systematic review and meta-analysis of all published MLASA2 cases with survival modeling and three-dimensional structural mapping. Across the aggregated cohort, anemia (88.6%), sideroblastic phenotype (85.7%), and lactic acidosis (82.9%) were the most prevalent phenotypes. Fifteen PVs were identified, dominated by p.(Phe52Leu) (29.4%). Survival estimates were 94.1% at 10 years, 70.7% at 30 years, and 42.4% at 50 years; cardiomyopathy and diagnosis before age 10 were associated with decreased survival. We generated the first 3D structural map of all reported Mt-TyrRS PVs, identifying nine spatial hotspots across catalytic, anticodon-binding, and tRNA-binding domains. An integrated framework combining structural density, clinical severity, in silico predictions, and ΔΔG destabilization classified three clusters as High-risk, three as Medium-risk, and three as Low-risk. Among them, cluster 3, a large catalytic hotspot encompassing 44 residues and including nearly half of all MLASA2 cases, showed the strongest pathogenic convergence. This clinical–structural integration provides new insights for a better comprehension of MLASA2, enhancing variant interpretation and improving diagnostic and prognostic precision. Full article
(This article belongs to the Section Bioinformatics and Systems Biology)
Show Figures

Figure 1

19 pages, 2141 KB  
Review
Small Intestinal Bacterial Overgrowth in Children with Short Bowel Syndrome
by Hannah DeGonza, Thu Anh Pham, Rasha Elmaoued, Razan Alkhouri, Ricardo Orlando Castillo and Rajmohan Dharmaraj
Children 2025, 12(11), 1550; https://doi.org/10.3390/children12111550 - 16 Nov 2025
Viewed by 1848
Abstract
Small Intestinal Bacterial Overgrowth (SIBO) is characterized by an abnormal proliferation of bacteria in the small intestine, leading to gastrointestinal symptoms and nutritional deficiencies. Short Bowel Syndrome (SBS), resulting from extensive surgical resection of the small intestine, predisposes children to SIBO due to [...] Read more.
Small Intestinal Bacterial Overgrowth (SIBO) is characterized by an abnormal proliferation of bacteria in the small intestine, leading to gastrointestinal symptoms and nutritional deficiencies. Short Bowel Syndrome (SBS), resulting from extensive surgical resection of the small intestine, predisposes children to SIBO due to anatomical disruptions, motility dysfunction, parenteral nutrition dependence, and immune dysregulation. Clinical manifestations of SIBO in SBS include bloating, diarrhea, malabsorption, and failure to thrive, with severe cases leading to complications such as D-lactic acidosis. Diagnosis remains challenging, with breath testing being the most commonly used method despite limitations in accuracy, especially in SBS patients. Jejunal aspiration, the gold standard, presents limitations due to contamination risks, potential for sampling error, and a relatively low diagnostic yield. Management involves antibiotics like rifaximin and metronidazole, alongside strategies to address anatomical dysfunction, optimize nutrition, and prevent recurrence. Adjunctive therapies, including probiotics and dietary modifications, show promise but require further validation in children. Emerging treatments, such as glucagon-like peptide-2 (GLP-2) analogs, may enhance mucosal integrity and reduce SIBO risk. Given the chronic and recurrent nature of SIBO in SBS, a multidisciplinary approach is essential, integrating gastroenterological, surgical, and nutritional care to effectively manage the condition. Future research should focus on improving diagnostic methods, refining treatment protocols, and exploring targeted therapies to enhance outcomes and quality of life for affected children. Full article
(This article belongs to the Special Issue Advances in Pediatric Gastroenterology (2nd Edition))
Show Figures

Figure 1

18 pages, 5110 KB  
Article
Curcumin and Its Potential to Target the Glycolytic Behavior of Lactate-Acclimated Prostate Carcinoma Cells with Docetaxel
by Dongsic Choi, Jun Gi Lee, Su-Hak Heo, Moon-Kyen Cho, Hae-Seon Nam, Sang-Han Lee and Yoon-Jin Lee
Nutrients 2024, 16(24), 4338; https://doi.org/10.3390/nu16244338 - 16 Dec 2024
Cited by 6 | Viewed by 1969
Abstract
Background: Dysregulated cellular metabolism is known to be associated with drug resistance in cancer treatment. Methods: In this study, we investigated the impact of cellular adaptation to lactic acidosis on intracellular energy metabolism and sensitivity to docetaxel in prostate carcinoma (PC) cells. The [...] Read more.
Background: Dysregulated cellular metabolism is known to be associated with drug resistance in cancer treatment. Methods: In this study, we investigated the impact of cellular adaptation to lactic acidosis on intracellular energy metabolism and sensitivity to docetaxel in prostate carcinoma (PC) cells. The effects of curcumin and the role of hexokinase 2 (HK2) in this process were also examined. Results: PC-3AcT and DU145AcT cells that preadapted to lactic acid displayed increased growth behavior, increased dependence on glycolysis, and reduced sensitivity to docetaxel compared to parental PC-3 and DU145 cells. Molecular analyses revealed activation of the c-Raf/MEK/ERK pathway, upregulation of cyclin D1, cyclin B1, and p-cdc2Thr161, and increased levels and activities of key regulatory enzymes in glycolysis, including HK2, in lactate-acclimated cells. HK2 knockdown resulted in decreased cell growth and glycolytic activity, decreased levels of complexes I–V in the mitochondrial electron transport chain, loss of mitochondrial membrane potential, and depletion of intracellular ATP, ultimately leading to cell death. In a xenograft animal model, curcumin combined with docetaxel reduced tumor size and weight, induced downregulation of glycolytic enzymes, and stimulated the upregulation of apoptotic and necroptotic proteins. This was consistent with the in vitro results from 2D monolayer and 3D spheroid cultures, suggesting that the efficacy of curcumin is not affected by docetaxel. Conclusions: Overall, our findings suggest that metabolic plasticity through enhanced glycolysis observed in lactate-acclimated PC cells may be one of the underlying causes of docetaxel resistance, and targeting glycolysis by curcumin may provide potential for drug development that could improve treatment outcomes in PC patients. Full article
(This article belongs to the Special Issue Effects of Plant Extracts on Human Health)
Show Figures

Figure 1

36 pages, 5124 KB  
Review
Metabolic and Nutritional Issues after Lower Digestive Tract Surgery: The Important Role of the Dietitian in a Multidisciplinary Setting
by Alejandra Utrilla Fornals, Cristian Costas-Batlle, Sophie Medlin, Elisa Menjón-Lajusticia, Julia Cisneros-González, Patricia Saura-Carmona and Miguel A. Montoro-Huguet
Nutrients 2024, 16(2), 246; https://doi.org/10.3390/nu16020246 - 12 Jan 2024
Cited by 12 | Viewed by 26083
Abstract
Many patients undergo small bowel and colon surgery for reasons related to malignancy, inflammatory bowel disease (IBD), mesenteric ischemia, and other benign conditions, including post-operative adhesions, hernias, trauma, volvulus, or diverticula. Some patients arrive in the operating theatre severely malnourished due to an [...] Read more.
Many patients undergo small bowel and colon surgery for reasons related to malignancy, inflammatory bowel disease (IBD), mesenteric ischemia, and other benign conditions, including post-operative adhesions, hernias, trauma, volvulus, or diverticula. Some patients arrive in the operating theatre severely malnourished due to an underlying disease, while others develop complications (e.g., anastomotic leaks, abscesses, or strictures) that induce a systemic inflammatory response that can increase their energy and protein requirements. Finally, anatomical and functional changes resulting from surgery can affect either nutritional status due to malabsorption or nutritional support (NS) pathways. The dietitian providing NS to these patients needs to understand the pathophysiology underlying these sequelae and collaborate with other professionals, including surgeons, internists, nurses, and pharmacists. The aim of this review is to provide an overview of the nutritional and metabolic consequences of different types of lower gastrointestinal surgery and the role of the dietitian in providing comprehensive patient care. This article reviews the effects of small bowel resection on macronutrient and micronutrient absorption, the effects of colectomies (e.g., ileocolectomy, low anterior resection, abdominoperineal resection, and proctocolectomy) that require special dietary considerations, nutritional considerations specific to ostomized patients, and clinical practice guidelines for caregivers of patients who have undergone a surgery for local and systemic complications of IBD. Finally, we highlight the valuable contribution of the dietitian in the challenging management of short bowel syndrome and intestinal failure. Full article
Show Figures

Figure 1

9 pages, 445 KB  
Case Report
Severe Lactic Acidosis Caused by Thiamine Deficiency in a Child with Relapsing Acute Lymphoblastic Leukemia: A Case Report
by Francesco Baldo, Enrico Drago, Daniela Nisticò, Silvia Buratti, Michaela Calvillo, Concetta Micalizzi, Maria Cristina Schiaffino and Mohamad Maghnie
Children 2023, 10(10), 1602; https://doi.org/10.3390/children10101602 - 26 Sep 2023
Cited by 5 | Viewed by 3677
Abstract
Lactic acidosis is characterized by an excessive production of lactic acid or by its impaired clearance. Thiamine deficiency is an uncommon cause of lactic acidosis, especially in countries where malnutrition is rare. We describe the case of a 5-year-old boy who presented with [...] Read more.
Lactic acidosis is characterized by an excessive production of lactic acid or by its impaired clearance. Thiamine deficiency is an uncommon cause of lactic acidosis, especially in countries where malnutrition is rare. We describe the case of a 5-year-old boy who presented with a central nervous system relapse of acute lymphoblastic leukemia. During the chemotherapy regimen, the patient developed drug-induced pancreatitis with paralytic ileus requiring prolonged glucosaline solution infusion. In the following days, severe lactic acidosis (pH 7.0, lactates 253 mg/dL, HCO3- 8 mmol/L) was detected, associated with hypoglycemia (42 mg/dL) and laboratory signs of acute liver injury. Due to the persistent hypoglycemia, the dextrose infusion was gradually increased. Lactates, however, continued to raise, so continuous venovenous hemodiafiltration was started. While lactates initially decreased, 12 h after CVVHDF suspension, they started to raise again. Assuming that it could have been caused by mitochondrial dysfunction due to vitamin deficiency after prolonged fasting and feeding difficulties, parenteral nutrition and thiamine were administered, resulting in a progressive reduction in lactates, with the normalization of pH during the next few hours. In the presence of acute and progressive lactic acidosis in a long-term hospitalized patient, thiamine deficiency should be carefully considered and managed as early as possible. Full article
Show Figures

Figure 1

14 pages, 673 KB  
Review
D-Lactate: Implications for Gastrointestinal Diseases
by Barblin Remund, Bahtiyar Yilmaz and Christiane Sokollik
Children 2023, 10(6), 945; https://doi.org/10.3390/children10060945 - 26 May 2023
Cited by 67 | Viewed by 14636
Abstract
D-lactate is produced in very low amounts in human tissues. However, certain bacteria in the human intestine produce D-lactate. In some gastrointestinal diseases, increased bacterial D-lactate production and uptake from the gut into the bloodstream take place. In its extreme, excessive accumulation of [...] Read more.
D-lactate is produced in very low amounts in human tissues. However, certain bacteria in the human intestine produce D-lactate. In some gastrointestinal diseases, increased bacterial D-lactate production and uptake from the gut into the bloodstream take place. In its extreme, excessive accumulation of D-lactate in humans can lead to potentially life-threatening D-lactic acidosis. This metabolic phenomenon is well described in pediatric patients with short bowel syndrome. Less is known about a subclinical rise in D-lactate. We discuss in this review the pathophysiology of D-lactate in the human body. We cover D-lactic acidosis in patients with short bowel syndrome as well as subclinical elevations of D-lactate in other diseases affecting the gastrointestinal tract. Furthermore, we argue for the potential of D-lactate as a marker of intestinal barrier integrity in the context of dysbiosis. Subsequently, we conclude that there is a research need to establish D-lactate as a minimally invasive biomarker in gastrointestinal diseases. Full article
(This article belongs to the Special Issue Cutting Edge Research on Pediatric Gastroenterology)
Show Figures

Figure 1

2 pages, 188 KB  
Abstract
Impaired Nuclear and Mitochondrial Cross-Talk Might Alter mtDNA Epigenetic Regulation in Maternally Inherited Diabetes- and Deafness-Affected Patients
by Luigi Donato, Concetta Scimone, Simona Alibrandi, Maria Vadalà, Massimo Castellucci, Domenico Mordà, Carmela Rinaldi, Rosalia D’Angelo and Antonina Sidoti
Biol. Life Sci. Forum 2023, 21(1), 26; https://doi.org/10.3390/blsf2023021026 - 24 Mar 2023
Viewed by 1365
Abstract
Mitochondrial pathologies are clinically composite and show highly variable phenotypes amongst all inherited disorders, mainly due to their heteroplasmic nature. Mutations in mitochondrial DNA (mtDNA) and the nuclear genome (gDNA), or both, have been reported in mitochondrial diseases, suggesting common pathophysiological pathways. Nuclear [...] Read more.
Mitochondrial pathologies are clinically composite and show highly variable phenotypes amongst all inherited disorders, mainly due to their heteroplasmic nature. Mutations in mitochondrial DNA (mtDNA) and the nuclear genome (gDNA), or both, have been reported in mitochondrial diseases, suggesting common pathophysiological pathways. Nuclear gene mutations identified in mitochondrial diseases are mostly involved in mtDNA replication, transcription and translation, oxidative phosphorylation (OXPHOS), the biosynthesis of mtDNA, nucleoside transport, salvage or synthesis, and the homeostasis of mitochondrial deoxyribonucleoside triphosphates (dNTP) pool. The m.3243 A>G mtDNA mutation in the MT-TL1 gene coding for the tRNALeu (UUR) is one of the most common mitochondrial disease-causing mutations, with a carrier rate as high as 1:400. Recent studies suggest that patients with the m.3243 A>G mutation present a huge clinical heterogeneity supporting the necessity to investigate the nuclear genome to improve the knowledge on composite mitochondrial disorders, such as mitochondrial encephalomyopathy, lactic acidosis and stroke-like episodes (MELAS), maternally inherited diabetes and deafness (MIDD) and myopathy. MIDD is a multi-system disorder characterized by diabetes, hearing impairment, and maculopathy but can present several other clinical manifestations. The present study aimed to analyze the whole mitochondrial genome and the whole exome of a clinically characterized MIDD family, negative to the m.3243 A>G variant, and identify mutations in both gDNA and mtDNA, as well as their biological role in their heterogeneous phenotype. The obtained results permitted us to hypothesize that the mitochondrial defects might be due to the epigenetic deregulation of the mitochondrial and nuclear-encoded genes coding for mitochondrial structure and functions. Thus, epigenetic modifications in the context of mitochondrial dysfunctions represent an emerging area of research, possibly useful for innovative mtDNA-related disease differential analyses. Full article
13 pages, 1553 KB  
Article
Taste Responses and Ingestive Behaviors to Ingredients of Fermented Milk in Mice
by Yuko Yamase, Hai Huang, Yoshihiro Mitoh, Masahiko Egusa, Takuya Miyawaki and Ryusuke Yoshida
Foods 2023, 12(6), 1150; https://doi.org/10.3390/foods12061150 - 8 Mar 2023
Cited by 8 | Viewed by 2859
Abstract
Fermented milk is consumed worldwide because of its nutritious and healthful qualities. Although it is somewhat sour, causing some to dislike it, few studies have examined taste aspects of its ingredients. Wild-type mice and T1R3-GFP-KO mice lacking sweet/umami receptors were tested with various [...] Read more.
Fermented milk is consumed worldwide because of its nutritious and healthful qualities. Although it is somewhat sour, causing some to dislike it, few studies have examined taste aspects of its ingredients. Wild-type mice and T1R3-GFP-KO mice lacking sweet/umami receptors were tested with various taste components (sucrose, galactose, lactose, galacto-oligosaccharides, fructo-oligosaccharides, l- and d-lactic acid) using 48 h two-bottle tests and short-term lick tests. d-lactic acid levels were measured after the ingestion of d- or; l-lactic acid or water to evaluate d-lactic acidosis. In wild-type mice, for the sweet ingredients the number of licks increased in a concentration-dependent manner, but avoidance was observed at higher concentrations in 48 h two-bottle tests; the sour ingredients d- and l-lactic acid showed concentration-dependent decreases in preference in both short- and long-term tests. In 48 h two-bottle tests comparing d- and l-lactic acid, wild-type but not T1R3-GFP-KO mice showed higher drinking rates for l-lactic acid. d-lactic acidosis did not occur and thus did not contribute to this preference. These results suggest that intake in short-term lick tests varied by preference for each ingredient, whereas intake variation in long-term lick tests reflects postingestive effects. l-lactic acid may have some palatable taste in addition to sour taste. Full article
(This article belongs to the Section Food Nutrition)
Show Figures

Figure 1

15 pages, 1653 KB  
Article
A Missense Variant in PDK1 Associated with Severe Neurodevelopmental Delay and Epilepsy
by Raquel Vaz, Josephine Wincent, Najla Elfissi, Kristina Rosengren Forsblad, Maria Pettersson, Karin Naess, Anna Wedell, Anna Wredenberg, Anna Lindstrand and Sofia Ygberg
Biomedicines 2022, 10(12), 3171; https://doi.org/10.3390/biomedicines10123171 - 7 Dec 2022
Cited by 4 | Viewed by 3190
Abstract
The pyruvate dehydrogenase complex (PDC) is responsible for the conversion of pyruvate into acetyl-CoA, which is used for energy conversion in cells. PDC activity is regulated by phosphorylation via kinases and phosphatases (PDK/PDP). Variants in all subunits of the PDC and in PDK3 [...] Read more.
The pyruvate dehydrogenase complex (PDC) is responsible for the conversion of pyruvate into acetyl-CoA, which is used for energy conversion in cells. PDC activity is regulated by phosphorylation via kinases and phosphatases (PDK/PDP). Variants in all subunits of the PDC and in PDK3 have been reported, with varying phenotypes including lactic acidosis, neurodevelopmental delay, peripheral neuropathy, or seizures. Here, we report a de novo heterozygous missense variant in PDK1 (c.1139G > A; p.G380D) in a girl with developmental delay and early onset severe epilepsy. To investigate the role of PDK1G380D in energy metabolism and neuronal development, we used a zebrafish model. In zebrafish embryos we show a reduced number of cells with mitochondria with membrane potential, reduced movements, and a delay in neuronal development. Furthermore, we observe a reduction in the phosphorylation of PDH-E1α by PDKG380D, which suggests a disruption in the regulation of PDC activity. Finally, in patient fibroblasts, a mild reduction in the ratio of phosphorylated PDH over total PDH-E1α was detected. In summary, our findings support the notion that this aberrant PDK1 activity is the cause of clinical symptoms in the patient. Full article
(This article belongs to the Special Issue Animal Models of Neurological Disorders: Where Are We Now?)
Show Figures

Graphical abstract

15 pages, 1018 KB  
Systematic Review
Lactic Acidosis Related to Pharmacotherapy and Human Diseases
by Christian Zanza, Valentina Facelli, Tastiana Romenskaya, Maria Bottinelli, Giorgia Caputo, Andrea Piccioni, Francesco Franceschi, Angela Saviano, Veronica Ojetti, Gabriele Savioli and Yaroslava Longhitano
Pharmaceuticals 2022, 15(12), 1496; https://doi.org/10.3390/ph15121496 - 30 Nov 2022
Cited by 39 | Viewed by 10553
Abstract
Lactic acidosis represents one of the most common conditions that can compromise the health of intensive care unit (ICU) patients, increasing the mortality of patients with high levels of Lactate who do not receive a proper treatment within the first 6 h of [...] Read more.
Lactic acidosis represents one of the most common conditions that can compromise the health of intensive care unit (ICU) patients, increasing the mortality of patients with high levels of Lactate who do not receive a proper treatment within the first 6 h of hospitalization. There are two enantiomers of lactic acid: L-lactic acid (when the concentration increases, it can lead to a state of severe acidemia risking cardiovascular collapse, causing an increase in mortality in ICU patients) and D lactic acid (produced in the human organism by microbiota and its production increases during some pathological status). Generally, increased levels of serum lactic acid could be due to numerous factors, including hypoxia (caused for example by septic/cardiogenic/hypovolemic or obstructive shock), specific pathologies (e.g., liver disease), use of some drugs (e.g., metformin), presence of toxins, and trauma. Since the underlying cause could be fatal for the ICU patient, it is important to understand the root of this clinical status with a view to correct it and prevent the risk of a poor clinical outcome. Prevention and early treatment are the keys to control the negative clinical consequences. The aim of this review is to revise the scientific literature for further confirmation about the importance of early identification of acidotic statuses and to underline how an early diagnosis can prevent the worst clinical outcome, especially for ICU patients who are more fragile compared to the general population. Full article
(This article belongs to the Section Biopharmaceuticals)
Show Figures

Figure 1

15 pages, 2786 KB  
Article
Attenuated Risk Association of End-Stage Kidney Disease with Metformin in Type 2 Diabetes with eGFR Categories 1–4
by Aimin Yang, Eric S. H. Lau, Hongjiang Wu, Ronald C. W. Ma, Alice P. S. Kong, Wing Yee So, Andrea O. Y. Luk, Amy W. C. Fu, Juliana C. N. Chan and Elaine Chow
Pharmaceuticals 2022, 15(9), 1140; https://doi.org/10.3390/ph15091140 - 13 Sep 2022
Cited by 12 | Viewed by 4299
Abstract
Type 2 diabetes (T2D)-associated end-stage kidney disease (ESKD) is a global burden, while the renoprotective effects of metformin remain controversial. In a population-based cohort (2002–2018) including 96,643 patients with T2D observed for 0.7 million person-years, we estimated the risk association of metformin and [...] Read more.
Type 2 diabetes (T2D)-associated end-stage kidney disease (ESKD) is a global burden, while the renoprotective effects of metformin remain controversial. In a population-based cohort (2002–2018) including 96,643 patients with T2D observed for 0.7 million person-years, we estimated the risk association of metformin and its dose-relationship with ESKD in a propensity-score overlap-weighting (PS-OW) cohort by eGFR categories. Amongst 96,643, 83,881 (86.8%) had eGFR-G1/G2 (≥60 mL/min/1.73 m2), 8762 (9.1%) had eGFR-G3a (≥45–60 mL/min/1.73 m2), 3051 (3.2%) had eGFR-G3b (≥30–45 mL/min/1.73 m2), and 949 (1.0%) had eGFR-G4 (≥15–30 mL/min/1.73 m2). The respective proportions of metformin users in these eGFR categories were 95.1%, 81.9%, 53.8%, and 20.8%. In the PS-OW cohort with 88,771 new-metformin and 7872 other oral glucose-lowering-drugs (OGLDs) users, the respective incidence rates of ESKD were 2.8 versus 22.4/1000 person-years. Metformin use associated with reduced risk of ESKD (hazard ratio (HR) = 0.43 [95% CI: 0.35–0.52] in eGFR-G1/G2, 0.64 [0.52–0.79] in eGFR-G3a, 0.67 [0.56–0.80] in eGFR-G3b, and 0.63 [0.48–0.83] in eGFR-G4). Metformin use was associated with reduced or neutral risk of major adverse cardiovascular events (MACE) (7.2 versus 16.0/1000 person-years) and all-cause mortality (14.6 versus 65.1/1000 person-years). Time-weighted mean daily metformin dose was 1000 mg in eGFR-G1/G2, 850 mg in eGFR-G3a, 650 mg in eGFR-G3b, and 500 mg in eGFR-G4. In a subcohort of 14,766 patients observed for 0.1 million person-years, the respective incidence rates of lactic acidosis and HR in metformin users and non-users were 42.5 versus 226.4 events/100,000 person-years (p = 0.03) for eGFR-G1/G2 (HR = 0.57, 0.25–1.30) and 54.5 versus 300.6 events/100,000 person-years (p = 0.01) for eGFR-G3/G4 (HR = 0.49, 0.19–1.30). These real-world data underscore the major benefits and low risk of lactic acidosis with metformin use down to an eGFR of 30 mL/min/1.73 m2 and possibly even 15 mL/min/1.73 m2, while reinforcing the importance of dose adjustment and frequent monitoring of eGFR. Full article
(This article belongs to the Special Issue Drugs for Diabetes: From Pharmacology to Clinical Application)
Show Figures

Graphical abstract

15 pages, 7618 KB  
Review
Is Type 2 Diabetes a Primary Mitochondrial Disorder?
by Sarah Weksler-Zangen
Cells 2022, 11(10), 1617; https://doi.org/10.3390/cells11101617 - 12 May 2022
Cited by 16 | Viewed by 5073
Abstract
Diabetes mellitus is the most common endocrine disturbance in inherited mitochondrial diseases. It is essential to increase awareness of the correct diagnosis and treatment of diabetes in these patients and screen for the condition in family members, as diabetes might appear with distinctive [...] Read more.
Diabetes mellitus is the most common endocrine disturbance in inherited mitochondrial diseases. It is essential to increase awareness of the correct diagnosis and treatment of diabetes in these patients and screen for the condition in family members, as diabetes might appear with distinctive clinical features, complications and at different ages of onset. The severity of mitochondrial-related diabetes is likely to manifest on a large scale of phenotypes depending on the location of the mutation and whether the number of affected mitochondria copies (heteroplasmy) reaches a critical threshold. Regarding diabetes treatment, the first-choice treatment for type 2 diabetes (T2D), metformin, is not recommended because of the risk of lactic acidosis. The preferred treatment for diabetes in patients with mitochondrial disorders is SGLT-2i and mitochondrial GLP-1-related substances. The tight relationship between mitochondrial dysfunction, reduced glucose-stimulated insulin secretion (GSIS), and diabetes development in human patients is acknowledged. However, despite the well-characterized role of mitochondria in GSIS, there is a relative lack of data in humans implicating mitochondrial dysfunction as a primary defect in T2D. Our recent studies have provided data supporting the significant role of the mitochondrial respiratory-chain enzyme, cytochrome c oxidase (COX), in regulating GSIS in a rodent model of T2D, the Cohen diabetic sensitive (CDs) rat. The nutritionally induced diabetic CDs rat demonstrates several features of mitochondrial diseases: markedly reduced COX activity in several tissues, increased reactive oxygen production, decreased ATP generation, and increased lactate dehydrogenase expression in islets. Moreover, our data demonstrate that reduced islet-COX activity precedes the onset of diabetes, suggesting that islet-COX deficiency is the primary defect causing diabetes in this model. This review examines the possibility of including T2D as a primary mitochondrial-related disease. Understanding the critical interdependence between diabetes and mitochondrial dysfunction, centering on the role of COX, may open novel avenues to diagnose and treat diabetes in patients with mitochondrial diseases and mitochondrial dysfunction in diabetic patients. Full article
(This article belongs to the Collection The Pathomechanism of Mitochondrial Diseases)
Show Figures

Figure 1

14 pages, 6625 KB  
Article
pH-Responsive Nanoparticles for Delivery of Paclitaxel to the Injury Site for Inhibiting Vascular Restenosis
by Huiru Zhu, Li Kong, Xu Zhu, Tingting Ran and Xiaojuan Ji
Pharmaceutics 2022, 14(3), 535; https://doi.org/10.3390/pharmaceutics14030535 - 27 Feb 2022
Cited by 14 | Viewed by 3907
Abstract
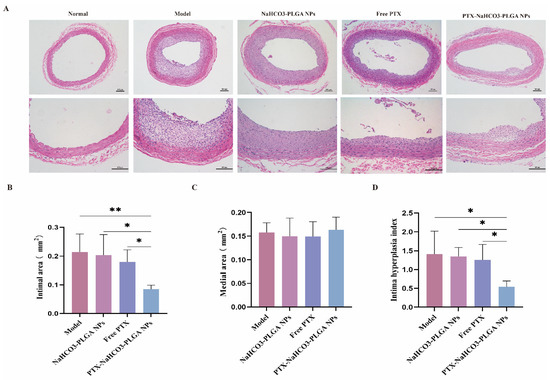
A high incidence of restenosis has been reported at the site of inflammation following angioplasty and stent implantation. The anti-proliferative drug paclitaxel (PTX) could help to reduce inflammation and restenosis; however, it has poor water solubility and serious adverse side effects at high [...] Read more.
A high incidence of restenosis has been reported at the site of inflammation following angioplasty and stent implantation. The anti-proliferative drug paclitaxel (PTX) could help to reduce inflammation and restenosis; however, it has poor water solubility and serious adverse side effects at high doses. Given the presence of metabolic acidosis at the site of inflammation, we hypothesized that nanoparticles that are responsive to low pH could precisely release the loaded drug at the target site. We successfully constructed pH-responsive poly(D, L-lactic-co-glycolic acid) (PLGA) nanoparticles loaded with PTX and NaHCO3 as a pH-sensitive therapeutic agent (PTX-NaHCO3-PLGA NPs). The NPs exhibited remarkable pH sensitivity and a good safety profile both in vitro in rat vascular smooth muscle cells and in vivo in Sprague Dawley rats after tail vein injection. In the rat model, the PTX-NaHCO3-PLGA NPs treatment group showed suppressed intimal proliferation following balloon-induced carotid artery injury compared with that of the saline-treated control. Overall, these results demonstrate that our newly developed pH-responsive nanodrug delivery platform has the potential to effectively inhibit restenosis. Full article
Show Figures

Figure 1

21 pages, 1586 KB  
Review
Use of Anti-Diabetic Agents in Non-Diabetic Kidney Disease: From Bench to Bedside
by Sungjin Chung and Gheun-Ho Kim
Life 2021, 11(5), 389; https://doi.org/10.3390/life11050389 - 25 Apr 2021
Cited by 8 | Viewed by 6913
Abstract
New drugs were recently developed to treat hyperglycemia in patients with type 2 diabetes mellitus (T2D). However, metformin remains the first-line anti-diabetic agent because of its cost-effectiveness. It has pleiotropic action that produces cardiovascular benefits, and it can be useful in diabetic nephropathy, [...] Read more.
New drugs were recently developed to treat hyperglycemia in patients with type 2 diabetes mellitus (T2D). However, metformin remains the first-line anti-diabetic agent because of its cost-effectiveness. It has pleiotropic action that produces cardiovascular benefits, and it can be useful in diabetic nephropathy, although metformin-associated lactic acidosis is a hindrance to its use in patients with kidney failure. New anti-diabetic agents, including glucagon-like peptide-1 receptor (GLP-1R) agonists, dipeptidyl peptidase-4 (DPP-4) inhibitors, and sodium-glucose transporter-2 (SGLT-2) inhibitors, also produce cardiovascular or renal benefits in T2D patients. Their glucose-independent beneficial actions can lead to cardiorenal protection via hemodynamic stabilization and inflammatory modulation. Systemic hypertension is relieved by natriuresis and improved vascular dysfunction. Enhanced tubuloglomerular feedback can be restored by SGLT-2 inhibition, reducing glomerular hypertension. Patients with non-diabetic kidney disease might also benefit from those drugs because hypertension, proteinuria, oxidative stress, and inflammation are common factors in the progression of kidney disease, irrespective of the presence of diabetes. In various animal models of non-diabetic kidney disease, metformin, GLP-1R agonists, DPP-4 inhibitors, and SGLT-2 inhibitors were favorable to kidney morphology and function. They strikingly attenuated biomarkers of oxidative stress and inflammatory responses in diseased kidneys. However, whether those animal results translate to patients with non-diabetic kidney disease has yet to be evaluated. Considering the paucity of new agents to treat kidney disease and the minimal adverse effects of metformin, GLP-1R agonists, DPP-4 inhibitors, and SGLT-2 inhibitors, these anti-diabetic agents could be used in patients with non-diabetic kidney disease. This paper provides a rationale for clinical trials that apply metformin, GLP-1R agonists, DPP-4 inhibitors, and SGLT-2 inhibitors to non-diabetic kidney disease. Full article
(This article belongs to the Collection Research Updates in Chronic Kidney Disease)
Show Figures

Figure 1

16 pages, 2053 KB  
Article
Development of Electrochemical DNA Biosensor for Equine Hindgut Acidosis Detection
by Joshua Davies, Carol Thomas, Mohammad Rizwan and Christopher Gwenin
Sensors 2021, 21(7), 2319; https://doi.org/10.3390/s21072319 - 26 Mar 2021
Cited by 9 | Viewed by 3865
Abstract
The pH drop in the hindgut of the horse is caused by lactic acid-producing bacteria which are abundant when a horse’s feeding regime is excessively carbohydrate rich. This drop in pH below six causes hindgut acidosis and may lead to laminitis. Lactic acid-producing [...] Read more.
The pH drop in the hindgut of the horse is caused by lactic acid-producing bacteria which are abundant when a horse’s feeding regime is excessively carbohydrate rich. This drop in pH below six causes hindgut acidosis and may lead to laminitis. Lactic acid-producing bacteria Streptococcus equinus and Mitsuokella jalaludinii have been found to produce high amounts of L-lactate and D-lactate, respectively. Early detection of increased levels of these bacteria could allow the horse owner to tailor the horse’s diet to avoid hindgut acidosis and subsequent laminitis. Therefore, 16s ribosomal ribonucleic acid (rRNA) sequences were identified and modified to obtain target single stranded deoxyribonucleic acid (DNA) from these bacteria. Complementary single stranded DNAs were designed from the modified target sequences to form capture probes. Binding between capture probe and target single stranded deoxyribonucleic acid (ssDNA) in solution has been studied by gel electrophoresis. Among pairs of different capture probes and target single stranded DNA, hybridization of Streptococcus equinus capture probe 1 (SECP1) and Streptococcus equinus target 1 (SET1) was portrayed as gel electrophoresis. Adsorptive stripping voltammetry was utilized to study the binding of thiol modified SECP1 over gold on glass substrates and these studies showed a consistent binding signal of thiol modified SECP1 and their hybridization with SET1 over the gold working electrode. Cyclic voltammetry and electrochemical impedance spectroscopy were employed to examine the binding of thiol modified SECP1 on the gold working electrode and hybridization of thiol modified SECP1 with the target single stranded DNA. Both demonstrated the gold working electrode surface was modified with a capture probe layer and hybridization of the thiol bound ssDNA probe with target DNA was indicated. Therefore, the proposed electrochemical biosensor has the potential to be used for the detection of the non-synthetic bacterial DNA target responsible for equine hindgut acidosis. Full article
(This article belongs to the Section Biosensors)
Show Figures

Figure 1

Back to TopTop