Super Resolution of Magnetic Resonance Images
Abstract
:1. Introduction
2. Related Works
2.1. Embedded Approaches for SR and Denoising
2.2. Image Denoising Approaches
2.3. Super Resolution Approaches
3. Method
3.1. Proposed Denoising Method
3.1.1. Categorization of Smooth and Textured/Edge Patches
3.1.2. Re-Estimation of LRA in an Iterative Manner
3.2. Super Resolution of Noisy MR Images
| Algorithm 1 Estimate denoised HR image. |
| Input: Noisy LR image patches |
| Output: Denoised HR image patches |
| Variables: M: Number of iterations |
| k = 1 to M |
| Step 1: Denoise as discussed in Section 3.1. Interpolate the denoised LR image patches to provide initial denoised HR patches , represented by . |
| Step 2: Estimate GPS values of as explained in Equation (5). |
| Step 3: Apply a low pass filter to to get the LF component and subtract it from to get the HF component of . |
| Step 4: Represent the LF component of each patch of using a non-local mean approach. |
| Step 5: Apply k-means clustering to HF components of , and up-down scaled versions of image patches . Construct a PCA-based dictionary for each cluster. |
| Step 6: Represent the HF component of using one of the dictionaries, i.e., the dictionary constructed from a cluster to which the HF component of belongs. |
| Step 7: Update the estimate of the HR patch by adding estimates of the LF (from Step 4) and HF (from Step 6) components. |
| Step 8: Regularize and update the estimated HR image patch obtained in Step 7 using GPS constraint. |
| Step 9: Denoise the estimate of HR patch obtained in Step 8 as discussed in Section 3.1. |
| If and |
| break; |
| else |
| Update as average of outputs from Step 8 and Step 9, i.e., , in Step 3 and repeat the steps from Step 3 to Step 9. |
| end If |
| end while loop |
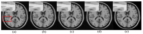
4. Results and Discussion
4.1. Denoising of MR Images
4.1.1. Significance of the Proposed Patch Categorization and Re-estimation of Eigenvectors
4.1.2. Parameter Analysis for Optimal Selection of in the Proposed Denoising Approach
4.2. Super Resolution of MR Image Volumes
Parameter Analysis for Optimal Selection of in the Proposed Super Resolution Approach
4.3. Resolution Improvement of Noisy MR Image Volumes
Analysis for Alzheimer Subjects
5. Summary
Author Contributions
Funding
Institutional Review Board Statement
Informed Consent Statement
Data Availability Statement
Conflicts of Interest
References
- Plenge, E.; Poot, D.H.J.; Bernsen, M.; Kotek, G.; Houston, G.; Wielopolski, P.; van der Weerd, L.; Niessen, W.J.; Meijering, E. Super-resolution methods in MRI: Can they improve the trade-off between resolution, signal-to-noise ratio, and acquisition time? Magn. Reson. Med. 2012, 68, 1983–1993. [Google Scholar] [CrossRef]
- Van Reeth, E.; Tham, I.W.K.; Tan, C.H.; Poh, C.L. Super-resolution in magnetic resonance imaging: A review. Concepts Magn. Reson. Part A 2012, 40A, 306–325. [Google Scholar] [CrossRef]
- Kim, G.; Park, J.; Lee, K.; Lee, J.; Min, J.; Lee, B.; Han, D.K.; Ko, H. Unsupervised Real-World Super Resolution with Cycle Generative Adversarial Network and Domain Discriminator. In Proceedings of the 2020 IEEE/CVF Conference on Computer Vision and Pattern Recognition Workshops (CVPRW), Seattle, WA, USA, 14–19 June 2020; pp. 1862–1871. [Google Scholar] [CrossRef]
- Rudin, L.I.; Osher, S.; Fatemi, E. Nonlinear total variation based noise removal algorithms. Phys. D Nonlinear Phenom. 1992, 60, 259–268. [Google Scholar] [CrossRef]
- Shi, J.; Li, Z.; Ying, S.; Wang, C.; Liu, Q.; Zhang, Q.; Yan, P. MR Image Super-Resolution via Wide Residual Networks With Fixed Skip Connection. IEEE J. Biomed. Health Inform. 2019, 23, 1129–1140. [Google Scholar] [CrossRef]
- Rueda, A.; Malpica, N.; Romero, E. Single-image super-resolution of brain MR images using overcomplete dictionaries. Med. Image Anal. 2013, 17, 113–132. [Google Scholar] [CrossRef]
- Pham, C.H.; Ducournau, A.; Fablet, R.; Rousseau, F. Brain MRI super-resolution using deep 3D convolutional networks. In Proceedings of the IEEE International Symposium on Biomedical Imaging (ISBI), Melbourne, Australia, 18–21 April 2017; pp. 197–200. [Google Scholar]
- Chen, Y.; Xie, Y.; Zhou, Z.; Shi, F.; Christodoulou, A.G.; Li, D. Brain MRI super resolution using 3D deep densely connected neural networks. In Proceedings of the IEEE International Symposium on Biomedical Imaging (ISBI), Washington, DC, USA, 4–7 April 2018; pp. 739–742. [Google Scholar]
- Dong, C.; Loy, C.C.; He, K.; Tang, X. Image Super-Resolution Using Deep Convolutional Networks. IEEE Trans. Pattern Anal. Mach. Intell. 2016, 38, 295–307. [Google Scholar] [CrossRef] [Green Version]
- Yang, J.; Wright, J.; Huang, T.S.; Ma, Y. Image Super-Resolution Via Sparse Representation. IEEE Trans. Image Process. 2010, 19, 2861–2873. [Google Scholar] [CrossRef] [PubMed]
- Zhu, Q.; Ren, Y.; Qiu, Z.; Wang, W. Robust MR image super-resolution reconstruction with cross-modal edge-preserving regularization. Int. J. Imaging Syst. Technol. 2019, 29, 491–500. [Google Scholar] [CrossRef]
- Shi, F.; Cheng, J.; Wang, L.; Yap, P.T.; Shen, D. LRTV: MR Image Super-Resolution With Low-Rank and Total Variation Regularizations. IEEE Trans. Med. Imaging 2015, 34, 2459–2466. [Google Scholar] [CrossRef] [PubMed] [Green Version]
- Manjón, J.V.; Coupé, P.; Buades, A.; Fonov, V.; Louis Collins, D.; Robles, M. Non-local MRI upsampling. Med. Image Anal. 2010, 14, 784–792. [Google Scholar] [CrossRef] [Green Version]
- Zhang, L.; Dong, W.; Zhang, D.; Shi, G. Two-stage image denoising by principal component analysis with local pixel grouping. Pattern Recognit. 2010, 43, 1531–1549. [Google Scholar] [CrossRef] [Green Version]
- Mandal, S.; Bhavsar, A.; Sao, A.K. Noise adaptive super-resolution from single image via non-local mean and sparse representation. Signal Process. 2017, 132, 134–149. [Google Scholar] [CrossRef]
- Manjón, J.V.; Coupé, P.; Buades, A. MRI noise estimation and denoising using non-local PCA. Med. Image Anal. 2015, 22, 35–47. [Google Scholar] [CrossRef]
- He, Y.; Gan, T.; Chen, W.; Wang, H. Adaptive Denoising by Singular Value Decomposition. IEEE Signal Process. Lett. 2011, 18, 215–218. [Google Scholar] [CrossRef]
- Qu, L.; Wang, S.; Yap, P.T.; Shen, D. Wavelet-based Semi-supervised Adversarial Learning for Synthesizing Realistic 7T from 3T MRI. In Medical Image Computing and Computer Assisted Intervention—MICCAI 2019; Shen, D., Liu, T., Peters, T.M., Staib, L.H., Essert, C., Zhou, S., Yap, P.T., Khan, A., Eds.; Springer International Publishing: Cham, Switzerland, 2019; pp. 786–794. [Google Scholar]
- Xue, X.; Wang, Y.; Li, J.; Jiao, Z.; Ren, Z.; Gao, X. Progressive Sub-Band Residual-Learning Network for MR Image Super Resolution. IEEE J. Biomed. Health Inform. 2020, 24, 377–386. [Google Scholar] [CrossRef]
- Chaudhari, A.S.; Fang, Z.; Kogan, F.; Wood, J.; Stevens, K.J.; Gibbons, E.K.; Lee, J.H.; Gold, G.E.; Hargreaves, B.A. Super-resolution musculoskeletal MRI using deep learning. Magn. Reson. Med. 2018, 80, 2139–2154. [Google Scholar] [CrossRef]
- Trinh, D.; Luong, M.; Dibos, F.; Rocchisani, J.; Pham, C.; Nguyen, T.Q. Novel Example-Based Method for Super-Resolution and Denoising of Medical Images. IEEE Trans. Image Process. 2014, 23, 1882–1895. [Google Scholar] [CrossRef]
- Awate, S.P.; Whitaker, R.T. Feature-Preserving MRI Denoising: A Nonparametric Empirical Bayes Approach. IEEE Trans. Med. Imaging 2007, 26, 1242–1255. [Google Scholar] [CrossRef] [Green Version]
- Mumford, D.; Shah, J. Optimal approximations by piecewise smooth functions and associated variational problems. Commun. Pure Appl. Math. 1989, 42, 577–685. [Google Scholar] [CrossRef] [Green Version]
- Donoho, D.L.; Johnstone, I.M. Ideal spatial adaptation by wavelet shrinkage. Biometrika 1994, 81, 425–455. [Google Scholar] [CrossRef]
- Foi, A. Noise estimation and removal in MR imaging: The variance-stabilization approach. In Proceedings of the 2011 IEEE International Symposium on Biomedical Imaging: FromNano to Macro, Chicago, IL, USA, 30 March–2 April 2011; pp. 1809–1814. [Google Scholar]
- Ahmad, R.; Bouman, C.A.; Buzzard, G.T.; Chan, S.; Liu, S.; Reehorst, E.T.; Schniter, P. Plug-and-Play Methods for Magnetic Resonance Imaging: Using Denoisers for Image Recovery. IEEE Signal Process. Mag. 2020, 37, 105–116. [Google Scholar] [CrossRef] [Green Version]
- Dabov, K.; Foi, A.; Katkovnik, V.; Egiazarian, K. Image Denoising by Sparse 3-D Transform-Domain Collaborative Filtering. IEEE Trans. Image Process. 2007, 16, 2080–2095. [Google Scholar] [CrossRef]
- Parekh, A.; Selesnick, I.W. Enhanced Low-Rank Matrix Approximation. IEEE Signal Process. Lett. 2016, 23, 493–497. [Google Scholar] [CrossRef]
- Does, M.D.; Olesen, J.L.; Harkins, K.D.; Serradas-Duarte, T.; Gochberg, D.F.; Jespersen, S.N.; Shemesh, N. Evaluation of principal component analysis image denoising on multi-exponential MRI relaxometry. Magn. Reson. Med. 2019, 81, 3503–3514. [Google Scholar] [CrossRef] [PubMed]
- Fu, Y.; Dong, W. 3D magnetic resonance image denoising using low-rank tensor approximation. Neurocomputing 2016, 195, 30–39. [Google Scholar] [CrossRef]
- Nguyen, H.M.; Peng, X.; Do, M.N.; Liang, Z. Denoising MR Spectroscopic Imaging Data With Low-Rank Approximations. IEEE Trans. Biomed. Eng. 2013, 60, 78–89. [Google Scholar] [CrossRef] [Green Version]
- Wei, S.; Xu, S. Staircasing reduction model applied to total variation based image reconstruction. In Proceedings of the 2009 17th European Signal Processing Conference, Glasgow, UK, 24–28 August 2009; pp. 2579–2583. [Google Scholar]
- Kaur, P.; Sao, A. Gradient Profile Based Super Resolution of MR Images. In Proceedings of the Medical Image Computing and Computer Assisted Intervention, Granada, Spain, 16–20 September 2018; pp. 109–117. [Google Scholar]
- Manjón, J.V.; Carbonell-Caballero, J.; Lull, J.J.; García-Martí, G.; Martí-Bonmatí, L.; Robles, M. MRI denoising using Non-Local Means. Med. Image Anal. 2008, 12, 514–523. [Google Scholar] [CrossRef]
- Manjón, J.V.; Coupé, P.; Buades, A.; Collins, D.L.; Robles, M. New methods for MRI denoising based on sparseness and self-similarity. Med. Image Anal. 2012, 16, 18–27. [Google Scholar] [CrossRef] [PubMed] [Green Version]
- Lee, O.Y.; Lee, J.W.; Kim, J.O. Combining self-learning based super-resolution with denoising for noisy images. J. Vis. Commun. Image Represent. 2017, 48, 66–76. [Google Scholar] [CrossRef]
- Hu, J.; Wu, X.; Zhou, J. Noise robust single image super-resolution using a multiscale image pyramid. Signal Process. 2018, 148, 157–171. [Google Scholar] [CrossRef]
- Gudbjartsson, H.; Patz, S. The rician distribution of noisy MRI data. Magn. Reson. Med. 1995, 34, 910–914. [Google Scholar] [CrossRef]
- Nowak, R.D. Wavelet-based Rician noise removal for magnetic resonance imaging. IEEE Trans. Image Process. 1999, 8, 1408–1419. [Google Scholar] [CrossRef] [Green Version]
- Manjón, J.V.; Coupé, P.; Martí-Bonmatí, L.; Collins, D.L.; Robles, M. Adaptive non-local means denoising of MR images with spatially varying noise levels. J. Magn. Reson. Imaging 2010, 31, 192–203. [Google Scholar] [CrossRef] [Green Version]
- Coupe, P.; Manjon, J.V.; Robles, M.; Collins, D.L. Adaptive multiresolution non-local means filter for three-dimensional magnetic resonance image denoising. IET Image Process. 2012, 6, 558–568. [Google Scholar] [CrossRef]
- Liu, R.W.; Shi, L.; Huang, W.; Xu, J.; Yu, S.C.H.; Wang, D. Generalized total variation-based MRI Rician denoising model with spatially adaptive regularization parameters. Magn. Reson. Imaging 2014, 32, 702–720. [Google Scholar] [CrossRef]
- Peled, S.; Yeshurun, Y. Superresolution in MRI: Application to human white matter fiber tract visualization by diffusion tensor imaging. Magn. Reson. Med. 2001, 45, 29–35. [Google Scholar] [CrossRef]
- Shilling, R.Z.; Robbie, T.Q.; Bailloeul, T.; Mewes, K.; Mersereau, R.M.; Brummer, M.E. A Super-Resolution Framework for 3-D High-Resolution and High-Contrast Imaging Using 2-D Multislice MRI. IEEE Trans. Med. Imaging 2009, 28, 633–644. [Google Scholar] [CrossRef] [PubMed]
- Tamez-Pena, J.G.; Totterman, S.; Parker, K.J. MRI isotropic resolution reconstruction from two orthogonal scans. In Medical Imaging 2001: Image Processing, International Society for Optics and Photonics; SPIE: Bellingham, WA, USA, 2001; Volume 4322, pp. 87–97. [Google Scholar]
- Zhao, X.; Zhang, Y.; Zhang, T.; Zou, X. Channel Splitting Network for Single MR Image Super-Resolution. IEEE Trans. Image Process. 2019, 28, 5649–5662. [Google Scholar] [CrossRef] [Green Version]
- Cherukuri, V.; Guo, T.; Schiff, S.J.; Monga, V. Deep MR Brain Image Super-Resolution Using Spatio-Structural Priors. IEEE Trans. Image Process. 2020, 29, 1368–1383. [Google Scholar] [CrossRef] [PubMed] [Green Version]
- Rousseau, F.; Initiative, T.A.D.N. A non-local approach for image super-resolution using intermodality priors. Med. Image Anal. 2010, 14, 594–605. [Google Scholar] [CrossRef] [PubMed] [Green Version]
- Zheng, H.; Zeng, K.; Guo, D.; Ying, J.; Yang, Y.; Peng, X.; Huang, F.; Chen, Z.; Qu, X. Multi-Contrast Brain MRI Image Super-Resolution With Gradient-Guided Edge Enhancement. IEEE Access 2018, 6, 57856–57867. [Google Scholar] [CrossRef]
- Zhang, D.; He, J.; Zhao, Y.; Du, M. MR image super-resolution reconstruction using sparse representation, nonlocal similarity and sparse derivative prior. Comput. Biol. Med. 2015, 58, 130–145. [Google Scholar] [CrossRef] [PubMed]
- Yan, Q.; Xu, Y.; Yang, X.; Nguyen, T.Q. Single Image Superresolution Based on Gradient Profile Sharpness. IEEE Trans. Image Process. 2015, 24, 3187–3202. [Google Scholar] [PubMed]
- Guan, J.; Zhang, W.; Gu, J.; Ren, H. No-reference blur assessment based on edge modeling. J. Vis. Commun. Image Represent. 2015, 29, 1–7. [Google Scholar] [CrossRef]
- Jack, C.R., Jr.; Bernstein, M.A.; Fox, N.C.; Thompson, P.; Alexander, G.; Harvey, D.; Borowski, B.; Britson, P.J.; Whitwell, J.L.; Ward, C.; et al. The Alzheimer’s disease neuroimaging initiative (ADNI): MRI methods. J. Magn. Reson. Imaging 2008, 27, 685–691. [Google Scholar] [CrossRef] [PubMed] [Green Version]
- Bishop, C.M. Pattern Recognition and Machine Learning; Springer: Berlin/Heidelberg, Germany, 2006. [Google Scholar]
- Wang, Z.; Bovik, A.C.; Sheikh, H.R.; Simoncelli, E.P. Image quality assessment: from error visibility to structural similarity. IEEE Trans. Image Process. 2004, 13, 600–612. [Google Scholar] [CrossRef] [Green Version]
- Zhang, L.; Zhang, L.; Mou, X.; Zhang, D. FSIM: A Feature Similarity Index for Image Quality Assessment. IEEE Trans. Image Process. 2011, 20, 2378–2386. [Google Scholar] [CrossRef] [PubMed] [Green Version]
- Coupe, P.; Yger, P.; Prima, S.; Hellier, P.; Kervrann, C.; Barillot, C. An Optimized Blockwise Nonlocal Means Denoising Filter for 3-D Magnetic Resonance Images. IEEE Trans. Med. Imaging 2008, 27, 425–441. [Google Scholar] [CrossRef] [Green Version]
- Coupé, P.; Manjón, J.V.; Gedamu, E.; Arnold, D.; Robles, M.; Collins, D.L. Robust Rician noise estimation for MR images. Med. Image Anal. 2010, 14, 483–493. [Google Scholar] [CrossRef] [PubMed] [Green Version]















| I/P | Rician Noise | Gaussian Noise | |||||||||||||||||||||
|---|---|---|---|---|---|---|---|---|---|---|---|---|---|---|---|---|---|---|---|---|---|---|---|
| Method | Assumed Noise | Need Var. | Simulated Dataset | Real Dataset | Simulated Dataset | Real Dataset | |||||||||||||||||
| 3% | 5% | 7% | 9% | 11% | 3% | 5% | 7% | 9% | 11% | 3% | 5% | 7% | 9% | 11% | 3% | 5% | 7% | 9% | 11% | ||||
| 2D Image based Methods | Noisy Image | - | - | 30.41 | 26.00 | 23.12 | 20.98 | 19.28 | 20.45 | 19.87 | 19.14 | 18.32 | 17.47 | 30.39 | 25.95 | 23.03 | 20.85 | 19.10 | 20.38 | 19.70 | 18.84 | 17.91 | 16.96 |
| 0.8401 | 0.7623 | 0.6946 | 0.6369 | 0.5874 | 0.5003 | 0.4914 | 0.4828 | 0.4747 | 0.4669 | 0.8397 | 0.7598 | 0.6886 | 0.6271 | 0.5746 | 0.4984 | 0.4862 | 0.4730 | 0.4600 | 0.4476 | ||||
| NLM | Rice | Yes | 35.88 | 32.62 | 30.23 | 28.37 | 26.74 | 34.54 | 31.45 | 29.06 | 27.18 | 25.64 | 35.87 | 32.66 | 30.36 | 28.72 | 27.48 | 34.66 | 31.88 | 29.93 | 28.55 | 27.55 | |
| 0.9239 | 0.8866 | 0.8469 | 0.8082 | 0.7694 | 0.8927 | 0.8301 | 0.7705 | 0.7204 | 0.6804 | 0.9237 | 0.8857 | 0.8445 | 0.8073 | 0.7763 | 0.8942 | 0.8372 | 0.7875 | 0.7489 | 0.7192 | ||||
| UNLM | Rice | Yes | 36.35 | 33.21 | 30.90 | 29.13 | 27.77 | 34.44 | 31.67 | 29.78 | 28.42 | 27.38 | 36.26 | 32.94 | 30.30 | 28.10 | 26.17 | 34.49 | 31.66 | 29.46 | 27.46 | 25.50 | |
| 0.9307 | 0.8990 | 0.8639 | 0.8296 | 0.7984 | 0.8955 | 0.8499 | 0.8018 | 0.7569 | 0.7191 | 0.9304 | 0.8966 | 0.8522 | 0.8020 | 0.7494 | 0.8967 | 0.8537 | 0.8083 | 0.7638 | 0.7197 | ||||
| VST BM3D | Rice | Yes | 36.28 | 33.54 | 31.75 | 30.36 | 29.24 | 35.19 | 32.87 | 31.33 | 30.07 | 28.90 | 36.12 | 32.91 | 30.28 | 27.93 | 25.86 | 35.08 | 32.16 | 29.31 | 26.49 | 24.06 | |
| 0.9304 | 0.9070 | 0.8858 | 0.8635 | 0.8423 | 0.9018 | 0.8701 | 0.8409 | 0.8112 | 0.7810 | 0.9297 | 0.8999 | 0.8607 | 0.8136 | 0.7634 | 0.9024 | 0.8701 | 0.8334 | 0.7861 | 0.7317 | ||||
| Proposed | Nill | No | 34.21 | 32.58 | 30.19 | 28.21 | 25.80 | 34.57 | 32.04 | 29.08 | 27.08 | 25.66 | 33.86 | 32.14 | 30.14 | 28.26 | 25.93 | 34.10 | 32.03 | 29.74 | 26.80 | 24.08 | |
| 0.9235 | 0.9010 | 0.8564 | 0.8045 | 0.7623 | 0.8903 | 0.8560 | 0.7989 | 0.7247 | 0.6862 | 0.9192 | 0.8953 | 0.8585 | 0.8182 | 0.7559 | 0.8828 | 0.8593 | 0.8107 | 0.7350 | 0.5677 | ||||
| 3D Volume based Methods | ORNLM | Rice | Yes | 36.34 | 33.45 | 31.53 | 29.74 | 27.63 | 35.13 | 32.31 | 30.53 | 29.20 | 28.28 | 36.00 | 33.03 | 31.37 | 30.23 | 29.35 | 35.54 | 33.15 | 31.55 | 30.29 | 29.32 |
| 0.9312 | 0.9067 | 0.8819 | 0.8492 | 0.8016 | 0.9130 | 0.8719 | 0.8400 | 0.8132 | 0.7902 | 0.9308 | 0.9051 | 0.8843 | 0.8664 | 0.8506 | 0.9164 | 0.8821 | 0.8536 | 0.8295 | 0.8080 | ||||
| AONLM | Rice | Yes | 36.28 | 33.64 | 31.95 | 30.61 | 29.48 | 34.74 | 32.71 | 31.12 | 29.95 | 28.77 | 36.10 | 33.43 | 31.74 | 30.47 | 29.44 | 34.67 | 32.68 | 31.27 | 30.16 | 29.24 | |
| 0.9295 | 0.9056 | 0.8842 | 0.8628 | 0.8421 | 0.9061 | 0.8794 | 0.8498 | 0.8242 | 0.7964 | 0.9293 | 0.9041 | 0.8822 | 0.8615 | 0.8422 | 0.9044 | 0.8780 | 0.8534 | 0.8304 | 0.8090 | ||||
| MRNLM | Rice | Yes | 36.05 | 33.26 | 31.38 | 29.64 | 27.59 | 35.49 | 32.84 | 31.00 | 29.58 | 28.60 | 35.47 | 32.57 | 30.96 | 29.86 | 29.00 | 35.52 | 33.05 | 31.36 | 29.98 | 28.95 | |
| 0.9329 | 0.9091 | 0.8852 | 0.8543 | 0.8087 | 0.9160 | 0.8795 | 0.8484 | 0.8212 | 0.7991 | 0.9314 | 0.9050 | 0.8837 | 0.8655 | 0.8494 | 0.9162 | 0.8822 | 0.8531 | 0.8274 | 0.8057 | ||||
| ODCT | Rice | Yes | 35.88 | 32.69 | 30.35 | 28.26 | 26.13 | 31.20 | 28.96 | 27.47 | 27.94 | 27.78 | 35.87 | 32.46 | 29.94 | 28.05 | 26.59 | 32.12 | 30.83 | 30.28 | 28.50 | 27.18 | |
| 0.9295 | 0.9017 | 0.8694 | 0.8289 | 0.7754 | 0.8575 | 0.8103 | 0.7779 | 0.7861 | 0.7765 | 0.9303 | 0.9001 | 0.8654 | 0.8327 | 0.8019 | 0.8742 | 0.8547 | 0.8411 | 0.7932 | 0.7496 | ||||
| PRINLM | Rice | Yes | 36.26 | 32.87 | 30.29 | 28.11 | 25.79 | 30.93 | 27.34 | 26.83 | 27.64 | 27.18 | 36.06 | 32.28 | 29.51 | 27.55 | 26.03 | 31.70 | 30.87 | 30.13 | 28.00 | 26.61 | |
| 0.9373 | 0.9106 | 0.8757 | 0.8281 | 0.7616 | 0.8533 | 0.8091 | 0.7729 | 0.7956 | 0.7714 | 0.9363 | 0.9035 | 0.8634 | 0.8229 | 0.7793 | 0.8677 | 0.8594 | 0.8372 | 0.7751 | 0.7129 | ||||
| VST BM4D | Rice | Yes | 36.65 | 33.90 | 32.16 | 30.80 | 29.71 | 35.48 | 33.14 | 31.54 | 30.25 | 29.29 | 36.57 | 33.42 | 30.75 | 28.35 | 26.15 | 35.43 | 32.54 | 29.63 | 26.72 | 24.21 | |
| 0.9353 | 0.9142 | 0.8945 | 0.8746 | 0.8555 | 0.9057 | 0.8765 | 0.8496 | 0.8227 | 0.7985 | 0.9358 | 0.9089 | 0.8715 | 0.8271 | 0.7777 | 0.9067 | 0.8772 | 0.8409 | 0.7936 | 0.7400 | ||||
| VST NLM3D | Rice | Yes | 36.04 | 33.21 | 31.34 | 29.88 | 28.62 | 35.00 | 32.57 | 30.91 | 29.57 | 28.42 | 35.93 | 32.65 | 29.96 | 27.52 | 25.29 | 34.86 | 31.89 | 28.93 | 25.91 | 23.49 | |
| 0.9278 | 0.9007 | 0.8754 | 0.8508 | 0.8252 | 0.9061 | 0.8730 | 0.8424 | 0.8130 | 0.7838 | 0.9272 | 0.8929 | 0.8510 | 0.8024 | 0.7485 | 0.9066 | 0.8720 | 0.8296 | 0.7731 | 0.7146 | ||||
| Subject | Metric | NN | Spline | NLM3D | LRTV | Proposed | |
|---|---|---|---|---|---|---|---|
| SRF = 2 | 1 | PSNR | 29.0981 | 29.9406 | 31.2103 | 33.4160 | 34.63 |
| SSIM | 0.7275 | 0.7575 | 0.8079 | 0.8759 | 0.8859 | ||
| FSIM | 0.8831 | 0.8856 | 0.9519 | 0.9597 | 0.9484 | ||
| 2 | PSNR | 29.21 | 29.96 | 31.10 | 33.12 | 33.56 | |
| SSIM | 0.7546 | 0.7750 | 0.8109 | 0.8637 | 0.8638 | ||
| FSIM | 0.8999 | 0.9012 | 0.9297 | 0.9538 | 0.9697 | ||
| 3 | PSNR | 27.73 | 28.43 | 29.58 | 31.61 | 32.21 | |
| SSIM | 0.7682 | 0.7900 | 0.8241 | 0.8727 | 0.8765 | ||
| FSIM | 0.9007 | 0.9056 | 0.9198 | 0.9467 | 0.9668 | ||
| 4 | PSNR | 27.92 | 28.47 | 29.56 | 31.31 | 32.20 | |
| SSIM | 0.8269 | 0.8437 | 0.8724 | 0.9089 | 0.9161 | ||
| FSIM | 0.9051 | 0.9083 | 0.9217 | 0.9482 | 0.9639 | ||
| 5 | PSNR | 29.71 | 30.15 | 31.42 | 33.40 | 33.79 | |
| SSIM | 0.7389 | 0.7821 | 0.8413 | 0.8786 | 0.8819 | ||
| FSIM | 0.8984 | 0.9084 | 0.9102 | 0.9194 | 0.9248 | ||
| 6 | PSNR | 28.67 | 29.15 | 30.55 | 32.00 | 32.82 | |
| SSIM | 0.7009 | 0.7104 | 0.8277 | 0.8695 | 0.8762 | ||
| FSIM | 0.8872 | 0.8972 | 0.9099 | 0.9185 | 0.9274 | ||
| 7 | PSNR | 27.44 | 28.77 | 32.44 | 34.24 | 35.40 | |
| SSIM | 0.7103 | 0.7497 | 0.8436 | 0.9083 | 0.9293 | ||
| FSIM | 0.8980 | 0.9069 | 0.9103 | 0.9291 | 0.9413 | ||
| 8 | PSNR | 28.23 | 28.70 | 29.95 | 31.73 | 32.01 | |
| SSIM | 0.7511 | 0.7653 | 0.7907 | 0.8407 | 0.8683 | ||
| FSIM | 0.8720 | 0.9014 | 0.9104 | 0.9248 | 0.9236 | ||
| SRF = 3 | 1 | PSNR | 26.23 | 27.12 | 28.30 | 28.41 | 28.89 |
| SSIM | 0.6941 | 0.7308 | 0.7787 | 0.7986 | 0.8066 | ||
| FSIM | 0.8749 | 0.8840 | 0.9030 | 0.9096 | 0.9182 | ||
| 2 | PSNR | 27.44 | 28.31 | 29.60 | 29.76 | 30.26 | |
| SSIM | 0.7163 | 0.7534 | 0.7963 | 0.8108 | 0.8180 | ||
| FSIM | 0.8901 | 0.9091 | 0.9285 | 0.9396 | 0.9390 | ||
| 3 | PSNR | 26.10 | 27.79 | 28.79 | 28.85 | 29.11 | |
| SSIM | 0.6557 | 0.6943 | 0.7441 | 0.7647 | 0.7699 | ||
| FSIM | 0.8498 | 0.8740 | 0.8919 | 0.9038 | 0.9148 | ||
| 4 | PSNR | 27.03 | 28.20 | 29.30 | 29.24 | 29.57 | |
| SSIM | 0.6271 | 0.6635 | 0.7192 | 0.7442 | 0.7419 | ||
| FSIM | 0.8571 | 0.8720 | 0.8904 | 0.9081 | 0.9117 | ||
| 5 | PSNR | 27.97 | 28.90 | 30.30 | 30.32 | 30.67 | |
| SSIM | 0.5838 | 0.6372 | 0.7121 | 0.7342 | 0.7448 | ||
| FSIM | 0.8301 | 0.8539 | 0.8949 | 0.9038 | 0.9175 | ||
| 6 | PSNR | 26.34 | 27.89 | 28.97 | 29.13 | 29.45 | |
| SSIM | 0.6103 | 0.7612 | 0.7731 | 0.7812 | 0.7865 | ||
| FSIM | 0.8534 | 0.8641 | 0.8837 | 0.9088 | 0.9130 | ||
| 7 | PSNR | 26.77 | 27.62 | 28.90 | 28.92 | 29.32 | |
| SSIM | 0.6668 | 0.7059 | 0.7612 | 0.7807 | 0.7875 | ||
| FSIM | 0.8693 | 0.8841 | 0.8922 | 0.9076 | 0.9127 | ||
| 8 | PSNR | 27.14 | 28.04 | 29.18 | 29.27 | 29.64 | |
| SSIM | 0.6115 | 0.6551 | 0.7121 | 0.7341 | 0.7421 | ||
| FSIM | 0.8610 | 0.8801 | 0.9067 | 0.9135 | 0.9195 |
| Subjects | Metric | NN | Spline | NML3D | LRTV | Proposed | |
|---|---|---|---|---|---|---|---|
| SRF = 2 | 1 | PSNR | 29.01 | 29.50 | 30.17 | 31.29 | 31.95 |
| SSIM | 0.6893 | 0.7099 | 0.7562 | 0.7972 | 0.7983 | ||
| FSIM | 0.8820 | 0.8841 | 0.9102 | 0.9404 | 0.9546 | ||
| 2 | PSNR | 29.47 | 30.25 | 30.97 | 32.20 | 32.81 | |
| SSIM | 0.7234 | 0.7802 | 0.7971 | 0.8068 | 0.8114 | ||
| FSIM | 0.8987 | 0.8981 | 0.9178 | 0.9456 | 0.9537 | ||
| 3 | PSNR | 27.98 | 28.70 | 29.44 | 30.61 | 31.26 | |
| SSIM | 0.7012 | 0.7289 | 0.7313 | 0.8029 | 0.8032 | ||
| FSIM | 0.8979 | 0.8986 | 0.9186 | 0.9443 | 0.9530 | ||
| 4 | PSNR | 31.64 | 32.96 | 33.59 | 34.64 | 34.52 | |
| SSIM | 0.7901 | 0.8001 | 0.8162 | 0.8512 | 0.8524 | ||
| FSIM | 0.9020 | 0.9028 | 0.9198 | 0.9418 | 0.9507 | ||
| 5 | PSNR | 28.31 | 29.00 | 29.68 | 30.66 | 31.23 | |
| SSIM | 0.7173 | 0.7214 | 0.7445 | 0.7991 | 0.8041 | ||
| FSIM | 0.8904 | 0.9008 | 0.9038 | 0.9048 | 0.9121 | ||
| 6 | PSNR | 29.13 | 29.54 | 30.26 | 31.43 | 31.97 | |
| SSIM | 0.7529 | 0.7712 | 0.7830 | 0.8090 | 0.8095 | ||
| FSIM | 0.8694 | 0.9027 | 0.9071 | 0.9103 | 0.9174 | ||
| 7 | PSNR | 29.21 | 29.80 | 30.49 | 31.54 | 32.32 | |
| SSIM | 0.7374 | 0.7442 | 0.7834 | 0.8186 | 0.8291 | ||
| FSIM | 0.8943 | 0.9041 | 0.9094 | 0.9194 | 0.9255 | ||
| 8 | PSNR | 28.47 | 29.12 | 29.83 | 30.86 | 31.47 | |
| SSIM | 0.7404 | 0.7619 | 0.7910 | 0.8138 | 0.8108 | ||
| FSIM | 0.8632 | 0.8926 | 0.9088 | 0.9122 | 0.9198 | ||
| SRF = 3 | 1 | PSNR | 26.45 | 26.97 | 27.87 | 27.62 | 28.08 |
| SSIM | 0.7192 | 0.7231 | 0.7450 | 0.7401 | 0.7532 | ||
| FSIM | 0.8611 | 0.8814 | 0.9006 | 0.9059 | 0.9134 | ||
| 2 | PSNR | 27.19 | 27.86 | 29.17 | 28.99 | 29.26 | |
| SSIM | 0.7267 | 0.7342 | 0.7662 | 0.7580 | 0.7667 | ||
| FSIM | 0.8854 | 0.9072 | 0.9223 | 0.9232 | 0.9280 | ||
| 3 | PSNR | 26.97 | 27.24 | 28.48 | 28.28 | 28.49 | |
| SSIM | 0.7142 | 0.7208 | 0.7221 | 0.7241 | 0.7354 | ||
| FSIM | 0.8443 | 0.8654 | 0.8907 | 0.9001 | 0.9062 | ||
| 4 | PSNR | 26.95 | 27.35 | 28.72 | 28.29 | 28.93 | |
| SSIM | 0.6707 | 0.6744 | 0.6819 | 0.6804 | 0.6880 | ||
| FSIM | 0.8486 | 0.8662 | 0.8888 | 0.9000 | 0.9026 | ||
| 5 | PSNR | 28.16 | 28.88 | 29.52 | 28.93 | 29.44 | |
| SSIM | 0.6423 | 0.6487 | 0.6560 | 0.6446 | 0.6689 | ||
| FSIM | 0.8218 | 0.8501 | 0.8845 | 0.8875 | 0.8974 | ||
| 6 | PSNR | 26.91 | 27.12 | 28.33 | 27.90 | 28.43 | |
| SSIM | 0.7128 | 0.7146 | 0.7257 | 0.7225 | 0.7351 | ||
| FSIM | 0.8424 | 0.8631 | 0.8734 | 0.9075 | 0.9047 | ||
| 7 | PSNR | 27.19 | 27.57 | 28.62 | 28.29 | 28.83 | |
| SSIM | 0.6367 | 0.6456 | 0.6701 | 0.6647 | 0.6807 | ||
| FSIM | 0.8534 | 0.8732 | 0.8982 | 0.9041 | 0.9105 | ||
| 8 | PSNR | 27.05 | 27.67 | 28.49 | 29.09 | 29.63 | |
| SSIM | 0.6848 | 0.6896 | 0.7015 | 0.6971 | 0.7035 | ||
| FSIM | 0.8517 | 0.8760 | 0.9028 | 0.9064 | 0.9142 |
Publisher’s Note: MDPI stays neutral with regard to jurisdictional claims in published maps and institutional affiliations. |
© 2021 by the authors. Licensee MDPI, Basel, Switzerland. This article is an open access article distributed under the terms and conditions of the Creative Commons Attribution (CC BY) license (https://creativecommons.org/licenses/by/4.0/).
Share and Cite
Kaur, P.; Sao, A.K.; Ahuja, C.K. Super Resolution of Magnetic Resonance Images. J. Imaging 2021, 7, 101. https://doi.org/10.3390/jimaging7060101
Kaur P, Sao AK, Ahuja CK. Super Resolution of Magnetic Resonance Images. Journal of Imaging. 2021; 7(6):101. https://doi.org/10.3390/jimaging7060101
Chicago/Turabian StyleKaur, Prabhjot, Anil Kumar Sao, and Chirag Kamal Ahuja. 2021. "Super Resolution of Magnetic Resonance Images" Journal of Imaging 7, no. 6: 101. https://doi.org/10.3390/jimaging7060101
APA StyleKaur, P., Sao, A. K., & Ahuja, C. K. (2021). Super Resolution of Magnetic Resonance Images. Journal of Imaging, 7(6), 101. https://doi.org/10.3390/jimaging7060101
