Abstract
Advancements in image processing have advanced medical diagnostics, especially in image classification, impacting healthcare by offering faster and more accurate analyses of magnetic resonance imaging (MRI) and X-rays. The manual examination of these images is slow, error-prone, and costly. Therefore, we propose a new method focusing on the Pap smear exam for early cervical cancer detection. Using a convolutional neural network (CNN) and the SIPaKMeD dataset, cervical cells are classified into normal, precancerous, and benign cells after segmentation. The CNN’s architecture is simple yet efficient, achieving a 91.29% accuracy.
1. Introduction
Cervical cancer is a major global health concern for women, ranking as the second most common and deadly cancer. It typically develops from chronic infections that affect the skin and mucosal cells in the vaginal area. The disease is particularly severe due to its insidious nature, often progressing without noticeable early symptoms. Although cervical cancer is highly treatable if detected early, rising mortality rates among affected women underscore the importance of timely diagnosis. Traditional diagnostic methods, such as manual inspection and Pap smear examinations, are prone to inaccuracies due to human error, leading to potential misdiagnosis. This has spurred interest in automated cervical cancer screening technologies to reduce the associated risks of this disease. However, existing machine learning approaches face challenges such as limited generalization in complex cases, inefficiency, and suboptimal accuracy.
Numerous studies have used machine learning to support and improve manual screening processes. The widely used random forest method predicts characteristics from high-dimensional cancer imaging data but suffers from sluggishness and inefficiency, especially in real-time detection involving numerous decision trees. Furthermore, whether based on deep learning (DL) or handcrafted algorithms, modern classification techniques frequently rely on single detection structures, which increase processing complexity but reduce accuracy.
The accurate classification of cervical cytopathology images is critical in the diagnosis of cervical cancer, with clinical research highlighting its significant impact on early-stage screening. Effective classification systems depend on a detailed analysis of Pap smear cell images, which is fundamental for the prompt detection and diagnosis of cervical cancer.
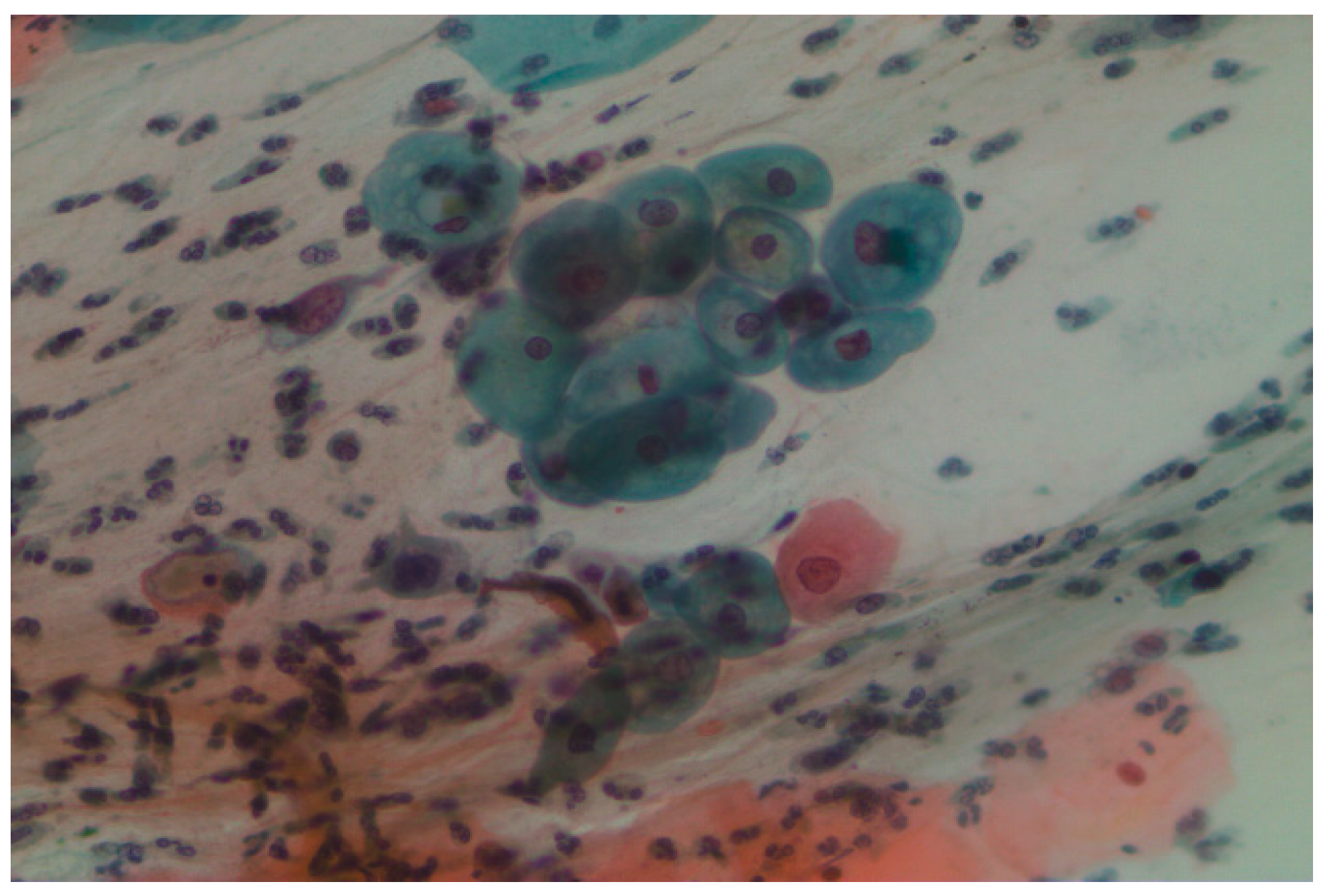
The emergence of deep learning in recent years has revolutionized many scientific fields, particularly in speech and image recognition. DL techniques have shown great promise in addressing the challenges of cancer cell classification in computer-aided diagnostic systems. Acknowledging the transformative potential of deep learning, this study aims to examine the latest technological advancements in cervical cell classification using machine learning, as illustrated in Figure 1.
Figure 1.
Cervical images.
2. Materials and Methods
We developed a robust system that is capable of swiftly identifying malignant cells within complex cervical images. By harnessing the advanced capabilities of convolutional neural networks (CNNs), we seamlessly classify these cells into five distinct categories: dyskeratotic, koilocytotic, metaplastic, parabasal, and superficial–intermediate. This classification is important in medical diagnostics, serving as a vital tool for detecting cell abnormalities at the precancerous stage, thereby paving the way for early detection and effective disease management.
The workflow of the developed model is depicted in Figure 2. It is meticulously crafted to facilitate the classification process. As the data navigate through the intricate layers of the CNN, a series of mathematical operations unfold, each contributing to the refinement of the input data [1]. Every layer within the CNN framework plays a crucial role, with convolutional layers extracting features and max-pooling layers reducing the dimensionality of the output, effectively halving it. The flattening layer then simplifies the multi-dimensional data and prepares them for the dense layer by condensing them into a format that represents the five target classes. Based on this complex interplay of data and algorithms, the developed model enables cervical cell classification, marking the advent of precision medicine and elevating diagnostic standards to new heights.
Figure 2.
Automatic visual classification algorithm.
2.1. Data Selection
Pap smear images are crucial for examining cervical cells as they offer valuable insights into cellular dynamics and anomalies. Among the available datasets, SIPaKMeD stands out as a significant resource, containing 966 clusters of cervical cell images that have been meticulously cropped into 4049 individual snapshots [2,3]. These images reflect the complexity of cellular morphology and are categorized into superficial–intermediate, parabasal, koilocytotic, metaplastic, and dyskeratotic cells. In this classification, superficial–intermediate and parabasal cells are considered normal, representing the typical characteristics of healthy cervical cells. In contrast, koilocytotic and dyskeratotic cells, although not malignant, display abnormalities that suggest potential precancerous changes. Meanwhile, the metaplastic cells represent benign cellular transformations and form the fifth category.
Figure 3 shows the dyskeratotic cell. Figure 4 illustrates a koilocytotic cell, highlighting abnormalities without malignancy and suggesting the possibility of precancerous alterations. Conversely, Figure 5 depicts a metaplastic cell in its normal state, exemplifying healthy cellular features, while Figure 6 and Figure 7 represent superficial–intermediate cells and parabasal cells, respectively.
Figure 3.
Dyskeratotic cell.
Figure 4.
Koilocytotic cell.
Figure 5.
Metaplastic cell.
Figure 6.
Superficial–intermediate cell.
Figure 7.
Parabasal cell.
With their extensive cellular imagery, the datasets provide a foundation for developing algorithms that are designed to enhance cervical cancer screening and diagnosis, thereby pushing the boundaries of medical innovation and discovery.
2.2. Data Preprocessing
2.2.1. Image Segmentation
Image segmentation plays a crucial role in dissecting the intricate details hidden within Pap smear slide images. This process unravels the complexities of cellular structures, which are essential for accurate classification. Guided by predefined areas of nuclei and cytoplasm, the method in this study meticulously identifies and delineates the boundaries of each cell within the image [4]. A one-pixel-wide border is applied around each cell, enhancing their clarity and definition for subsequent analysis. Once the cellular boundaries are established, the images are resized to a standardized pixel dimension. This resizing is a foundational step to ensure consistency across the dataset, laying the groundwork for reliable analysis and accurate classification by the model.
2.2.2. Nominal Data
To streamline the classification process, we assigned numeric labels to the five categories of cervical cells. These labels serve as a simplified representation of the cell classes, as follows: dyskeratotic (0), koilocytotic (1), metaplastic (2), parabasal (3), and superficial–intermediate (4). This numeric encoding simplifies the classification task and enhances the efficiency of the model by reducing categorical complexities into manageable numerical values.
2.2.3. Data Expansion
To enrich the dataset and enhance model generalization, we performed data augmentation. This involved applying four distinct operations to the training cell images.
- Rescale to adjust the scale of the images.
- Flip horizontally to mirror the images along the vertical axis.
- Zooming in or out within a specified range.
- Shear range to apply shearing transformations within a specified range.
For validation and test datasets, a simple rescaling strategy was used to standardize the dimensions of the images. In contrast, data augmentation was pivotal in training, diversifying the dataset with varied perspectives and nuances. A total of 2832 cell images across the five classes were used to train and refine our model. A validation set of 608 carefully selected images was used to test the model’s resilience and adaptability. A final test set of 609 images was used to evaluate the model’s classification performance rigorously. Through this strategic data allocation, the model scrutinizes the complexities of cervical cell classification with high precision and consistency. The application of these data preprocessing and augmentation techniques was crucial in ensuring a robust and diverse dataset for training and evaluation.
2.3. Proposed Architecture
CNNs are a highly effective tool for image classification tasks. Thanks to their feed-forward architecture, CNNs progressively extract and process features from input images. In the developed classification model, CNNs comprises 11 layers, each tailored to play a distinct role in the classification process.
2.3.1. Four Convolutional Layers
These layers are fundamental for extracting key features from the input images. They use filters to detect patterns such as edges, textures, and shapes within the data. After each convolution, the Rectified Linear Unit (ReLU) activation function is applied to introduce non-linearity, enabling the network to learn complex patterns beyond linear transformations [5].
2.3.2. Three Max-Pooling Layers
Max-pooling layers follow specific convolutional layers to down-sample the feature maps, effectively reducing their dimensionality and computational complexity. Each max-pooling operation uses a 2 × 2 filter, halving the spatial dimensions of the input to decrease the number of parameters and make the model robust to variations in the position of features within the images.
2.3.3. Flatten Layer
After the series of convolutional and pooling layers, the multi-dimensional feature maps are flattened into a one-dimensional array. This crucial step simplifies the data structure, preparing it for entry into the fully connected layers. By converting the complex feature maps into a flat array, the flattened layer bridges the feature extraction phase with the decision-making phase [6].
2.3.4. Three Dense Layers
The fully connected layers are essential for integrating and processing the extracted features to make final classifications. Each neuron in a dense layer is connected to every neuron in the preceding layer, which allows for comprehensive learning from the flattened features. This dense connectivity facilitates the combination of high-level features to accurately classify the input data into the desired categories.
The CNN model begins with an input size of 256 × 256 pixels and processes the data through the convolutional, pooling, and dense layers. It meticulously refines and consolidates the features at each step. The process is characterized by a systematic transformation of the input data, leveraging the power of each layer to enhance the classification accuracy. The final layer of the CNN uses a sigmoid activation function for classification, converting the network’s output into probabilities that reflect the likelihood of each class. This final step orchestrates a delicate balance of probabilities and decisions, allowing the model to classify the input into one of the five target categories with precision and confidence. The result allows the system to accurately distinguish between different types of cervical cells, thereby supporting effective diagnostic outcomes.
Figure 8 showcases the architecture of the developed CNN model, highlighting the detailed interaction of each layer as it systematically decodes the complexities of the input data. By integrating convolutional, pooling, and dense layers, the model outperforms traditional classification models, achieving remarkable efficiency and precision. Figure 8 illustrates the model’s capability, revealing the transformative potential of this approach at the confluence of cutting-edge technology and analytical insight. Specifically designed for image classification, this architecture harnesses the full power of CNNs to accurately classify cervical cell images into one of the five defined categories, demonstrating its significant impact in the realm of medical diagnostics.
Figure 8.
Proposed CNN architecture.
3. Results and Discussions
3.1. Accuracy
For model development, we used the train–validate–test paradigm, which is fundamental in ensuring robustness and accuracy [6]. Given the extensive size of the dataset and the necessity for precise parameter tuning, we implemented a tripartite division. Specifically, we allocated 70% of the dataset for intensive training, and 15% each for validation and testing.
The model was refined for 32 epochs using the Adam optimizer. Training accuracy was 0.432 initially in the first epoch and increased to 0.92 by the 32nd epoch. Validation accuracy displayed variability; it began at 0.61 and fluctuated throughout the training process, achieving a peak accuracy of 0.94 but plateauing after the 30th epoch, as illustrated in Figure 9. When tested on the independent test dataset, the model achieved an accuracy of 0.9129, demonstrating its strong ability to generalize to new and unseen data. This structured approach of training, validation, and testing ensures that the model is fine-tuned and reliable across different datasets. This process is critical in assessing the model’s effectiveness in accurately classifying cervical cell images and detecting abnormalities, thereby underscoring its potential utility in clinical settings for practical applications.
Figure 9.
Tracking training accuracy and loss per epoch.
3.2. Loss
When training the model using categorical cross-entropy as the loss function, we observed a notable evolution in loss values. Initially, the training loss was relatively high, being 1.46 in the first epoch. However, it steadily decreased with each subsequent epoch, shedding its initial magnitude until it reached a significantly lower value of 0.14 by the final epoch [7,8]. In contrast, the validation loss did not decrease. It began at 1.04, suggesting early potential, but soon became erratic, displaying fluctuations throughout the training process. Between the 16th and 31st epochs, the validation loss fluctuated between 3.0 and 2.5, reflecting instability. Notably, in the 32nd epoch, it spiked to 0.40, diverging from the anticipated pattern, as illustrated in Figure 10. These variations in loss values highlight the dynamic nature of our model’s training process, where each epoch presents a new chapter in the ongoing narrative of optimization and learning. This variability underscores the complexities inherent in model training and the continuous adjustments required to refine performance.
Figure 10.
Training and testing loss per epoch.
3.3. Findings
The CNN model is computationally efficient, requiring minimal time for the training, validation, and testing phases [9]. Despite its simplicity, the model demonstrated improved performance, achieving high accuracy and a low misclassification rate. The model’s effectiveness starts to decline when the number of epochs exceeds 15. This suggests that while the proposed CNN architecture is promising, it benefits from additional parameter fine-tuning to address the observed performance degradation beyond the 15-epoch threshold. Adjusting and optimizing parameters such as learning rates, batch sizes, and architectural configurations mitigate these limitations and improve the overall robustness and generalization ability of the model, as well as its stability and performance across a broad range of conditions.
The results highlight the potential of the developed CNN model as an effective tool for classification tasks, particularly in the context of cervical cell image classification [10]. To realize the model’s potential and ensure its applicability, the fine-tuning and optimization of the model are essential. They also improve the model’s performance but contribute to broader advancements in deep learning-based image classification.
4. Conclusions
The complex architecture of cervical cells requires detailed examination in laboratory settings, which demands significant time and resource investment. Given the increasing incidence of cervical cancer, there is a need to accelerate diagnostic procedures while reducing associated costs [11]. To address this, we utilize the SIPaKMeD dataset, a publicly available collection of cervical cell images. Using this dataset, we have developed and refined a CNN model to classify cervical cell images into five distinct categories. The model distinguishes between normal and abnormal cervical cells and enables healthcare professionals to identify potential precancerous abnormalities. The CNN architecture comprises eleven layers, including convolutional, max-pooling, dense, and flattened layers, all of which are integral to extracting detailed patterns from the image data. To further enhance the model’s generalization capabilities and adaptability to various clinical scenarios, training on larger Pap smear datasets is recommended [12].
There has been an urgent need for faster cervical cancer diagnostics. By using the potential of the simplified CNN architecture in healthcare applications and integrating advanced technology with clinical practice, we aim to develop more accessible and efficient diagnostic tools that significantly contribute to the fight against cervical cancer and improve patient outcomes. To ensure the adaptability and interpretability of the model, we have strategically implemented ReLU and sigmoid activation functions, facilitating precise and insightful classification processes. The developed model achieves an accuracy of 91.29%, demonstrating significant promise in cervical cancer diagnosis. While the developed model is less complex than models such as AlexNet, VGGNet, and ResNet, a comparable performance is obtained with considerably lower computational demands. The efficiency and effectiveness of the model mark a transformative shift in diagnostic methodologies, where simplicity and accuracy help to revolutionize cervical cancer detection. Future research is needed to explore strategies and enhance the model’s efficiency by reducing inference times. The developed model provides the performance standards of computationally intensive models [13,14,15].
Author Contributions
Conceptualization, S.R.; methodology, K.J. and H.-K.S.; software, M.M.; K.J.; writing—original draft preparation, S.R.; M.M.; writing—review and editing, H.-K.S., W.-K.K., B.S. and K.S. All authors have read and agreed to the published version of the manuscript.
Funding
This research was funded by Smart Machinery and Intelligent Manufacturing Research Center, National Formosa University, Taiwan.
Institutional Review Board Statement
Not applicable.
Informed Consent Statement
Not applicable.
Data Availability Statement
Data sharing is not applicable to this article.
Conflicts of Interest
The authors declare no conflicts of interest.
References
- Zhang, S.; Huifang, X.; Zhang, L.; Qiao, Y. Cervical cancer: Epidemiology, risk factors and screening. Chin. J. Cancer Res. 2020, 32, 720–728. [Google Scholar] [CrossRef] [PubMed]
- Maver, P.J.; Poljak, M. Primary HPV-based cervical cancer screening in Europe: Implementation status, challenges, and future plans. Clin. Microbiol. Infect. 2020, 26, 579–583. [Google Scholar] [CrossRef] [PubMed]
- World Health Organization. WHO Guideline for Screening and Treatment of Cervical Pre-Cancer Lesions for Cervical Cancer Prevention; Technical Report; WHO: Geneva, Switzerland, 2021. [Google Scholar]
- Stumbar, S.E.; Stevens, M.; Feld, Z. Cervical cancer and its precursors: A preventative approach to screening, diagnosis, and management. Prim. Care Clin. Off. Pract. 2019, 46, 117–134. [Google Scholar] [CrossRef] [PubMed]
- Basak, H.; Kundu, R.; Chakraborty, S.; Das, N. Cervical cytology classification using PCA and GWO enhanced deep features selection. SN Comput. Sci. 2021, 2, 5. [Google Scholar] [CrossRef]
- Huang, J.; Wang, T.; Zheng, D.; He, Y. Nucleus segmentation of cervical cytology images based on multi-scale fuzzy clustering algorithm. Bioengineered 2020, 11, 484–501. [Google Scholar] [CrossRef] [PubMed]
- Namburu, A.; Sumathi, D.; Raut, R.; Jhaveri, R.H.; Dhanaraj, R.K.; Subbulakshmi, N.; Balusamy, B. FPGA-based deep learning models for analysing corona using chest X-ray images. Mob. Inf. Syst. 2022, 14, 2110785. [Google Scholar] [CrossRef]
- Ali, T.M.; Nawaz, A.; Rehman, A.U.; Ahmad, R.Z.; Javed, A.R.; Gadekallu, T.R.; Chen, C.-L. A sequential machine learning-cum-attention mechanism for effective segmentation of brain tumor. Front. Oncol. 2022, 12, 873268. [Google Scholar] [CrossRef] [PubMed]
- Fekri-Ershad, S. Pap smear classification using combination of global significant value, texture statistical features and time series features. Multimed. Tools Appl. 2019, 78, 31121–31136. [Google Scholar] [CrossRef]
- Javed, A.R.; Sarwar, M.U.; Beg, M.O.; Asim, M.; Baker, T.; Tawfik, H. A collaborative healthcare framework for shared healthcare plan with ambient intelligence. Hum.-Centric Comput. Inf. Sci. 2020, 10, 1. [Google Scholar] [CrossRef]
- Khamparia, A.; Gupta, D.; de Albuquerque, V.H.C.; Sangaiah, A.K.; Jhaveri, R.H. Internet of Health Things-driven deep learning system for detection and classification of cervical cells using transfer learning. J. Supercomput. 2020, 76, 8590–8608. [Google Scholar] [CrossRef]
- Rizwan, M.; Shabbir, A.; Javed, A.R.; Shabbir, M.; Baker, T.; Obe, D.A.-J. Brain tumor and glioma grade classification using Gaussian convolutional neural network. IEEE Access 2022, 10, 29731–29740. [Google Scholar] [CrossRef]
- Safdar, S.; Rizwan, M.; Gadekallu, T.R.; Javed, A.R.; Rahmani, M.K.I.; Jawad, K.; Bhatia, S. Bio-imaging-based machine learning algorithm for breast cancer detection. Diagnostics 2022, 12, 1134. [Google Scholar] [CrossRef] [PubMed]
- Class-Peters, F.; Adoni, W.Y.H.; Nahhal, T.; Byed, A.E.L.; Krichen, M.; Kimpolo, C.; Kalala, F.M. Post-COVID-19: Deep image processing AI to analyze social distancing in a human community. In Advances on Smart and Soft Computing; Springer: Berlin/Heidelberg, Germany, 2022; pp. 59–68. [Google Scholar]
- Manikandan, M.; Vijayakumar, P. Improving the Performance of Classifiers by Ensemble Techniques for the Premature Finding of Unusual Birth Outcomes from Cardiotocography. IETE J. Res. 2021, 69, 1734–1744. [Google Scholar] [CrossRef]
Disclaimer/Publisher’s Note: The statements, opinions and data contained in all publications are solely those of the individual author(s) and contributor(s) and not of MDPI and/or the editor(s). MDPI and/or the editor(s) disclaim responsibility for any injury to people or property resulting from any ideas, methods, instructions or products referred to in the content. |
© 2025 by the authors. Licensee MDPI, Basel, Switzerland. This article is an open access article distributed under the terms and conditions of the Creative Commons Attribution (CC BY) license (https://creativecommons.org/licenses/by/4.0/).









