Surgically Treated Hind-Limb Fibromyxochondroma in a Cranwell’s Horned Frog (Ceratophrys cranwelli)
Abstract
1. Introduction
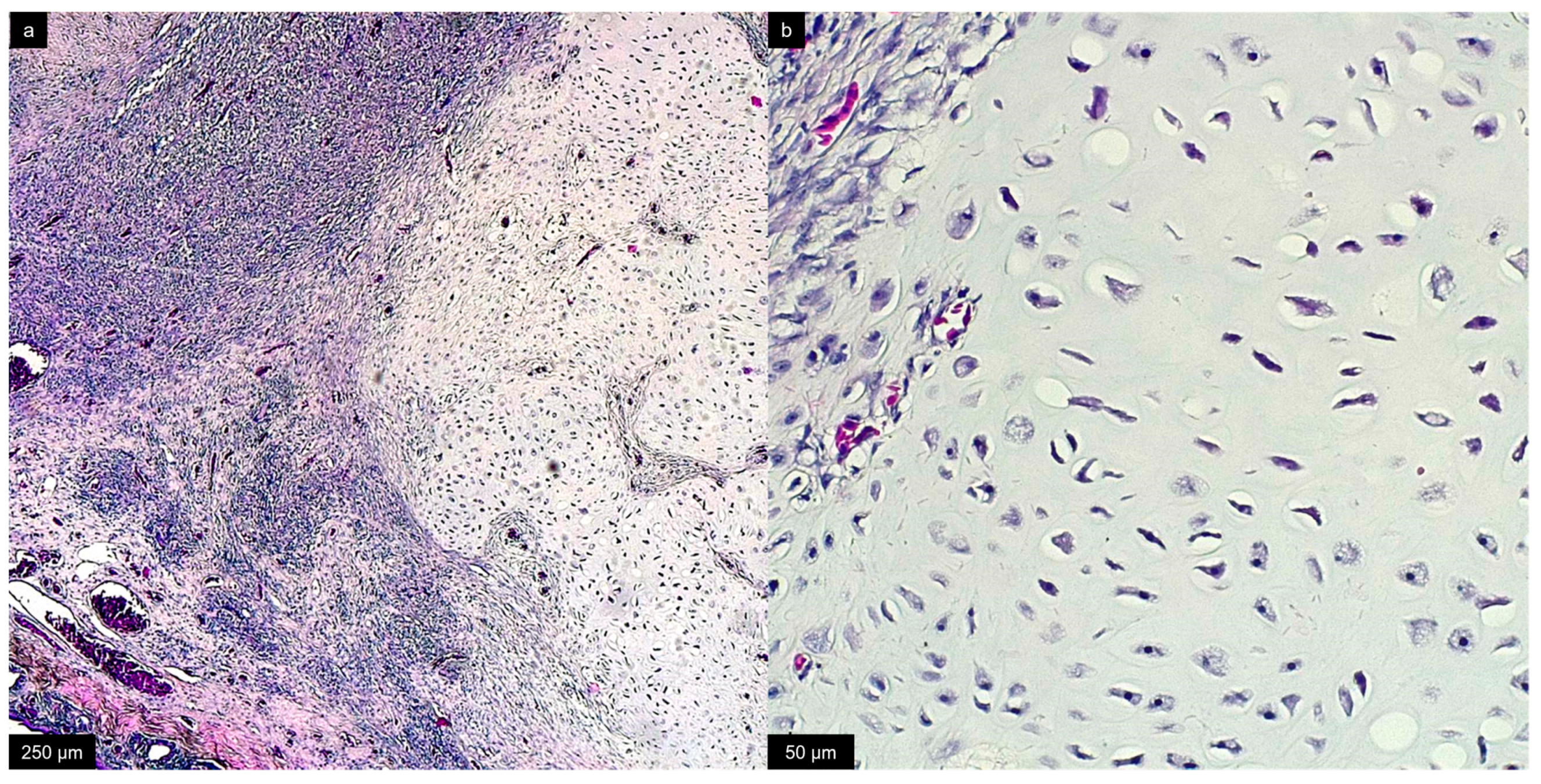
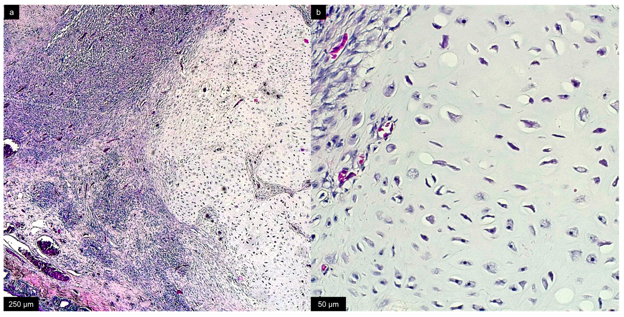
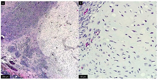
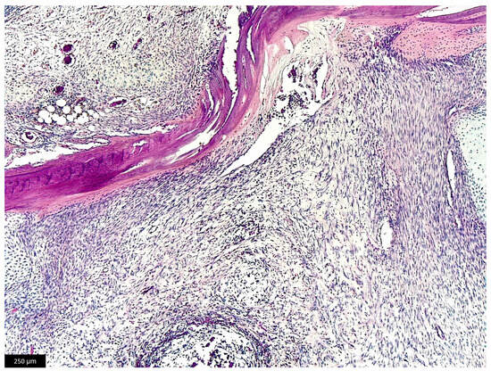
2. Case Description
3. Discussion
4. Conclusions
Supplementary Materials
Author Contributions
Funding
Institutional Review Board Statement
Informed Consent Statement
Data Availability Statement
Conflicts of Interest
References
- Long, S.; Qiao, Y.; Zhou, S.; Muhammad-Farooq, T.; Shen, Y. Reference intervals for hematology, plasma biochemistry, and bone mineral density in captive Ceratophrys cranwelli (Anura: Ceratophryidae). Anim. Dis. 2023, 3, 32. [Google Scholar] [CrossRef]
- Lappin, A.K.; Wilcox, S.C.; Moriarty, D.J.; Stoeppler, S.A.; Evans, S.E.; Jones, M.E. Bite force in the horned frog (Ceratophrys cranwelli) with implications for extinct giant frogs. Sci. Rep. 2017, 7, 11963. [Google Scholar] [CrossRef] [PubMed]
- Langowski, J.K.A.; Singla, S.; Nyarko, A.; Schipper, H.; van den Berg, F.T.; Kaur, S.; Astley, H.C.; Gussekloo, S.W.S.; Dhinojwala, A.; van Leeuwen, J.L. Comparative and functional analysis of the digital mucus glands and secretions of tree frogs. Front. Zool. 2019, 16, 19. [Google Scholar] [CrossRef] [PubMed]
- Goka, K.; Yokoyama, J.; Une, Y.; Kuroki, T.; Suzuki, K.; Nakahara, M.; Kobayashi, A.; Inaba, S.; Mizutani, T.; Hyatt, A.D. Amphibian chytridiomycosis in Japan: Distribution, haplotypes and possible route of entry into Japan. Mol. Ecol. 2009, 18, 4757–4774. [Google Scholar] [CrossRef] [PubMed]
- Tamukai, K.; Sugiyama, J.; Nagata, Y.; Tsutomu, O.; Katayama, Y.; Mizutani, T.; Kimura, M.; Une, Y. Epidemic nodular facial myxomatous dermatitis in juvenile Cranwell’s horned frogs Ceratophrys cranwelli. Dis. Aquat. Org. 2019, 134, 57–64. [Google Scholar] [CrossRef] [PubMed]
- Green, D.E.; Harshbarger, J.C. Spontaneous neoplasia in Amphibia. In Amphibian Medicine and Captive Husbandry, 1st ed.; Wright, K.M., Whitaker, B.R., Eds.; Krieger Publishing Company: Malabar, FL, USA, 2001; pp. 335–400. [Google Scholar]
- Stacy, B.A.; Parker, J.M. Amphibian oncology. Vet. Clin. N. Am. Exot. Anim. Pract. 2004, 7, 673–695. [Google Scholar] [CrossRef]
- Seguin, B.; Weigel, J.P. Amputation. In Veterinary Surgery Small Animal, 2nd ed.; Tobias, K.M., Johnson, S.A., Eds.; Elsevier Inc.: St. Louis, MO, USA, 2012; pp. 1029–1036. [Google Scholar]
- Diaz-Figueroa, O.; Mitchell, M.A.; Kim, D.Y.; Riggs, S.R. Oral myxoma in a South American horned frog (Ceratophrys ornata, Leptodactylidae). In Proceedings of the Association of Reptilian and Amphibian Veterinarians, Naples, FL, USA, 8–11 May 2014. [Google Scholar]
- Powers, B.E.; Dernell, W.S. Tumor biology and pathology. Clin. Tech. Small Anim. Pract. 1998, 13, 4–9. [Google Scholar] [CrossRef] [PubMed]
- DiGeronimo, P.M.; Brandao, J. Orthopedics in reptiles and amphibians. Vet. Clin. N. Am. Exot. Anim. Pract. 2019, 22, 285–300. [Google Scholar] [CrossRef]
- Steffey, M.A. Principles and applications of surgical oncology in exotic animals. Vet. Clin. N. Am. Exot. Anim. Pract. 2017, 20, 235–254. [Google Scholar] [CrossRef] [PubMed]
- O’Brien, M.F.; Justice, W.S.M.; Beckmann, K.M.; Denk, D.; Pocknell, A.M.; Stidworthy, M.F. Four cases of neoplasia in amphibians at two zoological institutions: Alpine newt Ichthyosaura alpestris, Red-eyed tree frog Agalychnis callidryas, Common frog Rana temporaria and Puerto Rican crested toad Peltophryne lemur. Int. Zoo Yearb. 2017, 51, 269–277. [Google Scholar] [CrossRef]
- Hopewell, E.; Harrison, S.H.; Posey, R.; Duke, E.G.; Troan, B.; Harrison, T. Analysis of published amphibian neoplasia case reports. J. Herpetol. Med. Surg. 2020, 30, 148–155. [Google Scholar] [CrossRef]
- Sailler, A.; Chai, N.; Huberdeau, P.; Sabatier, L.; Scotti, T.; Boister, R. Surgical management of a digestive tract hernia in a Wild marsh frog (Pelophylax ridibundus). J. Herpetol. Med. Surg. 2021, 31, 292–295. [Google Scholar] [CrossRef]
- DiGeronimo, P.M.; Balko, J.A. Sedation and Anesthesia of Amphibians. Vet. Clin. N. Am. Exot. Anim. Pract. 2022, 25, 31–47. [Google Scholar] [CrossRef] [PubMed]
- Sladakovic, I.; Divers, S.J. Amphibian anesthesia. In Mader’s Reptile and Amphibian Medicine and Surgery, 3rd ed.; Divers, S.J., Stahl, S.J., Eds.; Elsevier Inc.: St. Louis, MO, USA, 2019; pp. 480–485. [Google Scholar]
- Jayson, S. Amphibians. In Handbook of Exotic Pet Medicine, 1st ed.; Kubiak, M., Ed.; John Wiley & Sons: Oxford, UK, 2021; pp. 415–436. [Google Scholar]
- Whitaker, B.R.; Wright, K.M. Amphibian Medicine. In Mader’s Reptile and Amphibian Medicine and Surgery, 3rd ed.; Divers, S.J., Stahl, S.J., Eds.; Elsevier Inc.: St. Louis, MO, USA, 2019; pp. 992–1013. [Google Scholar]
- Hadfield, C.A.; Whitaker, B.R. Amphibian emergency medicine and care. J. Exot. Pet. Med. 2005, 14, 79–89. [Google Scholar] [CrossRef]
- Adami, C.; d’Ovidio, D.; Casoni, D. Alfaxalone–butorphanol versus alfaxalone–morphine combination for immersion anaesthesia in oriental fire-bellied toads (Bombina orientalis). Lab. Anim. 2016, 50, 204–211. [Google Scholar] [CrossRef] [PubMed]
- Baumgartner, C.; Strobel, S.M.; Hagedorn, A.; Ott, S.; Kempf, H.; Waschulzik, B.; Gröger, M.; Kress, S.; Radermacher, P.; Potschka, H. A comparison of the analgesic effects of fentanyl and butorphanol in African clawed frogs (Xenopus laevis) under tricaine methanesulfonate (MS222) anaesthesia. SOJ Anesthesiol. Pain Manag. 2018, 5, 1–10. [Google Scholar] [CrossRef]
- Coble, D.J.; Taylor, D.K.; Mook, D.M. Analgesic effects of meloxicam, morphine sulfate, flunixin meglumine, and xylazine hydrochloride in African-clawed frogs (Xenopus laevis). J. Am. Assoc. Lab. Anim. Sci. 2011, 50, 355–360. [Google Scholar] [PubMed]
- Koeller, C.A. Comparison of buprenorphine and butorphanol analgesia in the eastern red-spotted newt (Notophthalmus viridescens). J. Am. Assoc. Lab. Anim. Sci. 2009, 48, 171–175. [Google Scholar] [PubMed]
- Minter, L.J.; Clarke, E.O.; Gjeltema, J.L.; Archibald, K.E.; Posner, L.P.; Lewbart, G.A. Effects of intramuscular meloxicam administration on prostaglandin E2 synthesis in the North American bullfrog (Rana catesbeiana). J. Zoo Wildl. Med. 2011, 42, 680–685. [Google Scholar] [CrossRef]





Disclaimer/Publisher’s Note: The statements, opinions and data contained in all publications are solely those of the individual author(s) and contributor(s) and not of MDPI and/or the editor(s). MDPI and/or the editor(s) disclaim responsibility for any injury to people or property resulting from any ideas, methods, instructions or products referred to in the content. |
© 2024 by the authors. Licensee MDPI, Basel, Switzerland. This article is an open access article distributed under the terms and conditions of the Creative Commons Attribution (CC BY) license (https://creativecommons.org/licenses/by/4.0/).
Share and Cite
Serpieri, M.; Bonaffini, G.; Ottino, C.; Maniscalco, L.; Quaranta, G.; Mauthe von Degerfeld, M. Surgically Treated Hind-Limb Fibromyxochondroma in a Cranwell’s Horned Frog (Ceratophrys cranwelli). Pets 2024, 1, 11-19. https://doi.org/10.3390/pets1010003
Serpieri M, Bonaffini G, Ottino C, Maniscalco L, Quaranta G, Mauthe von Degerfeld M. Surgically Treated Hind-Limb Fibromyxochondroma in a Cranwell’s Horned Frog (Ceratophrys cranwelli). Pets. 2024; 1(1):11-19. https://doi.org/10.3390/pets1010003
Chicago/Turabian StyleSerpieri, Matteo, Giuseppe Bonaffini, Chiara Ottino, Lorella Maniscalco, Giuseppe Quaranta, and Mitzy Mauthe von Degerfeld. 2024. "Surgically Treated Hind-Limb Fibromyxochondroma in a Cranwell’s Horned Frog (Ceratophrys cranwelli)" Pets 1, no. 1: 11-19. https://doi.org/10.3390/pets1010003
APA StyleSerpieri, M., Bonaffini, G., Ottino, C., Maniscalco, L., Quaranta, G., & Mauthe von Degerfeld, M. (2024). Surgically Treated Hind-Limb Fibromyxochondroma in a Cranwell’s Horned Frog (Ceratophrys cranwelli). Pets, 1(1), 11-19. https://doi.org/10.3390/pets1010003

