Sign in to use this feature.

Years

Between: -

Subjects

remove_circle_outline
remove_circle_outline
remove_circle_outline
remove_circle_outline
remove_circle_outline
remove_circle_outline
remove_circle_outline
remove_circle_outline
remove_circle_outline

Journals

remove_circle_outline
remove_circle_outline
remove_circle_outline
remove_circle_outline
remove_circle_outline
remove_circle_outline
remove_circle_outline
remove_circle_outline
remove_circle_outline
remove_circle_outline
remove_circle_outline
remove_circle_outline

Article Types

Countries / Regions

remove_circle_outline
remove_circle_outline
remove_circle_outline
remove_circle_outline
remove_circle_outline

Search Results (1,181)

Search Parameters:
Keywords = Crustacean

Order results
Result details
Results per page
Select all
Export citation of selected articles as:
15 pages, 1890 KB  
Article
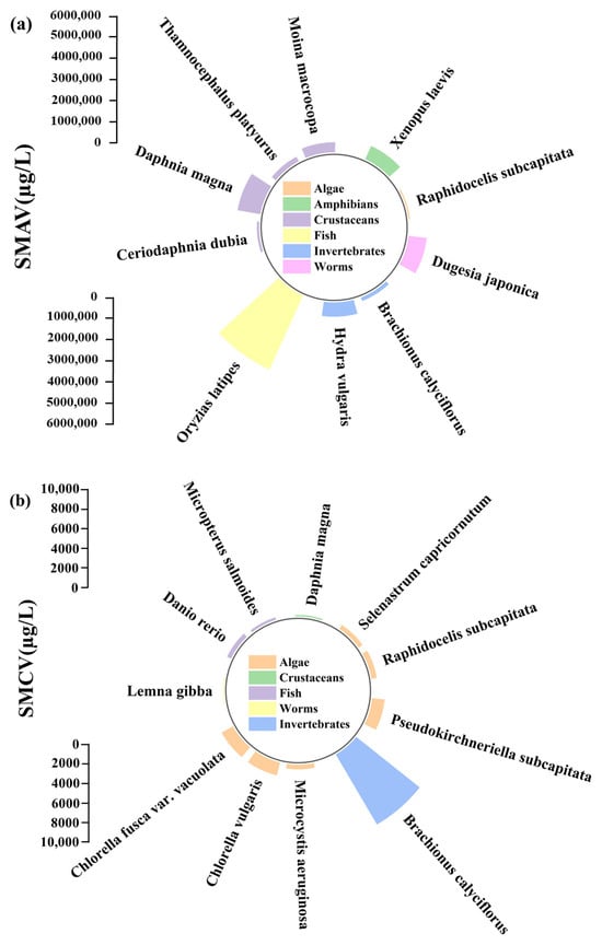
Freshwater Quality Criteria for the Protection of Aquatic Life and Ecological Risk Assessment for Sulfamethoxazole in China
by Zeya Zhang, Yili Fan, Lan Wang, Weibo Zhang and Yingchen Bai
Water 2026, 18(1), 45; https://doi.org/10.3390/w18010045 - 23 Dec 2025
Viewed by 151
Abstract
Sulfamethoxazole (SMX) has adverse effects on aquatic life, including algae, crustaceans, and even fish. However, the freshwater quality criteria for the protection of aquatic life (ALFQC) of SMX are still unclear, as well as its ecological risk for surface waters in China. The [...] Read more.
Sulfamethoxazole (SMX) has adverse effects on aquatic life, including algae, crustaceans, and even fish. However, the freshwater quality criteria for the protection of aquatic life (ALFQC) of SMX are still unclear, as well as its ecological risk for surface waters in China. The acute and chronic toxicity data for SMX covered 10 and 11 species, respectively, which are widely distributed across China. The native species in China of Raphidocelis subcapitata displayed the most sensitivity after short-term exposure, whereas Lemna gibba showed the most sensitivity after long-term exposure to water contaminated with SMX. The short-term and long-term ALFQC of SMX were 2829 and 23.63 µg/L, respectively using the species sensitivity distribution in China. The 112 exposure data were collected from peer-reviewed publications and government reports published between 2006 and 2024, with the concentrations of SMX ranging from 0 to 0.531 µg/L in surface waters in China. A negligible ecological risk of SMX was observed in surface waters in China, confirmed by the low risk quotient (0~0.0225) and probability area overlap (0~0.005). This study provides a scientific basis for water quality standards and the ecological risk management for SMX in surface waters in China. Full article
Show Figures

Figure 1

26 pages, 5040 KB  
Article
Linking Biological Parameters to Fishery Management: Stock Assessment of Green Tiger Prawn, Penaeus semisulcatus De Haan, 1844 Along the Red Sea Coast of Saudi Arabia
by Eyüp Mümtaz Tıraşın, Sheeja Gireesh, Sirajudheen Thayyil Kadengal, Ronald Grech Santucci, Zahra Okba, Santhosh Kumar Charles, Goutham Bharathi Muthu Palani, Adel M. S. Adam and Mark Dimech
Biology 2026, 15(1), 8; https://doi.org/10.3390/biology15010008 - 19 Dec 2025
Viewed by 334
Abstract
Penaeus semisulcatus is the dominant commercial prawn species along the Saudi Arabian coast in the southeastern Red Sea, yet its population dynamics remain poorly understood. This study examined growth, maturity, and mortality using fishery-independent samples obtained during trawl surveys off Jizan and Al [...] Read more.
Penaeus semisulcatus is the dominant commercial prawn species along the Saudi Arabian coast in the southeastern Red Sea, yet its population dynamics remain poorly understood. This study examined growth, maturity, and mortality using fishery-independent samples obtained during trawl surveys off Jizan and Al Qunfudhah between October 2022 and September 2023. A total of 85,909 individuals were examined, exhibiting carapace lengths (CL) between 1.29 and 56.14 mm and weights (W) ranging from 0.91 to 94.99 g. The sex ratio (1:1.06) was slightly male-biased. The CLW relationships were W = 0.00427·CL2.50 for females and W = 0.01274·CL2.16 for males. The von Bertalanffy growth parameters were CL = 60.16 mm, K = 1.03 year−1 for females and CL = 48.10 mm, K = 1.02 year−1 for males. Females first matured at a CL of 22.09 mm. Exploitation rates (0.63 for females and 0.69 for males) and spawning potential ratio analysis indicated severe overfishing, with spawning stock biomass reduced to 19% of its unexploited level. These results highlight the necessity for immediate management intervention. Reducing fishing effort by half, extending seasonal closures, and improving the selectivity of trawl gear are advised to facilitate stock recovery and support sustainable exploitation in the region. Full article
Show Figures

Graphical abstract

21 pages, 3717 KB  
Article
Dietary Analysis of Commercial Fish (Families Mullidae and Sparidae) from Bay of Cádiz, Southern Spain: An Integrative Approach
by José Manuel Guerra-García, Sandra Calero-Cano, Pablo Arechavala-Lopez, Juan Lucas Cervera-Currado and Iñigo Donázar-Aramendía
Fishes 2025, 10(12), 650; https://doi.org/10.3390/fishes10120650 - 16 Dec 2025
Viewed by 131
Abstract
A combination of stomach contents analysis (SCA) and nitrogen (δ15N) and carbon (δ13C) stable isotope analysis (SIA) was used to assess the trophic structure of nine fish species (two belonging to the family Mullidae, Mullus barbatus and Mullus surmuletus [...] Read more.
A combination of stomach contents analysis (SCA) and nitrogen (δ15N) and carbon (δ13C) stable isotope analysis (SIA) was used to assess the trophic structure of nine fish species (two belonging to the family Mullidae, Mullus barbatus and Mullus surmuletus, and seven belonging to the family Sparidae, Diplodus sargus, Diplodus vulgaris, Pagellus acarne, Pagellus erythrinus, Pagrus auriga, Pagrus pagrus, and Sparus aurata) with high commercial value in the Bay of Cádiz, Southern Spain. A total of 91 different food items were identified in the stomachs, mainly belonging to four animal phyla (Arthropoda, Mollusca, Annelida, and Echinodermata). Crustaceans (primarily decapods and amphipods) were the most common prey consumed by the species of Mullus, Pagrus, and Pagellus, whereas macroalgae, polychaetes, and molluscs were dominant in D. sargus, D. vulgaris, and S. aurata stomachs, respectively. Diet composition and isotopic signature differed among fish species, indicating food partitioning among coexisting species. Some discrepancies appeared when comparing fish trophic level using SCA versus SIA, since SCA provides information on recently consumed items, while SIA generates data about source utilization over a period of several months. Integration of both approaches offers a more comprehensive understanding of feeding strategies. Dietary studies shed light on the trophic ecology of commercial fish species, being the baseline for future ecological modelling and long-term management of marine resources. Full article
Show Figures

Figure 1

12 pages, 1145 KB  
Article
Trophic Ecology of the Devil Firefish Pterois miles in the Eastern Mediterranean: An Integrated Study Based on Stomach Content and Stable Isotope Analyses
by Kassandra Zannaki, Ioannis E. Batjakas, Gerasimos Kondylatos, Maria Corsini-Foka, Chrysoula Gubili, Evangelia Krasakopoulou, Ernesto Azzurro and Emanuela Fanelli
Oceans 2025, 6(4), 84; https://doi.org/10.3390/oceans6040084 - 12 Dec 2025
Viewed by 426
Abstract
Τhe trophic ecology of Pterois miles in the Mediterranean Sea was performed by integrating data from stomach contents (SCA) and stable isotopes analyses (SIA), based on samples caught off the Greek island of Rhodes, SE, Aegean Sea, for the first time. This combined [...] Read more.
Τhe trophic ecology of Pterois miles in the Mediterranean Sea was performed by integrating data from stomach contents (SCA) and stable isotopes analyses (SIA), based on samples caught off the Greek island of Rhodes, SE, Aegean Sea, for the first time. This combined approach provides information on ingested (SCA) and assimilated (SIA) food and thus allows for the depiction of predator–prey relationships. Specimens of devil firefish, including both juveniles and adults (total length of analyzed specimens spanned from 11.40 to 31.50 cm), were collected from different sites around Rhodes. Their diet consisted of bony fish, cephalopods, crustaceans, and gastropods. The δ13C and δ15N values ranged from −18.0 ‰ to −14.4 ‰ and from 7.2 ‰ to 9.2 ‰, respectively. SIA data allowed for the estimation of the trophic position of devil firefish from Rhodes Island, which showed a mean value of 3.1 ± 0.6 and confirms that the species primarily relies on a benthic baseline. Further, our isotopic values approach those obtained in North Carolina and Bermuda, confirming its role as a mesopredator in the Mediterranean benthic food webs. Although preliminary, such results can provide an important baseline for future investigations on the species and the potential impact on the Mediterranean food webs. Full article
Show Figures

Figure 1

16 pages, 864 KB  
Article
First Report of Isolapotamon sp. as a Potential Intermediate Host of Paragonimus westermani in Davao Oriental, Philippines
by Diadem R. Ricarte, Joshua M. Cambronero, Carmela H. Lorico, Herbert J. Santos, Nestor S. Arce and Aleyla E. de Cadiz
Parasitologia 2025, 5(4), 67; https://doi.org/10.3390/parasitologia5040067 - 11 Dec 2025
Viewed by 2196
Abstract
Paragonimus westermani is a food-borne zoonotic trematode transmitted to humans through the consumption of undercooked crustaceans. Freshwater crabs act as the second intermediate host for the encysted metacercariae stage. However, accurate identification of intermediate hosts remains a challenge. Here, we aimed to detect [...] Read more.
Paragonimus westermani is a food-borne zoonotic trematode transmitted to humans through the consumption of undercooked crustaceans. Freshwater crabs act as the second intermediate host for the encysted metacercariae stage. However, accurate identification of intermediate hosts remains a challenge. Here, we aimed to detect and identify P. westermani in randomly collected freshwater crabs and determine the species of infected crabs in Davao Oriental through molecular methods. Specifically, Sanger and next-generation sequencing were conducted for species identification through BLASTn, followed by phylogenetic analyses to understand geographic and taxonomic relationships. Results showed P. westermani DNA was detected in five out of eleven crab samples and these sequences were closely grouped to the Philippine reference sequence. Through a similar approach, the infected crabs showed high sequence similarity and formed tight clustering to Isolapotamon sp. Overall, the results provided evidence that P. westermani DNA was detected in Isolapotamon sp., a genus endemic to Mindanao, and can be a potential intermediate host. This expands our current understanding of transmission ecology beyond the only known intermediate host in the Philippines, Sundathelphusa philippina. Full article
Show Figures

Figure 1

16 pages, 1061 KB  
Article
The Effects of Eyestalk Ablation on the Androgenic Gland and the Male Reproductive Organs in the Kuruma Prawn Marsupenaeus japonicus
by Takehiro Furukawa, Fumihiro Yamane, Takuji Okumura, Taeko Miyazaki and Naoaki Tsutsui
Animals 2025, 15(24), 3556; https://doi.org/10.3390/ani15243556 - 11 Dec 2025
Viewed by 272
Abstract
Insulin-like androgenic gland factor (IAG) is considered a key regulator of male sexual differentiation and maturation in decapod crustaceans. In several species, IAG expression is thought to be negatively regulated by the eyestalk, as demonstrated by eyestalk ablation (ESA) experiments. In the kuruma [...] Read more.
Insulin-like androgenic gland factor (IAG) is considered a key regulator of male sexual differentiation and maturation in decapod crustaceans. In several species, IAG expression is thought to be negatively regulated by the eyestalk, as demonstrated by eyestalk ablation (ESA) experiments. In the kuruma prawn Marsupenaeus japonicus, however, the upstream regulatory mechanisms of IAG (Maj-IAG) remain largely unclear. In the present study, males of different body sizes were subjected to ESA to elucidate these mechanisms. Bilateral ESA induced upregulation of Maj-IAG expression from day 7 onward, whereas unilateral ESA did not. Moreover, enhanced development of male reproductive organs and hypertrophy of the androgenic gland were observed from day 7 after bilateral ESA. These findings indicate that Maj-IAG is regulated by eyestalk-derived factor(s), supporting the presence of an eyestalk–androgenic gland endocrine axis in M. japonicus. By contrast, the expression of Maj-Dsx2, a homolog of doublesex (Dsx) that has recently been proposed as an upstream regulator of IAG, did not show a consistent increase following bilateral ESA across all experiments, suggesting that the involvement of Maj-Dsx2 in this axis remains unclear. Overall, this study provides fundamental insights into the regulatory mechanisms of decapod male reproduction. Full article
(This article belongs to the Section Aquatic Animals)
Show Figures

Figure 1

17 pages, 629 KB  
Review
Marine Biotoxins in Crustaceans and Fish—A Review
by Anna Madejska and Jacek Osek
Toxins 2025, 17(12), 589; https://doi.org/10.3390/toxins17120589 - 9 Dec 2025
Viewed by 378
Abstract
In recent years, there has been an increase in the consumption of seafood such as shellfish and crustaceans due to their pleasant taste and nutritional value. Fish are also a crucial part of a healthy, balanced diet. However, the consumption of these products [...] Read more.
In recent years, there has been an increase in the consumption of seafood such as shellfish and crustaceans due to their pleasant taste and nutritional value. Fish are also a crucial part of a healthy, balanced diet. However, the consumption of these products may cause food poisoning through marine biotoxins. In recent years, several legal acts have been published by the European Commission to regulate toxin limits and describe their reference analysis methods. Commission Regulation (EC) No. 853/2004 established the maximum contents of marine biotoxins only in bivalve mollusks. Although other groups of marine organisms such as crustaceans (crabs, shrimps, and lobsters) and fish are not included in the EU rules for toxin monitoring, they may still be vectors of marine biotoxins for humans. Due to this, there is an urgent need for studies regarding the occurrence of marine biotoxins in non-bivalve seafood organisms and their potential influence on public health. In this review, the most important cases of accumulation of marine biotoxins in crustaceans and fish in recent years are described. Full article
(This article belongs to the Section Marine and Freshwater Toxins)
Show Figures

Figure 1

17 pages, 3523 KB  
Article
Silencing of the Superaquaporin LvAQP11 Disrupts Salinity Tolerance, Molting Cycle, and Myofibril Organization in Litopenaeus vannamei
by Zhongkai Wang, Guanghao Song, Shikui Zhang, Long Zhang, Beibei Wang, Kunpeng Zhao, Yanting Cui, Fei Liu, Renjie Wang and Yuquan Li
Fishes 2025, 10(12), 631; https://doi.org/10.3390/fishes10120631 - 9 Dec 2025
Viewed by 206
Abstract
The Pacific white shrimp (Litopenaeus vannamei), a euryhaline crustacean of significant economic importance, is widely cultivated for its adaptability to diverse salinity levels. Aquaporins (AQPs) are membrane channel proteins that mediate the transport of water and small solutes across biological membranes. [...] Read more.
The Pacific white shrimp (Litopenaeus vannamei), a euryhaline crustacean of significant economic importance, is widely cultivated for its adaptability to diverse salinity levels. Aquaporins (AQPs) are membrane channel proteins that mediate the transport of water and small solutes across biological membranes. Among them, aquaporin 11 (AQP11) is classified as a superaquaporin, and its physiological roles remain unclear. In this study, RNA interference (RNAi) was employed to silence AQP11 expression in L. vannamei, followed by RNA-seq analysis to investigate transcriptomic responses. Differentially expressed genes (DEGs) were identified by comparing dsAQP11 and control groups. The LvAQP11 knockdown significantly increased mortality to 76.7% under acute high-salinity stress (50‰) but not under low-salinity conditions (10‰). Transcriptomic analysis revealed that LvAQP11 deficiency disrupted amino acid metabolism pathways and triggered endoplasmic reticulum stress, as evidenced by the upregulation of proteasome subunits and unfolded protein response genes. Furthermore, silencing LvAQP11 delayed molting progression in the premolt stages, accompanied by the significant upregulation of molt-inhibiting hormone (LvMIH1/5) and downregulation of retinoic acid X receptor (LvRXR). The long-term silencing of LvAQP11 did not affect the weight gain rate (WGR) or the specific growth rate (SGR) but induced muscle fiber disorganization and significantly increased muscle water content. RNA sequencing identified enriched carbohydrate and chitin metabolism pathways, indicating disrupted cytoskeletal dynamics and extracellular matrix integrity. Through this study, we elucidate the crucial roles of LvAQP11 in osmoregulation, molting, and muscle integrity in L. vannamei, providing novel insights into the multifunctional nature of superaquaporins beyond water transport. Full article
(This article belongs to the Special Issue Advances in Shrimp Physiology and Genomics)
Show Figures

Figure 1

20 pages, 2311 KB  
Article
Biodegradation of Cellulose—Laboratory Scale Analysis of Bacterial Consortium Isolated from a Methanogenic Anaerobic Bioreactor
by Yana Gocheva, Lyudmila Dimitrova, Maya Zaharieva, Venelin Hubenov, Yana Ilieva, Petya Orozova, Vyacheslav Ilyin, Denis Korshunov, Ivan Simeonov, Plamen Angelov and Hristo Najdenski
Appl. Biosci. 2025, 4(4), 58; https://doi.org/10.3390/applbiosci4040058 - 8 Dec 2025
Viewed by 301
Abstract
Urban areas and suburbs are facing many environmental problems, one of which is the increasing pollution due to the accumulation of cellulosic waste. This article presents a laboratory study on the microbial biodegradation processes of paper as a cellulosic substrate under anaerobic and [...] Read more.
Urban areas and suburbs are facing many environmental problems, one of which is the increasing pollution due to the accumulation of cellulosic waste. This article presents a laboratory study on the microbial biodegradation processes of paper as a cellulosic substrate under anaerobic and mesophilic cultivation conditions. A bacterial consortium with cellulose-degrading activity, as well as 4 individual strains originating from a methanogenic anaerobic bioreactor (BRA), was isolated, identified, and characterized. The results demonstrated that the consortium degraded 57.14% of the cellulose matrix within 20 days. Among the individual colonies, colonies 1 and 2 (identified as Clostridium tertium and Agromyces rhizospherae) exhibited lower activities (35.37% and 34.79%, respectively), while colony 3 (Clostridium paraputrificum) displayed the highest activity (83.74%). The mixture of all four colonies achieved lower degradation (21.22%). The performed metagenomic analysis of the microbial consortium revealed a wide variety of different bacterial genera, among which Clostridium, Bacteroides, and Ruminiclostridium dominate, and the species Bacteroides oleiciplenus, Clostridium butyricum, and Ruminiclostridium papyrosolvens. Scanning electron microscopy visualized the adhesion and morphological features of the degrading microbial population. Additional experiments on the development of a laboratory model for the anaerobic biodegradation of cellulose were carried out in BRAs by using different working volumes. A maximal level of cellulose decomposition was achieved in the BRA with a working volume of 1 L, reaching 71.0% cellulose decomposition on day 20. Long-term storage studies confirmed the survival and well-preserved activity of the consortium and individual isolates, demonstrating their potential for the development of bioconversion technologies. Full article
Show Figures

Figure 1

14 pages, 2815 KB  
Article
Direct RNA Sequencing Reveals Sex-Biased Transcriptomic and Epitranscriptomic Regulation in Procambarus clarkii
by Haijing Xu, Guangtong Song, Yichen Luo, Haoxuan Zhang, Muhammad Jawad, Wei Zhang, Tao Li, Dawei Zhao, Chunyan Yang, Aimin Wang and Mingyou Li
Biology 2025, 14(12), 1757; https://doi.org/10.3390/biology14121757 - 8 Dec 2025
Viewed by 472
Abstract
The red swamp crayfish (Procambarus clarkii) is a globally important freshwater crustacean that exhibits pronounced sexual dimorphism, with males growing faster than females. However, the molecular mechanisms underlying sex differentiation in crustaceans remain poorly understood. In this study, Oxford Nanopore-based Direct [...] Read more.
The red swamp crayfish (Procambarus clarkii) is a globally important freshwater crustacean that exhibits pronounced sexual dimorphism, with males growing faster than females. However, the molecular mechanisms underlying sex differentiation in crustaceans remain poorly understood. In this study, Oxford Nanopore-based Direct RNA Sequencing (DRS) was employed to analyze the gonadal transcriptomes of male and female P. clarkii, identifying 20,001 previously unannotated genes and revealing extensive sex-specific differences in transcript structure, alternative splicing, and RNA modifications. Ovarian transcripts had shorter poly(A) tails and more frequent alternative splicing, while male gonads showed greater enrichment of m6A and psU modifications in the 3′ UTRs. qPCR validation confirmed the sex-biased expression of key candidate genes, including Dmrt7, FR, Fruitless, IAGBP, RDH, and Vtg. Collectively, these findings provide the first comprehensive epitranscriptomic landscape of P. clarkii gonads, underscoring the pivotal role of post-transcriptional regulation in sex determination and offering valuable insights for mono-sex breeding strategies in aquaculture. Full article
(This article belongs to the Section Biochemistry and Molecular Biology)
Show Figures

Figure 1

17 pages, 2108 KB  
Article
Stock Status and Unsustainable Exploitation Dynamics of Key Commercial Species in the Nile Delta Lakes, Egypt
by Sahar Fahmy Mehanna and Mohamed Samy-Kamal
Fishes 2025, 10(12), 619; https://doi.org/10.3390/fishes10120619 - 3 Dec 2025
Viewed by 246
Abstract
Effective fisheries management relies on accurate stock assessments to ensure sustainable exploitation and long-term ecosystem stability. Fisheries from the Nile Delta lakes of Egypt—comprising Manzala, Burullus, Edku, and Mariout—are economically critical, collectively contributing about 40% of the nation’s total capture fisheries and are [...] Read more.
Effective fisheries management relies on accurate stock assessments to ensure sustainable exploitation and long-term ecosystem stability. Fisheries from the Nile Delta lakes of Egypt—comprising Manzala, Burullus, Edku, and Mariout—are economically critical, collectively contributing about 40% of the nation’s total capture fisheries and are facing severe anthropogenic challenges. This study assessed the stock status of 10 key fish species and two crustacean species from these four Nile Delta lakes by determining their life history parameters and exploitation levels. The analysis included estimation of the Length–Weight Relationship (LWR), von Bertalanffy Growth Function (VBGF) parameters, instantaneous mortality coefficients (Z, M, F), and the exploitation ratio (E). Asymptotic total length (L∞) varied widely, ranging from 10.47 cm for Portunus pelagicus to 86.78 cm for Clarias gariepinus (in Lake Manzala). The growth coefficient (K) spanned from 0.31 yr−1 (C. gariepinus) to 1.79 yr−1 (Metapenaeus stebbingi), reflecting diverse life history strategies. The key finding, based on the Gulland criterion, is that all commercial stocks examined in the Nile Delta lakes are currently subjected to severe overexploitation, with the exploitation ratio (E) consistently exceeding the optimal threshold of 0.5. These results underscore the urgent need for adaptive management strategies, including stricter gear regulations and improved fisheries monitoring, to ensure the sustainability of these vital resources. Full article
Show Figures

Figure 1

19 pages, 5360 KB  
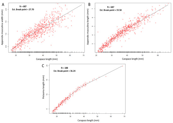
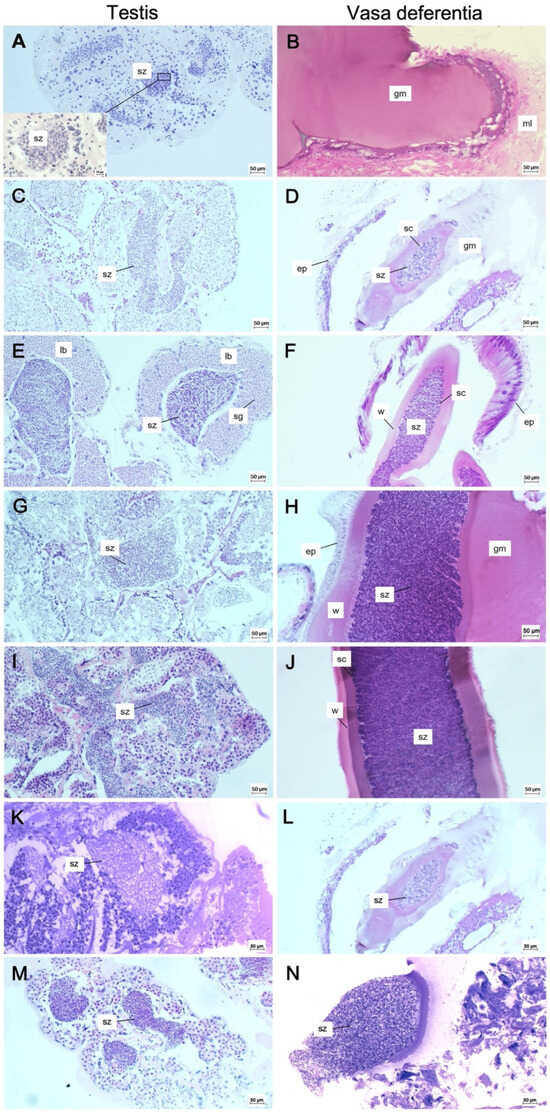
Article
Characterizing the Norway Lobster Nephrops norvegicus (L., Homarida: Decapoda) Maturity of Males in the Mediterranean Sea: Morphological and Physiological Aspects
by Cristina Porcu, Noemi Pascale, Andrea Bellodi, Pierluigi Carbonara, Alessandro Cau, Riccardo Demurtas, Antonello Mulas and Maria Cristina Follesa
Animals 2025, 15(23), 3478; https://doi.org/10.3390/ani15233478 - 2 Dec 2025
Viewed by 274
Abstract
In male decapods, such as the Norway lobster Nephrops norvegicus, sexual maturity is not easily determined by macroscopic examination of gonads and few studies have been conducted on this topic. Sexual maturity is linked to changes in both external morphology and physiology. [...] Read more.
In male decapods, such as the Norway lobster Nephrops norvegicus, sexual maturity is not easily determined by macroscopic examination of gonads and few studies have been conducted on this topic. Sexual maturity is linked to changes in both external morphology and physiology. This study analyzed the maturity of N. norvegicus males in the Central-Western Mediterranean Sea (Sardinia), focusing on primary sexual characteristics (testes and vasa deferentia) and morphometric traits (appendix masculina and petasma). Since the testes showed no macroscopic changes in size during ontogeny, histological analysis was performed. It revealed that spermatogenesis occurred year-round in the Sardinian population, with the smallest mature individual at 18.3 mm carapace length (CL). All individuals above 23.5 mm CL had testes and vasa deferentia filled with spermatozoa and were considered physiologically mature. Morphometric maturity was observed between 27.7 and 36.2 mm CL, based on appendix masculina and petasma measurements. Despite a close association, secondary sexual characteristic development and physiological maturity were not synchronized, as seen in other crustaceans. This discrepancy likely reflects differences in male reproductive strategies, as males may produce spermatophores at smaller sizes (e.g., 23.5 mm CL), though there is no evidence that such males can successfully inseminate females in the wild. Full article
(This article belongs to the Section Aquatic Animals)
Show Figures

Figure 1

34 pages, 3915 KB  
Review
Stimuli-Responsive Chitosan Hydrogels for Diabetic Wound Management: Comprehensive Review of Emerging Strategies
by Selvam Sathiyavimal, Ezhaveni Sathiyamoorthi, Devaraj Bharathi and Perumal Karthiga
Biomimetics 2025, 10(12), 807; https://doi.org/10.3390/biomimetics10120807 - 2 Dec 2025
Viewed by 622
Abstract
Diabetic wounds remain a major clinical challenge due to impaired angiogenesis, chronic inflammation, oxidative stress, and persistent infection, all of which delay tissue repair. Conventional dressings provide only passive protection and fail to modulate the wound microenvironment effectively. Chitosan (CS) is a naturally [...] Read more.
Diabetic wounds remain a major clinical challenge due to impaired angiogenesis, chronic inflammation, oxidative stress, and persistent infection, all of which delay tissue repair. Conventional dressings provide only passive protection and fail to modulate the wound microenvironment effectively. Chitosan (CS) is a naturally derived polysaccharide inspired by biological structures in crustaceans and fungi. It has emerged as a multifunctional biomimetic polymer with excellent biocompatibility, antimicrobial activity, and hemostatic properties. Recent advances in biomimetic materials science have enabled the development of stimuli-responsive CS hydrogels. These systems can sense physiological cues such as pH, temperature, glucose level, light, and reactive oxygen species (ROS). These smart systems emulate natural wound healing mechanisms and adapt to environmental changes. They release bioactive agents on demand and promote tissue homeostasis through controlled angiogenesis and collagen remodeling. This review discusses the biomimetic design rationale, crosslinking mechanism, and emerging strategies underlying single and dual-responsive hydrogel systems. It further emphasizes how nature-inspired structural and functional designs accelerate diabetic wound repair and outlines the current challenges and future prospects for translating these bioinspired intelligent hydrogels into clinical wound care applications. Full article
Show Figures

Graphical abstract

15 pages, 7513 KB  
Article
Integrative High-Throughput Screening and Microscopic Evidence Implicates Microsporidia as a Potential Pathogen of “Pus Crab” in the Mud Crab (Scylla paramamosain)
by Lanfei Xiao, Yongjun Liang, Shuangli Hao and Kun Wu
Animals 2025, 15(23), 3463; https://doi.org/10.3390/ani15233463 - 1 Dec 2025
Viewed by 395
Abstract
The mud crab (Scylla paramamosain), an economically important crustacean aquaculture species in southern China, is susceptible to infections due to its immune system lacking acquired immunity. An emergent disease locally termed “pus crab” has caused severe muscle lesions in pond-farmed crabs, [...] Read more.
The mud crab (Scylla paramamosain), an economically important crustacean aquaculture species in southern China, is susceptible to infections due to its immune system lacking acquired immunity. An emergent disease locally termed “pus crab” has caused severe muscle lesions in pond-farmed crabs, but its etiology remained unclear. Here, we applied an integrated approach, histopathology, electron microscopy, metagenomic sequencing, and experimental infection to identify the pathogen of “pus crab”. Histological staining (H&E, Wright–Giemsa, and Masson) revealed muscle fiber dissolution, disordered fiber arrangement, and abundant interstitial spore-like bodies. Scanning electron microscopy (SEM) and transmission electron microscopy (TEM) confirmed intracellular spore morphology consistent with microsporidia. Metagenomic profiling showed a pronounced shift in the muscle microbiome, with a marked increase in microsporidian taxa at the genus level and a concurrent decline in bacterial relative abundance. Functional annotation indicated enrichment of pathways related to protein processing, ribosome biogenesis, glycosylation, and the ubiquitin–proteasome system. Isolation of spores from diseased muscle and subsequent injection into healthy crabs reproduced wild-like clinical signs and histopathology, confirming infectivity and implicating microsporidia as the likely etiological agents of “pus crab”. These findings establish a multidisciplinary framework for pathogen identification in aquaculture and provide candidate molecular and biochemical markers for early diagnosis and management. Full article
(This article belongs to the Section Aquatic Animals)
Show Figures

Figure 1

19 pages, 2435 KB  
Article
Insights from Fishery Discards: Age and Feeding Habits of Large-Scaled Gurnard (Lepidotrigla cavillone, Lacepède 1801) and Spiny Gurnard (Lepidotrigla dieuzeidei, Blanc & Hureau 1973) in the Gulf of Cádiz (SW Iberian Peninsula)
by Carlos Rodríguez-García, Óscar Lago-Piñeiro, Jesica Sarmiento-Carbajal and Remedios Cabrera-Castro
Fishes 2025, 10(12), 615; https://doi.org/10.3390/fishes10120615 - 1 Dec 2025
Viewed by 259
Abstract
Despite their ecological importance, discarded species with low commercial value are often overlooked in marine research. This study examined the age structure and feeding habits of the large-scaled gurnard (Lepidotrigla cavillone) and the spiny gurnard (Lepidotrigla dieuzeidei) in the [...] Read more.
Despite their ecological importance, discarded species with low commercial value are often overlooked in marine research. This study examined the age structure and feeding habits of the large-scaled gurnard (Lepidotrigla cavillone) and the spiny gurnard (Lepidotrigla dieuzeidei) in the Gulf of Cádiz (SW Iberian Peninsula). A total of 225 specimens were collected during 19 fishing trips at depths of 15–550 m. Ages were estimated from otolith readings, and stomach contents were analysed to describe diet composition, niche breadth, and overlap. Both species showed positive allometric growth, with the most frequent age class being 5+ in L. cavillone and 5+–6+ in L. dieuzeidei. Crustaceans dominated the diet, with mysids accounting for >80% of the index of relative importance (IRI) in L. cavillone, but L. dieuzeidei displayed a broader diet including mysids (45% IRI) and decapods (32% IRI). Feeding patterns varied with time of day, depth, and size, reflecting ontogenetic and environmental influences. Levin’s index indicated stronger specialization in L. cavillone (BA = 0.090) than in L. dieuzeidei (BA = 0.208), while the Schoener index (0.575) showed moderate overlap. These findings provide the first biological insights into these discarded species in Atlantic waters, contributing to ecosystem-based fisheries management. Full article
(This article belongs to the Section Biology and Ecology)
Show Figures

Figure 1

Back to TopTop