Multinodular Vacuolating Neuronal Tumors: Symptomatic Presentation Versus Incidental Finding: Case Series and Literature Review
Abstract
1. Introduction and Clinical Significance
2. Case Presentation
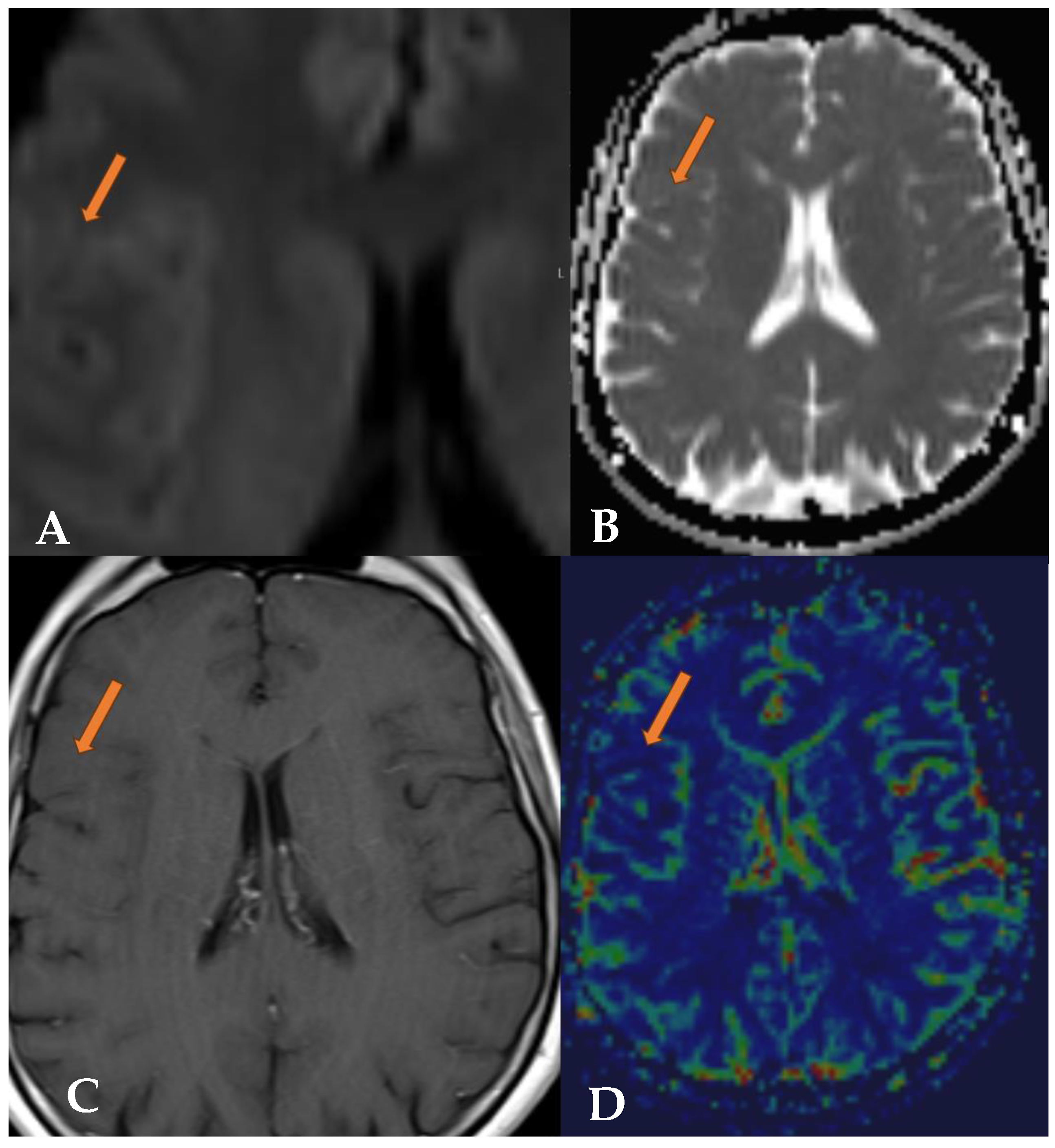
2.1. Case 1
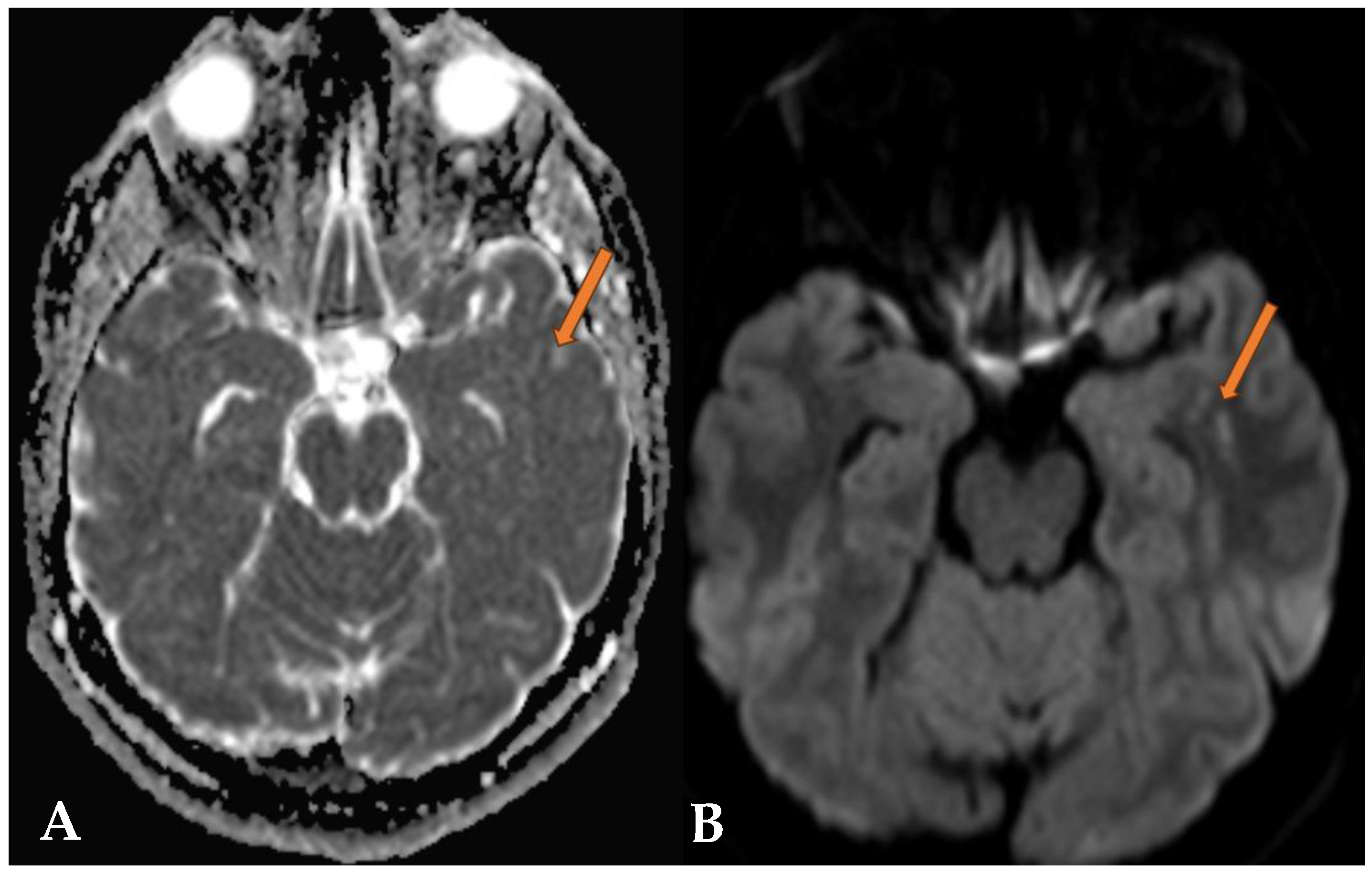
2.2. Case 2
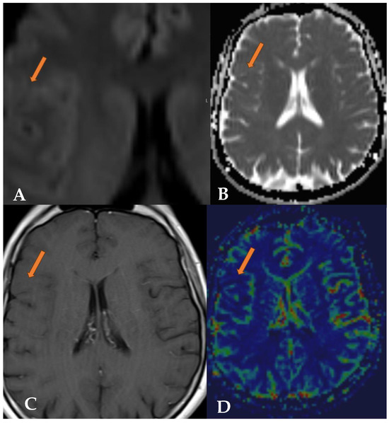
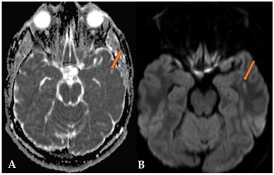
3. Discussion
4. Conclusions
Author Contributions
Funding
Institutional Review Board Statement
Informed Consent Statement
Data Availability Statement
Conflicts of Interest
References
- Nunes, R.H.; Hsu, C.C.; Da Rocha, A.J.; Do Amaral, L.L.F.; Godoy, L.F.S.; Watkins, T.W.; Marussi, V.H.; Warmuth-Metz, M.; Alves, H.C.; Goncalves, F.G.; et al. Multinodular and Vacuolating Neuronal Tumor of the Cerebrum: A New “Leave Me Alone” Lesion with a Characteristic Imaging Pattern. AJNR Am. J. Neuroradiol. 2017, 38, 1899–1904. [Google Scholar] [CrossRef] [PubMed]
- Huse, J.T.; Edgar, M.; Halliday, J.; Mikolaenko, I.; Lavi, E.; Rosenblum, M.K. Multinodular and Vacuolating Neuronal Tumors of the Cerebrum: 10 Cases of a Distinctive Seizure-Associated Lesion. Brain Pathol. 2013, 23, 515–524. [Google Scholar] [CrossRef] [PubMed]
- Louis, D.N.; Perry, A.; Wesseling, P.; Brat, D.J.; Cree, I.A.; Figarella-Branger, D.; Hawkins, C.; Ng, H.K.; Pfister, S.M.; Reifenberger, G.; et al. The 2021 WHO Classification of Tumors of the Central Nervous System: A summary. Neuro Oncol. 2021, 23, 1231–1251. [Google Scholar] [CrossRef] [PubMed]
- Pekmezci, M.; Stevers, M.; Phillips, J.J.; Van Ziffle, J.; Bastian, B.C.; Tsankova, N.M.; Kleinschmidt-DeMasters, B.K.; Rosenblum, M.K.; Tihan, T.; Perry, A.; et al. Multinodular and vacuolating neuronal tumor of the cerebrum is a clonal neoplasm defined by genetic alterations that activate the MAP kinase signaling pathway. Acta Neuropathol. 2018, 135, 485–488. [Google Scholar] [CrossRef]
- Biyikli, E.; Kursun, M.; Altuntas, D.; Bayri, Y.; Baltacioglu, F. Radiological and clinical features of multinodular and vacuolating neuronal tumor (MVNT). Egypt. J. Neurosurg. 2023, 38, 1. [Google Scholar] [CrossRef]
- Lecler, A.; Broquet, V.; Bailleux, J.; Carsin, B.; Adle-Biassette, H.; Baloglu, S.; Forestier, G.; Bonneville, F.; Calvier, E.; Chauvet, D.; et al. Advanced multiparametric magnetic resonance imaging of multinodular and vacuolating neuronal tumor. Eur. J. Neurol. 2020, 27, 1561–1569. [Google Scholar] [CrossRef]
- Turner, A.L.; D’Souza, P.; Belirgen, M.; Al-Rahawan, M.M. Atypical Presentation of Multinodular and Vacuolating Neuronal Tumor of the Cerebrum in a Boy. J. Neurosci. Rural Pract. 2020, 11, 214–215. [Google Scholar] [CrossRef]
- Dias, L.N.; Candela-Cantó, S.; Jou, C.; Calvo, J.A.; García-García, S.; Hinojosa Mena-Bernal, J. Multinodular and vacuolating neuronal tumor associated with focal cortical dysplasia in a child with refractory epilepsy: A case report and brief review of literature. Child’s Nerv. Syst. 2020, 36, 1557–1561. [Google Scholar] [CrossRef]
- Alsufayan, R.; Alcaide-Leon, P.; Noel de Tilly, L.; Mandell, D.M.; Krings, T. Natural history of lesions with the MR imaging appearance of multinodular and vacuolating neuronal tumor. Neuroradiology 2017, 59, 873–883. [Google Scholar] [CrossRef]
- Morassi, M.; Bagatto, D. Infratentorial Multinodular and Vacuolating Neuronal Tumor or Multinodular and Vacuolating Posterior Fossa Lesions of Unknown Significance? Clinico-Radiologic Findings from 2 Cases. World Neurosurg. 2020, 136, 58–61. [Google Scholar] [CrossRef]
- Lecler, A.; Bailleux, J.; Carsin, B.; Adle-Biassette, H.; Baloglu, S.; Bogey, C.; Bonneville, F.; Calvier, E.; Comby, P.-O.; Cottier, J.-P.; et al. Multinodular and Vacuolating Posterior Fossa Lesions of Unknown Significance. AJNR Am. J. Neuroradiol. 2019, 40, 1689–1694. [Google Scholar] [CrossRef]
- Abdelouahhab, H.; Guemmi, I.; Bouamama, T.; Kamaoui, I.; Nasri, S.; Aichouni, N.; Skiker, I. A rare cause of adult’s epileptic crisis: Infratentorial multinodular and vacuolating neuronal tumor. Radiol. Case Rep. 2022, 17, 4847–4849. [Google Scholar] [CrossRef] [PubMed]
- Shitara, S.; Tokime, T.; Akiyama, Y. Multinodular and vacuolating neuronal tumor: A case report and literature review. Surg. Neurol. Int. 2018, 9, 63. [Google Scholar] [CrossRef] [PubMed]
- Yamaguchi, M.; Komori, T.; Nakata, Y.; Yagishita, A.; Morino, M.; Isozaki, E. Multinodular and vacuolating neuronal tumor affecting amygdala and hippocampus: A quasi-tumor? Pathol. Int. 2016, 66, 34–41. [Google Scholar] [CrossRef] [PubMed]
- Kishi, S.; Maeda, M.; Tanaka, F.; Kogue, R.; Umino, M.; Matsubara, T.; Obara, M.; Sakuma, H. Advanced multiparametric MRI and FDG-PET/CT in multinodular and vacuolating neuronal tumor: A pathologically confirmed case. Radiol. Case Rep. 2023, 18, 2924–2928. [Google Scholar] [CrossRef]
- Narvaez, E.O.; Marussi, V.H.R.; Junior, C.L.S.; Hatano, N.T.; Maluf, F.C.; Amaral, L.L.F. Multinodular and Vacuolating Neuronal Tumor in the Brain Depth-Atypical Presentation of a New Tumor: A Case Report. J. Mol. Genet. Med. 2020, 14, 453. [Google Scholar] [CrossRef]
- Choi, E.; Kim, S.I.; Won, J.K.; Chung, C.K.; Kim, S.K.; Choi, S.H.; Choi, S.; Han, B.; Ahn, B.; Im, S.W.; et al. Clinicopathological and molecular analysis of multinodular and vacuolating neuronal tumors of the cerebrum. Hum. Pathol. 2019, 86, 203–212. [Google Scholar] [CrossRef]
- Makrakis, D.; Veneris, S.; Papadaki, E. Multinodular and vacuolating neuronal tumor incidentally discovered in a young man: Conventional and advanced MRI features. Radiol. Case Rep. 2018, 13, 960–964. [Google Scholar] [CrossRef]
- De Wandeler, T.; De Brucker, Y.; Jansen, A.; Vanderhasselt, T. Multinodular and vacuolating neuronal tumor of the cerebrum (MVNT): Do not touch. Acta Neurol. Belg. 2020, 120, 747–748. [Google Scholar] [CrossRef]
- Bodi, I.; Curran, O.; Selway, R.; Elwes, R.; Burrone, J.; Laxton, R.; Al-Sarraj, S.; Honavar, M. Two cases of multinodular and vacuolating neuronal tumour. Acta Neuropathol. Commun. 2014, 2, 7. [Google Scholar] [CrossRef]
- Baščarević, V.; Pejović, A.T.; Ristić, A.J.; Vojvodić, N.; Raičević, S.; Đukić, T.; Brajković, L.; Sokić, D. Multinodular and vacuolating neuronal tumour of the cerebrum: A rare neuroimaging incidentaloma or a potentially treatable cause of focal epilepsy? Epileptic Disord. 2019, 21, 209–214. [Google Scholar] [CrossRef] [PubMed]
- Arbuiso, S.; Roster, K.; Gill, A.; Tarawneh, O.; Cole, K.L.; Kazim, S.F.; Vellek, J.; Schmidt, M.H.; Bowers, C.A. Multinodular and Vacuolating Neuronal Tumor: Incidental Diagnosis of a Rare Brain Lesion. Cureus 2021, 13, e20674. [Google Scholar] [CrossRef]
- Do, T.; Lee, J.S.; Lee, S.J.; Lee, J. Multinodular and Vacuolating Neuronal Tumor Initially Misdiagnosed as Acute Cerebral Infarction Presenting with Thunderclap Headache. J. Clin. Neurol. 2024, 20, 217–219. [Google Scholar] [CrossRef] [PubMed]
- Karataş, Ş.F.O.; Beyhan, M.; Gökçe, E. Radiological approach to multinodular and vacuolating neuronal tumor: Two case report. J. Surg. Med. 2023, 7, 398–400. [Google Scholar] [CrossRef]
- Alizada, O.; Ayman, T.; Akgun, M.Y.; Sar, M.; Urganci, N.; Kemerdere, R. Multinodular and vacuolating neuronal tumor of the cerebrum: Two cases and review of the literature. Clin. Neurol. Neurosurg. 2020, 197, 106149. [Google Scholar] [CrossRef]
- Buffa, G.B.; Chaves, H.; Serra, M.M.; Stefanoff, N.I.; Gagliardo, A.S.; Yañez, P. Multinodular and Vacuolating Neuronal Tumor of the Cerebrum (MVNT): A case series and review of the literature. J. Neuroradiol. 2020, 47, 216–220. [Google Scholar] [CrossRef]
- Sirbu, C.A.; Ștefani, C.; Tuță, S.; Manole, A.M.; Sirbu, O.M.; Ivan, R.; Toma, G.S.; Calu, A.G.; Jianu, D.C. New Imaging Features of Multinodular and Vacuolating Neuronal Tumor Revealed by Alcohol and Illicit Drugs Consumption. Diagnostics 2022, 12, 2779. [Google Scholar] [CrossRef]
- Nishizawa, T.; Saito, R.; Chonan, M.; Kanamori, M.; Takanami, K.; Watanabe, M.; Tominaga, T. A multinodular and vacuolating neuronal tumor in the right temporal lobe with positive methionine uptake: A case report. Interdiscip. Neurosurg. 2020, 22, 100861. [Google Scholar] [CrossRef]
- Lobo, R.; Srinivasan, A. Case of the Season: Multinodular and Vacuolating Neuronal Tumor. Semin. Roentgenol. 2018, 53, 3–5. [Google Scholar] [CrossRef]
- Gonzalez-Quarante, L.H.; Ruiz-Juretschke, F.; Vendrell, E.S.; Gil de Sagredo Del Corral, O.L.; Agarwal, V.; Garcia-Leal, R. Multinodular and vacuolating neuronal tumor of the cerebrum. A rare entity. New case and review of the literature. Neurocirugia 2018, 29, 44–55. [Google Scholar] [CrossRef]
- Fukushima, S.; Yoshida, A.; Narita, Y.; Arita, H.; Ohno, M.; Miyakita, Y.; Ichimura, K.; Shibui, S. Multinodular and vacuolating neuronal tumor of the cerebrum. Brain Tumor Pathol. 2015, 32, 131–136. [Google Scholar] [CrossRef] [PubMed]
- Fernandez, C.; Girard, N.; Paredes, A.P.; Bouvier-Labit, C.; Lena, G.; Figarella-Branger, D. The usefulness of MR imaging in the diagnosis of dysembryoplastic neuroepithelial tumor in children: A study of 14 cases. AJNR Am. J. Neuroradiol. 2003, 24, 829–834. [Google Scholar] [PubMed]
- Pak, A.; Choi, H.J.; You, S.H.; Yang, K.S.; Kim, B.; Choi, S.H.; Kim, S.H.; Kim, J.Y.; Kim, B.K.; Park, S.E.; et al. Bright diffusion sign: A sensitive and specific radiologic biomarker for multinodular and vacuolating neuronal tumor. J. Neuroradiol. 2024, 51, 101171. [Google Scholar] [CrossRef] [PubMed]
- Rudie, J.D.; Rauschecker, A.M.; Nabavizadeh, S.A.; Mohan, S. Neuroimaging of Dilated Perivascular Spaces: From Benign and Pathologic Causes to Mimics. J. Neuroimaging 2018, 28, 139–149. [Google Scholar] [CrossRef]
- De Simone, M.; Conti, V.; Palermo, G.; De Maria, L.; Iaconetta, G. Advancements in glioma care: Focus on emerging neurosurgical techniques. Biomedicines 2023, 12, 8. [Google Scholar] [CrossRef]
- De Simone, M.; Zoia, C.; Choucha, A.; Kong, D.-S.; De Maria, L. The Transorbital Approach: A Comprehensive Review of Targets, Surgical Techniques, and Multiportal Variants. J. Clin. Med. 2024, 13, 2712. [Google Scholar] [CrossRef]






Disclaimer/Publisher’s Note: The statements, opinions and data contained in all publications are solely those of the individual author(s) and contributor(s) and not of MDPI and/or the editor(s). MDPI and/or the editor(s) disclaim responsibility for any injury to people or property resulting from any ideas, methods, instructions or products referred to in the content. |
© 2024 by the authors. Licensee MDPI, Basel, Switzerland. This article is an open access article distributed under the terms and conditions of the Creative Commons Attribution (CC BY) license (https://creativecommons.org/licenses/by/4.0/).
Share and Cite
Balodis, A.; Strautmane, S.; Mežvinska, P.; Pavlovičs, S. Multinodular Vacuolating Neuronal Tumors: Symptomatic Presentation Versus Incidental Finding: Case Series and Literature Review. Reports 2024, 7, 86. https://doi.org/10.3390/reports7040086
Balodis A, Strautmane S, Mežvinska P, Pavlovičs S. Multinodular Vacuolating Neuronal Tumors: Symptomatic Presentation Versus Incidental Finding: Case Series and Literature Review. Reports. 2024; 7(4):86. https://doi.org/10.3390/reports7040086
Chicago/Turabian StyleBalodis, Arturs, Sintija Strautmane, Paula Mežvinska, and Sergejs Pavlovičs. 2024. "Multinodular Vacuolating Neuronal Tumors: Symptomatic Presentation Versus Incidental Finding: Case Series and Literature Review" Reports 7, no. 4: 86. https://doi.org/10.3390/reports7040086
APA StyleBalodis, A., Strautmane, S., Mežvinska, P., & Pavlovičs, S. (2024). Multinodular Vacuolating Neuronal Tumors: Symptomatic Presentation Versus Incidental Finding: Case Series and Literature Review. Reports, 7(4), 86. https://doi.org/10.3390/reports7040086

