A Comprehensive Clinicopathological Analysis of the First Wave of COVID-19 in Slovakia
Abstract
1. Introduction
2. Materials and Methods
3. Results
3.1. Clinical Data and Laboratory Findings
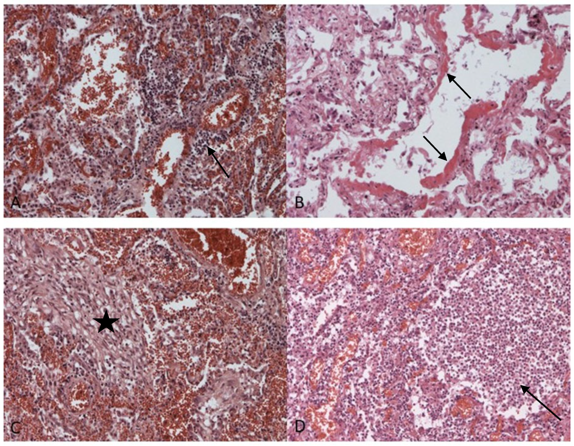
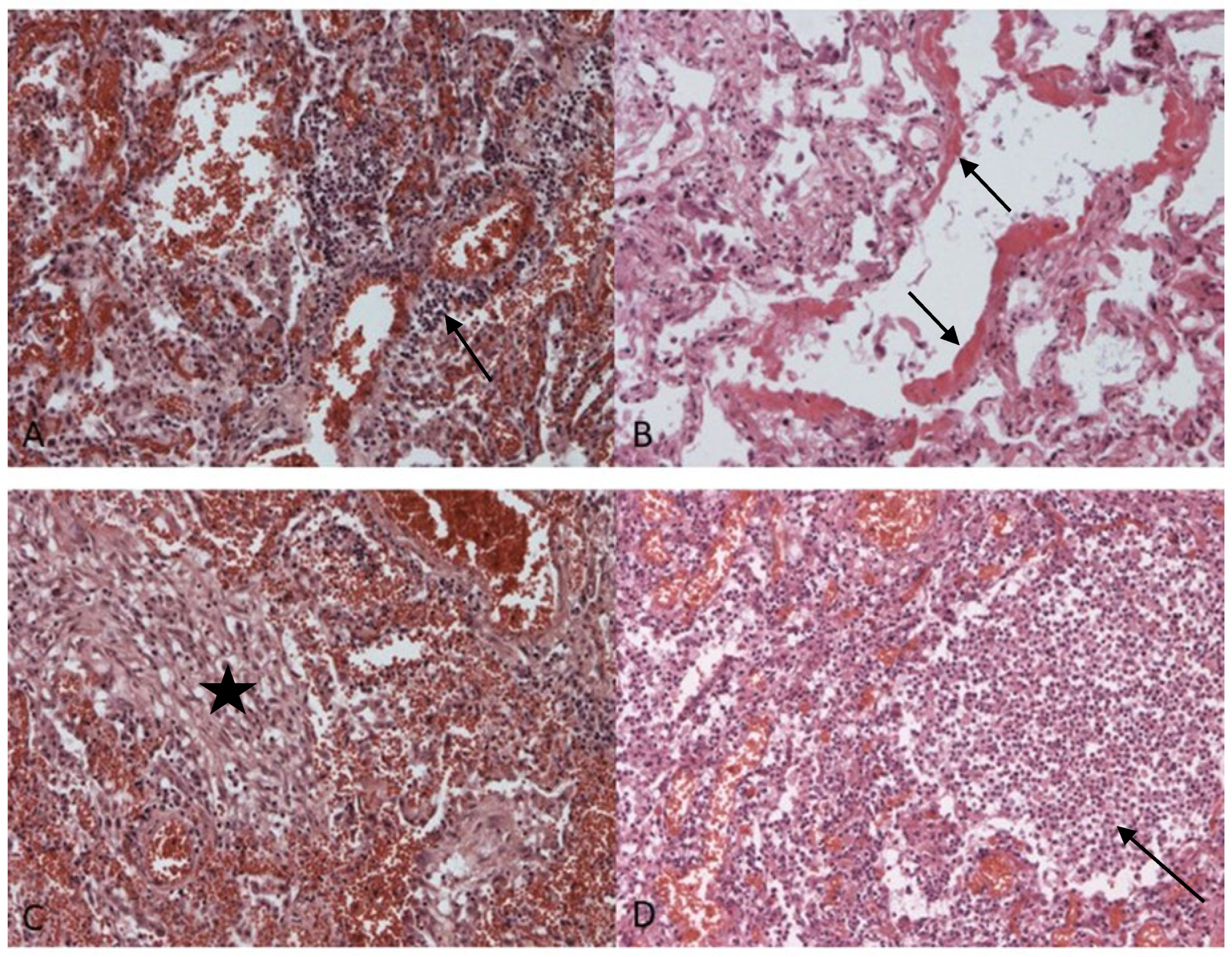
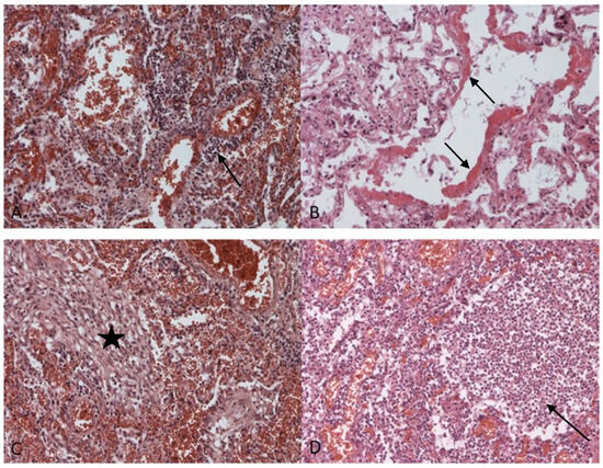
3.2. Histopathology Findings
3.3. Assessment of Clinicopathological Relationships
3.3.1. Microthrombi
3.3.2. Oxygen Therapy
3.3.3. Interstitial Inflammatory Infiltrate
3.3.4. Alveolar Edema
3.3.5. Hyaline Membranes
3.3.6. Accumulation of Macrophages in Alveoli
3.3.7. Organization
4. Discussion
Supplementary Materials
Author Contributions
Funding
Institutional Review Board Statement
Informed Consent Statement
Data Availability Statement
Acknowledgments
Conflicts of Interest
References
- Coronavirus Confirmed in Slovakia—The Slovak Spectator. Available online: https://spectator.sme.sk/politics-and-society/c/coronavirus-confirmed-in-slovakia (accessed on 29 December 2024).
- COVID-19 Report. Available online: https://covid-19.nczisk.sk/sk (accessed on 29 December 2024).
- Suster, D.I.; Suster, S. Biopsy Interpretation of the Lung, 2nd ed.; Biopsy interpretation series; Wolters Kluwer: Philadelphia, PA, USA, 2021; ISBN 978-1-9751-3658-1. [Google Scholar]
- Bösmüller, H.; Matter, M.; Fend, F.; Tzankov, A. The Pulmonary Pathology of COVID-19. Virchows Arch. 2021, 478, 137–150. [Google Scholar] [CrossRef] [PubMed]
- Chams, N.; Chams, S.; Badran, R.; Shams, A.; Araji, A.; Raad, M.; Mukhopadhyay, S.; Stroberg, E.; Duval, E.J.; Barton, L.M.; et al. COVID-19: A Multidisciplinary Review. Front. Public Health 2020, 8, 383. [Google Scholar] [CrossRef]
- Maiese, A.; Manetti, A.C.; La Russa, R.; Di Paolo, M.; Turillazzi, E.; Frati, P.; Fineschi, V. Autopsy Findings in COVID-19-Related Deaths: A Literature Review. Forensic Sci. Med. Pathol. 2021, 17, 279–296. [Google Scholar] [CrossRef] [PubMed]
- Al Nemer, A. Histopathologic and Autopsy Findings in Patients Diagnosed With Coronavirus Disease 2019 (COVID-19): What We Know So Far Based on Correlation with Clinical, Morphologic and Pathobiological Aspects. Adv. Anat. Pathol. 2020, 27, 363–370. [Google Scholar] [CrossRef] [PubMed]
- Borczuk, A.C.; Salvatore, S.P.; Seshan, S.V.; Patel, S.S.; Bussel, J.B.; Mostyka, M.; Elsoukkary, S.; He, B.; Del Vecchio, C.; Fortarezza, F.; et al. COVID-19 Pulmonary Pathology: A Multi-Institutional Autopsy Cohort from Italy and New York City. Mod. Pathol. 2020, 33, 2156–2168. [Google Scholar] [CrossRef]
- Sessa, F.; Bertozzi, G.; Cipolloni, L.; Baldari, B.; Cantatore, S.; D’Errico, S.; Di Mizio, G.; Asmundo, A.; Castorina, S.; Salerno, M.; et al. Clinical-Forensic Autopsy Findings to Defeat COVID-19 Disease: A Literature Review. J. Clin. Med. 2020, 9, 2026. [Google Scholar] [CrossRef]
- Polak, S.B.; Van Gool, I.C.; Cohen, D.; Von Der Thüsen, J.H.; Van Paassen, J. A Systematic Review of Pathological Findings in COVID-19: A Pathophysiological Timeline and Possible Mechanisms of Disease Progression. Mod. Pathol. 2020, 33, 2128–2138. [Google Scholar] [CrossRef]
- Krivosikova, L.; Palkovic, M.; Janega, P.; Babal, P. The First Wave of COVID-19 in Slovakia—Clinicopathological Crrelation. In Proceedings of the 36th European Congress of Pathology—Abstracts, Florence, Italy, 7–11 September 2024. [Google Scholar]
- Zoznam Lekárskych Parametrov. Available online: https://www.medirex.sk/lekar/zoznam-parametrov (accessed on 29 December 2024).
- Rozsypal, H. Základy Infekčního Lékařství, Druhé, Upravené Vydání; Univerzita Karlova, Nakladatelství Karolinum: Praha, Czech, 2023; ISBN 978-80-246-5443-0. [Google Scholar]
- Salyer, S.J.; Maeda, J.; Sembuche, S.; Kebede, Y.; Tshangela, A.; Moussif, M.; Ihekweazu, C.; Mayet, N.; Abate, E.; Ouma, A.O.; et al. The First and Second Waves of the COVID-19 Pandemic in Africa: A Cross-Sectional Study. Lancet 2021, 397, 1265–1275. [Google Scholar] [CrossRef]
- Martínez-Payá, M.; Carrillo, I.; Guilabert, M. Lessons Learned from the COVID-19 Pandemic in Nursing Homes: A Systematic Review. Int. J. Environ. Res. Public Health 2022, 19, 16919. [Google Scholar] [CrossRef]
- Dolveck, F.; Strazzulla, A.; Noel, C.; Aufaure, S.; Tarteret, P.; De Pontfarcy, A.; Briole, N.; Vignier, N.; Diamantis, S. COVID-19 among Nursing Home Residents: Results of an Urgent Pre-Hospital Intervention by a Multidisciplinary Task Force. Braz. J. Infect. Dis. 2021, 25, 101039. [Google Scholar] [CrossRef]
- Gupta, A.; Madhavan, M.V.; Sehgal, K.; Nair, N.; Mahajan, S.; Sehrawat, T.S.; Bikdeli, B.; Ahluwalia, N.; Ausiello, J.C.; Wan, E.Y.; et al. Extrapulmonary Manifestations of COVID-19. Nat. Med. 2020, 26, 1017–1032. [Google Scholar] [CrossRef] [PubMed]
- Chen, W.; Pan, J.Y. Anatomical and Pathological Observation and Analysis of SARS and COVID-19: Microthrombosis Is the Main Cause of Death. Biol. Proced. Online 2021, 23, 4. [Google Scholar] [CrossRef] [PubMed]
- Lax, S.F.; Skok, K.; Zechner, P.; Kessler, H.H.; Kaufmann, N.; Koelblinger, C.; Vander, K.; Bargfrieder, U.; Trauner, M. Pulmonary Arterial Thrombosis in COVID-19 with Fatal Outcome: Results from a Prospective, Single-Center, Clinicopathologic Case Series. Ann. Intern. Med. 2020, 173, 350–361. [Google Scholar] [CrossRef] [PubMed]
- Ackermann, M.; Verleden, S.E.; Kuehnel, M.; Haverich, A.; Welte, T.; Laenger, F.; Vanstapel, A.; Werlein, C.; Stark, H.; Tzankov, A.; et al. Pulmonary Vascular Endothelialitis, Thrombosis, and Angiogenesis in COVID-19. N. Engl. J. Med. 2020, 383, 120–128. [Google Scholar] [CrossRef] [PubMed]
- Menter, T.; Haslbauer, J.D.; Nienhold, R.; Savic, S.; Hopfer, H.; Deigendesch, N.; Frank, S.; Turek, D.; Willi, N.; Pargger, H.; et al. Postmortem Examination of COVID-19 Patients Reveals Diffuse Alveolar Damage with Severe Capillary Congestion and Variegated Findings in Lungs and Other Organs Suggesting Vascular Dysfunction. Histopathology 2020, 77, 198–209. [Google Scholar] [CrossRef]
- Parra-Medina, R.; Herrera, S.; Mejia, J. Systematic Review of Microthrombi in COVID-19 Autopsies. Acta Haematol. 2021, 144, 476–483. [Google Scholar] [CrossRef]
- Huber, A.; Dorn, A.; Witzmann, A.; Cervos-Navarro, J. Microthrombi Formation After Severe Head Trauma. Int. J. Leg. Med. 1993, 106, 152–155. [Google Scholar] [CrossRef]
- Parry, A.H.; Wani, A.H.; Yaseen, M.; Dar, M.I. Demystifying Pulmonary Vascular Complications in Severe Coronavirus Disease-19 Pneumonia (COVID-19) in the Light of Clinico-Radiologic-Pathologic Correlation. Thromb. Res. 2020, 196, 559–560. [Google Scholar] [CrossRef]
- Cattaneo, M.; Bertinato, E.M.; Birocchi, S.; Brizio, C.; Malavolta, D.; Manzoni, M.; Muscarella, G.; Orlandi, M. Pulmonary Embolism or Pulmonary Thrombosis in COVID-19? Is the Recommendation to Use High-Dose Heparin for Thromboprophylaxis Justified? Thromb. Haemost. 2020, 120, 1230–1232. [Google Scholar] [CrossRef]
- Zuo, Y.; Kanthi, Y.; Knight, J.S.; Kim, A.H.J. The Interplay between Neutrophils, Complement, and Microthrombi in COVID-19. Best Pract. Res. Clin. Rheumatol. 2021, 35, 101661. [Google Scholar] [CrossRef]
- Mohseni Afshar, Z.; Tavakoli Pirzaman, A.; Hosseinzadeh, R.; Babazadeh, A.; Taghizadeh Moghadam, M.A.; Miri, S.R.; Sio, T.T.; Sullman, M.J.M.; Barary, M.; Ebrahimpour, S. Anticoagulant Therapy in COVID-19: A Narrative Review. Clin. Transl. Sci 2023, 16, 1510–1525. [Google Scholar] [CrossRef] [PubMed]
- Pastorek, M.; Dúbrava, M.; Celec, P. On the Origin of Neutrophil Extracellular Traps in COVID-19. Front. Immunol. 2022, 13, 821007. [Google Scholar] [CrossRef] [PubMed]
- Zuo, Y.; Yalavarthi, S.; Shi, H.; Gockman, K.; Zuo, M.; Madison, J.A.; Blair, C.N.; Weber, A.; Barnes, B.J.; Egeblad, M.; et al. Neutrophil Extracellular Traps in COVID-19. JCI Insight 2020, 5, e138999. [Google Scholar] [CrossRef] [PubMed]
- Gómez-Mesa, J.E.; Galindo-Coral, S.; Montes, M.C.; Muñoz Martin, A.J. Thrombosis and Coagulopathy in COVID-19. Curr. Probl. Cardiol. 2021, 46, 100742. [Google Scholar] [CrossRef]
- Buonacera, A.; Stancanelli, B.; Colaci, M.; Malatino, L. Neutrophil to Lymphocyte Ratio: An Emerging Marker of the Relationships between the Immune System and Diseases. Int. J. Mol. Sci. 2022, 23, 3636. [Google Scholar] [CrossRef]
- Xiang, M.; Wu, X.; Jing, H.; Novakovic, V.A.; Shi, J. The Intersection of Obesity and (Long) COVID-19: Hypoxia, Thrombotic Inflammation, and Vascular Endothelial Injury. Front. Cardiovasc. Med. 2023, 10, 1062491. [Google Scholar] [CrossRef]
- Yuan, Y.; Wang, G.; Chen, X.; Ye, X.-L.; Li, X.-K.; Li, R.; Jiang, W.-L.; Zeng, H.-L.; Du, J.; Zhang, X.-A.; et al. Thrombocytopenia and Increased Risk of Adverse Outcome in COVID-19 Patients. PeerJ 2022, 10, e13608. [Google Scholar] [CrossRef]
- Brener, M.I.; Hulke, M.L.; Fukuma, N.; Golob, S.; Zilinyi, R.S.; Zhou, Z.; Tzimas, C.; Russo, I.; McGroder, C.; Pfeiffer, R.D.; et al. Clinico-Histopathologic and Single-Nuclei RNA-Sequencing Insights into Cardiac Injury and Microthrombi in Critical COVID-19. JCI Insight 2022, 7, e154633. [Google Scholar] [CrossRef]
- Navarrete, S.; Solar, C.; Tapia, R.; Pereira, J.; Fuentes, E.; Palomo, I. Pathophysiology of Deep Vein Thrombosis. Clin. Exp. Med. 2022, 23, 645–654. [Google Scholar] [CrossRef]
- Jackson, R.M. Pulmonary Oxygen Toxicity. Chest 1985, 88, 900–905. [Google Scholar] [CrossRef]
- Hochberg, C.H.; Semler, M.W.; Brower, R.G. Oxygen Toxicity in Critically Ill Adults. Am. J. Respir. Crit. Care Med. 2021, 204, 632–641. [Google Scholar] [CrossRef] [PubMed]
- Ohtsuki, Y.; Fujita, J.; Yoshinouchi, T.; Enzan, H.; Iguchi, M.; Lee, G.-H.; Furihata, M. Early Stages of Hyaline Membrane Formation Detected in Alveolar Mouths in Diffuse Alveolar-Damage-Associated Diseases: A Detailed Immunohistochemical Study. Int. J. Surg. Pathol. 2015, 23, 524–530. [Google Scholar] [CrossRef] [PubMed]
- Knoll, R.; Schultze, J.L.; Schulte-Schrepping, J. Monocytes and Macrophages in COVID-19. Front. Immunol. 2021, 12, 720109. [Google Scholar] [CrossRef] [PubMed]
- Utrero-Rico, A.; González-Cuadrado, C.; Chivite-Lacaba, M.; Cabrera-Marante, O.; Laguna-Goya, R.; Almendro-Vazquez, P.; Díaz-Pedroche, C.; Ruiz-Ruigómez, M.; Lalueza, A.; Folgueira, M.D.; et al. Alterations in Circulating Monocytes Predict COVID-19 Severity and Include Chromatin Modifications Still Detectable Six Months After Recovery. Biomedicines 2021, 9, 1253. [Google Scholar] [CrossRef]
- Ghazy, R.M.; Almaghraby, A.; Shaaban, R.; Kamal, A.; Beshir, H.; Moursi, A.; Ramadan, A.; Taha, S.H.N. A Systematic Review and Meta-Analysis on Chloroquine and Hydroxychloroquine as Monotherapy or Combined with Azithromycin in COVID-19 Treatment. Sci. Rep. 2020, 10, 22139. [Google Scholar] [CrossRef]
- Yuan, Y.; Jiao, B.; Qu, L.; Yang, D.; Liu, R. The Development of COVID-19 Treatment. Front. Immunol. 2023, 14, 1125246. [Google Scholar] [CrossRef]
- Nag, K.; Tripura, K.; Datta, A.; Karmakar, N.; Singh, M.; Singh, M.; Singal, K.; Pradhan, P. Effect of Hydroxychloroquine and Azithromycin Combination Use in COVID-19 Patients—An Umbrella Review. Indian J. Community Med. 2024, 49, 22–27. [Google Scholar] [CrossRef]
- Bowden, D.H. The Alveolar Macrophage. Environ. Health Perspect. 1984, 55, 327–341. [Google Scholar] [CrossRef]
- Erjefält, J.S.; De Souza Xavier Costa, N.; Jönsson, J.; Cozzolino, O.; Dantas, K.C.; Clausson, C.-M.; Siddhuraj, P.; Lindö, C.; Alyamani, M.; Lombardi, S.C.F.S.; et al. Diffuse Alveolar Damage Patterns Reflect the Immunological and Molecular Heterogeneity in Fatal COVID-19. eBioMedicine 2022, 83, 104229. [Google Scholar] [CrossRef]
- Cocariu, E.A.; Mageriu, V.; Stăniceanu, F.; Bastian, A.; Socoliuc, C.; Zurac, S. Correlations Between the Autolytic Changes and Postmortem Interval in Refrigerated Cadavers. Rom. J. Intern. Med. 2016, 54, 105–112. [Google Scholar] [CrossRef]
- Hostiuc, S.; Rusu, M.C.; Mănoiu, V.S.; Vrapciu, A.D.; Negoi, I.; Popescu, M.V. Usefulness of Ultrastructure Studies for the Estimation of the Postmortem Interval. A Systematic Review. Rom. J. Morphol. Embryol. 2017, 58, 377–384. [Google Scholar] [PubMed]
- Palmiere, C.; Egger, C.; Prod’Hom, G.; Greub, G. Bacterial Translocation and Sample Contamination in Postmortem Microbiological Analyses. J. Forensic Sci. 2016, 61, 367–374. [Google Scholar] [CrossRef] [PubMed]

| Comorbidity | Number of Patients |
|---|---|
| Arterial hypertension | 19/25 (76%) |
| Ischemic heart disease | 20/25 (80%) |
| Bronchial asthma | 1/25 (4%) |
| COPD 1 | 1/25 (4%) |
| Malignancy | 7/25 (28%) |
| Type 2 diabetes | 5/25 (20%) |
| Chronic kidney disease | 10/25 (40%) |
| History of stroke | 7/25 (28%) |
| Hepatopathy | 7/25 (28%) |
| Thyropathy | 4/25 (16%) |
| Obesity | 4/25 (16%) |
| Cachexia | 2/25 (8%) |
| Immobility | 10/25 (40%) |
| Mental disorder | 14/25 (56%) |
| Alcohol addiction | 1/25 (4%) |
| Parameter (Ref. Range) | Increased | Decreased | Average | Average Increased | Average Decreased |
|---|---|---|---|---|---|
| Leukocytes (3.8–10*109/L) | 14/21 (66.67%) | 0/21 (0.00%) | 12.3*109/L | 14.91*109/L | - |
| Neutrophils (2–7*109/L) | 16/21 (76.19%) | 1/21 (4.76%) | 10.32*109/L | 12.35*109/L | - |
| Monocytes (0.08–1.2*109/L) | 1/21 (4.76%) | 1/21 (4.76%) | 0.61*109/L | - | - |
| Lymphocytes (0.8–4*109/L) | 0/21 (0.00%) | 8/21 (38.10%) | 1.09*109/L | - | 0.45*109/L |
| Platelets (150–400*109/L) | 2/21 (9.52%) | 4/21 (19.04%) | 224.95*109/L | 452.50*109/L | 77.75*109/L |
| CRP 1 (up to 5 mg/L) | 19/21 (90.48%) | - | 155.20 mg/L | 171.20 mg/L | - |
| D-dimer (0–0.5 mg/L FEU) | 16/17 (94.12%) | - | 8.60 mg/L FEU | 9.11 mg/L FEU | - |
| SpO2 2 (95–99%) | - | 17/21 (80.95%) | 84.19% | - | 81.24% |
| Parameter | Yes | No/− | + | ++ | +++ |
|---|---|---|---|---|---|
| Pulmonary capillaritis | 24 | 1 | 5 | 15 | 4 |
| Perivascular lymphocytic infiltrate | 20 | 5 | 16 | 3 | 1 |
| Interstitial edema | 20 | 5 | 20 | 0 | 0 |
| Alveolar edema | 19 | 6 | 8 | 7 | 4 |
| Hyaline membranes | 22 | 3 | 9 | 11 | 2 |
| Alveolar hemorrhage | 19 | 6 | 6 | 10 | 3 |
| Lung infarction | 2 | 23 | 2 | 0 | 0 |
| Pneumocyte hyperplasia | 23 | 2 | 6 | 4 | 13 |
| Multinucleated cells | 18 | 7 | 10 | 6 | 2 |
| Accumulation of alveolar macrophages | 23 | 2 | 14 | 8 | 1 |
| Organization/fibrosis | 15 | 10 | 7 | 6 | 2 |
| Necrotizing bronchiolitis | 22 | 3 | - | - | - |
| Microthrombi | 9 | 16 | - | - | - |
| Giant cells with prominent nucleoli | 16 | 9 | - | - | - |
| Superinfection | 5 | 20 | - | - | - |
Disclaimer/Publisher’s Note: The statements, opinions and data contained in all publications are solely those of the individual author(s) and contributor(s) and not of MDPI and/or the editor(s). MDPI and/or the editor(s) disclaim responsibility for any injury to people or property resulting from any ideas, methods, instructions or products referred to in the content. |
© 2025 by the authors. Licensee MDPI, Basel, Switzerland. This article is an open access article distributed under the terms and conditions of the Creative Commons Attribution (CC BY) license (https://creativecommons.org/licenses/by/4.0/).
Share and Cite
Krivosikova, L.; Palkovic, M.; Janega, P.; Mikus Kuracinova, K.; Janegova, A.; Babal, P. A Comprehensive Clinicopathological Analysis of the First Wave of COVID-19 in Slovakia. COVID 2025, 5, 29. https://doi.org/10.3390/covid5030029
Krivosikova L, Palkovic M, Janega P, Mikus Kuracinova K, Janegova A, Babal P. A Comprehensive Clinicopathological Analysis of the First Wave of COVID-19 in Slovakia. COVID. 2025; 5(3):29. https://doi.org/10.3390/covid5030029
Chicago/Turabian StyleKrivosikova, Lucia, Michal Palkovic, Pavol Janega, Kristina Mikus Kuracinova, Andrea Janegova, and Pavel Babal. 2025. "A Comprehensive Clinicopathological Analysis of the First Wave of COVID-19 in Slovakia" COVID 5, no. 3: 29. https://doi.org/10.3390/covid5030029
APA StyleKrivosikova, L., Palkovic, M., Janega, P., Mikus Kuracinova, K., Janegova, A., & Babal, P. (2025). A Comprehensive Clinicopathological Analysis of the First Wave of COVID-19 in Slovakia. COVID, 5(3), 29. https://doi.org/10.3390/covid5030029

