Sign in to use this feature.

Years

Between: -

Subjects

remove_circle_outline
remove_circle_outline
remove_circle_outline
remove_circle_outline
remove_circle_outline

Journals

Article Types

Countries / Regions

Search Results (24)

Search Parameters:
Keywords = Bifidobacterium pseudolongum

Order results
Result details
Results per page
Select all
Export citation of selected articles as:
29 pages, 7064 KB  
Article
Effects of Mixed Fruits and Berries on Ameliorating Gut Microbiota and Hepatic Alterations Induced by Cafeteria Diet
by Rawan Al Hazaimeh, Louis Shackelford and Judith Boateng
Nutrients 2026, 18(2), 181; https://doi.org/10.3390/nu18020181 - 6 Jan 2026
Viewed by 311
Abstract
Background/Objectives: The study investigated the potential of mixed fruits and berries (MFB) as a dietary intervention to mitigate cafeteria (CAF) diet-induced gut microbiome dysbiosis and hepatic dysfunction associated with metabolic syndrome and steatohepatitis (MASH) in an adolescent rat model. Methods: Forty-eight adolescent male [...] Read more.
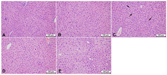
Background/Objectives: The study investigated the potential of mixed fruits and berries (MFB) as a dietary intervention to mitigate cafeteria (CAF) diet-induced gut microbiome dysbiosis and hepatic dysfunction associated with metabolic syndrome and steatohepatitis (MASH) in an adolescent rat model. Methods: Forty-eight adolescent male Sprague-Dawley rats (n = 3 cages per group (two rats per cage)) were divided into eight experimental groups, where NC received the normal AIN-93G basal diet, PC received the CAF diet and normal AIN-93G basal diet, T1 and T2 received MFB supplementation (3% and 6% levels) without CAF exposure, P1 and P2 received a MFB (3% and 6% levels) supplementation initiated at the onset of CAF feeding, and I1 and I2 received MFB supplementation initiated 2 weeks after CAF feeding. After 6 weeks, cecal 16S rRNA, hepatic histopathology, Oil Red O staining, and metabolic dysfunction-associated steatotic liver disease (MASLD)-related biomarkers (liver enzymes, alanine aminotransferase (ALT), and aspartate aminotransferase (AST)) were analyzed. Results: AST: ALT ratio was the highest in the PC group (3.63, p < 0.05) compared to the MFB groups. Oil Red O staining showed lower hepatic lipid accumulation, and histological analysis demonstrated a marked reduction in portal inflammatory cell infiltration in MFB. Alpha diversity (Simpson Index) decreased in PC (Kruskal–Wallis, p = 0.043). CAF increased Lactobacillus johnsonii (+75%, p < 0.05), while reducing L. murinus and L. intestinalis (~90%, p < 0.05). MFB supplementation restored Bifidobacterium Pseudolongum and increased Akkermansia muciniphila levels in the P2, I1, and I2 groups (~20-fold, p < 0.05). Bacteroides dorei was present in all groups except the PC group. These bacteria presented a positive correlation with key SCFAs. Conclusions: The results from this study indicated that MFB supplementation modulated gut microbiota composition and enhanced SCFA production, thereby strengthening intestinal barrier integrity and reducing gut-derived inflammation. Collectively, these effects attenuated hepatic lipid accumulation and inflammation, highlighting the potential of MFB to restore gut–liver axis homeostasis disrupted by CAF-induced dysbiosis in adolescent rats. Full article
Show Figures

Figure 1

20 pages, 8819 KB  
Article
Cholesterol-Lowering Mechanism of Lactobacillus Bile Salt Hydrolase Through Regulation of Bifidobacterium pseudolongum in the Gut Microbiota
by Yingying Liu, Weijia Kuang, Man Li, Zhihao Wang, Yanrong Liu, Menghuan Zhao, Hailin Huan and Yao Yang
Nutrients 2025, 17(18), 3019; https://doi.org/10.3390/nu17183019 - 22 Sep 2025
Cited by 2 | Viewed by 2638
Abstract
Background: Cardiovascular diseases (CVDs) represent a major global health burden, and cholesterol reduction is a key strategy for their prevention and management. This study investigated the mechanism by which bile salt hydrolase (BSH) from Lactobacilli reduces cholesterol levels by modulating the growth of [...] Read more.
Background: Cardiovascular diseases (CVDs) represent a major global health burden, and cholesterol reduction is a key strategy for their prevention and management. This study investigated the mechanism by which bile salt hydrolase (BSH) from Lactobacilli reduces cholesterol levels by modulating the growth of Bifidobacterium pseudolongum. Methods: The BSH-recombinant strain YB334 was administered to high-cholesterol-diet mice, and the cholesterol-lowering function of the strain was evaluated by assessing serum cholesterol parameters, including total cholesterol (TC), low-density lipoprotein (LDL) and high-density lipoprotein (HDL). Metagenomic sequencing was used to analyze the gut microbiota, leading to the screening and acquisition of the “responsive” strains affected by BSH. Subsequent investigations were conducted into their cholesterol-lowering effects and mechanisms of action. Results: Oral administration of the BSH-recombinant strain YB334 can effectively reduce serum cholesterol levels in hypercholesterolemic mice while simultaneously leading to a significant increase in the abundance of B. pseudolongum within the gut microbiota. In vitro experiments indicated that this increased abundance might be closely associated with the strain’s high tolerance to CA, the catalytic product of the BSH enzyme. The BPL-4 strain, obtained through screening, demonstrated cholesterol-lowering efficacy. Mechanistically, BPL-4 altered bile acid pool composition and modulated the farnesoid X receptor (FXR) signaling axis: it suppressed ileal FXR-fibroblast growth factor 15 (FGF15) expression, thereby de-repressing hepatic cholesterol 7α-hydroxylase (CYP7A1) and accelerating cholesterol catabolism into bile acids. Conclusions: This study provides the first evidence that BSH from lactobacilli can shape the signature gut microbiota by modulating bile acid metabolism via the FXR-CYP7A1 axis, thereby demonstrating a mechanism for its cholesterol-lowering effects. Full article
(This article belongs to the Special Issue Effect of Dietary Components on Gut Homeostasis and Microbiota)
Show Figures

Figure 1

13 pages, 4616 KB  
Article
Effect of Benzoic Acid on Nutrient Digestibility and Rectal Microbiota of Weaned Holstein Dairy Calves
by Haonan Dai, Dewei Du, Qi Huang, Jia Guo, Shujing Li, Wenli Yu, Zengyuan Zhao and Peng Sun
Animals 2025, 15(14), 2080; https://doi.org/10.3390/ani15142080 - 14 Jul 2025
Viewed by 1164
Abstract
Our previous study has shown that supplementation of 0.50% benzoic acid (BA) increased growth performance, promoted rumen fermentation, and improved the composition and function of rumen microbiota. This research was designed to conduct a deeper exploration of the impacts of dietary supplementation with [...] Read more.
Our previous study has shown that supplementation of 0.50% benzoic acid (BA) increased growth performance, promoted rumen fermentation, and improved the composition and function of rumen microbiota. This research was designed to conduct a deeper exploration of the impacts of dietary supplementation with BA on the apparent digestibility of nutrients and the composition of rectal microbiota in weaned Holstein dairy calves. Sixteen Holstein heifer calves with similar body weights (91.2 ± 0.7 kg) were selected and randomly allocated into two groups, each comprising eight calves. Calves in the control group (CON group) were fed with a basal diet, while those in the benzoic acid group (BA group) were fed with the basal diet supplemented with 0.50% benzoic acid (on a dry matter basis). The experimental period started at 60 days of age and ended at 102 days of age, lasting for a total of 42 days. The calves were weaned at 60 days of age, with a transition period of 7 days. Feed samples were collected every two weeks, fecal samples were collected from 99 to 101 days of age, and blood samples were collected at 102 days of age. The results showed that supplementation with BA did not influence the digestibility of dry matter, crude protein, ether extract, neutral detergent fiber, acid detergent fiber, calcium, and phosphorus between the two groups. Compared with the CON group, BA supplementation tended to decrease the total cholesterol (TC) in the serum of the calves (p = 0.067). Supplementation with BA increased the relative abundances of the two beneficial bacteria, Bifidobacterium and Bifidobacterium pseudolongum (p < 0.05, LDA > 2), but decreased that of the harmful bacterium, Clostridium sensu stricto 1, in the rectum of dairy calves. The microbial functional prediction revealed that the fecal microbial metabolism involved in primary bile acid biosynthesis was higher in the calves from the BA group. In conclusion, the present study demonstrated that adding 0.50% BA to the diet did not influence the apparent nutrient digestibility, but improved rectal microbiota health, which finally promoted the growth performance in weaned Holstein dairy calves. Full article
(This article belongs to the Section Animal Nutrition)
Show Figures

Figure 1

12 pages, 8239 KB  
Article
Bacteroides salyersiae Is a Candidate Probiotic Species with Potential Anti-Colitis Properties in the Human Colon: First Evidence from an In Vivo Mouse Model
by Wei Dai, Youjing Lv, Min Quan, Mingfeng Ma, Qingsen Shang and Guangli Yu
Nutrients 2024, 16(17), 2918; https://doi.org/10.3390/nu16172918 - 1 Sep 2024
Cited by 7 | Viewed by 3091
Abstract
Previous studies have indicated a critical role of intestinal bacteria in the pathogenesis of ulcerative colitis (UC). B. salyersiae is a commensal species from the human gut microbiota. However, what effect it has on UC development has not been investigated. In the present [...] Read more.
Previous studies have indicated a critical role of intestinal bacteria in the pathogenesis of ulcerative colitis (UC). B. salyersiae is a commensal species from the human gut microbiota. However, what effect it has on UC development has not been investigated. In the present study, we explored this issue and demonstrated for the first time that oral administration of B. salyersiae CSP6, a bacterium previously isolated from the fecal sample of a healthy individual, protected against dextran sulfate sodium (DSS)-induced colitis in C57BL/6J mice. In particular, B. salyersiae CSP6 improved mucosal damage and attenuated gut dysbiosis in the colon of DSS-fed mice. Specifically, B. salyersiae CSP6 decreased the population of pathogenic Escherichia-Shigella spp. and increased the abundance of probiotic Dubosiella spp. and Bifidobacterium pseudolongum. Additionally, by reshaping the colonic microbiota, B. salyersiae CSP6 remarkably increased the fecal concentrations of equol, 8-deoxylactucin, and tiglic acid, three beneficial metabolites that have been well documented to exert strong anti-inflammatory effects. Altogether, our study provides novel evidence that B. salyersiae is a candidate probiotic species with potential anti-colitis properties in the human colon, which has applications for the development of next-generation probiotics. Full article
Show Figures

Figure 1

14 pages, 3575 KB  
Article
Microbiome and Microbial Pure Culture Study Reveal Commensal Microorganisms Alleviate Salmonella enterica Serovar Pullorum Infection in Chickens
by Jianshen Zhu, Jinmei Ding, Kaixuan Yang, Hao Zhou, Wenhao Yang, Chao Qin, Liyuan Wang, Fuquan Xiao, Beibei Zhang, Qing Niu, Zhenxiang Zhou, Shengqing Yu, Qizhong Huang, Shaohui Wang and He Meng
Microorganisms 2024, 12(9), 1743; https://doi.org/10.3390/microorganisms12091743 - 23 Aug 2024
Cited by 1 | Viewed by 2261
Abstract
Pullorum disease, an intestinal disease in chickens caused by Salmonella enterica serovar pullorum (S. Pullorum), is a significant threat to the poultry industry and results in substantial economic losses. The bacteria’s transmission, both vertical and horizontal, makes it difficult to completely eliminate [...] Read more.
Pullorum disease, an intestinal disease in chickens caused by Salmonella enterica serovar pullorum (S. Pullorum), is a significant threat to the poultry industry and results in substantial economic losses. The bacteria’s transmission, both vertical and horizontal, makes it difficult to completely eliminate it. Control strategies for pullorum disease primarily involve stringent eradication programs that cull infected birds and employ antibiotics for treatment. However, eradication programs are costly, and antibiotic use is restricted. Therefore, developing alternative control strategies is essential. Increasingly, studies are focusing on modulating the gut microbiota to control intestinal diseases. Modulating the chicken gut microbiota may offer a novel strategy for preventing and controlling pullorum disease in poultry. However, the impact of S. Pullorum on the chicken gut microbiota has not been well established, prompting our exploration of the relationship between S. Pullorum and the chicken gut microbiota in this study. In this study, we initially analyzed the dynamic distribution of the gut microbiota in chickens infected with S. Pullorum. Alpha diversity analysis revealed a decrease in observed OTUs and the Shannon diversity index in the infected group, suggesting a reduction in the richness of the chicken gut microbiota due to S. Pullorum infection. Principal coordinate analysis (PCoA) showed distinct clusters between the gut microbiota of infected and uninfected groups, indicating S. Pullorum infection changed the chicken gut microbiota structure. Specifically, S. Pullorum infection enriched the relative abundance of the genera Escherichia-Shigella (65% in infected vs. 40.6% in uninfected groups) and Enterococcus (10.8% vs. 3.7%) while reducing the abundance of Lactobacillus (9.9% vs. 32%) in the chicken microbiota. Additionally, based on the observed changes in the chicken gut microbiota, we isolated microorganisms, including Bifidobacterium pseudolongum, Streptococcus equi and Lacticaseibacillus paracasei (L. paracasei), which were decreased by S. Pullorum infection. Notably, the L. paracasei Lp02 strain was found to effectively inhibit S. Pullorum proliferation in vitro and alleviate its infection in vivo. We found that S. Pullorum infection reduced the richness of the chicken gut microbiota and enriched the relative abundance of the genera Escherichia-Shigella and Enterococcus while decreasing the abundance of the anaerobic genus Lactobacillus. Furthermore, microbiota analysis enabled the isolation of several antimicrobial microorganisms from healthy chicken feces, with a L. paracasei strain notably inhibiting S. Pullorum proliferation in vitro and alleviating its infection in vivo. Overall, this research enhances our understanding of the interaction between gut microbiota and pathogen infection, as well as offers new perspectives and strategies for modulating the chicken gut microbiota to control pullorum disease. Full article
(This article belongs to the Section Gut Microbiota)
Show Figures

Figure 1

16 pages, 1531 KB  
Article
Supplementation of a High-Fat Diet with Pentadecylresorcinol Increases the Representation of Akkermansia muciniphila in the Mouse Small and Large Intestines and May Protect against Complications Caused by Imbalanced Nutrition
by Anastasia A. Zabolotneva, Ilya Yu. Vasiliev, Tatiana Grigoryeva, Andrei M. Gaponov, Vladimir P. Chekhonin, Sergei A. Roumiantsev and Aleksandr V. Shestopalov
Int. J. Mol. Sci. 2024, 25(12), 6611; https://doi.org/10.3390/ijms25126611 - 15 Jun 2024
Cited by 2 | Viewed by 2308
Abstract
Imbalanced nutrition, such as a high-fat/high-carbohydrate diet, is associated with negative effects on human health. The composition and metabolic activity of the human gut microbiota are closely related to the type of diet and have been shown to change significantly in response to [...] Read more.
Imbalanced nutrition, such as a high-fat/high-carbohydrate diet, is associated with negative effects on human health. The composition and metabolic activity of the human gut microbiota are closely related to the type of diet and have been shown to change significantly in response to changes in food content and food supplement administration. Alkylresorcinols (ARs) are lipophilic molecules that have been found to improve lipid metabolism and glycemic control and decrease systemic inflammation. Furthermore, alkylresorcinol intake is associated with changes in intestinal microbiota metabolic activity. However, the exact mechanism through which alkylresorcinols modulate microbiota activity and host metabolism has not been determined. In this study, alterations in the small intestinal microbiota (SIM) and the large intestinal microbiota (LIM) were investigated in mice fed a high-fat diet with or without pentadecylresorcinol (C15) supplementation. High-throughput sequencing was applied for jejunal and colonic microbiota analysis. The results revealed that C15 supplementation in combination with a high-fat diet could decrease blood glucose levels. High-throughput sequencing analysis indicated that C15 intake significantly increased (p < 0.0001) the abundance of the probiotic bacteria Akkermansia muciniphila and Bifidobacterium pseudolongum in both the small and large intestines and increased the alpha diversity of LIM (p < 0.05), but not SIM. The preliminary results suggested that one of the mechanisms of the protective effects of alkylresorcinol on a high-fat diet is the modulation of the content of SIM and LIM and metabolic activity to increase the probiotic bacteria that alleviate unhealthy metabolic changes in the host. Full article
(This article belongs to the Topic Microbes and Their Products for Sustainable Human Life)
Show Figures

Figure 1

19 pages, 7330 KB  
Article
Diversity Analysis of Intestinal Bifidobacteria in the Hohhot Population
by Shuying Yang, Su Wu, Feiyan Zhao, Zhixin Zhao, Xin Shen, Xia Yu, Meng Zhang, Fang Wen, Zhihong Sun and Bilige Menghe
Microorganisms 2024, 12(4), 756; https://doi.org/10.3390/microorganisms12040756 - 9 Apr 2024
Viewed by 2185
Abstract
(1) Background: Bifidobacterium plays a pivotal role within the gut microbiota, significantly affecting host health through its abundance and composition in the intestine. Factors such as age, gender, and living environment exert considerable influence on the gut microbiota, yet scant attention has been [...] Read more.
(1) Background: Bifidobacterium plays a pivotal role within the gut microbiota, significantly affecting host health through its abundance and composition in the intestine. Factors such as age, gender, and living environment exert considerable influence on the gut microbiota, yet scant attention has been directed towards understanding the specific effects of these factors on the Bifidobacterium population. Therefore, this study focused on 98 adult fecal samples to conduct absolute and relative quantitative analyses of bifidobacteria. (2) Methods: Using droplet digital PCR and the PacBio Sequel II sequencing platform, this study sought to determine the influence of various factors, including living environment, age, and BMI, on the absolute content and biodiversity of intestinal bifidobacteria. (3) Results: Quantitative results indicated that the bifidobacteria content in the intestinal tract ranged from 106 to 109 CFU/g. Notably, the number of bifidobacteria in the intestinal tract of the school population surpassed that of the off-campus population significantly (p = 0.003). Additionally, the group of young people exhibited a significantly higher count of bifidobacteria than the middle-aged and elderly groups (p = 0.041). The normal-weight group displayed a significantly higher bifidobacteria count than the obese group (p = 0.027). Further analysis of the relative abundance of bifidobacteria under different influencing factors revealed that the living environment emerged as the primary factor affecting the intestinal bifidobacteria structure (p = 0.046, R2 = 2.411). Moreover, the diversity of bifidobacteria in the intestinal tract of college students surpassed that in the out-of-school population (p = 0.034). This was characterized by a notable increase in 11 strains, including B. longum, B. bifidum, and B. pseudolongum, in the intestinal tract of college students, forming a more intricate intestinal bifidobacteria interaction network. (4) Conclusions: In summary, this study elucidated the principal factors affecting intestinal bifidobacteria and delineated their characteristics of intestinal bifidobacteria in diverse populations. By enriching the theory surrounding gut microbiota and health, this study provides essential data support for further investigations into the intricate dynamics of the gut microbiota. Full article
(This article belongs to the Section Food Microbiology)
Show Figures

Figure 1

19 pages, 16596 KB  
Article
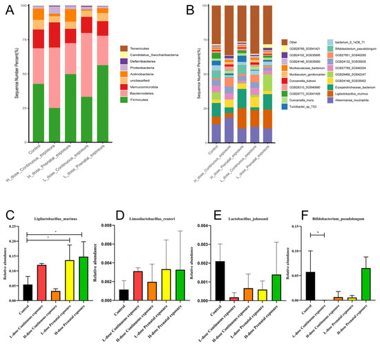
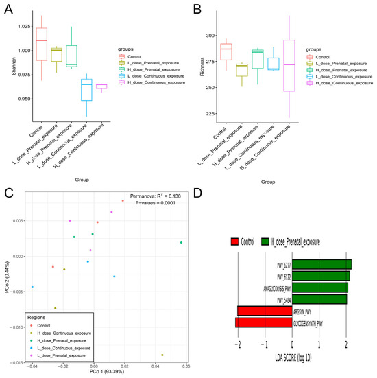
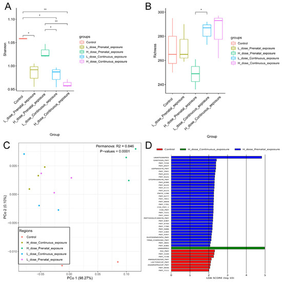
Effects of Varied Sulfamethazine Dosage and Exposure Durations on Offspring Mice
by Hongchao Wang, Danting Dang, Leilei Zhu, Mingluo Pan, Jinlin Zhu, Wenwei Lu, Shourong Lu and Jianxin Zhao
Microorganisms 2024, 12(2), 381; https://doi.org/10.3390/microorganisms12020381 - 13 Feb 2024
Cited by 2 | Viewed by 2093
Abstract
The development of antibiotics was a turning point in the history of medicine; however, their misuse and overuse have contributed to the current global epidemic of antibiotic resistance. According to epidemiological studies, early antibiotic exposure increases the risk of immunological and metabolic disorders. [...] Read more.
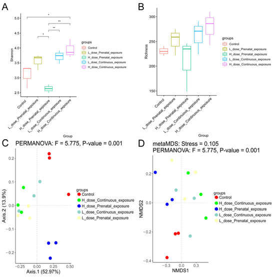
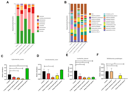
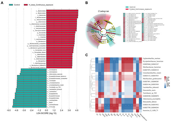
The development of antibiotics was a turning point in the history of medicine; however, their misuse and overuse have contributed to the current global epidemic of antibiotic resistance. According to epidemiological studies, early antibiotic exposure increases the risk of immunological and metabolic disorders. This study investigated the effects of exposure to different doses of sulfamethazine (SMZ) on offspring mice and compared the effects of exposure to SMZ on offspring mice in prenatal and early postnatal periods and continuous periods. Furthermore, the effects of SMZ exposure on the gut microbiota of offspring mice were analyzed using metagenome. According to the results, continuous exposure to high-dose SMZ caused weight gain in mice. IL-6, IL-17A, and IL-10 levels in the female offspring significantly increased after high-dose SMZ exposure. In addition, there was a significant gender difference in the impact of SMZ exposure on the gut microbiota of offspring: Continuous high-dose SMZ exposure significantly decreased the relative abundance of Ligilactobacillus murinus, Limosilactobacillus reuteri, Lactobacillus johnsonii, and Bifidobacterium pseudolongum (p < 0.05) in female offspring mice; however, these significant changes were not observed in male offspring mice. Full article
(This article belongs to the Section Antimicrobial Agents and Resistance)
Show Figures

Figure 1

20 pages, 5037 KB  
Article
Rifaximin Ameliorates Loperamide-Induced Constipation in Rats through the Regulation of Gut Microbiota and Serum Metabolites
by Mei Luo, Peiwei Xie, Xuehong Deng, Jiahui Fan and Lishou Xiong
Nutrients 2023, 15(21), 4502; https://doi.org/10.3390/nu15214502 - 24 Oct 2023
Cited by 12 | Viewed by 4498
Abstract
Structural changes in the gut microbiota are closely related to the development of functional constipation, and regulating the gut microbiota can improve constipation. Rifaximin is a poorly absorbed antibiotic beneficial for regulating gut microbiota, but few studies have reported its effects on constipation. [...] Read more.
Structural changes in the gut microbiota are closely related to the development of functional constipation, and regulating the gut microbiota can improve constipation. Rifaximin is a poorly absorbed antibiotic beneficial for regulating gut microbiota, but few studies have reported its effects on constipation. The purpose of this study was to investigate the effect of rifaximin on loperamide-induced constipation in SD rats. The results showed that rifaximin improved constipation by increasing serum 5-HT, SP, and the mRNA expression of AQP3, AQP8, and reducing the mRNA expression of TLR2 and TLR4. In addition, rifaximin could regulate the gut microbiota of constipated rats, such as increasing the potentially beneficial bacteria Akkermansia muciniphila and Lactobacillus murinus, reducing the Bifidobacterium pseudolongum. According to metabolomics analysis, many serum metabolites, including bile acids and steroids, were changed in constipated rats and were recovered via rifaximin intervention. In conclusion, rifaximin might improve loperamide-induced constipation in rats by increasing serum excitatory neurotransmitters and neuropeptides, modulating water metabolism, and facilitating intestinal inflammation. Muti-Omics analysis results showed that rifaximin has beneficial regulatory effects on the gut microbiota and serum metabolites in constipated rats, which might play critical roles in alleviating constipation. This study suggests that rifaximin might be a potential strategy for treating constipation. Full article
(This article belongs to the Special Issue Prebiotics, Probiotics, and Gut Microbiota with Chronic Disease)
Show Figures

Figure 1

16 pages, 2082 KB  
Article
Use of an Innovative Silage of Agro-Industrial Waste By-Products in Pig Nutrition: A Pilot Study of Its Effects on the Pig Gastrointestinal Microbiota
by Ioannis Skoufos, Aikaterini Nelli, Brigkita Venardou, Ilias Lagkouvardos, Ilias Giannenas, Georgios Magklaras, Christos Zacharis, Lizhi Jin, Jin Wang, Evangelia Gouva, Stylianos Skoufos, Eleftherios Bonos and Athina Tzora
Microorganisms 2023, 11(7), 1723; https://doi.org/10.3390/microorganisms11071723 - 30 Jun 2023
Cited by 5 | Viewed by 2593
Abstract
The aim of this study was to evaluate whether dietary supplementation with an innovative silage (IS) created using 60% olive mill waste, 20% grape pomace, and 20% deproteinised feta cheese waste solids can modulate the composition of the intestinal microbiota in weaned (Exp. [...] Read more.
The aim of this study was to evaluate whether dietary supplementation with an innovative silage (IS) created using 60% olive mill waste, 20% grape pomace, and 20% deproteinised feta cheese waste solids can modulate the composition of the intestinal microbiota in weaned (Exp. 1) and finishing (Exp. 2) pigs. In Exp. 1 (40 day supplementation), forty-five crossbred weaned pigs were randomly assigned to the 0% (Control), 5%, or 10% IS groups (15 replicates/experimental diet). In Exp. 2 (60 day supplementation), eighteen finishing pigs from Exp. 1 were fed the control diet for 8 weeks before being re-assigned to their original experimental groups and fed with the 0% (Control), 5%, or 10% IS diets (six replicates/experimental diet). Performance parameters were recorded. Ileal and caecal digesta and mucosa were collected at the end of each experiment for microbiota analysis using 16S rRNA gene sequencing (five pigs/experimental diet for Exp. 1 and six pigs/experimental diet for Exp. 2). No significant effects on pig growth parameters were observed in both experiments. In Exp. 1, 5% IS supplementation increased the relative abundance of the Prevotellaceae family, Coprococcus genus, and Alloprevotella rava (OTU_48) and reduced the relative abundance of Lactobacillus genus in the caecum compared to the control and/or 10% IS diets (p < 0.05). In Exp. 2, 5% IS supplementation led to compositionally more diverse and different ileal and caecal microbiota compared to the control group (p < 0.05; p = 0.066 for β-diversity in ileum). Supplementation with the 5% IS increased the relative abundance of Clostridium celatum/disporicum/saudiense (OTU_3) in the ileum and caecum and Bifidobacterium pseudolongum (OTU_17) in the caecum and reduced the relative abundance of Streptococcus gallolyticus/alactolyticus (OTU_2) in the caecum compared to the control diet (p < 0.05). Similar effects on C. celatum/disporicum/saudiense and S. gallolyticus/alactolyticus were observed with the 10% IS diet in the caecum (p < 0.05). IS has the potential to beneficially alter the composition of the gastrointestinal microbiota in pigs. Full article
(This article belongs to the Special Issue Gastrointestinal Microbiome in Animals)
Show Figures

Figure 1

17 pages, 3537 KB  
Article
Tamarind Xyloglucan Oligosaccharides Attenuate Metabolic Disorders via the Gut–Liver Axis in Mice with High-Fat-Diet-Induced Obesity
by Chun-Hua Zhu, Yan-Xiao Li, Yun-Cong Xu, Nan-Nan Wang, Qiao-Juan Yan and Zheng-Qiang Jiang
Foods 2023, 12(7), 1382; https://doi.org/10.3390/foods12071382 - 24 Mar 2023
Cited by 20 | Viewed by 3948
Abstract
Functional oligosaccharides exert obesity-reducing effects by acting at various pathological sites responsible for the development of obesity. In this study, tamarind xyloglucan oligosaccharides (TXOS) were used to attenuate metabolic disorders via the gut–liver axis in mice with high-fat-diet (HFD)-induced obesity, as determined through [...] Read more.
Functional oligosaccharides exert obesity-reducing effects by acting at various pathological sites responsible for the development of obesity. In this study, tamarind xyloglucan oligosaccharides (TXOS) were used to attenuate metabolic disorders via the gut–liver axis in mice with high-fat-diet (HFD)-induced obesity, as determined through LC/MS-MS and 16S rRNA sequencing technology. A TXOS dose equivalent to 0.39 g/kg/day in humans restored the gut microbiota in obese mice, which was in part supported by the key microflora, particularly Bifidobacterium pseudolongum. Moreover, TXOS reduced the abundance of opportunistic pathogen species, such as Klebsiella variicola and Romboutsia ilealis. The bodyweight and weight gain of TXOS-treated (4.8 g/kg per day) mice began to decrease at the 14th week, decreasing by 12.8% and 23.3%, respectively. Sixteen fatty acids were identified as potential biomarkers in the liver, and B. pseudolongum and caprylic acid were found to tightly regulate each other. This was associated with reduced inflammation in the liver, circulation, and adipose tissue and protection from metabolic disorders. The findings of this study indicate that TXOS can significantly increase the gut microbiota diversity of obese mice and restore the HFD-induced dysbiosis of gut microbiota. Full article
(This article belongs to the Section Food Nutrition)
Show Figures

Figure 1

22 pages, 1460 KB  
Article
Impact of Dietary Arachidonic Acid on Gut Microbiota Composition and Gut–Brain Axis in Male BALB/C Mice
by Katleen Pinchaud, Zeeshan Hafeez, Sandrine Auger, Jean-Marc Chatel, Sead Chadi, Philippe Langella, Justine Paoli, Annie Dary-Mourot, Katy Maguin-Gaté and Jean Luc Olivier
Nutrients 2022, 14(24), 5338; https://doi.org/10.3390/nu14245338 - 15 Dec 2022
Cited by 11 | Viewed by 4254
Abstract
Although arachidonic acid (ARA) is the precursor of the majority of eicosanoids, its influence as a food component on health is not well known. Therefore, we investigated its impact on the gut microbiota and gut–brain axis. Groups of male BALB/c mice were fed [...] Read more.
Although arachidonic acid (ARA) is the precursor of the majority of eicosanoids, its influence as a food component on health is not well known. Therefore, we investigated its impact on the gut microbiota and gut–brain axis. Groups of male BALB/c mice were fed either a standard diet containing 5% lipids (Std-ARA) or 15%-lipid diets without ARA (HL-ARA) or with 1% ARA (HL + ARA) for 9 weeks. Fatty acid profiles of all three diets were the same. The HL-ARA diet favored the growth of Bifidobacterium pseudolongum contrary to the HL + ARA diet that favored the pro-inflammatory Escherichia–Shigella genus in fecal microbiota. Dietary ARA intake induced 4- and 15-fold colic overexpression of the pro-inflammatory markers IL-1β and CD40, respectively, without affecting those of TNFα and adiponectin. In the brain, dietary ARA intake led to moderate overexpression of GFAP in the hippocampus and cortex. Both the hyperlipidic diets reduced IL-6 and IL-12 in the brain. For the first time, it was shown that dietary ARA altered the gut microbiota, led to low-grade colic inflammation, and induced astrogliosis in the brain. Further work is necessary to determine the involved mechanisms. Full article
(This article belongs to the Special Issue The Effects of Dietary Lipids on Inflammation and Gut Microbiota)
Show Figures

Figure 1

34 pages, 6595 KB  
Article
Dietary Supplementation with Black Raspberries Altered the Gut Microbiome Composition in a Mouse Model of Colitis-Associated Colorectal Cancer, although with Differing Effects for a Healthy versus a Western Basal Diet
by Daphne M. Rodriguez, Korry J. Hintze, Giovanni Rompato, Arnaud J. Van Wettere, Robert E. Ward, Sumira Phatak, Canyon Neal, Tess Armbrust, Eliza C. Stewart, Aaron J. Thomas and Abby D. Benninghoff
Nutrients 2022, 14(24), 5270; https://doi.org/10.3390/nu14245270 - 10 Dec 2022
Cited by 18 | Viewed by 4196
Abstract
Black raspberries (BRB) are rich in anthocyanins with purported anti-inflammatory properties. However, it is not known whether dietary supplementation would ameliorate Western-diet enhanced gut inflammation and colon tumorigenesis. We employed a mouse model of colitis-associated colorectal cancer (CAC) to determine the effects of [...] Read more.
Black raspberries (BRB) are rich in anthocyanins with purported anti-inflammatory properties. However, it is not known whether dietary supplementation would ameliorate Western-diet enhanced gut inflammation and colon tumorigenesis. We employed a mouse model of colitis-associated colorectal cancer (CAC) to determine the effects of dietary supplementation with 5 to 10% (w/w) whole, freeze-dried BRB in male C57BL/6J mice fed either a standard healthy diet (AIN93G) or the total Western diet (TWD). In a pilot study, BRB suppressed colitis and colon tumorigenesis while also shifting the composition of the fecal microbiome in favor of taxa with purported health benefits, including Bifidobacterium pseudolongum. In a follow-up experiment using a 2 × 2 factorial design with AIN and TWD basal diets with and without 10% (w/w) BRB, supplementation with BRB reduced tumor multiplicity and increased colon length, irrespective of the basal diet, but it did not apparently affect colitis symptoms, colon inflammation or mucosal injury based on histopathological findings. However, BRB intake increased alpha diversity, altered beta diversity and changed the relative abundance of Erysipelotrichaceae, Bifidobacteriaceae, Streptococcaceae, Rikenellaceae, Ruminococcaceae and Akkermansiaceae, among others, of the fecal microbiome. Notably, changes in microbiome profiles were inconsistent with respect to the basal diet consumed. Overall, these studies provide equivocal evidence for in vivo anti-inflammatory effects of BRB on colitis and colon tumorigenesis; yet, BRB supplementation led to dynamic changes in the fecal microbiome composition over the course of disease development. Full article
(This article belongs to the Section Phytochemicals and Human Health)
Show Figures

Figure 1

14 pages, 3094 KB  
Article
Effects of High-Fat Diet on the Gut Microbiota of Renalase Gene Knockout Mice
by Hui Fang, Kai Aoki, Katsuyuki Tokinoya, Masato Yonamine, Takehito Sugasawa, Yasushi Kawakami and Kazuhiro Takekoshi
Obesities 2022, 2(3), 303-316; https://doi.org/10.3390/obesities2030025 - 9 Sep 2022
Cited by 2 | Viewed by 4250
Abstract
Metabolic diseases caused by gene and unhealthy living habits are increasing, which seriously threaten the life of people worldwide. Moreover, the microbiome has been shown to play an active role in the prevention and treatment of metabolic diseases. However, reliable evidence on renalase [...] Read more.
Metabolic diseases caused by gene and unhealthy living habits are increasing, which seriously threaten the life of people worldwide. Moreover, the microbiome has been shown to play an active role in the prevention and treatment of metabolic diseases. However, reliable evidence on renalase gene (Rnls), as a common gene related to metabolic diseases, is still lacking with regard to the influence on the microbiome. Hence, we investigated the effect of a normal diet (ND) and a high-fat diet (HFD) on the gut microbiota of Rnls knockout (Rnls−/−) and wild-type (Rnls+/+) mice. At the end of the 8-week experiment, DNA samples were extracted from fresh feces, and the composition of microbiota was profiled. The species in Rnls+/+-ND group were Bifidobacterium pseudolongum and Lactobacillus reuteri. Conversely, the species in Rnls−/−-ND group belonged to the genera Lactobacillus and Turicibacter. The HFD changed the ratio of Firmicutes/Bacteroidetes; while the bacteria in the Rnls+/+-HFD and Rnls−/−-HFD groups were different. Overall, this study not only revealed the composition of microbiota in Rnls−/− mice, but also indicated that Rnls and the bacteria related to Rnls may be new candidates in the prevention and diagnosis of metabolic diseases at an early stage. Full article
(This article belongs to the Topic Metabolism and Health)
Show Figures

Figure 1

16 pages, 2959 KB  
Article
Addition of Prebiotics to the Ketogenic Diet Improves Metabolic Profile but Does Not Affect Seizures in a Rodent Model of Infantile Spasms Syndrome
by Chunlong Mu, Angela Pochakom, Raylene A. Reimer, Anamika Choudhary, Melinda Wang, Jong M. Rho, Morris H. Scantlebury and Jane Shearer
Nutrients 2022, 14(11), 2210; https://doi.org/10.3390/nu14112210 - 26 May 2022
Cited by 10 | Viewed by 4484
Abstract
The ketogenic diet (KD) is an effective treatment for infantile spasms syndrome (IS). However, the KD has implications for somatic growth, development, and the gut microbiota. The impact of incorporating a prebiotic fiber (PRE, oligofructose-enriched inulin, 0.8 g/dL) into a KD diet on [...] Read more.
The ketogenic diet (KD) is an effective treatment for infantile spasms syndrome (IS). However, the KD has implications for somatic growth, development, and the gut microbiota. The impact of incorporating a prebiotic fiber (PRE, oligofructose-enriched inulin, 0.8 g/dL) into a KD diet on spasms, developmental milestones, fecal gut microbiota, metabolites, and hippocampal mitochondrial metabolism were examined. Following IS induction, animals were randomized to KD or KD + PRE diets. A third group without IS and suckled by dams was included as a normally developing reference group (R). PRE inclusion decreased ketones and increased circulating glucose levels but had no impact on spasms. In the liver, PRE increased triglyceride concentrations, decreased carnitine levels, and downregulated genes encoding enzymes responsible for ketogenesis. In the hippocampus, PRE increased glutathione levels but did not affect the maximal respiratory capacity of mitochondria. Analysis of the gut microbiota showed that KD + PRE increased microbial richness and the relative abundance of Bifidobacterium pseudolongum and Lactobacillus johnsonii. No differences in developmental milestones (i.e., surface righting, negative geotaxis, and open field behavior) were observed between KD and KD + PRE, except for ultrasonic vocalizations that were more frequent in KD + PRE. In summary, PRE did not impact spasms or developmental outcomes, but was effective in improving both metabolic parameters and gut microbiota diversity. Full article
(This article belongs to the Special Issue Ketogenic Diet and Metabolism)
Show Figures

Graphical abstract

Back to TopTop