Sign in to use this feature.

Years

Between: -

Subjects

remove_circle_outline
remove_circle_outline
remove_circle_outline
remove_circle_outline
remove_circle_outline
remove_circle_outline
remove_circle_outline
remove_circle_outline
remove_circle_outline

Journals

remove_circle_outline
remove_circle_outline
remove_circle_outline
remove_circle_outline
remove_circle_outline
remove_circle_outline
remove_circle_outline
remove_circle_outline
remove_circle_outline
remove_circle_outline
remove_circle_outline
remove_circle_outline
remove_circle_outline
remove_circle_outline
remove_circle_outline
remove_circle_outline
remove_circle_outline

Article Types

Countries / Regions

remove_circle_outline
remove_circle_outline
remove_circle_outline
remove_circle_outline
remove_circle_outline
remove_circle_outline
remove_circle_outline

Search Results (777)

Search Parameters:
Keywords = CIN

Order results
Result details
Results per page
Select all
Export citation of selected articles as:
19 pages, 953 KB  
Article
Cervical Cytology and HPV16/18/45 mRNA Co-Testing Improve Risk Stratification in Routine Clinical Practice
by Sveinung Wergeland Sørbye, Bente Marie Falang, Mona Antonsen and Elin Richardsen
Cancers 2026, 18(5), 834; https://doi.org/10.3390/cancers18050834 - 4 Mar 2026
Abstract
Background/Objectives: Co-testing may improve cervical cancer prevention by stratifying women into groups with different absolute risks of CIN2+, CIN3+, and cervical cancer. We evaluated real-world co-testing with cervical cytology and a genotype-specific HPV E6/E7 mRNA assay targeting HPV16, HPV18, and HPV45 (PreTect SEE) [...] Read more.
Background/Objectives: Co-testing may improve cervical cancer prevention by stratifying women into groups with different absolute risks of CIN2+, CIN3+, and cervical cancer. We evaluated real-world co-testing with cervical cytology and a genotype-specific HPV E6/E7 mRNA assay targeting HPV16, HPV18, and HPV45 (PreTect SEE) in routine clinical practice. Methods: We conducted a retrospective, registry-based cohort study at the Department of Clinical Pathology, University Hospital of North Norway. Eligible co-test samples (liquid-based cytology with concurrent HPV mRNA testing, both with valid results) from routine screening, follow-up, and clinically indicated testing were identified from the laboratory information system and passively followed for worst histological outcome through December 2025. Outcomes were no biopsy/<CIN2, CIN2+, CIN3+, and cervical cancer. Results: Among 116,217 eligible co-test samples (mean age 43.9 years), cumulative risks were 4.4% for CIN2+, 1.5% for CIN3+, and 0.1% for cervical cancer. Baseline HPV mRNA positivity was 3.9%, and cytology was ASC-US+ in 12.2% of samples. Co-testing produced a clear stepwise risk gradient. Double-negative results (NILM/mRNA−; 86.7%) had very low risks (CIN3+ 0.2%; cervical cancer 0.02%). ASC-US+/mRNA− results (9.3%) showed intermediate risks (CIN3+ 4.1%; cervical cancer 0.2%). NILM/mRNA+ results (1.1%) showed substantially higher risks despite normal cytology (CIN3+ 13.0%; cervical cancer 0.5%). Double-positive results (ASC-US+/mRNA+; 2.8%) had the highest risks (CIN3+ 28.5%; cervical cancer 2.3%). Within NILM, mRNA positivity captured 42.7% of CIN3+ cases and 25.0% of cancers. Genotype-specific analyses showed highest risks for HPV16, followed by HPV18 and HPV45. Conclusions: Co-testing with cervical cytology and a 3-type HPV mRNA assay provided strong, clinically interpretable risk stratification and identified a small but high-risk subgroup among women with normal cytology. These findings support genotype-specific HPV mRNA testing as an adjunct to cytology in routine care. Full article
(This article belongs to the Section Cancer Causes, Screening and Diagnosis)
20 pages, 1915 KB  
Article
Protein Expression Status of HTR4 and PDE4D Genes in Glial Brain Tumors Followed by the Study of Genomic Instability
by Marina Milić, Nejla Ademović, Emilija Manojlović Gačić, Vladimir Baščarević, Nasta Tanić, Nikola Tanić and Ivan Milić
Life 2026, 16(3), 374; https://doi.org/10.3390/life16030374 - 25 Feb 2026
Viewed by 186
Abstract
Malignant gliomas are the most common primary tumors of the central nervous system (CNS), originating from glial cells. They account for 30% of all CNS tumors. Among them, glioblastoma (GBM) is the most common, accounting for 45% of all glial tumors, while low-grade [...] Read more.
Malignant gliomas are the most common primary tumors of the central nervous system (CNS), originating from glial cells. They account for 30% of all CNS tumors. Among them, glioblastoma (GBM) is the most common, accounting for 45% of all glial tumors, while low-grade gliomas (LGGs) account for 31.8% of all gliomas. The aim of this study was to analyze the protein-expression profile of HTR4 and PDE4D genes in patients with glioma by immunohistochemical (IHC) analysis, to determine whether some interrelationship between them exists, to correlate their expression with clinical and histopathological parameters and therapy, and to determine their impact on patients’ survival. In addition, we analyzed the level of genomic instability (GI) (microsatellite (MIN), chromosomal (CIN) and total GI) by AP-PCR, in order to understand whether it can represent a tool for biological stratification of glioma tumors and risk assessment. Our results revealed that synchronized expression of 5-HTR4 and PDE4D proteins represents a stable modulatory signaling axis of glial-tumor biology, and reflects the activity of cAMP signaling pathway, but cannot independently stratify patients. Moreover, our study confirms that the combination of MIN, CIN and total GI represents a powerful tool for biological tumor stratification, risk assessment and understanding the pathobiological spectrum of the disease. Full article
(This article belongs to the Section Genetics and Genomics)
Show Figures

Figure 1

10 pages, 718 KB  
Article
Age-Specific Risk of High-Grade Cervical Lesions in Unvaccinated Women: Implications for HPV Screening Policies in Low-Vaccination Settings
by Süleyman Özen, Eda Güner Özen and Muzaffer Sancı
Diagnostics 2026, 16(5), 659; https://doi.org/10.3390/diagnostics16050659 - 25 Feb 2026
Viewed by 146
Abstract
Background: In Turkey, where HPV vaccination is not yet routinely implemented, cervical cancer screening with primary HPV testing begins at age 30. This may result in undetected high-grade cervical lesions in younger unvaccinated women. The aim of this study was to evaluate the [...] Read more.
Background: In Turkey, where HPV vaccination is not yet routinely implemented, cervical cancer screening with primary HPV testing begins at age 30. This may result in undetected high-grade cervical lesions in younger unvaccinated women. The aim of this study was to evaluate the age-specific prevalence of CIN2+ lesions, HPV persistence, and the diagnostic performance of cytology among women under 30. Methods: A retrospective cohort study was conducted in 689 unvaccinated women aged 18–30 who underwent colposcopy following a positive high-risk HPV (hrHPV) test. Participants were stratified into two groups: 18–24 and 25–30 years. HPV genotypes, 12-month persistence, cytological findings, and biopsy-confirmed histopathology were analyzed using logistic regression and ROC curve analysis. Results: CIN2+ lesions were identified in 17.5% of women aged 18–24 and 44.9% of those aged 25–30 (p < 0.001). Persistent HPV 16 infection was the strongest predictor of CIN2+. Cytology showed low sensitivity in detecting CIN2+ (36.4% and 47.2% in the respective age groups). ROC analysis revealed better model performance in older women (AUC 0.81 vs. 0.73, p = 0.047). Conclusions: A significant proportion of unvaccinated women aged 25–30 harbor undiagnosed CIN2+ lesions. These findings support lowering the age of HPV-based screening to 25 in low-vaccination settings. Cytology alone is insufficient as a triage tool in this population. Full article
(This article belongs to the Section Diagnostic Microbiology and Infectious Disease)
Show Figures

Figure 1

13 pages, 1674 KB  
Article
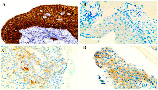
Immunohistochemical Expression of Programmed Death-Ligand 1 Associated with Human Papillomavirus-Driven High-Grade Cervical Intraepithelial Neoplasia in South African Women
by Jessica McIntyre, Rahaba Marima, Babatunde Alabi, Gopika Ramkilawon and Benny Mosoane
Onco 2026, 6(1), 14; https://doi.org/10.3390/onco6010014 - 24 Feb 2026
Viewed by 160
Abstract
Background: Cervical cancer is the second most prevalent malignancy among South African women, with high-risk human papillomavirus (HPV) infection as a critical risk factor. HPV plays a central role in cervical carcinogenesis, particularly in high-grade squamous intraepithelial lesions (HSIL). Increased programmed death ligand [...] Read more.
Background: Cervical cancer is the second most prevalent malignancy among South African women, with high-risk human papillomavirus (HPV) infection as a critical risk factor. HPV plays a central role in cervical carcinogenesis, particularly in high-grade squamous intraepithelial lesions (HSIL). Increased programmed death ligand 1 (PD-L1) expression has been implicated in cervical carcinoma tumorigenesis. Using immunohistochemistry, this study investigated the correlation between high-risk HPV-driven cervical intraepithelial neoplasia (CIN) and PD-L1 expression. Methods: An analytical cross-sectional study was conducted on archival tissue from the Department of Anatomical Pathology, University of Pretoria (2018–2021). Formalin-fixed paraffin-embedded tissues from loop electrosurgical excisions, cone biopsies, punch biopsies, and polypectomies were analysed. PD-L1 expression was assessed using the combined proportion score (CPS). Three pathologists independently evaluated histological grade, p16 immunohistochemistry, and PD-L1 expression. Results: Among 108 cases (mean age: 37.36 years), 89.8% were CIN 3, 9.3% CIN 2, and 0.9% CIN 2–3. p16 was positive in 97.2% of cases. PD-L1 expression (CPS ≥ 1) was observed in 9.3% of cases, with a mean CPS of 1.57%. No significant association was found between PD-L1 expression and CIN grade (p = 0.6433, Cramer’s V = 0.1191) or between PD-L1 and p16 positivity (p = 1, Cramer’s V = 0.05976). Conclusions: This study demonstrates no correlation between PD-L1 expression and high-risk HPV-driven high-grade CIN. These findings suggest that immune checkpoint inhibition targeting PD-L1 may have limited therapeutic relevance in HSIL among South African women. Full article
Show Figures

Figure 1

18 pages, 2324 KB  
Article
Enzyme-Modified Soy Protein/Maltodextrin Microcapsules Embedding Cinnamaldehyde: Structure, Release Characteristics, and Antibacterial Activity
by Guangxuan Shao, Zhao Li, Chao Yuan, Yunsong Jiang and Bo Cui
Foods 2026, 15(4), 714; https://doi.org/10.3390/foods15040714 - 14 Feb 2026
Viewed by 223
Abstract
Cinnamaldehyde (CIN) is a natural organic compound known for its antimicrobial and antioxidant properties. However, its susceptibility to environmental degradation has restricted its practical application. This study aimed to microencapsulate CIN using soy protein isolate hydrolysates and maltodextrin as wall materials through emulsion [...] Read more.
Cinnamaldehyde (CIN) is a natural organic compound known for its antimicrobial and antioxidant properties. However, its susceptibility to environmental degradation has restricted its practical application. This study aimed to microencapsulate CIN using soy protein isolate hydrolysates and maltodextrin as wall materials through emulsion preparation and spray drying, and to characterize the microstructure, controlled-release properties, antibacterial efficacy, and preservation performance of the resulting microcapsules. Under optimized condition, the encapsulation efficiency reached 70.72%. The microcapsules displayed smooth spherical structures, improved thermal stability, and an average particle size of 291.01 ± 33.64 nm. They demonstrated enhanced storage stability and sustained-release characteristics. Furthermore, the microcapsules exhibited significant antibacterial and antioxidant activity, which effectively delayed lipid and protein oxidation in pork loin for up to 6 days. Collectively, the results confirm the successful encapsulation of CIN and indicate the strong potential of these microcapsules for food industry applications requiring preservative and controlled-release functions. Full article
Show Figures

Graphical abstract

17 pages, 2161 KB  
Article
Hydroxycinnamic and Hydroxybenzoic-Based Mitochondriotropic Antioxidants Improve Bovine Embryo Quality and Cryo-Survival
by Filipa Ferreira, Beatriz Lourenço, José Teixeira, Fernando Cagide, Sofia Benfeito, Fernando Lidon, Fernanda Borges, Paulo J. Oliveira and Rosa M. Lino Neto Pereira
Vet. Sci. 2026, 13(2), 190; https://doi.org/10.3390/vetsci13020190 - 14 Feb 2026
Viewed by 181
Abstract
Assisted reproductive technologies (ART) use has increased over the past decades. However, reports concerning ART’s low efficiency continue to emerge, citing causes related to lower embryo quality and pregnancy rates compared to their in vivo counterparts. One of the setbacks of ART is [...] Read more.
Assisted reproductive technologies (ART) use has increased over the past decades. However, reports concerning ART’s low efficiency continue to emerge, citing causes related to lower embryo quality and pregnancy rates compared to their in vivo counterparts. One of the setbacks of ART is oxidative stress, which can impair embryo developmental rates. Mitochondrial redox and energetic homeostasis determine both cell survival and death, so mitochondria are a key target for therapeutic intervention strategies. In the present work, our objective was to improve the quality of viable embryos by adding new mitochondria-targeted antioxidants in the embryo culture media to reduce oxidative stress. Two naturally derived antioxidants synthesized by our team, AntiOxBEN2 and AntiOxCIN4, based on hydroxybenzoic and hydroxycinnamic scaffolds, respectively, were studied in two different experimental protocols (here called experiments). The first experiment investigated the effects of the antioxidants on embryo development to determine their optimal concentrations. The first assay of the first experiment focused on the effects of AntiOxCIN4 at concentrations of 1, 2.5, and 10 μM, while the second assay focused on the effects of AntiOxBEN2 at the same concentrations. A control group without supplementation was run simultaneously. The second experiment aimed to compare the best concentrations of these antioxidant molecules in the embryo culture media and their effect on embryos’ resistance to vitrification/warming. In each experiment, the embryos were morphologically evaluated, and the total and viable cell numbers were examined. Reactive oxygen species (ROS) and mitochondrial polarization were also evaluated using specific fluorescent dyes. In experiment 1, an increased embryo quality was identified by using 2.5 μM AntiOxCIN4 (p = 0.03) and 2.5 μM AntiOxBEN2 (p = 0.001). Moreover, blastocysts supplemented with 2.5 μM AntiOxCIN4 had higher viability (p = 0.008), while those supplemented with 2.5 μM AntiOxBEN2 presented a greater total cell number (p = 0.01). An improvement in embryo cryosurvival following the supplementation during the culture process with either antioxidant was identified in experiment 2, with superior expansion scores after vitrification/warming and culture (2.5 μM AntiOxCIN4p = 0.056 and 2.5 μM AntiOxBEN2p = 0.059). In conclusion, both AntiOxCIN4 and AntiOxBEN2 had a beneficial effect on embryo development and cryosurvival, suggesting a potential intervention to reduce oxidative stress in assisted reproductive technologies. Full article
(This article belongs to the Section Veterinary Biomedical Sciences)
Show Figures

Figure 1

41 pages, 5158 KB  
Article
FOXM1 Signaling Network Transcriptionally Upregulates Expression of Proteins Involved in Mitotic Progression to Induce High Proliferation and Chromosomal Instability in Androgen Receptor-Low Triple-Negative Breast Cancer
by Padmashree Rida, Raphael Andreae, Noah Bikhazi, Benecia Jackson, Ivan Wang and Nikita Jinna
Int. J. Mol. Sci. 2026, 27(4), 1823; https://doi.org/10.3390/ijms27041823 - 14 Feb 2026
Viewed by 344
Abstract
Triple-negative breast cancer (TNBC), particularly the androgen receptor-low (AR-low) subtype, is one of the most aggressive and hard-to-treat forms of BC, characterized by a high index of proliferation, chromosomal instability (CIN), and high prevalence of TP53 mutations. These features fuel therapy resistance, metastases, [...] Read more.
Triple-negative breast cancer (TNBC), particularly the androgen receptor-low (AR-low) subtype, is one of the most aggressive and hard-to-treat forms of BC, characterized by a high index of proliferation, chromosomal instability (CIN), and high prevalence of TP53 mutations. These features fuel therapy resistance, metastases, and poor clinical outcomes. An integrated framework describing the dysregulated molecular networks that support the pathobiology of AR-low TNBC is lacking. Multiple published studies in breast cancer have previously proposed mechanistic links between TP53 loss, AR-low states, and heightened FOXM1-driven G2/M transcriptional programs, potentially via deregulation of E2F activity, chromatin-associated co-regulators (e.g., ATAD2), and disruption of repressive networks involving p53–p21–DREAM and SPDEF. Additional reports suggest that FOXM1-associated circuitry may be reinforced by chromatin regulators such as WDR5 and by mitotic/spindle factors such as ASPM, including through feedback interactions and condensate-associated transcriptional organization. We previously showed that FOXM1, a master regulator transcription factor, is upregulated and is a biomarker of poor prognosis in AR-low TNBC. In this study, we filtered a set of “TNBC core genes” known to promote transcriptional chaos downstream of FoxM1. We identified a set of 15 cell cycle regulators—including mitotic kinesin motors (KIF14, KIF11, KIF4A, KIF2C, and KIF20A), centromeric proteins (CENPA, CENPO, CENPL, CENPF, and OIP5), and regulators of proteolysis (UBE2C, UBE2S, UBE2T, PSMD14, and TUBA1B). These 15 genes, which were ranked highly among genes overexpressed in TNBC featured prominently in gene signatures of chromosomal instability and were also overexpressed among AR-low TNBCs and TP53-mutant breast tumors. We show that expression of each of these 15 genes correlates positively with proliferation markers (Ki67, PCNA, and MCM2) in TNBC, and that the overexpression of this gene set is associated with shorter relapse-free survival and distinct immune/stromal infiltration patterns. In light of prior work, our findings point to a FOXM1-associated 15-gene signature enriched in AR-low TNBC and associated with the high-proliferation and high-CIN phenotypes of this clinically challenging tumor type. This 15-gene set represents an actionable vulnerability with therapeutic potential for AR-low TNBC and provides a framework for rethinking how to manage highly proliferative, genomically unstable BCs. Full article
(This article belongs to the Special Issue Molecular Research in Triple-Negative Breast Cancer: 2nd Edition)
Show Figures

Graphical abstract

18 pages, 2070 KB  
Article
Cervical Cancer Screening: Histologic Outcomes of HPV-Negative HSIL/ASC-H Cytology in a Tertiary Referral Cohort in Northern Thailand
by Sopita Prasertpakdi, Prapaporn Suprasert, Tanadon Salakphet and Surapan Khunamornpong
Medicina 2026, 62(2), 371; https://doi.org/10.3390/medicina62020371 - 13 Feb 2026
Viewed by 209
Abstract
Background and Objectives: Cotesting combines cervical cytology and HPV testing and usually identifies HSIL/ASC-H in association with HPV positivity; however, a small subset shows discordant results with high-grade cytology but negative HPV testing. We evaluated the clinicopathologic significance and histologic outcomes of [...] Read more.
Background and Objectives: Cotesting combines cervical cytology and HPV testing and usually identifies HSIL/ASC-H in association with HPV positivity; however, a small subset shows discordant results with high-grade cytology but negative HPV testing. We evaluated the clinicopathologic significance and histologic outcomes of HPV-negative HSIL or ASC-H cytology in a tertiary referral setting. Materials and Methods: We retrospectively reviewed women referred to a tertiary colposcopy unit (January 2019–October 2025) with HPV-negative HSIL or ASC-H on cotesting. Clinical findings, colposcopy, histology, excisional procedures, and follow-up were abstracted. Cytology and histology were reviewed by an expert gynecologic pathologist, and p16 immunohistochemistry was performed in all cases. Results: Among 92 women with HSIL/ASC-H cytology who underwent cotesting, 84 were HPV-positive (35 HSIL, 49 ASC-H). Eight cases (8.7%) remained HPV-negative after cytology review: 2/37 (5.4%) HSIL and 6/55 (10.9%) ASC-H. On histology, 4/8 (50%) had HSIL (CIN3) and 4/8 had LSIL; all CIN3 cases showed diffuse block-type p16 positivity. Two of six HPV-negative ASC-H cases (33.3%) were CIN3. One patient had persistent high-grade disease requiring two excisional procedures during follow-up. Conclusions: HPV-negative HSIL/ASC-H cytology is uncommon but associated with a substantial risk of CIN3. The consistent p16 positivity in tissue-confirmed HSIL supports HPV-attributable disease and suggests that most discordant cases reflect false-negative HPV testing rather than HPV-independent pathology. High-grade cytology should prompt colposcopic evaluation regardless of HPV status, and management should not be de-escalated solely on the basis of a negative HPV test. Full article
(This article belongs to the Special Issue Translational Advances in Gynecologic Cancers)
Show Figures

Figure 1

17 pages, 11419 KB  
Article
HaCaT Keratinocytes: A Differentiation-Competent Platform for Episomal Replication of HPV Type 11
by Rama Dey-Rao and Thomas Melendy
Viruses 2026, 18(2), 230; https://doi.org/10.3390/v18020230 - 12 Feb 2026
Viewed by 350
Abstract
Few differentiation-competent models exist to study early intra-nuclear processes of human papillomavirus (HPV) in keratinocytes. Early HPV DNA replication is usually studied by transfecting transformed or tumor-derived cell lines (C33A, HEK293/HEK293T, CIN612). While these lines support episome replication, their transformed state and oncogene [...] Read more.
Few differentiation-competent models exist to study early intra-nuclear processes of human papillomavirus (HPV) in keratinocytes. Early HPV DNA replication is usually studied by transfecting transformed or tumor-derived cell lines (C33A, HEK293/HEK293T, CIN612). While these lines support episome replication, their transformed state and oncogene expression can confound interpretation, and they do not undergo the normal keratinocyte differentiation required for the HPV life cycle. We therefore evaluated HaCaT, a spontaneously immortalized, non-transformed keratinocyte line with reversible differentiation, as a model for HPV episomal replication. We optimized culture conditions—particularly extracellular calcium—to toggle HaCaT cells between basal-like proliferation and differentiation, and refined transfection parameters to deliver plasmid vectors required for HPV11 episomal replication. HaCaT cells display differentiation-associated morphological changes and keratin marker expression comparable to primary keratinocytes. In transient luciferase-based origin replicon assays, HPV11 plasmid replicons showed origin-dependent replication in both undifferentiated and differentiated HaCaT cells. Because Ca2+-driven differentiation rewires keratinocyte nuclear organization, this Ca2+-controlled HaCaT system enables evaluation of early viral nuclear processes, including episomal replication and differentiation-associated increases in replication activity, in a nuclear architecture–dependent epithelial context without exogenous viral oncogenes or cellular transformation. Full article
(This article belongs to the Special Issue Nuclear Architecture in Viral Infection)
Show Figures

Figure 1

11 pages, 404 KB  
Article
Predictive Performance of the Aggregate Index of Systemic Inflammation for Contrast-Induced Nephropathy After PCI in Elderly ACS Patients
by Çağatay Önal, Cennet Yıldız, Yasin Yüksel and Burak Ayça
Medicina 2026, 62(2), 361; https://doi.org/10.3390/medicina62020361 - 11 Feb 2026
Viewed by 241
Abstract
Background and Objectives: This study aimed to evaluate the predictive value of the Aggregate Index of Systemic Inflammation (AISI) for contrast-induced nephropathy (CIN) development in elderly patients with acute coronary syndrome (ACS) undergoing PCI. Materials and Methods: The study included consecutive [...] Read more.
Background and Objectives: This study aimed to evaluate the predictive value of the Aggregate Index of Systemic Inflammation (AISI) for contrast-induced nephropathy (CIN) development in elderly patients with acute coronary syndrome (ACS) undergoing PCI. Materials and Methods: The study included consecutive patients aged ≥65 years who underwent PCI for ACS between January 2022 and January 2024. The primary endpoint was the occurrence of CIN, defined as an increase in serum creatinine ≥0.5 mg/dL or ≥25% from baseline within 48–72 h after PCI. The AISI was calculated for each patient. Results: A total of 437 patients (mean age 73.7 ± 7.2 years, 64.5% male) were included. The overall incidence of CIN was 25.6%. Patients who developed CIN were older, more frequently female, and had lower left ventricular ejection fraction and albumin but higher SYNTAX I scores and baseline creatinine (all p < 0.001). AISI demonstrated a significant predictive accuracy for CIN (AUC: 0.709, 95% CI: 0.647–0.771, p < 0.001), which was statistically comparable to the Mehran score (AUC: 0.744, p = 0.095). In multivariable analysis, AISI emerged as a strong independent predictor of CIN (OR: 1.345, 95% CI: 1.123–1.437, p < 0.001), alongside SYNTAX I scores, baseline creatinine, and serum albumin. Notably, AISI retained its independent predictive power even when adjusted for the Mehran score (OR: 1.276, p < 0.001). Conclusions: AISI independently predicts CIN in elderly patients with ACS undergoing PCI. Its superior discriminative ability compared with single hematologic markers highlights the importance of systemic inflammatory burden in CIN pathogenesis. Incorporating AISI into pre-procedural assessment may improve risk stratification and preventive management in this high-risk population. Full article
Show Figures

Figure 1

18 pages, 2106 KB  
Article
MicroRNA-Based Triage of HPV-Positive Women Using Liquid-Based Cytology: Diagnostic Performance and Network-Level Insights
by Justyna Pisarska, Aleksandra Kożańska, Rafał Rzepka and Katarzyna Baldy-Chudzik
Cancers 2026, 18(4), 559; https://doi.org/10.3390/cancers18040559 - 9 Feb 2026
Viewed by 269
Abstract
Background: Human papillomavirus (HPV)-based screening has substantially improved sensitivity for cervical cancer detection but remains limited by low specificity, leading to unnecessary colposcopy referrals. MicroRNAs (miRNAs) represent promising biomarkers for improving triage of HPV-positive women. This study evaluated the diagnostic and regulatory roles [...] Read more.
Background: Human papillomavirus (HPV)-based screening has substantially improved sensitivity for cervical cancer detection but remains limited by low specificity, leading to unnecessary colposcopy referrals. MicroRNAs (miRNAs) represent promising biomarkers for improving triage of HPV-positive women. This study evaluated the diagnostic and regulatory roles of selected miRNAs in cervical lesion progression using liquid-based cytology (LBC) specimens. Methods: Expression of six biologically relevant miRNAs (miR-15a-5p, miR-16-5p, miR-20b-5p, miR-155-5p, miR-34a-5p, and miR-140-3p) was analyzed across NILM, CIN II, CIN III, and cervical cancer (CC) samples. All miRNA analyses were performed using residual cellular material derived from the same liquid-based cytology (LBC) specimens collected during the HPV screening visit, without requiring any additional sampling prior to colposcopy. Diagnostic performance was assessed using ROC analysis. To capture regulatory dynamics beyond expression magnitude, correlation, and differential correlation (Δρ), network analyses were applied. Results: Stage-dependent changes in miRNA expression were observed across disease categories; however, expression magnitude alone did not fully explain diagnostic performance. Upregulated miRNAs, particularly miR-16-5p, miR-20b-5p, and miR-155-5p, demonstrated high diagnostic accuracy for distinguishing NILM from high-grade lesions and invasive cancer. In contrast, downregulated miRNAs showed limited diagnostic utility. Correlation analyses revealed progressive remodeling of miRNA co-expression networks, with the most pronounced changes occurring during the CIN II–to–CIN III transition. Notably, miRNAs with strong diagnostic performance did not uniformly function as network hubs, indicating distinct roles as biomarkers versus regulators of network dynamics. Conclusions: Cervical lesion progression is characterized not only by changes in miRNA expression levels but also by stage-specific reorganization of miRNA regulatory networks. Integrating diagnostic performance with network-level analysis enables improved identification of clinically robust triage markers and provides additional insight into regulatory instability associated with progression. Full article
(This article belongs to the Special Issue Cervical Cancer Screening: Current Practices and Future Perspectives)
Show Figures

Figure 1

18 pages, 883 KB  
Article
Genotype-Specific HPV E6/E7 mRNA Triage Improves Risk Stratification and Reduces Referrals in DNA-Positive ASC-US/LSIL: A Real-World Cohort from Nordland, Norway
by Khalid Al-Shibli, Dat Tan Nguyen, Hiba Abdul Latif Mohammed and Sveinung Wergeland Sørbye
Pathogens 2026, 15(2), 178; https://doi.org/10.3390/pathogens15020178 - 6 Feb 2026
Viewed by 241
Abstract
HPV DNA–positive women with ASC-US/LSIL cytology represent a heterogeneous risk group in cervical screening and require efficient triage. We evaluated a genotype-specific 7-type HPV E6/E7 mRNA assay (PreTect HPV-Proofer 7; types 16/18/31/33/45/52/58) in a real-world quality-assurance cohort at Nordland Hospital (Bodø, Norway). Among [...] Read more.
HPV DNA–positive women with ASC-US/LSIL cytology represent a heterogeneous risk group in cervical screening and require efficient triage. We evaluated a genotype-specific 7-type HPV E6/E7 mRNA assay (PreTect HPV-Proofer 7; types 16/18/31/33/45/52/58) in a real-world quality-assurance cohort at Nordland Hospital (Bodø, Norway). Among HPV-positive women with ASC-US/LSIL reflex cytology, 225 had sufficient residual liquid-based cytology material and a valid mRNA result; 175 had complete follow-up (2022–2025) and were included. Overall, 44.6% (78/175) were mRNA-positive (ASC-US 45.2%; LSIL 43.3%). For CIN2+, sensitivity was 63.4%, specificity 61.2%, PPV 33.3%, and NPV 84.5%; CIN2+ risk was 33.3% in mRNA-positive versus 15.5% in mRNA-negative women (RR 2.16, 95% CI 1.23–3.78). For CIN3+, risk was 14.1% versus 6.2%. Genotype-specific PPVs were highest for HPV33, HPV18, HPV16, and HPV31. In a referral simulation, mRNA-guided triage reduced baseline colposcopy referrals by 55% and decreased colposcopies per detected CIN2+ by ~30%, while 15 CIN2+ and 6 CIN3+ occurred in the mRNA-negative group and would be expected to be detected at 12-month follow-up among women with persistent HPV positivity. Genotype-aware HPV E6/E7 mRNA triage improves risk stratification and may increase screening efficiency. Full article
(This article belongs to the Special Issue Viral Oncology and Targeted Therapies for Virus-Associated Cancers)
Show Figures

Figure 1

23 pages, 1793 KB  
Article
Dynamics of Cervical Lesions After Excisional Treatment in Relation to HPV Genotypes and Cytological Findings
by Cornelius Eduard Carp, Alexandra Carp, Raluca Mihaela Gemanariu, Mihai Gabriel Marin, Sorana Caterina Anton, Handra Elicona, Alexandra Lazan, Raul Andrei Crețu and Emil Anton
J. Clin. Med. 2026, 15(3), 1241; https://doi.org/10.3390/jcm15031241 - 4 Feb 2026
Viewed by 325
Abstract
Background/Objectives: Human papillomavirus (HPV) infection remains the principal etiologic factor for cervical intraepithelial neoplasia (CIN) and cervical cancer. This longitudinal cohort study aimed to characterize the dynamics of cytological and histopathological changes over a two-year follow-up, focusing on post-treatment reduction in lesion grade, [...] Read more.
Background/Objectives: Human papillomavirus (HPV) infection remains the principal etiologic factor for cervical intraepithelial neoplasia (CIN) and cervical cancer. This longitudinal cohort study aimed to characterize the dynamics of cytological and histopathological changes over a two-year follow-up, focusing on post-treatment reduction in lesion grade, persistence, and progression in relation to HPV genotype distribution and smoking status. Methods: A total of 351 women aged 20–76 years were included, with cervical samples collected at the “Elena Doamna” Clinical Hospital, Iași, Romania. Cytology was categorized according to the Bethesda System, while colposcopy and conization served as diagnostic confirmation methods. HPV genotyping identified both high-risk (HR) and low-risk (LR) viral subtypes. Longitudinal assessments were performed at baseline, one-year, and two-year intervals to evaluate temporal patterns of disease evolution. Results: At baseline, HSIL represented the predominant cytologic category (51.3%, n = 180), followed by ASC-US (19.1%), ASC-H (15.1%), and LSIL (14.5%). Negative cytology increased from 62.4% at one year to 71.8% at two years, indicating substantial post-treatment reduction in lesion grade. Downgrading of lesion severity after treatment occurred in 26.2%, persistence in 11.1%, and progression in 11.1% of cases. Concordance between colposcopy and conization was moderate but statistically significant (κ = 0.345), with the highest agreement observed for HSIL with equivocal features between CIN II and CIN III lesions. Smoking showed a significant association with lesion persistence at two years (OR = 3.07; 95% CI: 1.16–8.08) but no statistically significant association with HR-HPV persistence. HR-HPV genotypes 16, 18, 31, and 33 were most frequently linked to progression, whereas HPV 35, 59, and 68 were associated with persistence. Conclusions: Over two years, most cervical lesions regressed or normalized, demonstrating effective management and follow-up. Persistent infection with HR-HPV types and smoking were the primary determinants of unfavorable outcomes. These findings highlight the clinical relevance of sustained surveillance, HPV genotyping, and smoking cessation as integral components of evidence-based cervical disease prevention and management strategies. Full article
(This article belongs to the Section Obstetrics & Gynecology)
Show Figures

Figure 1

19 pages, 742 KB  
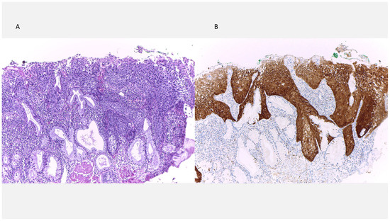
Article
Prospective Evaluation of Cytology, CINtec® and PD-L1 for the Detection of Cervical Intraepithelial Neoplasia: A Single-Center Study
by Alexandru Hamod, Mihaela Grigore, Ingrid-Andrada Vasilache, Ramona-Gabriela Ursu, Oancea Mihaela, Razvan Popovici, Ana-Maria Grigore, Ludmila Lozneanu, Dan-Constantin Andronic and Manuela Ciocoiu
J. Clin. Med. 2026, 15(3), 1171; https://doi.org/10.3390/jcm15031171 - 2 Feb 2026
Viewed by 196
Abstract
Background/Objectives: This study evaluated the diagnostic accuracy of cervical cytology, CINtec® (p16/Ki-67 dual staining), and PD-L1 immunohistochemistry, individually and in combination with high-risk HPV (HR-HPV) testing, for identifying histologically confirmed cervical lesions ranging from CIN1 to invasive carcinoma. Methods: We [...] Read more.
Background/Objectives: This study evaluated the diagnostic accuracy of cervical cytology, CINtec® (p16/Ki-67 dual staining), and PD-L1 immunohistochemistry, individually and in combination with high-risk HPV (HR-HPV) testing, for identifying histologically confirmed cervical lesions ranging from CIN1 to invasive carcinoma. Methods: We conducted a prospective cross-sectional study including 114 patients who underwent cervical cytology, CINtec®, PD-L1 staining, HPV genotyping, and histopathologic confirmation at a tertiary clinical center between September 2024 and September 2025. Sensitivity, specificity, PPV, NPV, and ROC performance were calculated for each test across lesion categories. Multivariable logistic regression models incorporating HR-HPV status were used to assess added predictive value. Results: All tests showed poor performance for CIN1 (cytology AUC 0.488; CINtec® 0.374; PD-L1 0.366). Diagnostic accuracy improved markedly with lesion severity. For CIN3, CINtec® demonstrated the highest discriminative ability (AUC 0.826), with cytology and PD-L1 also performing well (AUC 0.820 and 0.753). Cytology achieved the strongest ROC performance for CIN2+ (AUC 0.937), CIN3+ (0.913), and invasive carcinoma (0.887). PD-L1 consistently showed lower accuracy across categories. Cytology + HR-HPV demonstrated the highest AUC across all lesion categories. Conclusions: Cytology and CINtec® exhibited strong diagnostic accuracy for high-grade lesions, while PD-L1 showed limited utility as an independent screening marker. Combining cytology with HR-HPV testing enhanced predictive performance across all lesion categories. These findings support the continued use of cytology-based triage and highlight CINtec® as a valuable adjunct for high-grade disease detection. Because this study used a high-prevalence referral cohort, specificity may be overestimated and not representative of population-based screening. Full article
(This article belongs to the Section Obstetrics & Gynecology)
Show Figures

Figure 1

11 pages, 202 KB  
Article
Evaluation of the Outcomes of Patients Undergoing Colposcopy for High-Risk Human Papillomavirus Positivity and/or Abnormal Cervical Cytology
by Necim Yalcin, Aysun Alci, Mustafa Gokkaya, Mehmet Goksu, Tayfun Toptas and Isin Ureyen
Diagnostics 2026, 16(3), 465; https://doi.org/10.3390/diagnostics16030465 - 2 Feb 2026
Viewed by 309
Abstract
Objectives: The main objective of the present study was to evaluate the outcomes of patients referred for colposcopy due to human papillomavirus (HPV) positivity and/or abnormal cytology. Methods: A retrospective analysis was conducted on women who underwent colposcopy between January 2015 and December [...] Read more.
Objectives: The main objective of the present study was to evaluate the outcomes of patients referred for colposcopy due to human papillomavirus (HPV) positivity and/or abnormal cytology. Methods: A retrospective analysis was conducted on women who underwent colposcopy between January 2015 and December 2023. Demographic data and results of the colposcopy result were obtained from the patient files and the electronic gynecologic oncology clinic database. Results: A total of 2682 patients were included in the analysis. A cervical biopsy identified a cervical intraepithelial neoplasia (CIN)2+ (CIN2, CIN3, and invasive cancer) lesions in 361 patients (13.5%), while endocervical curettage (ECC) identified a CIN2+ lesions in 148 patients (5.6%). A total of 74 patients exhibited CIN2+ lesions in both cervical biopsy and ECC samples, while 74 patients displayed CIN2+ lesions exclusively in ECC samples. The distribution of high-risk HPV positivity in 435 patients with CIN2+ lesions revealed that 47.5% of patients were positive for HPV type 16, while 8.9% were positive for HPV type 18. A total of 50% of all patients diagnosed with CIN2+ lesions by ECC alone were found to be positive for HPV type 16 (37/74). Of the 116 patients with high-risk HPV positivity and normal cytology, 34 (29.3%) were high-risk HPV other-positive. Conclusion: HPV type 16 and 18 positivity represents the highest-risk groups in terms of CIN2+ lesion development. ECC should be considered, in particular, in women with HPV 16 positivity. Colposcopy should be performed immediately, rather than after one year, in women with high-risk HPV other-positivity and normal cervical cytology, in order to increase the detection rate of CIN2+ lesions. Full article
(This article belongs to the Section Clinical Diagnosis and Prognosis)
Back to TopTop