Placental Infection with Different SARS-CoV-2 Variants Leading to Stillbirth: Report of Two Cases
Abstract
1. Introduction
2. Materials and Methods
3. Detailed Case Description
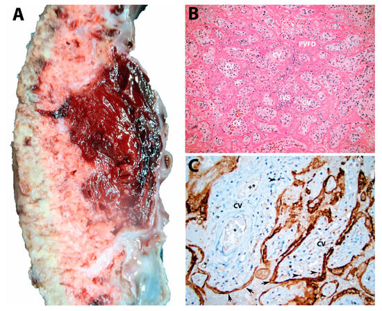
3.1. Case 1
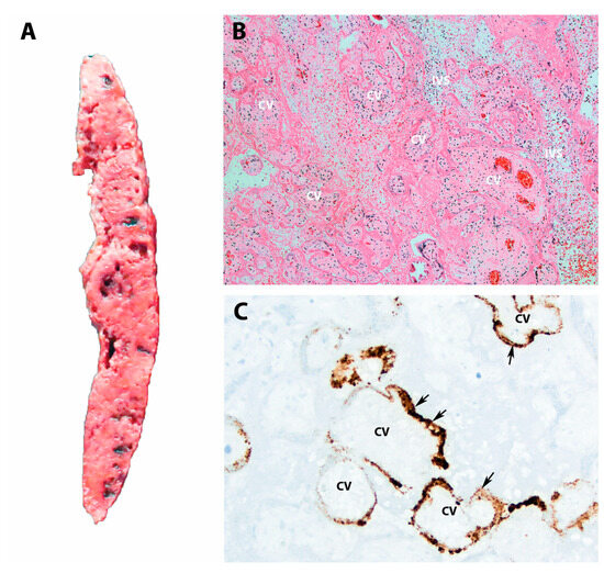
3.2. Case 2
4. Discussion
Author Contributions
Funding
Institutional Review Board Statement
Informed Consent Statement
Data Availability Statement
Conflicts of Interest
References
- Knight, M.; Bunch, K.; Vousden, N.; Morris, E.; Simpson, N.; Gale, C.; O’Brien, P.; Quigley, M.; Brocklehurst, P.; Kurinczuk, J.J.; et al. Characteristics and outcomes of pregnant women admitted to hospital with confirmed SARS-CoV-2 infection in UK: National population based cohort study. BMJ 2020, 369, m2107. [Google Scholar] [CrossRef] [PubMed]
- Villar, J.; Ariff, S.; Gunier, R.B.; Thiruvengadam, R.; Rauch, S.; Kholin, A.; Roggero, P.; Prefumo, F.; do Vale, M.S.; Cardona-Perez, J.A.; et al. Maternal and Neonatal Morbidity and Mortality Among Pregnant Women With and Without COVID-19 Infection: The INTERCOVID Multinational Cohort Study. JAMA Pediatr. 2021, 175, 817–826. [Google Scholar] [CrossRef] [PubMed]
- Smith, E.R.; Oakley, E.; Grandner, G.W.; Ferguson, K.; Farooq, F.; Afshar, Y.; Ahlberg, M.; Ahmadzia, H.; Akelo, V.; Aldrovandi, G.; et al. Perinatal COVID PMA Study Collaborators; Perinatal COVID PMA Study Collaborators. Adverse maternal, fetal, and newborn outcomes among pregnant women with SARS-CoV-2 infection: An individual participant data meta-analysis. BMJ Glob Health 2023, 8, e009495. [Google Scholar] [CrossRef] [PubMed]
- DeSisto, C.L.; Wallace, B.; Simeone, R.M.; Polen, K.; Ko, J.Y.; Meaney-Delman, D.; Ellington, S.R. Risk for Stillbirth Among Women With and Without COVID-19 at Delivery Hospitalization—United States, March 2020–September 2021. MMWR Morb. Mortal. Wkly. Rep. 2021, 70, 1640–1645. [Google Scholar] [CrossRef]
- Carlson, J.; Simeone, R.M.; Ellington, S.; Galang, R.; DeSisto, C.L.; Fleming-Dutra, K.; Riley, L.; Meaney-Delman, D.; Tong, V.T. Pre-Delta, Delta, and Omicron Periods of the Coronavirus Disease 2019 (COVID-19) Pandemic and Health Outcomes During Delivery Hospitalization. Obstet. Gynecol. 2024, 143, 131–138. [Google Scholar] [CrossRef]
- Damman, E.; Trecourt, A.; de la Fournière, B.; Lebreton, F.; Gaillot-Durand, L.; Fichez, A.; Chauvy, L.; Thonnon, C.; Destras, G.; Devouassoux-Shisheboran, M.; et al. Predictive factors for severe placental damage in pregnant women with SARS-CoV-2 infection. Placenta 2023, 136, 1–7. [Google Scholar] [CrossRef]
- Min, D.D.; Min, J.H. Pregnancy-related and Neonatal Outcomes during Omicron Variant-Dominant COVID-19 Pandemic among the Black-Dominant Population. Am. J. Perinatol. 2024; epub ahead of print. [Google Scholar] [CrossRef]
- Liu, L.L.; Lin, L.H.; Lin, F.; Yang, Y.K.; Lin, C.F.; Zhang, L.; Huang, Y.C.; Liao, Y.W.; Zeng, Y.Q.; Zeng, G.K.; et al. The clinical characteristics of COVID-19 omicron variant infection in pregnant women and their neonates. Front. Med. 2023, 10, 1229794. [Google Scholar] [CrossRef]
- Watkins, J.C.; Torous, V.F.; Roberts, D.J. Defining Severe Acute Respiratory Syndrome Coronavirus 2 (SARS-CoV-2) Placentitis. Arch. Pathol. Lab. Med. 2021, 145, 1341–1349. [Google Scholar] [CrossRef]
- Schwartz, D.A.; Avvad-Portari, E.; Babál, P.; Baldewijns, M.; Blomberg, M.; Bouachba, A.; Camacho, J.; Collardeau-Frachon, S.; Colson, A.; Dehaene, I.; et al. Placental Tissue Destruction and Insufficiency From COVID-19 Causes Stillbirth and Neonatal Death From Hypoxic-Ischemic Injury. Arch. Pathol. Lab. Med. 2022, 146, 660–676. [Google Scholar] [CrossRef]
- Thomas, J.; Sun, Y.; Debelenko, L. Infrequent Placental and Fetal Involvement in SARS-CoV-2 Infection: Pathology Data from a Large Medical Center. J. Dev. Biol. 2021, 9, 45. [Google Scholar] [CrossRef]
- Konstantinidou, A.E.; Angelidou, S.; Havaki, S.; Paparizou, K.; Spanakis, N.; Chatzakis, C.; Sotiriadis, A.; Theodora, M.; Donoudis, C.; Daponte, A.; et al. Stillbirth due to SARS-CoV-2 placentitis without evidence of intrauterine transmission to fetus: Association with maternal risk factors. Ultrasound Obstet. Gynecol. 2022, 59, 813–822. [Google Scholar] [CrossRef] [PubMed]
- Redline, R.W.; Ravishankar, S.; Bagby, C.; Saab, S.; Zarei, S. Diffuse and Localized SARS-CoV-2 Placentitis: Prevalence and Pathogenesis of an Uncommon Complication of COVID-19 Infection During Pregnancy. Am. J. Surg. Pathol. 2022, 46, 1036–1047. [Google Scholar] [CrossRef] [PubMed]
- Nkobetchou, M.; Leruez-Ville, M.; Guilleminot, T.; Roux, N.; Petrilli, G.; Guimiot, F.; Saint-Frison, M.H.; Deryabin, I.; Ville, Y.; Faure Bardon, V. Assessing importance of SARS-CoV2 infection as cause of in utero fetal death: Regional retrospective cohort study. Ultrasound Obstet. Gynecol. 2023, 62, 867–874. [Google Scholar] [CrossRef] [PubMed]
- Nielsen, S.Y.; Hvidman, L.E.; Aabakke, A.J.M.; Olsen, T.E.; Johnsen, I.B.G.; Bogaard, P.W.; Petersen, A.; Westergaard, H.B.; Sørensen, A.; Hedermann, G.; et al. SARS-CoV-2 placentitis and severe pregnancy outcome after maternal infection: A Danish case series. Acta Obstet. Gynecol. Scand. 2023, 102, 567–576. [Google Scholar] [CrossRef]
- Delle Chiaie, L.; Stolpner, I.; Dettmer, M.S.; Baltz-Ghahremanpour, K. Acute placental insufficiency two weeks after an asymptomatic COVID-19 maternal infection: The deleterious effects of the SARS-CoV-2 placentitis. Arch. Gynecol. Obstet. 2023, 13, 723–726. [Google Scholar] [CrossRef]
- Corn, M.; Pham, T.; Kemp, W. Adverse Fetal Outcomes and Histopathology of Placentas Affected by COVID-19: A Report of Four Cases. Cureus 2023, 15, e44402. [Google Scholar] [CrossRef]
- Garrido-Pontnou, M.; Navarro, A.; Camacho, J.; Crispi, F.; Alguacil-Guillén, M.; Moreno-Baró, A.; Hernandez-Losa, J.; Sesé, M.; Ramón, Y.; Cajal, S.; et al. Diffuse trophoblast damage is the hallmark of SARS-CoV-2-associated fetal demise. Mod. Pathol. 2021, 34, 1704–1709. [Google Scholar] [CrossRef]
- Horn, L.C.; Krücken, I.; Hiller, G.G.R.; Niedermair, M.; Perac, K.; Pietsch, C.; Höhn, A.K. Placental pathology in sudden intrauterine death (SIUD) in SARS-CoV-2-positive oligosymptomatic women. Arch. Gynecol. Obstet. 2023, 307, 1811–1822. [Google Scholar] [CrossRef]
- Edlow, A.G.; Li, J.Z.; Collier, A.Y.; Atyeo, C.; James, K.E.; Boatin, A.A.; Gray, K.J.; Bordt, E.A.; Shook, L.L.; Yonker, L.M.; et al. Assessment of Maternal and Neonatal SARS-CoV-2 Viral Load, Transplacental Antibody Transfer, and Placental Pathology in Pregnancies During the COVID-19 Pandemic. JAMA Netw. Open 2020, 3, e2030455. [Google Scholar] [CrossRef]
- Fitzgerald, B.; O’Donoghue, K.; McEntagart, N.; Gillan, J.E.; Kelehan, P.; O’Leary, J.; Downey, P.; Dean, J.; De Gascun, C.F.; Bermingham, J.; et al. Fetal Deaths in Ireland Due to SARS-CoV-2 Placentitis Caused by SARS-CoV-2 Alpha. Arch. Pathol. Lab. Med. 2022, 146, 529–537. [Google Scholar] [CrossRef]
- Zaigham, M.; Gisselsson, D.; Sand, A.; Wikström, A.K.; von Wowern, E.; Schwartz, D.A.; Iorizzo, L.; Nelander, M.; Blomberg, M.; Papadogiannakis, N.; et al. Clinical-pathological features in placentas of pregnancies with SARS-CoV-2 infection and adverse outcome: Case series with and without congenital transmission. BJOG 2022, 129, 1361–1374. [Google Scholar] [CrossRef] [PubMed]
- Debelenko, L.; Katsyv, I.; Chong, A.M.; Peruyero, L.; Szabolcs, M.; Uhlemann, A.C. Trophoblast damage with acute and chronic intervillositis: Disruption of the placental barrier by severe acute respiratory syndrome coronavirus 2. Hum. Pathol. 2021, 109, 69–79. [Google Scholar] [CrossRef] [PubMed]
- Li, S.; Sun, D.; Wang, R.; Du, Q.; Chen, H.; Shi, Z.; Zhou, H. Causal association between multiple sclerosis and severe COVID-19: A bidirectional Mendelian randomization study. J. Neuroimmunol. 2024, 391, 578352. [Google Scholar] [CrossRef] [PubMed]
- Redline, R.W. Extending the Spectrum of Massive Perivillous Fibrin Deposition (Maternal Floor Infarction). Pediatr. Dev. Pathol. 2021, 24, 10–11. [Google Scholar] [CrossRef]
- Gallais Sérézal, I.; Spehner, L.; Kroemer, M.; Bourezane, I.; Meaux-Ruault, N.; Prati, C.; Pastissier, A.; Lodovichetti, J.; Tiberghien, P.; Aubin, F. Timing is essential: Humoral and cellular responses to SARS-CoV-2 vaccination in a cohort of patients with auto-immune diseases treated with rituximab. Heliyon 2024, 10, e38043. [Google Scholar] [CrossRef]


| Maternal Characteristics | Case 1 | Case 2 |
|---|---|---|
| Age, Gravity, Parity | 30 yo G3P0020 | 39 yo G1P0 |
| Maternal Medical History | Unremarkable | MS treated with rituximab |
| Antenatal History | First trimester bleeding, resolved | In vitro fertilization |
| SARS-CoV-2 PCR Status | Positive on admission for IUFD | Positive for 8 weeks prior to IUFD |
| Severity of COVID-19 | Asymptomatic | Moderate-to-severe |
| Vaccination/Immunity Status | Unknown | One dose of Pfizer vaccine, early 2021 History of prior COVID-19, late 2021 |
| Placental Characteristics | ||
| Weight | 261 g (small for gestational age) | 292 g (small for gestational age) |
| Extend of SP with PVFD | More than 90% | More than 95% |
| Additional Placental Pathology | Subchorionic and intervillous hematomas Obliterative vasculopathy of stem vessels | Multiple intervillous hematomas |
| SARS-CoV-1 ISH | Positive in villous trophoblasts | Positive in villous trophoblasts |
| SARS-CoV-2 IHC | Positive in maternal macrophages, villous trophoblasts, villous stromal cells and endothelium of fetal capillaries | Positive in maternal macrophages, villous trophoblasts, villous stromal cells and endothelium of fetal capillaries |
| SARS-CoV-2 Sequencing | Delta variant | Omicron XBB.1.515 variant |
| Fetal Characteristics | ||
| Date of Stillbirth | December 2021 | February 2023 |
| Gestational Age | 31 weeks and 4 days | 34 weeks and 4 days |
| Weight | 1430 g (appropriate for gestational age) | 1910 g (appropriate for gestational age) |
| Autopsy Findings | Fetal hydrops. Diffuse alveolar hemorrhage and meconium aspiration | Fetal hydrops Meconium aspiration |
| Nasopharyngeal SARS-CoV-2 PCR Test | Positive | Not performed |
| SARS-CoV-2 ISH and IHC in Fetal Organs | Negative | Negative |
Disclaimer/Publisher’s Note: The statements, opinions and data contained in all publications are solely those of the individual author(s) and contributor(s) and not of MDPI and/or the editor(s). MDPI and/or the editor(s) disclaim responsibility for any injury to people or property resulting from any ideas, methods, instructions or products referred to in the content. |
© 2025 by the authors. Licensee MDPI, Basel, Switzerland. This article is an open access article distributed under the terms and conditions of the Creative Commons Attribution (CC BY) license (https://creativecommons.org/licenses/by/4.0/).
Share and Cite
Snow, M.A.; Annavajhala, M.K.; Moscovitz, S.Z.; Uhlemann, A.-C.; Debelenko, L. Placental Infection with Different SARS-CoV-2 Variants Leading to Stillbirth: Report of Two Cases. COVID 2025, 5, 8. https://doi.org/10.3390/covid5010008
Snow MA, Annavajhala MK, Moscovitz SZ, Uhlemann A-C, Debelenko L. Placental Infection with Different SARS-CoV-2 Variants Leading to Stillbirth: Report of Two Cases. COVID. 2025; 5(1):8. https://doi.org/10.3390/covid5010008
Chicago/Turabian StyleSnow, Miriam A., Medini K. Annavajhala, Sofia Z. Moscovitz, Anne-Catrin Uhlemann, and Larisa Debelenko. 2025. "Placental Infection with Different SARS-CoV-2 Variants Leading to Stillbirth: Report of Two Cases" COVID 5, no. 1: 8. https://doi.org/10.3390/covid5010008
APA StyleSnow, M. A., Annavajhala, M. K., Moscovitz, S. Z., Uhlemann, A.-C., & Debelenko, L. (2025). Placental Infection with Different SARS-CoV-2 Variants Leading to Stillbirth: Report of Two Cases. COVID, 5(1), 8. https://doi.org/10.3390/covid5010008

