Next Article in Journal
Guidelines on Management of Hereditary Polyposis Syndromes in Pediatric Patients: Agreement, Disagreement and Where It Matters
Previous Article in Journal
Advancements in Laparoscopic Techniques for Perineal Hernias—Technical Success and Complications Data
 
 
Font Type:
Arial Georgia Verdana
Font Size:
Aa Aa Aa
Line Spacing:
Column Width:
Background:
Case Report

Cutaneous Kaposi’s Sarcoma Following Long-Term Infliximab Treatment in a Patient with HIV-Negative Antibiotic-Dependent Chronic Pouchitis: Considerations on an Exceptional Finding

by
Raffaele Pellegrino
1,*,
Giovanna Palladino
1,
Francesca Pagliuca
2,
Stefano Lucà
2,
Alessandro Federico
1 and
Antonietta Gerarda Gravina
1
1
Hepatogastroenterology Division, Department of Precision Medicine, University of Campania Luigi Vanvitelli, Via L. de Crecchio, 80138 Napoli, Italy
2
Pathology Division, Department of Mental and Physical Health and Preventive Medicine, University of Campania Luigi Vanvitelli, Via L. Armanni, 80138 Napoli, Italy
*
Author to whom correspondence should be addressed.
Gastrointest. Disord. 2024, 6(4), 984-992; https://doi.org/10.3390/gidisord6040069
Submission received: 15 November 2024 / Revised: 19 December 2024 / Accepted: 20 December 2024 / Published: 23 December 2024

Abstract

In managing ulcerative colitis (UC), anti-tumour necrosis factor (TNF) agents are among the primary choices. Evidence suggests anti-TNF does not significantly increase malignancy risk (apart from lymphoma and melanoma), though uncertainties persist due to inconsistent long-term data. Kaposi’s sarcoma (KS), induced by human herpesvirus type-8 (HHV-8), is a multifocal neoplasm linked to immunosuppressive therapies, primarily affecting the skin and gastrointestinal tract. KS cases during anti-TNF therapy for UC are anecdotal. We report a rare occurrence of KS in the setting of the long-term use of the standard maintenance dose of infliximab (initiated in 2010) in a 56-year-old male patient with UC diagnosed in 2001. The patient underwent restorative proctocolectomy with ileal J-pouch-anal anastomosis in 2002 and subsequently developed chronic antibiotic-dependent pouchitis. Given the secondary loss of response to infliximab, a switch to vedolizumab was performed. In April 2024, the patient reported the presence of a skin lesion on the right leg. Following surgery, a rhomboid-shaped skin area was removed, encompassing the irregular, greyish KS lesion. The histopathological analysis confirmed the diagnosis of patch-like KS. We continued vedolizumab due to its gut-selective profile. The patient is in clinical remission and under dermatological follow-up with no lesion recurrence.

1. Introduction

Medical treatment employing tumour necrosis factor (TNF) antagonists remains the linchpin of medical management for ulcerative colitis (UC) in instances of conventional therapy ineffectiveness, steroid dependency, or refractoriness [1].
In a thorough meta-analysis covering 16 cases of cancer in over 4000 patients with inflammatory bowel disease (IBD), it was determined that anti-TNF agents are not significantly linked to malignancy risk in patients with IBD. The relative risk of anti-TNF agents compared to placebo was 0.77 [2]. However, it is essential to note the challenge of consistently obtaining data with follow-up exceeding one year across the available studies [2].
One of the most extensive studies, the SAPPHIRE registry, followed approximately three hundred patients with IBD with index cancer over a median follow-up of about five years, reporting an incident cancer rate of 15% following the use of immunosuppressants [3]. However, it did not provide a definitive answer to this issue.
The latest guidelines suggest a potential heightened risk of lymphoma and melanoma, although based on evidence of low certainty. Consequently, there is no widespread recommendation for screening for these pathologies during treatment with immunomodulatory agents [4]. Moreover, recent consensus guidelines suggest using biologic agents with a better safety profile, such as vedolizumab or ustekinumab, in patients at high neoplastic risk or with active neoplasia [4]. These agents have shown promising results in both registration trials [5,6,7,8] and real-world studies [9,10,11] for achieving mucosal healing in IBD.
Kaposi’s sarcoma (KS) is a multifocal neoplasm induced by human herpesvirus type-8 (HHV-8). It is categorised into four variants: classic, endemic African, iatrogenic (linked to immunosuppressive therapies), and acquired immune deficiency syndrome-related [12]. It primarily localises to the skin but can also manifest in extra-cutaneous sites, including the gastrointestinal tract [12]. In the context of the iatrogenic form (classically represented by anti-rejection therapies performed in organ transplant settings), KS often spontaneously regresses with a negative modification of the dosages of the immunosuppressive treatment undertaken [12].
Among the therapies used for IBD, KS cases are anecdotal and have been reported, for example, with cyclosporine [13], vedolizumab [14], ozanimod [15], tofacitinib [16], and upadacitinib [17].
The emergence of KS during anti-TNF (specifically infliximab) immunosuppressive therapy for UC is exceedingly rare, with only a few extensively documented cases in the literature. The limited available data pose challenges in accurately estimating the incidence of this phenomenon in this context and defining its natural progression and prognostic features. Moreover, in an HIV-negative context, profiling specific risk factors for such neoplasia during long-term infliximab treatment presents an even more significant challenge.

2. Case Presentation

Our research team presents a rare occurrence of KS in the setting of the long-term use of the standard maintenance dose of infliximab (initiated in 2010) in a 56-year-old male patient with UC, diagnosed in 2001. He is a non-smoker and abstains from alcoholic beverages. At the time of evaluation, his BMI was 29.4 kg/m2, indicating slight overweight compared to our standard weight cut-off of 25 kg/m2.
The patient underwent restorative proctocolectomy with ileal pouch-anal anastomosis (J-pouch construction) in 2002 and subsequently developed chronic antibiotic-dependent pouchitis. The patient’s family history is unremarkable, and his comorbidities include hypertension, chronic kidney disease, and ankylosing spondylitis. As an additional medical history record, the patient had an uncomplicated SARS-CoV-2 infection in November 2022, which resolved without sequelae and with complete negativisation of the viremia.
The patient underwent a comprehensive IBD reassessment during hospitalisation in our Hepatogastroenterology division in October 2023. The complete physical examination (including the skin) revealed no pathological findings. During this time, the patient underwent infectious disease screenings, which yielded unremarkable results (Table 1). Additionally, a nephrological reassessment was conducted, which included adjustments to the doses of antihypertensive therapy (i.e., the removal of nebivolol) for stage III chronic kidney disease, evidenced by a serum creatinine level of 1.78 mg/dL and an estimated glomerular filtration rate of 46 mL/min/1.73 m2, calculated using the Chronic Kidney Disease Epidemiology Collaboration (i.e., CKD-EPI) formula [18]. The patient’s albuminuria/proteinuria ratio and urinary electrolytes were within normal limits, except for a urinary chloride level of 84 mEq/24 h (normal range: 140–250 mEq/24 h) and a urinary calcium level of 46 mg/24 h (normal range: 100–250 mg/24 h). The routine biochemical tests were within normal limits except for the previously mentioned hypercreatininemia and uraemia at 68 mg/dL. Additionally, the amylase level was at 115 U/L (without any abdominal symptoms and with lipase within normal limits), creatine phosphokinase was at 253 U/L, and serum lactate dehydrogenase was at 245 U/L.
The patient also underwent a complete abdominal ultrasound, which revealed only the presence of multiple simple renal cysts without any suspicious features.
Nevertheless, an endoscopic evaluation of the pouch was additionally performed, reaching approximately 35 cm from the anal margin. This revealed two sessile polypoid formations (0-Is according to the Paris classification [19]) measuring approximately 6 mm and 10 mm in the J-pouch, with histological findings consistent with inflammatory polyps. The mucosa of the J-pouch exhibited hyperaemic areas with some small (<7 mm) ulcerations, which, upon biopsy, demonstrated non-specific signs of inflammation consistent with chronic pouchitis (Figure 1). The pre-pouch ileum displayed a pink mucosa with well-defined plicae, and the macroscopic endoscopic appearance was within normal limits.
At the time of discharge, the patient’s therapy regimen included allopurinol (at a dosage of 150 mg per day), atorvastatin (at a dosage of 10 mg per day), ramipril (at a dosage of 5 mg per day), sulfasalazine (at a dosage of 1 g per day), and, finally, infliximab at a dosage of 5 mg/kg every eight weeks as a maintenance regimen.
Given the patient’s symptomatic presentation, characterised by a bowel frequency exceeding seven times per day, accompanied by urgency, and significantly affecting both quality of life and work, a decision was made, in consultation with the rheumatologist, to transition to vedolizumab in January 2024. Infliximab had previously demonstrated efficacy in achieving both clinical remission and mucosal healing, as confirmed by prior years’ endoscopic assessments.
Therefore, an outpatient visit was scheduled following discharge, and the patient received the first induction dose of vedolizumab at 300 mg. However, during a subsequent follow-up visit in April 2024, the patient reported the presence of a skin lesion on the right leg (Figure 2), which prompted us to request an urgent dermatological evaluation. The dermatologist recommended surgical removal of the lesion.
The patient underwent excision, removing a rhomboid-shaped area of skin measuring approximately 2 × 1 × 0.4 cm, encompassing the irregular, greyish KS lesion measuring approximately 0.8 × 0.6 cm. The histopathological analysis of the entire specimen, with multiple transverse sections, revealed a proliferation of atypical endothelioid cells in the dermis, forming vascular structures with associated chronic inflammation and the haemorrhagic extravasation of erythrocytes. These cells exhibited positive staining for erythroblast transformation-specific-related genes (ERGs) and Human herpesvirus-8, confirming the diagnosis of KS with a patch-like appearance. The lesion was completely excised with a minimum depth margin of 2 mm and a minimum lateral margin of 1 mm. Figure 3 illustrates and summarises the histological findings conducted on the excised cutaneous sample.
Considering this finding, it was recommended to continue with vedolizumab for the management of antibiotic-dependent chronic pouchitis because, currently, this biologic has the best profile (i.e., being gut-selective) in a setting of positive neoplastic history, as recommended by current European guidelines [4]. The patient is currently in clinical remission, being treated with vedolizumab as per the product label for chronic pouchitis, and under dermatological follow-up for the lesion, which has shown no evolution or recurrence.

3. Discussion

As highlighted in Table 2, there are very few deep reports describing cases of HIV-negative KS associated with infliximab use in UC, primarily involving gastrointestinal localization, and not all cases demonstrate explicit long-term use of infliximab. For example, Kumar et al. [20] previously described a case of an elderly patient with a J-pouch after restorative proctocolectomy for colon cancer following refractory UC, previously treated with multiple cycles of intravenous systemic steroids and a single dose of infliximab (discontinued due to intolerance). Histological analysis of the surgical sample identified multifocal KS of the rectum with lymphatic metastasis in one of the multiple excised lymph nodes.
A comparable case, wherein KS was diagnosed through surgical biopsy after restorative proctocolectomy with a J-pouch, was documented in a 45-year-old individual [22]. This patient exhibited multifocal KS of the colon and had previously undergone prolonged treatment with infliximab, vedolizumab, and prednisone. In another young patient with refractory UC, who had previously received systemic steroids and a brief course of azathioprine for only three months, with infliximab discontinued in the sixth week, histology of the surgical specimen from a subtotal colectomy with ileal and sigmoidal double-barrelled ileostomy revealed multifocal colon KS with limited lymph node metastasis confined to a single lymph node among those dissected [21].
As seen in these cases, only the second one showed definite long-term infliximab use, while the other two cases are probably due to prior chronic use of systemic steroids. This emphasises the exceptional rarity of encountering KS after prolonged infliximab use [23]. None of the cases described were cutaneous; all were localised in the lower gastrointestinal tract.
Consequently, since these are unexpected histological findings from colorectal surgical excision samples, it is difficult to identify clear clinical markers that would raise suspicion of gastrointestinal KS when managing patients with IBD on long-term immunosuppressive therapy. Gastrointestinal KS, which does not produce an externally visible lesion, may manifest, for example, as upper and lower gastrointestinal bleeding and may even be severe [24,25,26,27]. In two other cases of HIV-related KS, presentations similar to acute appendicitis (with appendiceal KS) [28] or cases of intestinal perforation [29] have also been described. Cutaneous KS, on the other hand, has a highly variable clinical presentation, ranging from entirely indolent forms to extremely aggressive ones (manifesting with lymphedema, haemorrhage, pain, and functional impairment) [30]. Consequently, it is challenging to make comparisons between our case of indolent cutaneous KS and other reported cases of KS in patients with UC, which are primarily gastrointestinal.
This is likely the first detailed report of cutaneous KS in the context of chronic pouchitis, UC, and long-term infliximab use for over five years. Previous cases of cutaneous KS have been described in rheumatological settings (psoriatic arthritis, rheumatoid arthritis, and giant cell arteritis) [31]. For instance, Bergler-Czop et al. [32] reported a paradigmatic case of KS involving all four extremities in a patient over 50 with rheumatoid arthritis. The patient had been previously treated with steroids, methotrexate, and cyclosporine A. The condition further deteriorated following treatment with anti-TNF therapy (certolizumab) and worsened even more after the subsequent administration of methylprednisolone and cyclophosphamide. Only after all these treatments was a diagnosis of KS made. Nonetheless, KS cases have not been reported only in patients with UC but even those affected by Crohn’s disease [33,34,35,36].
The relationship between the reciprocal regulatory interactions of TNF and HHV-8 remains incompletely understood. In HIV patients, cases of KS result from a negative imbalance in the immune response to HHV-8, which facilitates its co-infection. In this context, Silvia et al. [37] conducted a comparative study involving HIV patients and those co-infected with HIV/HHV-8 (in the absence of HHV-8-associated disorders). Their findings did not reveal a significant difference in serum TNF expression but highlighted the increased expression of other pro-inflammatory cytokines, such as IL-4 and IL-6, in co-infected individuals. Despite this, it is known that members of the Herpesviridae family are capable of activating the TNF receptor-induced pathway through various mediators, including the latent membrane protein 1 of Epstein–Barr virus and the viral caspase-8 (FLICE)-like inhibitory protein of HHV-8 [38]. These proteins likely regulate various functions, including viral latency and evasion of the immune system [38]. Furthermore, Prakash et al. [39] proposed a mouse model using transgenic mice for the K1 gene of HHV-8 and showed that this gene may be involved in the activation of the nuclear factor kappa-light-chain-enhancer of activated B cells (NF-κB), which directly modulates TNF.
Recent data also suggest that HHV-8 infection may upregulate the TNF, promoting its adhesion and inhibiting the migration of infected cells [40]. Other data suggest that the TNF impairs the production of HHV-8 virions by up to 90%, counteracting the tumorigenesis that leads to KS [41].
Therefore, the negative modulation of the TNF pathway induced by anti-TNF biologics could likely provide survival and replication advantages for HHV-8 in specific predisposed individuals.
This report confirms iatrogenic KS’s rare occurrence with long-term infliximab use and implies that, with prompt diagnosis and treatment, outcomes are typically favourable. However, clear guidelines on HHV-8 serology in IBD patients on biologics or small molecules, like transplant recipients on anti-rejection therapy [42], are lacking.
This report has some limitations. Firstly, since HHV-8 serology is not currently indicated in clinical practice for IBD, we do not have data on HHV-8 serology at any point in the patient’s history. Furthermore, we cannot assess the impact of other treatments (e.g., vedolizumab, which was administered later, albeit for a short period compared to the long-term use of infliximab) on the reactivation and tumorigenesis of HHV-8.
Before starting advanced immunosuppressive therapy for IBD, it is likely crucial to conduct dermatological screening, particularly in patients with multiple treatment failures and prior immunomodulatory therapies. This is because using an anti-TNF agent may accelerate KS onset in the context of chronic iatrogenic immunosuppression [43].
Probably, since HHV-8 serology can be part of the diagnostic algorithm for KS [44], it may be useful to screen patients with a history of multiple immunosuppressive therapies or those expected to undergo long-term use of a biologic drug, such as patients with Crohn’s disease undergoing a top–down approach, in order to identify individuals at risk of viral reactivation and its subsequent tumorigenesis.
The most recent consensus [45] on the management and prophylaxis of infectious events in patients with IBD, in fact, focuses only on certain members of the Herpesviridae family, including varicella-zoster virus, cytomegalovirus, and Epstein–Barr virus, without any consideration of HHV-8. On the other hand, consensus on the management of malignancies in patients with IBD undergoing immunosuppressive treatment also does not provide any guidelines for the prophylaxis of KS [4].
There is, therefore, a need for new research perspectives to first dissect the pathogenic implications of chronic immunosuppression from the drugs used for IBD treatment and the reactivation of HHV-8, further assessing the incidence of KS in this population through more extensive epidemiological studies and providing recommendations for the appropriate management and prophylaxis of this cancer. Finally, it would undoubtedly be helpful to better profile, using all available cases and case–control and cohort studies, the specific risk factors for developing KS to identify predisposed individuals. Genetic association studies could complement this to elucidate the relations between IBD-HHV-8 and IBD-KS further.

4. Conclusions

This case report presented a rare instance of cutaneous KS in a patient with UC undergoing long-term infliximab therapy. The case adds data to the limited literature on KS occurrences in non-HIV immunosuppressed patients with IBD. This case further confirms that skin lesions in the context of chronic immunosuppression should be carefully evaluated.

Author Contributions

Conceptualization, R.P., G.P., A.F. and A.G.G.; methodology, R.P. and A.G.G.; validation, R.P., G.P., F.P., S.L., A.F. and A.G.G.; investigation, R.P., G.P., F.P., S.L., A.F. and A.G.G.; data curation, R.P., G.P., F.P., S.L., A.F. and A.G.G.; writing—original draft preparation, R.P. and A.G.G.; writing—review and editing, R.P., G.P., F.P., S.L., A.F. and A.G.G.; visualisation, R.P., F.P., S.L. and A.G.G.; supervision, R.P. and A.G.G.; project administration, R.P. and A.G.G.; All authors have read and agreed to the published version of the manuscript.

Funding

This research received no external funding.

Institutional Review Board Statement

This study was conducted in accordance with the Declaration of Helsinki; institutional review board approval for this case was not required (retrospective, deidentified data).

Informed Consent Statement

Informed consent was obtained from the patient for all the diagnostic and therapeutic procedures described, as well as for the publication of this article.

Data Availability Statement

The original contributions presented in this study are included in the article. Further inquiries can be directed to the corresponding author.

Acknowledgments

The authors extend their sincere gratitude to Assunta Montanaro, Digestive Endoscopy Nurse Coordinator.

Conflicts of Interest

The authors declare no conflicts of interest.

References

  1. Raine, T.; Bonovas, S.; Burisch, J.; Kucharzik, T.; Adamina, M.; Annese, V.; Bachmann, O.; Bettenworth, D.; Chaparro, M.; Czuber-Dochan, W.; et al. ECCO Guidelines on Therapeutics in Ulcerative Colitis: Medical Treatment. J. Crohns Colitis 2022, 16, 2–17. [Google Scholar] [CrossRef]
  2. Williams, C.J.M.; Peyrin-Biroulet, L.; Ford, A.C. Systematic Review with Meta-Analysis: Malignancies with Anti-Tumour Necrosis Factor-α Therapy in Inflammatory Bowel Disease. Aliment. Pharmacol. Ther. 2014, 39, 447–458. [Google Scholar] [CrossRef] [PubMed]
  3. Itzkowitz, S.H.; Jiang, Y.; Villagra, C.; Colombel, J.-F.; Sultan, K.; Lukin, D.J.; Faleck, D.M.; Scherl, E.; Chang, S.; Chen, L.; et al. Safety of Immunosuppression in a Prospective Cohort of Inflammatory Bowel Disease Patients with a HIstoRy of CancEr: SAPPHIRE Registry. Clin. Gastroenterol. Hepatol. 2024; online ahead of print. [Google Scholar] [CrossRef]
  4. Gordon, H.; Biancone, L.; Fiorino, G.; Katsanos, K.H.; Kopylov, U.; Al Sulais, E.; Axelrad, J.E.; Balendran, K.; Burisch, J.; de Ridder, L.; et al. ECCO Guidelines on Inflammatory Bowel Disease and Malignancies. J. Crohns Colitis 2023, 17, 827–854. [Google Scholar] [CrossRef]
  5. Sands, B.E.; Sandborn, W.J.; Panaccione, R.; O’Brien, C.D.; Zhang, H.; Johanns, J.; Adedokun, O.J.; Li, K.; Peyrin-Biroulet, L.; Van Assche, G.; et al. Ustekinumab as Induction and Maintenance Therapy for Ulcerative Colitis. N. Engl. J. Med. 2019, 381, 1201–1214. [Google Scholar] [CrossRef]
  6. Feagan, B.G.; Sandborn, W.J.; Gasink, C.; Jacobstein, D.; Lang, Y.; Friedman, J.R.; Blank, M.A.; Johanns, J.; Gao, L.-L.; Miao, Y.; et al. Ustekinumab as Induction and Maintenance Therapy for Crohn’s Disease. N. Engl. J. Med. 2016, 375, 1946–1960. [Google Scholar] [CrossRef] [PubMed]
  7. Sandborn, W.J.; Feagan, B.G.; Rutgeerts, P.; Hanauer, S.; Colombel, J.-F.; Sands, B.E.; Lukas, M.; Fedorak, R.N.; Lee, S.; Bressler, B.; et al. Vedolizumab as Induction and Maintenance Therapy for Crohn’s Disease. N. Engl. J. Med. 2013, 369, 711–721. [Google Scholar] [CrossRef] [PubMed]
  8. Feagan, B.G.; Rutgeerts, P.; Sands, B.E.; Hanauer, S.; Colombel, J.-F.; Sandborn, W.J.; Van Assche, G.; Axler, J.; Kim, H.-J.; Danese, S.; et al. Vedolizumab as Induction and Maintenance Therapy for Ulcerative Colitis. N. Engl. J. Med. 2013, 369, 699–710. [Google Scholar] [CrossRef]
  9. Tursi, A.; Mocci, G.; Scaldaferri, F.; Napolitano, D.; Maresca, R.; Pugliese, D.; Semprucci, G.; Savarino, E.; Cuomo, A.; Donnarumma, L.; et al. Ustekinumab Safety and Effectiveness in Patients with Ulcerative Colitis: Results from a Large Real-Life Study. Expert. Opin. Biol. Ther. 2024, 24, 101–109. [Google Scholar] [CrossRef] [PubMed]
  10. Miranda, A.; Gravina, A.G.; Cuomo, A.; Mucherino, C.; Sgambato, D.; Facchiano, A.; Granata, L.; Priadko, K.; Pellegrino, R.; de Filippo, F.R.; et al. Efficacy of Ustekinumab in the Treatment of Patients with Crohn’s Disease with Failure to Previous Conventional or Biologic Therapy: A Prospective Observational Real-Life Study. J. Physiol. Pharmacol. 2021, 72, 537–543. [Google Scholar] [CrossRef]
  11. Mocci, G.; Tursi, A.; Maconi, G.; Cataletti, G.; Mantia, B.; Serio, M.; Scarcelli, A.; Pagnini, C.; Graziani, M.G.; Di Paolo, M.C.; et al. Real-World Efficacy and Safety of Vedolizumab in Managing Ulcerative Colitis versus Crohn’s Disease: Results from an Italian Multicenter Study. Expert. Opin. Biol. Ther. 2023, 23, 293–304. [Google Scholar] [CrossRef]
  12. Etemad, S.A.; Dewan, A.K. Kaposi Sarcoma Updates. Dermatol. Clin. 2019, 37, 505–517. [Google Scholar] [CrossRef]
  13. Chandler, M.; Stachura, A.; Clarke, L.M.; Theisen, B.; Borum, M.L. P061 Cyclosporine Induced Kaposi Sarcoma in an Ibd Patient: A Downward Spindle. Gastroenterology 2019, 156, S42. [Google Scholar] [CrossRef]
  14. Papa, V.; Giustiniani, M.C.; Lopetuso, L.R.; Papa, A. Human Herpesvirus 8-Associated Colonic Kaposi’s Sarcoma during Vedolizumab Treatment in Ulcerative Colitis: A Case Report and Review of the Literature. BMC Gastroenterol. 2020, 20, 76. [Google Scholar] [CrossRef] [PubMed]
  15. Sandlow, S.; Rai, P.; Shum, A.; Chen, H.; Arnold, J.; Jangi, S. Ozanimod-Associated Iatrogenic Kaposi Sarcoma in a Patient with Ulcerative Colitis. ACG Case Rep. J. 2023, 10, e00929. [Google Scholar] [CrossRef]
  16. Wetwittayakhlang, P.; Golovics, P.A.; Afif, W.; Bessissow, T.; Lakatos, P.L. Tofacitinib-Associated Iatrogenic Kaposi Sarcoma in a Patient with Ulcerative Colitis. ACG Case Rep. J. 2021, 8, e00678. [Google Scholar] [CrossRef] [PubMed]
  17. Fournier, C.; Sauder, M.B.; Kamil, Z.S.; Butler, M.O. Kaposi Sarcoma in a Patient Treated with Upadacitinib for Rheumatoid Arthritis. JAAD Case Rep. 2023, 39, 145–149. [Google Scholar] [CrossRef]
  18. Shahbaz, H.; Rout, P.; Gupta, M. Creatinine Clearance. In StatPearls; StatPearls Publishing: Treasure Island, FL, USA, 2024. [Google Scholar]
  19. van Doorn, S.C.; Hazewinkel, Y.; East, J.E.; van Leerdam, M.E.; Rastogi, A.; Pellisé, M.; Sanduleanu-Dascalescu, S.; Bastiaansen, B.A.J.; Fockens, P.; Dekker, E. Polyp Morphology: An Interobserver Evaluation for the Paris Classification among International Experts. Am. J. Gastroenterol. 2015, 110, 180–187. [Google Scholar] [CrossRef]
  20. Kumar, V.; Soni, P.; Garg, M.; Abduraimova, M.; Harris, J. Kaposi Sarcoma Mimicking Acute Flare of Ulcerative Colitis. J. Investig. Med. High. Impact Case Rep. 2017, 5, 2324709617713510. [Google Scholar] [CrossRef] [PubMed]
  21. Hamzaoui, L.; Kilani, H.; Bouassida, M.; Mahmoudi, M.; Chalbi, E.; Siai, K.; Ezzine, H.; Touinsi, H.; Azzouz, M.M.; Sassi, S. Iatrogenic Colorectal Kaposi Sarcoma Complicating a Refractory Ulcerative Colitis in a Human Immunodeficiency Negative-Virus Patient. Pan Afr. Med. J. 2013, 15, 154. [Google Scholar] [CrossRef] [PubMed]
  22. Fischer, A.K.; Kroesen, A.; Büttner, R.; Drebber, U. Kaposi sarcoma-a complication of treatment refractory ulcerative colitis. Pathologie 2022, 43, 372–376. [Google Scholar] [CrossRef]
  23. Martínez-Martínez, M.L.; Pérez-García, L.J.; Escario-Travesedo, E.; Ribera-Vaquerizo, P.A. Kaposi sarcoma associated with infliximab treatment. Actas Dermosifiliogr. 2010, 101, 462–464. [Google Scholar] [CrossRef]
  24. Maestro Prada, I.; Collado Pacheco, D. Gastric Kaposi’s Sarcoma as a Cause of Upper Gastrointestinal Bleeding. Gastroenterol. Hepatol. 2022, 45, 289–290. [Google Scholar] [CrossRef] [PubMed]
  25. Fay, D.E.; Nisbeth, H. Massive Gastrointestinal Hemorrhage in an Immunosuppressed Man Due to Gastric Kaposi’s Sarcoma. Am. J. Gastroenterol. 1990, 85, 607–609. [Google Scholar] [PubMed]
  26. Ibrahim, H.; Abu Ghanimeh, M.; Al-Saheli, Z.I.; Naffouj, S. Life-Threatening Gastrointestinal Bleeding Secondary to Kaposi’s Sarcoma of the Duodenum. Cureus 2020, 12, e7322. [Google Scholar] [CrossRef] [PubMed]
  27. Mansfield, S.A.; Stawicki, S.P.A.; Forbes, R.C.; Papadimos, T.J.; Lindsey, D.E. Acute Upper Gastrointestinal Bleeding Secondary to Kaposi Sarcoma as Initial Presentation of HIV Infection. J. Gastrointest. Liver Dis. 2013, 22, 441–445. [Google Scholar]
  28. Egwuonwu, S.; Gatto-Weis, C.; Miranda, R.; Casas, L.D.L. Gastrointestinal Kaposi Sarcoma with Appendiceal Involvement. South Med. J. 2011, 104, 278–281. [Google Scholar] [CrossRef] [PubMed]
  29. Yoshida, E.M.; Chan, N.H.; Chan-Yan, C.; Baird, R.M. Perforation of the Jejunum Secondary to AIDS-Related Gastrointestinal Kaposi’s Sarcoma. Can. J. Gastroenterol. 1997, 11, 38–40. [Google Scholar] [CrossRef]
  30. Apalla, Z.; Liopyris, K.; Kyrmanidou, E.; Fotiadou, C.; Sgouros, D.; Patsatsi, A.; Trakatelli, M.-G.; Kalloniati, E.; Lallas, A.; Lazaridou, E. Clinical and Dermoscopic Characteristics of Cutaneous Sarcomas: A Literature Review. Diagnostics 2023, 13, 1822. [Google Scholar] [CrossRef] [PubMed]
  31. Ursini, F.; Naty, S.; Mazzei, V.; Spagnolo, F.; Grembiale, R.D. Kaposi’s Sarcoma in a Psoriatic Arthritis Patient Treated with Infliximab. Int. Immunopharmacol. 2010, 10, 827–828. [Google Scholar] [CrossRef] [PubMed]
  32. Bergler-Czop, B.; Brzezińska-Wcisło, L.; Kolanko, M. Iatrogenic Kaposi’s Sarcoma Following Therapy for Rheumatoid Arthritis. Postepy Dermatol. Alergol. 2016, 33, 149–151. [Google Scholar] [CrossRef]
  33. Claytor, J.; Viramontes, O.; Conner, S.; Wen, K.W.; Beck, K. Kaposi Sarcoma in an Immunosuppressed Patient with Presumed Crohn’s Disease: Iatrogenic or Epidemic? Gastroenterology 2021, 160, S1. [Google Scholar] [CrossRef]
  34. Wu, P.-J.; Sun, C.-S.; Kuo, H.-T.; Sheu, M.-J.; Lin, C.-Y.; Wang, S.-H.; Yang, C.-C.; Chen, C.-H.; Chuang, S.-S.; Feng, I.-C. Iatrogenic Kaposi Sarcoma of the Small Bowel in Crohn’s Disease Following Short-Term Use of Immunomodulators: A Case Report and Review of the Literature. J. Med. Case Rep. 2022, 16, 424. [Google Scholar] [CrossRef]
  35. Kilincalp, S.; Akıncı, H.; Hamamci, M.; Coşkun, Y.; Yüksel, I. Kaposi’s Sarcoma Developing in a HIV-Negative Crohn’s Disease Patient Shortly after Azathioprine and Corticosteroid Treatment. J. Crohns Colitis 2014, 8, 558–559. [Google Scholar] [CrossRef]
  36. Windon, A.L.; Shroff, S.G. Iatrogenic Kaposi’s Sarcoma in an HIV-Negative Young Male with Crohn’s Disease and IgA Nephropathy: A Case Report and Brief Review of the Literature. Int. J. Surg. Pathol. 2018, 26, 276–282. [Google Scholar] [CrossRef]
  37. da Silva, D.M.; Gonçales, J.P.; Silva Júnior, J.V.J.; Lopes, T.R.R.; Bezerra, L.A.; Barros de Lorena, V.M.; Duarte Coêlho, M.R.C. Evaluation of IL-2, IL-4, IL-6, IL-10, TNF-α, and IFN-γ Cytokines in HIV/HHV-8 Coinfection. J. Med. Virol. 2021, 93, 4033–4037. [Google Scholar] [CrossRef] [PubMed]
  38. Sedý, J.R.; Spear, P.G.; Ware, C.F. Cross-Regulation between Herpesviruses and the TNF Superfamily Members. Nat. Rev. Immunol. 2008, 8, 861–873. [Google Scholar] [CrossRef]
  39. Prakash, O.; Tang, Z.-Y.; Peng, X.; Coleman, R.; Gill, J.; Farr, G.; Samaniego, F. Tumorigenesis and Aberrant Signaling in Transgenic Mice Expressing the Human Herpesvirus-8 K1 Gene. J. Natl. Cancer Inst. 2002, 94, 926–935. [Google Scholar] [CrossRef]
  40. Brambilla, L.; Maronese, C.A.; Zelin, E.; Genovese, G.; Tourlaki, A. Kaposi’s Sarcoma, Biologics and Small Molecules: Navigating the Complex Interplay between Host Immunity and Viral Biology. A Case Series with Focused Review of the Literature. Dermatol. Ther. 2022, 35, e15278. [Google Scholar] [CrossRef]
  41. Cohen, C.D.; Horster, S.; Sander, C.A.; Bogner, J.R. Kaposi’s Sarcoma Associated with Tumour Necrosis Factor Alpha Neutralising Therapy. Ann. Rheum. Dis. 2003, 62, 684. [Google Scholar] [CrossRef] [PubMed]
  42. Mikulska, M.; Balletto, E.; Mularoni, A. Human Herpesvirus 8 and Kaposi Sarcoma: How Should We Screen and Manage the Transplant Recipient? Curr. Opin. Infect. Dis. 2021, 34, 646–653. [Google Scholar] [CrossRef]
  43. Mariappan, A.L.; Desai, S.; Locante, A.; Desai, P.; Quraishi, J. Iatrogenic Kaposi Sarcoma Precipitated by Anti-Tumor Necrosis Factor-Alpha (Anti-TNF-α) Therapy. Cureus 2021, 13, e13384. [Google Scholar] [CrossRef]
  44. Brambilla, L.; Genovese, G.; Berti, E.; Peris, K.; Rongioletti, F.; Micali, G.; Ayala, F.; Della Bella, S.; Mancuso, R.; Calzavara Pinton, P.; et al. Diagnosis and Treatment of Classic and Iatrogenic Kaposi’s Sarcoma: Italian Recommendations. Ital. J. Dermatol. Venerol. 2021, 156, 356–365. [Google Scholar] [CrossRef] [PubMed]
  45. Kucharzik, T.; Ellul, P.; Greuter, T.; Rahier, J.F.; Verstockt, B.; Abreu, C.; Albuquerque, A.; Allocca, M.; Esteve, M.; Farraye, F.A.; et al. ECCO Guidelines on the Prevention, Diagnosis, and Management of Infections in Inflammatory Bowel Disease. J. Crohns Colitis 2021, 15, 879–913. [Google Scholar] [CrossRef] [PubMed]
Figure 1. Representative endoscopic images from the patient’s most recent endoscopic evaluation.
Figure 1. Representative endoscopic images from the patient’s most recent endoscopic evaluation.
Gastrointestdisord 06 00069 g001
Figure 2. Image of the cutaneous lesion on the patient’s right leg prior to skin excision.
Figure 2. Image of the cutaneous lesion on the patient’s right leg prior to skin excision.
Gastrointestdisord 06 00069 g002
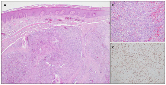
Figure 3. Histopathological analysis of the skin specimen. Microscopic examination revealed a superficial dermal proliferation of spindle cells forming irregular slit-like vascular channels containing blood. The cells exhibited mild pleomorphism, with occasional hyperchromatic nuclei and identifiable mitoses. The surrounding stroma displayed a mild lymphocytic infiltrate with hemosiderin deposition and siderophages. Immunohistochemical analysis demonstrated positivity for the ERG, confirming endothelial differentiation of the spindle cells. Nuclear staining for HHV-8 was also positive, displaying a coarse granular, speckled pattern, consistent with the diagnosis of Kaposi sarcoma. (A) Skin biopsy, panoramic view: intradermal nodular proliferation of spindle cells with a vaguely fascicular growth pattern (Hematoxylin and eosin stain; original magnification: 40×). (B) High-power view of spindle cells with intervening slit-like channels containing erythrocytes (Hematoxylin and eosin stain; original magnification: 200×). (C) The spindle cells are positive for HHV-8 (HHV-8 immunostain; original magnification: 200×).
Figure 3. Histopathological analysis of the skin specimen. Microscopic examination revealed a superficial dermal proliferation of spindle cells forming irregular slit-like vascular channels containing blood. The cells exhibited mild pleomorphism, with occasional hyperchromatic nuclei and identifiable mitoses. The surrounding stroma displayed a mild lymphocytic infiltrate with hemosiderin deposition and siderophages. Immunohistochemical analysis demonstrated positivity for the ERG, confirming endothelial differentiation of the spindle cells. Nuclear staining for HHV-8 was also positive, displaying a coarse granular, speckled pattern, consistent with the diagnosis of Kaposi sarcoma. (A) Skin biopsy, panoramic view: intradermal nodular proliferation of spindle cells with a vaguely fascicular growth pattern (Hematoxylin and eosin stain; original magnification: 40×). (B) High-power view of spindle cells with intervening slit-like channels containing erythrocytes (Hematoxylin and eosin stain; original magnification: 200×). (C) The spindle cells are positive for HHV-8 (HHV-8 immunostain; original magnification: 200×).
Gastrointestdisord 06 00069 g003
Table 1. Serological and cultural tests conducted during the patient’s most recent hospitalisation at our division (October 2023), with normal range values expressed for each.
Table 1. Serological and cultural tests conducted during the patient’s most recent hospitalisation at our division (October 2023), with normal range values expressed for each.
Test PerformedResultNormal Values
Hepatitis B surface antigen (HBsAg)NegativeNegative
Hepatitis B surface antibody (HBsAb)<10 mUI/mL>10 mUI/mL
Hepatitis B core antibody (HBcAb)NegativeNegative
Hepatitis C antibody (HCVAb)NegativeNegative
Toxoplasma gondii IgMNegativeNegative
Toxoplasma gondii IgG18 IU/mL<7.2 IU/mL 1
Herpes simplex virus 1,2 IgMNegativeNegative
Herpes simplex virus 1,2 IgG>30 IU/mL<0.9 IU/mL 1
Cytomegalovirus IgMNegativeNegative
Cytomegalovirus IgG110 U/mL<12 IU/mL 1
Human herpes virus 4 VCA IgMNegativeNegative
Human herpes virus 4 VCA/EA IgG213 U/mL<20 U/mL 1
Rubella IgMNegativeNegative
Rubella IgG27 UI/mL<7 UI/mL 1
QuantiFERON-TB Gold plus test for Mycobacterium tuberculosis: IFN-γ after stimulation with TB-specific antigens TB1 (CD4)0 UI/mL<0.35 UI/mL
QuantiFERON-TB Gold plus test for Mycobacterium tuberculosis: IFN-γ after stimulation with TB-specific antigens TB2 (CD4/CD8)0 UI/mL<0.35 IU/mL
QuantiFERON-TB Gold plus test for Mycobacterium tuberculosis: IFN-γ after stimulation with mitogen8.95 UI/mL≥0.5 UI/mL
Stool culturesNegativeNegative
Faecal parasitological examinationNegativeNegative
Human immunodeficiency virus testNegativeNegative
Pharyngeal-tonsillar and rectal microbiological swabNegativeNegative
Ig: immunoglobulin; VCA: viral capsid antigen; EA: early antigen; and IFN: interferon. 1 This value indicates the absence of immunity to that specific pathogen.
Table 2. Prominent reported cases in the literature of Kaposi’s sarcoma arising in the context of chronic treatment with infliximab in human immunodeficiency virus-negative patients with ulcerative colitis.
Table 2. Prominent reported cases in the literature of Kaposi’s sarcoma arising in the context of chronic treatment with infliximab in human immunodeficiency virus-negative patients with ulcerative colitis.
Author, ReferenceYearSex, AgeImmunosuppressive Treatments ReceivedLocalizationPrognosis
Hamzaoui et al. [21]2013Male, 30 y.o.Prednisone, i.v. steroids, infliximab (until week 6)ColonicTotally resected
Kumar et al. [20]2017Male, 70 y.o.Methylprednisolone multiple cycles, infliximab (only 1 dose)RectalTotally resected
Fischer et al., [22]2022Female, 45 y.o.Infliximab, vedolizumab, prednisoneColonicTotally resected
Disclaimer/Publisher’s Note: The statements, opinions and data contained in all publications are solely those of the individual author(s) and contributor(s) and not of MDPI and/or the editor(s). MDPI and/or the editor(s) disclaim responsibility for any injury to people or property resulting from any ideas, methods, instructions or products referred to in the content.

Share and Cite

MDPI and ACS Style

Pellegrino, R.; Palladino, G.; Pagliuca, F.; Lucà, S.; Federico, A.; Gravina, A.G. Cutaneous Kaposi’s Sarcoma Following Long-Term Infliximab Treatment in a Patient with HIV-Negative Antibiotic-Dependent Chronic Pouchitis: Considerations on an Exceptional Finding. Gastrointest. Disord. 2024, 6, 984-992. https://doi.org/10.3390/gidisord6040069

AMA Style

Pellegrino R, Palladino G, Pagliuca F, Lucà S, Federico A, Gravina AG. Cutaneous Kaposi’s Sarcoma Following Long-Term Infliximab Treatment in a Patient with HIV-Negative Antibiotic-Dependent Chronic Pouchitis: Considerations on an Exceptional Finding. Gastrointestinal Disorders. 2024; 6(4):984-992. https://doi.org/10.3390/gidisord6040069

Chicago/Turabian Style

Pellegrino, Raffaele, Giovanna Palladino, Francesca Pagliuca, Stefano Lucà, Alessandro Federico, and Antonietta Gerarda Gravina. 2024. "Cutaneous Kaposi’s Sarcoma Following Long-Term Infliximab Treatment in a Patient with HIV-Negative Antibiotic-Dependent Chronic Pouchitis: Considerations on an Exceptional Finding" Gastrointestinal Disorders 6, no. 4: 984-992. https://doi.org/10.3390/gidisord6040069

APA Style

Pellegrino, R., Palladino, G., Pagliuca, F., Lucà, S., Federico, A., & Gravina, A. G. (2024). Cutaneous Kaposi’s Sarcoma Following Long-Term Infliximab Treatment in a Patient with HIV-Negative Antibiotic-Dependent Chronic Pouchitis: Considerations on an Exceptional Finding. Gastrointestinal Disorders, 6(4), 984-992. https://doi.org/10.3390/gidisord6040069

Article Metrics

Back to TopTop