-
Nerve at Risk: A Narrative Review of Surgical Nerve Injuries in Urological Practice -
Drawing the Surgical Blueprint: Evaluating ChatGPT Versus Gemini Across Diverse Plastic Aesthetic Procedures -
Chronic Rhinosinusitis: A Multifaceted Burden on Patients and Society—A Systematic Review -
High Fusion Rates with Structured Titanium TLIF Cages: A Retrospective 1-Year Study with and Without Adjacent Level Dynamic Stabilization
Journal Description
Surgeries
Surgeries
is an international, peer-reviewed, open access journal on findings and developments in surgery published quarterly online by MDPI. The Academy of Surgical Research (ASR) and the Italian Society of Hand Surgery (SICM) are affiliated with Surgeries and their members receive discounts on the article processing charges.
- Open Access— free for readers, with article processing charges (APC) paid by authors or their institutions.
- High Visibility: indexed within ESCI (Web of Science), Scopus, and other databases.
- Rapid Publication: manuscripts are peer-reviewed and a first decision is provided to authors approximately 18.9 days after submission; acceptance to publication is undertaken in 5.7 days (median values for papers published in this journal in the first half of 2025).
- Recognition of Reviewers: APC discount vouchers, optional signed peer review, and reviewer names published annually in the journal.
Impact Factor:
1.1 (2024);
5-Year Impact Factor:
1.0 (2024)
Latest Articles
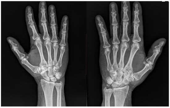
Surgical Management of Bilateral Trapeziometacarpal Arthritis: Suspension Arthroplasty and Dual Mobility Prosthesis in the Same Patient, Treated at the Same Time
Surgeries 2025, 6(4), 109; https://doi.org/10.3390/surgeries6040109 (registering DOI) - 6 Dec 2025
Abstract
Background: Trapeziometacarpal osteoarthritis (TMC OA) is a prevalent degenerative disorder that causes considerable pain and functional limitations, especially in older individuals, whose ideal treatment is still debated in the literature. Various treatments are described to restore a good functional outcome of the thumb;
[...] Read more.
Background: Trapeziometacarpal osteoarthritis (TMC OA) is a prevalent degenerative disorder that causes considerable pain and functional limitations, especially in older individuals, whose ideal treatment is still debated in the literature. Various treatments are described to restore a good functional outcome of the thumb; over the past 50 years, biological arthroplasties have been considered the gold standard for treating advanced stages of TMC OA. However, in the last decade, the use of dual mobility cup prostheses has significantly increased, with numerous studies reporting excellent clinical outcomes. In this case report, we show the results of a patient treated on the left hand with suspension arthroplasty and on his right hand with dual mobility arthroplasty in one-stage surgery. The aim of this case report is to directly compare outcomes between trapeziometacarpal prosthesis and suspension arthroplasty performed simultaneously in the same patient. Case Presentation: The present case reports a 71-year-old male patient with bilateral TMC osteoarthritis, referred to our clinic in May 2024. His medical history included hypertension, hypertriglyceridemia, paroxysmal atrial fibrillation, and benign prostatic hyperplasia. On examination, the right hand showed grade 3 osteoarthritis according to the Eaton–Littler classification, with the trapezium maintaining adequate bone stock, making the patient eligible for trapeziometacarpal prosthesis implantation. Conversely, the left hand demonstrated scaphotrapezoid arthritis with a slight reduction in trapezial bone stock, indicating the need for trapeziectomy followed by suspension arthroplasty. Both procedures were performed during the same surgical session by the same experienced hand surgeon using a lateral approach. On the right side, the trapeziometacarpal joint surfaces were resected and replaced with a dual mobility prosthesis, while on the left side, the trapezium was excised, and suspension arthroplasty was performed using a slip of the flexor carpi radialis (FCR) tendon. Methods: The patient underwent simultaneous treatment with a dual mobility trapeziometacarpal prosthesis on the right hand and trapeziectomy with suspension arthroplasty on the left hand. Clinical outcomes (grip and pinch strength, pain, QuickDASH, satisfaction, and range of motion) were evaluated at 1, 3, 6, and 12 months. Paired comparative statistics were applied with significance set at p < 0.05. Results: At all follow-up intervals (1, 3, 6, and 12 months), the hand treated with a trapeziometacarpal prosthesis demonstrated superior grip and pinch strength compared to the hand treated with trapeziectomy and suspension arthroplasty, with the greatest difference observed at 3 months. At 12 months, grip strength increased from 28 kg to 40 kg in the prosthesis-treated hand and from 25 kg to 33 kg in the suspension arthroplasty hand. Paired comparisons were performed at each follow-up interval up to 12 months, confirming a significant difference for grip strength. Pain levels (VAS, Visual Analogue Scale) decreased progressively in both hands, with a more rapid reduction in the hand treated with a trapeziometacarpal prosthesis, reaching statistical significance. QuickDASH scores indicated an earlier return to daily activities in the hand treated with the prosthesis, although this difference was not statistically significant. Patient satisfaction was consistently higher for the hand treated with a trapeziometacarpal prosthesis, with the patient reporting a ‘very satisfied’ rating at all timepoints. Range of motion recovery, assessed through the Kapandji score and measurements of thumb abduction and extension, also favored the hand treated with the prosthesis, with statistically significant differences for abduction and extension, whereas the hand treated with trapeziectomy and suspension arthroplasty demonstrated more gradual improvement over time. Conclusions: This case highlights the functional efficacy of both surgical approaches—biological arthroplasty and trapeziometacarpal prosthesis—in the treatment of TMC osteoarthritis. Both procedures resulted in a good clinical outcome and high patient satisfaction. However, recovery was noticeably faster in the hand treated with a trapeziometacarpal prosthesis, which is consistent with findings previously reported in the literature. These observations suggest that, while both techniques are valid and effective, trapeziometacarpal prosthetic replacement may offer a quicker return to function in appropriately selected patients.
Full article
(This article belongs to the Section Hand Surgery and Research)
►
Show Figures
Open AccessReview
Comprehensive Overview of Current Pleural Drainage Practice: A Tactical Guide for Surgeons and Clinicians
by
Paolo Albino Ferrari, Cosimo Bruno Salis, Elisabetta Pusceddu, Massimiliano Santoru, Gianluca Canu, Antonio Ferrari, Alessandro Giuseppe Fois and Antonio Maccio
Surgeries 2025, 6(4), 108; https://doi.org/10.3390/surgeries6040108 - 2 Dec 2025
Abstract
Introduction: Chest drainage is central to thoracic surgery, pleural medicine, and emergency care, yet practice remains heterogeneous in tube caliber, access, suction, device selection, and removal thresholds. This narrative review aims to synthesize evidence and translate it into guidance. Materials and Methods: We
[...] Read more.
Introduction: Chest drainage is central to thoracic surgery, pleural medicine, and emergency care, yet practice remains heterogeneous in tube caliber, access, suction, device selection, and removal thresholds. This narrative review aims to synthesize evidence and translate it into guidance. Materials and Methods: We performed a narrative review with PRISMA-modeled transparency. Using backward citation from recent comprehensive overviews, we included randomized trials, meta-analyses, guidelines/consensus statements, and high-quality observational studies. We extracted data on indications, technique, tube size, analog versus digital drainage, suction versus water-seal drainage, removal criteria, and key pleural conditions. Due to heterogeneity in device generations, suction targets, and outcomes, we synthesized the findings qualitatively according to converged evidence. Results: After lung resection, single-drain strategies, early use of water-seal, and standardized removal at ≤300–500 mL/day reduce pain and length of stay without increasing the need for reintervention; digital systems support objective removal using sustained low-flow thresholds (approximately 20–40 mL/min). Small-bore (≤14 Fr) Seldinger catheters perform comparably to larger tubes for secondary and primary pneumothorax and enable ambulatory pathways. In trauma, small-bore approaches can match large-bore drainage in stable patients when paired with surveillance and early escalation of care. For pleural infection, image-guided drainage, combined with fibrinolytics or surgery, is key. Indwelling pleural catheters provide relief comparable to talc in dyspnea associated with malignant effusions in patients with non-expandable lungs. Complications are mitigated by ultrasound guidance and avoiding abrupt high suction after chronic collapse; however, these strategies must be balanced against risks of malposition, occlusion or retained collections, prolonged air leaks, and device complexity, which demand protocolized escalation and team training. Conclusions: Practice coalesces around three pillars—right tube, right system, proper criteria. Adopt standardized pathways, device-agnostic thresholds, and volume or airflow criteria. Trials should harmonize “seal” definitions and validate telemetry-informed removal strategies.
Full article
Open AccessCase Report
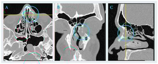
Endoscopic Management of an Inflammatory Lesion Suspected of Being a Brown Tumor of the Frontal Process of the Maxilla—Case Report
by
Tomasz Marecik, Michał Gontarz, Krzysztof Gąsiorowski, Jakub Bargiel and Grażyna Wyszyńska-Pawelec
Surgeries 2025, 6(4), 107; https://doi.org/10.3390/surgeries6040107 - 2 Dec 2025
Abstract
►▼
Show Figures
The study reports a diagnostic challenge involving an inflammatory lesion mimicking a brown tumor. A 23-year-old male patient was referred for treatment of a cystic lesion in the left frontal process of the maxilla and ethmoid region. The leading symptoms were hemoptysis and
[...] Read more.
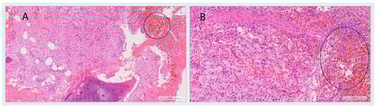
The study reports a diagnostic challenge involving an inflammatory lesion mimicking a brown tumor. A 23-year-old male patient was referred for treatment of a cystic lesion in the left frontal process of the maxilla and ethmoid region. The leading symptoms were hemoptysis and chronic sinus inflammation. Endoscopic surgery was performed under general anesthesia, including curettage and drainage of the lesion into the middle nasal meatus. Histopathological examination revealed chronic inflammatory and fibrotic changes with hemosiderin deposits and CD68(+) histiocytes, findings that could suggest a brown tumor. However, subsequent laboratory investigations excluded this diagnosis. Postoperative healing was uneventful, with complete resolution of symptoms. This report highlights the importance of distinguishing inflammatory from metabolic bone lesions in the paranasal sinuses and underscores the critical role of histopathological evaluation in differentiating true neoplasms from inflammatory pseudotumors.
Full article

Figure 1
Open AccessArticle
Minimally Invasive Subcutaneous Adipose Tissue Biopsy in a Nonhuman Primate Model: Approach and Outcomes
by
Cheyenna M. Espinoza, Cole Myers, Scott H. Oppler, Laura Hocum Stone, Davis Seelig, Parthasarathy Rangarajan, Sabarinathan Ramachandran and Melanie L. Graham
Surgeries 2025, 6(4), 106; https://doi.org/10.3390/surgeries6040106 - 26 Nov 2025
Abstract
►▼
Show Figures
Background/Objectives: Adipose tissue (AT) plays significant roles in energy storage, metabolite signaling, and immunomodulation. The understanding of its underlying mechanisms of dysregulation can provide insight into complex disease processes through analysis with histology, flow cytometry, metabolomics, and proteomics. Tissue sampling in the clinical
[...] Read more.
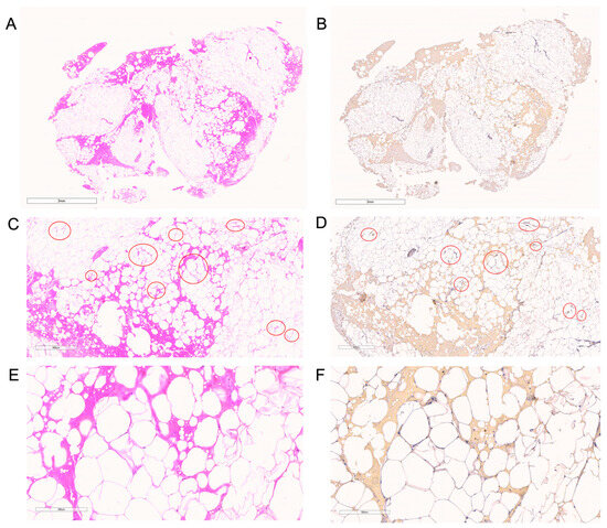
Background/Objectives: Adipose tissue (AT) plays significant roles in energy storage, metabolite signaling, and immunomodulation. The understanding of its underlying mechanisms of dysregulation can provide insight into complex disease processes through analysis with histology, flow cytometry, metabolomics, and proteomics. Tissue sampling in the clinical setting has largely shifted towards minimally invasive approaches to improve factors such as patient satisfaction, post-operative recovery, and procedure length. In contrast, preclinical animal models continue to rely on more invasive methods until refined, minimally invasive techniques are developed and systematically assessed. To improve animal welfare and enhance clinical translatability, there is a critical need to reverse translate these approaches into animal models. Methods: Our study evaluated the feasibility and performance of a commercially available vacuum-assisted biopsy (VAB) device for AT sampling in a preclinical nonhuman primate (NHP) model. Six rhesus NHPs successfully underwent three serial AT biopsies with a VAB device (n = 18). Results: All animals recovered without any serious or unexpected adverse events. The amount of adipose tissue collected per biopsy (0.5–2.7 g) was proportional to the number of individual tracks. Isolation of the stromal vascular fraction (SVF) from a subset of samples (n = 6) yielded 0.41 ± 0.12 × 106 cells/g of tissue. Conclusions: The minimally invasive VAB technique is a safe and reliable method of AT collection in NHPs. This feasibility study demonstrated adequate volumes of tissue cores that are suitable for typical, downstream research applications including immunologic studies and pathology, while improving animal welfare.
Full article

Figure 1
Open AccessArticle
A Novel Modification of Anconeus Muscle Flap for Extensor Digitorum Communis-Selective Lateral Epicondylitis: Preliminary Clinical Study
by
Ignazio Marcoccio, Jacopo Maffeis, Pasquale Gravina, Carolina Civitenga and Andrea Gervasio
Surgeries 2025, 6(4), 105; https://doi.org/10.3390/surgeries6040105 - 25 Nov 2025
Abstract
Introduction: Lateral epicondylitis (LE) typically affects the extensor carpi radialis brevis (ECRB) tendon, while isolated degeneration of the extensor digitorum communis (EDC) origin is rare and poorly characterized. Surgical debridement of these lesions may result in capsular exposure requiring soft-tissue coverage, which can
[...] Read more.
Introduction: Lateral epicondylitis (LE) typically affects the extensor carpi radialis brevis (ECRB) tendon, while isolated degeneration of the extensor digitorum communis (EDC) origin is rare and poorly characterized. Surgical debridement of these lesions may result in capsular exposure requiring soft-tissue coverage, which can be achieved through a vascularized muscle flap to enhance tendon healing potential and reduce recurrence. This study aimed to describe a modification of the anconeus rotation flap as originally described by Almquist in 1998, and to evaluate its clinical and functional outcomes in patients with isolated EDC tendinopathy. The modified technique consists of a simpler muscle advancement (AMA) that preserves the distal vascular pedicle and reduces soft-tissue dissection. Methods: A retrospective study was conducted on 12 consecutive patients with lateral epicondylitis with isolated EDC tendon involvement (10.71% of all operative cases at our Institution between 2019 and 2022), who were surgically treated with the anconeus muscle advancement modification. Clinical outcomes, including the visual analog pain scale (VAS), grip strength and patient-reported outcome measures (PROMs), which include the QuickDASH score, the Mayo Elbow Performance Score (MEPS) and the Patient-Rated Tennis Elbow Evaluation (PRTEE) score were assessed. Paired statistical tests with 95% confidence intervals and minimal clinically important difference (MCID) thresholds were applied. Results: At a mean follow-up of 38 months, all outcomes demonstrated statistically significant and clinically meaningful improvements (p < 0.05). Reductions in pain/disability (VAS, QuickDASH, PRTEE scores) and functional gains (Grip strength, MEPS) far exceeded their respective MCID thresholds, with 100% attainment for each outcome. Conclusions: This modified anconeus muscle advancement appears to be a technically feasible option for managing isolated EDC-related lateral epicondylitis, preserving vascular integrity while limiting dissection. Although favorable results were obtained, the small retrospective cohort precludes definitive conclusions regarding efficacy. The findings support the technical feasibility of the proposed modification and warrant further prospective comparative investigations.
Full article
(This article belongs to the Special Issue Feature Papers in Hand Surgery and Research)
►▼
Show Figures

Figure 1
Open AccessBrief Report
The Modified Orbay Approach: A New Perspective to Obtain Better Exposure of the Radial Styloid
by
Giulio Lauri, Andrea Poggetti and Chiara Suardi
Surgeries 2025, 6(4), 104; https://doi.org/10.3390/surgeries6040104 - 25 Nov 2025
Abstract
Background: The Orbay approach to volar distal radius described a volar zig-zag incision across the wrist crease, allowing a more distal exposure than traditional approaches. This adaptation enhances mobilization of the proximal radial fragment and improves visualization of both the articular surface and
[...] Read more.
Background: The Orbay approach to volar distal radius described a volar zig-zag incision across the wrist crease, allowing a more distal exposure than traditional approaches. This adaptation enhances mobilization of the proximal radial fragment and improves visualization of both the articular surface and dorsally displaced distal radius fractures. Methods: In the present paper, we propose a further modification of the volar zig-zag approach, positioning the apex of the incision at the level of the radial styloid. Results: This modification aims to improve visualization of the radial styloid, the articular comminution, and the dorsal aspect of the distal radius, thereby optimizing fracture exposure and reduction. Conclusions: The principal advantage lies in the reduced need for traction along the radial margin of the incision to achieve adequate visualization and the avoidance of crossing the wrist crease, thereby preventing the formation of unsightly or adherent scars.
Full article
(This article belongs to the Section Hand Surgery and Research)
►▼
Show Figures

Figure 1
Open AccessArticle
A Comparison of Functional Outcomes in Open Fractures of Phalanges, Early Versus Delayed Treatment, and Considerations on Tulipan’s Classification
by
Camillo Fulchignoni, Silvia Pietramala, Andrea Cruciani, Alessio Greco, Stella La Rocca, Leopoldo Arioli, Emanuele Gerace and Lorenzo Rocchi
Surgeries 2025, 6(4), 103; https://doi.org/10.3390/surgeries6040103 - 21 Nov 2025
Abstract
Background: Open phalangeal fractures raise timing questions that may not mirror long-bone protocols. We aimed to test whether time-to-surgery is associated with infection, time to union, and return to work. Methods: A single-centre retrospective cohort study was conducted between October 2023
[...] Read more.
Background: Open phalangeal fractures raise timing questions that may not mirror long-bone protocols. We aimed to test whether time-to-surgery is associated with infection, time to union, and return to work. Methods: A single-centre retrospective cohort study was conducted between October 2023 and January 2025. Adults with open phalangeal fractures were grouped by time-to-surgery: ≤24 h (A), 24–72 h (B), and ≥72 h (C). Primary outcome was infection while secondary outcomes were time to radiographic union and time to return to work. Results: Ninetypatients were finally included. Baseline demographics and injury characteristics did not differ significantly among groups (all p >0.05). Infection occurred in 10/90 patients (11%); rates were similar across the three windows—10%, 10%, and 12%—with no association between timing and infection (χ2 = 0.09; p =0.96). Mean time to union was 48.4 ± 16.2, 56.0 ± 2.9, and 47.8 ± 14.4 days for the ≤24 h, 24–72 h, and ≥72 h groups, respectively, without significant between-group differences (p = 0.61). Return to work occurred at 92.0 ± 25.5, 70.0 ± 17.3, and 74.0 ± 46.0 days, again with no significant difference by timing (p = 0.53). Overall, no clinically meaningful trend favoured earlier surgery within the studied windows. Conclusions: In this heterogeneous yet clinically representative cohort of open phalangeal fractures, surgical timing up to and beyond 72 h was not associated with infection, time to union, or time to return to work. These findings support individualized decision-making, while larger prospective studies are needed to refine timing thresholds.
Full article
(This article belongs to the Section Hand Surgery and Research)
►▼
Show Figures

Graphical abstract
Open AccessCase Report
Facelift Approach for Hemimandibulectomy and Costochondral Autologous Graft Reconstruction in a Pediatric Odontogenic Myxoma
by
Alice Marzi Manfroni, Valerio Cancilla, Edlira Baruti Papa, Marjon Sako and Francesco Laganà
Surgeries 2025, 6(4), 102; https://doi.org/10.3390/surgeries6040102 - 20 Nov 2025
Abstract
Background: Odontogenic myxoma (OM) is a rare, benign, but locally aggressive tumor of odontogenic mesenchymal origin. This study aims to expand current knowledge by integrating a concise literature review with a detailed case report of a surgically complex pediatric OM, treated using a
[...] Read more.
Background: Odontogenic myxoma (OM) is a rare, benign, but locally aggressive tumor of odontogenic mesenchymal origin. This study aims to expand current knowledge by integrating a concise literature review with a detailed case report of a surgically complex pediatric OM, treated using a biologically advantageous reconstructive technique. Methods: In this study, we report the case of an eight-year-old girl presenting with a large OM that caused complete disruption of the architecture of the left hemimandible. Due to the tumor’s size and bone involvement, radical resection was necessary. A modified extraoral facelift approach was employed to ensure adequate surgical access while avoiding intraoral incisions and minimizing visible scarring. Immediate mandibular reconstruction was performed using an autologous costochondral graft. Discussion: Although infrequently used in modern surgical practice, the costochondral graft offers unique advantages in pediatric patients due to its inherent growth potential and capacity for long-term biological integration. In this case, the graft allowed restoration of mandibular continuity and form with minimal donor site morbidity, demonstrating its viability even today. Conclusions: This case underlines the importance of tailored reconstructive strategies in pediatric OM. The costochondral graft provided excellent functional and esthetic results, with four-year follow-up confirming stable anatomical remodeling and bone regeneration.
Full article
(This article belongs to the Special Issue Oral and Maxillofacial Surgery: Balance Between Innovative and Proven Procedures, Drugs and Materials, 2nd Edition)
►▼
Show Figures

Graphical abstract
Open AccessArticle
Surgical Outcomes, Complications, and Cost-Effectiveness of Total Knee Arthroplasty in Hemophilic Versus Non-Hemophilic Patients: A Comparative Study
by
Gabriel Stan, Horia Orban, Rares Deculescu, Mihai Roman and Nicolae Gheorghiu
Surgeries 2025, 6(4), 101; https://doi.org/10.3390/surgeries6040101 - 20 Nov 2025
Abstract
►▼
Show Figures
Background: Total knee arthroplasty (TKA) is the gold standard for advanced hemophilic arthropathy. However, surgical management in hemophilic patients is complex due to joint deformities, bleeding risk, and systemic comorbidities. This study aimed to compare the surgical outcomes and cost-effectiveness of TKA in
[...] Read more.
Background: Total knee arthroplasty (TKA) is the gold standard for advanced hemophilic arthropathy. However, surgical management in hemophilic patients is complex due to joint deformities, bleeding risk, and systemic comorbidities. This study aimed to compare the surgical outcomes and cost-effectiveness of TKA in hemophilic versus non-hemophilic patients. Methods: This prospective study included 50 patients treated between 2010 and 2024 at Elias University Hospital, Romania. Group 1 included 20 male patients with severe hemophilia (2 with inhibitors); Group 2 included 30 non-hemophilic male patients. Data collection was standardized and conducted preoperatively, at 6 and 12 months postoperatively, and annually thereafter for up to 14 years following surgery. The mean follow-up duration across the cohort was 7.3 ± 3.9 years (range: 0.5–14 years), allowing for consistent long-term evaluation of clinical and functional outcomes. Study included operative time, transfusion requirements, hospitalization length, perioperative complications, functional outcomes (Knee Society Score—KSS), quality of life (EQ-5D), and cost per quality-adjusted life year (QALY). Results: Hemophilic patients had significantly longer operative times (154.5 vs. 88.7 min; p < 0.001), higher transfusion rates (45% vs. 20%, p < 0.047), and longer hospital stays (mean 12.3 vs. 6.6 days). Perioperative complications occurred in 90% of hemophilic patients (anemia requiring transfusion: 45%; compressive hematomas: 10%; wound dehiscence: 15%) compared to 10% in controls. Non-hemophilic patients achieved superior postoperative functional scores. Mean preoperative KSS was 32.25 ± 11.24 and postoperatively, the mean score increased to 98 ± 1.34. The mean preoperative KSS in the hemophilic group was 31 ± 13.93 and postoperative KSS was 74.5 ± 19.92. The cost per QALY was €2506 in the hemophilic group versus €1258 in controls. The economic assessment was conducted from the hospital perspective, focusing on direct medical costs incurred during hospitalization and the perioperative period. Cost components included factor replacement therapy, surgical and anesthesia costs, hospital stay, laboratory investigations, blood transfusions, and management of postoperative complications. Conclusion: Although TKA improves quality of life and function in hemophilic patients, it is associated with higher complication rates and costs. These findings highlight the need for careful patient selection and informed consent when considering TKA in hemophilic patients.
Full article

Graphical abstract
Open AccessArticle
Postprocedural Pyrolysis: A Feasibility Study on Chemical Recycling of Plastics Used During Surgery
by
Nils Prinz, Anne Püllen, Dimitri Barski, Barbara Hermann, Christian Haessler and Thomas Otto
Surgeries 2025, 6(4), 100; https://doi.org/10.3390/surgeries6040100 - 20 Nov 2025
Abstract
►▼
Show Figures
Background: Hospitals generate large volumes of single-use plastic waste, which are predominantly incinerated. To improve sustainability, standardized procedure-specific surgical trays have been implemented, reducing waste and setup time. This early feasibility study investigated whether all residual plastics from surgical procedures could be recycled
[...] Read more.
Background: Hospitals generate large volumes of single-use plastic waste, which are predominantly incinerated. To improve sustainability, standardized procedure-specific surgical trays have been implemented, reducing waste and setup time. This early feasibility study investigated whether all residual plastics from surgical procedures could be recycled via pyrolysis into high-quality oil for circular reuse in medical supply production. Methods: All residual plastics from five transurethral resection (TUR) trays were subjected to pyrolysis at 430–460 °C in a batch reactor. Condensable fractions were separated into heavy (HF) and light (LF) oils, while non-condensable gases and coke were quantified. Chemical analyses included the density, water content, heating value, and elemental composition. Results: From 1.102 kg of input material, the process yielded 78 weight percent (wt%) oil (HF 59.1%, LF 40.9%), 20.5 wt% gas, and 1.5 wt% coke. HF solidified at room temperature, whereas LF remained liquid, reflecting distinct hydrocarbon chain distributions. The oils exhibited densities of 767.0 kg/m3 (HF) and 748.9 kg/m3 (LF), heating values of 46.39–46.80 MJ/kg, low water contents (<0.05 wt%), and minimal contamination (silicone ≤ 193 mg/kg; chlorine ≤ 110 mg/kg). Conclusions: Pyrolysis of surgical tray plastics produces decontaminated high-energy oils comparable in quality to fossil fuels, with a material recovery rate exceeding 75% and potential CO2 savings of ~ 2.9 ton per t plastic compared with incineration. This process provides a technically and ecologically viable pathway toward a scalable circular economy in healthcare.
Full article

Graphical abstract
Open AccessArticle
Quadrant-Specific Distribution of Peritoneal Metastases as a Prognostic Factor in Colorectal Cancer Treated with CRS and HIPEC
by
Valentina Zucchini, Fabrizio D’Acapito, Massimo Framarini, Giulia Elena Cantelli, Giulia Marchetti, Eleonora Pozzi, Riccardo Turrini, Marco Barbini and Giorgio Ercolani
Surgeries 2025, 6(4), 99; https://doi.org/10.3390/surgeries6040099 - 15 Nov 2025
Abstract
►▼
Show Figures
Background: Peritoneal metastasis (PM) from colorectal cancer (CRC) carries a poor prognosis. The Peritoneal Cancer Index (PCI) is among the principal prognostic stratification tools, yet the prognostic value of the anatomical distribution of disease beyond total PCI is underexplored. This pilot study evaluated
[...] Read more.
Background: Peritoneal metastasis (PM) from colorectal cancer (CRC) carries a poor prognosis. The Peritoneal Cancer Index (PCI) is among the principal prognostic stratification tools, yet the prognostic value of the anatomical distribution of disease beyond total PCI is underexplored. This pilot study evaluated whether quadrant-specific involvement adds prognostic information in patients undergoing cytoreductive surgery (CRS) with hyperthermic intraperitoneal chemotherapy (HIPEC), with a focused analysis of oligometastatic disease (PCI ≤ 6). Methods: A single-institution cohort of 48 CRC-PM patients treated with CRS + HIPEC was analyzed. Primary endpoints were OS, DFS, and PRFS, with a focused evaluation of the oligometastatic subset (PCI ≤ 6). Comparative statistics used Student’s two-sample t test for continuous variables and chi-square or two-sided Fisher’s exact tests for categorical variables. Survival was estimated by Kaplan–Meier with log-rank tests, and prognostic factors were evaluated using Cox regression. Results: Median follow-up was 177 months (IQR 87–224). Outcomes favored PCI ≤ 6: 5-year OS and DFS were 54% and 37.5% versus 6.6% and 0% for PCI > 6, and median OS 64 vs. 29 months (log-rank p = 0.007), median DFS 30 vs. 7 months (p = 0.0002), and median PRFS 26 vs. 8 months (p = 0.0002). In the PCI ≤ 6 subset (n = 27), quadrant 3 (left upper quadrant) was associated with higher recurrence risk and shorter DFS, remaining independently prognostic for DFS (p = 0.005) and PRFS (p = 0.005). For PRFS, quadrants 7 and 8 also showed associations on univariable analysis; Q7 remained independent (p = 0.047), whereas Q8 was borderline (p = 0.077). A histology-related signal at Q8 (p = 0.011) was exploratory due to very small mucinous and signet-ring strata. Sidedness and synchronicity yielded no significant differences in quadrant involvement within PCI ≤ 6. No quadrant effects were observed in PCI > 6. Conclusions: PCI remains the dominant prognostic determinant after CRS + HIPEC, yet in oligometastatic disease, the anatomical distribution adds complementary prognostic information, particularly involvement of Q3 and Q7. These findings are hypothesis-generating and warrant validation in larger, preferably multicenter cohorts with standardized quadrant mapping. If confirmed, quadrant-directed operative planning, including consideration of prophylactic resection in selected high-risk regions, could be prospectively evaluated.
Full article

Figure 1
Open AccessArticle
Free Peritoneal Cancer Cells in Patients with Adenocarcinoma of the Stomach or Esophagogastric Junction: Risk Factors and Outcomes
by
Asada Methasate, Akarawin Sirimongkol, Chawisa Nampoolsuksan, Jirawat Swangsri and Thammawat Parakonthun
Surgeries 2025, 6(4), 98; https://doi.org/10.3390/surgeries6040098 - 10 Nov 2025
Abstract
►▼
Show Figures
Background/Objectives: To identify independent predictors of free peritoneal cancer cells (FPCC), and to investigate survival outcomes relative to peritoneal cytology status among patients who underwent intended curative gastrectomy for adenocarcinoma of the stomach or esophagogastric junction. Methods: Medical records of patients who underwent
[...] Read more.
Background/Objectives: To identify independent predictors of free peritoneal cancer cells (FPCC), and to investigate survival outcomes relative to peritoneal cytology status among patients who underwent intended curative gastrectomy for adenocarcinoma of the stomach or esophagogastric junction. Methods: Medical records of patients who underwent radical surgery between January 2005 and December 2020 were retrospectively reviewed. Clinical data and cytology results were evaluated. Multivariate Cox regression analysis was used to identify independent predictors of FPCC. Kaplan–Meier survival analysis was used to estimate disease recurrence and survival outcomes. Results: Out of the 349 enrolled patients, 188 (53.8%) had negative cytology, 32 (9.2%) were positive, and 129 (36.9%) showed atypical cells in peritoneal cytology. Poor differentiation (adjusted odds ratio [aOR]: 2.63, 95% confidence interval [95%CI]: 1.04–6.82; p = 0.015), pT4 (aOR: 4.62, 95%CI: 1.28–14.34; p = 0.018), pN3 (aOR: 4.13, 95%CI: 1.14–15.03; p = 0.031), and metastatic lymph node ratio >0.40 (aOR: 6.49, 95%CI: 1.44–29.14; p = 0.015) were independent predictors of FPCC. Median overall survival was 34.1 months in the negative group, 13.1 months in the positive group, and 28.7 months in the atypical cell group (p < 0.001). Median time to disease recurrence was 20.5, 4.9, and 11.3 months, respectively (p < 0.001). Survival and recurrence outcomes in the atypical cell group were comparable to those with negative cytology. Conclusions: Poorly differentiated histology, pT4, pN3, and metastatic lymph node ratio >0.40 are independent predictors of FPCC, which is significantly associated with poor survival and disease recurrence outcomes. These findings suggest that high-risk patients may benefit from routine peritoneal cytologic screening during surgery to improve risk stratification and guide postoperative treatment planning.
Full article

Figure 1
Open AccessReview
Inguinal Herniation of the Transplanted Ureter: A Systematic Review
by
Pajtim Emini, Riccardo Scarponi, Salvatore Spiezia, Pasquale Avella, Luigi Ricciardelli, Germano Guerra, Graziano Ceccarelli and Michele De Rosa
Surgeries 2025, 6(4), 97; https://doi.org/10.3390/surgeries6040097 - 10 Nov 2025
Abstract
►▼
Show Figures
Herniation of the transplanted ureter into the inguinal canal is an exceptionally rare complication following renal transplantation. Most cases present as delayed-onset obstructions, typically occurring more than one year post-transplant and often involving the ipsilateral inguinal canal. We presented the case of a
[...] Read more.
Herniation of the transplanted ureter into the inguinal canal is an exceptionally rare complication following renal transplantation. Most cases present as delayed-onset obstructions, typically occurring more than one year post-transplant and often involving the ipsilateral inguinal canal. We presented the case of a 49-year-old male kidney transplant recipient who developed obstructive uropathy due to herniation of the graft ureter into the ipsilateral inguinal canal. Diagnosis was confirmed by computed tomography (CT), which proved superior to ultrasonography in delineating the ureteral course. A JJ ureteral stent was successfully placed, followed by inguinal hernia repair using the Lichtenstein technique. The postoperative course was uneventful, with complete resolution of symptoms and preservation of graft function. Transplanted ureteral herniation is a rare but important cause of late post-transplant obstruction. Cross-sectional imaging, particularly CT, offers greater diagnostic accuracy than ultrasound alone in identifying ureteral displacement. When feasible, primary ureteral stenting may obviate the need for nephrostomy, thereby reducing patient morbidity.
Full article

Figure 1
Open AccessArticle
Severe Versus Mild–Moderate Pulmonary Hypertension: Outcomes Following Mechanical Mitral Valve Replacement with Posterior Leaflet Preservation
by
Binh Thanh Tran, Viet Anh Le, Dung Tien Nguyen, Duong Minh Vu, Vinh Duc An Bui, Phu Duc Bui, Nam Van Nguyen and Thang Ba Ta
Surgeries 2025, 6(4), 96; https://doi.org/10.3390/surgeries6040096 - 5 Nov 2025
Abstract
Background: Pulmonary hypertension is common in left-sided heart valve disease, with historical studies reporting mortality rates up to 31% in severe cases undergoing mitral valve surgery. This study evaluates the impact of severe pulmonary hypertension on outcomes of mechanical mitral valve replacement with
[...] Read more.
Background: Pulmonary hypertension is common in left-sided heart valve disease, with historical studies reporting mortality rates up to 31% in severe cases undergoing mitral valve surgery. This study evaluates the impact of severe pulmonary hypertension on outcomes of mechanical mitral valve replacement with posterior leaflet preservation by comparing results with patients having mild-to-moderate pulmonary hypertension. Methods: Prospective analysis of 86 patients with mitral valve disease undergoing mechanical valve replacement with posterior leaflet preservation from March 2015 to September 2016 was conducted. Patients were stratified by pulmonary artery pressure: severe (≥60 mmHg, n = 19) versus mild–moderate (35–59 mmHg, n = 67). Primary outcomes included mortality, complications, and functional recovery at 1, 6, and 12 months. Results: The cohort included 67 patients (77.9%) with mild–moderate pulmonary hypertension and 19 patients (22.1%) with severe pulmonary hypertension. Severe pulmonary hypertension patients demonstrated higher NYHA functional class (73.7% class III vs. 46.2%, p = 0.03), larger left atrial diameter (56.3 ± 9.8 vs. 49.5 ± 6.7 mm, p = 0.01), and higher mean pressure gradients (14.4 ± 5.3 vs. 11.3 ± 5.0 mmHg, p = 0.025). Mortality was 5.3% in the severe group versus 0% in the mild–moderate group (p = 0.331). Patients with severe pulmonary hypertension required longer ICU stays (6.3 ± 3.7 vs. 4.7 ± 2.2 days, p = 0.024) but showed no significant differences in ventilation time, reoperation rates, or major complications. At the 12-month follow-up, both groups achieved equivalent outcomes in pulmonary artery pressures, left ventricular function, and cardiac dimensions. Conclusion: In this study with a relatively small sample size, severe pulmonary hypertension was associated with significantly longer intensive care unit stay but not with higher mortality compared to mild–moderate pulmonary hypertension, with both groups attaining comparable functional and hemodynamic parameters at 12 months after mechanical mitral valve replacement with posterior leaflet preservation.
Full article
(This article belongs to the Special Issue Cardiothoracic Surgery)
Open AccessArticle
The Burden of Weight on Joint Replacement: A 1.6 Million-Patient Analysis of BMI and Hip Arthroplasty Outcomes
by
Yaron Berkovich, Shelly Feygelman, Ela Cohen Nissan, Linor Fournier, Yaniv Steinfeld and David Maman
Surgeries 2025, 6(4), 95; https://doi.org/10.3390/surgeries6040095 - 29 Oct 2025
Abstract
►▼
Show Figures
Background: THA is a gold-standard intervention for end-stage hip osteoarthritis, historically performed in older adults. However, the growing global obesity epidemic is reshaping this landscape. Emerging evidence suggests that elevated body mass index (BMI) may not only worsen perioperative outcomes but also accelerate
[...] Read more.
Background: THA is a gold-standard intervention for end-stage hip osteoarthritis, historically performed in older adults. However, the growing global obesity epidemic is reshaping this landscape. Emerging evidence suggests that elevated body mass index (BMI) may not only worsen perioperative outcomes but also accelerate the need for surgery at a younger age. Understanding how BMI influences both the timing and safety of THA is crucial to optimizing care in this evolving patient population. Methods: We conducted a retrospective analysis of 1,626,965 elective THA hospitalizations from the Nationwide Inpatient Sample. Patients were stratified by BMI into three categories: <29.9, 30–34.9, and ≥35. Fracture- and oncology-related cases were excluded. ICD-10 codes identified comorbidities and complications. Primary outcomes included age at surgery, in-hospital mortality, length of stay (LOS), complications, and hospitalization costs. Statistical analysis used Pearson correlation, linear regression, chi-square tests, and t-tests via SPSS version 26.0.0.0. Results: Higher BMI was significantly associated with younger age at THA (r = −0.187, p < 0.001). Each 5-unit BMI increase corresponded to a ~2-year decrease in age at surgery. Obese patients had higher rates of hypertension, diabetes, dyslipidemia, and sleep apnea. Complications including blood loss anemia, acute kidney injury, venous thromboembolism, and postoperative infections were more common in higher BMI groups. LOS increased with BMI, though total hospital charges showed minimal clinical variation. Conclusions: Obesity is a key driver of earlier THA and elevated perioperative risk. These findings underscore the need for BMI-tailored surgical planning and risk stratification. As younger, high-BMI patients increasingly undergo THA, future strategies must focus on preoperative optimization, complication prevention, and long-term implant durability.
Full article

Figure 1
Open AccessReview
Pelvic Neuroanatomy in Colorectal Surgery: Advances in Nerve Preservation for Optimized Functional Outcomes
by
Asim M. Almughamsi and Yasir Hassan Elhassan
Surgeries 2025, 6(4), 94; https://doi.org/10.3390/surgeries6040094 - 28 Oct 2025
Abstract
►▼
Show Figures
Background: Pelvic autonomic nerve injury during colorectal surgery causes debilitating urinary, bowel, and sexual dysfunction. This review synthesizes contemporary evidence on neuroanatomy, nerve-sparing techniques, and functional outcomes to minimize iatrogenic injury while maintaining oncologic efficacy. Methods: Systematic analysis of cadaveric studies, clinical trials,
[...] Read more.
Background: Pelvic autonomic nerve injury during colorectal surgery causes debilitating urinary, bowel, and sexual dysfunction. This review synthesizes contemporary evidence on neuroanatomy, nerve-sparing techniques, and functional outcomes to minimize iatrogenic injury while maintaining oncologic efficacy. Methods: Systematic analysis of cadaveric studies, clinical trials, and imaging advancements focused on the superior hypogastric plexus, hypogastric nerves, pelvic splanchnic nerves (S2–S4), and inferior hypogastric plexus. Surgical innovations evaluated included robotic-assisted dissection, fluorescence-guided visualization, and intraoperative neuromonitoring. We distinguished evidence for nerve identification from evidence for functional protection and graded study designs accordingly. Results: Anatomical variability (e.g., superior hypogastric plexus leftward deviation 58.8%; hypogastric nerve median width 3.5 mm) necessitates precision techniques. Nerve-sparing approaches reduce urinary dysfunction from 30–70% to 10–30% and sexual dysfunction from 40–80% to 15–30%. However, the functional benefit of specific technical steps is often derived from anatomical rationale and cohort studies, with limited randomized trials for individual maneuvers. While technique refinements such as Denonvilliers’ fascia preservation may offer early sexual function benefits, randomized evidence shows no 12-month urinary advantage and uncertainty regarding longer-term durability; routine adoption should be individualized. Advanced imaging (3 T MRI, diffusion tensor imaging) and fluorescence guidance improve pre-/intraoperative visualization, but randomized evidence for improved postoperative urinary or sexual function is limited. Randomized data support pelvic intraoperative neuromonitoring in reducing urinary deterioration; most adjuncts have observational or feasibility-level support. Conclusions: Integrating neuroanatomical knowledge with advanced technologies enhances identification and may support nerve-sparing execution; however, robust randomized evidence for durable functional protection of novel technologies and specific technical steps remains limited. Priorities include standardizing preservation protocols, conducting randomized trials that validate the efficacy of individual surgical maneuvers, linking identification to functional outcomes, and validating long-term patient-reported outcomes.
Full article

Figure 1
Open AccessReview
Minimizing Postoperative Scars in Upper Eyelid Blepharoplasty: A Concise Review
by
Fredrik Andreas Fineide, Ayyad Zartasht Khan, Lars Christian Boberg-Ans, Richard C. Allen, Elin Bohman, Kim Alexander Tønseth and Tor Paaske Utheim
Surgeries 2025, 6(4), 93; https://doi.org/10.3390/surgeries6040093 - 23 Oct 2025
Abstract
►▼
Show Figures
Background: Upper eyelid blepharoplasty is one of the most common aesthetic surgeries performed worldwide. The procedure consists of removing excess skin with or without muscle and/or fat from the upper eyelid by a transcutaneous approach and placement of a supratarsal crease. The surgery
[...] Read more.
Background: Upper eyelid blepharoplasty is one of the most common aesthetic surgeries performed worldwide. The procedure consists of removing excess skin with or without muscle and/or fat from the upper eyelid by a transcutaneous approach and placement of a supratarsal crease. The surgery is performed in a cosmetically sensitive area and every attempt to avoid poor scar formation should be made. Methods: This review presents a conspectus of the existing medical literature regarding scar-avoiding strategies in upper blepharoplasty with the aim of contributing to the reduction in postoperative scar formation. The Medline, Embase, and Cochrane databases were searched on 2 September 2025. Results: The search yielded a total of 562 records, and, following screening, eleven publications were included. Conclusions: A systematic approach to pre-, intra-, and postoperative measures to minimize scarring are presented. There is a need to standardize scar assessment and reporting to facilitate inter-study comparison of effects, as well as prospective, randomized studies comparing suture materials and techniques.
Full article

Figure 1
Open AccessArticle
Ultrasound-Guided Carpal Tunnel Release: Results from a Multicenter Italian Cohort of 735 Patients
by
Andrea Poggetti, Alberto Rinaldi, Marco Biondi, Prospero Bigazzi, Priscilla Di Sette, Pierfrancesco Pugliese, Angela Sulpasso, Federico Pilla, Francesco Smeraglia and Antonio Brando
Surgeries 2025, 6(4), 92; https://doi.org/10.3390/surgeries6040092 - 21 Oct 2025
Abstract
Background/Objectives: Ultrasound-guided carpal tunnel release (UGCTR) has emerged as a minimally invasive alternative to open surgery for the treatment of carpal tunnel syndrome (CTS). This study aimed to evaluate the clinical outcomes, complication rates, and recovery profiles associated with UGCTR in a
[...] Read more.
Background/Objectives: Ultrasound-guided carpal tunnel release (UGCTR) has emerged as a minimally invasive alternative to open surgery for the treatment of carpal tunnel syndrome (CTS). This study aimed to evaluate the clinical outcomes, complication rates, and recovery profiles associated with UGCTR in a large multicenter cohort. Methods: A retrospective observational study was conducted across Italian hand surgery centers, including 735 patients who underwent UGCTR between January 2012 and April 2025. Data were collected on demographics, comorbidities, ultrasound measurements, and surgical outcomes. Primary endpoints included pain (measured using the Visual Analog Scale [VAS]), symptom severity and function (assessed via the Boston Carpal Tunnel Questionnaire [BCTQ]), complication rates, time to return to daily activities (RDA), and return to work (RTW). Follow-up assessments were performed at 1, 4, and 12 weeks postoperatively. Results: A significant improvement in pain was observed, with mean VAS scores decreasing from 6.37 preoperatively to 0.58 at 12 weeks. The mean cross-sectional area (CSA) of the median nerve decreased from 12.81 mm2 to 8.83 mm2 at 4 weeks. Both the BCTQ Symptom Severity Scale (BCTQ-SS) and Functional Status Scale (BCTQ-FS) scores showed significant improvement by week 1. The mean RDA was 5.7 days, and RTW was 14.5 days. Complication rates were low and decreasing over time, from 8.7% at 1 week to 3.4% at 12 weeks. Conclusions: UGCTR is a safe and effective technique for the treatment of CTS, offering rapid functional recovery and a favorable complication profile. Its feasibility in outpatient settings and potential for cost-effectiveness support its role as a viable alternative to open surgery and as a model of image-guided, minimally invasive intervention.
Full article
(This article belongs to the Section Hand Surgery and Research)
►▼
Show Figures

Graphical abstract
Open AccessArticle
Comparative Clinical and Volumetric Outcomes of Contemporary Surgical Techniques for Lumbar Foraminal Stenosis: A Retrospective Cohort Study
by
Renat M. Nurmukhametov, Vladimir Klimov, Abakirov Medetbek, Stepan Anatolevich Kudryakov, Medet Dosanov, Anastasiia Alekseevna Guseva, Petr Ruslanovich Baigushev, Timur Arturovich Kerimov and Nicola Montemurro
Surgeries 2025, 6(4), 91; https://doi.org/10.3390/surgeries6040091 - 20 Oct 2025
Abstract
►▼
Show Figures
Background: Lumbar foraminal stenosis (LFS) is a prevalent degenerative condition associated with significant radicular pain and impaired quality of life. Advances in minimally invasive and fusion-based surgical techniques have introduced new strategies for decompressing the neural elements. However, comparative data correlating volumetric foraminal
[...] Read more.
Background: Lumbar foraminal stenosis (LFS) is a prevalent degenerative condition associated with significant radicular pain and impaired quality of life. Advances in minimally invasive and fusion-based surgical techniques have introduced new strategies for decompressing the neural elements. However, comparative data correlating volumetric foraminal expansion with functional outcomes remain limited. Methods: This retrospective cohort study analyzed 256 patients treated surgically for symptomatic LFS between December 2017 and December 2023. Patients were categorized into four surgical subgroups: endoscopic decompression, anterior lumbar interbody fusion (ALIF), microsurgical decompression, and transforaminal lumbar interbody fusion (TLIF). Preoperative and postoperative assessments included magnetic resonance imaging (MRI) to calculate foraminal volume and standardized clinical scales: the Oswestry Disability Index (ODI), Visual Analogue Scale (VAS) for back and leg pain, and SF-36 health-related quality-of-life scores. Statistical significance was determined using p-values, and inter-observer agreement was evaluated via κ-statistics. Results: Postoperative imaging demonstrated a significant increase in foraminal canal volume across all surgical groups: endoscopy (29.9%), ALIF (71.8%), microsurgery (48.06%), and TLIF (67.0%). ODI scores improved from a preoperative mean of 55.25 to 18.27 at 24 months post-surgery (p < 0.001). VAS scores for back pain decreased from 6.37 to 2.1 (p < 0.001), while leg pain scores declined from 6.85 to 2.05 (p < 0.001). Functional improvement reached or exceeded the minimal clinically important difference (MCID) threshold in over 66% of patients. Conclusions: Modern surgical strategies for LFS, particularly fusion-based techniques, yield significant volumetric decompression and durable clinical improvement. Volumetric gain in the foraminal canal is closely associated with pain reduction and enhanced functional outcomes. These findings support a tailored surgical approach based on anatomical pathology and segmental stability.
Full article

Figure 1
Open AccessArticle
Surgeon-Delivered Bupivacaine Achieves Analgesic Efficacy Comparable to ESP and TAP Blocks in Laparoscopic Cholecystectomy: A Randomized Controlled Trial
by
Melih Can Gül and Ramazan Koray Akbudak
Surgeries 2025, 6(4), 90; https://doi.org/10.3390/surgeries6040090 - 17 Oct 2025
Abstract
►▼
Show Figures
Background and Objectives: Effective pain management is essential for optimizing recovery after laparoscopic cholecystectomy (LC). Ultrasound-guided erector spinae plane (ESP) and transversus abdominis plane (TAP) blocks are validated techniques, but may be limited by equipment requirements and technical complexity. This study aimed to
[...] Read more.
Background and Objectives: Effective pain management is essential for optimizing recovery after laparoscopic cholecystectomy (LC). Ultrasound-guided erector spinae plane (ESP) and transversus abdominis plane (TAP) blocks are validated techniques, but may be limited by equipment requirements and technical complexity. This study aimed to evaluate whether surgeon-delivered local anesthetic infiltration provides comparable analgesic efficacy. Materials and Methods: This prospective, randomized, controlled, single-center trial enrolled 172 patients undergoing elective LC between November 2020 and June 2022. Patients were randomized into four groups: Group A—surgeon-delivered port-site and intraperitoneal bupivacaine infiltration; Group B—ESP block; Group C—TAP block; and Group D—control. Primary outcomes were postoperative pain assessed by Visual Analog Scale (VAS) scores at 1, 3, 6, 12, and 24 h, and Behavioral Pain Scale (BPS) scores at 1 and 3 h. Secondary outcomes included 24 h tramadol consumption, patient satisfaction, additional rescue analgesia requirement, and procedure duration. Results: All intervention groups (A–C) demonstrated significantly lower VAS and BPS scores compared to controls (VAS at 24 h: 1.8 ± 0.9 vs. 2.8 ± 1.3, p < 0.001). Tramadol use was also reduced (≈82 mg vs. 97 mg, p < 0.001), with fewer opioid-related adverse effects. No significant differences were observed among Groups A–C. Patient satisfaction was higher in the intervention groups, and no major complications were reported. Conclusions: Surgeon-delivered local infiltration achieved analgesic efficacy equivalent to ESP and TAP blocks. Considering its simplicity, safety, and minimal resource demands, this method may represent a practical alternative for enhanced recovery pathways following LC.
Full article

Figure 1
Highly Accessed Articles
Latest Books
E-Mail Alert
News
Topics
Special Issues
Special Issue in
Surgeries
Oral Laser Surgery: Current Evidences and Perspectives
Guest Editors: Saverio Capodiferro, Alfonso Manfuso, Marta ForteDeadline: 28 February 2026
Special Issue in
Surgeries
Advances in Total Hip and Knee Arthroplasty
Guest Editors: Mustafa Citak, Angelos KaspirisDeadline: 28 February 2026
Special Issue in
Surgeries
Surgery in Head and Neck Cancer
Guest Editor: Oreste GalloDeadline: 20 March 2026
Special Issue in
Surgeries
Future Directions in Neurosurgery: Innovation and Technology
Guest Editor: Angelo LavanoDeadline: 31 March 2026



