Two Cases of Natural Infection of Dengue-2 Virus in Bats in the Colombian Caribbean
Abstract
1. Introduction
2. Materials and Methods
2.1. Sampling, Geographic Area, and Capture of Specimens
2.2. Molecular Methods
2.3. Phylogenetic Analysis
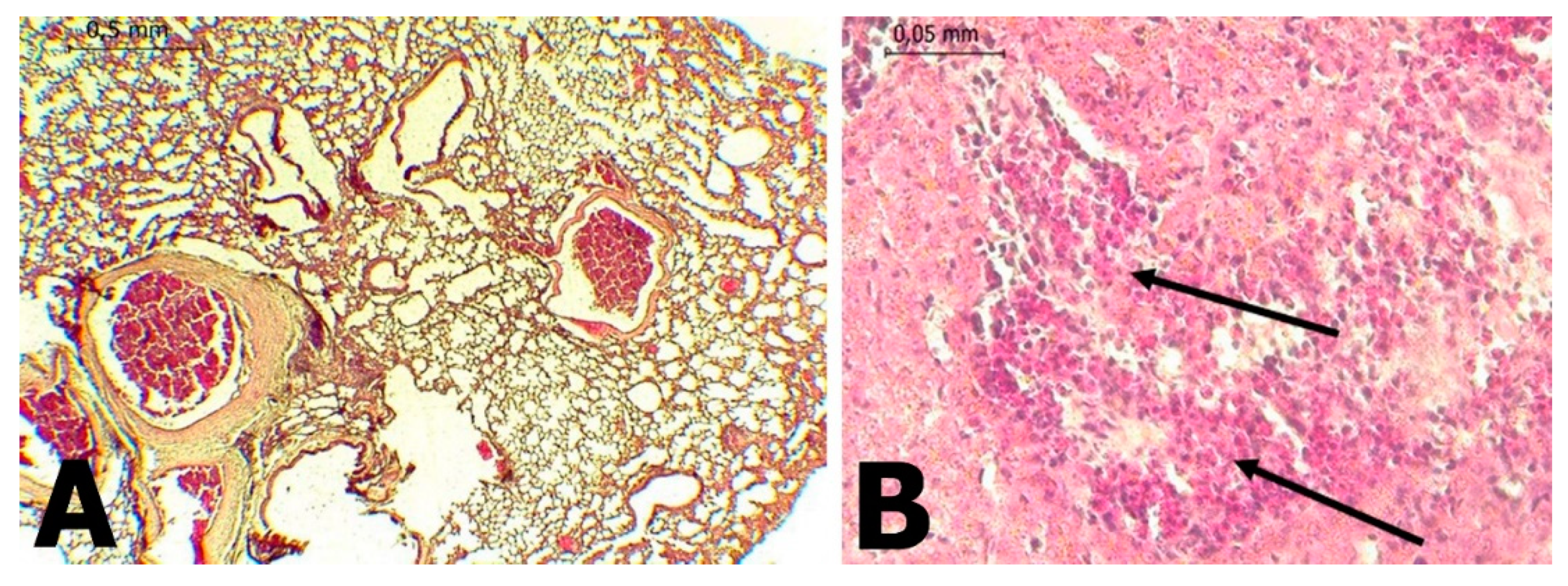
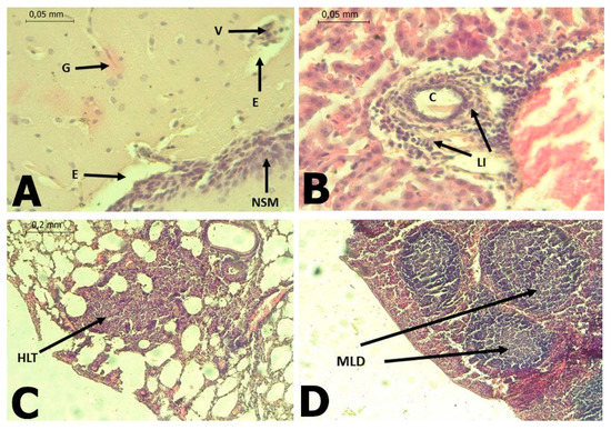
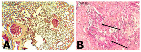
2.4. Histopathology
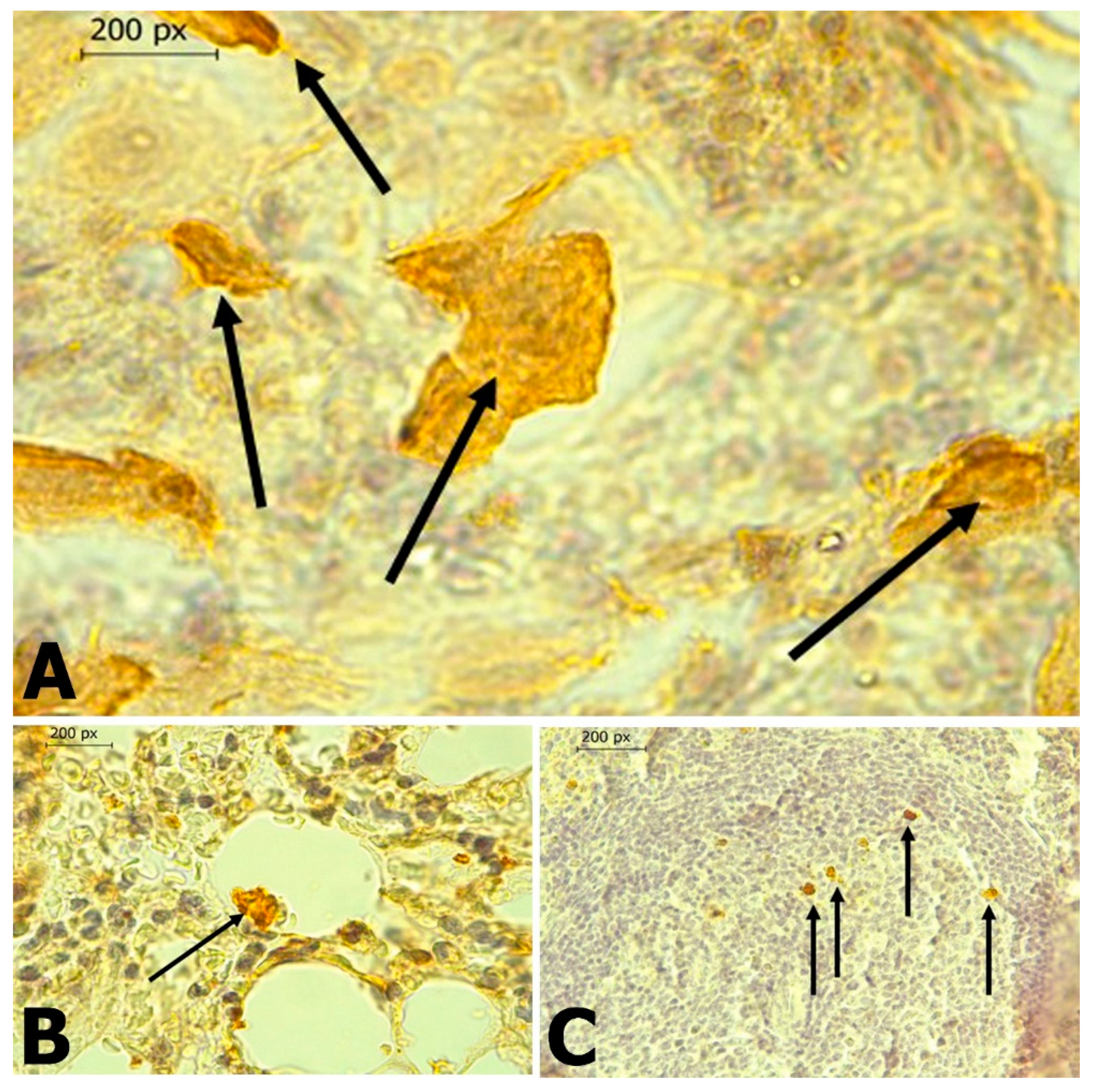
2.5. Immunohistochemistry
3. Results
4. Discussion
5. Conclusions
Author Contributions
Funding
Institutional Review Board Statement
Informed Consent Statement
Data Availability Statement
Acknowledgments
Conflicts of Interest
References
- Ciota, A.T.; Keyel, A.C. The role of temperature in transmission of zoonotic arboviruses. Viruses 2019, 11, 1013. [Google Scholar] [CrossRef]
- Pan American Health Organization. Information Platform for the Americas; Pan American Health Organization, Ed.; PAHO: Washington, DC, USA, 2020; Available online: https://www.paho.org/hq/index.php?option=com_docman&view=download&category_slug=dengue-2158&alias=51692-7-de-febrero-de-2020-dengue-actualizacion-epidemiologica-1&Itemid=270&lang=es (accessed on 18 January 2020).
- National Institute of Health (Colombia). Dengue Periodo Epidemiológico IX Colombia 2020; Ministerio de Salud, Ed.; National Institute of Health: Bogota, Colombia, 2020. Available online: https://doi.org/10.33610/23576189.2020.02 (accessed on 18 January 2020).
- Jones, K.E.; Patel, N.G.; Levy, M.A.; Storeygard, A.; Balk, D.; Gittleman, J.L.; Daszak, P. Global trends in emerging infectious diseases. Nature 2008, 451, 990–993. [Google Scholar] [CrossRef]
- Woolhouse, M.E.J.; Gowtage, S.S. Host range and emerging and reemerging pathogens. Emerg. Infect. Dis. 2005, 11, 1842–1847. [Google Scholar] [CrossRef]
- Simmonds, P.; Becher, P.; Bukh, J.; Gould, E.A.; Meyers, G.; Monath, T.; Muerhoff, S.; Pletnev, A.; Rico-Hesse, R.; Smith, D.B.; et al. ICTV virus taxonomy profile: Flaviviridae. J. Gen. Virol. 2017, 98, 2–3. [Google Scholar] [CrossRef] [PubMed]
- Feitoza, H.A.C.; Koifman, S.; Koifman, R.J.; Saraceni, V. Dengue infection during pregnancy and adverse maternal, fetal, and infant health outcomes in Rio Branco, Acre State, Brazil, 2007–2012. Cad. Saude Pública 2017, 33, e00178915. [Google Scholar] [CrossRef]
- Mattar, S.; Tique, V.; Miranda, J.; Montes, E.; Garzon, D. Undifferentiated tropical febrile illness in Cordoba, Colombia: Not everything is dengue. J. Infect. Public Health 2017, 10, 507–512. [Google Scholar] [CrossRef]
- Gutiérrez, R.L.; Quintero, G.D.C.; Martínez, G.M. Actualización en diagnóstico del dengue: Evolución de las técnicas y su aplicación real en la clínica. Med. Lab. 2012, 18, 411–441. [Google Scholar]
- Bhatnagar, J.; Paddock, C.D.; Shieh, W.-J.; Blau, D.M.; Liu, L.; Patel, M.; Drew, C.; Jones, T.; Zaki, S.R. Molecular detection and typing of dengue viruses from archived tissues of fatal cases by RT-PCR and sequencing: Diagnostic and epidemiologic implications. Am. J. Trop. Med. Hyg. 2012, 86, 335–340. [Google Scholar] [CrossRef] [PubMed]
- Ospina, M.C. Dengue: Diagnóstico por el laboratorio. Infectio 2004, 8, 225–230. [Google Scholar]
- Jones, G.; Jacobs, D.S.; Kunz, T.H.; Willig, M.R.; Racey, P.A. Carpe noctem: The importance of bats as bioindicators. Endanger. Species Res. 2009, 8, 93–115. [Google Scholar] [CrossRef]
- Sánchez-Casas, N.; Álvarez, T. Palinofagia de los murciélagos del género Glossophaga (Mammalia: Chiroptera) en Mexico. Acta Zool. Mex. 2000, 81, 23–62. [Google Scholar]
- Calderon, A.; Guzmán, C.; Salazar-Bravo, J.; Figueiredo, L.T.; Mattar, S. Viral zoonoses that fly with bats: A review. MANTER J. Parasite Biodivers. 2016, 6. [Google Scholar] [CrossRef]
- Banerjee, A.; Baker, M.L.; Kulcsar, K.; Misra, V.; Plowright, R.; Mossman, K. Novel insights into immune systems of bats. Front. Immunol. 2020, 11, 26. [Google Scholar] [CrossRef] [PubMed]
- O’Shea, T.J.; Cryan, P.M.; Cunningham, A.A.; Fooks, A.R.; Hayman, D.T.S.; Luis, A.D.; Peel, A.J.; Plowright, R.K.; Wood, J.L. Bat flight and zoonotic viruses. Emerg. Infect. Dis. 2014, 20, 741–745. [Google Scholar] [CrossRef]
- Mattar, S.; González, M. The amazing bats: Friends, enemies or allies? Rev. MVZ Cordoba 2016, 22, 6177–6179. [Google Scholar]
- Alvis, G.N.; Rodríguez, B.H.; Mattar, S. Dengue in an area of the Colombian Caribbean, 2003–2010. Colomb. Médica 2015, 46, 3–7. [Google Scholar]
- Linares, O.J. Mamíferos de Venezuela; Sociedad Conservacionista Audubon de Venezuela: Caracas, Venezuela, 1998. [Google Scholar]
- Sanchez-Seco, M.P.; Rosario, D.; Domingo, C.; Hernández, L.; Valdés, K.; Guzmán, M.; Tenorio, A. Generic RT-nested-PCR for detection of flaviviruses using degenerated primers and internal control followed by sequencing for specific identification. J. Virol. Methods 2005, 126, 101–109. [Google Scholar] [CrossRef]
- Ramírez, N.N.; Alegre, E.A.; Ruiz, R.M.; De Biasio, M.B. Pathogenic leptospires in renal tissue of bats from Corrientes, Argentina. Rev. Vet. 2014, 25, 16–20. [Google Scholar]
- Kumar, S.; Stecher, G.; Li, M.; Knyaz, C.; Tamura, K. MEGA X: Molecular evolutionary genetics analysis across computing platforms. Mol. Biol. Evol. 2018, 35, 1547–1549. [Google Scholar] [CrossRef]
- Calderón, A.; Guzmán, C.; Mattar, S.; Rodriguez, V.; Martínez, C.; Violet, L.; Martínez, J.; Figueiredo, L.T.M. Dengue virus in bats from Córdoba and Sucre, Colombia. Vector-Borne Zoonotic Dis. 2019, 19, 747–751. [Google Scholar] [CrossRef]
- Platt, K.B.; Mangiafico, J.A.; Rocha, O.J.; Zaldivar, M.E.; Mora, J.; Trueba, G.; Rowley, W.A. Detection of dengue virus neutralizing antibodies in bats from Costa Rica and Ecuador. J. Med. Entomol. 2000, 37, 965–967. [Google Scholar] [CrossRef] [PubMed]
- Aguilar-Setién, Á.; Romero-Almaraz, M.L.; Sánchez-Hernández, C.; Figueroa, R.; Juárez-Palma, L.P.; García-Flores, M.M.; Vázquez-Salinas, C.; Salas-Rojas, M.; Hidalgo-Martínez, A.C.; Pierlé, S.A.; et al. Dengue virus in Mexican bats. Epidemiol. Infect. 2008, 136, 1678–1683. [Google Scholar] [CrossRef] [PubMed]
- Machain-Williams, C.; López-Uribe, M.; Talavera-Aguilar, L.; Carrillo-Navarrete, J.; Vera-Escalante, L.; Puerto-Manzano, F.; Ulloa, A.; Farfán-Ale, J.A.; Garcia-Rejon, J.E.; Blitvich, B.J.; et al. Serologic evidence of flavivirus infection in bats in the Yucatan Peninsula of Mexico. J. Wildl. Dis. 2013, 49, 684–689. [Google Scholar] [CrossRef]
- Sotomayor-Bonilla, J.; Chaves, A.; Rico-Chávez, O.; Rostal, M.K.; Ojeda-Flores, R.; Salas-Rojas, M.; Aguilar-Setien, A.; Ibáñez-Bernal, S.; Barbachano-Guerrero, A.; Gutiérrez-Espeleta, G. Dengue virus in bats from southeastern Mexico. Am. J. Trop. Med. Hyg. 2014, 91, 129–131. [Google Scholar] [CrossRef] [PubMed]
- Vicente-Santos, A.; Moreira-Soto, A.; Soto-Garita, C.; Chaverri, L.G.; Chaves, A.; Drexler, J.F.; Morales, J.A.; Alfaro-Alarcón, A.; Rodríguez-Herrera, B.; Corrales-Aguilar, E. Neotropical bats that co-habit with humans function as dead-end hosts for dengue virus. PLoS Negl. Trop. Dis. 2017, 11, e0005537. [Google Scholar] [CrossRef] [PubMed]
- Abundes-Gallegos, J.; Salas-Rojas, M.; Galvez-Romero, G.; Perea-Martínez, L.; Obregón-Morales, C.Y.; Morales-Malacara, J.B.; Chomel, B.B.; Stuckey, M.J.; Moreno-Sandoval, H.; García-Baltazar, A.; et al. Detection of dengue virus in bat flies (Diptera: Streblidae) of common vampire bats, Desmodus rotundus, in Progreso, Hidalgo, Mexico. Vector-Borne Zoonotic Dis. 2018, 18, 70–73. [Google Scholar] [CrossRef]
- Lavergne, A.; Lacoste, V.; Germain, A.; Séverine, M. Dengue virus infection in neotropical forest mammals: Incidental hosts or potential reservoirs? Incidental host or potencial reservoirs? Med. Trop. 2009, 69, 345–350. [Google Scholar]
- Amorim, J.H.; Bizerra, R.S.P.; Alves, R.P.D.S.; Sbrogio-Almeida, M.E.; Levi, J.E.; Capurro, M.L.; Ferreira, L.C.S. A genetic and pathologic study of a DENV2 clinical isolate capable of inducing encephalitis and hematological disturbances in immunocompetent mice. PLoS ONE 2012, 7, e44984. [Google Scholar] [CrossRef]
- Solomon, T.; Mallewa, M. Dengue and other emerging flaviviruses. J. Infect. 2001, 42, 104–115. [Google Scholar] [CrossRef]
- Saraya, A.W.; Mahavihakanont, A.; Shuangshoti, S.; Sittidetboripat, N.; Deesudchit, T.; Callahan, M.; Wacharapluesadee, S.; Wilde, H.; Hemachudha, T. Autoimmune causes of encephalitis syndrome in Thailand: Prospective study of 103 patients. BMC Neurol. 2013, 13, 150. [Google Scholar] [CrossRef]
- Póvoa, T.F.; Alves, A.M.B.; Oliveira, C.A.B.; Nuovo, G.J.; Chagas, V.L.A.; Paes, M.V. The pathology of severe dengue in multiple organs of human fatal cases: Histopathology, ultrastructure and virus replication. PLoS ONE 2014, 9, e83386. [Google Scholar] [CrossRef]
- Rodrigues, R.S.; Brum, A.L.G.; Paes, M.V.; Póvoa, T.F.; Basilio-De-Oliveira, C.A.; Marchiori, E.; Borghi, D.P.; Ramos, G.V.; Bozza, F.A. Lung in dengue: Computed tomography findings. PLoS ONE 2014, 9, e96313. [Google Scholar] [CrossRef]
- Basílio-De-Oliveira, C.; Aguiar, G.; Baldanza, M.; Barth, O.M.; Eyer-Silva, W.; Paes, M. Pathologic study of a fatal case of dengue-3 virus infection in Rio de Janeiro, Brazil. Braz. J. Infect. Dis. 2005, 9, 341–347. [Google Scholar] [CrossRef]
- Kularatne, S.; Imbulpitiya, I.V.B.; Abeysekera, R.A.; Waduge, R.; Rajapakse, R.P.V.J.; Weerakoon, K.G. Extensive haemorrhagic necrosis of liver is an unpredictable fatal complication in dengue infection: A postmortem study. BMC Infect. Dis. 2014, 14, 141. [Google Scholar] [CrossRef] [PubMed]
- Gonçalves, D.; Prado, R.D.Q.; Xavier, E.A.; De Oliveira, N.C.; Guedes, P.M.D.M.; Da Silva, J.S.; Figueiredo, L.T.M.; Aquino, V.H. Imunocompetent mice model for dengue virus infection. Sci. World J. 2012, 2012, 525947. [Google Scholar] [CrossRef] [PubMed]
- Kuruvilla, J.G.; Troyer, R.M.; Devi, S.; Akkina, R. Dengue virus infection and immune response in humanized RAG2(−/−) gamma(c)(−/−) (RAG-hu) mice. Virology 2017, 369, 143–152. [Google Scholar] [CrossRef]
- An, J.; Zhou, D.; Kawasaki, K.; Yasui, K. The pathogenesis of spinal cord involvement in dengue virus infection. Virchows Arch. 2003, 442, 472–481. [Google Scholar] [CrossRef]
- Desprès, P.; Flamand, M.; Ceccaldi, P.E.; Deubel, V. Human isolates of dengue type 1 virus induce apoptosis in mouse neuro-blastoma cells. J. Virol. 1996, 70, 4090–4096. [Google Scholar] [CrossRef]
- Samanta, J.; Sharma, V. Dengue and its effects on liver. World J. Clin. Cases 2015, 3, 125–131. [Google Scholar] [CrossRef]
- Huerre, M.R.; Lan, N.T.; Marianneau, P.; Hue, N.B.; Khun, H.; Hung, N.T.; Khen, N.T.; Drouet, M.T.; Huong, V.T.; Ha, D.Q.; et al. Liver histopathology and biological correlates in five cases of fatal dengue fever in Vietnamese children. Virchows Arch. 2001, 438, 107–115. [Google Scholar]
- Lin, C.-F.; Wan, S.-W.; Chen, M.-C.; Lin, S.-C.; Cheng, C.-C.; Chiu, S.-C.; Hsiao, Y.-L.; Lei, H.-Y.; Liu, H.-S.; Yeh, T.-M.; et al. Liver injury caused by antibodies against dengue virus nonstructural protein 1 in a murine model. Lab. Investig. 2008, 88, 1079–1089. [Google Scholar] [CrossRef]
- Seneviratne, S.L.; Malavige, G.; De Silva, H. Pathogenesis of liver involvement during dengue viral infections. Trans. R. Soc. Trop. Med. Hyg. 2006, 100, 608–614. [Google Scholar] [CrossRef]
- Lee, Y.-R.; Lei, H.-Y.; Liu, M.-T.; Wang, J.-R.; Chen, S.-H.; Jiang-Shieh, Y.-F.; Lin, Y.-S.; Yeh, T.-M.; Liu, C.-C.; Liu, H.-S. Autophagic machinery activated by dengue virus enhances virus replication. Virology 2008, 374, 240–248. [Google Scholar] [CrossRef]
- Fernando, S.; Wijewickrama, A.; Gomes, L.; Punchihewa, C.T.; Madusanka, S.D.P.; Dissanayake, H.; Jeewandara, C.; Peiris, H.; Ogg, G.S.; Malavige, G.N. Patterns and causes of liver involvement in acute dengue infection. BMC Infect. Dis. 2016, 16, 319. [Google Scholar] [CrossRef]
- Perera-Lecoin, M.; Meertens, L.; Carnec, X.; Amara, A. Flavivirus entry receptors: An update. Viruses 2013, 6, 69–88. [Google Scholar] [CrossRef]
- Couvelard, A.; Marianneau, P.; Bedel, C.; Drouet, M.-T.; Vachon, F.; Hénin, D.; Deubel, V. Report of a fatal case of dengue infection with hepatitis: Demonstration of dengue antigens in hepatocytes and liver apoptosis. Hum. Pathol. 1999, 30, 1106–1110. [Google Scholar] [CrossRef]
- Jessie, K.; Fong, M.Y.; Devi, S.; Lam, S.K.; Wong, K.T. Localization of Dengue virus in naturally infected human tissues, by immunohistochemistry and in situ hybridization. J. Infect. Dis. 2004, 189, 1411–1418. [Google Scholar] [CrossRef]
- Rathi, K.; Arora, M.; Sahai, K.; Tripathi, S.; Singh, S.; Raman, D.; Anand, K. Autopsy findings in fatal dengue haemorrhagic fever—06 Cases. Med. J. Armed Forces India 2013, 69, 254–259. [Google Scholar] [CrossRef] [PubMed]
- Boonpucknavig, V.; Bhamarapravati, N.; Boonpucknavig, S.; Futrakul, P.; Tanpaichitr, P. Glomerular changes in dengue hemorrhagic fever. Arch. Pathol. Lab. Med. 1976, 100, 206–212. [Google Scholar] [PubMed]
- De Brito, T.; Siqueira, S.A.C.; Santos, R.T.M.; Nassar, E.S.; Coimbra, T.L.; Alves, V.A. Human fatal yellow fever. Immuno-histochemical detection of viral antigen in the liver, kidney and heart. Pathol. Res. Pract. 1992, 188, 177–181. [Google Scholar] [CrossRef]
- Halstead, S.B.; Shotwell, H.; Casals, J. Studies on the pathogenesis of dengue infection in monkeys. II. Clinical laboratory responses to heterologous infection. J. Infect. Dis. 1973, 128, 15–22. [Google Scholar] [CrossRef]
- Yauch, L.E.; Shresta, S. Mouse models of dengue virus infection and disease. Antivir. Res. 2008, 80, 87–93. [Google Scholar] [CrossRef]
- De Figueiredo, M.L.; de Gomes, C.A.; Amarilla, A.A.; de Souza, A.L. Mosquitoes infected with dengue viruses in Brazil. Virol. J. 2010, 7, 152. [Google Scholar] [CrossRef]
- Jaramillo, M.; Peña, J.; Berrocal, L.; Komar, N.; González, M.; Ponce, C.; Ariza, K.; Máttar, S. Sentinel suveillance for West Nile Virus in culicides and domestic birds in Cordoba. Rev. MVZ Cordoba 2005, 10, 633–638. [Google Scholar]
- Parra-Henao, G.; Suárez, L. Vectores potenciales de arbovirus en la región de Urabá, noroccidente de Colombia. Biomédica 2012, 32, 252–262. [Google Scholar] [CrossRef]
- Hoyos-López, R.; Sauza-Vasco, J.; Ruá-Uribe, G.; Uribe, S.; Gallego-Gómez, J.C. Molecular detection of flaviviruses and alpha-viruses in mosquitoes (Diptera: Culicidae) from coastal ecosystems in the Colombian Caribbean. Mem. Inst. Oswaldo Cruz 2016, 111, 625–634. [Google Scholar] [CrossRef] [PubMed]
- Perea-Martínez, L.; Moreno-Sandoval, H.; Moreno-Altamirano, M.; Salas-Rojas, M.; García-Flores, M.; Aréchiga-Ceballos, N.; Tordo, N.; Marianneau, P.; Aguilar-Setién, A. Experimental infection of Artibeus intermedius bats with serotype-2 dengue virus. Comp. Immunol. Microbiol. Infect. Dis. 2013, 36, 193–198. [Google Scholar] [CrossRef] [PubMed]
- Shah, K.V.; Daniel, R.W. Attempts at experimental infection of the Indian fruit-bat Pteropus giganteus with chikungunya and dengue 2 viruses and antibody survey of bat sera for some viruses. Indian J. Med. Res. 1966, 54, 714–722. [Google Scholar]
- Reagan, R.L.; Brueckner, A.L. Studies of Dengue fever virus in the cave bat (Myotus lucifugus). J. Infect. Dis. 1952, 91, 145–146. [Google Scholar] [CrossRef] [PubMed]
- Cabrera-Romo, S.; Recio-Totoro, B.; Alcala, A.C.; Lanz, H.; del Angel, R.M.; Sanchez-Cordero, V.; Rodriguez-Moreno, A.; Ludert, J.E. Experimental inoculation of Artibeus jamaicensis bats with dengue virus serotypes 1 or 4 showed no evidence of sustained replication. Am. J. Trop. Med. Hyg. 2014, 91, 1227–1234. [Google Scholar] [CrossRef]
- Kading, R.C.; Kityo, R.M.; Mossel, E.C.; Borland, E.M.; Nakayiki, T.; Nalikka, B.; Nyakarahuka, L.; Ledermann, J.P.; Panella, N.A.; Gilbert, A.T.; et al. Neutralizing antibodies against flaviviruses, Babanki virus, and Rift Valley fever virus in Ugandan bats. Infect. Ecol. Epidemiol. 2018, 8, 1439215. [Google Scholar] [CrossRef] [PubMed]
- Fagre, A.C.; Kading, R.C. Can bats serve as reservoirs for arboviruses? Viruses 2019, 11, 215. [Google Scholar] [CrossRef] [PubMed]







| Food Source | Captured Species | No | Food Source | Captured Species | No |
|---|---|---|---|---|---|
| Insectivorous | Phyllostomus discolor | 42 | Frugivorous | Artibeus planirostris | 99 |
| Molossus molossus | 14 | Carollia perspicillata | 38 | ||
| Saccopteryx bilineata | 4 | Artibeus lituratus | 30 | ||
| Eptesicus brasiliensis | 1 | Sturnira lilium | 20 | ||
| Rhogeessa yo | 2 | Carollia brevicauda | 1 | ||
| Eumops glaucinus | 1 | Carollia castanea | 1 | ||
| Lasiurus ega | 1 | Uroderma bilobatum | 11 | ||
| Micronycteris microtis | 1 | Piscivorous | Noctilio albiventris | 3 | |
| Myotis nigricans | 1 | Noctilio leporinus | 3 | ||
| Saccopteryx leptura | 1 | Nectarivorous | Glossophaga soricina | 6 | |
| Molosops temminckii | 1 | Hematophagous | Desmodus rotundus | 4 | |
| Omnivorous | Trachops cirrhosus | 1 | |||
| Subtotal | 70 | 216 | |||
| Total | 286 | ||||
Publisher’s Note: MDPI stays neutral with regard to jurisdictional claims in published maps and institutional affiliations. |
© 2021 by the authors. Licensee MDPI, Basel, Switzerland. This article is an open access article distributed under the terms and conditions of the Creative Commons Attribution (CC BY) license (http://creativecommons.org/licenses/by/4.0/).
Share and Cite
Calderón, A.; Guzmán, C.; Oviedo-Socarras, T.; Mattar, S.; Rodríguez, V.; Castañeda, V.; Moraes Figueiredo, L.T. Two Cases of Natural Infection of Dengue-2 Virus in Bats in the Colombian Caribbean. Trop. Med. Infect. Dis. 2021, 6, 35. https://doi.org/10.3390/tropicalmed6010035
Calderón A, Guzmán C, Oviedo-Socarras T, Mattar S, Rodríguez V, Castañeda V, Moraes Figueiredo LT. Two Cases of Natural Infection of Dengue-2 Virus in Bats in the Colombian Caribbean. Tropical Medicine and Infectious Disease. 2021; 6(1):35. https://doi.org/10.3390/tropicalmed6010035
Chicago/Turabian StyleCalderón, Alfonso, Camilo Guzmán, Teresa Oviedo-Socarras, Salim Mattar, Virginia Rodríguez, Víctor Castañeda, and Luiz Tadeu Moraes Figueiredo. 2021. "Two Cases of Natural Infection of Dengue-2 Virus in Bats in the Colombian Caribbean" Tropical Medicine and Infectious Disease 6, no. 1: 35. https://doi.org/10.3390/tropicalmed6010035
APA StyleCalderón, A., Guzmán, C., Oviedo-Socarras, T., Mattar, S., Rodríguez, V., Castañeda, V., & Moraes Figueiredo, L. T. (2021). Two Cases of Natural Infection of Dengue-2 Virus in Bats in the Colombian Caribbean. Tropical Medicine and Infectious Disease, 6(1), 35. https://doi.org/10.3390/tropicalmed6010035

