Abstract
Advancements in cardiac magnetic resonance (CMR) imaging quality and availability have made it an essential tool in the care of individuals living with cardiomyopathies. CMR complements clinical suspicion, electrocardiogram patterns, and echocardiographic findings to help elucidate the etiology of cardiomyopathies and can also be used to prognosticate and follow treatment responses. In this review, we highlight the common CMR findings in cardiac amyloidosis, cardiac sarcoidosis, iron overload cardiomyopathy, and Fabry disease. We also summarize prognostic findings and additional potential roles for CMR in the management of infiltrative cardiomyopathies.
1. Introduction
Infiltrative cardiomyopathies are a heterogeneous group of conditions that affect the heart muscle, resulting in heart failure and other cardiac diseases. They encompass a wide spectrum of pathophysiology, ranging from infiltration of the extracellular space with misfolded proteins in cardiac amyloidosis, granulomatous inflammation in cardiac sarcoidosis, intracellular deposition of iron in primary and secondary hemochromatosis, to glycogen storage disorders such as Fabry disease []. Infiltrative cardiomyopathies have been considered a rare form of heart muscle disease, remaining underdiagnosed and frequently mistaken for hypertensive cardiomyopathy [,]. Given the available therapies for many infiltrative diseases, there is value in early diagnosis in hopes of halting disease progression. Clinical history, electrocardiography (ECG), and echocardiography provide helpful clues towards diagnosing infiltrative cardiomyopathies, but advanced imaging such as cardiac magnetic resonance imaging (CMR) helps to provide clues for an early diagnosis and may provide prognostic value. We conducted a narrative review to summarize the common CMR characteristics and prognostic markers in some infiltrative cardiomyopathies, including cardiac amyloidosis, cardiac sarcoidosis, hemochromatosis, and Fabry disease (Figure 1). The narrative review allowed for a flexible exploration of this topic to provide pertinent information to clinicians taking care of patients with stated cardiomyopathies.
Figure 1.
Summary of clinical presentation, key CMR findings, prognostic factors of CMR findings, and role of CMR in following treatment response in cardiac amyloidosis, cardiac sarcoidosis, iron overload cardiomyopathy, and Fabry disease.
2. Basics of Cardiac Magnetic Resonance Imaging
The CMR is a powerful noninvasive imaging tool able to evaluate myocardial tissue structure and function with high spatial resolution and lack of radiation exposure. By utilizing different sequences of radiofrequency pulses to affect the magnetization and relaxation time of protons in tissue, distinct signal intensities that reflect tissue properties are produced []. The most common CMR contrast agent used to help characterize abnormalities in the myocardium is chelated with gadolinium (Gd). Gd is a water-soluble heavy metal that diffuses freely between the intravascular and interstitial space outside the brain but is unable to cross to the intracellular space []. Therefore, scarred or infarcted myocardial tissue holds a higher concentration of Gd due to loss of intact myocytes and increased intracellular space. Gd affects the magnetic dynamics of tissue and specifically shortens the longitudinal relaxation time (T1) of protons and, therefore, appears as enhanced (bright) on T1-weighted images []. It is important to note that increased signal or late gadolinium enhancement (LGE) can reflect interstitial fibrosis, which can be diffuse in the myocardium, replacement fibrosis, which tends to be brighter and more focal, or areas of inflammation. By combining the evaluation of ventricular structure, function, and pattern of LGE, infiltrative processes can be identified on CMR and differentiated from acute or chronic myocardial infarction based on different tissue characteristics. Accordingly, recent AHA/ACC/HFSA and ESC guidelines give a class 2a recommendation to obtain CMR in patients with new heart failure or cardiomyopathy [,].
3. Cardiac Amyloidosis
3.1. Pathophysiology and Clinical Presentation
Amyloidosis is a broad spectrum of systemic diseases caused by the aggregation of proteins misfolded into insoluble fibrils in the extracellular space. The most common forms of amyloidosis that involve the heart are monoclonal amyloid light chain cardiomyopathy (AL-CM) and amyloid transthyretin cardiomyopathy (ATTR-CM)-variant and wild type []. Cardiac involvement typically results in restrictive cardiomyopathy but can also cause abnormal conduction, coronary, and pericardial disease. Suspicion for cardiac amyloidosis should be high if a patient is presenting with concomitant signs of multiorgan involvement, such as proteinuria, neuropathy, or gastrointestinal dysmotility and malabsorption. The 2023 ACC expert consensus decision pathway highlighted specific extracardiac red flags, including bilateral carpal tunnel syndrome, spontaneous biceps tendon rupture, autonomic dysfunction, and gastroparesis [].
3.2. ECG Findings
ECG hallmark findings reflect the displacement of myocytes with amyloid fibrils resulting in low voltage QRS or lack of electrical left ventricular hypertrophy (LVH), poor R-wave progression, and, less commonly, atrioventricular (AV) node block. Atrial fibrillation is a relatively common arrhythmia in cardiac amyloidosis, given restrictive left ventricular (LV) filling and resultant atrial myopathy [].
3.3. Echocardiography Findings
On echocardiography, LV wall thickening with preserved or reduced LV size, bi-atrial enlargement, and preserved LV ejection fraction should raise suspicion for amyloid CM []. Valvular and papillary muscle thickening can also occur, along with pericardial or pleural effusions. Diastolic dysfunction of higher grade showing restrictive pattern can favor amyloid CM versus hypertensive LVH []. While LV ejection fraction remains preserved until end-stage amyloid CM, left ventricular speckle-tracking-derived longitudinal strain can show preceding global and regional deformation of the myocardium with added diagnostic value []. An apical sparing strain pattern, in which the LV apical segments have normal or supranormal strain and the basal segments have reduced strain, can have diagnostic value in amyloid CM. An early study showed that an apical sparing pattern ratio ≥ 1, calculated by dividing the average apical longitudinal strain by the average mid and basal-longitudinal strain, had high diagnostic accuracy (93% sensitivity, 82% specificity) in discriminating patients with known cardiac amyloidosis compared to controls []. Another study that included AL-CM and ATTR-CM demonstrated an apical sparing strain pattern in 48% of patients []. However, in a larger study of 1187 patients referred to amyloid centers in Europe, the accuracy of apical sparing for detecting amyloid CM was less than in earlier reports, with a sensitivity of 58% in patients with systemic AL amyloidosis []. Therefore, while an apical sparing pattern can be seen in amyloid CM and may increase the likelihood of diagnosis, its absence should not eliminate the possibility of amyloid CM and further workups that may be necessary []. Global longitudinal strain (GLS) can be used to derive the global left ventricular myocardial work, which has been shown to overcome the loading-dependent limitation of GLS and to be a better discriminator of amyloid CA from hypertrophic cardiomyopathy (HCM) or hypertensive controls over GLS alone []. In addition to left ventricular strain analysis, speckle-tracking echocardiography can be used to analyze left atrial strain, which was found to be significantly impaired in amyloid CM when compared to HCM and control groups []. This impairment was persistent irrespective of the left ventricular EF in amyloid CM.
3.4. CMR Findings
CMR can help differentiate amyloid CM from other infiltrative or hypertrophic cardiomyopathies. It is a complementary diagnostic tool to serological workup, bone scintigraphy, and endomyocardial biopsy. CMR can also offer prognostic and disease-monitoring ability. Cine steady-state free precession (SSFP) sequences examine the morphology and function of the four cardiac chambers. Like echocardiography, SSFP in amyloid CM shows increased LV wall thickness, atrial septal thickness, and valvular thickness with normal or reduced biventricular function. LV septal hypertrophy is mostly asymmetric in ATTR-CM and concentric in the majority of AL-CM [].
Amyloid deposition affects myocardial tissue architecture, which results in elevated intrinsic, non-contrasted myocardial T1 signal (native T1 mapping) []. The progression of amyloid CM can be quantitively monitored with native T1 elevation, which correlates with the degree of amyloid infiltration []. Amyloid fibril deposition can also cause myocardial edema. The increased water content in tissue prolongs T2 time, which is the relaxation time of protons in the transverse plane. However, T2 time in amyloid CM is usually shorter than that reported in myocarditis or myocardial infarction [].
Post-contrast CMR imaging provides information about the extracellular space, which in amyloid CM is distorted by amyloid deposition. In amyloid CM, TI-scout images for gadolinium kinetics show a simultaneous nulling of the blood pool and myocardium or a reverse null pattern where the myocardium nulls prior to the blood pool []. LGE patterns in amyloid CM range from absence to subendocardial or transmural, correlating with the severity of infiltration. LGE often involves all cardiac chambers. Contrast-enhanced T1-weighted imaging can be used to estimate extracellular volume (ECV), which is often markedly increased in amyloid CM (>40%) due to extracellular amyloid deposition []. Elevated ECV was shown to precede LGE in certain cases with a high probability of amyloid CM, likely signaling early disease []. However, the use of Gd to evaluate LGE and ECV may be precluded in patients with advanced kidney disease. Other contrast-free analyses of CMR that can help distinguish amyloid CM include longitudinal strain analysis. Similar to echocardiography, CMR shows globally reduced longitudinal strain in amyloid CM with relative apical sparing with specificity to distinguish CA of 82% but sensitivity of only 43% []. If Gd can be administered, the LGE ratio between base and apex, in addition to the relative strain ratio, was shown to have a higher discriminatory ability to distinguish amyloid CM from other causes of LVH []. Key CMR findings in amyloid CM are summarized in Table 1.
Table 1.
Key CMR findings in amyloid cardiomyopathy.
3.5. The Role of CMR in Prognosis and Disease Monitoring
Many of the above-mentioned parameters were shown to have prognostic value in both AL-CM and ATTR-CM, namely the higher amount of LGE, presence of right ventricular (RV) LGE, and increased size of ECV [,,,]. T2-mapping was also shown to be an independent predictor of mortality in AL-CM []. T1 mapping and ECV have been shown to be disease burden markers that can be monitored throughout treatment, which is likely due to their ability to estimate amyloid fibril deposition burden [,].
4. Fabry Disease
4.1. Pathophysiology and Clinical Presentation
Fabry disease (also known as Anderson–Fabry disease) is a rare X-linked lysosomal storage disorder. It is caused by loss-of-function mutations in the alpha-galactosidase A enzyme (alpha-Gal A) gene. With a deficient alpha-Gal A enzyme, globotriaosylceramide (Gb3) accumulates in lysosomes of different body cells, resulting in cytotoxic and proinflammatory effects []. The phenotype of Fabry disease (FD) varies widely depending on the residual enzyme activity. Heterozygous females usually have a milder and later presentation, but due to skewed X-chromosome inactivation, can sometimes have a severe presentation. Individuals with classic FD have very low to no alpha-Gal A enzyme activity. They usually present with early neurologic symptoms, and also develop dermatologic, gastrointestinal, renal, and cardiac manifestations, with cardiac manifestations appearing later, in the third to fourth decade of life []. Late-onset cardiac variants of FD have also been reported and can be mistaken for idiopathic HCM [,]. In fact, the prevalence of FD in patients with late-onset HCM is 6% in men and 12% in women in two cohort studies [,].
4.2. ECG Findings
Cardiac involvement is the main driver of mortality in individuals with FD []. FD cardiomyopathy encompasses progressive LVH, myocardial fibrosis, diastolic dysfunction, inflammation, and arrhythmias []. ECG often shows evidence of LVH with repolarization abnormalities, short PQ interval, and QRS/QT prolongation. AV block, bradyarrhythmias, and atrial/ventricular tachyarrhythmias can also occur [].
4.3. Echocardiography Findings
On echocardiography, concentric LVH and prominent papillary muscles are common findings of FD cardiomyopathy. LVH can be accompanied by systolic anterior motion of the mitral valve and left ventricular outflow tract (LVOT) obstruction, especially after exertion []. Right ventricular hypertrophy was also reported in varying prevalence in FD cardiomyopathy between 40% and 70%, along with preserved RV systolic function []. Spectral strain imaging offers further value in detecting early LV dysfunction independent of LVH and preceding LVEF reduction, which develops in later stages. For instance, the global longitudinal strain (A) of the LV can be reduced in early FD cardiomyopathy with a prevalent involvement of the inferolateral wall. The global circumferential strain analysis shows a loss of the base-to-apex circumferential strain gradient, which is usually preserved in HCM [].
Given the rarity of the disease and the heterogeneity of presentation, high clinical suspicion is needed to refer patients to diagnostic testing. Early diagnosis of FD is crucial as timely treatment with enzyme replacement or chaperone therapy can prevent progression to severe organ failure. The diagnosis is reliably made by biochemical assays testing alpha-Gal A enzyme activity and/or genetic testing [,]. FD cardiomyopathy should be considered in individuals with unexplained LVH.
4.4. CMR Findings
CMR plays a multifaceted role in FD cardiomyopathy. It supports diagnosing and differentiating FD cardiomyopathy from other causes of LVH. With higher spatial resolution and the ability to detect patterns of cardiac fibrosis, it can reveal early cardiac involvement of the disease, and, hence, enable early treatment. It also provides prognostic value and accurate monitoring of disease progression [].
On CMR SSFP, better quantification of LV and papillary muscle mass can be made and tracked over time compared to echocardiography. Glycosphingolipid accumulation in myocytes results in a shorter T1 relaxation time on the T1 mapping sequence. In a systemic review, the mean T1 value in FD patients was 935 +/− 48 ms with a 1.5 T CMR scanner, compared to 999 + 31 ms in controls []. Shortened native T1 time has been described in individuals with FD without LVH and correlates with a reduced GLS on echocardiography []. Pseudo-normalization of native T1 time can be noted in areas of myocardial fibrosis or inflammation []. Native T2 mapping can show elevated T2 relaxation time in the basal inferolateral region or other areas of LGE, which reflects myocardial inflammation []. Post-contrast imaging would classically show a pattern of LGE involving the mid-myocardium of the basal inferolateral wall. However, LGE may become more extensive in advanced cases []. ECV values are normal in FD but may increase in areas of fibrosis. Key CMR findings in Fabry disease are summarized in Table 2.
Table 2.
Key CMR findings in Fabry disease.
4.5. The Role of CMR in Prognosis and Disease Monitoring
CMR can risk stratify patients with FD cardiomyopathy and provide prognostic value. For instance, higher LV mass index and more extensive LGE are strongly correlated with the incidence of cardiovascular events, including heart failure, arrhythmias, and cardiac death []. Lower native T1 time is also prognostic as it reflects Gb3 accumulation. Orsborne et al. included age, LV mass index, and native T1 time in a prognostic model that estimates the 5-year risk of adverse cardiovascular events [].
CMR is used to monitor the response to therapy for FD. The response of LVH to therapy has been shown to be variable, with patients with baseline LVH and minimal LGE having more reduction []. T2 time reduces with successful treatment. T1 time would be expected to normalize with therapy as well, however, there have not been studies demonstrating the utility of monitoring T1 time with therapy []. Expert groups suggest routinely obtaining CMR every 2–5 years before the onset of cardiac features and then every 2–3 years in patients with progressive disease to monitor the progression of FD cardiomyopathy and evaluate the success of therapy [,,].
5. Iron Overload Cardiomyopathy
5.1. Pathophysiology and Clinical Presentation
Iron overload can occur as a primary condition of increased intestinal absorption, such as in hereditary hemochromatosis, or as an acquired condition secondary to increased oral or parenteral intake, such as in transfusion-dependent anemias. When transferrin is oversaturated with iron, unbound iron causes oxidative stress to cells, eventually leading to their apoptosis. Iron overload, therefore, can result in multiorgan dysfunction involving the liver, skin, endocrine system, neurological system, and heart []. Cardiac involvement tends to occur later than hepatic involvement and is a major driver of morbidity and mortality in iron overload conditions [,]. In the heart, iron first accumulates in the ventricles, followed by the atria, in an epicardial to endocardial progression pattern. In turn, it can result in diastolic, tachy- or brady-arrhythmias, and eventually systolic dysfunction and pulmonary hypertension [,,]. Iron overload cardiomyopathy (IOC) can, therefore, have a range of presentations depending on the extent of iron deposition. Extracardiac clues to iron overload include cirrhosis, endocrine abnormalities like diabetes mellitus, hypothyroidism, and hypogonadism, and skin hyperpigmentation []. Initial diagnostic evaluation with elevated ferritin (>200 ng/mL for women and >300 ng/mL for men) and transferrin saturation (55% or above) marks the diagnosis of systemic iron overload, but further testing is needed to evaluate for IOC [].
5.2. ECG Findings
ECG can be nondiagnostic in early IOC. As iron deposition increases and involves the atria, supraventricular tachycardias, including atrial fibrillation, can be seen. Ventricular arrhythmias can be seen with reduced LV EF. Prolonged PR and higher degree atrioventricular blocks can occur when the conduction system is affected by iron depositions [,].
5.3. Echocardiography Findings
Although echocardiography cannot directly evaluate iron deposition, it serves as an initial imaging modality to evaluate the cardiac structure and function in IOC. Initially, diastolic dysfunction as evaluated by conventional parameters, including mitral inflow velocities (E/A ratio), tissue Doppler velocities (e′, and E/e′), and ventricular GLS, and atrial strain can be seen in asymptotic individuals with proven cardiac iron deposition [,,,]. In later disease stages, the RV and LV may dilate and have reduced systolic function, and pulmonary hypertension signs may be seen with either phenotype of LV dysfunction (diastolic with restrictive filling vs. dilated with reduced systolic function) [,].
5.4. CMR Findings
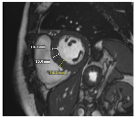
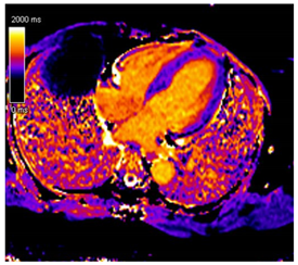
In addition to providing an accurate structural and functional assessment of cardiac chambers in IOC, CMR can quantify cardiac iron overload. Stored iron molecules in the form of hemosiderin act as small magnets when placed in a strong magnetic field, which shortens the relaxation time of tissue protons by disrupting their coherence. This can be measured more specifically as a T2*, which is the half-life time of signal intensity decay obtained using a gradient echo rather than a spin echo in T2 []. T2* is inversely proportional to the tissue iron contact. T2* measured within the interventricular septum is considered highly representative of global myocardial iron and has prognostic implications, as discussed below [,,].
T1 mapping is complementary to T2* and was shown to be concordant []. Native T1 time will be shortened with iron overload. Studies suggest that while T1 time may be more sensitive for cardiac iron content, it is less specific as it can be affected by myocardial fibrosis and fat [,]. Patchy areas of LGE can be seen secondary to replacement fibrosis []. In individuals with β-thalassemia major and myocardial iron overload, ECV was found to be increased and associated with a history of heart failure []. Key CMR findings in IOC are summarized in Table 3.
Table 3.
Key CMR findings in iron overload cardiomyopathy.
5.5. The Role of CMR in Prognosis and Disease Monitoring
CMR can identify preclinical iron overload and enable early initiation of iron-chelation therapy. T2* can be used to risk stratify patients with IOC. T2* less than 20 ms is considered the threshold for myocardial iron overload. Values less than 20 ms were found to correlate with a reduction in LVEF, and values less than 10 ms were found to be associated with a higher risk of developing heart failure and arrhythmias in prospective studies of individuals with β-thalassemia major [,,,]. T2* value, therefore, helps guide the intensity of chelation therapy and is followed up to ensure improvement and response to therapy [].
6. Cardiac Sarcoidosis
6.1. Pathophysiology and Clinical Presentation
Sarcoidosis is a systemic inflammatory disease characterized by the formation of noncaseating granulomas in almost any organ []. It is believed that sarcoidosis occurs secondary to the interplay of genetic predisposition, environmental exposure, and immunological dysregulation []. It affects individuals from all races and ethnicities, with a higher prevalence in African Americans and those of Scandinavian origin [,]. It also affects people of all ages, but incidence peaks at 30 to 50 years in men and 50 to 60 years in women, with a slightly higher prevalence in women [].
While the lungs are the most affected organs, cardiac involvement is a significant driver of morbidity and mortality in sarcoidosis []. Cardiac sarcoidosis (CS) with overt clinical symptoms was found to affect 5% of those with sarcoidosis, but autopsy data showed clinically silent cardiac involvement in up to 25% of patients with sarcoidosis [,,]. Manifestation of CS can range from subclinical cardiomyopathy to arrhythmias and heart failure. A high clinical suspicion for CS should be raised by unexplained sustained ventricular tachycardia, atrioventricular blocks in young individuals, unexplained wall motion abnormalities or aneurysms, and unexplained cardiomyopathy in individuals without a history of extracardiac sarcoidosis []. Screening for CS in individuals with known extracardiac sarcoidosis should be prompted by symptoms such as palpitations or syncope, ECG abnormalities, or cardiac imaging abnormalities [].
Making a definitive diagnosis of CS requires histological evidence of sarcoidosis in the heart, and with the low diagnostic yield of endomyocardial biopsy for CS, multimodality imaging such as echocardiography, CMR, and 18F-fluorodeoxyglucose positron emission tomography (FDG-PET) play a supportive diagnostic role emphasized in the several diagnostic criteria for CS [,,].
6.2. ECG Findings
The ECG is usually normal in asymptomatic CS []. ECG abnormalities in symptomatic CS include atrioventricular blocks, bundle and fascicular branch blocks, ectopic beats, pathological Q waves, and ST-T changes [].
6.3. Echocardiography Findings
In clinically silent CS, only GLS may be abnormal and is associated with future occurrence of cardiac events []. As clinical manifestations arise, the echocardiogram abnormalities in CS include diastolic dysfunction, systolic dysfunction, wall motion abnormalities not following a coronary distribution, wall thickening or thinning, especially at the basal septum, and pericardial effusion [,,].
6.4. CMR Findings
CMR is a sensitive diagnostic tool for CS, with studies yielding sensitivities between 75 and 100% []. SSFP cine imaging is used to assess for regional wall thinning or thickening, aneurysmal or dyskinetic segments, and biventricular systolic function []. In CS, native T1 mapping may be focally increased in regions of fibrosis or edema []. Native T2 mapping may also be focally increased in regions of edema if there is active inflammation []. Black-blood T2 weighted imaging can improve the detection of myocardial edema and was found to have comparable diagnostic performance to FDG-PET in a retrospective study [].
The hallmark of CMR in CS is the evaluation of LGE. LGE can reflect edema in the acute inflammatory phase and replacement fibrosis in the chronic stage of CS. LGE is often patchy, mid-myocardial and/or subepicardial, and involves the basal LV segments and RV portion of the septum [,]. Sometimes, the LGE may be transmural or subendocardial, mimicking an ischemic pattern []. FDG-PET imaging complements CMR, and combining both modalities has been shown to enhance the certainty of CS diagnosis []. In a meta-analysis of histologically proven cardiac sarcoidosis, Okasha et al. found that the lack of any myocardial LGE or the presence of isolated midmyocardial, subendocardial, or transmural LGE were rarely to never present []. This highlights the potential role of certain LGE patterns on CMR in excluding cardiac involvement in sarcoidosis. Key CMR findings in CS are summarized in Table 4.
Table 4.
Key CMR findings in cardiac sarcoidosis.
6.5. The Role of CMR in Prognosis and Disease Monitoring
In addition to its diagnostic sensitivity, CMR offers prognostic value in CS. The presence of LGE, irrespective of LVEF, was found to correlate with arrhythmic risk and major adverse cardiac events [,]. Studies have looked at whether certain patterns of LGE were associated with a higher risk for arrhythmia and mortality. In a recent meta-analysis including 899 patients, those with right ventricular LGE had a significantly higher risk of composite events (all-cause death, cardiovascular events, or sudden cardiac death) (RR: 4.8 [95% CI: 2.4–9.6]; p < 0.01) and a higher risk for sudden cardiac death (RR: 9.5 [95% CI: 4.4–20.5]; p < 0.01) []. Therefore, the presence of LGE on CMR, especially right ventricular LGE, despite an LVEF greater than 35%, could prompt a referral for a primary prevention implantable cardioverter–defibrillator.
7. Conclusions
CMR plays a pivotal role in the diagnosis, prognosis, and disease monitoring of various infiltrative cardiomyopathies. It complements information from other imaging modalities and offers a unique assessment of the myocardium and other cardiac structures. It is becoming a cornerstone in evaluating nonischemic cardiomyopathy, especially when an infiltrative process is suspected (Figure 2). Improving access and availability of CMR is paramount for the care of patients living with cardiomyopathy.
Figure 2.
Proposed diagnostic algorithm for the use of CMR when there is clinical concern for infiltrative cardiomyopathies, as summarized in Figure 1.
Author Contributions
Writing—original draft preparation, M.H.; writing—review and editing, F.B., P.T.B., G.W., A.G.H. and F.H.S.; visualization, F.B. and M.H.; supervision, F.H.S. All authors have read and agreed to the published version of the manuscript.
Funding
This research received no external funding.
Institutional Review Board Statement
Not applicable.
Informed Consent Statement
Not applicable.
Data Availability Statement
No new data were created or analyzed in this study. Data sharing is not applicable to this article.
Conflicts of Interest
The authors declare no conflicts of interest.
Abbreviations
The following abbreviations are used in this manuscript:
| ACC | American College of Cardiology |
| AHA | American Heart Association |
| AL-CM | Amyloid Light Chain Cardiomyopathy |
| alpha-Gal A | alpha-galactosidase A enzyme |
| ATTR-CM | Transthyretin-derived Cardiomyopathy |
| AV | Atrioventricular |
| CM | Cardiomyopathy |
| CMR | Cardiac Magnetic Resonance |
| CS | Cardiac Sarcoidosis |
| ECG | Electrocardiography |
| ECV | Extra-cellular volume |
| EF | Ejection fraction |
| ESC | European Society of Cardiology |
| FD | Fabry Disease |
| FDG-PET | 18F-fluorodeoxyglucose positron emission tomography |
| Gb3 | Globotriaosylceramide |
| Gd | Gadolinium |
| GLS | Global longitudinal strain |
| HCM | Hypertrophic cardiomyopathy |
| HFSA | Heart Failure Society of America |
| IOC | Iron overload cardiomyopathy |
| LGE | Late gadolinium enhancement |
| LV | Left ventricle |
| LVH | Left ventricular hypertrophy |
| LVOT | Left ventricular outflow tract |
| RV | Right Ventricle |
| SSFP | Steady-State Free Precession |
References
- Pereira, N.L.; Grogan, M.; Dec, G.W. Spectrum of Restrictive and Infiltrative Cardiomyopathies. J. Am. Coll. Cardiol. 2018, 71, 1130–1148. [Google Scholar] [CrossRef] [PubMed]
- Bejar, D.; Colombo, P.C.; Latif, F.; Yuzefpolskaya, M. Infiltrative Cardiomyopathies. Clin. Med. Insights Cardiol. 2015, 9, CMC.S19706. [Google Scholar] [CrossRef] [PubMed]
- Elliott, P.; Andersson, B.; Arbustini, E.; Bilinska, Z.; Cecchi, F.; Charron, P.; Dubourg, O.; Kuhl, U.; Maisch, B.; McKenna, W.J.; et al. Classification of the cardiomyopathies: A position statement from the european society of cardiology working group on myocardial and pericardial diseases. Eur. Heart J. 2007, 29, 270–276. [Google Scholar] [CrossRef] [PubMed]
- Penugonda, N. Cardiac MRI in Infiltrative Disorders: A Concise Review. Curr. Cardiol. Rev. 2010, 6, 134–136. [Google Scholar] [CrossRef] [PubMed]
- Tseng, W.-Y.I.; Su, M.-Y.M.; Tseng, Y.-H.E. Introduction to Cardiovascular Magnetic Resonance: Technical Principles and Clinical Applications. Acta Cardiol. Sin. 2016, 32, 129–144. [Google Scholar]
- McDonagh, T.A.; Metra, M.; Adamo, M.; Gardner, R.S.; Baumbach, A.; Böhm, M.; Burri, H.; Butler, J.; Čelutkienė, J.; Chioncel, O.; et al. 2021 ESC Guidelines for the diagnosis and treatment of acute and chronic heart failure. Eur. Heart J. 2021, 42, 3599–3726. [Google Scholar] [CrossRef]
- Heidenreich, P.A.; Bozkurt, B.; Aguilar, D.; Allen, L.A.; Byun, J.J.; Colvin, M.M.; Deswal, A.; Drazner, M.H.; Dunlay, S.M.; Evers, L.R.; et al. 2022 AHA/ACC/HFSA Guideline for the Management of Heart Failure: A Report of the American College of Cardiology/American Heart Association Joint Committee on Clinical Practice Guidelines. Circulation 2022, 145, e895–e1032. [Google Scholar] [CrossRef]
- Writing Committee; Kittleson, M.M.; Ruberg, F.L.; Ambardekar, A.V.; Brannagan, T.H.; Cheng, R.K.; Clarke, J.O.; Dember, L.M.; Frantz, J.G.; Hershberger, R.E.; et al. 2023 ACC Expert Consensus Decision Pathway on Comprehensive Multidisciplinary Care for the Patient with Cardiac Amyloidosis: A Report of the American College of Cardiology Solution Set Oversight Committee. J. Am. Coll. Cardiol. 2023, 81, 1076–1126. [Google Scholar] [CrossRef]
- Murtagh, B.; Hammill, S.C.; Gertz, M.A.; Kyle, R.A.; Tajik, A.J.; Grogan, M. Electrocardiographic findings in primary systemic amyloidosis and biopsy-proven cardiac involvement. Am. J. Cardiol. 2005, 95, 535–537. [Google Scholar] [CrossRef]
- Falk, R.H.; Plehn, J.F.; Deering, T.; Schick, E.C.; Boinay, P.; Rubinow, A.; Skinner, M.; Cohen, A.S. Sensitivity and specificity of the echocardiographic features of cardiac amyloidosis. Am. J. Cardiol. 1987, 59, 418–422. [Google Scholar] [CrossRef]
- Sun, J.P.; Stewart, W.J.; Yang, X.S.; Donnell, R.O.; Leon, A.R.; Felner, J.M.; Thomas, J.D.; Merlino, J.D. Differentiation of hypertrophic cardiomyopathy and cardiac amyloidosis from other causes of ventricular wall thickening by two-dimensional strain imaging echocardiography. Am. J. Cardiol. 2009, 103, 411–415. [Google Scholar] [CrossRef] [PubMed]
- Phelan, D.; Collier, P.; Thavendiranathan, P.; Popović, Z.B.; Hanna, M.; Plana, J.C.; Marwick, T.H.; Thomas, J.D. Relative apical sparing of longitudinal strain using two-dimensional speckle-tracking echocardiography is both sensitive and specific for the diagnosis of cardiac amyloidosis. Heart Br. Card. Soc. 2012, 98, 1442–1448. [Google Scholar] [CrossRef] [PubMed]
- Ternacle, J.; Bodez, D.; Guellich, A.; Audureau, E.; Rappeneau, S.; Lim, P.; Radu, C.; Guendouz, S.; Couetil, J.-P.; Benhaiem, N.; et al. Causes and Consequences of Longitudinal LV Dysfunction Assessed by 2D Strain Echocardiography in Cardiac Amyloidosis. JACC Cardiovasc. Imaging 2016, 9, 126–138. [Google Scholar] [CrossRef] [PubMed]
- Boldrini, M.; Cappelli, F.; Chacko, L.; Restrepo-Cordoba, M.A.; Lopez-Sainz, A.; Giannoni, A.; Aimo, A.; Baggiano, A.; Martinez-Naharro, A.; Whelan, C.; et al. Multiparametric Echocardiography Scores for the Diagnosis of Cardiac Amyloidosis. JACC Cardiovasc. Imaging 2020, 13, 909–920. [Google Scholar] [CrossRef]
- Scheel, P.J.; Mukherjee, M.; Hays, A.G.; Vaishnav, J. Multimodality Imaging in the Evaluation and Prognostication of Cardiac Amyloidosis. Front. Cardiovasc. Med. 2022, 9, 787618. [Google Scholar] [CrossRef]
- de Gregorio, C.; Trimarchi, G.; Faro, D.C.; De Gaetano, F.; Campisi, M.; Losi, V.; Zito, C.; Tamburino, C.; Di Bella, G.; Monte, I.P. Myocardial Work Appraisal in Transthyretin Cardiac Amyloidosis and Nonobstructive Hypertrophic Cardiomyopathy. Am. J. Cardiol. 2023, 208, 173–179. [Google Scholar] [CrossRef]
- Monte, I.P.; Faro, D.C.; Trimarchi, G.; de Gaetano, F.; Campisi, M.; Losi, V.; Teresi, L.; Di Bella, G.; Tamburino, C.; de Gregorio, C. Left Atrial Strain Imaging by Speckle Tracking Echocardiography: The Supportive Diagnostic Value in Cardiac Amyloidosis and Hypertrophic Cardiomyopathy. J. Cardiovasc. Dev. Dis. 2023, 10, 261. [Google Scholar] [CrossRef]
- Martinez-Naharro, A.; Treibel, T.A.; Abdel-Gadir, A.; Bulluck, H.; Zumbo, G.; Knight, D.S.; Kotecha, T.; Francis, R.; Hutt, D.F.; Rezk, T.; et al. Magnetic Resonance in Transthyretin Cardiac Amyloidosis. J. Am. Coll. Cardiol. 2017, 70, 466–477. [Google Scholar] [CrossRef]
- Martinez-Naharro, A.; Kotecha, T.; Norrington, K.; Boldrini, M.; Rezk, T.; Quarta, C.; Treibel, T.A.; Whelan, C.J.; Knight, D.S.; Kellman, P.; et al. Native T1 and Extracellular Volume in Transthyretin Amyloidosis. JACC Cardiovasc. Imaging 2019, 12, 810–819. [Google Scholar] [CrossRef]
- Kotecha, T.; Martinez-Naharro, A.; Treibel, T.A.; Francis, R.; Nordin, S.; Abdel-Gadir, A.; Knight, D.S.; Zumbo, G.; Rosmini, S.; Maestrini, V.; et al. Myocardial Edema and Prognosis in Amyloidosis. J. Am. Coll. Cardiol. 2018, 71, 2919–2931. [Google Scholar] [CrossRef]
- Fontana, M.; Chung, R.; Hawkins, P.N.; Moon, J.C. Cardiovascular magnetic resonance for amyloidosis. Heart Fail. Rev. 2015, 20, 133–144. [Google Scholar] [CrossRef] [PubMed]
- Sado, D.M.; Flett, A.S.; Banypersad, S.M.; White, S.K.; Maestrini, V.; Quarta, G.; Lachmann, R.H.; Murphy, E.; Mehta, A.; Hughes, D.A.; et al. Cardiovascular magnetic resonance measurement of myocardial extracellular volume in health and disease. Heart 2012, 98, 1436–1441. [Google Scholar] [CrossRef] [PubMed]
- Banypersad, S.M.; Sado, D.M.; Flett, A.S.; Gibbs, S.D.J.; Pinney, J.H.; Maestrini, V.; Cox, A.T.; Fontana, M.; Whelan, C.J.; Wechalekar, A.D.; et al. Quantification of Myocardial Extracellular Volume Fraction in Systemic AL Amyloidosis. Circ. Cardiovasc. Imaging 2013, 6, 34–39. [Google Scholar] [CrossRef] [PubMed]
- Williams, L.K.; Forero, J.F.; Popovic, Z.B.; Phelan, D.; Delgado, D.; Rakowski, H.; Wintersperger, B.J.; Thavendiranathan, P. Patterns of CMR measured longitudinal strain and its association with late gadolinium enhancement in patients with cardiac amyloidosis and its mimics. J. Cardiovasc. Magn. Reson. 2017, 19, 61. [Google Scholar] [CrossRef]
- Wan, K.; Sun, J.; Han, Y.; Luo, Y.; Liu, H.; Yang, D.; Cheng, W.; Zhang, Q.; Zeng, Z.; Chen, Y. Right ventricular involvement evaluated by cardiac magnetic resonance imaging predicts mortality in patients with light chain amyloidosis. Heart Vessels 2018, 33, 170–179. [Google Scholar] [CrossRef]
- Fontana, M.; Pica, S.; Reant, P.; Abdel-Gadir, A.; Treibel, T.A.; Banypersad, S.M.; Maestrini, V.; Barcella, W.; Rosmini, S.; Bulluck, H.; et al. Prognostic Value of Late Gadolinium Enhancement Cardiovascular Magnetic Resonance in Cardiac Amyloidosis. Circulation 2015, 132, 1570–1579. [Google Scholar] [CrossRef]
- Ruberg, F.L.; Appelbaum, E.; Davidoff, R.; Ozonoff, A.; Kissinger, K.V.; Harrigan, C.; Skinner, M.; Manning, W.J. Diagnostic and prognostic utility of cardiovascular magnetic resonance imaging in light-chain cardiac amyloidosis. Am. J. Cardiol. 2009, 103, 544–549. [Google Scholar] [CrossRef]
- Martinez-Naharro, A.; Abdel-Gadir, A.; Treibel, T.A.; Zumbo, G.; Knight, D.S.; Rosmini, S.; Lane, T.; Mahmood, S.; Sachchithanantham, S.; Whelan, C.J.; et al. CMR-Verified Regression of Cardiac AL Amyloid After Chemotherapy. JACC Cardiovasc. Imaging 2018, 11, 152–154. [Google Scholar] [CrossRef]
- Germain, D.P. Fabry disease. Orphanet J. Rare Dis. 2010, 5, 30. [Google Scholar] [CrossRef]
- Mehta, A.; Ricci, R.; Widmer, U.; Dehout, F.; Garcia de Lorenzo, A.; Kampmann, C.; Linhart, A.; Sunder-Plassmann, G.; Ries, M.; Beck, M. Fabry disease defined: Baseline clinical manifestations of 366 patients in the Fabry Outcome Survey. Eur. J. Clin. Investig. 2004, 34, 236–242. [Google Scholar] [CrossRef]
- Nakao, S.; Takenaka, T.; Maeda, M.; Kodama, C.; Tanaka, A.; Tahara, M.; Yoshida, A.; Kuriyama, M.; Hayashibe, H.; Sakuraba, H. An atypical variant of Fabry’s disease in men with left ventricular hypertrophy. N. Engl. J. Med. 1995, 333, 288–293. [Google Scholar] [CrossRef] [PubMed]
- Lin, H.-Y.; Chong, K.-W.; Hsu, J.-H.; Yu, H.-C.; Shih, C.-C.; Huang, C.-H.; Lin, S.-J.; Chen, C.-H.; Chiang, C.-C.; Ho, H.-J.; et al. High Incidence of the Cardiac Variant of Fabry Disease Revealed by Newborn Screening in the Taiwan Chinese Population. Circ. Cardiovasc. Genet. 2009, 2, 450–456. [Google Scholar] [CrossRef] [PubMed]
- Sachdev, B.; Takenaka, T.; Teraguchi, H.; Tei, C.; Lee, P.; McKenna, W.J.; Elliott, P.M. Prevalence of Anderson-Fabry Disease in Male Patients with Late Onset Hypertrophic Cardiomyopathy. Circulation 2002, 105, 1407–1411. [Google Scholar] [CrossRef] [PubMed]
- Chimenti, C.; Pieroni, M.; Morgante, E.; Antuzzi, D.; Russo, A.; Russo, M.A.; Maseri, A.; Frustaci, A. Prevalence of Fabry Disease in Female Patients with Late-Onset Hypertrophic Cardiomyopathy. Circulation 2004, 110, 1047–1053. [Google Scholar] [CrossRef]
- Waldek, S.; Patel, M.R.; Banikazemi, M.; Lemay, R.; Lee, P. Life expectancy and cause of death in males and females with Fabry disease: Findings from the Fabry Registry. Genet. Med. Off. J. Am. Coll. Med. Genet. 2009, 11, 790–796. [Google Scholar] [CrossRef]
- Linhart, A.; Kampmann, C.; Zamorano, J.L.; Sunder-Plassmann, G.; Beck, M.; Mehta, A.; Elliott, P.M. European FOS Investigators Cardiac manifestations of Anderson-Fabry disease: Results from the international Fabry outcome survey. Eur. Heart J. 2007, 28, 1228–1235. [Google Scholar] [CrossRef]
- Calcagnino, M.; O’Mahony, C.; Coats, C.; Cardona, M.; Garcia, A.; Janagarajan, K.; Mehta, A.; Hughes, D.; Murphy, E.; Lachmann, R.; et al. Exercise-Induced Left Ventricular Outflow Tract Obstruction in Symptomatic Patients with Anderson-Fabry Disease. J. Am. Coll. Cardiol. 2011, 58, 88–89. [Google Scholar] [CrossRef]
- Niemann, M.; Breunig, F.; Beer, M.; Herrmann, S.; Strotmann, J.; Hu, K.; Emmert, A.; Voelker, W.; Ertl, G.; Wanner, C.; et al. The right ventricle in Fabry disease: Natural history and impact of enzyme replacement therapy. Heart Br. Card. Soc. 2010, 96, 1915–1919. [Google Scholar] [CrossRef]
- Labombarda, F.; Saloux, E.; Milesi, G.; Bienvenu, B. Loss of base-to-apex circumferential strain gradient: A specific pattern of Fabry cardiomyopathy? Echocardiography 2017, 34, 504–510. [Google Scholar] [CrossRef]
- Perry, R.; Shah, R.; Saiedi, M.; Patil, S.; Ganesan, A.; Linhart, A.; Selvanayagam, J.B. The Role of Cardiac Imaging in the Diagnosis and Management of Anderson-Fabry Disease. JACC Cardiovasc. Imaging 2019, 12 Pt 1, 1230–1242. [Google Scholar] [CrossRef]
- Esposito, R.; Santoro, C.; Mandoli, G.E.; Cuomo, V.; Sorrentino, R.; La Mura, L.; Pastore, M.C.; Bandera, F.; D’Ascenzi, F.; Malagoli, A.; et al. Cardiac Imaging in Anderson-Fabry Disease: Past, Present and Future. J. Clin. Med. 2021, 10, 1994. [Google Scholar] [CrossRef] [PubMed]
- Ponsiglione, A.; Gambardella, M.; Green, R.; Cantoni, V.; Nappi, C.; Ascione, R.; De Giorgi, M.; Cuocolo, R.; Pisani, A.; Petretta, M.; et al. Cardiovascular magnetic resonance native T1 mapping in Anderson-Fabry disease: A systematic review and meta-analysis. J. Cardiovasc. Magn. Reson. 2022, 24, 31. [Google Scholar] [CrossRef] [PubMed]
- Pica, S.; Sado, D.M.; Maestrini, V.; Fontana, M.; White, S.K.; Treibel, T.; Captur, G.; Anderson, S.; Piechnik, S.K.; Robson, M.D.; et al. Reproducibility of native myocardial T1 mapping in the assessment of Fabry disease and its role in early detection of cardiac involvement by cardiovascular magnetic resonance. J. Cardiovasc. Magn. Reson. 2014, 16, 99. [Google Scholar] [CrossRef] [PubMed]
- Sado, D.M.; White, S.K.; Piechnik, S.K.; Banypersad, S.M.; Treibel, T.; Captur, G.; Fontana, M.; Maestrini, V.; Flett, A.S.; Robson, M.D.; et al. Identification and Assessment of Anderson-Fabry Disease by Cardiovascular Magnetic Resonance Noncontrast Myocardial T1 Mapping. Circ. Cardiovasc. Imaging 2013, 6, 392–398. [Google Scholar] [CrossRef]
- Deva, D.P.; Hanneman, K.; Li, Q.; Ng, M.Y.; Wasim, S.; Morel, C.; Iwanochko, R.M.; Thavendiranathan, P.; Crean, A.M. Cardiovascular magnetic resonance demonstration of the spectrum of morphological phenotypes and patterns of myocardial scarring in Anderson-Fabry disease. J. Cardiovasc. Magn. Reson. 2016, 18, 14. [Google Scholar] [CrossRef]
- Hanneman, K.; Karur, G.R.; Wasim, S.; Wald, R.M.; Iwanochko, R.M.; Morel, C.F. Left Ventricular Hypertrophy and Late Gadolinium Enhancement at Cardiac MRI Are Associated with Adverse Cardiac Events in Fabry Disease. Radiology 2020, 294, 42–49. [Google Scholar] [CrossRef]
- Orsborne, C.; Bradley, J.; Bonnett, L.J.; Pleva, L.A.; Naish, J.H.; Clark, D.G.; Abidin, N.; Woolfson, P.; Nucifora, G.; Schmitt, M.; et al. Validated Model for Prediction of Adverse Cardiac Outcome in Patients with Fabry Disease. J. Am. Coll. Cardiol. 2022, 80, 982–994. [Google Scholar] [CrossRef]
- Kampmann, C.; Perrin, A.; Beck, M. Effectiveness of agalsidase alfa enzyme replacement in Fabry disease: Cardiac outcomes after 10 years’ treatment. Orphanet J. Rare Dis. 2015, 10, 125. [Google Scholar] [CrossRef]
- Desnick, R.J.; Brady, R.; Barranger, J.; Collins, A.J.; Germain, D.P.; Goldman, M.; Grabowski, G.; Packman, S.; Wilcox, W.R. Fabry Disease, an Under-Recognized Multisystemic Disorder: Expert Recommendations for Diagnosis, Management, and Enzyme Replacement Therapy. Ann. Intern. Med. 2003, 138, 338–346. [Google Scholar] [CrossRef]
- Martins, A.M.; D’Almeida, V.; Kyosen, S.O.; Takata, E.T.; Delgado, A.G.; Gonçalves, Â.M.B.F.; Filho, C.C.B.; Filho, D.M.; Biagini, G.; Pimentel, H.; et al. Guidelines to Diagnosis and Monitoring of Fabry Disease and Review of Treatment Experiences. J. Pediatr. 2009, 155, S19–S31. [Google Scholar] [CrossRef]
- Linhart, A.; Germain, D.P.; Olivotto, I.; Akhtar, M.M.; Anastasakis, A.; Hughes, D.; Namdar, M.; Pieroni, M.; Hagège, A.; Cecchi, F.; et al. An expert consensus document on the management of cardiovascular manifestations of Fabry disease. Eur. J. Heart Fail. 2020, 22, 1076–1096. [Google Scholar] [CrossRef] [PubMed]
- McLaren, G.D.; Muir, W.A.; Kellermeyer, R.W. Iron overload disorders: Natural history, pathogenesis, diagnosis, and therapy. Crit. Rev. Clin. Lab. Sci. 1983, 19, 205–266. [Google Scholar] [CrossRef] [PubMed]
- Wood, J.C. Cardiac iron across different transfusion-dependent diseases. Blood Rev. 2008, 22 (Suppl. 2), S14–S21. [Google Scholar] [CrossRef]
- Noetzli, L.J.; Carson, S.M.; Nord, A.S.; Coates, T.D.; Wood, J.C. Longitudinal analysis of heart and liver iron in thalassemia major. Blood 2008, 112, 2973–2978. [Google Scholar] [CrossRef] [PubMed]
- Buja, L.M.; Roberts, W.C. Iron in the heart: Etiology and clinical significance. Am. J. Med. 1971, 51, 209–221. [Google Scholar] [CrossRef]
- Kremastinos, D.T.; Farmakis, D. Iron Overload Cardiomyopathy in Clinical Practice. Circulation 2011, 124, 2253–2263. [Google Scholar] [CrossRef]
- Schmitt, B.; Golub, R.M.; Green, R. Screening primary care patients for hereditary hemochromatosis with transferrin saturation and serum ferritin level: Systematic review for the American College of Physicians. Ann. Intern. Med. 2005, 143, 522–536. [Google Scholar] [CrossRef]
- Detterich, J.; Noetzli, L.; Dorey, F.; Bar-Cohen, Y.; Harmatz, P.; Coates, T.; Wood, J. Electrocardiographic consequences of cardiac iron overload in thalassemia major. Am. J. Hematol. 2012, 87, 139–144. [Google Scholar] [CrossRef]
- Aronow, W.S.; Meister, L.; Kent, J.R. Atrioventricular block in familial hemochromatosis treated by permanent synchronous pacemaker. Arch. Intern. Med. 1969, 123, 433–435. [Google Scholar] [CrossRef]
- Spirito, P.; Lupi, G.; Melevendi, C.; Vecchio, C. Restrictive diastolic abnormalities identified by Doppler echocardiography in patients with thalassemia major. Circulation 1990, 82, 88–94. [Google Scholar] [CrossRef]
- Vichinsky, E.P.; MacKlin, E.A.; Waye, J.S.; Lorey, F.; Olivieri, N.F. Changes in the epidemiology of thalassemia in North America: A new minority disease. Pediatrics 2005, 116, e818–e825. [Google Scholar] [CrossRef] [PubMed]
- Narayana, G.; Ramagopal, G.; Sutay, N.R.; Duggal, B. Assessment of Regional and Global Myocardial Systolic Function by 2D Longitudinal Speckle Tracking in Children with Beta Thalassemia Major. J. Clin. Prev. Cardiol. 2017, 6, 137. [Google Scholar] [CrossRef]
- Zimmerman, M.J.; Rosing, D.R.; Shizukuda, Y. Advancement of echocardiography for surveillance of iron overload cardiomyopathy: Comparison to cardiac magnetic resonance imaging. J. Echocardiogr. 2021, 19, 141–149. [Google Scholar] [CrossRef]
- Hahalis, G.; Manolis, A.S.; Apostolopoulos, D.; Alexopoulos, D.; Vagenakis, A.G.; Zoumbos, N.C. Right ventricular cardiomyopathy in β-thalassaemia major. Eur. Heart J. 2002, 23, 147–156. [Google Scholar] [CrossRef] [PubMed]
- Wood, J.C. Magnetic resonance imaging measurement of iron overload. Curr. Opin. Hematol. 2007, 14, 183–190. [Google Scholar] [CrossRef]
- Carpenter, J.-P.; He, T.; Kirk, P.; Roughton, M.; Anderson, L.J.; de Noronha, S.V.; Sheppard, M.N.; Porter, J.B.; Walker, J.M.; Wood, J.C.; et al. On T2* Magnetic Resonance and Cardiac Iron. Circulation 2011, 123, 1519–1528. [Google Scholar] [CrossRef]
- Anderson, L.J.; Holden, S.; Davis, B.; Prescott, E.; Charrier, C.C.; Bunce, N.H.; Firmin, D.N.; Wonke, B.; Porter, J.; Walker, J.M.; et al. Cardiovascular T2-star (T2*) magnetic resonance for the early diagnosis of myocardial iron overload. Eur. Heart J. 2001, 22, 2171–2179. [Google Scholar] [CrossRef]
- Torlasco, C.; Cassinerio, E.; Roghi, A.; Faini, A.; Capecchi, M.; Abdel-Gadir, A.; Giannattasio, C.; Parati, G.; Moon, J.C.; Cappellini, M.D.; et al. Role of T1 mapping as a complementary tool to T2* for non-invasive cardiac iron overload assessment. PLoS ONE 2018, 13, e0192890. [Google Scholar] [CrossRef]
- Meloni, A.; Martini, N.; Positano, V.; De Luca, A.; Pistoia, L.; Sbragi, S.; Spasiano, A.; Casini, T.; Bitti, P.P.; Allò, M.; et al. Myocardial iron overload by cardiovascular magnetic resonance native segmental T1 mapping: A sensitive approach that correlates with cardiac complications. J. Cardiovasc. Magn. Reson. 2021, 23, 70. [Google Scholar] [CrossRef]
- Pepe, A.; Positano, V.; Capra, M.; Maggio, A.; Pinto, C.L.; Spasiano, A.; Forni, G.; Derchi, G.; Favilli, B.; Rossi, G.; et al. Myocardial scarring by delayed enhancement cardiovascular magnetic resonance in thalassaemia major. Heart Br. Card. Soc. 2009, 95, 1688–1693. [Google Scholar] [CrossRef]
- Meloni, A.; Pistoia, L.; Gamberini, M.R.; Cuccia, L.; Lisi, R.; Cecinati, V.; Ricchi, P.; Gerardi, C.; Restaino, G.; Righi, R.; et al. Multi-Parametric Cardiac Magnetic Resonance for Prediction of Heart Failure Death in Thalassemia Major. Diagnostics 2023, 13, 890. [Google Scholar] [CrossRef] [PubMed]
- Kirk, P.; Roughton, M.; Porter, J.B.; Walker, J.M.; Tanner, M.A.; Patel, J.; Wu, D.; Taylor, J.; Westwood, M.A.; Anderson, L.J.; et al. Cardiac T2* Magnetic Resonance for Prediction of Cardiac Complications in Thalassemia Major. Circulation 2009, 120, 1961–1968. [Google Scholar] [CrossRef] [PubMed]
- Aessopos, A.; Fragodimitri, C.; Karabatsos, F.; Hatziliami, A.; Yousef, J.; Giakoumis, A.; Dokou, A.; Gotsis, E.D.; Berdoukas, V.; Karagiorga, M. Cardiac magnetic resonance imaging R2* assessments and analysis of historical parameters in patients with transfusion-dependent thalassemia. Haematologica 2007, 92, 131–132. [Google Scholar] [CrossRef]
- Marsella, M.; Borgna-Pignatti, C.; Meloni, A.; Caldarelli, V.; Dell’Amico, M.C.; Spasiano, A.; Pitrolo, L.; Cracolici, E.; Valeri, G.; Positano, V.; et al. Cardiac iron and cardiac disease in males and females with transfusion-dependent thalassemia major: A T2* magnetic resonance imaging study. Haematologica 2011, 96, 515–520. [Google Scholar] [CrossRef]
- Iannuzzi, M.C.; Rybicki, B.A.; Teirstein, A.S. Sarcoidosis. N. Engl. J. Med. 2007, 357, 2153–2165. [Google Scholar] [CrossRef]
- Drent, M.; Crouser, E.D.; Grunewald, J. Challenges of Sarcoidosis and Its Management. N. Engl. J. Med. 2021, 385, 1018–1032. [Google Scholar] [CrossRef]
- Rybicki, B.A.; Major, M.; Popovich, J., Jr.; Maliank, M.J.; Lannuzzi, M.C. Racial Differences in Sarcoidosis Incidence: A 5-Year Study in a Health Maintenance Organization. Am. J. Epidemiol. 1997, 145, 234–241. [Google Scholar] [CrossRef]
- Newman, L.S.; Rose, C.S.; Maier, L.A. Sarcoidosis. N. Engl. J. Med. 1997, 336, 1224–1234. [Google Scholar] [CrossRef]
- Arkema, E.V.; Cozier, Y.C. Sarcoidosis epidemiology: Recent estimates of incidence, prevalence and risk factors. Curr. Opin. Pulm. Med. 2020, 26, 527. [Google Scholar] [CrossRef]
- Silverman, K.J.; Hutchins, G.M.; Bulkley, B.H. Cardiac sarcoid: A clinicopathologic study of 84 unselected patients with systemic sarcoidosis. Circulation 1978, 58, 1204–1211. [Google Scholar] [CrossRef]
- Iwai, K.; Tachibana, T.; Takemura, T.; Matsui, Y.; Kitalchi, M.; Kawabata, Y. Pathological studies on sarcoidosis autopsy. I. Epidemiological features of 320 cases in Japan. Acta Pathol. Jpn. 1993, 43, 372–376. [Google Scholar] [CrossRef] [PubMed]
- Birnie, D.H.; Nery, P.B.; Ha, A.C.; Beanlands, R.S.B. Cardiac Sarcoidosis. J. Am. Coll. Cardiol. 2016, 68, 411–421. [Google Scholar] [CrossRef]
- Gilotra, N.A.; Griffin, J.M.; Pavlovic, N.; Houston, B.A.; Chasler, J.; Goetz, C.; Chrispin, J.; Sharp, M.; Kasper, E.K.; Chen, E.S.; et al. Sarcoidosis-Related Cardiomyopathy: Current Knowledge, Challenges, and Future Perspectives State-of-the-Art Review. J. Card. Fail. 2022, 28, 113–132. [Google Scholar] [CrossRef] [PubMed]
- Hiraga, H.; Yuwai, K.; Hiroe, M. Diagnostic standard and guidelines for sarcoidosis. Jpn J Sarcoidosis Granulomatous Disord. 2007, 27, 89–102. [Google Scholar]
- Birnie, D.H.; Sauer, W.H.; Bogun, F.; Cooper, J.M.; Culver, D.A.; Duvernoy, C.S.; Judson, M.A.; Kron, J.; Mehta, D.; Cosedis Nielsen, J.; et al. HRS Expert Consensus Statement on the Diagnosis and Management of Arrhythmias Associated with Cardiac Sarcoidosis. Heart Rhythm. 2014, 11, 1304–1323. [Google Scholar] [CrossRef]
- Wand, A.L.; Chrispin, J.; Saad, E.; Mukherjee, M.; Hays, A.G.; Gilotra, N.A. Current State and Future Directions of Multimodality Imaging in Cardiac Sarcoidosis. Front. Cardiovasc. Med. 2021, 8, 785279. [Google Scholar] [CrossRef]
- Joyce, E.; Ninaber, M.K.; Katsanos, S.; Debonnaire, P.; Kamperidis, V.; Bax, J.J.; Taube, C.; Delgado, V.; Ajmone Marsan, N. Subclinical left ventricular dysfunction by echocardiographic speckle-tracking strain analysis relates to outcome in sarcoidosis. Eur. J. Heart Fail. 2015, 17, 51–62. [Google Scholar] [CrossRef]
- Lehtonen, J.; Uusitalo, V.; Pöyhönen, P.; Mäyränpää, M.I.; Kupari, M. Cardiac sarcoidosis: Phenotypes, diagnosis, treatment, and prognosis. Eur. Heart J. 2023, 44, 1495–1510. [Google Scholar] [CrossRef]
- Burstow, D.J.; Tajik, A.J.; Bailey, K.R.; DeRemee, R.A.; Taliercio, C.P. Two-dimensional echocardiographic findings in systemic sarcoidosis. Am. J. Cardiol. 1989, 63, 478–482. [Google Scholar] [CrossRef]
- Ayyala, U.S.; Nair, A.P.; Padilla, M.L. Cardiac Sarcoidosis. Clin. Chest Med. 2008, 29, 493–508. [Google Scholar] [CrossRef]
- Blankstein, R.; Waller, A.H. Evaluation of Known or Suspected Cardiac Sarcoidosis. Circ. Cardiovasc. Imaging 2016, 9, e000867. [Google Scholar] [CrossRef] [PubMed]
- Greulich, S.; Kitterer, D.; Latus, J.; Aguor, E.; Steubing, H.; Kaesemann, P.; Patrascu, A.; Greiser, A.; Groeninger, S.; Mayr, A.; et al. Comprehensive Cardiovascular Magnetic Resonance Assessment in Patients with Sarcoidosis and Preserved Left Ventricular Ejection Fraction. Circ. Cardiovasc. Imaging 2016, 9, e005022. [Google Scholar] [CrossRef] [PubMed]
- Tonegawa-Kuji, R.; Oyama-Manabe, N.; Aoki, R.; Nagayoshi, S.; Pawhay, C.M.H.; Kusano, K.; Nakajima, T. T2-weighted short-tau-inversion-recovery imaging reflects disease activity of cardiac sarcoidosis. Open Heart 2021, 8, e001728. [Google Scholar] [CrossRef]
- Watanabe, E.; Kimura, F.; Nakajima, T.; Hiroe, M.; Kasai, Y.; Nagata, M.; Kawana, M.; Hagiwara, N. Late Gadolinium Enhancement in Cardiac Sarcoidosis: Characteristic Magnetic Resonance Findings and Relationship with Left Ventricular Function. J. Thorac. Imaging 2013, 28, 60–66. [Google Scholar] [CrossRef]
- Mahrholdt, H.; Wagner, A.; Judd, R.M.; Sechtem, U.; Kim, R.J. Delayed enhancement cardiovascular magnetic resonance assessment of non-ischaemic cardiomyopathies. Eur. Heart J. 2005, 26, 1461–1474. [Google Scholar] [CrossRef]
- Vita, T.; Okada, D.R.; Veillet-Chowdhury, M.; Bravo, P.E.; Mullins, E.; Hulten, E.; Agrawal, M.; Madan, R.; Taqueti, V.R.; Steigner, M.; et al. Complementary Value of Cardiac Magnetic Resonance Imaging and Positron Emission Tomography/Computed Tomography in the Assessment of Cardiac Sarcoidosis. Circ. Cardiovasc. Imaging 2018, 11, e007030. [Google Scholar] [CrossRef]
- Okasha, O.; Kazmirczak, F.; Chen, K.A.; Farzaneh-Far, A.; Shenoy, C. Myocardial Involvement in Patients with Histologically Diagnosed Cardiac Sarcoidosis: A Systematic Review and Meta-Analysis of Gross Pathological Images from Autopsy or Cardiac Transplantation Cases. J. Am. Heart Assoc. Cardiovasc. Cerebrovasc. Dis. 2019, 8, e011253. [Google Scholar] [CrossRef]
- Greulich, S.; Deluigi, C.C.; Gloekler, S.; Wahl, A.; Zürn, C.; Kramer, U.; Nothnagel, D.; Bültel, H.; Schumm, J.; Grün, S.; et al. CMR Imaging Predicts Death and Other Adverse Events in Suspected Cardiac Sarcoidosis. JACC Cardiovasc. Imaging 2013, 6, 501–511. [Google Scholar] [CrossRef]
- Hulten, E.; Agarwal, V.; Cahill, M.; Cole, G.; Vita, T.; Parrish, S.; Bittencourt, M.S.; Murthy, V.L.; Kwong, R.; Di Carli, M.F.; et al. Presence of Late Gadolinium Enhancement by Cardiac Magnetic Resonance Among Patients with Suspected Cardiac Sarcoidosis Is Associated with Adverse Cardiovascular Prognosis: A Systematic Review and Meta-Analysis. Circ. Cardiovasc. Imaging 2016, 9, e005001. [Google Scholar] [CrossRef]
- Wang, J.; Zhang, J.; Hosadurg, N.; Iwanaga, Y.; Chen, Y.; Liu, W.; Wan, K.; Patel, A.R.; Wicks, E.C.; Gkoutos, G.V.; et al. Prognostic Value of RV Abnormalities on CMR in Patients with Known or Suspected Cardiac Sarcoidosis. JACC Cardiovasc. Imaging 2023, 16, 361–372. [Google Scholar] [CrossRef]
Disclaimer/Publisher’s Note: The statements, opinions and data contained in all publications are solely those of the individual author(s) and contributor(s) and not of MDPI and/or the editor(s). MDPI and/or the editor(s) disclaim responsibility for any injury to people or property resulting from any ideas, methods, instructions or products referred to in the content. |
© 2025 by the authors. Licensee MDPI, Basel, Switzerland. This article is an open access article distributed under the terms and conditions of the Creative Commons Attribution (CC BY) license (https://creativecommons.org/licenses/by/4.0/).

















