Anatomical Evaluation of the Pterygomaxillary Complex Using Cone Beam Computed Tomography
Simple Summary
Abstract
1. Introduction
2. Materials and Methods
2.1. Imaging Protocol
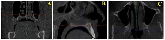
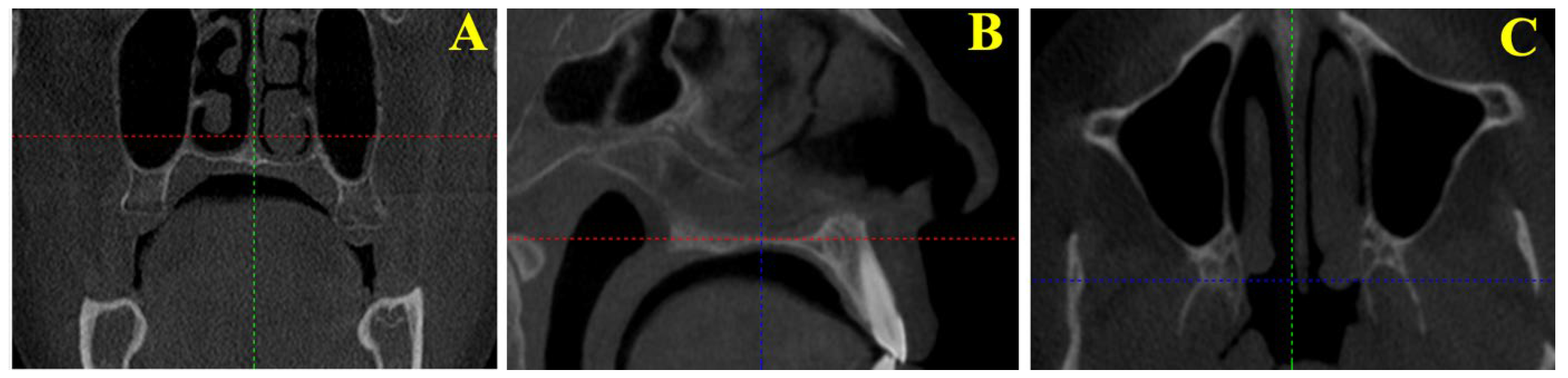
2.2. Standardization of Images
2.3. Measured Morphometric Parameters
2.4. Statistical Analysis
3. Results
3.1. Anterior Length Measurements
3.2. Posterior Length Measurements
3.3. Measurements of Pterygoid Process Width
3.4. Measurements of Lateral Pterygoid Lamina Length
3.5. Measurements of Medial Pterygoid Lamina Length
3.6. Measurements of Pterygoid Process Thickness
3.7. Measurements of Pterygomaxillary Region Thickness
3.8. Measurements of the Distance Between the Pterygomaxillary Fissure and the Greater Palatine Canal
3.9. Measurements of the Distance Between the Bilateral Greater Palatine Canals
3.10. Measurements of the Distance Between the Bilateral Medial Lamina Endpoints
4. Discussion
5. Conclusions
- The anterior length was significantly greater on the left side, indicating that this factor should be considered when planning the depth of the osteotomy.
- Increased pterygomaxillary region thickness in females may serve as a potential protective factor against lamina fractures; however, caution is warranted regarding osteotomy lines that may pass near the greater palatine foramen.
- The greater inter-canalis palatinus majus distance and medial lamina endpoint distance observed in males suggest a generally wider morphological configuration of the pterygomaxillary complex in this population.
- The age-related increase in lateral lamina length supports the possibility of functional remodeling of the pterygoid plate morphology over time.
Author Contributions
Funding
Institutional Review Board Statement
Informed Consent Statement
Data Availability Statement
Conflicts of Interest
Abbreviations
| CBCT | Cone Beam Computed Tomography |
| DICOM | Digital Imaging and Communications in Medicine |
| AL | Anterior Length |
| PL | Posterior Length |
| PPW | Pterygoid Process Width |
| PPT | Pterygoid Process Thickness |
| LLL | Lateral Lamina Length |
| MLL | Medial Lamina Length |
| PMT | Pterygomaxillary Thickness |
| DF-GPC | Distance between the Pterygomaxillary Fissure and the Greater Palatine Canal |
| DGPC | Distance Between Greater Palatine Canals |
| DML | Distance Between Medial Lamina Endpoints |
| ICC | Intraclass Correlation Coefficient |
References
- Hwang, J.Y.; Hwang, D.S.; Choi, B. Management of the pterygoid plate in orthognathic surgery: A narrative review. Maxillofac. Plast. Reconstr. Surg. 2025, 47, 30. [Google Scholar] [CrossRef] [PubMed]
- Bilge, S.; Kaba, Y.N.; Demirbas, A.E.; Kütük, N.; Kiliç, E.; Alkan, A. Evaluation of the Pterygomaxillary Separation Pattern in Le Fort I Osteotomy Using Different Cutting Instruments. J. Oral Maxillofac. Surg. 2020, 78, 1820–1831. [Google Scholar] [CrossRef] [PubMed]
- Kotaniemi, K.V.M.; Suojanen, J.; Palotie, T. Peri- and Postoperative Complications in Le Fort I Osteotomies. J. Craniomaxillofac. Surg. 2021, 49, 789–798. [Google Scholar] [CrossRef] [PubMed]
- Ueki, K.; Takayama, A.; Moroi, A.; Yoshizawa, K. Computed Tomography Assessment of Maxillary Sinus and Inferior Nasal Airway After Le Fort I Osteotomy. J. Craniofac. Surg. 2022, 33, 1835–1839. [Google Scholar] [CrossRef] [PubMed]
- Tomomatsu, N.; Nakamura, T.; Matsumoto, S.; Takahara, N.; Nakakuki, K.; Sasaki, Y.; Yoda, T. Factors affecting postoperative nasal morphology after Le Fort I osteotomy on multiple regression analysis. Sci. Rep. 2025, 15, 9708. [Google Scholar] [CrossRef] [PubMed]
- Gaspar, C.; Santos, R.B.; Rodrigues, M.; Zenha, H.; Costa, H. A new pattern of cranial nerve injuries caused by unfavorable fractures during Le Fort I osteotomy. J. Stomatol. Oral Maxillofac. Surg. 2022, 123, 140–144. [Google Scholar] [CrossRef] [PubMed]
- Ueki, K.; Hashiba, Y.; Marukawa, K.; Nakagawa, K.; Okabe, K.; Yamamoto, E. Determining the anatomy of the descending palatine artery and pterygoid plates with computed tomography in Class III patients. J. Craniomaxillofac. Surg. 2009, 37, 469–473. [Google Scholar] [CrossRef] [PubMed]
- Lee, S.H.; Mori, Y.; Minami, K.; Park, H.S.; Kwon, T.G. Evaluation of pterygomaxillary anatomy using computed tomography: Are there any structural variations in cleft patients? J. Oral Maxillofac. Surg. 2011, 69, 2644–2650. [Google Scholar] [CrossRef] [PubMed]
- Fujii, H.; Kuroyanagi, N.; Kanazawa, T.; Yamamoto, S.; Miyachi, H.; Shimozato, K. Three-dimensional finite element model to predict patterns of pterygomaxillary dysjunction during Le Fort I osteotomy. Int. J. Oral Maxillofac. Surg. 2017, 46, 564–571. [Google Scholar] [CrossRef] [PubMed]
- Odabaşı, O.; Erkmen, E.; Üçok, Ö.C.; Bakir, M.A.; Keriş, E.Y.; Şahin, O. Morphometric analysis of pterygomaxillary region by using cone beam computed tomography. J. Stomatol. Oral Maxillofac. Surg. 2021, 122, 273–277. [Google Scholar] [CrossRef] [PubMed]
- Limthanakul, I.; Chen, G.; Chuang, K.T.; Chou, P.Y.; Chen, Y.R. Correlations Between the Pterygomaxillary Junction and Appropriate Osteotome Placement Angles During Junction Separation in Le Fort I Osteotomy. J. Craniofac. Surg. 2025, 36, 1332–1336. [Google Scholar] [CrossRef] [PubMed]
- Joshi, R.J.; AlOtaibi, N.; Naudi, K.; Henderson, N.; Benington, P.; Ayoub, A. Pattern of pterygomaxillary disarticulation associated with Le Fort I maxillary osteotomy. Br. J. Oral Maxillofac. Surg. 2022, 60, 1411–1416. [Google Scholar] [CrossRef] [PubMed]
- Li, K.K.; Meara, J.G.; Alexander, A. Location of the descending palatine artery in relation to the Le Fort I osteotomy. J. Oral Maxillofac. Surg. 1996, 54, 822–825. [Google Scholar] [CrossRef] [PubMed]
- Kanazawa, T.; Kuroyanagi, N.; Miyachi, H.; Ochiai, S.; Kamiya, N.; Nagao, T.; Shimozato, K. Factors predictive of pterygoid process fractures after pterygomaxillary separation without using an osteotome in Le Fort I osteotomy. Oral Surg. Oral Med. Oral Pathol. Oral Radiol 2013, 115, 310–318. [Google Scholar] [CrossRef] [PubMed]
- Guerrero, M.E.; Beltran, J.; de Laat, A.; Jacobs, R. Can pterygoid plate asymmetry be linked to temporomandibular joint disorders? Imaging Sci. Dent. 2015, 45, 89–94. [Google Scholar] [CrossRef] [PubMed]
- Hwang, K.; Lee, D.K.; Chung, I.H.; Lee, S.I. Le Fort I osteotomy with sparing fracture of lateral pterygoid plate. J. Craniofac. Surg. 2001, 12, 48–52. [Google Scholar] [CrossRef] [PubMed]
- Dave, M.R.; Yagain, V.K.; Anadkat, S. A study of the anatomical variations in the position of the greater palatine foramen in adult human skulls and its clinical significance. Int. J. Morphol. 2013, 31, 578–583. [Google Scholar] [CrossRef]


| ABBREVİATİON | PARAMETER NAME | DEFİNİTİON |
|---|---|---|
| Anterior Length (AL) | Anterior Length Measurements | Distance from the descending palatine artery to the piriform rim |
| Posterior Length (PL) | Posterior Length Measurements | Distance from the posterior point of the greater palatine canal to the deepest concavity of the pterygomaxillary fissure |
| Pterygoid Process Width (PPW) | Measurements of Pterygoid Process Width | Minimum width of the pterygoid process along the pterygomaxillary fissure line |
| Lateral Lamina Length (LLL) | Measurements of Lateral Pterygoid Lamina Length | Distance from the deepest concavity of the pterygomaxillary fissure to the posterior-most point of the lateral lamina |
| Medial Lamina Length (MLL) | Measurements of Medial Pterygoid Lamina Length | Distance from the most medial point of the fissure to the posterior end of the medial lamina |
| Pterygoid Process Thickness (PPT) | Measurements of Pterygoid Process Thickness | Distance from the deepest point of the pterygoid fossa to the pterygomaxillary fissure |
| Pterygomaxillary Region Thickness (PMT) | Measurements of Pterygomaxillary Region Thickness | The minimum distance between the posterior wall of the maxillary sinüs and the deepest point of the pterygoid fossa |
| Distance Fissure to Greater Palatine Canal (DF–GPC) | Measurements of the Distance Between the Pterygomaxillary Fissure and the Greater Palatine Canal | Distance from the most concave point of the lateral portion of the pterygomaxillary fissure to the greater palatine canal |
| Distance Between Greater Palatine Canals (DGPC) | Measurements of the Distance Between the Bilateral Greater Palatine Canals | Distance between the most medial points of the right and left greater palatine canals |
| Distance Between Medial Lamina Endpoints (DML) | Measurements of the Distance Between the Bilateral Medial Lamina Endpoints | Distance between the medial lamina endpoints of the right and left pterygoid processes |
| PARAMETERS | SIDE | SEX | N | MEAN | STANDARD DEVIATION | η2 | p |
|---|---|---|---|---|---|---|---|
| AL | LEFT | FEMALE | 100 | 38.16 | 1.97 | 0.0037 | 0.391 c |
| MALE | 100 | 38.45 | 1.55 | ||||
| TOTAL | 200 | 38.31 | 1.78 | 0.0320 | <0.001 a | ||
| RIGHT | FEMALE | 100 | 37.57 | 2.11 | 0.002 | 0.529 a | |
| MALE | 100 | 37.73 | 1.50 | ||||
| TOTAL | 200 | 37.65 | 1.83 | 0.0320 | <0.001 a | ||
| PL | LEFT | FEMALE | 100 | 2.10 | 1.53 | 0.0003 | 0.814 c |
| MALE | 100 | 2.14 | 1.75 | ||||
| TOTAL | 200 | 2.12 | 1.64 | 0 | 0.903 c | ||
| RIGHT | FEMALE | 100 | 2.12 | 1.81 | 0 | 0.991 c | |
| MALE | 100 | 2.14 | 1.79 | ||||
| TOTAL | 200 | 2.13 | 1.79 | 0 | 0.903 c | ||
| PPW | LEFT | FEMALE | 100 | 7.54 | 2.25 | 0.0056 | 0.292 c |
| MALE | 100 | 7.85 | 2.30 | ||||
| TOTAL | 200 | 7.69 | 2.27 | 0.0049 | 0.162 c | ||
| RIGHT | FEMALE | 100 | 7.89 | 2.59 | 0.0035 | 0.403 c | |
| MALE | 100 | 8.21 | 2.54 | ||||
| TOTAL | 200 | 8.05 | 2.57 | 0.0049 | 0.162 c | ||
| LLL | LEFT | FEMALE | 100 | 12.37 | 4.88 | 0 | 0.972 c |
| MALE | 100 | 13.36 | 4.54 | ||||
| TOTAL | 200 | 12.36 | 4.70 | 0.0009 | 0.561 c | ||
| RIGHT | FEMALE | 100 | 12.14 | 4.48 | 0 | 0.901 c | |
| MALE | 100 | 12.14 | 4.43 | ||||
| TOTAL | 200 | 12.14 | 4.44 | 0.0009 | 0.561 c | ||
| MLL | LEFT | FEMALE | 100 | 7.44 | 3.31 | 0 | 0.992 c |
| MALE | 100 | 7.41 | 3.52 | ||||
| TOTAL | 200 | 7.42 | 3.40 | 0.0005 | 0.655 c | ||
| RIGHT | FEMALE | 100 | 7.35 | 2.66 | 0.0022 | 0.509 c | |
| MALE | 100 | 7.11 | 2.82 | ||||
| TOTAL | 200 | 7.23 | 2.73 | 0.0005 | 0.655 c | ||
| PPT | LEFT | FEMALE | 100 | 1.18 | 2.51 | 0.0025 | 0.477 c |
| MALE | 100 | 0.95 | 2.53 | ||||
| TOTAL | 200 | 1.06 | 2.52 | 0.0013 | 0.471 c | ||
| RIGHT | FEMALE | 100 | 1.40 | 2.06 | 0.0158 | 0.076 c | |
| MALE | 100 | 0.92 | 2.33 | ||||
| TOTAL | 200 | 1.16 | 2.20 | 0.0013 | 0.471 c | ||
| PMT | LEFT | FEMALE | 100 | 4.63 | 2.81 | 0.0328 | 0.010 c |
| MALE | 100 | 3.78 | 2.68 | ||||
| TOTAL | 200 | 4.20 | 2.77 | 0.0003 | 0.754 c | ||
| RIGHT | FEMALE | 100 | 4.88 | 3.47 | 0.0305 | 0.014 c | |
| MALE | 100 | 3.97 | 3.21 | ||||
| TOTAL | 200 | 4.42 | 3.36 | 0.0003 | 0.754 c | ||
| DF–GPC | LEFT | FEMALE | 100 | 5.51 | 2.92 | 0 | 0.976 c |
| MALE | 100 | 5.55 | 2.50 | ||||
| TOTAL | 200 | 5.53 | 2.71 | 0.0043 | 0.187 c | ||
| RIGHT | FEMALE | 100 | 5.67 | 2.99 | 0.0087 | 0.187 c | |
| MALE | 100 | 6.22 | 2.98 | ||||
| TOTAL | 200 | 5.95 | 2.99 | 0.0043 | 0.187 c | ||
| DGPC | FEMALE | 100 | 29.54 | 2.68 | 0.0796 | <0.001 c | |
| MALE | 100 | 31.32 | 3.04 | ||||
| DML | FEMALE | 100 | 29.21 | 2.88 | 0.0783 | <0.001 c | |
| MALE | 100 | 30.84 | 2.79 |
| SIDE | N | AGE GROUP | MEAN | STANDARD DEVIATION | η2 | p | |
|---|---|---|---|---|---|---|---|
| LLL | LEFT | 200 | 20–35 (n = 40 | 11.56 | 3.52 | 0.021 | 0.043 d |
| 36–50 (n = 65) | 11.97 | 5.72 | |||||
| 51–80 (n = 95) | 12.99 | 4.30 | |||||
| RIGHT | 200 | 20–35 (n = 40 | 10.93 | 3.66 | 0.021 | 0.048 d | |
| 36–50 (n = 65) | 11.76 | 4.37 | |||||
| 51–80 (n = 95) | 12.91 | 4.69 |
Disclaimer/Publisher’s Note: The statements, opinions and data contained in all publications are solely those of the individual author(s) and contributor(s) and not of MDPI and/or the editor(s). MDPI and/or the editor(s) disclaim responsibility for any injury to people or property resulting from any ideas, methods, instructions or products referred to in the content. |
© 2026 by the authors. Licensee MDPI, Basel, Switzerland. This article is an open access article distributed under the terms and conditions of the Creative Commons Attribution (CC BY) license.
Share and Cite
Demir, Ö.; Ağaçayak, K.S. Anatomical Evaluation of the Pterygomaxillary Complex Using Cone Beam Computed Tomography. Tomography 2026, 12, 9. https://doi.org/10.3390/tomography12010009
Demir Ö, Ağaçayak KS. Anatomical Evaluation of the Pterygomaxillary Complex Using Cone Beam Computed Tomography. Tomography. 2026; 12(1):9. https://doi.org/10.3390/tomography12010009
Chicago/Turabian StyleDemir, Ömer, and Kamil Serkan Ağaçayak. 2026. "Anatomical Evaluation of the Pterygomaxillary Complex Using Cone Beam Computed Tomography" Tomography 12, no. 1: 9. https://doi.org/10.3390/tomography12010009
APA StyleDemir, Ö., & Ağaçayak, K. S. (2026). Anatomical Evaluation of the Pterygomaxillary Complex Using Cone Beam Computed Tomography. Tomography, 12(1), 9. https://doi.org/10.3390/tomography12010009

