Does Trunk Self-Elongation Instruction Lead to Changes in Effective Trunk Height and Spino-Pelvic Parameters? A Radiographic Analysis
Abstract
1. Introduction
2. Materials and Methods
2.1. Participants
2.2. Procedures
2.3. Data Processing and Analyses
2.4. Statistical Analyses
2.5. Use of Generative AI Tools
3. Results
4. Discussion
Limitation
5. Conclusions
Author Contributions
Funding
Institutional Review Board Statement
Informed Consent Statement
Data Availability Statement
Acknowledgments
Conflicts of Interest
References
- Dupuis, S.; Fortin, C.; Caouette, C.; Leclair, I.; Aubin, C.-É. Global postural re-education in pediatric idiopathic scoliosis: A biomechanical modeling and analysis of curve reduction during active and assisted self-correction. BMC Musculoskelet. Disord. 2018, 19, 200. [Google Scholar] [CrossRef] [PubMed]
- Piątek, E.; Kuczyński, M.; Ostrowska, B. Postural control in girls with adolescent idiopathic scoliosis while wearing a Chêneau brace or performing active self-correction: A pilot study. PeerJ 2019, 7, e7513. [Google Scholar] [CrossRef] [PubMed]
- Piątek, E.; Kuczyński, M.; Ostrowska, B. The Effects of Active Self-correction on Postural Control in Girls with Adolescent Idiopathic Scoliosis: The Role of an Additional Mental Task. Int. J. Environ. Res. Public Health 2020, 17, 1640. [Google Scholar] [CrossRef] [PubMed]
- Paolucci, T.; Bernetti, A.; Sbardella, S.; La Russa, C.; Murgia, M.; Salomè, A.; Villani, C.; Altieri, M.; Santilli, V.; Paoloni, M.; et al. Straighten your back! Self-correction posture and postural balance in «non rehabilitative instructed» multiple sclerosis patients. NeuroRehabilitation 2020, 46, 333–341. [Google Scholar] [CrossRef]
- Gandolfi, M.; Tinazzi, M.; Magrinelli, F.; Busselli, G.; Dimitrova, E.; Polo, N.; Manganotti, P.; Fasano, A.; Smania, N.; Geroin, C. Four-week trunk-specific exercise program decreases forward trunk flexion in Parkinson’s disease: A single-blinded, randomized controlled trial. Park. Relat. Disord. 2019, 64, 268–274. [Google Scholar] [CrossRef]
- Barczyk-Pawelec, K.; Sipko, T. Active self-correction of spinal posture in pain-free women in response to the command “straighten your back”. Women Health 2017, 57, 1098–1114. [Google Scholar] [CrossRef]
- Czaprowski, D.; Pawłowska, P.; Stoliński, Ł.; Kotwicki, T. Active self-correction of back posture in children instructed with ‘straighten your back’ command. Man. Ther. 2014, 19, 392–398. [Google Scholar] [CrossRef]
- Czaprowski, D.; Pawłowska, P.; Kolwicz-Gańko, A.; Sitarski, D.; Kędra, A. The Influence of the “Straighten Your Back” Command on the Sagittal Spinal Curvatures in Children with Generalized Joint Hypermobility. BioMed Res. Int. 2017, 2017, 9724021. [Google Scholar] [CrossRef]
- Le Huec, J.C.; Thompson, W.; Mohsinaly, Y.; Barrey, C.; Faundez, A. Sagittal balance of the spine. Eur. Spine J. 2019, 28, 1889–1905. [Google Scholar] [CrossRef]
- Roussouly, P.; Gollogly, S.; Berthonnaud, E.; Dimnet, J. Classification of the Normal Variation in the Sagittal Alignment of the Human Lumbar Spine and Pelvis in the Standing Position. Spine 2005, 30, 346–353. [Google Scholar] [CrossRef]
- Legaye, J.; Duval-Beaupère, G.; Marty, C.; Hecquet, J. Pelvic incidence: A fundamental pelvic parameter for three-dimensional regulation of spinal sagittal curves. Eur. Spine J. 1998, 7, 99–103. [Google Scholar] [CrossRef]
- Zmyślna, A.; Kiebzak, W.; Żurawski, A.; Pogorzelska, J.; Kotela, I.; Kowalski, T.; Śliwiński, Z.; Śliwiński, G. Effect of physiotherapy on spinal alignment in children with postural defects. Int. J. Occup. Med. Environ. Health 2019, 32, 25–32. [Google Scholar] [CrossRef]
- D’Amico, M.; Kinel, E.; D’Amico, G.; Roncoletta, P. A 3D Spine and Full Skeleton Model for Opto-Electronic Stereo-Photogrammetric Multi-Sensor Biomechanical Analysis in Posture and Gait. In Innovations in Spinal Deformities and Postural Disorders; Bettany-Saltikov, J., Schreiber, S., Eds.; InTechOpen: London, UK, 2017; Chapter 2. [Google Scholar] [CrossRef]
- Kinel, E.; D’Amico, M.; Roncoletta, P. 3D Quantitative Evaluation of Posture and Spine Proprioceptive Perception Through Instinctive Self-Correction Maneuver in Adolescent Idiopathic Scoliosis. Front. Bioeng. Biotechnol. 2021, 9, 663394. [Google Scholar] [CrossRef]
- Senthil, P.; Sudhakar, S.; Radhakrishnan, R.; Jeyakumar, S. Efficacy of corrective exercise strategy in subjects with hyperkyphosis. J. Back Musculoskelet. Rehabil. 2017, 30, 1285–1289. [Google Scholar] [CrossRef]
- Dubousset, J.; Charpak, G.; Dorion, I.; Skalli, W.; Lavaste, F.; Deguise, J.; Kalifa, G.; Ferey, S. A new 2D and 3D imaging approach to musculoskeletal physiology and pathology with low-dose radiation and the standing position: The EOS system. Bull. L’acad. Natl. Med. 2005, 189, 287–297. [Google Scholar]
- Mitton, D.; Deschênes, S.; Laporte, S.; Godbout, B.; Bertrand, S.; de Guise, J.A.; Skalli, W. 3D reconstruction of the pelvis from bi-planar radiography. Comput. Methods Biomech. Biomed. Eng. 2006, 9, 1–5. [Google Scholar] [CrossRef]
- Humbert, L.; Carlioz, H.; Baudoin, A.; Skalli, W.; Mitton, D. 3D Evaluation of the acetabular coverage assessed by biplanar X-rays or single anteroposterior X-ray compared with CT-scan. Comput. Methods Biomech. Biomed. Eng. 2008, 11, 257–262. [Google Scholar] [CrossRef]
- Humbert, L.; De Guise, J.A.; Aubert, B.; Godbout, B.; Skalli, W. 3D reconstruction of the spine from biplanar X-rays using parametric models based on transversal and longitudinal inferences. Med. Eng. Phys. 2009, 31, 681–687. [Google Scholar] [CrossRef]
- Bittersohl, B.; Freitas, J.; Zaps, D.; Schmitz, M.R.; Bomar, J.D.; Muhamad, A.R.; Hosalkar, H.S. EOS imaging of the human pelvis: Reliability, validity, and controlled comparison with radiography. J. Bone Jt. Surg. 2013, 95, e58. [Google Scholar] [CrossRef]
- Ghostine, B.; Sauret, C.; Assi, A.; Bakouny, Z.; Khalil, N.; Skalli, W.; Ghanem, I. Influence of patient axial malpositioning on the trueness and precision of pelvic parameters obtained from 3D reconstructions based on biplanar radiographs. Eur. Radiol. 2017, 27, 1295–1302. [Google Scholar] [CrossRef][Green Version]
- Vialle, R.; Levassor, N.; Rillardon, L.; Templier, A.; Skalli, W.; Guigui, P. Radiographic Analysis of the Sagittal Alignment and Balance of the Spine in Asymptomatic Subjects. J. Bone Jt. Surg. Am. 2005, 87, 260–267. [Google Scholar] [CrossRef] [PubMed]
- Leardini, A.; Chiari, L.; Della Croce, U.; Cappozzo, A. Human movement analysis using stereophotogrammetry. Part 3. Soft tissue artifact assessment and compensation. Gait Posture 2005, 21, 212–225. [Google Scholar] [CrossRef] [PubMed]
- Czaprowski, D.; Pawłowska, P.; Gębicka, A.; Sitarski, D.; Kotwicki, T. Intra- and interobserver repeatability of the assessment of anteroposterior curvatures of the spine using Saunders digital inclinometer. Ortop. Traumatol. Rehabil. 2012, 14, 145–153. [Google Scholar] [CrossRef] [PubMed]
- D’Amico, M.; Kinel, E.; Roncoletta, P. 3D quantitative evaluation of spine proprioceptive perception/motor control through instinctive self-correction maneuver in healthy young subjects’ posture: An observational study. Eur. J. Phys. Rehabil. Med. 2018, 54, 428–439. [Google Scholar] [CrossRef] [PubMed]
- Rajabi, R.; Doherty, P.; Goodarzi, M.; Hemayattalab, R. Comparison of thoracic kyphosis in two groups of elite Greco-Roman and freestyle wrestlers and a group of non-athletic participants. Br. J. Sports Med. 2008, 42, 229–232. [Google Scholar] [CrossRef]
- Grabara, M. A comparison of the posture between young female handball players and non-training peers. J. Back Musculoskelet. Rehabil. 2014, 27, 85–92. [Google Scholar] [CrossRef]
- Sainz de Baranda, P.; Cejudo, A.; Moreno-Alcaraz, V.J.; Martinez-Romero, M.T.; Aparicio-Sarmiento, A.; Santonja-Medina, F. Sagittal spinal morphotype assessment in 8 to 15 years old Inline Hockey players. PeerJ 2020, 8, e8229. [Google Scholar] [CrossRef]
- Antequera-Vique, J.A.; Oliva-Lozano, J.M.; Muyor, J.M. Effects of cycling on the morphology and spinal posture in professional and recreational cyclists: A systematic review. Sports Biomech. 2022, 22, 567–596. [Google Scholar] [CrossRef]
- In, T.; Jung, J.; Jung, K.; Cho, H. Spinal and Pelvic Alignment of Sitting Posture Associated with Smartphone Use in Adolescents with Low Back Pain. Int. J. Environ. Res. Public Health 2021, 18, 8369. [Google Scholar] [CrossRef]
- Owen, P.J.; Miller, C.T.; Mundell, N.L.; Verswijveren, S.J.J.M.; Tagliaferri, S.D.; Brisby, H.; Bowe, S.J.; Belavy, D.L. Which specific modes of exercise training are most effective for treating low back pain? Network meta-analysis. Br. J. Sports Med. 2020, 54, 1279–1287. [Google Scholar] [CrossRef]


| Characteristics | Non-Athlete | Gymnast |
|---|---|---|
| Age (years) | 32.1 ± 13.8 | 14.5 ± 2.4 |
| Weight (kg) | 67.0 ± 16.1 | 48.6 ± 12.3 |
| Height (m) | 1.65 ± 0.08 | 1.55 ± 0.09 |
| Parameters (Unit) | Abbreviation | Definition |
|---|---|---|
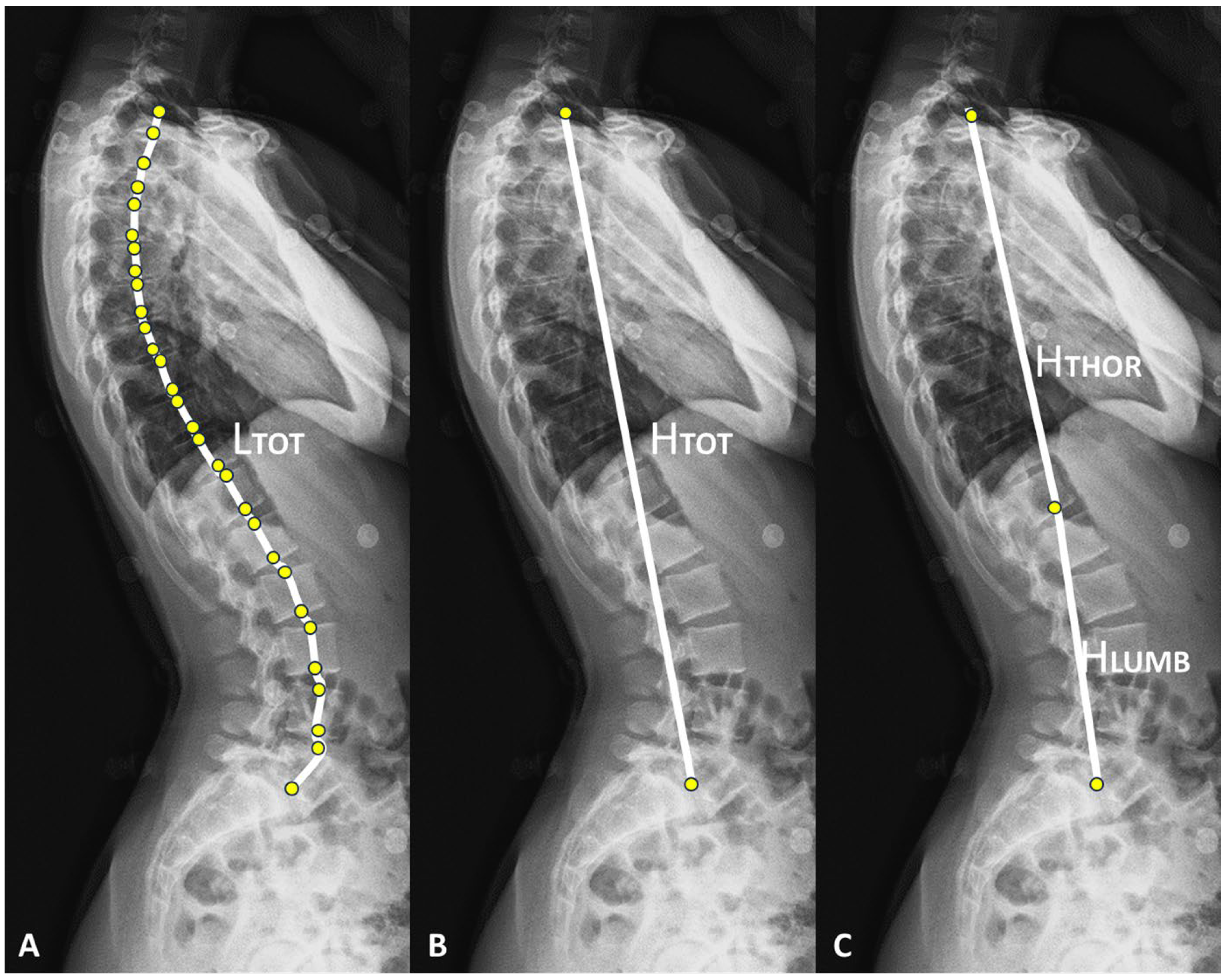
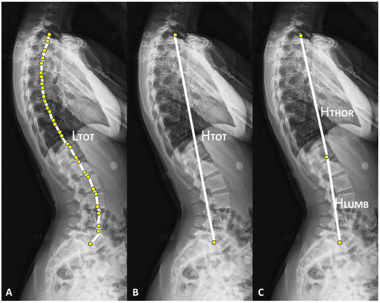
| Length of the thoracolumbar spine (mm) | LTOT | Length of the broken line crossing each center of vertebral endplates from the cranial endplate of the first thoracic vertebra (T1) to the caudal endplate of the fifth lumbar vertebra (L5). |
| Thoracolumbar spine height (mm) | HTOT | Distance between the centers of the cranial endplate of first thoracic vertebra (T1) and the caudal endplate of fifth lumbar vertebra (L5). |
| Thoracic spine height (mm) | HTHOR | Distance between the centers of the cranial endplate of the first thoracic vertebra (T1) and the caudal endplate of the twelfth thoracic vertebra (T12). |
| Lumbar spine height (mm) | HLUMB | Distance between the centers of the caudal endplate of twelfth thoracic vertebra (T12) and the caudal endplate of the fifth lumbar vertebra (L5). |
| Thoracic kyphosis (°) | TK | Angle between the cranial endplate of the first thoracic vertebra (T1) and the caudal endplate of the twelfth thoracic vertebra (T12). |
| T4-T12 thoracic kyphosis (°) | TK4-12 | Angle between the cranial endplate of fourth thoracic vertebra (T4) and the caudal endplate of the twelfth thoracic vertebra (T12). |
| Lumbar lordosis (°) | LL | Angle between the cranial endplate of the first lumbar vertebra (L1) and the caudal endplate of fifth lumbar vertebra (L5). |
| Pelvic incidence (°) | PI | Angle between the line connecting the sacral endplate midpoint to the hip axis and the perpendicular axis to the sacral plate crossing this point. |
| Sacral slope (°) | SS | Angle between the horizontal axis and the superior endplate of first sacral vertebra (S1), in the sagittal plane. |
| Pelvic tilt (°) | PT | Angle between the vertical and the axis crossing the sacral endplate midpoint to the hip axis, in the sagittal plane. |
| Parameters (Unit) | Non-Athletes | Gymnasts | ||||
|---|---|---|---|---|---|---|
| N | S | p | N | S | p | |
| LTOT (mm) | 458 ± 20 | - | - | 403 ± 33 | - | - |
| HTOT (mm) | 432 ± 16 | 439 ± 19 | <0.001 | 384 ± 32 | 390 ± 34 | <0.001 |
| HTHOR (mm) | 264 ± 13 | 270 ± 13 | <0.001 | 236 ± 19 | 241 ± 20 | <0.001 |
| HLUMB (mm) | 194 ± 9 | 195 ± 9 | 0.06 | 168 ± 17 | 171 ± 18 | <0.001 |
| TK (°) | 41 ± 11 | 31 ± 11 | <0.001 | 33 ± 10 | 16 ± 15 | <0.001 |
| TK4-12 (°) | 38 ± 9 | 30 ± 9 | 0.001 | 33 ± 9 | 20 ± 13 | <0.001 |
| LL (°) | −33 ± 13 | −28 ± 14 | 0.04 | −32 ± 10 | −25 ± 13 | <0.001 |
| PI (°) | 57 ± 11 | - | - | 52 ± 11 | - | - |
| SS (°) | −42 ± 10 | −42 ± 9 | 0.9 | −43 ± 9 | −39 ± 9 | 0.02 |
| PT (°) | 15 ± 6 | 15 ± 5 | 0.95 | 9 ± 3 | 11 ± 5 | 0.3 |
| Ratio | Non-Athlete | Gymnast |
|---|---|---|
| Ratio of thoracolumbar spine length variation (%) | 1.6 ± 0.7 | 1.7 ± 0.8 |
| Ratio of thoracic spine length variation (%) | 1.2 ± 0.6 | 1.1 ± 0.7 |
| Ratio of lumbar spine length variation (%) | 0.2 ± 0.3 | 0.6 ± 0.6 |
Disclaimer/Publisher’s Note: The statements, opinions and data contained in all publications are solely those of the individual author(s) and contributor(s) and not of MDPI and/or the editor(s). MDPI and/or the editor(s) disclaim responsibility for any injury to people or property resulting from any ideas, methods, instructions or products referred to in the content. |
© 2024 by the authors. Licensee MDPI, Basel, Switzerland. This article is an open access article distributed under the terms and conditions of the Creative Commons Attribution (CC BY) license (https://creativecommons.org/licenses/by/4.0/).
Share and Cite
Prum, G.; Eyssartier, C.; Bourgain, M.; Rouch, P.; Billard, P.; Thoreux, P.; Sauret, C. Does Trunk Self-Elongation Instruction Lead to Changes in Effective Trunk Height and Spino-Pelvic Parameters? A Radiographic Analysis. J. Funct. Morphol. Kinesiol. 2024, 9, 253. https://doi.org/10.3390/jfmk9040253
Prum G, Eyssartier C, Bourgain M, Rouch P, Billard P, Thoreux P, Sauret C. Does Trunk Self-Elongation Instruction Lead to Changes in Effective Trunk Height and Spino-Pelvic Parameters? A Radiographic Analysis. Journal of Functional Morphology and Kinesiology. 2024; 9(4):253. https://doi.org/10.3390/jfmk9040253
Chicago/Turabian StylePrum, Grégoire, Camille Eyssartier, Maxime Bourgain, Philippe Rouch, Pierre Billard, Patricia Thoreux, and Christophe Sauret. 2024. "Does Trunk Self-Elongation Instruction Lead to Changes in Effective Trunk Height and Spino-Pelvic Parameters? A Radiographic Analysis" Journal of Functional Morphology and Kinesiology 9, no. 4: 253. https://doi.org/10.3390/jfmk9040253
APA StylePrum, G., Eyssartier, C., Bourgain, M., Rouch, P., Billard, P., Thoreux, P., & Sauret, C. (2024). Does Trunk Self-Elongation Instruction Lead to Changes in Effective Trunk Height and Spino-Pelvic Parameters? A Radiographic Analysis. Journal of Functional Morphology and Kinesiology, 9(4), 253. https://doi.org/10.3390/jfmk9040253

