Advancements in Laparoscopic Techniques for Perineal Hernias—Technical Success and Complications Data
Abstract
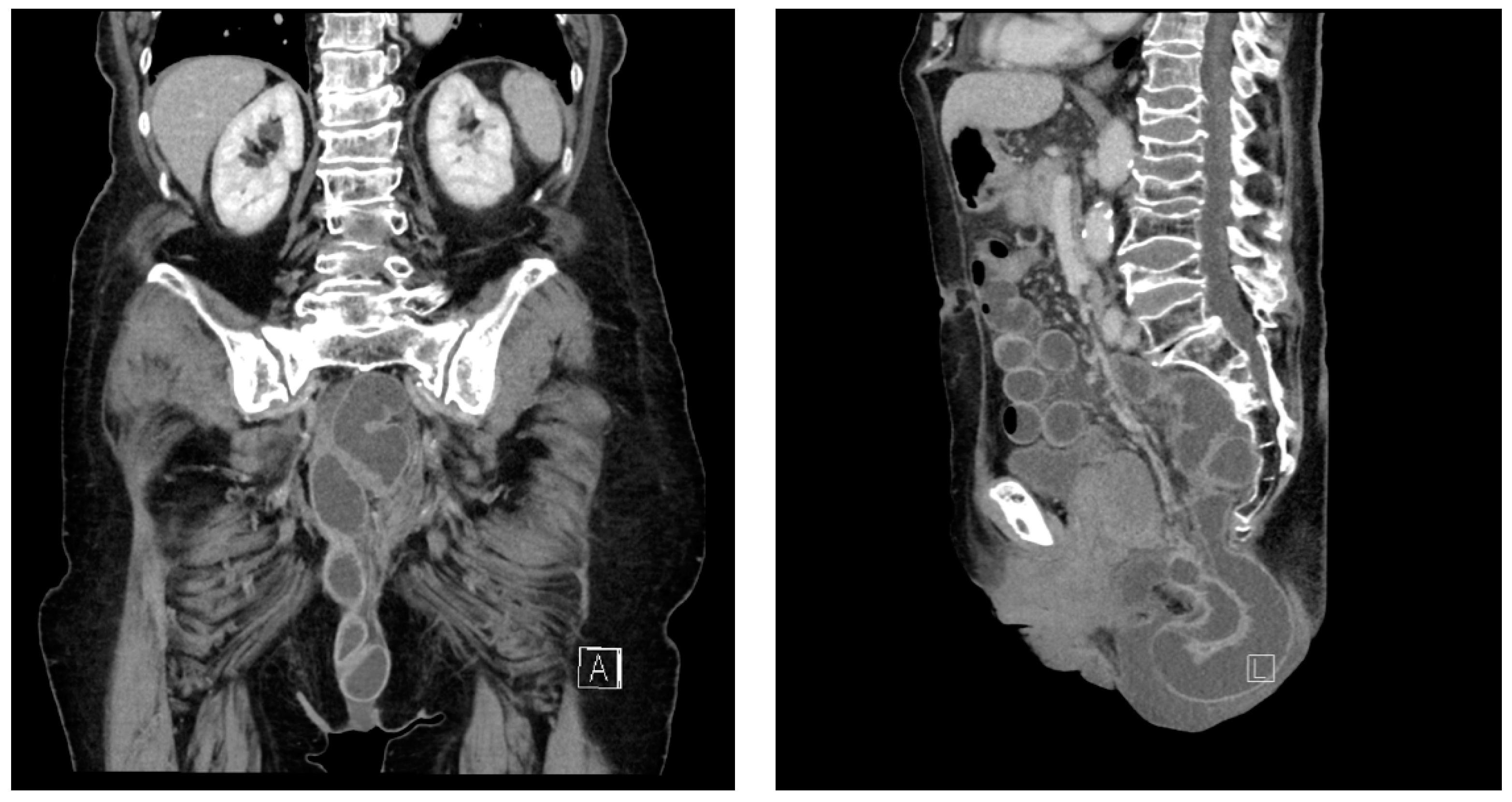
1. Introduction
2. Results
2.1. Technical Success
2.2. Follow-Up
3. Materials and Methods
3.1. Patients
3.2. Definitions
3.3. Surgical Procedure
4. Discussion
5. Conclusions
Author Contributions
Funding
Institutional Review Board Statement
Informed Consent Statement
Data Availability Statement
Conflicts of Interest
References
- Hawkins, A.T.; Albutt, K.; Wise, P.E.; Alavi, K.; Sudan, R.; Kaiser, A.M.; Bordeianou, L.; Continuing Education Committee of the SSAT. Abdominoperineal Resection for Rectal Cancer in the Twenty-First Century: Indications, Techniques, and Outcomes. J. Gastrointest. Surg. 2018, 22, 1477–1487. [Google Scholar] [CrossRef]
- Shihab, O.C.; Brown, G.; Daniels, I.R.; Heald, R.J.; Quirke, P.; Moran, B.J. Patients with low rectal cancer treated by abdominoperineal excision have worse tumors and higher involved margin rates compared with patients treated by anterior resection. Dis. Colon Rectum 2010, 53, 53–56. [Google Scholar] [CrossRef] [PubMed]
- Shihab, O.C.; Taylor, F.; Salerno, G.; Heald, R.J.; Quirke, P.; Moran, B.J.; Brown, G. MRI Predictive Factors for Long-Term Outcomes of Low Rectal Tumours. Ann. Surg. Oncol. 2011, 18, 3278–3284. [Google Scholar] [CrossRef] [PubMed]
- Grass, J.K.; Perez, D.R.; Izbicki, J.R.; Reeh, M. Systematic review analysis of robotic and transanal approaches in TME surgery-A systematic review of the current literature in regard to challenges in rectal cancer surgery. Eur. J. Surg. Oncol. (EJSO) 2019, 45, 498–509. [Google Scholar] [CrossRef] [PubMed]
- Li, J.; Zhang, W. How we do it: Repair of large perineal hernia after abdominoperineal resection. Hernia 2017, 21, 957–961. [Google Scholar] [CrossRef] [PubMed]
- Stamatiou, D.; Skandalakis, J.E.; Skandalakis, L.J.; Mirilas, P. Perineal hernia: Surgical anatomy, embryology, and technique of repair. Am. Surg. 2010, 76, 474–479. [Google Scholar] [CrossRef]
- Balla, A.; Rodríguez, G.B.; Buonomo, N.; Martinez, C.; Hernández, P.; Bollo, J.; Targarona, E.M. Perineal hernia repair after abdominoperineal excision or extralevator abdominoperineal excision: A systematic review of the literature. Tech. Coloproctol. 2017, 21, 329–336. [Google Scholar] [CrossRef] [PubMed]
- Narang, S.K.; Alam, N.N.; Köckerling, F.; Daniels, I.R.; Smart, N.J. Repair of Perineal Hernia Following Abdominoperineal Excision with Biological Mesh: A Systematic Review. Front. Surg. 2016, 3, 49. [Google Scholar] [CrossRef] [PubMed]
- Liu, S.; Jiang, T.; Xiao, L.; Yang, S.; Liu, Q.; Gao, Y.; Chen, G.; Xiao, W. Total Neoadjuvant Therapy (TNT) versus Standard Neoadjuvant Chemoradiotherapy for Locally Advanced Rectal Cancer: A Systematic Review and Meta-Analysis. Oncologist 2021, 26, e1555. [Google Scholar] [CrossRef]
- McKenna, N.P.; Habermann, E.B.; Larson, D.W.; Kelley, S.R.; Mathis, K.L. A 25 year experience of perineal hernia repair. Hernia 2020, 24, 273–278. [Google Scholar] [CrossRef]
- Dindo, D.; Demartines, N.; Clavien, P. Classification of Surgical Complications. Ann. Surg. 2004, 240, 205–213. [Google Scholar] [CrossRef] [PubMed]
- Shen, Y.; Yang, T.; Deng, X.; Wu, Q.; Wei, M.; Meng, W.; Wang, Z. Closure of pelvic peritoneum with bladder peritoneum flap reconstruction after laparoscopic extralevator abdominoperineal excision: A prospective stage II study. J. Surg. Oncol. 2023, 128, 851–859. [Google Scholar] [CrossRef] [PubMed]
- Thiel, J.T.; Welskopf, H.L.; Yurttas, C.; Farzaliyev, F.; Daigeler, A.; Bachmann, R. Feasibility of Perineal Defect Reconstruction with Simplified Fasciocutaneous Inferior Gluteal Artery Perforator (IGAP) Flaps after Tumor Resection of the Lower Rectum: Incidence and Outcome in an Interdisciplinary Approach. Cancers 2023, 15, 3345. [Google Scholar] [CrossRef] [PubMed]
- Moiș, E.; Graur, F.; Horvath, L.; Furcea, L.; Zaharie, F.; Vălean, D.; Moldovan, S.; Al Hajjar, N. Perineal Hernia Mesh Repair Using Only the Perineal Approach: How We Do It. J. Pers. Med. 2023, 13, 1456. [Google Scholar] [CrossRef] [PubMed]
- Hultman, C.S.; Sherrill, M.A.; Halvorson, E.G.; Lee, C.N.; Boggess, J.F.; Meyers, M.O.; Calvo, B.A.; Kim, H.J. Utility of the omentum in pelvic floor reconstruction following resection of anorectal malignancy: Patient selection, technical caveats, and clinical outcomes. Ann. Plast. Surg. 2010, 64, 559–562. [Google Scholar] [CrossRef] [PubMed]
- Yeomans, F.C. Levator hernia, perineal and pudendal. Am. J. Surg. 1939, 43, 695–697. [Google Scholar] [CrossRef]
- A Sayers, E.; Patel, R.K.; Hunter, I.A. Perineal hernia formation following extralevator abdominoperineal excision. Color. Dis. 2015, 17, 351–355. [Google Scholar] [CrossRef] [PubMed]
- Haan, A.M.S.G.-D.; Langenhoff, B.S.; Petersen, D.; Verheijen, P.M. Laparoscopic repair of perineal hernia after abdominoperineal excision. Hernia 2016, 20, 741–746. [Google Scholar] [CrossRef]
- Mjoli, M.; Sloothaak, D.A.M.; Buskens, C.J.; Bemelman, W.A.; Tanis, P.J. Perineal hernia repair after abdominoperineal resection: A pooled analysis. Color. Dis. 2012, 14, e400–e406. [Google Scholar] [CrossRef]
- Rodríguez, M.; Gómez-Gil, V.; Pérez-Köhler, B.; Pascual, G.; Bellón, J.M. Polymer Hernia Repair Materials: Adapting to Patient Needs and Surgical Techniques. Materials 2021, 14, 2790. [Google Scholar] [CrossRef] [PubMed]
- Musters, G.D.; Lapid, O.; Stoker, J.; Musters, B.F.; Bemelman, W.A.; Tanis, P.J. Is there a place for a biological mesh in perineal hernia repair? Hernia 2016, 20, 747–754. [Google Scholar] [CrossRef]
- Calomino, N.; Poto, G.E.; Carbone, L.; Micheletti, G.; Gjoka, M.; Giovine, G.; Sepe, B.; Bagnacci, G.; Piccioni, S.A.; Cuomo, R.; et al. Weighing the benefits: Exploring the differential effects of light-weight and heavy-weight polypropylene meshes in inguinal hernia repair in a retrospective cohort study. Am. J. Surg. 2024, 238, 115950. [Google Scholar] [CrossRef] [PubMed]
- Samar, A.M.; Branagan, G. Perineal hernia repair after extralevator abdominoperineal excision, how we do it (PERineal Laparoscopic Sling: PERLS Technique). Langenbeck’s Arch. Surg. 2022, 407, 2187–2191. [Google Scholar] [CrossRef] [PubMed]


| Patient Characteristics (n = 8) | |
|---|---|
| Age | 69 years |
| youngest 58 years | |
| oldest 81 years | |
| Gender | 5 male |
| 3 female | |
| Underlying disease | Low rectal cancer (n = 6) |
| Recurrence of Anal Carcinoma (n = 1) | |
| Local Recurrence of a Rectum-Infiltrating Leiomyosarcoma (n = 1) | |
| Neoadjuvant Therapy | Radiochemotherapy (n = 7) |
| Localized Radiotherapy (n = 1) | |
| Closure Technique following Resection (APE/ELAPE) | Layered Primary Suture (n = 5) |
| V-Y advancement flap (n = 3) | |
| Tumor Stage after Resection | ypT2 ypN0 L0 V0 Pn0 R0 (n = 6) |
| ypT3 ypN1b pM1 (hep) V0 Pn0 R0 (n = 1) | |
| ypT3 ypN1a L0 V1 Pn1 R0 (n = 1) |
Disclaimer/Publisher’s Note: The statements, opinions and data contained in all publications are solely those of the individual author(s) and contributor(s) and not of MDPI and/or the editor(s). MDPI and/or the editor(s) disclaim responsibility for any injury to people or property resulting from any ideas, methods, instructions or products referred to in the content. |
© 2024 by the authors. Licensee MDPI, Basel, Switzerland. This article is an open access article distributed under the terms and conditions of the Creative Commons Attribution (CC BY) license (https://creativecommons.org/licenses/by/4.0/).
Share and Cite
Kalmbach, S.; Welskopf, H.L.; Steidle, C.; Horvath, P.; Bachmann, R. Advancements in Laparoscopic Techniques for Perineal Hernias—Technical Success and Complications Data. Gastrointest. Disord. 2024, 6, 976-983. https://doi.org/10.3390/gidisord6040068
Kalmbach S, Welskopf HL, Steidle C, Horvath P, Bachmann R. Advancements in Laparoscopic Techniques for Perineal Hernias—Technical Success and Complications Data. Gastrointestinal Disorders. 2024; 6(4):976-983. https://doi.org/10.3390/gidisord6040068
Chicago/Turabian StyleKalmbach, Sarah, Hannah Laura Welskopf, Christoph Steidle, Philipp Horvath, and Robert Bachmann. 2024. "Advancements in Laparoscopic Techniques for Perineal Hernias—Technical Success and Complications Data" Gastrointestinal Disorders 6, no. 4: 976-983. https://doi.org/10.3390/gidisord6040068
APA StyleKalmbach, S., Welskopf, H. L., Steidle, C., Horvath, P., & Bachmann, R. (2024). Advancements in Laparoscopic Techniques for Perineal Hernias—Technical Success and Complications Data. Gastrointestinal Disorders, 6(4), 976-983. https://doi.org/10.3390/gidisord6040068
