Due to scheduled maintenance work on our servers, there may be short service disruptions on this website between 11:00 and 12:00 CEST on March 28th.
Sign in to use this feature.

Years

Between: -

Subjects

remove_circle_outline
remove_circle_outline
remove_circle_outline
remove_circle_outline
remove_circle_outline
remove_circle_outline
remove_circle_outline

Journals

Article Types

Countries / Regions

Search Results (16)

Search Parameters:
Keywords = Boops boops

Order results
Result details
Results per page
Select all
Export citation of selected articles as:
18 pages, 5261 KB  
Article
Detection of Contaminants in Some Typical Mediterranean Fish: Anisakis Parasites and Heavy Metals
by Ruth Vella-Tonna, Robert Vassallo-Agius and Everaldo Attard
Sci 2026, 8(1), 4; https://doi.org/10.3390/sci8010004 - 31 Dec 2025
Viewed by 785
Abstract
The Mediterranean Sea is recognized for its high biodiversity but is also a hotspot for pollution. In this study, fish samples of four native marine species were collected from wild catches to determine contaminants such as Anisakis parasites and heavy metals, including nickel, [...] Read more.
The Mediterranean Sea is recognized for its high biodiversity but is also a hotspot for pollution. In this study, fish samples of four native marine species were collected from wild catches to determine contaminants such as Anisakis parasites and heavy metals, including nickel, lead, copper, zinc, and chromium, within local marine fish species. The detection of Anisakis parasites was performed by a visual inspection and a digestion method. Metal analysis was carried out on skin, muscle, viscera, and bones of fish, using Microwave Plasma-Atomic Emission Spectroscopy. This study demonstrated that Boops boops was the least infested species by Anisakis parasite, while Scomber colias was the most infested, with Sardinella aurita and Trachurus trachurus showing a lower infestation rate. Pearson correlation statistics revealed that infestation correlated with fish size but not with maturity or sex. Principal component analysis (PCA) demonstrated that the carnivorous species were more prone to Anisakis infestation than the omnivorous species. The maximum levels of copper, nickel, chromium, lead, and zinc content in fish tissues were 13.2 ± 0.11, 19.5 ± 0.02, 19.9 ± 0.01, 28.8 ± 0.09, and 184.87 ± 0.63 µg/g, respectively. PCA revealed that heavy metal contamination does not discriminate between fish species and sex, as opposed to tissue type and location of catch. Some metals, such as zinc and lead, seem to accumulate more in muscle rather than the other tissues. These findings indicate that Anisakis infestation and heavy metal analysis should be monitored and extended beyond the current EU requirements. Full article
Show Figures

Graphical abstract

26 pages, 2529 KB  
Systematic Review
Microplastic Concentration in Mediterranean Commercial Fish: A Systematic Review
by Stefania M. Manolaki, Panagiotis D. Dimitriou, Maria Lampa, Ioannis Karakassis and Nafsika Papageorgiou
Microplastics 2025, 4(4), 100; https://doi.org/10.3390/microplastics4040100 - 5 Dec 2025
Viewed by 933
Abstract
Nowadays, microplastic (MP) pollution has attracted increasing interest from the scientific community. This systematic review investigated the MP concentration in various tissues of five commercial fish species (Engraulis encrasicolus, Boops boops, Sardina pilchardus, Sardinella aurita, and Trachurus mediterraneus [...] Read more.
Nowadays, microplastic (MP) pollution has attracted increasing interest from the scientific community. This systematic review investigated the MP concentration in various tissues of five commercial fish species (Engraulis encrasicolus, Boops boops, Sardina pilchardus, Sardinella aurita, and Trachurus mediterraneus) in different Mediterranean water bodies in order to identify spatial trends and key analytes influencing their variation. The reported concentrations of MPs in all fish ranged from 4.2 particles/individual in the southeastern Mediterranean to 1.2 particles/individual in the western part, but these values are highly uncertain due to inconsistent methodologies, absence of recovery tests, and incomplete data reporting. No significant difference was found in the MP concentration of the different tissues of these species. The key factor affecting the MP concentration was the water body from which they were collected. This systematic review suggests that fewer than six samples may not provide statistically reliable results, and that a lack of detailed data reporting, despite the advances in chemical characterization techniques, continues to limit the robustness of MP studies. Additionally, this study evaluated how methodological differences could influence the reported MP concentrations. These findings offer a comprehensive overview of the MP expansion in the Mediterranean waterbodies and fish species, and provide recommendations for future research design improvement. Full article
(This article belongs to the Collection Feature Papers in Microplastics)
Show Figures

Graphical abstract

14 pages, 4099 KB  
Article
Occurrence and Community Structure of Wild Fish Within Adriatic Sea Fish Farms
by Slavica Čolak, Ivana Zubak Čižmek, Rina Milošević, Bruna Babin, Filip Tafra, Tomislav Grgić, Tomislav Šarić, Renata Barić, Bosiljka Mustać, Ivan Župan and Lav Bavčević
Fishes 2025, 10(10), 504; https://doi.org/10.3390/fishes10100504 - 8 Oct 2025
Viewed by 764
Abstract
This study presents, for the first time, the occurrence and community structure of wild fish inside marine aquaculture cages of gilthead seabream (Sparus aurata), European sea bass (Dicentrarchus labrax), greater amberjack (Seriola dumerili), meagre (Argyrosomus regius [...] Read more.
This study presents, for the first time, the occurrence and community structure of wild fish inside marine aquaculture cages of gilthead seabream (Sparus aurata), European sea bass (Dicentrarchus labrax), greater amberjack (Seriola dumerili), meagre (Argyrosomus regius), and common dentex (Dentex dentex). Coexistence of farmed and wild fish was observed only in cages of gilthead seabream and European sea bass, with wild fish constituting 0.08% of the total sampled fish biomass. Twelve wild fish species from five families were recorded: Carangidae, Clupeidae, Mugilidae, Moronidae, and Sparidae. Bogue (Boops boops) and jack mackerel (Trachurus sp.) were the most abundant. Multivariate analysis indicated that location significantly influenced the wild fish community composition, while reared species and farming duration, along with their interaction, had no significant effect. Descriptive comparisons suggested potential differences in biometric traits of bogue and jack mackerel between reared species and farming duration. The findings highlight the need for further research on wild fish in cages to better understand the potential health and biosecurity risks they may pose. Full article
Show Figures

Figure 1

18 pages, 1665 KB  
Article
Anthropogenic Microparticles in Aquaculture and Wild Fish: A Case Study of Three Commercially Important Species in the Eastern Mediterranean
by Aikaterini Kostoula, Eugenia Moschou-Kounopioti, Niki Milatou and Persefoni Megalofonou
Fishes 2025, 10(10), 492; https://doi.org/10.3390/fishes10100492 - 2 Oct 2025
Viewed by 697
Abstract
Over the past decade, increasing attention has been given to the impacts of anthropogenic microparticle (AM) pollution on marine ecosystems. This study investigates AM ingestion in three commercially important fish species—Sparus aurata Linnaeus, 1758, Dicentrarchus labrax Linnaeus, 1758, and Boops boops Linnaeus, [...] Read more.
Over the past decade, increasing attention has been given to the impacts of anthropogenic microparticle (AM) pollution on marine ecosystems. This study investigates AM ingestion in three commercially important fish species—Sparus aurata Linnaeus, 1758, Dicentrarchus labrax Linnaeus, 1758, and Boops boops Linnaeus, 1758—collected from both wild and farmed populations in Greek marine and lagoon environments. A total of 60 specimens were sampled from the Messolonghi Lagoon, Rhodes Island, and the Cyclades. AM were detected in 61.7% of the individuals analyzed. The mean number of ingested items per individual was 1.1 ± 1.2 in B. boops, 1.0 ± 1.7 in wild and 2.3 ± 2.1 in farmed S. aurata, and 2.5 ± 3.1 in wild and 3.6 ± 2.2 in farmed D. labrax. Ingestion ranged from 0 to 9 items per fish. No significant correlations were found between fish size and either the number or the size of ingested AM in any species. The ingested AM were primarily classified as fibers and fragments, displaying variability in size and color. Black was the dominant color across all species, followed by red and blue, while yellow was rarely observed. A statistically significant difference in the mean size of AM was recorded between wild and farmed D. labrax, whereas no such difference was observed for S. aurata. Overall, these findings provide new evidence on AM contamination in seafood species and highlight their occurrence in both natural and aquaculture environments of the eastern Mediterranean. Full article
(This article belongs to the Section Biology and Ecology)
Show Figures

Figure 1

15 pages, 1041 KB  
Article
Lipid and Fatty Acid Composition of Low-Value Mediterranean Fish in Winter and Spring for Discard Valorization
by Aristeidis Tsopelakos and Helen Miliou
Fishes 2025, 10(9), 454; https://doi.org/10.3390/fishes10090454 - 5 Sep 2025
Viewed by 945
Abstract
Winter and Spring variations of the fat and fatty acid compositions of discards from six species of the Aegean Sea were investigated to assess the potential suitability for human or aquaculture consumption. European pilchard (Sardina pilchardus), anchovy (Engraulis encrasicolus), [...] Read more.
Winter and Spring variations of the fat and fatty acid compositions of discards from six species of the Aegean Sea were investigated to assess the potential suitability for human or aquaculture consumption. European pilchard (Sardina pilchardus), anchovy (Engraulis encrasicolus), curled picarel (Centracanthus cirrus), gilt sardine (Saridenella aurita), horse mackerel (Trachurus mediterraneus) and bogue (Boops boops) were collected from the local fishing wharf during winter and spring. In most species, the specimens caught in spring exhibited elevated fat and n-3 long-chain polyunsaturated fatty acid content, with Sardina pilchardus showing an increase in DHA from 13.59% to 16.06% and Engraulis encrasicolus from 20.36% to 23.41% of the total identified fatty acids. Despite their lower commercial value, the high n-3 LC-PUFA content renders them nutritionally valuable and eligible for use by the aquafeed industry as an alternative to the increasingly costly fish oil. Moreover, in accordance with EU legislation banning discards and mandating the landing of unwanted catches, the valorisation of these species, in line with circular economy principles, could enhance fishers’ income, reduce waste and contribute to the long-term sustainability of marine ecosystems. Full article
(This article belongs to the Special Issue Recent Advances in Nutrition and Metabolic Regulation of Fish)
Show Figures

Figure 1

16 pages, 3394 KB  
Article
Maltese Coastline Never Sleeps: The Effects of Artificial Light at Night (ALAN) on the Local Infralittoral Assemblages—A Case Study
by Francesca Grillo, Alessio Marrone, Adam Gauci and Alan Deidun
J. Mar. Sci. Eng. 2024, 12(9), 1602; https://doi.org/10.3390/jmse12091602 - 10 Sep 2024
Cited by 2 | Viewed by 2883
Abstract
Aside from the most notorious threats, the Mediterranean Sea faces novel and poorly explored impacts from artificial light at night (ALAN), which influences natural light–dark cycles and affects marine ecosystems. This study investigates the impact of ALAN on coastal infralittoral assemblages in Malta, [...] Read more.
Aside from the most notorious threats, the Mediterranean Sea faces novel and poorly explored impacts from artificial light at night (ALAN), which influences natural light–dark cycles and affects marine ecosystems. This study investigates the impact of ALAN on coastal infralittoral assemblages in Malta, where such effects remain unexplored. Using Baited Remote Underwater Videos (BRUVs), we examined the influence of different light intensities on species assemblages and behaviour at two sites: a light-polluted harbour and a darker reef area. Our findings reveal significant differences in fish community composition between light treatments and habitats. Among the 23,955 individuals recorded across multiple taxa, Boops boops accounted for 80% of observations. From our results, light intensity had a more substantial impact on community structure than habitat type, with species-specific responses to light. Predatory species such as Trachurus trachurus displayed increased activity under high-intensity white light, while Apogon imberbis and Serranus scriba were more abundant under red light, irrespective of habitat. These results underscore the role of ALAN in altering marine community dynamics and emphasise the need for sustainable management strategies to mitigate its impact on the biodiversity of the Mediterranean. This study provides initial empirical evidence of ALAN’s effects in Maltese waters, contributing to broader efforts to understand and manage light pollution in marine ecosystems. Full article
(This article belongs to the Section Marine Ecology)
Show Figures

Figure 1

12 pages, 2266 KB  
Article
Application of HR-NMR for the Metabolic Kinetic Assessment of Red Mullet (Mullus barbatus) and Bogue (Boops boops) Samples during Different Temperature Storage
by Alessandra Ciampa and Gianfranco Picone
Metabolites 2023, 13(4), 482; https://doi.org/10.3390/metabo13040482 - 27 Mar 2023
Cited by 4 | Viewed by 2394
Abstract
Fish freshness and quality can be measured through several indices that can be both chemical and physical. The storage temperature and the time that elapses following the catching of the fish are fundamental parameters that define and influence both the degree of freshness [...] Read more.
Fish freshness and quality can be measured through several indices that can be both chemical and physical. The storage temperature and the time that elapses following the catching of the fish are fundamental parameters that define and influence both the degree of freshness and nutritional quality. Moreover, they particularly effect the kind of fish we considered. In this research, it was observed how different temperatures of storage and shelf-life (+4 °C and 0 °C) may affect the metabolic profile of red mullet (Mullus barbatus) and bogue (Boops boops) fish samples over time, specifically observing the alteration of freshness and quality. In particular, a High-Resolution Nuclear Magnetic Resonance (HR-NMR)-based metabolomics approach was applied to study the metabolic profile changes that occur in fish spoilage. The HR-NMR spectroscopy data were useful for calculating a kinetic model that was able to predict the evolution of different compounds related to fish freshness, such as trimethylamine (TMA-N) and adenosine-5′-triphosphate (ATP) catabolites for the K-index. Furthermore, NMR in combination with chemometrics allowed us to estimate a further kinetic model able to represent the spoilage evolution by considering the entire metabolome. In this way, it was also possible to detect further biomarkers characterizing the freshness and quality status of both red mullets and bogues. Full article
(This article belongs to the Section Food Metabolomics)
Show Figures

Figure 1

40 pages, 9182 KB  
Review
Generalized Beta Models and Population Growth: So Many Routes to Chaos
by M. Fátima Brilhante, M. Ivette Gomes, Sandra Mendonça, Dinis Pestana and Pedro Pestana
Fractal Fract. 2023, 7(2), 194; https://doi.org/10.3390/fractalfract7020194 - 15 Feb 2023
Cited by 7 | Viewed by 3386
Abstract
Logistic and Gompertz growth equations are the usual choice to model sustainable growth and immoderate growth causing depletion of resources, respectively. Observing that the logistic distribution is geo-max-stable and the Gompertz function is proportional to the Gumbel max-stable distribution, we investigate other models [...] Read more.
Logistic and Gompertz growth equations are the usual choice to model sustainable growth and immoderate growth causing depletion of resources, respectively. Observing that the logistic distribution is geo-max-stable and the Gompertz function is proportional to the Gumbel max-stable distribution, we investigate other models proportional to either geo-max-stable distributions (log-logistic and backward log-logistic) or to other max-stable distributions (Fréchet or max-Weibull). We show that the former arise when in the hyper-logistic Blumberg equation, connected to the Beta (p,q) function, we use fractional exponents p1=11/α and q1=1±1/α, and the latter when in the hyper-Gompertz-Turner equation, the exponents of the logarithmic factor are real and eventually fractional. The use of a BetaBoop function establishes interesting connections to Probability Theory, Riemann–Liouville’s fractional integrals, higher-order monotonicity and convexity and generalized unimodality, and the logistic map paradigm inspires the investigation of the dynamics of the hyper-logistic and hyper-Gompertz maps. Full article
(This article belongs to the Special Issue Feature Papers in Fractal and Fractional 2022–2023)
Show Figures

Figure 1

9 pages, 1235 KB  
Article
Foggia Prostate Cancer Risk Calculator 2.0: A Novel Risk Calculator including MRI and Bladder Outlet Obstruction Parameters to Reduce Unnecessary Biopsies
by Ugo Giovanni Falagario, Gian Maria Busetto, Marco Recchia, Edoardo Tocci, Oscar Selvaggio, Antonella Ninivaggi, Paola Milillo, Luca Macarini, Francesca Sanguedolce, Vito Mancini, Pasquale Annese, Carlo Bettocchi, Giuseppe Carrieri and Luigi Cormio
Int. J. Mol. Sci. 2023, 24(3), 2449; https://doi.org/10.3390/ijms24032449 - 26 Jan 2023
Viewed by 2787
Abstract
Risk calculator (RC) combining PSA with other clinical information can help to better select patients at risk of prostate cancer (PCa) for prostate biopsy. The present study aimed to develop a new Pca RC, including MRI and bladder outlet obstruction parameters (BOOP). The [...] Read more.
Risk calculator (RC) combining PSA with other clinical information can help to better select patients at risk of prostate cancer (PCa) for prostate biopsy. The present study aimed to develop a new Pca RC, including MRI and bladder outlet obstruction parameters (BOOP). The ability of these parameters in predicting PCa and clinically significant PCa (csPCa: ISUP GG ≥ 2) was assessed by binary logistic regression. A total of 728 patients were included from two institutions. Of these, 395 (54.3%) had negative biopsies and 161 (22.11%) and 172 (23.6%) had a diagnosis of ISUP GG1 PCa and csPCa. The two RC ultimately included age, PSA, DRE, prostate volume (pVol), post-voided residual urinary volume (PVR), and PIRADS score. Regarding BOOP, higher prostate volumes (csPCa: OR 0.98, CI 0.97,0.99) and PVR ≥ 50 mL (csPCa: OR 0.27, CI 0.15, 0.47) were protective factors for the diagnosis of any PCa and csPCa. AUCs after internal validation were 0.78 (0.75, 0.82) and 0.82 (0.79, 0.86), respectively. Finally, decision curves analysis demonstrated higher benefit compared to the first-generation calculator and MRI alone. These novel RC based on MRI and BOOP may help to better select patient for prostate biopsy after prostate MRI. Full article
(This article belongs to the Special Issue Advances in Molecular Research on Prostate Cancer)
Show Figures

Figure 1

13 pages, 1163 KB  
Article
A Biomarker Approach as Responses of Bioindicator Commercial Fish Species to Microplastic Ingestion: Assessing Tissue and Biochemical Relationships
by Xavier Capó, Merce Morató, Carme Alomar, Beatriz Rios-Fuster, Maria Valls, Montserrat Compa and Salud Deudero
Biology 2022, 11(11), 1634; https://doi.org/10.3390/biology11111634 - 8 Nov 2022
Cited by 27 | Viewed by 3771
Abstract
Plastic debris is a growing environmental problem on a global scale, as plastics and microplastics (MPs) can be ingested by marine organisms, inducing toxic effects. The aim of this study was to assess MP intake and antioxidant responses in three bioindicator species: red [...] Read more.
Plastic debris is a growing environmental problem on a global scale, as plastics and microplastics (MPs) can be ingested by marine organisms, inducing toxic effects. The aim of this study was to assess MP intake and antioxidant responses in three bioindicator species: red mullet, bogue, and anchovy (Mullus surmuletus, Boops boops, and Engraulis encrasicolus, respectively) for plastic contamination in the Mediterranean Sea. MP intake was assessed in the gastrointestinal tract of the fish. Further, several enzymes from both the liver and brain were analysed. The antioxidant defences, catalase (CAT) and superoxide dismutase (SOD), as well as the detoxifying enzyme glutathione-S-transferase (GST), were measured in both tissues. The acetylcholine esterase (AchE), as an indicator of neuronal damage, was measured in the brain. Malondialdehyde (MDA) was analysed as a marker of oxidative damage in the brain and liver samples. Total MP intake and MP typology differed between the three species, with M. surmuletus showing the lowest intake of MPs, while B. boops showed the highest intake of MPs. An increase in both antioxidant enzymes was evidenced in E. encrasicolus liver activity with respect to MP intake. In brain samples, an increase in CAT activity was found in M. surmuletus and B. boops as a consequence of MP ingestion. SOD activity in the brain increased in B. boops and E. encrasicolus that had ingested MPs. GST activity increased in the liver of M. surmuletus’ and in brains of B. boops that had ingested MPs. The intake of MPs is species related, as well as being inherently linked to the habitat they live in and being able to induce a light activation of species-specific detoxifying and antioxidant mechanisms. Full article
(This article belongs to the Special Issue Effects of Microplastic Pollution on Marine Ecology)
Show Figures

Figure 1

14 pages, 2271 KB  
Article
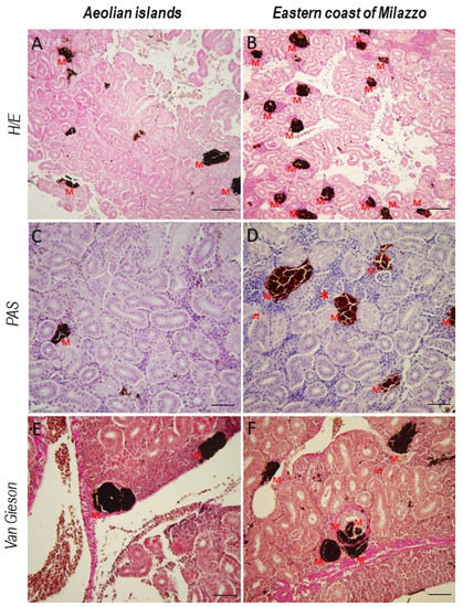
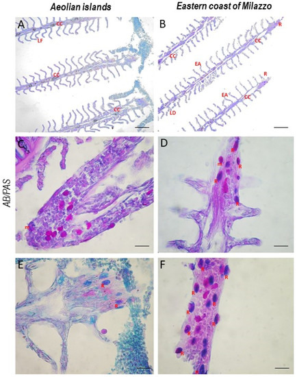
Histological and Chemical Analysis of Heavy Metals in Kidney and Gills of Boops boops: Melanomacrophages Centers and Rodlet Cells as Environmental Biomarkers
by Alessio Alesci, Nicola Cicero, Angelo Fumia, Claudia Petrarca, Rocco Mangifesta, Vincenzo Nava, Patrizia Lo Cascio, Sebastiano Gangemi, Mario Di Gioacchino and Eugenia Rita Lauriano
Toxics 2022, 10(5), 218; https://doi.org/10.3390/toxics10050218 - 27 Apr 2022
Cited by 45 | Viewed by 6709
Abstract
Industrialization has resulted in a massive increase in garbage output, which is frequently discharged or stored in waterways like rivers and seas. Due to their toxicity, durability, bioaccumulation, and biomagnification, heavy metals (such as mercury, cadmium, and lead) have been identified as strong [...] Read more.
Industrialization has resulted in a massive increase in garbage output, which is frequently discharged or stored in waterways like rivers and seas. Due to their toxicity, durability, bioaccumulation, and biomagnification, heavy metals (such as mercury, cadmium, and lead) have been identified as strong biological poisons. Their presence in the aquatic environment has the potential to affect water quality parameters and aquatic life in general. Teleosts’ histopathology provides a sensitive indicator of pollutant-induced stress, because their organs have a central role in the transformation of different active chemical compounds in the aquatic environment. In particular, the gills, kidneys, and liver are placed at the center of toxicological studies. The purpose of this study is to examine the morphological changes caused by heavy metals in the kidney and gills of Boops boops, with a focus on melanomacrophages centers (MMCs) and rodlet cells (RCs) as environmental biomarkers, using histological and histochemical stainings (hematoxylin/eosin, Van Gieson trichrome, Periodic Acid Schiff reaction, and Alcian Blue/PAS 2.5), and immunoperoxidase methods. Our findings show an increase of MMCs and RCs linked to higher exposure to heavy metals, confirming the role of these aggregates and cells as reliable biomarkers of potential aquatic environmental changes reflected in fish fauna. The cytological study of RCs and MMCs could be important in gaining a better understanding of the complicated immune systems of teleosts. Full article
(This article belongs to the Section Human Toxicology and Epidemiology)
Show Figures

Figure 1

17 pages, 1190 KB  
Review
Fibrotic Idiopathic Interstitial Lung Disease: The Molecular and Cellular Key Players
by Anna Valeria Samarelli, Roberto Tonelli, Alessandro Marchioni, Giulia Bruzzi, Filippo Gozzi, Dario Andrisani, Ivana Castaniere, Linda Manicardi, Antonio Moretti, Luca Tabbì, Stefania Cerri, Bianca Beghè, Massimo Dominici and Enrico Clini
Int. J. Mol. Sci. 2021, 22(16), 8952; https://doi.org/10.3390/ijms22168952 - 19 Aug 2021
Cited by 55 | Viewed by 11971
Abstract
Interstitial lung diseases (ILDs) that are known as diffuse parenchymal lung diseases (DPLDs) lead to the damage of alveolar epithelium and lung parenchyma, culminating in inflammation and widespread fibrosis. ILDs that account for more than 200 different pathologies can be divided into two [...] Read more.
Interstitial lung diseases (ILDs) that are known as diffuse parenchymal lung diseases (DPLDs) lead to the damage of alveolar epithelium and lung parenchyma, culminating in inflammation and widespread fibrosis. ILDs that account for more than 200 different pathologies can be divided into two groups: ILDs that have a known cause and those where the cause is unknown, classified as idiopathic interstitial pneumonia (IIP). IIPs include idiopathic pulmonary fibrosis (IPF), non-specific interstitial pneumonia (NSIP), cryptogenic organizing pneumonia (COP) known also as bronchiolitis obliterans organizing pneumonia (BOOP), acute interstitial pneumonia (AIP), desquamative interstitial pneumonia (DIP), respiratory bronchiolitis-associated interstitial lung disease (RB-ILD), and lymphocytic interstitial pneumonia (LIP). In this review, our aim is to describe the pathogenic mechanisms that lead to the onset and progression of the different IIPs, starting from IPF as the most studied, in order to find both the common and standalone molecular and cellular key players among them. Finally, a deeper molecular and cellular characterization of different interstitial lung diseases without a known cause would contribute to giving a more accurate diagnosis to the patients, which would translate to a more effective treatment decision. Full article
(This article belongs to the Special Issue Molecular Research on Fibrotic Interstitial Lung Diseases)
Show Figures

Figure 1

13 pages, 3136 KB  
Article
Directional Bilateral Asymmetry in Fish Otolith: A Potential Tool to Evaluate Stock Boundaries?
by Kélig Mahé, Kirsteen MacKenzie, Djamila Ider, Andrea Massaro, Oussama Hamed, Alba Jurado-Ruzafa, Patrícia Gonçalves, Aikaterini Anastasopoulou, Angelique Jadaud, Chryssi Mytilineou, Marine Randon, Romain Elleboode, Alaia Morell, Zouhir Ramdane, Joanne Smith, Karen Bekaert, Rachid Amara, Hélène de Pontual and Bruno Ernande
Symmetry 2021, 13(6), 987; https://doi.org/10.3390/sym13060987 - 1 Jun 2021
Cited by 26 | Viewed by 6955
Abstract
The otolith, found in both inner ears of bony fish, has mainly been used to estimate fish age. Another application that has been developing significantly in recent years, however, is the use of otolith shape as a tool for stock identification. Often, studies [...] Read more.
The otolith, found in both inner ears of bony fish, has mainly been used to estimate fish age. Another application that has been developing significantly in recent years, however, is the use of otolith shape as a tool for stock identification. Often, studies have directly used the shape asymmetry between the right and left otoliths. We tested the magnitude of directional asymmetry between the sagittal otoliths (left vs. right) of 2991 individuals according to their catch locations, and we selected species to evaluate whether directional asymmetry may itself be a tool to evaluate stock boundaries. Elliptical Fourier descriptors were used to describe the otolith shape. We used a flatfish, the common sole (Solea solea, n = 2431), from the eastern English Channel and the southern North Sea as well as a roundfish, the bogue (Boops boops, n = 560), from the Mediterranean Sea. Both species showed significant levels of directional asymmetry between the testing locations. The bogue otoliths showed significant asymmetry for only 5 out of 11 locations, with substantial separation between two large areas: the Algerian coast and the western part of the Italian coast. The sole otoliths showed significant asymmetry in the shape analysis (3.84–6.57%), suggesting a substantial separation between two large areas: the English and French parts of the English Channel and the southern North Sea. Consequently, directional bilateral asymmetry in otolith shape is a potential new method for stock identification. Full article
(This article belongs to the Special Issue Biological Symmetry Analysis)
Show Figures

Figure 1

25 pages, 1180 KB  
Article
Spatiotemporal Dynamics of Mediterranean Shallow Coastal Fish Communities along a Gradient of Marine Protection
by Anthony R. Marshak, Just Cebrian, Kenneth L. Heck, Crystal L. Hightower, Andrea M. Kroetz, Aaron Macy, Shanna Madsen, Trey Spearman and José-Luis Sánchez-Lizaso
Water 2020, 12(6), 1537; https://doi.org/10.3390/w12061537 - 28 May 2020
Cited by 3 | Viewed by 4213
Abstract
The importance of habitat factors in designing marine reserves and evaluating their performance over time has been regularly documented. Over three biennial sampling periods, we examined the effects of vegetated coverage and habitat diversity (i.e., patchiness) on fish density, community composition, and species-specific [...] Read more.
The importance of habitat factors in designing marine reserves and evaluating their performance over time has been regularly documented. Over three biennial sampling periods, we examined the effects of vegetated coverage and habitat diversity (i.e., patchiness) on fish density, community composition, and species-specific patterns along a gradient of protection from harvest in the shallow Spanish southern Mediterranean, including portions of the Tabarca marine reserve. With the exception of two herbivores (Sarpa salpa and Symphodus tinca), vegetated cover did not significantly affect fish densities, while habitat diversity was an influential factor across all three sampling periods. Overall, fish density was more positively associated with more continuous vegetated or unvegetated habitats, and was greatest in areas of highest protection (Tabarca II – Isla Nao site). These patterns were usually observed for four abundant fish species (Boops boops, Chromis chromis, Oblada melanura, and S. salpa). Fish community composition was distinct in the most protected portion of the Tabarca reserve, where it was also most stable. Our findings align with previous investigations of the Tabarca reserve and its surrounding areas, and demonstrate its continued effectiveness in conserving fish biomass and habitat. Together with effective management, marine reserves can facilitate greater species abundance, more stable biological communities, and resilient ecosystems. Full article
(This article belongs to the Special Issue Marine Biology: Biodiversity and Conservation)
Show Figures

Figure 1

17 pages, 1776 KB  
Article
Net Fisheries’ Métiers in the Eastern Mediterranean: Insights for Small-Scale Fishery Management on Kalymnos Island
by Kyriakoula Roditi and Dimitris Vafidis
Water 2019, 11(7), 1509; https://doi.org/10.3390/w11071509 - 21 Jul 2019
Cited by 11 | Viewed by 4836
Abstract
Small-scale fisheries constitute an important component of coastal human societies. The present study describes the small-scale net fisheries on Kalymnos Island (south-east Aegean Sea) that harbors the largest small-scale fleet in the eastern Mediterranean Sea. In addition, this study aims to evaluate their [...] Read more.
Small-scale fisheries constitute an important component of coastal human societies. The present study describes the small-scale net fisheries on Kalymnos Island (south-east Aegean Sea) that harbors the largest small-scale fleet in the eastern Mediterranean Sea. In addition, this study aims to evaluate their characteristics and economics. Relevant métiers were identified through a multivariate analysis by inputting the main resources and fishing gear data that were recorded during landings. Four main practices were observed being used as fishing gears, gillnets and trammel nets, targeting the species Mullus barbatus, Boops boops, Mullus surmuletus, Scorpaena porcus, and Sepia officinalis. Further analysis, which incorporated data concerning the type of the gear used, revealed 11 distinct métiers. Most of these métiers are practiced by other Mediterranean small-scale fisheries as well, in terms of target species, gear and seasonality. However, the métier that had its target species as B.boops is not practiced in other Mediterranean small-scale fisheries. The seasonal rotation of métiers was determined by the availability of different species rather than their market price. The results revealed the difference in fishing practice used by the fishermen in the study area compared to other fishing practices in the Mediterranean Sea. In particular, the fishermen of this study area targeted more species (B.boops) with a very low market price. They also provided essential information for the development and implementation of management plans aiming at the sustainability of small-scale fisheries. Full article
(This article belongs to the Special Issue Selected Papers from HydroMediT 2018)
Show Figures

Figure 1

Back to TopTop