Next Article in Journal
Management of Secondary Immunodeficiency Following T-Cell-Engaging Immunotherapeutic Agents in B-Cell Non-Hodgkin Lymphoma: Implications for Early-Line Treatment Strategies
Previous Article in Journal
The Current State of Lymphedema Surgery
 
 
Font Type:
Arial Georgia Verdana
Font Size:
Aa Aa Aa
Line Spacing:
Column Width:
Background:
Review

Endovascular and Percutaneous Lymphatic Interventions in Cancer Patients: A Review Article

1
Department of Radiology, Hospital University of Pennsylvania, Philadelphia, PA 19104, USA
2
Department of Radiology, Ain Shams University, Cairo 11566, Egypt
3
Division of Interventional Radiology, Department of Radiology, MedStar Health, Columbia, MD 21044, USA
4
Division of Interventional Radiology, Department of Radiology, Memorial Sloan Kettering Cancer Center, 1275 York Avenue, Suite H-118, New York, NY 10065, USA
*
Author to whom correspondence should be addressed.
These authors contributed equally to this work.
Lymphatics 2024, 2(4), 228-243; https://doi.org/10.3390/lymphatics2040018
Submission received: 30 July 2024 / Revised: 11 October 2024 / Accepted: 13 November 2024 / Published: 26 November 2024

Abstract

Lymphatic complications are becoming increasingly identified in cancer patients. Chylous ascites, chylothorax, lymphoceles, and lymphorrhea are common in cancer patients and can occur due to traumatic injury during surgeries or infiltrative effects of the tumors themselves. Recently, some anti-neoplastic medications are also thought to result in lymphatic complications. Management options range from conservative options to minimally invasive interventions, to surgical interventions with no standardized management strategy. Imaging techniques such as dynamic contrast-enhanced magnetic resonance lymphangiography and intranodal computed tomography or fluoroscopic lymphangiography are becoming more valuable in diagnosis and treatment planning. Minimally invasive interventions are rapidly evolving and have become the first-line intervention in most cases. Current research, however, faces limitations due to study design and variability. Standardized reporting and prospective studies are needed to advance the field. This review summarizes some of the latest literature on lymphatic interventions in cancer patients and provides reporting recommendations for future studies on lymphatic interventions.

1. Introduction

The current incidence of cancer in the US is 440.5 per 100,000 men and women, with an estimated 2 million new cancer cases in 2024. This number is expected to increase by 2040 reaching almost 30 million new cases per year. The number of cancer survivors is also increasing owing to earlier detection and better healthcare services [1]. As cancer patients are living longer with their diagnoses, an important factor to take into consideration is the patients’ quality of life, which can be measured through quality-adjusted life-years (QALYs) [2,3]. Quality of life can be markedly affected in cancer patients, either through direct effects of their disease, or through adverse events related to management of their disease (i.e., complications of surgery, radiation, or medications).
Lymphatic complications affect approximately 1.3–5.5% of cancer patients. Extravasation of lymphatic fluid, which is the main focus of this article, can occur in several locations in the body, and can be due to non-surgical (non-traumatic) or post-surgical (traumatic) causes. Given the nature of lymphatic fluid, further complications secondary to lymphatic extravasation can occur, such as infection or compression of surrounding structures.
Management of lymphatic complications is challenging and hinges on the diagnosis of the cause of the lymphatic leak. Nowadays, the need for the technically cumbersome and time-consuming pedal lymphangiography, which was first described in 1931 by Hernani Monteiro, is extremely rare, as it has been replaced by the less technically demanding intra-nodal lymphangiography. With advancing technology and better logistics, CT lymphangiography and MR lymphangiography have enhanced our understanding of the lymphatic system even further. Lymphatic interventions have also developed over the past two decades, with increasing indications and more widespread adoption.
Although these interventions are more accessible than before, there is no consensus or reporting guidelines that would allow their standardization and development. This manuscript aims to review recent literature and shed light on current practice in lymphatic interventions. We will also provide a list of points that we might consider as basics to build upon for better reporting in the future literature.

2. Anatomy

The lymphatic system is composed of lymphatic vessels, lymph nodes, lymphoid organs, and the lymph flowing within. The lymphatic vessels usually follow the venous system and start with capillaries which are blind-ended and microscopic, collecting excess extracellular fluid forming lymph, and with most of the lymph being produced from the intestines and the liver. Those lymphatic capillaries then converge to form larger lymphatic vessels. Unidirectional flow towards the heart is ensured by one-way valves. Lymphatic vessels then drain to one of the two main lymphatic ducts depending on their location. The thoracic duct receives lymph drained from the lower body, left side of chest, head, neck, and arm. It begins from the cisterna chyli, a dilated tubular structure where lymph collects at the level of L1–L2 just behind and to the right of the aorta, which also often receives the intestinal and hepatic lymphatic drainage. It then ascends through the aortic hiatus along the vertebral column behind the esophagus and between the aorta and the azygos vein forming the thoracic duct, to finally drain into the venous system at the junction between the left subclavian and internal jugular veins [4,5]. Meanwhile, the right lymphatic duct receives lymph from the right side of the chest, head, neck, and arm and drains into the right subclavian vein, with its anatomy being highly variable in almost 40% of the population [5]. Lymph nodes receive the lymph via several afferent lymphatic vessels, filtering the incoming lymph which leaves via efferent vessels. Some of those lymph nodes are found superficially as those located in the peripheries, axilla, groin, and neck, thus could be easily assessed and accessed under ultrasound. Other lymph nodes are deeply located as those in the retroperitoneum and thus could better be assessed and accessed with cross-sectional imaging such as CT and MR.

3. Diagnosis

Imaging of the lymphatic system is of utmost importance in the management of patients with lymphatic complications. Understanding the anatomy of the lymphatics and their flow patterns helps in deciding further steps of management. Furthermore, imaging helps identify potential leak points. Several methods of lymphatic imaging are available nowadays with the majority being minimally invasive.
Dynamic contrast-enhanced MR lymphangiography (DCMRL) is emerging as a non-ionizing imaging option that has the advantage of providing a high-resolution 3D image of the surrounding tissues and structures, in addition to its dynamic flow measurement. Under US guidance a needle is advanced in a groin lymph node and gadolinium-based contrast is injected with instant imaging for dynamic acquisition [6].
MR, CT, and fluoroscopic intranodal lymphangiography (INL) generally follow the same concept with varying needle placement, contrast use, and injection rate. In fluoroscopic INL, a 25 G needle is inserted under US guidance into a lymph node in the most accessible group closest to the suspected site of lymph extravasation/leak (most often the inguinal lymph nodes). The needle tip is usually placed at the junction between the cortex and medulla. Lipidol (Guerbet, Villepinte, France) is then injected either manually or using an automatic injector and followed intermittently under fluoroscopy to determine the exact site of leak. INL could be performed either bilaterally or unilaterally depending on the suspected etiology and site of injury. In some instances, INL itself can be therapeutic as the viscous and pro-inflammatory nature of lipiodol is believed to cause small leaks in the seal [6,7,8].
Lymphoscintigraphy (LS) has long been discussed as a means of lymphatic imaging for various conditions [9]. LS is emerging as a valid option for imaging in patients with lymphatic leaks with a sensitivity of 88% [10]. A radioactive tracer is injected into the catchment area (usually interdigital space) of the suspected leak with a gamma camera later used to capture images. LS have the benefit of having no side effects and allowing functional assessment of the lymphatic system [9]; however, its usage is limited since it has low spatial and temporal resolution, radiation exposure, and a lack of standardization [11,12]. SPECT/CT could be used for LS imaging thus enhancing spatial resolution and anatomic correlation [5,13].
Indocyanine green (ICG) lymphangiography, similarly, is emerging as another option of lymphatic imaging. ICG, a fluorescent dye, is usually injected in the interdigital space. A near-infrared camera is then used to detect the fluorescence from the dye and map the lymphatic function detecting lymphatic leaks [14,15]. ICG holds the benefits of having no radiation exposure, freely moving the camera over any area, short acquisition time, and real-time imaging [16]. However, its use in interventional radiology is somewhat limited due to its restricted depth of imaging making it only possible for superficial peripheral interventions; however, it plays a major role in surgical management [14,17].
Finally, paracentesis, thoracentesis, and other tube-based drainages are other image guided procedures conducted using either US or CT guidance for diagnostic purposes (for diagnosis of the lymphatic complication as described in detail below) and temporary symptomatic relief rather than being stand-alone management.

4. Chylous Ascites

Chylous ascites is one of the most common lymphatic complications related to malignancies and can occur due to traumatic or non-traumatic causes. Different studies report different cut-off values for the diagnosis of chylous ascites, with paracentesis and biochemical testing providing the definitive diagnosis. Triglyceride level in the aspirated ascites is the main determinant of the diagnosis with values > 200 mg/dL often being reported as a cut-off value [5,18].
Once diagnosis is confirmed, differentiating between traumatic and non-traumatic causes is essential in planning out the next steps. This can often be clarified through a thorough clinical assessment and review of cross-sectional imaging. Patients with history of a recent abdomino-pelvic surgery which involved lymph node dissection fall into the traumatic category. However, patients with no recent surgical history, and with imaging showing retroperitoneal lymphadenopathy and/or peritoneal carcinomatosis are more likely to fall into the non-traumatic category, as are patients who recently started an anti-cancer medication that is associated with chylous ascites, such as tyrosine kinase inhibitors [19]. In patients with traumatic chylous ascites, there is a low threshold to proceed with intra-nodal lymphangiography and possible lymphatic embolization if a leak is identified.
All studies attempted various conservative management with dietary modification up to cessation of oral intake with total parenteral nutrition (TPN) introduction, along with repeated paracentesis or drain placement with or without octreotide administration. The time and the total output to the declaration of conservative management failure is greatly variable between studies. Recent studies on lymphatic interventions for management of chylous ascites are summarized in Table 1.
Table 1. Recent Publications on Chylous Ascites.
Table 1. Recent Publications on Chylous Ascites.
Author and Date of PublicationNumber of PatientsTraumatic vs. Non-TraumaticTechnical SuccessClinical SuccessComplications
Aly 2024 [20]39 (55 procedures)Traumatic54/55 (98%)Overall: 22/39
(56%)
Four Grade 1
Verhaeghe 2023 [21]20Traumatic100%Overall: 17/18 (94%)None
Kaminski 2023 [22]22Both100%Overall: 17/22 (77%)
Traumatic: 14/16
  • Embolization: 6/6 (100%)
  • Lymphangiography only: 8/10 (80%)
Non-traumatic:
  • lymphangiography only: 3/6 (50%)
One Grade 4
One Grade 3
(Both in embolization group)
Westerman 2022 [23]7 (10 procedures)Traumatic70%Overall: 7/7 (100%)
  • Embolization: 5/5 (100%)
  • Lymphangiography only: 2/2 (100%)
1 abdominal wall cellulitis
Management strategies for chylous ascites (CA) encompass a range of interventions, with a growing trend towards minimally invasive techniques. Intranodal lymphangiography (INL) is a primary management step for chylous ascites (CA) following conservative treatment failure. The procedure involves directly injecting contrast material (typically lipiodol) into lymph nodes to visualize the lymphatic system. INL serves as both a diagnostic tool and a potential standalone treatment (Figure 1). Aly et al. employed a conventional bilateral lymphangiography approach, using a minimum of 6 mL of lipiodol on each side [20]. This contrast with other studies using larger volumes, such as Verhaeghe et al., who reported a mean of 29.8 mL using it as the only treatment agent [21]. The technical success of INL is consistently high, approaching 100% in most studies. Technical success is generally defined as successful needle introduction and subsequent lymphatic opacification. However, injection methods, rates, dilution, and quantities of lipiodol vary among practitioners, reflecting the lack of standardization in CA management.
Following INL, embolization is often performed to address identified leak points. This process typically involves accessing the lymphatic system through a larger needle (20–22 G) under imaging, confirming proper positioning by flushing with 5% dextrose, and then employing various embolization techniques (Figure 2). The most common embolic agent is n-butyl cyanoacrylate (nBCA) in varying dilutions with lipiodol. Proper contrast opacification is crucial to identify leak points and exclude potential shunts.
While lymphatic embolization with n-butyl cyanoacrylate (nBCA) has gained popularity, utilizing various dilutions from 1:1 to 1:8, some clinicians have explored alternative embolic agents, such as Ethylene-Vinyl Alcohol (EVOH) copolymer, with Park et al. reporting success in a high-output CA case using bilateral intranodal EVOH application [24]. Westerman et al. also described their experience where they treated refractory ascites using nBCA with or without preceding pushable 0.46 mm platinum fibered coils (Boston Scientific, Natick, MA, USA) [23]. Success rates varied considerably across studies, ranging from 56% in Aly et al.’s diverse patient cohort to 94% in Verhaeghe et al.’s series using high-volume lipiodol INLm, and to 100% in Westerman et al.’s using nBCA with or without coil employment [20,21,23]. Notably, Kaminski et al. reported higher success rates with embolization compared to INL alone, especially in traumatic cases [22]. Drainage catheter removal timing varied widely between studies. Two major adverse events were reported by Kaminski et al. in the embolization group, while Aly et al. noted one case of asymptomatic glue migration to pulmonary circulation [20,22].
Combined approaches, integrating INL with targeted embolization, have demonstrated promising results, particularly in traumatic cases. Other minimally invasive options, such as the Denver shunt placement, or surgical intervention remain viable options when less invasive methods prove insufficient. The selection of management strategy is typically tailored to individual patient characteristics, underlying etiology, and available expertise, reflecting the complex nature of CA treatment.
In cancer patients with non-traumatic chylous ascites, the threshold to proceed with a lymphangiogram with lipiodol is higher. This is because lipiodol with its high viscosity can theoretically worsen lymphatic drainage through the retroperitoneal lymphatics, and it is unlikely to identify specific sites of leakage that can be addressed with lymphatic embolization. CA in this patient population is believed to be more related to a diffuse process involving the peritoneal/retroperitoneal lymphatics. Therefore, a reasonable approach for these patients is to proceed with a CT or MR lymphangiogram, which use water soluble contrast that is less likely to occlude the lymphatic vessels, and will provide useful diagnostic information. If sites of leakage are identified, this can be followed with a lipiodol INL under fluoroscopy (as water soluble contrast is too dilute to be seen under fluoroscopy when in the pelvis/abdomen) and lymphatic embolization.

5. Chylothorax

Thoracic chylous effusion is divided into chylothorax and chylopericardium [14]. Chylothorax occurs due to injury or compression of the thoracic duct or one of its tributaries, by permeation from the peritoneal cavity, i.e., secondary to chylous ascites, or idiopathic.
In cases with suspected chylothorax, sampling is performed to confirm the nature of the fluid. All studies report elevated triglyceride levels in pleural fluid [18,22,25]. Compared to Goity et al. who reported triglyceride level > 200 mg/dl as cut-off, most studies report > 110 mg/dl as their cut-off [18,22,26]. Gurevich et al. reported the use of elevated triglycerides, yet did not specify a cut-off level [25]. In cases with suspected chylothorax yet normal triglyceride levels, fatty food challenge with an increased triglyceride fluid level 3 h after meal was diagnostic for chylothorax [25]. Goity et al., Gurevich et al., and Kaminski et al. provided algorithmic approaches to chylothorax with Gurevich providing a more detailed cause-based algorithm [22,25,26]. Two studies used dynamic contrast enhanced magnetic resonance lymphangiography (DCMRL) as pre-intervention diagnostic imaging modality in their algorithms [25,26].
Gurevich et al. and Kaminski et al. opted for conservative treatment first. Refractory patients were referred to conservative management for intervention [22,25]. Fatemi et al. mentioned that patients were referred to interventional radiologists by surgery for management with no mention of prior conservative management [18]. Trans-pedal lymphangiography was not used in any of our reviewed studies, instead, inguinal intranodal lymphangiography was performed in all with ultrasound guided insertion of 22–25-gauge needle. Bilateral inguinal nodal lymphangiography was standard practice in Kaminski et al. and Gurevich et al. [22,25]. Fatemi et al. opted for bilateral lymphangiography when local extranodal extravasation was detected or lumbar lymphatics were not visualized [18]. In all studies, some or all the patients underwent thoracic duct embolization. Recent studies on lymphatic interventions for management of chylothorax are summarized in Table 2.
Table 2. Recent Publications on Chylothorax.
Table 2. Recent Publications on Chylothorax.
Author and Date of PublicationNumber of PatientsTraumatic vs. Non-TraumaticTechnical SuccessClinical SuccessComplications
Gurevich 2022 [25]52Non-traumaticOverall: 44/52 (84.6%)
Group 1: 30/31 (97%)
Group 2: 8/10 (80%)
Group 3: 6/11 (54.5%)
Overall: 42/52 (80.8%)
Group 1: 30/31 (97%)
Group 2: 8/10 (80%)
Group 3: 4/11 (36.4%)
Three grade 1
Two grade 2
One grade 5
Kaminski 2023 [22]48BothOverall: 48/48 (100%)
Lymphangiography only: 8/8 (100%)
Embolization: 40/40 (100%)
Isolated Chylothorax
Both: 39/48 (81.3%)
Traumatic:
  • Lymphangiography only: 1/2 (50.0%)
  • Embolization: 26/28 (92.9%)
Non-traumatic:
  • Lymphangiography only: 1/6 (16.7%)
  • Embolization: 11/12 (91.7%)
Abdominothoracic chylous effusion
  • Lymphangiography only: 0/5 (0.0%)
  • Embolization: 2/3 (66.7%)
One Grade 1
Two Grade 2
Fatemi 2023 [18]11Traumatic100%9/11 (81.8%)One Grade 3
One Grade 2
Fukumoto 2022 [27]5Non-traumatic100%3/5 (60%)None
Etiology again is either traumatic or non-traumatic, with malignancy being the most common cause of non-traumatic chylothorax. Most cases of malignancy-associated chylothorax occur in patients with advanced malignancies. Lymphomas are the most common cause of these malignancies.
Gurevich et al. treated only non-traumatic thoracic chylous effusion patients with embolization. The authors performed TDE using endovascular coils and/or n-BCA glue (Trufill; Codman Neuro, Raynham, Massachusetts) or autologous blood and oil-based contrast material. Their choice was according to the diagnostic group according to pre-intervention DCMRL: “Group 1: abnormal pulmonary lymphatic flow exclusively from the thoracic duct or its branches”; “Group 2: abnormal pulmonary lymphatic flow originating from retroperitoneal lymphatic networks below the diaphragm extending into thoracic cavity”; and “Group 3: chylous ascites presenting as chylothorax”. Technical success was 30/31 (97%), 8/10 (80%), and 6/11 (54.5%) in groups 1, 2, and 3, respectively. Clinical success was similar to technical success in groups 1 and 2. In group 3, 4 out of the 6 technically successful ones had clinical success, with the other two performing pleurodesis and Denver shunt afterwards. The varying clinical success based on the findings of the pre-intervention DCMRL highlights the value of accurate diagnosis prior to proceeding with TDE. Out of 41 patients of group 1 and 2, six cases had adverse events of different grades as follows: three grade 1; two grade 2; and one grade 5. One case of hypotension, one case of hypoxemia, one case of fluid overload, one episode of systemic inflammatory response syndrome, and one fatal pulmonary embolism in the background of stress-induced cardiomyopathy [25].
Fukumoto et al. also reported their experience with five lymphoma patients on chemotherapy having non-traumatic chylothorax. All patients underwent intranodal lymphangiography followed by TDE using 1.5–5 mL of nBCA regardless of whether an extravasation was found or not. All patients required reinterventions except for one with a median of four interventions per case. They achieved clinical success in 3/5 (60%); the remaining two conducted pleurodesis to fully resolve it. They had a 130-day median time from the diagnosis to the resolution of chylothorax [27].
Esophagectomy in esophageal cancer patients and pulmonary resection with LN dissection in lung cancer patients are among the examples of traumatic chylothorax, although it may complicate other surgeries [28,29]. Most surgeries around the region of the thoracic duct can account for traumatic chylothorax. Injury to the intra-abdominal thoracic duct can cause chylous ascites that passes through the diaphragm, resulting in a chylothorax.
Fatemi et al. treated only traumatic chylothorax population with coil- or plug-assisted EVOH copolymer as a method for TDE to avoid an intraprocedural non-target extension of EVOH beyond the coil or plug scaffold. Fatemi et al. used Onyx18 (Medtronic, Minneapolis, MN, USA) to fill the channels in patients with side branch leaks or multiple small lymphatic disruptions, while the authors used Onyx34 (Medtronic, Minneapolis, MN, USA) in patients with main thoracic duct leaks with higher flows. Main thoracic duct leaks with higher flows were treated with the more viscous Onyx34. Fatemi et al. achieved technical success in all cases and clinical success in 9/11 (81.8%). Adverse events included one Grade 3 hemorrhagic adverse event occurred (rectus sheath hematoma) and a Grade 2 post-procedural ileus was also identified. No non-target venous extension of embolic agent was noted on unrelated follow-up CT examinations [18].
Kaminski et al. compared lymphangiography only versus lymphangiography and embolization. The median amount of iodized oil (lipidol) used was 12 mL (range 8–20 mL) with 20 mL used in all cases of lymphangiography only. Embolization of the target lymph vessel was performed with coils and/or liquid embolics (Histoacryl) diluted with ratio 1:1–1:5. Coils were used in the embolization of large lymph vessels to prevent distal migration of glue to the venous system (Figure 3 and Figure 4). Glue-only embolization was performed in peripheral lymphatics with no risk of glue migration or lymph node embolization. When embolization was not feasible, interstitial lymph node embolization was performed. Dietary restriction with Medium Chain Triglyceride supplement was prescribed for 2–3 days post-procedure. Embolization achieved 26/28 (92.9%) and 11/12 (91.7%) clinical success in traumatic and non-traumatic thoracic chylous effusion, respectively; lymphangiography only achieved 1/2 (50.0%) and 1/6 (16.7%) in traumatic and non-traumatic thoracic chylous effusion, respectively. Clinical success in combined abdominothoracic chylous effusion was achieved in 2/3 (66.7%) and 0/5 (0.0%) of embolization and lymphangiography only patients, respectively. Overall success of thoracic intervention was 39/48 (81.3%) with a significant difference between traumatic and non-traumatic groups. Complications were seen after lymphatic embolization in 5 patients with one grade 1, two grade 2, one grade 3, and one grade 4 as follows: pulmonary glue migration, upper extremity vein thrombosis, edematous pancreatitis, bleeding from branch of left hepatic artery, biliary peritonitis [22].
Technical success definition was similar among these studies while clinical success was different in each. Although the clinical success of interventional treatment of non-traumatic chylothorax is inferior to that of traumatic chylothorax, surgical clinical success rate is only 27% [30].
Chylothorax in oncology patients can occur simply after central venous access in the form of central line or port-a-cath, or in patients with central venous occlusion such as SVC syndrome. Recently, several authors reported chylothorax formation after initiation of various types of immunotherapy/immune checkpoint inhibitors, including tyrosine kinase inhibitors (TKI), other multikinase inhibitors (MKI), programmed cell death 1 protein (PD-1), programmed cell death ligand 1 (PD-L1) inhibitors, and others [19,31,32].

6. Lymphoceles

Lymphoceles, defined as walled-off collections of extravasated lymph, can occur anywhere in the body after lymph node dissection and typically require intervention only when symptomatic. While various management strategies exist, including sclerotherapy and surgical approaches, recent evidence suggests that lymphangiography with or without lymphatic embolization (LE) may offer superior outcomes. Moussa et al. conducted a comparative study of 46 patients, demonstrating that intranodal lymphangiography with LE resulted in shorter post-intervention drain dwell times (median 6 days vs. 13 days), higher initial clinical success rates (83% vs. 47%), and fewer procedures for resolution compared to sclerotherapy (Figure 5 and Figure 6) [33]. Similarly, Seyferth et al. reported that lymphangiography with intranodal glue embolization (IGE) achieved comparable clinical success rates to sclerotherapy (15/18 vs. 15/23), but with fewer mean intervention sessions (1.3 vs. 2.5) and significantly reduced mean time to resolution (7 days vs. 27 days) [34].
Additional studies support these findings. Moussa et al. (2021) achieved complete clinical success in all 18 patients who underwent INL with LE, with a median time of 6 days for catheter removal post-procedure. They reported only four minor adverse events [35]. Verhaeghe et al. managed 14 lymphocele patients with INL, achieving clinical success in 11/14 patients, though some required repeat interventions [21].
Kim et al. reported on eight patients with lymphoceles, lymphorrhea, or chyle leaks following oncological surgeries. They employed selective embolization rather than complete thoracic duct embolization in five patients where the leak was not from the main thoracic duct. Using various access routes and embolization materials (glue with various dilutions and coils in two patients), they achieved clinical success in all patients, with only one requiring reintervention. Chyle leaks resolved in a mean of 4.6 days, and post-embolization catheter removal ranged from 1 to 5 days in most cases, with no complications reported [36].
Cuong et al. reported their experience with 36 patients with thyroid carcinoma who presented with chyle leak after they underwent thyroidectomy and cervical lymph nodes dissection. The patients were then treated with bilateral INL followed by transabdominal access to the cisterna chyli or retrograde transcervical access if failed antegrade transabdominal access with subsequent thoracic duct embolization (TDE) using n-BCA or coils combined with n-BCA. Thoracic duct disruption (TDD) with the injection of a mixture of Histoacryl and Lipiodol at a 1:3 ratio or saline in the space surrounding the TD was used in case of failure to access the thoracic duct. Patients with neck collection also underwent absolute ethanol sclerotherapy (n = 7). They achieved technical success in 33/36 of the cases. However, they achieved clinical success in 36/36 patients after performing TDD in the remaining cases. Only one case from the transabdominal access group required repeat intervention and was successful after they injected a sclerosant in TD under CT guidance [37]. Recent studies on lymphatic interventions for management of lymphoceles are summarized in Table 3.
Table 3. Recent Publications on Lymphoceles.
Table 3. Recent Publications on Lymphoceles.
Author and Date of PublicationNumber of PatientsTraumatic vs. Non-TraumaticTechnical SuccessClinical SuccessComplications
Kim 2023 [36]1Traumatic100%100%None
Verhaeghe 2023 [21]14Traumatic98%11/14 (78.5%)None
Moussa 2021 [35]20Traumatic100%
  • 18/18 (100%) (INL + LE)
  • 2 patients underwent INL only (as no leak identified)
4 minor adverse events:
  • 2 low-grade fever
  • 2 lower limb edemas
Seyferth 2023 [34]41Traumatic100%Sclerotherapy: 15/23 (65%)
IGE: 15/18 (83%)
In IGE group:
1 case of lymphedema
1 case of nontarget embolization resulting in DVT
Moussa 2023 [33]46Traumatic100%Sclerotherapy: 17/17 (100%)
INL with LE: 29/29 (100%)
Sclerotherapy:
One Grade 2
Two Grade 3
INL with LE:
Three Grade 2
Six Grade 3
Cuong 2024 [37]36Traumatic91.7%100%None
All INL+
  • n-BCA only: 14/14
  • n-BCA with coil: 19/19
7/7 Sclerotherapy
These findings collectively suggest that lymphangiography with embolization may offer faster resolution, fewer interventions, and comparable or superior clinical success rates for symptomatic lymphoceles and chyle leaks, with a generally low incidence of adverse events. The ability to perform selective embolization, as demonstrated by Kim et al., further underscores the versatility of this approach [36]. However, it is important to note that treatment selection should be tailored to individual patient characteristics and institutional expertise.

7. Lymphorrhea

Lymphorrhea represents a relatively unexplored area in lymphatic interventions, particularly in cancer patients. Management options are limited due to the lack of walled-off collections and difficulty in assessing outputs. Initial treatment typically involves conservative measures, including dietary modifications with low-fat, high-protein diets supplemented with medium-chain triglycerides, and in some cases, total parenteral nutrition and octreotide.
When conservative management fails, lymphangiography with lymphatic embolization (LE) has emerged as a promising intervention. Seyferth et al. reported clinical success in 8/9 lymphorrhea patients treated with intranodal glue embolization, with a mean resolution time of 4 days [34]. Lee et al. studied 71 patients with lymphatic leaks following pelvic surgeries, achieving clinical success in 59/71 patients using lymphangiography and intranodal glue embolization. Notably, 49 patients required only one session, and 40 patients had their catheters removed within a week of LE. They observed that patients with pre-intervention drainage > 1500 mL/day were more likely to experience clinical failure and longer post-embolization catheter dwell times [38]. Koester et al. studied six patients in the pediatrics age group with chyle leaks after tumor resection whole underwent 11 LE in total. Procedures were performed under general anesthesia. Intranodal lymphangiography was first conducted by injecting approximately 1 mL of an ethiodized oil. Lymphatic embolization was then attempted after the detection of lymphatic leak. They targeted the lymphatic channel percutaneously and then embolized the leakage using n-BCA mixed with ethiodized oil for opacification. They achieved technical success in 8/11 with one complication being inadvertent cannulation of the stomach. Five patients, however, required repeat embolization for clinical success. Koester et al. also reported one patient who had thoracic chyle leak which was not detected on lymphangiography yet resolved after only the lymphangiography [39]. Shin et al. also reported their experience with 45 patients who presented with lymphatic leaks following radical cystectomy for bladder cancer. All patients underwent bilateral INL followed by lymphatic embolization using n-BCA and ethiodized oil at a ratio of 1:1–1:4 into the LNs with further embolization in case there is any LN group closer to the leakage site. They achieved clinical success in 28/45 patients, and only four patients required re-intervention. However, their lower clinical success rate was mainly because they defined clinical success as drainage catheter removal within 7 days from LE. Had they used the normal clinical success rate of achieving clinical success regardless of the time period, as in most, they would have achieved clinical success in 44/45 patients. Three patients had self-resolving lower extremity edema, and five patients had incidentally discovered asymptomatic lymphoceles on follow-up abdominal CT [40].
Lymphatic interventions in cancer patients represent an emerging field with rapidly evolving management options aimed at enhancing patients’ quality of life. Despite promising results, the current literature is limited by retrospective designs, inter-operator variability, and small sample sizes. The heterogeneity in reporting and defining various aspects of lymphatic complications obscures data synthesis and interpretation. There is an urgent need for standardized reporting guidelines for lymphatic interventions in cancer patients, which would facilitate the development of comprehensive management protocols. Appendix A is an attempt by the authors to identify the key points to be reported in future studies focused on lymphatic interventions. Future prospective studies addressing these limitations are crucial to advance our understanding and improve outcomes in this important aspect of cancer care.

8. Conclusions

Lymphatic involvement in cancer patients is relatively common and is expected to be seen more frequently in the future owing to the large number of cancer patients, improving survival rates, and new anti-cancer treatments. A better understanding of how to approach these patients is essential to tailor their treatments and improve their outcomes. Endovascular and percutaneous lymphatic interventions are minimally invasive alternatives to surgeries in case of failed conservative management. There is however no consensus on lymphatic complications classification and grading with major variations in the definition and reporting of their interventions. A major limitation to our collected data is the variability of the technical methods given that the field is rather emerging leaving the option for interpersonal variations. Another limitation is the lack of data about long-term follow-up and complications to those interventions. Future studies should work on unifying their reporting criteria with focused elaboration on their technical parts to benefit this growing field.

Author Contributions

Conceptualization, M.G. (Mohanad Ghonim), M.G. (Mohamed Ghonim) and A.M.M.; methodology, M.G. (Mohanad Ghonim), M.G. (Mohamed Ghonim) and A.M.M.; data curation, M.G. (Mohanad Ghonim), M.G. (Mohamed Ghonim) and A.M.M.; writing—original draft preparation, M.G. (Mohanad Ghonim), M.G. (Mohamed Ghonim) and A.M.M.; writing—review and editing, M.G. (Mohanad Ghonim), M.G. (Mohamed Ghonim), A.K.A., E.S. and A.M.M.; visualization, M.G. (Mohanad Ghonim), M.G. (Mohamed Ghonim) and A.M.M.; supervision, E.S. and A.M.M.; project administration, MG, MG and AM; All authors have read and agreed to the published version of the manuscript.

Funding

This research received no external funding.

Conflicts of Interest

The authors declare no conflict of interest.

Appendix A

Recommendations for reporting in future studies of lymphatic interventions:
Chylous ascites:
-
Traumatic vs. non-traumatic etiology
-
Method of diagnosis
-
Conservative management (duration, approach)
-
Drainage volume/frequency prior to lymphatic intervention
-
Paracentesis vs. tube drainage
-
High vs. low output
-
Time between diagnosis and lymphatic intervention
-
Intervention technical details (bilateral vs. unilateral lymphangiogram, fluoroscopy vs. cross-sectional lymphangiography, antegrade vs. retrograde access, description of guidance technique for embolization, embolic used, volume of embolic used, endpoint for embolization, end point for procedure)
-
Technical success definition, clinical success definition
-
Drainage volume/frequency after lymphatic intervention
-
Clinical management after lymphatic intervention (continue diet and medication changes?)
-
Time to assess clinical success
-
Re-intervention criteria
-
Threshold to move onto alternative management (Denver shunt, surgical intervention)
-
Adverse events
Chylothorax:
-
Traumatic vs. non-Traumatic etiology
-
Concomitant presence of chylous ascites and implications on management plan
-
Method of diagnosis
-
Conservative management (duration, approach)
-
Drainage volume/frequency prior to lymphatic intervention
-
Thoracentesis vs. tube drainage
-
High vs. low output
-
Time between diagnosis and lymphatic intervention
-
Intervention technical details (bilateral vs. unilateral lymphangiogram, fluoroscopy vs. cross-sectional lymphangiography, antegrade vs. retrograde access, description of guidance technique for embolization, embolic used, volume of embolic used, endpoint for embolization, end point for procedure)
-
Technical success definition, clinical success definition
-
Drainage volume/frequency after lymphatic intervention
-
Clinical management after lymphatic intervention (continue diet and medication changes?)
-
Time to assess clinical success
-
Re-intervention criteria
-
Threshold to move onto alternative management (surgical intervention)
-
Adverse Events
Lymphoceles:
-
Method of diagnosis (imaging, clinical history, cell count)
-
Indication for drainage
-
Drainage volume/frequency prior to lymphatic intervention
-
Aspiration vs. tube drainage
-
High vs. low output
-
Time between diagnosis and lymphatic intervention (same session drainage and lymphangiography?)
-
Intervention technical details (bilateral vs. unilateral lymphangiogram, fluoroscopy vs. cross-sectional lymphangiography, description of guidance technique for embolization, embolic used, volume of embolic used, endpoint for embolization, end point for procedure)
-
Technical success definition, clinical success definition
-
Drainage volume/frequency after lymphatic intervention
-
Time to assess clinical success
-
Time for drain removal/clinical success
-
Re-intervention criteria
-
Threshold to move onto alternative management (surgical intervention)
-
Adverse events

References

  1. National Cancer Institute. Cancer Statistics. NIH. Updated on 9 May 2024. Available online: https://www.cancer.gov/about-cancer/understanding/statistics (accessed on 7 July 2024).
  2. Prieto, L.; Sacristán, J.A. Problems and solutions in calculating quality-adjusted life years (QALYs). Health Qual. Life Outcomes 2003, 1, 80. [Google Scholar] [CrossRef]
  3. Kucnerowicz, K.; Pietrzak, A.; Cholewiński, W.; Martenka, P.; Marszałek, A.; Burchardt, E.; Strzesak, E. The quality-adjusted life-years in the oncological patients’ health-related quality of life. Sci. Rep. 2022, 12, 13562. [Google Scholar] [CrossRef] [PubMed]
  4. Hur, S.; Kim, J.; Ratnam, L.; Itkin, M. Lymphatic Intervention, the Frontline of Modern Lymphatic Medicine: Part I. History, Anatomy, Physiology, and Diagnostic Imaging of the Lymphatic System. Korean J. Radiol. Korean Radiol. Soc. 2023, 24, 95–108. [Google Scholar] [CrossRef]
  5. Santos, E.; Moussa, A.M. Chylous Ascites and Lymphoceles: Evaluation and Interventions. Semin. Interv. Radiol. 2020, 37, 274–284. [Google Scholar] [CrossRef] [PubMed]
  6. Benjamin, J.; O’Leary, C.; Hur, S.; Gurevich, A.; Klein, W.M.; Itkin, M. Imaging and Interventions for Lymphatic and Lymphatic-Related Disorders. Radiology 2023, 307, e220231. [Google Scholar] [CrossRef] [PubMed]
  7. Krishnamurthy, R.; Hernandez, A.; Kavuk, S.; Annam, A.; Pimpalwar, S. Imaging the central conducting lymphatics: Initial experience with dynamic MR lymphangiography. Radiology 2015, 274, 871–878. [Google Scholar] [CrossRef]
  8. Dori, Y.; Zviman, M.M.; Itkin, M. Dynamic contrast-enhanced MR lymphangiography: Feasibility study in swine. Radiology 2014, 273, 410–416. [Google Scholar] [CrossRef]
  9. Ter, S.-E.; Alavi, A.; Kim, C.K.; Merli, G. Lymphoscintigraphy. A reliable test for the diagnosis of lymphedema. Clin. Nucl. Med. 1993, 18, 646–654. [Google Scholar] [CrossRef]
  10. Weiss, M.; Schwarz, F.; Wallmichrath, J.; Baumeister, R.; Frick, A.; Bartenstein, P.; Rominger, A. Chylothorax and chylous ascites. Clinical utility of planar scintigraphy and tomographic imaging with SPECT/CT. Nuklearmedizin 2015, 54, 231–240. [Google Scholar]
  11. Hur, S. Novel Interventional Radiology for the Treatment of Various Lymphatic Leakages: Lymphatic Intervention and Embolization. Vasc. Spec. Int. Korean Soc. Vasc. Surg. 2023, 39, 42. [Google Scholar] [CrossRef]
  12. Youssef, E.W.; Aly, A.; Brahmbhatt, A.; Moussa, A.; Santos, E. Lymphatic Interventions in the Cancer Patient. Curr. Oncol. Rep. 2022, 24, 1351–1361. [Google Scholar] [CrossRef] [PubMed]
  13. Tsuchiya, M.; Ito, T.; Tamada, S.; Hamamoto, K.; Takano, M.; Azuma, R. Lymphoscintigraphy with single-photon emission computerized tomography/computed tomography for evaluating lymphatic leakage following pelvic and para-aortic lymphadenectomy. Radiol. Case Rep. 2023, 18, 3041–3045. [Google Scholar] [CrossRef] [PubMed]
  14. Maddox, J.S.; Sabino, J.M.; Buckingham, E.B.; Mundinger, G.S.; Zelken, J.A.; Bluebond-Langner, R.O.; Singh, D.; Holton, L.H., III. Utility of indocyanine green fluorescence lymphography in identifying the source of persistent groin lymphorrhea. Plast. Reconstr. Surg. Glob. Open 2014, 2, e210. [Google Scholar] [CrossRef] [PubMed]
  15. Takada, S.; Shirota, C.; Uchida, H.; Amano, H.; Hinoki, A.; Sumida, W.; Makita, M.; Okamoto, M.; Takimoto, A.; Yasui, A.; et al. Management of Congenital and Postoperative Chylothorax: Use of Thoracoscopic Lymphatic Leak Ligations with Intraoperative ICG Lymphangiography. J. Pediatr. Surg. 2023, 58, 1754–1761. [Google Scholar] [CrossRef]
  16. Figueroa, B.A.; Lammers, J.D.; Al-Malak, M.; Pandey, S.; Chen, W.F. Lymphoscintigraphy versus Indocyanine Green Lymphography—Which Should Be the Gold Standard for Lymphedema Imaging? Lymphatics 2023, 1, 25–33. [Google Scholar] [CrossRef]
  17. Huang, Y.; Deng, Y.; Sun, Y.; Huang, S.; Chi, P. Intraoperative indocyanine green fluorescent lymphangiography combined with fibrin glue successfully treated refractory chylous ascites after robotic-assisted para-aortic lymphadenectomy for rectal cancer. Colorectal Dis. 2023, 25, 499–500. [Google Scholar] [CrossRef]
  18. Fatemi, N.; Lee, A.; Kessler, J.; Fang, J.; Park, J.M.; Park, J.J. Coil or Plug-Assisted Ethylene Vinyl Alcohol Copolymer (EVOH) Thoracic Duct Embolization in the Treatment of Postoperative Chylothorax. J. Vasc. Interv. Radiol. 2024, 35, 137–141. [Google Scholar] [CrossRef]
  19. Kalchiem-Dekel, O.; Falcon, C.J.; Bestvina, C.M.; Liu, D.; Kaplanis, L.A.; Wilhelm, C.; Eichholz, J.; Harada, G.; Wirth, L.J.; Digumarthy, S.R.; et al. Brief Report: Chylothorax and Chylous Ascites During RET Tyrosine Kinase Inhibitor Therapy. J. Thorac. Oncol. 2022, 17, 1130–1136. [Google Scholar] [CrossRef]
  20. Aly, A.K.; Santos, E.; Fung, J.; Maybody, M.; Youssef, E.W.; Petre, E.N.; Gonzalez-Aguirre, A.J.; Moussa, A.M. Intranodal Lymphangiography and Embolization for Management of Iatrogenic Chylous Ascites after Oncological Surgery. J. Vasc. Interv. Radiol. 2024, 35, 883–889. [Google Scholar] [CrossRef]
  21. Verhaeghe, L.; Holsbeeck, A.V.; Bonne, L.; Claus, E.; Marrannes, J.; Vandenbulcke, R.; Jochmans, I.; Pirenne, J.; Maleux, G. Therapeutic lymphangiography with ethiodized oil for the management of lymphoceles and chylous ascites. Diagn. Interv. Imaging 2023, 104, 500–505. [Google Scholar] [CrossRef]
  22. Kaminski, L.C.; Wagenpfeil, J.; Buermann, J.; Lutz, P.L.; Luetkens, J.A.; Attenberger, U.I.; Strassburg, C.P.; Kalff, J.C.; Schild, H.H.; Pieper, C.C. Long-Term Clinical Outcome of Abdomino-Thoracic Lymphatic Interventions of Traumatic and Non-Traumatic Lymphatic Leakage in Adults. Biomedicines 2023, 11, 2556. [Google Scholar] [CrossRef] [PubMed]
  23. Westerman, M.E.; Yevich, S.M.; Dori, Y.; Ward, J.F.; Pisters, L.L.; Karam, J.A.; Wood, C.G.; Avritscher, R.; Matin, S.F. Lymphangioembolization for iatrogenic chylous ascites after retroperitoneal urological surgery. BJU Int. 2022, 129, 585–587. [Google Scholar] [CrossRef]
  24. Park, J.J. Direct Intranodal Ethylene Vinyl Alcohol Copolymer Embolization for the Treatment of Postoperative Lymphatic Leak. J. Vasc. Interv. Radiol. 2024, 35, 623–625. [Google Scholar] [CrossRef] [PubMed]
  25. Gurevich, A.; Hur, S.; Singhal, S.; DiBardino, D.; Haas, A.R.; Hansen-Flaschen, J.H.; Nadolski, G.; Itkin, M. Nontraumatic Chylothorax and Chylopericardium: Diagnosis and Treatment Using an Algorithmic Approach Based on Novel Lymphatic Imaging. Ann. Am. Thorac. Soc. 2022, 19, 756–762. [Google Scholar] [CrossRef]
  26. Goity, L.D.; Itkin, M.; Nadolski, G. An Algorithmic Approach to Minimally Invasive Management of Nontraumatic Chylothorax; Thieme Medical Publishers: New York, NY, USA, 2020; pp. 269–273. [Google Scholar]
  27. Fukumoto, A.; Terao, T.; Kuzume, A.; Tabata, R.; Tsushima, T.; Miura, D.; Ikeda, D.; Kamura, Y.; Narita, K.; Takeuchi, M.; et al. Management of lymphoma-associated chylothorax by interventional radiology and chemotherapy: A report of five cases. Int. J. Hematol. 2022, 116, 579–585. [Google Scholar] [CrossRef]
  28. Miao, L.; Zhang, Y.; Hu, H.; Ma, L.; Shun, Y.; Xiang, J.; Chen, H. Incidence and management of chylothorax after esophagectomy. Thorac. Cancer 2015, 6, 354–358. [Google Scholar] [CrossRef]
  29. Bryant, A.S.; Minnich, D.J.; Wei, B.; Cerfolio, R.J. The Incidence and Management of Postoperative Chylothorax After Pulmonary Resection and Thoracic Mediastinal Lymph Node Dissection; Elsevier: Amsterdam, The Netherlands, 2014; pp. 232–237. [Google Scholar]
  30. Maldonado, F.; Cartin-Ceba, R.; Hawkins, F.J.; Ryu, J.H. Medical and surgical management of chylothorax and associated outcomes. Am. J. Med. Sci. 2010, 339, 314–318. [Google Scholar] [CrossRef]
  31. Bajaj, S.; Chow, A.; Drilon, A.; Kalchiem-Dekel, O. Spontaneous Bilateral Chylothorax Development During Alectinib Therapy for ALK-Rearranged NSCLC—A Case Report. JTO Clin. Res. Rep. 2023, 4, 100606. [Google Scholar] [CrossRef]
  32. Neuville, C.; Aubin, F.; Puzenat, E.; Popescu, D.; Crepin, T.; Nardin, C. Nivolumab-induced capillary leak syndrome associated with chylothorax in a melanoma patient: A case report and review of the literature. Front. Oncol. 2022, 12, 1032844. [Google Scholar] [CrossRef]
  33. Moussa, A.M.; Aly, A.K.; Maybody, M.; Camacho, J.C.; Ridouani, F.; Gonzalez-Aguirre, A.J.; Santos, E. A comparison of lymphatic embolization and sclerotherapy in the management of iatrogenic abdominopelvic lymphoceles following oncological surgery. Diagn. Interv. Radiol. 2023, 29, 542–547. [Google Scholar] [CrossRef]
  34. Seyferth, E.R.; Itkin, M.; Nadolski, G.J. Intranodal Glue Embolization for Postoperative Lymphatic Leaks in the Groin and Pelvis: Comparison with Sclerotherapy. J. Vasc. Interv. Radiol. 2023, 34, 600–606. [Google Scholar] [CrossRef] [PubMed]
  35. Moussa, A.M.; Camacho, J.C.; Maybody, M.; Gonzalez-Aguirre, A.J.; Ridouani, F.; Kim, D.; Laudone, V.P.; Santos, E. Percutaneous Lymphatic Embolization as Primary Management of Pelvic and Retroperitoneal Iatrogenic Lymphoceles. J. Vasc. Interv. Radiol. 2021, 32, 1529–1535. [Google Scholar] [CrossRef] [PubMed]
  36. Kim, J.; Bang, D.H.; Choi, T.W.; Won, J.H.; Kwon, Y. Lymphangiography and lymphatic embolisation for the treatment of chyle leaks after neck surgery: Assessment of lymphangiography findings and embolisation techniques. Br. J. Radiol. 2023, 96, 20220831. [Google Scholar] [CrossRef]
  37. Cuong, N.N.; Hoan, L.; My, T.T.T.; Luu, D.T.; Tuan Linh, L.; Canh, P.H.; Chi, T.N.K.; Trung, N.Q.; Hoa, T.Q. Minimally Invasive Treatment of Chyle Leak After Thyroidectomy and Cervical Lymph Node Dissection in Patients with Thyroid Carcinoma: Results of a Study Involving 36 Patients. Ther. Clin. Risk Manag. 2024, 20, 75–82. [Google Scholar] [CrossRef]
  38. Lee, K.; Chang, S.J.; Won, J.H.; Kwon, Y.; Kim, S.H.; Kim, J.E.; Kim, J. Intranodal Lymphangiography and Embolization for the Treatment of Early Postoperative Lymphatic Leaks after Pelvic Surgery. J. Vasc. Interv. Radiol. 2023, 34, 591–599.e1. [Google Scholar] [CrossRef]
  39. Koester, T.M.; Chewning, R.H.; Weldon, C.B.; Shaikh, R.; Weil, B.R. Lymphatic Embolization for the Management of Post-operative Chyle Leaks Following Solid Tumor Resection in Pediatric Patients. J. Pediatr. Surg. 2023, 58, 2141–2148. [Google Scholar] [CrossRef]
  40. Shin, Y.S.; Han, K.; Lee, J.; Han, H.H.; Jang, W.S.; Kim, G.M.; Heo, J.E. Lymphatic embolization for early postoperative lymphatic leakage after radical cystectomy for bladder cancer. PLoS ONE 2024, 19, e0305240. [Google Scholar] [CrossRef]
Figure 1. Spot image from an intra-nodal lymphangiogram for a 39-year-old patient with traumatic chylous ascites after retroperitoneal lymph node dissection. Lipiodol is seen filling the retroperitoneal lymphatics (arrowhead) and leaking into the peritoneal space (arrows).
Figure 1. Spot image from an intra-nodal lymphangiogram for a 39-year-old patient with traumatic chylous ascites after retroperitoneal lymph node dissection. Lipiodol is seen filling the retroperitoneal lymphatics (arrowhead) and leaking into the peritoneal space (arrows).
Lymphatics 02 00018 g001
Figure 2. Spot image the same patient in Figure 1 with a 22-gauge needle placed under fluoroscopy into the site of the lymphatic leak (arrow) prior to embolization.
Figure 2. Spot image the same patient in Figure 1 with a 22-gauge needle placed under fluoroscopy into the site of the lymphatic leak (arrow) prior to embolization.
Lymphatics 02 00018 g002
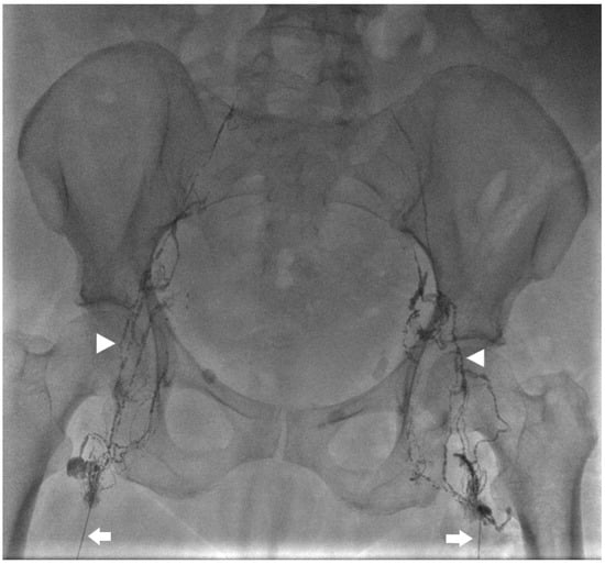
Figure 3. Spot image from an intra-nodal lymphangiogram for a 59-year-old patient with traumatic chylothorax after esophagectomy. Bilateral 25 G needles (arrows) are used to inject lipiodol into the inguinal lymph nodes and up the lymphatic vessels (arrow heads).
Figure 3. Spot image from an intra-nodal lymphangiogram for a 59-year-old patient with traumatic chylothorax after esophagectomy. Bilateral 25 G needles (arrows) are used to inject lipiodol into the inguinal lymph nodes and up the lymphatic vessels (arrow heads).
Lymphatics 02 00018 g003
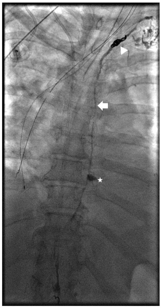
Figure 4. Spot image from the same patient in Figure 3 showing lipiodol within the thoracic duct (arrow) and coils at the distal thoracic duct (arrowhead) to address a leak in the mediastinum (star).
Figure 4. Spot image from the same patient in Figure 3 showing lipiodol within the thoracic duct (arrow) and coils at the distal thoracic duct (arrowhead) to address a leak in the mediastinum (star).
Lymphatics 02 00018 g004
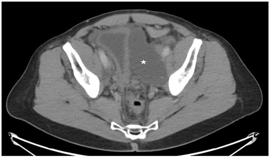
Figure 5. Axial cut from a Computed tomography of the pelvis for a 65-year-old patient with a left pelvic lymphocele (star) after prostatectomy and pelvic lymph node dissection.
Figure 5. Axial cut from a Computed tomography of the pelvis for a 65-year-old patient with a left pelvic lymphocele (star) after prostatectomy and pelvic lymph node dissection.
Lymphatics 02 00018 g005
Figure 6. Spot image from an intra-nodal lymphangiogram for the same patient in Figure 5 showing a 25-gauge needle within a left inguinal lymph node (arrow) and lipiodol within the lymphatic vessels (arrowhead). Lipiodol is seen leaking close to the indwelling pelvic lymphocele drain (circle) confirming the lymphatic leak.
Figure 6. Spot image from an intra-nodal lymphangiogram for the same patient in Figure 5 showing a 25-gauge needle within a left inguinal lymph node (arrow) and lipiodol within the lymphatic vessels (arrowhead). Lipiodol is seen leaking close to the indwelling pelvic lymphocele drain (circle) confirming the lymphatic leak.
Lymphatics 02 00018 g006
Disclaimer/Publisher’s Note: The statements, opinions and data contained in all publications are solely those of the individual author(s) and contributor(s) and not of MDPI and/or the editor(s). MDPI and/or the editor(s) disclaim responsibility for any injury to people or property resulting from any ideas, methods, instructions or products referred to in the content.

Share and Cite

MDPI and ACS Style

Ghonim, M.; Ghonim, M.; Aly, A.K.; Santos, E.; Moussa, A.M. Endovascular and Percutaneous Lymphatic Interventions in Cancer Patients: A Review Article. Lymphatics 2024, 2, 228-243. https://doi.org/10.3390/lymphatics2040018

AMA Style

Ghonim M, Ghonim M, Aly AK, Santos E, Moussa AM. Endovascular and Percutaneous Lymphatic Interventions in Cancer Patients: A Review Article. Lymphatics. 2024; 2(4):228-243. https://doi.org/10.3390/lymphatics2040018

Chicago/Turabian Style

Ghonim, Mohanad, Mohamed Ghonim, Ahmed K. Aly, Ernesto Santos, and Amgad M. Moussa. 2024. "Endovascular and Percutaneous Lymphatic Interventions in Cancer Patients: A Review Article" Lymphatics 2, no. 4: 228-243. https://doi.org/10.3390/lymphatics2040018

APA Style

Ghonim, M., Ghonim, M., Aly, A. K., Santos, E., & Moussa, A. M. (2024). Endovascular and Percutaneous Lymphatic Interventions in Cancer Patients: A Review Article. Lymphatics, 2(4), 228-243. https://doi.org/10.3390/lymphatics2040018

Article Metrics

Back to TopTop