Abstract
Breast cancer is a frequently encountered and potentially lethal illness that can affect not only women but also men. It is the most common disease affecting women globally, and is the main cause of morbidity and death. Early and accurate detection of this risky disease is crucial. A timely and precise identification of breast cancer can decrease death rate and can also protect people from additional damage. The traditional methods used for breast cancer detection are very expensive in term of time and cost. The goal of this study is to develop a system which can detect the breast cancer accurately and at an early stage. The primary objective of this research study is to make use of histopathological images to identify breast cancer correctly and faster. In the proposed research work, we have developed a model with the name Breast Cancer Detection Network (BCDecNet), which comprises eleven learnable layers, i.e., eight convolution layers and three fully connected (FC) layers. The architecture has a total of twenty-nine layers, including one input layer, seven leaky ReLu (LR) layers, four ReLu layers, five maximum-pooling layers, six batch-normalization (BN) layers, one cross-channel normalization layer and three dropout layers, a softmax layer, and a classification layer. The proposed work uses image-based data taken from the Kaggle online repository. The suggested model achieved 97.33% accuracy, 96% precision, 96.5% recall and a 96.25% F1 score. Furthermore, the result of the proposed model was compared with other hybrid approaches used for diagnosis of breast cancer at early stages. Our model achieved a more satisfactory result than all other approaches used for breast cancer detection. Additionally, the proposed BCDecNet model can be generally applied to other medical-image datasets for diagnosis of various diseases.
1. Introduction
Cancer is one of the most serious illnesses for both males and females around the globe. The most common cancers include breast cancer, which is the most prevalent disease affecting women globally and is the leading cause of morbidity and mortality. According to the World Health Organization (WHO) World Cancer Report, a good survival rate of up to 80% is achieved with early diagnosis of breast cancer [1,2]. Approximately 1.7 million new instances of breast cancer arise each year, and roughly 500,000 women die from the disease, a figure which may rise in the future. Breast density, history of illness, age at first pregnancy, breastfeeding, use of alcohol and other variables all affect the development of breast cancer. Some factors have a big impact, while others have a minor one. Being a woman or getting older are two variables that cannot be controlled, but sustaining a healthy lifestyle can aid in lowering our risk of developing breast cancer. A deadly condition called breast cancer develops in breast cells. In most cases, the cancer first manifests itself in the two breast regions known as the lobules or the ducts. Both fibrous connective tissue in the breast and a particular form of fat called adipose tissue are susceptible to the development of cancer. Unchecked cancer cells have also been reported to reach the lymph nodes underneath the arms, in addition to frequently spreading to neighboring healthy breast tissue. The possibility of surviving breast cancer varies substantially, based on a number of variables. The kind of tumor a woman has and the stage of cancer at the time of her diagnosis are two of the most important considerations [3].
Traditionally, a histopathologist examines the sections under a microscope to evaluate the traits and qualities of the tissues [4]. The histopathologist traditionally examines the tissue slices with just their eyes, manually analyzing the visual data based on their prior medical knowledge. Due to the complexity and variety of histopathological images, this manual analysis takes a lot of time and effort, and includes a risk of error [5]. However, this manual procedure of analysis lacks consistency and is highly dependent on the histopathologist’s level of experience, workload, and mood. Pathologists’ diagnosis accuracy hovers around 75%, on average [6].
Machine learning and deep learning play a crucial role in diagnosis of various diseases. A lot of researchers have worked on breast cancer detection. Histology, MRI, mammography, and medical ultrasonography are a few of the methods used to diagnose breast cancer. Previous studies related to breast cancer detection have a lot of limitations, including lack of a single approach for multiple tasks like breast cancer detection and classification. Multiclass classification has low accuracy, and most of the models that have been suggested are either complicated, costly to compute, or designed for a single purpose. Furthermore, breast cancer detection has been accomplished through transfer learning models, but there was an overfitting problem.
To tackle these challenges, we have utilized two approaches for breast cancer detection. The first approach uses a BCDecNet DL model that makes use of filter-based feature extraction in order to achieve good classification performance, with ReLu and Leaky ReLu activation functions, which extract the most specific and significant features from the breast cancer image. In the second approach, we employed hybrid approaches, in which SVM is used for classification and Inceptionresnetv2, Shufflenet, Resnet18, Alexnet, Squeezenet, Densenet201, Inceptionv3 and Darknet19 are used for feature extraction.
The proposed BCDecNet DL model analyzes histopathological images of breast cancer, and will be able to accurately detect breast cancer in order to solve the aforementioned challenges. The key contributions of this study are follows:
- The use of a hybrid approach with the histopathological- based Image dataset to detect the breast cancer accurately and at early stages;
- The creation of a new model for diagnosis of breast cancer and then the comparison of its result with previous approaches used.
The rest of the study is structured as follows:
2. Literature Review
Breast cancer diagnosis based on image analysis has been studied for more than 40 years, and there have been several important scientific advances in this field. This research can be divided into two groups, based on their methodologies: one is based on deep learning techniques, while the other is based on conventional machine learning techniques. Some previous research studies are discussed below.
Chaurasia, V. et al. [7] employed three well-known data mining algorithms on the Wisconsin breast cancer dataset (WBCD), including naive Bayes, RBF networks, and J48. The best performance came from the naive Bayes technique, which had a classification accuracy of 97.36%. With classification accuracy scores of 96.77% and 93.41%, the RBF network and J48 algorithms, respectively, came in second and third. Similarly, Gerasimova-Chechkina et al. [8] applied the artificial neural network (ANN) with mini-MIAS dataset, and achieved 99.4% accuracy. Likewise, Bhardwaj, A. et al. [9] implemented a genetically optimized neural network (GONN) approach to deal with categorization issues, utilized to establish whether a tumor was benign or malignant. The WBCD database from the UCI Machine Learning repository was used. The proposed technique achieved classification accuracy of 98.24% for training–testing partition and 100% for 10-fold cross validation, respectively. Alfian, G. et al. [10] used the support vector machine (SVM) with highly randomized tree classifier (ExtraTrees) for early breast cancer diagnosis, based on risk indicators. SVM with ExtraTrees outperformed previous ML models, with 80.23% accuracy. Safdar, S. et al.’s [11] suggested approach improves breast cancer classification accuracy by utilizing machine learning techniques including support vector machine (SVM), logistic regression (LR), and K-nearest neighbor (KNN). Additionally, using 0.01 FPR and 0.03 FNR, they achieved the greatest accuracy, of 97.7%. The authors of [12] proposed a cloud- and decision-based fusion AI system that predicts breast cancer using a hierarchical DL (CF-BCP) model. This simulation employs MATLAB 2019a Version 9.6.0 and deep learning algorithms, such as CNN and DELM, using 7909 and 569 fused samples, respectively. Their approach detects breast cancer with an accuracy of 97.975%. Gc, S. et al. [13] conducted an experiment to classify the performance of the SVM classifier using the Wisconsin Diagnosis Breast Cancer (WDBC) database. Their proposed work achieved classification accuracy of 96%. In [14], the study employs multiple Machine Learning algorithms for the Diagnosis of BC, comparing their classification performances. Furthermore, the identification of ac-tive genes in BC is carried out through attribute selection methods. The study demon-strates a success rate of 90.72% with 139 features.
Rasti, R. et al. [15] utilized the ME-CNN model, which is made up of three CNN experts and one convolutional gating network. The suggested ME-CNN model might be a useful tool for radiologists for analyzing breast DCE-MRI images. Their ME-CNN model obtained 96.39% accuracy.
A lot of work is being carried out in the field of breast cancer detection, but there are still some challenges which need to be addressed. Some techniques are very efficient but only for small dataset, and some techniques have used imbalanced datasets. To overcome these challenges, we have proposed a BCDecNet approach for the detection of breast cancer disease.
3. Materials and Methods
Our proposed research work consists of two phases. In first phase, we have used our proposed BCDecNet DL model for breast cancer detection using histopathological images, whereas in the second approach we have used different hybrid models for breast cancer detection. Figure 1 shows the proposed methodology for the experiment.
Figure 1.
Proposed methodology.
The proposed methodology consists of different steps, namely, the dataset collection, preprocessing, feature extraction, model training, detection and performance evaluations.
- A.
- Data Acquisition.
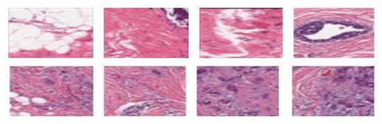
We have used an image-based dataset for the detection of breast cancer. For detection, we used a dataset named Breast Cancer [16], which consists of two subfolders, i.e., disease and normal. The disease part consists of 542 images, whereas the normal section has 1497 images. Figure 2 comprises sample images illustrating detection, with the first row featuring normal images and the second row displaying cancerous images.
Figure 2.
Datasets samples.
- B.
- Data Pre-processing
Preprocessing image datasets is an essential phase in preparing data to be used in predictive machine learning activities [17]. It consists of a set of steps aiming at improving the quality and utility of the images for further examination. The first phase is often data gathering and cleaning, which involves removing unnecessary or corrupted images, to verify the dataset’s integrity. Following that, the images are reduced and normalized to a compatible structure, which reduces computing cost and eliminates model flaws. To boost dataset diversity and generalizations, typical methods such as rotation, flipping, and data augmentation are used. Color normalization and histogram equalization can also be used to reduce illumination and contrast variations. Image quality can be improved further by using noise elimination and image denoising algorithms. Furthermore, the images are resized to the 224 × 224 target size of the model. Finally, in order to effectively measure model performance, the dataset was partitioned into training and validation sets. These methods for preprocessing improve the picture dataset’s suitability for training predictive models and extracting pertinent information from the data.
- C.
- Feature Extraction
The process of turning unprocessed image data into a usable and sample collection of useful features for additional analysis is known as feature extraction. This involves employing a variety of ways to capture the important patterns, forms, textures, and visual qualities included in image-based datasets. Convolutional neural networks (CNNs) are frequently used to automatically learn hierarchical aspects from the images, such as edges and textures. For some jobs, handcrafted features like scale-invariant feature transform (SIFT), local binary patterns (LBPs), and histogram of oriented gradients (HOGs) may also be used. In order to efficiently and effectively train machine learning algorithms to recognize objects, spot patterns, or carry out other pertinent image-analysis tasks, the extracted features serve as meaningful representations of the images.
- D.
- Prediction model
- BCDecNet model
The BCDecNet model is proposed in this study for the detection of breast cancer. Table 1 provides more details about the proposed framework architecture. The suggested Deep BCDCNet model has eleven learnable layers, i.e., eight convolutional layers followed by three FC layers, which is deeper than standard CNN. A total of twenty eight layers make up the architecture: one input layer, seven leaky ReLu (LR) layers, four ReLu layers, five maximum pooling layers, five batch normalization (BN) layers, one cross channel normalization layer, three dropout layers, a softmax layer, and a classification layer. The proposed BCDecNet model’s initial layer performs as the input layer, accepting 224 × 224 breast cancer histopathological images for processing. Table 1 shows the architecture of the BCDecNet model. The initial convolutional layer processes the input image of size 224 × 224 through the application of 64 kernels (filters), with dimensions of 7 × 7 and a stride of 2 × 2, resulting in the creation of a feature map. Subsequent to the application of LR, cross-channel normalization, and max-pooling, the output from the first convolutional layer is transmitted to the second convolutional layer, followed by the third convolutional layer. The third convolutional layer utilizes 64 filters of size 7 × 7. In the fourth convolutional layer, 192 kernels of dimensions 3 × 3, along with a 1-pixel padding value, are employed to filter the inputs. The fifth convolutional layer processes the inputs with 512 kernels of size 3 × 3, incorporating padding values of 2 pixels and strides of 1 pixel. The sixth convolutional layer employs 384 kernels of dimensions 3 × 3, along with padding and a stride of 1 pixel. The subsequent two convolutional layers, specifically the seventh and eighth, utilize 256 kernels of size 3 × 3, with default stride and padding values of 1 pixel, and, notably, they are not succeeded by pooling layers. The LeakyReLU (a nonlinear activation function) is applied in the first, fourth, fifth, sixth, seventh, and eighth convolutional layers. Typically, convolutional layers are succeeded by activation functions, but in this case, the seventh and eighth layers break from this convention. Rectified Linear Unit (ReLU) activation functions are introduced after the second, third, and fifth convolutional layers, to enhance model efficiency. ReLU activation is chosen for its effectiveness and simplicity, as it converts the weighted sum of inputs into outputs at a layer node.
Table 1.
BCDecNet Architecture Details.
- b.
- Hyperparameters
We evaluated the performance of the proposed BCDecNet model by exploring various hyperparameter values, to determine the optimal setting for each parameter from a wide range of options. The details of the selected hyperparameters are presented in Table 2. Stochastic gradient descent (SGD) was employed to train our BCDecNet model, with the framework undergoing 100 epochs of training to identify breast cancer, while simultaneously addressing concerns related to overfitting.
Table 2.
Architectural Hyperparameters of BCDecNet.
- c.
- Hybrid models
The proposed experiment not only use the newly developed model, but it also used some other existing state-of-the-art transfer learning approaches to detect breast cancer. The hybrid approaches used for this purposes include Inceptionresnetv2, Resnet18, Squeezenet, Densenet201, Sufflenet, Alexnet, Inceptionv3 and Darknet19. Given that images in the datasets vary in size, and transfer learning models necessitate consistent input image sizes, an automatic resizing of training and testing images is carried out through augmented-image data stores, prior to their integration into the network.
4. Results and Discussion
4.1. Results
Our proposed research employed the newly developed BCDecNet, along with various hybrid approaches such as Darknet19, Densenet201, Squeezenet, Alexnet, InceptionV3, Resnet18, Resnet101, Shufflenet, and InceptionresnetV2, to detect breast cancer using histopathological images. The results, including accuracy, precision, recall, and F1 score, are computed and compared, to assess the performance of our proposed Deep BCDCNet model against different hybrid approaches. Two distinct experiments were carried out for the breast cancer detection. In the first experiment, we utilized our proposed BCDecNet to perform breast cancer detection on a two-class dataset comprising normal and disease instances. In the second experiment, different hybrid approaches were applied to detect breast cancer, using the same dataset. The results of both experiments are discussed in the following section.
- a.
- Experimental Setup
The methodology underwent testing and training on a laptop featuring an Intel(R) Core (TM) i3-6006U CPU and 8 GB of RAM. In each experiment, the datasets were partitioned, dedicating 80% of the images to training purposes and reserving 20% for testing. Multiple experiments were conducted to assess the detection performance of the proposed BCDecNet model.
- b.
- Experimental outcomes of breast cancer detection
Upon the completion of both experiments for breast cancer detection utilizing a two- class dataset (normal and disease), following the architectural hyperparameters of BCDecNet outlined in Table 2, the proposed classifiers demonstrated outstanding performance in detecting breast cancer. The comprehensive performance metrics of the proposed classifiers, including the newly developed model (BCDecNet) and different hybrid approaches in breast cancer detection, are presented in Table 3. We have also evaluated the performance of each model, and the graphical representation for each model is presented in Figure 3.
Table 3.
Detection Results using BCDecNet and Different Hybrid Approaches.
Figure 3.
Performance evaluation of various hybrid approaches and BCDecNet.
The main goal of these experiments is to demonstrate the effectiveness of our method in breast cancer detection. A total of 2039 histopathological images were utilized, with 1631 images designated for training and 408 images for model validation. The training and validation sets were employed to train and validate our model. The training duration for breast cancer detection amounted to 679 min and 10 s. Upon completing the experiment, our analysis indicates that our proposed BCDecNet model surpasses other models. The confusion matrix (CM) for binary detection is presented in Figure 4, where off-diagonal terms represent inaccurate predictions, and diagonal terms indicate correctly recognized breast cancer images. To evaluate the training performance of the proposed model in breast cancer detection, we have illustrated accuracy and loss in Figure 5 after 100 epochs. The newly developed BCDecNet model achieved 97.33% accuracy, 96.0% precision, 96.5% recall, and 96.25% F1-score values, which are the highest among all the models we have utilized in this breast cancer experiment. Hence, it is proved that our proposed model, BCDecNet, achieved superior accuracy when compared to all other hybrid approaches.
Figure 4.
Confusion matrix of BCDecNet model.
Figure 5.
Training accuracy and loss of BCDecNet Model.
- c.
- Comparative analysis.
This section of the article compares our result with previous studies. We have compared our result with three base papers, depicted in Table 4. The proposed BCDecNet model achieved the highest accuracy of 97.33%, in the case of breast cancer detection.
Table 4.
Comparative Analysis with Previous Studies.
4.2. Discussion
The presented research addresses the critical need for accurate and timely detection of breast cancer, a prevalent and potentially life-threatening disease. The study underscores the global impact of breast cancer, emphasizing its status as the most common disease affecting women, and a leading cause of morbidity and mortality. The importance of early detection is highlighted, as it can significantly reduce mortality rates and prevent further harm.
The traditional methods for breast cancer identification are acknowledged for their drawbacks, primarily in terms of time and cost. To overcome these challenges, the research introduces the BCDecNet model, specifically designed for accurate and early detection of breast cancer using histopathological images. The model architecture, consisting of eleven layers, demonstrates a thoughtful combination of convolution layers, fully connected layers, activation functions like Leaky ReLU (LR) and ReLU, pooling layers, batch normalization layers, and dropout layers. This comprehensive architecture aims to effectively capture and process information from histopathological images.
The choice of utilizing Kaggle’s online repository for image-based data showcases a practical approach to dataset selection. The proposed BCDecNet model exhibits impressive performance metrics, achieving 97.33% accuracy, 96% precision, 96.5% recall, and a 96.25% F1 score. These results highlight the model’s efficacy in correctly identifying and classifying instances of breast cancer.
Comparative analysis with other hybrid approaches further strengthens the research findings. The BCDecNet model outperforms these approaches, demonstrating its superiority in breast cancer detection, particularly at early stages. The discussion could delve into the specific strengths of BCDecNet that contribute to its superior performance, such as the effectiveness of the chosen layers, the role of activation functions, and the impact of dropout layers on model generalization.
5. Conclusions and Future Work
In this paper, we have used a newly developed BCDecNet model and various hybrid approaches, i.e., Alexnet, Shufflenet, Squeezenet, Inceptionresnetv2, Inceptionv3, Darknet19, and Resnet18 for breast cancer detection using histopathological images, and have compared their results. In comparing these, the BCDecNet model gives us the best performance for breast cancer detection. In the future, we will classify breast cancer into benign, malignant, in situ and invasive carcinoma, and also into their subtypes. The prognosis and treatment options for various breast tumor types and subtypes can vary. Furthermore, we are planning to develop our own dataset by visiting various hospitals and consulting with medical experts. After collecting the dataset, we will use transformers with hybrid deep learning models to improve the classification and detection result.
Author Contributions
R.Z. Developed the method, detailed investigation, and manuscript writing, I.A.S. revised the methodology, supervised and revised the manuscript writing (revised draft). G.Z.K. and N.U. revised the experiments and analysis and edited the manuscript where necessary (Final draft). All authors have read and agreed to the published version of the manuscript.
Funding
This research received no external funding.
Institutional Review Board Statement
Not applicable.
Informed Consent Statement
Not applicable.
Data Availability Statement
The data is openly available on Kaggle, where links to the data have been added to the paper.
Conflicts of Interest
The authors declare no conflicts of interest.
References
- Stewart, B.W.; Wild, C. World Cancer Report 2014; World Health Organization: Geneva, Switzerland, 2014; pp. 482–494. [Google Scholar]
- Chetlen, A.; Mack, J.; Chan, T. Breast cancer screening controversies: Who, when, why, and how? Clin. Imaging 2016, 40, 279–282. [Google Scholar] [CrossRef] [PubMed]
- Khan, G.Z.; Shah, I.A.; Hassan, M.A.; Junaid, H.; Sardar, F. Intelligent Systems for early malaria disease detection in patient cells using transfer learning approaches. In Proceedings of the 2023 4th International Conference on Computing, Mathematics and Engineering Technologies (iCoMET), Sukkur, Pakistan, 17–18 March 2023. [Google Scholar] [CrossRef]
- Ramos-Vara, J. Principles and methods of immunohistochemistry. In Drug Safety Evaluation; Gautier, J., Ed.; Springer: Berlin/Heidelberg, Germany, 2011; Volume 691, pp. 83–96. [Google Scholar]
- Qi, X.; Yi, F.; Zhang, L.; Chen, Y.; Pi, Y.; Chen, Y.; Guo, J.; Wang, J.; Guo, Q.; Li, J.; et al. Computer-aided diagnosis of breast cancer in ultrasonography images by deep learning. Neurocomputing 2022, 472, 152–165. [Google Scholar] [CrossRef]
- Benhammou, Y.; Achchab, B.; Herrera, F.; Tabik, S. BreakHis based breast cancer automatic diagnosis using deep learning: Taxonomy, survey and insights. Neurocomputing 2020, 375, 9–24. [Google Scholar] [CrossRef]
- Chaurasia, V.; Pal, S.; Tiwari, B.B. Prediction of benign and malignant breast cancer using data mining techniques. J. Algorithms Comput. Technol. 2018, 12, 119–126. [Google Scholar] [CrossRef]
- Gerasimova-Chechkina, E.; Toner, B.; Marin, Z.; Audit, B.; Roux, S.G.; Argoul, F.; Arneodo, A. Combining multifractal analyses of digital mammograms and infrared thermograms to assist in early breast cancer diagnosis. In AIP Conference Proceedings; AIP Publishing LLC: Melville, NY, USA, 2016; Volume 1760, p. 020018. [Google Scholar]
- Bhardwaj, A.; Tiwari, A. Breast cancer diagnosis using genetically optimized neural network model. Expert Syst. Appl. 2015, 42, 4611–4620. [Google Scholar] [CrossRef]
- Alfian, G.; Syafrudin, M.; Fahrurrozi, I.; Fitriyani, N.L.; Atmaji, F.T.D.; Widodo, T.; Rhee, J. Predicting Breast Cancer from Risk Factors Using SVM and Extra-Trees-Based Feature Selection Method. Computers 2022, 11, 136. [Google Scholar] [CrossRef]
- Safdar, S.; Rizwan, M.; Gadekallu, T.R.; Javed, A.R.; Rahmani, M.K.I.; Jawad, K.; Bhatia, S. Bio-Imaging-Based Machine Learning Algorithm for Breast Cancer Detection. Diagnostics 2022, 12, 1134. [Google Scholar] [CrossRef] [PubMed]
- Mohamed, E.A.; Rashed, E.A.; Gaber, T.; Karam, O. Deep learning model for fully automated breast cancer detection system from thermograms. PLoS ONE 2022, 17, e0262349. [Google Scholar] [CrossRef] [PubMed]
- Gc, S.; Kasaudhan, R.; Heo, T.K.; Choi, H.D. Variability measurement for breast cancer classification of mammographic masses. In Proceedings of the 2015 Conference on Research in Adaptive and Convergent Systems, Prague, Czech Republic, 9–12 October 2015; pp. 177–182. [Google Scholar]
- Bektaş, B.; Babur, S. Machine learning based performance development for diagnosis of breast cancer. In Proceedings of the 2016 Medical Technologies National Congress (TIPTEKNO), Antalya, Turkey, 27–29 October 2016. [Google Scholar]
- Rasti, R.; Teshnehlab, M.; Phung, S.L. Breast cancer diagnosis in DCE-MRI using mixture ensemble of convolutional neural networks. Pattern Recognit. 2017, 72, 381–390. [Google Scholar] [CrossRef]
- Kaggle. 2023. Available online: https://www.kaggle.com/datasets/akhilbs/breastcancer (accessed on 1 November 2023).
- Khan, G.Z.; Shah, I.A.; Ullah, M.I.; Ullah, I.; Ihtesham, M.; Junaid, H.; Sardar, F. An efficient deep learning model based diagnosis system for lung cancer disease. In Proceedings of the 2023 4th International Conference on Computing, Mathematics and Engineering Technologies (iCoMET), Sukkur, Pakistan, 17–18 March 2023. [Google Scholar] [CrossRef]
- Yan, R.; Ren, F.; Wang, Z.; Wang, L.; Zhang, T.; Liu, Y.; Rao, X.; Zheng, C.; Zhang, F. Breast cancer histopathological image classification using a hybrid deep neural network. Methods 2020, 173, 52–60. [Google Scholar] [CrossRef] [PubMed]
- Senan, E.M.; Alsaade, F.W.; Al-Mashhadani, M.I.A.; Theyazn, H.H.; Al-Adhaileh, M.H. Classification of histopathological images for early detection of breast cancer using deep learning. J. Appl. Sci. Eng. 2021, 24, 323–329. [Google Scholar] [CrossRef]
- Hu, H.; Qiao, S.; Hao, Y.; Bai, Y.; Cheng, R.; Zhang, W.; Zhang, G. Breast cancer histopathological images recognition based on two-stage nuclei segmentation strategy. PLoS ONE 2022, 17, e0266973. [Google Scholar] [CrossRef]
Disclaimer/Publisher’s Note: The statements, opinions and data contained in all publications are solely those of the individual author(s) and contributor(s) and not of MDPI and/or the editor(s). MDPI and/or the editor(s) disclaim responsibility for any injury to people or property resulting from any ideas, methods, instructions or products referred to in the content. |
© 2023 by the authors. Licensee MDPI, Basel, Switzerland. This article is an open access article distributed under the terms and conditions of the Creative Commons Attribution (CC BY) license (https://creativecommons.org/licenses/by/4.0/).




