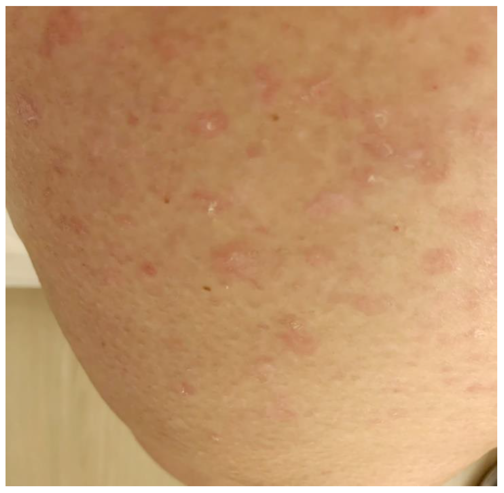
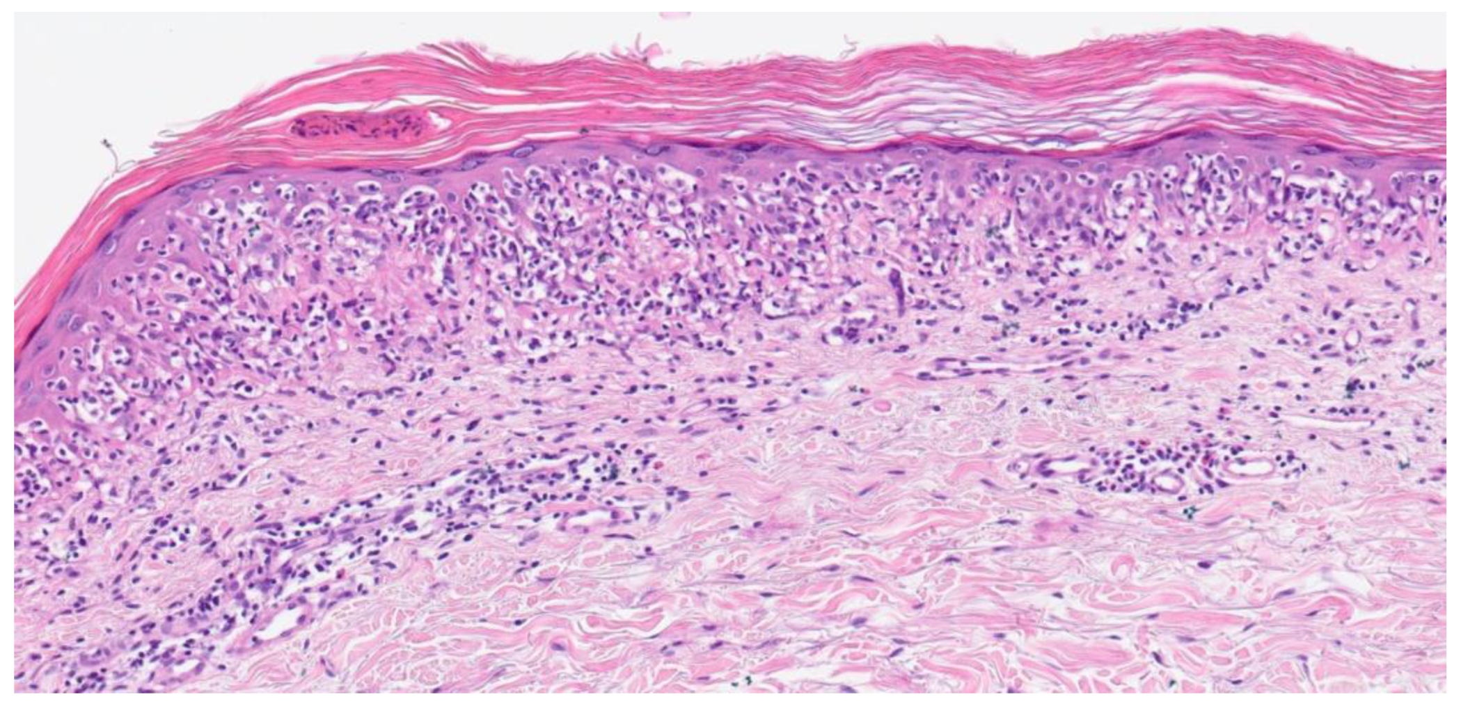
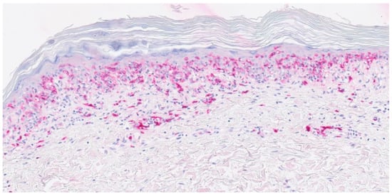
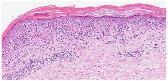
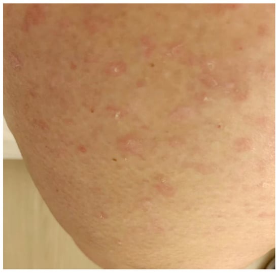
Pityriasis Lichenoides Chronica-like CD8-Positive Mycosis Fungoides
Author Contributions
Funding
Conflicts of Interest
References
- Khachemoune, A.; Blyumin, M.L. Pityriasis lichenoides: Pathophysiology, classification, and treatment. Am. J. Clin. Dermatol. 2007, 8, 29–36. [Google Scholar] [CrossRef] [PubMed]
- Cho, E.B.; Youn, S.H.; Park, E.J.; Kwon, I.H.; Kim, K.J. CD8-positive pityriasis lichenoides-like mycosis fungoides. Eur. J. Dermatol. 2012, 22, 415–416. [Google Scholar] [CrossRef] [PubMed]
- Jang, M.S.; Kang, D.Y.; Bin Park, J.; Kim, J.H.; Park, K.A.; Rim, H.; Suh, K.S. Pityriasis Lichenoides-like Mycosis Fungoides: Clinical and Histologic Features and Response to Phototherapy. Ann. Dermatol. 2016, 28, 540–547. [Google Scholar] [CrossRef] [PubMed]
- Mohd Amin, S.N.; Muhamad, R.; Wan Abdullah, W.N.H.; Mohd Zulkifli, M.; Bakrin, I.H.; Tangam, T. A Case Report of Pityriasis Lichenoides-Like Mycosis Fungoides in Children: A Challenging Diagnosis. Korean J. Fam. Med. 2021, 42, 334–338. [Google Scholar] [CrossRef] [PubMed]
- Wang, S.-H.; Hsiao, C.-H.; Hsiao, P.-F.; Chu, C.-Y. Adult pityriasis lichenoides-like mycosis fungoides with high density of CD8-positive T-lymphocytic infiltration. J. Eur. Acad. Dermatol. Venereol. 2007, 21, 401–402. [Google Scholar] [CrossRef] [PubMed]
- Lin, T.L.; Chen, Y.J.; Weng, Y.C.; Yang, C.S.; Juan, I.K. Pityriasis Lichenoid-like Mycosis Fungoides in a 9-year-old Boy: A Case Report. Acta Dermatovenerol. Croat. 2019, 27, 37–39. [Google Scholar] [PubMed]
- Olsen, E.; Vonderheid, E.; Pimpinelli, N.; Willemze, R.; Kim, Y.; Knobler, R.; Zackheim, H.; Duvic, M.; Estrach, T.; Lamberg, S.; et al. Revisions to the staging and classification of mycosis fungoides and Sezary syndrome: A proposal of the International Society for Cutaneous Lymphomas (ISCL) and the cutaneous lymphoma task force of the European Organization of Research and Treatment of Cancer (EORTC). Blood 2007, 110, 1713–1722. [Google Scholar] [PubMed]
- Gambichler, T.; Späth, J.; Said, S.; Scheel, C.H.; Susok, L.; Stranzenbach, R. Outcome of extracorporeal photopheresis in mycosis fungoides patients is not predicted by quotients of systemic immune-inflammatory biomarkers. J. Clin. Apher. 2022, 37, 360–366. [Google Scholar] [CrossRef] [PubMed]
- Robson, A.; Assaf, C.; Bagot, M.; Burg, G.; Calonje, E.; Castillo, C.; Cerroni, L.; Chimenti, N.; Dechelotte, P.; Franck, F.; et al. Aggressive epidermotropic cutaneous CD8+ lymphoma: A cutaneous lymphoma with distinct clinical and pathological features. Report of an EORTC Cutaneous Lymphoma Task Force Workshop. Histopathology 2015, 67, 425–441. [Google Scholar] [CrossRef] [PubMed]
- Brown, D.N.; Blessing, M.M.; Marcogliese, A.N.; Vega, F.; Prose, N.; Metry, D. Childhood lymphomatoid papulosis Type D, a rare and challenging diagnosis. Pediatr. Dermatol. 2022. [Google Scholar] [CrossRef] [PubMed]



Publisher’s Note: MDPI stays neutral with regard to jurisdictional claims in published maps and institutional affiliations. |
© 2022 by the authors. Licensee MDPI, Basel, Switzerland. This article is an open access article distributed under the terms and conditions of the Creative Commons Attribution (CC BY) license (https://creativecommons.org/licenses/by/4.0/).
Share and Cite
Gambichler, T.; Heinzer, E.; Hendricks, C.; Duschner, N.; Boms, S. Pityriasis Lichenoides Chronica-like CD8-Positive Mycosis Fungoides. Dermato 2022, 2, 121-124. https://doi.org/10.3390/dermato2040011
Gambichler T, Heinzer E, Hendricks C, Duschner N, Boms S. Pityriasis Lichenoides Chronica-like CD8-Positive Mycosis Fungoides. Dermato. 2022; 2(4):121-124. https://doi.org/10.3390/dermato2040011
Chicago/Turabian StyleGambichler, Thilo, Ekaterina Heinzer, Carlo Hendricks, Nicole Duschner, and Stefanie Boms. 2022. "Pityriasis Lichenoides Chronica-like CD8-Positive Mycosis Fungoides" Dermato 2, no. 4: 121-124. https://doi.org/10.3390/dermato2040011
APA StyleGambichler, T., Heinzer, E., Hendricks, C., Duschner, N., & Boms, S. (2022). Pityriasis Lichenoides Chronica-like CD8-Positive Mycosis Fungoides. Dermato, 2(4), 121-124. https://doi.org/10.3390/dermato2040011

