An Adult with Fever and Progressive Ulcerative Lesions: A Case of Malignant Syphilis
Abstract
1. Introduction
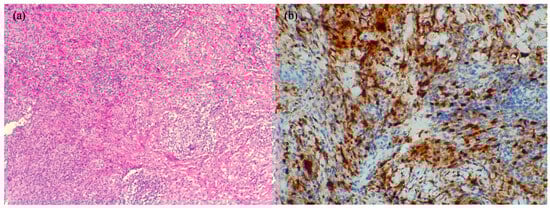
2. Case
3. Discussion
4. Conclusions
Author Contributions
Funding
Institutional Review Board Statement
Informed Consent Statement
Data Availability Statement
Conflicts of Interest
References
- Ghanem, K.G.; Ram, S.; Rice, P.A. The Modern Epidemic of Syphilis. N. Engl. J. Med. 2020, 382, 845–854. [Google Scholar] [CrossRef] [PubMed]
- Karanfilian, K.M.; Almohssen, A.A.; Kapila, R.; Schwartz, R.A. Malignant syphilis: A new and revised definition. Int. J. Dermatol. 2023, 62, 369–375. [Google Scholar] [CrossRef] [PubMed]
- Wibisono, O.; Idrus, I.; Djawad, K. Malignant Syphilis: A Systematic Review of the Case Reports Published in 2014–2018. Sífilis maligna: Revisión sistemática de los casos publicados entre los años 2014–2018. Actas Dermo-Sifiliogr. 2021, 112, 725–734. [Google Scholar] [CrossRef] [PubMed]
- Liu, M.J.; Lv, W. Malignant Syphilis. N. Engl. J. Med. 2023, 388, 1991. [Google Scholar] [CrossRef] [PubMed]
- Jimenez, D.; Rabe, M.S.; Agarwal, A.N.; Dalton, S.R.; Anstead, G.M. An Exuberant Case of Ulceronodular-Rupioid (Malignant) Syphilis in an HIV Patient: A Proposal for New Diagnostic Criteria. Infect. Dis. Rep. 2024, 16, 499–518. [Google Scholar] [CrossRef] [PubMed]
- Theel, E.S.; Katz, S.S.; Pillay, A. Molecular and Direct Detection Tests for Treponema pallidum Subspecies pallidum: A Review of the Literature, 1964–2017. Clin. Infect. Dis. 2020, 71 (Suppl. S1), S4–S12. [Google Scholar] [CrossRef] [PubMed]
- Clement, M.E.; Okeke, N.L.; Hicks, C.B. Fever and Rash in a Patient with Hepatitis. JAMA 2015, 314, 400–401. [Google Scholar] [CrossRef] [PubMed]
- Workowski, K.A.; Bachmann, L.H.; Chan, P.A.; Johnston, C.M.; Muzny, C.A.; Park, I.; Reno, H.; Zenilman, J.M.; Bolan, G.A. Sexually Transmitted Infections Treatment Guidelines, 2021. MMWR. Recomm. Rep. 2021, 70, 1–187. [Google Scholar] [CrossRef] [PubMed]
- Maxfield, L.; Crane, J.S. Leishmaniasis. In StatPearls; StatPearls Publishing: Treasure Island, FL, USA, 2023. [Google Scholar]
- de Vries, H.J.C.; Schallig, H.D. Cutaneous Leishmaniasis: A 2022 Updated Narrative Review into Diagnosis and Management Developments. Am. J. Clin. Dermatol. 2022, 23, 823–840. [Google Scholar] [CrossRef] [PubMed]
- Pipitò, L.; Catania, B.; Trizzino, M.; Rodolico, V.; Cascio, A. Fever with perinasal and tongue lesions: A diagnostic challenge. Travel Med. Infect. Dis. 2023, 53, 102566. [Google Scholar] [CrossRef] [PubMed]
- Karram, S.; Loya, A.; Hamam, H.; Habib, R.H.; Khalifeh, I. Transepidermal elimination in cutaneous leishmaniasis: A multiregional study. J. Cutan. Pathol. 2012, 39, 406–412. [Google Scholar] [CrossRef] [PubMed]
- Franco-Paredes, C.; Marcos, L.A.; Henao-Martínez, A.F.; Rodríguez-Morales, A.J.; Villamil-Gómez, W.E.; Gotuzzo, E.; Bonifaz, A. Cutaneous Mycobacterial Infections. Clin. Microbiol. Rev. 2018, 32, e00069-18. [Google Scholar] [CrossRef] [PubMed]
- Available online: https://www.eacsociety.org/media/guidelines-12.0.pdf (accessed on 8 November 2024).


Disclaimer/Publisher’s Note: The statements, opinions and data contained in all publications are solely those of the individual author(s) and contributor(s) and not of MDPI and/or the editor(s). MDPI and/or the editor(s) disclaim responsibility for any injury to people or property resulting from any ideas, methods, instructions or products referred to in the content. |
© 2025 by the authors. Licensee MDPI, Basel, Switzerland. This article is an open access article distributed under the terms and conditions of the Creative Commons Attribution (CC BY) license (https://creativecommons.org/licenses/by/4.0/).
Share and Cite
Pipitò, L.; D’Avenia, S.; Orlando, E.; Cascio, A. An Adult with Fever and Progressive Ulcerative Lesions: A Case of Malignant Syphilis. Sexes 2025, 6, 3. https://doi.org/10.3390/sexes6010003
Pipitò L, D’Avenia S, Orlando E, Cascio A. An Adult with Fever and Progressive Ulcerative Lesions: A Case of Malignant Syphilis. Sexes. 2025; 6(1):3. https://doi.org/10.3390/sexes6010003
Chicago/Turabian StylePipitò, Luca, Simona D’Avenia, Elisabetta Orlando, and Antonio Cascio. 2025. "An Adult with Fever and Progressive Ulcerative Lesions: A Case of Malignant Syphilis" Sexes 6, no. 1: 3. https://doi.org/10.3390/sexes6010003
APA StylePipitò, L., D’Avenia, S., Orlando, E., & Cascio, A. (2025). An Adult with Fever and Progressive Ulcerative Lesions: A Case of Malignant Syphilis. Sexes, 6(1), 3. https://doi.org/10.3390/sexes6010003

