Abstract
Clonostachys rosea strain ACM941 is an effective biocontrol agent against several crop diseases including Fusarium head blight. In anticipation of its increased relevance going forward, the development of a reliable DNA-based molecular marker to track it is essential. Universally primed-PCR (UP-PCR) has been used successfully to differentiate other C. rosea strains. Herein, the development of a UP-PCR marker for ACM941 is described. A combination of two primers (AS15 and L45) produced a ~450 bp fragment that was unique to ACM941 compared to other commercial biocontrol agents. Primers subsequently designed based on the obtained fragment also produced a similarly unique band from ACM941 alone. BLAST analysis of the amplified sequence did not yield any homologous sequence in available online databases or within the closely related C. rosea IK726 and CBS125111 strains’ genomes. The specificity of this marker for ACM941 was validated against ten additional C. rosea strains isolated from Canada, with ACM941 producing the brightest band. Taken together, these results imply that the UP-PCR primers AS15 and L45 and the amplified fragment can be used to detect and monitor the ACM941 strain after its release into the environment.
1. Introduction
Increasing crop productivity while taking into consideration environmental and human health concerns surrounding agricultural inputs has been a key research agenda recently [1,2]. Subsequently, identification and commercialization of beneficial microbes, including Clonostachys rosea f. rosea, intended for sustainable yield intensification and/or protection have grown substantially.
The genus C. rosea contains a number of plant endophytic and soil-borne ascomycete species, recognized for their plant development promotion property and/or protecting yield from pathogens and mycotoxin contamination. In particular, two endophytic strains isolated in North America, called 88−710 and ACM941, and the soil-borne beneficial microbe C. rosea f. catenulata isolate J1446 are patented as bio-stimulants and/or biocontrol agents against foliar, seed and soil-borne fungal diseases [3,4,5,6]. Strains 88−710 and J1446 are commercially available in North America as a bio-stimulant and a bio-fungicide, respectively, while commercialization of the C. rosea strain ACM941 to combat diverse plant pathogens, including the Fusarium head blight (FHB) causing agent Fusarium graminearum [7,8,9], is underway. Therefore, developing reliable identification markers to help growers or regulatory agencies distinguish these commercial strains from each other and from other related species is essential.
Morphological identification of ACM941 from other C. rosea strains is technically demanding and requires infrastructure not readily available. Furthermore, morphological markers cannot differentiate genetically related organisms and are culture-condition dependent. DNA-based genetic markers, on the other hand, are not affected by culture conditions or environmental factors and are both reproducible and effective for detecting intra-species variation [10]. Although several DNA-based genetic identification tools are available, the universally primed-polymerase chain reaction (UP-PCR) technique is preferred to develop strain-specific and highly reproducible markers among fungal strains. UP-PCR is a modified version of the randomly amplified polymorphic DNA (RAPD) technique where universal primers of approximately 15–21 nucleotides are used instead of the 10 nucleotide-long primers used in RAPD, which significantly enhances the specificity and reproducibility of UP-PCR-derived markers. For example, Abbasi et al. [11] screened 180 RAPD primers to identify a unique fragment differentiating Trichoderma hamatum strain 382 from 51 strains derived from Trichoderma harzianum, Trichoderma koningii, Trichoderma viride and Trichoderma virens. In contrast, Bulat et al. [12] screened only seven UP-PCR primers and identified a strain-specific polymorphic DNA fragment in C. rosea strain GR5. Paavanen-Huhtala et al. [13] also used UP-PCR to develop a strain-specific marker for isolate J1446.
In this study, a comparative analysis of two different approaches to differentiate C. rosea strain ACM941 is presented. The first approach includes sequencing the highly variable regions of the nuclear ribosomal RNA (rRNA) genomic DNA called internal transcribed spacer (ITS) and D1/D2 domains. The universal rRNA comprises highly conserved multiple genes including 18S rRNA (also called small subunit (SSU)), 5.8S rRNA and 25−28S rRNA (also called large subunit (LSU)) arranged in tandem in head-to-tail fashion intervened by the highly variable ITS regions. The first 600−900 bps of the LSU gene contain the universal domains D1, D2 and D3, which are generally highly variable compared to the rest of the LSU region and often used for species identification [14]. The second approach relies on screening 45 UP-PCR primer combinations to develop a polymorphic marker distinguishing ACM941 from other biocontrol agents. In both approaches, preliminary screenings were performed on the two C. rosea strains of particular importance to us, ACM941 and 88−710, and only promising markers were advanced for detailed characterization. Ultimately, a UP-PCR primer-based marker that distinguishes the C. rosea strain ACM941 from other commercial strains was identified. The polymorphic marker was further developed into a 453 bp long sequence-characterized amplified region (SCAR) fragment that distinguishes ACM941 from other C. rosea strains. This PCR-based genetic fingerprinting tool will be useful to track ACM941 upon its release into the environment.
2. Methods and Materials
2.1. Strains
Fungal strains used in the study and their respective sources are provided in Table 1.
Table 1.
Fungal strains used in this study.
2.2. Genomic Ribosomal RNA-Encoding DNA Amplification and Sequencing
Genomic DNA was extracted using EZ-10 Spin Column Fungal Genomic DNA Miniprep Kit (BioBasics, Canada). We used primers ITS1 and LR7 (Table 2) to amplify an approximately 1.5 kb region from selected C. rosea strains along with T. citrinoviride strain Tricho.12 and T. harzianum strain Tricho.18 (Figure S1). The two primers span the D1/D2, 5.8S, ITS-1 and ITS-2 regions. The PCR amplification was performed using 2× BesTaq master mix (ABM, Canada) in the presence of 50 ng genomic DNA and 0.1 µM of each primer in 25 µL reaction volume. The PCR program involved initial denaturation at 94 °C for 5 min, followed by 35 cycles of 30 s denaturation at 94 °C, 30 s annealing at 61 °C and 1 min extension at 72 °C, followed by a 6 min final extension cycle at 72 °C. The PCR products were cleaned using PCR clean-up kit (BioBasics, Canada) and sequenced using the primers ITS1, ITS4, NL-4, LR3R, LR0R and LR5 (Table 2), targeting different rRNA regions at National Research Council of Canada (Saskatoon). Sequence reads were analyzed and assembled using DNA Sequence Assembler v4. Partial sequences of each region for both C. rosea strains 88-710 and ACM941 were deposited in a gene bank database. The consensus sequences were used to retrieve homologous sequences from National Center for Biological Information (NCBI) database, aligned by ClustalW module of MEGA software and their phylogenetic relationship was deduced using its neighbor-joining phylogenetic tree construction module. Trees were visualized and annotated using the online tool in https://itol.embl.de.
Table 2.
Primers used in this study.
2.3. UP-PCR Amplification and Sequencing
All nine UP-PCR primers (Table 2) were used individually and in combination with each other (with combinations forming 36 total primer sets). To identify useful primer sets out of the 45 (9 + 36) possibilities, the initial screening efforts were limited to C. rosea strains ACM941 and 88-710 genomic DNA alone and only polymorphic primers were advanced for full-scale characterization work. The UP-PCR was performed in triplicate using 2× BesTaq master mix (ABM, Canada) in the presence of 70 ng genomic DNA and 0.2 µM final primer concentration in 20 µL reaction volume. The PCR program involved initial denaturation at 94 °C for 7 min, followed by 35 cycles of 50 s denaturation at 94 °C, 70 s annealing at 55 °C and 60 s extension at 72 °C, followed by a 3 min final extension cycle at 72 °C. The ramping rate was about 2.4 °C/s. Half of the reaction volume (10 µL) from each replicate was resolved on 7.5 cm long 6% polyacrylamide gel at 160 V for 55 min using Tris-Borate-EDTA running buffer and stained with SYBR-safe (Thermo Fisher Scientific, Canada). The bands were visualized and documented using the SYBR-safe module of BioRad Chemidoc imaging system (BioRad, Canada).
The SDS-PAGE slices containing the two unique bands from the ACM941 and 88-710 strains were excised and the DNA was isolated following a combination of the ‘crush and soak’ method [21] and DNA ethanol precipitation. Briefly, the excised fragments were chopped into fine pieces using razor blades and soaked overnight at 37 °C on a slow rotating platform in 1 volume of elution buffer (0.5 M ammonium acetate and 1 mM EDTA, pH 8.0). The sample was then spun at 10,000 g for 10 min to pellet gel slices and the supernatant was transferred into clean tubes. An additional 0.5 volume of elution buffer was added to the pellet, vortexed vigorously and the supernatant was recovered as described earlier. The two supernatants were combined and the DNA was precipitated by an ethanol precipitation method by adding 2 volumes of 100% ethanol. The mix was incubated at −20 °C for 30 min and spun at 12,000 g for 12 min at 4 C to pellet DNA. The supernatant was removed gently and the pellet was washed in 200 µL of ice-cold 70% ethanol, followed by centrifugation at 12,000 g for 3 min at 4 °C. The supernatant was discarded and the pellet was air-dried with the DNA re-suspended in TE buffer. The fragments were cloned into pGEM-T-Easy vectors following the manufacturer’s guidelines (Promega, USA) and sequenced. The sequences were mapped against C. rosea strains IK726 [22] and CBS125111 (https://genome.jgi.doe.gov/Cloro1/Cloro1.home.html) genome sequences using BLASTn and subjected to a homology search against the NCBI nucleotide nr database to determine their uniqueness. The ACM941 fragment was selected for further analysis based on the homology search result.
2.4. ACM941 SCAR Specific Probe Development and Southern Blotting
The ACM941 SCAR specific DIG-labelled DNA probes were generated using the DIG High Prime DNA Labeling and Detection Starter Kit I (Roche Diagnostics, Indianapolis, USA) following the manufacturer’s guidelines from PCR-amplified fragments using vectors harboring the cloned fragment as a template in the presence of Phusion® High-Fidelity DNA Polymerase (NEB, Canada) and 0.1 µM each of ACM941-F and ACM941-R primers (Table 2). The PCR program involved 98 °C for 30 s, followed by 20 cycles of 10 s denaturation at 98 °C, 30 s annealing at 62 °C and 30 s extension at 72 °C, followed by a 5 min final extension cycle at 72 °C. Then, we performed PCR using 50 ng genomic DNA of different C. rosea strains and 2× BesTaq master mix (ABM, Canada) in the presence of 0.2 µM of individual primers of either As15/L21 or ACM941-F/ACM941-R (Table 1) combinations in 20 µL reaction volume. The PCR program was initial denaturation at 94 °C for 7 min, followed by 35 cycles of 50 s denaturation at 94 °C, 70 s annealing at 55 °C or 62 °C, respectively, and 60 s extension at 72 °C, followed by a 3 min final extension cycle at 72 °C. The ramping rate was about 2.4 °C/s. Following this, 2 µL of each PCR product, along with 5 µg of EcoRI-digested SCAR fragment containing the pGEM-T-Easy vector, were resolved on 1.5% agarose gel. The procedure outlined in the DIG High Prime DNA Labeling and Detection Starter Kit I (Roche Diagnostics, Indianapolis, IN, USA) manual was followed for DNA transfer to a nylon membrane, fixation, hybridization and immunological detection. Briefly, the blot result was photographed using the colorimetric module in the BioRad Chemidoc imaging system (BioRad, Canada).
3. Results
3.1. Nuclear Encoded Ribosomal RNA Gene Amplification and Analysis
The variable domain D1/D2 partial sequences amplified from the C. rosea strains ACM941 and 88-710 were 796 and 756 bp long, respectively, while those of ITS-1 and ITS-2 spanning the 5.8S regions were 501 and 452 bp long, respectively (Table 3). The difference in D1/D2 and ITS sizes of the two strains was due to sequencing result quality differences. However, the overlapping regions of each region from both strains were identical. Although not sequenced, the PCR fragments amplified using the ITS1 and LR5 primer combination from the two C. rosea strains DAOM175083 and DAOM214828 were of similar sizes to those of C. rosea strains ACM941 and 88-710, while the fragment amplified from T. harzianum strain Tricho.18 had a lower molecular weight. The fragment from C. rosea isolate J1446 was slightly smaller than that of C. rosea strains (Figure S1A). With respect to the ITS1 specific primers ITS1-X and ITS1-Y (Table 2) described by Bulat et al. [17], similar molecular weight fragments were obtained from the above four C. rosea strains. However, the molecular weight of fragments amplified from Tricho.18 and Tricho.12 were different from each other and also from that of C. rosea strains, while a faint band with a molecular size similar to that of the C. rosea bands was obtained from J1446 (Figure S1B). The apparent high degree of rRNA sequence identity observed here among C. rosea strains is not unexpected, even with respect to strains originating from different geographic locations. For example, D1/D2 regions amplified from eight S. boulardii strains showed 100% sequence identity [23]. In line with this, the D1/D2 region of C. rosea strains ACM941 and 88-710 displayed a 100% nucleotide sequence identity with C. rosea strains CBS 128894, CBS 127294, CBS 125.72, CBS 443.65, CBS 277.50, CBS 226.48, PAV-M 1.025, G3-1, C. rosea culture-collection MUT<ITA>:4900 and Bionectria ochroleuca strain CCFC226708. Furthermore, BLAST analysis of both D1/D2 and ITS-1/ITS2 region sequences against NCBI nr database retrieved an additional 58 fungal strains with 99% sequence identity, suggesting a high level of rRNA genetic sequence conservation in fungal species in general (Figure S2a,b).
Table 3.
Accession number of rRNA genomic regions amplified from C. rosea strains ACM941 and 88-710.
Contrary to the partial LSU region, only five isolates in four species, including Trichoderma sp. isolate yi1252_1, C. rosea strain pC1, B. ochroleuca strain ATCC 48395, B. ochroleuca isolate SB_Bac6 and Nectria gliocladioides strain S9A6, showed 100% similarity to the 5.8S and partial ITS regions of both ACM941 and 88-710. However, out of the 100 homologues retrieved from the NCBI nr database using the partial D1/D2 region as a query a maximum of three nucleotide substitutions (99% identity) were observed. In comparison, blasting the partial LSU (D1/D2) region of ACM941 against NCBI nr database retrieved homologues containing up to 29 bp differences/96% sequence identity (data not shown). We also tried to amplify the cpn60-type molecular chaperone’s genomic DNA, however, repeated attempts did not produce any distinct band from either strain (data not shown).
3.2. UP-PCR Markers Distinguishing C. rosea Strain ACM941 from 88-710
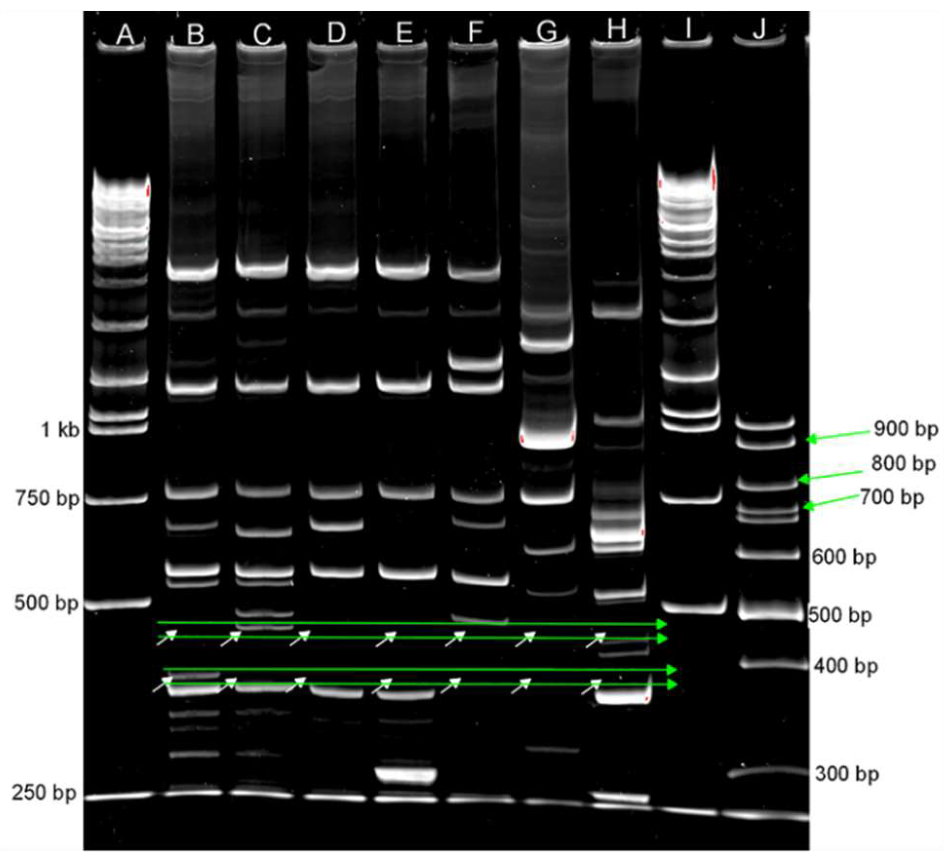
Of the 45 possible primer combinations tested (Table 2), only nine produced distinct bands differentiating the C. rosea strain ACM941 from 88-710 and were advanced for further analysis. The primer combinations were: As15 + L45, As15 + l21, As15inv + L21, As15 + AA2M2, As4 + L45, As15inv + Fok1a, As15 + 3-2, As15inv + AA2M2 and L21 alone. Of these, only the AS15 + L45 primer combination produced a ~450 bp fragment that was specific to ACM941 and a ~370 bp that initially appeared to be specific for strain 88-710 (Figure 1). These results were validated by repeating the PCR reactions on two additional separate genomic DNA extractions, yielding consistent results. Sequencing the ACM941 specific fragment, hereafter referred to as SCAR-2, revealed a 453 bp long sequence (accession number: MK650463) with no homology to any genome sequences of C. rosea strains IK726 and CB125111 or to any sequence in the NCBI database as of the time of writing (Table S1). On the other hand, sequencing of the fragment amplified from strain 88-710, referred to as SCAR-3, revealed a 404 bp-long sequence that was successfully mapped to scafold_547 of C. rosea strain IK726 with 97% identity and coverage) showing significant homology to a serine/threonine-protein kinase both at the nucleotide and translated protein level by BLAST against the NCBI database (Table S1). Subsequent investigation using de novo SCAR primers designed on the basis of the obtained SCAR-3 sequence also amplified a fragment of similar size from strain ACM941 (data not shown). Therefore, SCAR-3 was omitted from further analysis. Two additional fragments (SCAR-1 and SCAR-4) were also sequenced (Figure 1) and both were mapped to both C. rosea genomes (Table S1).
Figure 1.
PCR products of C. rosea isolates using the AS15 and L21 primer combination resolved on 6% polyacrylamide gel. Lane descriptions: A—ExcelBand™ XL 25 kb DNA Ladder, Broad Range; B—C. rosea strain 88-710; C—C. rosea strain ACM941; D—C. rosea strain DAOMC175083; E—C. rosea strain DAOMC241828; F—C. rosea isolate J1446; G—T. citrinoviride strain Tricho.12; H—T. harzianum strain Tricho.18; I—ExcelBand™ XL 25 kb DNA Ladder, Broad Range; and J—NEB 100 bp DNA Ladder. White arrows indicate expected band positions of the unique fragments.
Interestingly, SCAR primers (Table 2) designed against SCAR-2 produced a strong band from C. rosea ACM941 but not from the two other commercial biocontrol agent C. rosea strains 88-710 or J1446, nor C. rosea isolates DAOM175083 and DAOM214828 (Figure 2). Encouraged by this specificity, additional available strains were tested. Here, faint bands of similar molecular weight were detected from C. rosea isolates DAOMC250196, DAOMC251432, DAOMC238301, DAOMC226796 and DAOMC238388 (Figure 3a). Similarly, Southern blot assays against PCR-amplified genomic DNA products using DIG-labelled ACM941 SCAR-2 failed to detect the sequence in either of the other two commercial strains or the two C. rosea isolates tested earlier, but yielded faint bands in all other strains. The non-specificity of the DIG-labelled probes was also evident from cross-reaction with the pGEM-T Easy vector backbone (Figure 3b), although there was no significant homology between the probe and the vector.
Figure 2.
SCAR-2 primer amplification products resolved on 1.5% agarose gel. Lane descriptions: A—EcoRI-digested pGEM-T vector harboring SCAR-2; B—PCR-amplified SCAR-2; C—C. rosea strain 88-710; D—C. rosea strain ACM941; E—C. rosea isolate J1446; F—C. rosea strain DAOMC241828; G—C. rosea strain DAOMC175083; H—C. rosea strain DAOMC238388; and I—EcoRI-digested pGEM-T vector harboring SCAR-3.
Figure 3.
SCAR-2 primer products detection using gel electrophoresis and Southern blot. (a) SCAR-2 primer amplification products resolved on 1.5% agarose gel and (b) Southern blot results using DIG-labelled ACM941 specific SCAR probe. Lane descriptions: A—plasmid-24 RE (negative control); B—plasmid-20 RE (positive control); C—C. rosea strain 88-710; D—C. rosea strain ACM941; E—C. rosea strain J1446; F—C. rosea strain DAOMC241828; G—C. rosea strain DAOMC175083; H—C. rosea strain DAOMC250196; I—C. rosea strain DAOMC251432; J—C. rosea DAOMC238301; K—C. rosea strain DAOMC238388; and L—C. rosea strain DAOMC226796. Labels on the gel are given in bold letters. Patented C. rosea strains are indicated by arrows.
4. Discussion
From the discovery of penicillin to the recently identified new class of antibiotic teixobactin [24] and emergence of microbiome engineering, humans have, and continue to, harness the potential of fungal organisms. With the world population expected to surpass nine billion by the year 2050 and environmental and human health concerns associated with agricultural inputs steadily growing, the prospect of taking advantage of plant growth and yield protection properties of beneficial fungi, including C. rosea, cannot be ignored. The UP-PCR marker and SCAR primers derived from this study show a promising effectiveness in distinguishing C. rosea strain ACM941 from 88-710 and also from other morphologically similar biocontrol agents like C. rosea strain IK726 [22] and J1446 [6].
Amplification of rRNA regions, particularly the inter-transcribed regions (ITS1 and ITS2), 5.8S and the highly variable D1/D2 region, are commonly used in fungal systematic studies [25]. However, high levels of sequence conservation in these regions is also a common phenomenon, especially between intra-species organisms. For example, Bulat et al. [17] reported ribotyping of strains from Trichoderma and C. rosea spp. into separate ITS groups, but no difference was observed among strains belonging to each group. Paavanen-Huhtala et al. [13] also reported that the 28S, ITS1-5.8S-ITS2 and 18S regions amplified from 17 C. rosea strains, including J1446, were found to share identical sequences. Similarly, the partial D1/D2 and ITS1-5.8S-ITS2 regions amplified from C. rosea strain ACM941 and 88-710 in this work were 100% identical. In addition, nine C. rosea strains retrieved from public databases and B. ochroleuca strain CCFC226708 shared 100% sequence identity to D1/D2 region of ACM941 and 88-710. On the other hand, C. rosea strain pC1 and four other fungal species, Trichoderma sp. isolate yi1252, B. ochroleuca strain ATCC 48395, B. ochroleuca isolate SB_Bac6 and N. gliocladioides, showed 100% sequence identity against the ITS1-5.8S-ITS2 region of ACM941 and 88-710.
It is also worth noting that, while the D1/D2 ACM941 sequence top alignment hit list is dominated by C. rosea strains, only one C. rosea strain showed 100% conservation against ITS1-5.8S-ITS2 sequences. Of the nine C. rosea strains with a 100% conserved D1/D2 region to ACM941/88-710 strains, four of them had a 1–2 bp difference in their ITS1-5.8S-ITS2 regions. On the other hand, none of the fungal species that showed 100% sequence identity with the ITS1-5.8S-ITS2 region of ACM941 were found in the top 100 alignment results against the D1/D2 region (data not shown). Although this might imply a high degree of ITS1-5.8S-ITS2 region conservation across fungal species, the molecular weight of the T. citrinoviride strain Tricho.12 and the T. harzianum strain Tricho.18 ITS1 region amplified using ITS1-X and ITS1-Y primers (Table 1) showed significant deviation from the five C. rosea strains tested in this study (Figure S1B). This discrepancy is likely because only partial ITS1 sequences of the C. rosea strain ACM941 were obtained, such that the size differences do not necessarily contradict the alignment or the phylogenetic tree deduced from it (Figure S2a,b).
In contrast to rRNA genomic regions, UP-PCR primers generally do not show homology to sequences in public database and have been used to develop strain-specific markers for C. rosea strain GR5 [12,26]. Similarly, Lubeck et al. [19] used UP-PCR primers to precisely assign several R. solani isolates into their correct anastomosis subgroups. In this work, nine UP-PCR primers (Table 2) were tested in order to develop a specific marker to distinguish C. rosea strain ACM941 from other patented C. rosea strains and known biocontrol agents, such as T. citrinoviride and T. harzianum. The combination of the UP-PCR primers AS15 and L45 produced a 453 bp-long unique fragment in strain ACM941 (Figure 1) and the SCAR primers derived from the unique SCAR-2 fragment also produced an unambiguous band specific to strain ACM941 compared to all other patented biocontrol agents (Figure 2).
The intent of this project was to develop a unique and reproducible molecular marker to differentiate ACM941 and 88-710 from each other and similar biocontrol agents. Two specific fragments each specific for 88-710 and ACM941 were initially obtained using AS15 and L45 primers (Figure 1). However, the C. rosea strain 88-710 unique fragment (SCAR-3, Table S2) was detected in ACM941 during more in-depth analysis (data not shown) and thus was not considered in further screening. SCAR-2, on the other hand, efficiently discriminated ACM941 from all commercial biocontrol agents, including C. rosea strains 88-710 and J1446 (Figure 2 and Figure 3a,b). The SCAR-2 sequence did not show homology to any other known sequence, including the closely related C. rosea strain IK726 genome. This was despite the fact that IK726 sequences were used previously to design cloning primers for genes encoded in strain ACM941 and previous transcriptomic analyses showed that the two strains share very high sequence identity [27]. Of the four fragments we cloned (Figure 1), only SCAR-2 did not identify a homologous region in the IK726 genomic sequence (Table S1). SCAR-2 primers (Table 2) also either failed to detect a visible band or produced only a very faint band in eight other C. rosea strains (Figure 3a). The relatively low intensities of these bands are indicative of their low homology to SCAR-2. The DIG-labelled probe derived from SCAR-2, however, yielded higher intensity bands for strains other than ACM941. This is likely due the inherent non-specificity associated with DIG-labelled probes. Indeed, even the best optimized conditions still allow DIG-labelled probes to bind to sequences with as low as 80%–85% identity (DIG Manual, Roche Diagnostics, Indianapolis, USA). Similarly, and perhaps going to the robustness of the UP-PCR SCAR-2 primers developed here, previously identified UP-PCR markers were found to detect bands with high sequence homology from some other strains. For example, the C. rosea strain GR5-specific marker developed by Bulat et al. [12] was found to detect fragments with 96%−99% sequence similarity from some strains isolated from different geographic locations. Therefore, taken together, these results imply that the SCAR-2 sequence is likely unique to ACM941 and can be used to detect and monitor strain ACM941 after its release to the environment.
5. Conclusions
In conclusion, we have developed a PCR-based genetic fingerprinting method that can distinguish the C. rosea strain ACM941 from other C. rosea strains and related biocontrol agents in use in North America. C. rosea strains ACM941 and 88-710 and other similar patented strains share a high degree of application overlap (crops), although they are intended for different purposes. Therefore, distinguishing these strains before application (manufacturing and handling stages) to maintain their purity is as important as tracking them after their application. The marker described here can efficiently characterize ACM941 from these strains. Efforts are underway to test the effectiveness of these loci in identifying ACM941 from natural populations. Once the protocol is optimized, the primers can be used to track ACM941 after its release.
Supplementary Materials
The following are available online at https://www.mdpi.com/2309-608X/5/2/39/s1. PDF document entitled Supplementary Tables and Figures, which includes Table S1, Figures S1 and S2.
Author Contributions
Conceptualization, Z.A.D., W.G.B. and M.C.L.; data curation, Z.A.D.; formal analysis, M.C.L.; funding acquisition, W.G.B. and M.C.L.; investigation, Z.A.D.; methodology, Z.A.D.; project administration, M.C.L.; resources, W.G.B. and M.C.L.; supervision, M.C.L.; validation, Z.A.D.; writing—original draft, Z.A.D.; writing—review and editing, W.G.B. and M.C.L.
Funding
This work was supported by funding from the Canadian Wheat Flagship and Sustainable AgriFood Program of the National Research Council of Canada to ML.
Acknowledgments
We would like to thank Allen Xue (PhD) and Canadian Collection of Fungal Cultures (DAOMC) (Ottawa, Canada) for providing the fungal strains used in the study. We thank Joey Spatafora and Kathryn Bushley for providing access to the unpublished Clonostachys rosea genome data produced by the U.S. Department of Energy Joint Genome Institute, a DOE Office of Science User Facility, supported by the Office of Science of the U.S. Department of Energy under Contract No. DE-AC02-05CH11231. This manuscript represents NRC Communication #56442.
Conflicts of Interest
The authors declare no conflict of interest.
References
- Coskun, D.; Britto, D.T.; Shi, W.; Kronzucker, H.J. Nitrogen transformations in modern agriculture and the role of biological nitrification inhibition. Nat. Plants 2017, 3, 17074. [Google Scholar] [CrossRef]
- Godfray, H.C.J.; Beddington, J.R.; Crute, I.R.; Haddad, L.; Lawrence, D.; Muir, J.F.; Pretty, J.; Robinson, S.; Thomas, S.M.; Toulmin, C. Food security: The challenge of feeding 9 billion people. Science 2010, 327, 812–818. [Google Scholar] [CrossRef]
- Brown, W.G. Clonostachys rosea Inoculated Plant Materials with Fungicides and Adjuvants. U.S. Patent Application 20160007613A1, 14 January 2016. [Google Scholar]
- Brown, W.G. Clonostachys rosea Inoculated Plant Materials with Fungicides and Adjuvants. U.S. Patent Number US9,603,369B2, 28 March 2017. [Google Scholar]
- Stewart, J.F.; Brown, W.G. Production and Use of Endophytes as Novel Inoculants for Promoting Enhanced Plant Vigor, Health, Growth, Yield Reducing Environmental Stress and for Reducing Dependency on Chemical Pesticides for Pest Control. U.S. Patent Publication of EP2001821A1, 17 December 2012. [Google Scholar]
- Tahvonen, R.T.; Keskinen, M.T.; Lahdenpera, M.-L.; Seiskari, P.T.; Teperi, E.P.; Tuominen, U.A.; Avikainen, H.H. Fungus Gliocladium catenulatum for Biological Control of Plant Diseases. U.S. Patent 5968504, 19 October 1999. [Google Scholar]
- Hue, A.G.; Voldeng, H.D.; Savard, M.E.; Fedak, G.; Tian, X.; Hsiang, T. Biological control of fusarium head blight of wheat with Clonostachys rosea strain ACM941. Can. J. Plant Pathol. 2009, 31, 169–179. [Google Scholar] [CrossRef]
- Xue, A.; Chen, Y.; Voldeng, H.; Savard, M.; Tian, X. Biological control of Fusarium head blight of wheat with Clonostachys rosea strain ACM941. Cereal Res. Commun. 2008, 36, 695–699. [Google Scholar] [CrossRef]
- Xue, A.G.; Chen, Y.; Voldeng, H.D.; Fedak, G.; Savard, M.E.; Längle, T.; Zhang, J.; Harman, G.E. Concentration and cultivar effects on efficacy of CLO-1 biofungicide in controlling Fusarium head blight of wheat. Biol. Control 2014, 73, 2–7. [Google Scholar] [CrossRef]
- Badotti, F.; de Oliveira, F.S.; Garcia, C.F.; Vaz, A.B.M.; Fonseca, P.L.C.; Nahum, L.A.; Oliveira, G.; Góes-Neto, A. Effectiveness of ITS and sub-regions as DNA barcode markers for the identification of Basidiomycota (Fungi). BMC Microbiol. 2017, 17, 42. [Google Scholar] [CrossRef] [PubMed]
- Abbasi, P.A.; Miller, S.A.; Meulia, T.; Hoitink, H.A.; Kim, J.-M. Precise detection and tracing of Trichoderma hamatum 382 in compost-amended potting mixes by using molecular markers. Appl Environ. Microbiol. 1999, 65, 5421–5426. [Google Scholar]
- Bulat, S.A.; Lübeck, M.; Alekhina, I.A.; Jensen, D.F.; Knudsen, I.M.; Lübeck, P.S. Identification of a universally primed-PCR-derived sequence-characterized amplified region marker for an antagonistic strain of Clonostachys rosea and development of a strain-specific PCR detection assay. Appl. Environ. Microbiol. 2000, 66, 4758–4763. [Google Scholar] [CrossRef]
- Paavanen-Huhtala, S.; Avikainen, H.; Yli-Mattila, T. Development of strain-specific primers for a strain of Gliocladium catenulatum used in biological control. Eur. J. Plant Pathol. 2000, 106, 187–198. [Google Scholar] [CrossRef]
- Bruns, T.D.; White, T.J.; Taylor, J.W. Fungal Molecular Systematics. Annu. Rev. Ecol. Syst. 1991, 22, 525–564. [Google Scholar] [CrossRef]
- White, T.J.; Bruns, T.D.; Lee, S.; Taylor, J.W. Ampli¢cation and direct sequencing of fungal ribosomal RNA genes for phylogenetics. In PCR Protocols: A Guide to Methods and Applications; Innis, M., Gelfand, D.H., Sninsky, J.J., White, T.J., Eds.; Academic Press: San Diego, CA, USA, 1990; pp. 315–322. [Google Scholar]
- Vilgalys, R. Genetic relatedness among anastomosis groups in Rhizoctonia as measured by DNA/DNA hybridization. Phytopathology 1988, 78, 698–702. [Google Scholar] [CrossRef]
- Bulat, S.A.; Lübeck, M.; Mironenko, N.; Jensen, D.F.; Lübeck, P.S. UP-PCR analysis and ITS1 ribotyping of strains of Trichoderma and Gliocladium. Mycol. Res. 1998, 102, 933–943. [Google Scholar] [CrossRef]
- Bulat, S.A.; Mironenko, N.V. Identification of fungi and analysis of their genetic diversity by polymerase chain reaction (PCR) with gene specific and nonspecific primers. Russ. J. Genet. 1996, 32, 143–159. [Google Scholar]
- Lubeck, M.; Alekhina, I.; Lübeck, P.S.; Jensen, D.F.; Bulat, S.A. Delineation of Trichoderma harzianum Rifai into two different genotypic groups by a highly robust fingerprinting method, UP-PCR, and UP-PCR product cross-hybridisation. Mycol. Res. 1999, 103, 289–298. [Google Scholar] [CrossRef]
- Hill, J.E.; Town, J.R.; Hemmingsen, S.M. Improved template representation in cpn60 polymerase chain reaction (PCR) product libraries generated from complex templates by application of a specific mixture of PCR primers. Environ. Microbiol. 2006, 8, 741–746. [Google Scholar] [CrossRef]
- Sambrook, J.; Russell, D.W. Isolation of DNA fragments from polyacrylamide gels by the crush and soak method. CSH Protoc. 2006, 2006. [Google Scholar] [CrossRef]
- Karlsson, M.; Durling, M.B.; Choi, J.; Kosawang, C.; Lackner, G.; Tzelepis, G.D.; Nygren, K.; Dubey, M.K.; Kamou, N.; Levasseur, A.; et al. Insights on the Evolution of Mycoparasitism from the Genome of Clonostachys rosea. Genome Biol. Evol. 2015, 7, 465–480. [Google Scholar] [CrossRef]
- van der Aa Kühle, A.; Jespersen, L. The taxonomic position of Saccharomyces boulardii as evaluated by sequence analysis of the D1/D2 domain of 26S rDNA, the ITS1-5.8S rDNA-ITS2 region and the mitochondrial cytochrome-c oxidase II gene. Syst. Appl. Microbiol. 2003, 26, 564–571. [Google Scholar] [CrossRef]
- Ling, L.L.; Schneider, T.; Peoples, A.J.; Spoering, A.L.; Engels, I.; Conlon, B.P.; Mueller, A.; Schäberle, T.F.; Hughes, D.E.; Epstein, S.; et al. A new antibiotic kills pathogens without detectable resistance. Nature 2015, 517, 455–459. [Google Scholar] [CrossRef] [PubMed]
- Hibbett, D.S.; Taylor, J.W. Fungal systematics: Is a new age of enlightenment at hand? Nat. Rev. Microbiol. 2013, 11, 129. [Google Scholar] [CrossRef]
- Bulat, S.A.; Kobaev, O.K.; Mironenko, N.V.; Ibatullin, F.M.; Luchkina, L.A.; Suslov, A.V. Polymerase chain reaction with universal primers for studying genomes. Genetika 1992, 28, 19–28. [Google Scholar] [PubMed]
- Demissie, Z.A.; Foote, S.J.; Tan, Y.; Loewen, M.C. Profiling of the transcriptomic responses of Clonostachys rosea upon treatment with Fusarium graminearum secretome. Front. Microbiol. 2018, 9, 1061. [Google Scholar] [CrossRef] [PubMed]
© 2019 by the authors. Licensee MDPI, Basel, Switzerland. This article is an open access article distributed under the terms and conditions of the Creative Commons Attribution (CC BY) license (http://creativecommons.org/licenses/by/4.0/).


