A Case-Control Study of Paracoccidioidomycosis in Women: The Hormonal Protection Revisited
Abstract
1. Introduction
2. Patients and Methods
3. Results
3.1. Clinical and Demographic Characteristics of Women with PCM
3.2. Comparison between the A/SAF of PCM in Males and Females
3.3. Comparison between the CF of PCM in Males and Females
3.4. Comparison between the CF of PCM in Females at and Not at Childbearing Age
3.5. Review of Skin Test Surveys with Paracoccidioides spp. Antigens in the General Population
4. Discussion
Author Contributions
Funding
Institutional Review Board Statement
Informed Consent Statement
Data Availability Statement
Acknowledgments
Conflicts of Interest
References
- Taborda, C.P.; Travassos, R.G.; Benard, G. Paracoccidioidomycosis. In Encyclopedia of Mycology; Nosanchuk, J., Zaragoza, O., Casadevall, A., Eds.; Elsevier: Philadelphia, PA, USA, 2021; Volume 1, pp. 654–675. [Google Scholar]
- Franco, M.; Montenegro, M.R.; Mendes, R.P.; Marques, S.A.; Dillon, N.L.; Mota, N.G. Paracoccidioidomycosis: A recently proposed classification of its clinical forms. Rev. Soc. Bras. Med. Trop. 1987, 20, 129–132. [Google Scholar] [CrossRef]
- Shankar, J.; Restrepo, A.; Clemons, K.V.; Stevens, D.A. Hormones and the resistance of women to paracoccidioidomycosis. Clin. Microbiol. Rev. 2011, 24, 296–313. [Google Scholar] [CrossRef]
- Romaneli, M.T.D.N.; Tardelli, N.R.; Tresoldi, A.T.; Morcillo, A.M.; Pereira, R.M. Acute-subacute paracoccidioidomycosis: A paediatric cohort of 141 patients, exploring clinical characteristics, laboratorial analysis and developing a non-survival predictor. Mycoses 2019, 62, 999–1005. [Google Scholar] [CrossRef] [PubMed]
- Paniago, A.M.; Aguiar, J.I.; Aguiar, E.S.; da Cunha, R.V.; Pereira, G.R.; Londero, A.T.; Wanke, B. Paracoccidioidomycosis: A clinical and epidemiological study of 422 cases observed in Mato Grosso do Sul. Rev. Soc. Bras. Med. Trop. 2003, 36, 455–459. [Google Scholar] [CrossRef]
- Pecanha, P.M.; Batista Ferreira, M.E.; Massaroni Peçanha, M.A.; Schmidt, E.B.; Lamas de Araújo, M.; Zanotti, R.L.; Potratz, F.F.; Delboni Nunes, N.E.; Gonçalves Ferreira, C.U.; Delmaestro, D.; et al. Paracoccidioidomycosis: Epidemiological and clinical aspects in 546 cases studied in the state of Espirito Santo, Brazil. Am. J. Trop. Med. Hyg. 2017, 97, 836–844. [Google Scholar] [CrossRef] [PubMed]
- Bellissimo-Rodrigues, F.; Bollela, V.R.; Da Fonseca, B.A.; Martinez, R. Endemic paracoccidioidomycosis: Relationship between clinical presentation and patients’ demographic features. Med. Mycol. 2013, 51, 313–318. [Google Scholar] [CrossRef] [PubMed]
- Nery, A.F.; Crepaldi, N.P.; Rossi, S.; Tadano, T.; Leal-Santos, F.A.; Hahn, R.C.; Menezes, V.M.; Fontes, C.J.F. Therapeutic response in adult patients with nonsevere chronic paracoccidioidomycosis treated with sulfamethoxazole-trimethoprim: A retrospective study. Am. J. Trop. Med. Hyg. 2017, 97, 556–562. [Google Scholar] [CrossRef] [PubMed]
- Aristizábal, B.H.; Clemons, K.V.; Cock, A.M.; Restrepo, A.; Stevens, D.A. Experimental paracoccidioides brasiliensis infection in mice: Influence of the hormonal status of the host on tissue responses. Med. Mycol. 2002, 40, 169–178. [Google Scholar] [CrossRef] [PubMed]
- Cacere, C.R.; Romano, C.C.; Mendes Giannini, M.J.; Duarte, A.J.; Benard, G. The role of apoptosis in the antigen-specific T cell hyporesponsiveness of paracoccidioidomycosis patients. Clin. Immunol. 2002, 105, 215–222. [Google Scholar] [CrossRef][Green Version]
- Shikanai-Yasuda, M.A.; Mendes, R.P.; Colombo, A.L.; Telles, F.Q.; Kono, A.; Paniago, A.M.M.; Nathan, A.; Valle, A.C.F.D.; Bagagli, E.; Benard, G.; et al. Brazilian guidelines for the clinical management of paracoccidioidomycosis. Epidemiol. Serv. Saude 2018, 27, e0500001. [Google Scholar] [CrossRef]
- World Health Organization. Women and Health: Today’s Evidence Tomorrow’s Agenda; World Health Organization: Geneva, Switzerland, 2009; Available online: https://apps.who.int/iris/bitstream/handle/10665/44168/9789241563857_eng.pdf?sequence=1&isAllowed=y (accessed on 15 April 2021).
- Santos, W.A.; Silva, B.M.; Passos, E.D.; Zandonade, E.; Falqueto, A. Associação entre tabagismo e paracoccidioidomicose: Um estudo de caso-controle no Estado do Espírito Santo, Brasil. Cad. Saúde Pública 2003, 19, 245–253. [Google Scholar] [CrossRef]
- Levy, D.; de Almeida, L.M.; Szklo, A. The Brazil SimSmoke policy simulation model: The effect of strong tobacco control policies on smoking prevalence and smoking-attributable deaths in a middle income nation. PLoS Med. 2012, 9, e1001336. [Google Scholar] [CrossRef] [PubMed]
- Lacaz, C.S.; Passos Filho, M.C.R.; Fava Netto, C.; Macarron, R. Contribuição para o estudo da Blastomicose-infecção: Inquérito com paracoccidioidina. Estudo sorológico e clínico radiológico dos paracoccidioidinos-positivos. Rev. Inst. Med. Trop. São Paulo 1959, 1, 245–259. [Google Scholar]
- Fava, S.; Fava Netto, C. Epidemiologic surveys of histoplasmin and paracoccidioidin sensitivity in Brazil. Rev. Inst. Med. Trop. São Paulo 1998, 40, 155–164. [Google Scholar] [CrossRef] [PubMed]
- Bagatin, E. Inquérito epidemiológico com a paracoccidioidina na região de Sorocaba, Estado de São Paulo. An. Bras. Derm. 1986, 61, 5–8. [Google Scholar]
- Barbosa, W. Blastomicose Sul-Americana: Contribuição ao seu Estudo no Estado de Goiás. Senior Professor Thesis, Faculdade de Medicina da Universidade Federal de Goiás, Goiânia, Brazil, 1968. [Google Scholar]
- Carandina, L.; Magaldi, C. Inqurito sobre Blastomicose Sul-Americana pela intradermo reação em uma comunidade rural do Município de Botucatu, SP (Brasil). Rev. Saúde Pública 1974, 8, 171–180. [Google Scholar] [CrossRef]
- Fava, S.C. Contribuição ao Estudo da Reação Intradérmica de Histoplasmina. Padronização de Antígeno Polissacáride e Comparação com a Histoplasmina Clássica (Antígeno Filtrado) Através de Inquérito Epidemiológico. Ph.D. Thesis, Faculdade de Medicina da Universidade de São Paulo, São Paulo, Brazil, 1976. [Google Scholar]
- Freitas, N.A. Paracoccidioidomicose. Inquérito com a Paracoccidioidina e Busca Ativa de Casos na Localidade de Santa Cruz, Município de Campos, RJ. Ph.D. Thesis, Faculdade de Medicina da Universidade Federal do Rio de Janeiro, Rio de Janeiro, Brazil, 1992. [Google Scholar]
- Marchi, M.S. Inquérito Epidemiológico Pela Paracoccidioidina- Polissacáride em População Urbana e Rural da Região da Zona da Mata de Minas Gerais. Master’s Thesis, Faculdade de Medicina da Universidade Federal de Minas Gerais, Belo Horizonte, Brazil, 1984. [Google Scholar]
- Mok, W.Y.; Fava Netto, C. Paracoccidioidin and Histoplasmin Sensitivity in Coari (State of Amazonas), Brazil. Am. J. Trop. Med. Hyg. 1978, 27, 808–814. [Google Scholar] [CrossRef]
- Pedrosa, P.N. Paracoccidioidomicose: Inquérito Intradérmico com Paracoccidioidina em Zona Rural do Estado do Rio de Janeiro. Master’s Thesis, Faculdade de Medicina da Universidade Federal do Rio de Janeiro, Rio de Janeiro, Brazil, 1976. [Google Scholar]
- Pereira, A.J.C.S. Inquerito Intradérmico para Paracoccidioidomicose em Goiânia. Rev. Pat. Trop. 1988, 17, 157–186. [Google Scholar]
- Cermeño, J.R.; Hernández, I.; Cermeño, J.J.; Godoy, G.; Cermeño, J.J.; Orellán, Y.; Blanco, Y.; Cabello, I.; Guzmán, Y.; Alcalá, F.; et al. Epidemiological survey of histoplasmine and paracoccidioidine skin reactivity in an agricultural area in Bolívar state, Venezuela. Eur. J. Epidemiol. 2004, 19, 189–193. [Google Scholar] [CrossRef] [PubMed]
- Cermeño, J.R.; Cermeño, J.J.; Hernández, I.; Godoy, G.; Cermeño, J.J.; Cabello, I.; Orellán, Y.; Blanco, Y.; Penna, S. Histoplasmine and paracoccidiodine epidemiological study in Upata, Bolívar state, Venezuela. Trop. Med. Int. Health 2005, 10, 216–219. [Google Scholar] [CrossRef] [PubMed]
- Van Gelderen de Komaid, A.; Durán, E.; Borges de Kestelman, I. Histoplasmosis and Paracoccidioidomycosis in northwestern Argentina III. Epidemiological survey in Vipos, La Toma, and Choromoro—Trancas, Tucumán, Argentina. Eur. J. Epidemiol. 1999, 15, 383–388. [Google Scholar]
- Greer, D.L.; D’Costa de Estrada, D.; Agredo de Trejos, L. Dermal sensitivity to paracoccidiodin and histoplasmin in family members of patients with paracoccidioidomycosis. Am. J. Trop. Med. Hyg. 1974, 23, 87–98. [Google Scholar] [CrossRef] [PubMed]
- Marques, A.P.; Oliveira, S.M.; Rezende, G.R.; Melo, D.A.; Fernandes-Fitts, S.M.; Pontes, E.R.; da Glória Bonecini-Almeida, M.; Camargo, Z.P.; Paniago, A.M. Evaluation of Paracoccidioides brasiliensis infection by gp 43 intradermal test in rural settlements in Central-West Brazil. Mycopathologia 2013, 176, 41–47. [Google Scholar] [CrossRef]
- Silva-Vergara, M.L.; Martinez, R. Inquérito epidemiológico com paracoccidioidina e histoplasmina em área agrícola de café em Ibiá, Minas Gerais, Brasil. Rev. Iberoam Micol. 1998, 15, 294–297. [Google Scholar] [PubMed]
- Coimbra Júnior, C.E.; Wanke, B.; Santos, R.V.; do Valle, A.C.; Costa, R.L.; Zancopé-Oliveira, R.M. Paracoccidioidin and histoplasmin sensitivity in Tupí-Mondé Amerindian populations from Brazilian Amazonia. Ann. Trop. Med. Parasitol. 1994, 88, 197–207. [Google Scholar] [CrossRef] [PubMed]
- Rezkallah-Iwasso, M.T. Reações Intradérmicas a diferentes tipos de paracoccidioidina e positividade ao teste em formas clínicas distintas de paracoccidioidomicose. In Proceedings of the Programa y Resumenes, Colóquio Internacional Sobre la Paracoccidioidomicosis, Medellin, Colombia, 15–18 February 1986; p. 34. [Google Scholar]
- Marques, A.P.C.; Oliveira, S.M.V.L.; Rezende, G.R.; Melo, D.A.; Fernandes-Fitts, S.M.; Pontes, E.R.J.C.; Bonecini-Almeida, M.D.G.; Camargo, Z.P.; Mendes, R.P.; Paniago, A.M.M. Standardization and Prevalence of the Booster Phenomenon: Evaluation Using a Two-Step Skin Test with 43 kDa Glycoprotein in Individuals from an Endemic Region of Paracoccidioidomycosis. Mycopathologia 2017, 182, 809–817. [Google Scholar] [CrossRef]
- Cermeño, J.; Cermeño, J.; Godoy, G.; Hernández, I.; Orellán, Y.; Blanco, Y.; Penna, S.; García, L.; Mender, T.; Gonsálvez, M.; et al. Epidemiological study of paracoccidioidomycosis and histoplasmosis in a suburb of San Félix city, Bolívar state, Venezuela. Investig. Clin. 2009, 50, 213–220. [Google Scholar]
- Ribeiro, M.A.G. Contribuição para o estudo de histoplasmose e paracoccidioidomicose no Estado do Rio Grande do Norte. Provas Intradérmicas com Histoplasmina e Paracoccidioidina nos Municípios de São Paulo do Potengi e Macaiba. Senior Professor Thesis, Universidade Federal do Rio Grande do Norte, Natal, Brazil, 1978. [Google Scholar]
- Marques, S.A.; Stolf, H.O.; Habermann, M.C.; Lastória, J.C.; Barraviera, S.R.C.S. Inquérito Epidemiológico com paracoccidioidina e histoplasmina em Humaitá, AM. In Proceedings of the Programa y Resumenes, Colóquio Internacional sobre la Paracoccidioidomicosis, Medellin, Colombia, 15–18 February 1986; p. 65. [Google Scholar]
- de Andrade, J.A.; de Andrade, T.M.; Lacaz Cda, S.; Rodrigues, M.C.; Preuss, M.; Lorenço, R.; Badaró, R. Inquérito com paracoccidioidina em uma população da Bahia (Brasil). Rev. Inst. Med. Trop. Sao Paulo 1984, 26, 1–6. [Google Scholar] [CrossRef]
- Bastardo de Albornoz, M.C.; Albornoz, R. Estudio de la sensibilidad especifica en residentes de un area endemica a la paracoccidioidomicosis en Venezuela. Mycopathol. Mycol. Appl. 1971, 45, 65–75. [Google Scholar] [CrossRef] [PubMed]
- Dias, N.F.C. Paracoccidioidomicose. Inquérito com Paracoccidioidina em Zonas Rurais do Estado da Bahia. Ph.D. Thesis, Escola Paulista de Medicina São Paulo, São Paulo, Brazil, 1986. [Google Scholar]
- Mangiaterra, M.L.; Giusiano, G.E.; Alonso, J.M.; Gorodner, J.O. Paracoccidioides brasiliensis infection in a subtropical region with important environmental changes. Bull. Soc. Pathol. Exot. 1999, 92, 173–176. [Google Scholar] [PubMed]
- Naiff, R.D.; Barret, T.V.; Arias, J.R.; Naiff, M.R. Encuesta epidemiológica de histoplasmosis, paracoccidioidomicosis y leishmaniasis mediante pruebas cutâneas. Bol. Ofic. Sanit. Panamer. 1988, 104, 35–50. [Google Scholar]
- Marques, S.A.; Stolf, H.O.; Dillon, N.L.; Habermann, M.C.; Dias, L.D.F.; Camargo, R.M.P.; Mirim, L.Y. Inquérito Epidemiológico com paracoccidioidina e histoplasmina em Itaporanga, SP. In Proceedings of the Programa y Resumenes, Colóquio Internacional sobre la Paracoccidioidomicosis, Medellin, Colombia, 15–18 February 1986; p. 66. [Google Scholar]
- Magalhães, E.M.; Ribeiro Cde, F.; Dâmaso, C.S.; Coelho, L.F.; Silva, R.R.; Ferreira, E.B.; Rodrigues, M.R.; Camargo, Z.P.; Velloso, T.R.; Malaquias, L.C. Prevalence of paracoccidioidomycosis infection by intradermal reaction in rural areas in Alfenas, Minas Gerais, Brazil. Rev. Inst. Med. Trop. Sao Paulo 2014, 56, 281–285. [Google Scholar] [CrossRef] [PubMed]
- Martin, M.C.; Kennion, G. Infeccion por Paracoccidioides Brasiliensis en la Poblacion Panameña. In Proceedings of the Programa y Resumenes, Colóquio Internacional sobre la Paracoccidioidomicosis, Medellin, Colombia, 15–18 February 1986; p. 67. [Google Scholar]
- Mirt, J.; Mirt, A. Estudio de la Paracoccidioidomicosis en el Estado Falcin- Venezuela. Casos Clinicos Y Encuesta Epidemiologica com Paracoccidioidina en un Area Endemica. In Proceedings of the Programa y Resumenes, Colóquio Internacional sobre la Paracoccidioidomicosis, Medellin, Colombia, 15–18 February 1986; p. 68. [Google Scholar]
- Wanke, B. Paracoccidioidomicose: Inquérito Intradérmico com Paracoccidioidina em Zona Urbana do Município do Rio de Janeiro. Master’s Thesis, Faculdade de Medicina da Universidade Federal do Rio de Janeiro, Rio de Janeiro, Brazil, 1976. [Google Scholar]
- Aristizabal, B.H.; Clemons, K.V.; Stevens, D.A.; Restrepo, A. Morphological transition of Paracoccidioides brasiliensis conidia to yeast cells: In vivo inhibition in females. Infect. Immun. 1998, 66, 5587–5591. [Google Scholar] [CrossRef]
- Severo, L.C.; Roesch, E.W.; Oliveira, E.A.; Rocha, M.M.L.A.; Londero, A.T. Paracoccidioidomycosis in women. Rev. Iberoam Micol. 1998, 15, 88–89. [Google Scholar] [PubMed]
- Benard, G. Pathogenesis and Classification of Paracocidioidomycosis: New Insights From Old Good Stuff. Open Forum Infect. Dis. 2020, 16, ofaa624. [Google Scholar]
- Barros, B.S.; Kuschnir, M.C.M.C.; Bloch, K.V.; Silva, T.L.N.D. ERICA: Age at menarche and its association with nutritional status. J. Pediatr. 2019, 95, 106–111. [Google Scholar] [CrossRef]
- McEwen, J.G.; Bedoya, V.; Patiño, M.M.; Salazar, M.E.; Restrepo, A. Experimental murine paracoccidiodomycosis induced by the inhalation of conidia. J. Med. Vet. Mycol. 1987, 25, 165–175. [Google Scholar] [CrossRef]
- Moulton, V.R. Sex Hormones in Acquired Immunity and Autoimmune Disease. Front. Immunol. 2018, 9, 2279. [Google Scholar] [CrossRef]
- Klein, S.; Flanagan, K. Sex differences in immune responses. Nat. Rev. Immunol. 2016, 16, 626–638. [Google Scholar] [CrossRef] [PubMed]
- Pinzan, C.F.; Ruas, L.P.; Casabona-Fortunato, A.S.; Carvalho, F.C.; Roque-Barreira, M.C. Immunological basis for the gender differences in murine Paracoccidioides brasiliensis infection. PLoS ONE 2010, 5, e10757. [Google Scholar] [CrossRef]
- Tuberculosis in the Americas. 2019 Regional Report; Pan American Health Organization: Washington, DC, USA, 2020. [Google Scholar]
- Marçôa, R.; Ribeiro, A.I.; Zão, I.; Duarte, R. Tuberculosis and gender—Factors influencing the risk of tuberculosis among men and women by age group. Pulmonology 2018, 24, 199–202. [Google Scholar] [CrossRef]
- Horton, K.C.; Hoey, A.L.; Béraud, G.; Corbett, E.L.; White, R.G. Systematic Review and Meta-Analysis of Sex Differences in Social Contact Patterns and Implications for Tuberculosis Transmission and Control. Emerg. Infect. Dis. 2020, 26, 910–919. [Google Scholar] [CrossRef] [PubMed]
- Rhines, A.S. The role of sex differences in the prevalence and transmission of tuberculosis. Tuberculosis 2013, 93, 104–107. [Google Scholar] [CrossRef]
- Reichman, L.B.; O’Day, R. Tuberculous infection in a large urban population. Am. Rev. Respir. Dis. 1978, 117, 705–712. [Google Scholar] [PubMed]
- Gauthier, G.M.; Klein, B.S. Blastomycosis. In Feigin and Cherry’s Textbook of Pediatric Infectious Diseases; Harrison, C., Hotez, S.K., Eds.; Elsevier: Philadelphia, PA, USA, 2019; Volume 2, pp. 2021–2029. [Google Scholar]
- Kleiman, M.B.; Cox, E.G.; Christenson, J.C. Histoplasmosis. In Feigin and Cherry’s Textbook of Pediatric Infectious Diseases; Harrison, C., Hotez, S.K., Eds.; Elsevier: Philadelphia, PA, USA, 2019; Volume 2, pp. 2075–2091. [Google Scholar]
- Centers for Disease Control and Prevention (CDC). Increase in Coccidioidomycosis—California, 2000–2007. MMWR Morb. Mortal. Wkly. Rep. 2009, 58, 105–109. [Google Scholar]
- Arantes, T.D.; Theodoro, R.C.; Da Graça Macoris, S.A.; Bagagli, E. Detection of Paracoccidioides spp. in environmental aerosol samples. Med. Mycol. 2013, 51, 83–92. [Google Scholar] [CrossRef]
- Arantes, T.D.; Theodoro, R.C.; Teixeira Mde, M.; Bosco Sde, M.; Bagagli, E. Environmental Mapping of Paracoccidioides spp. in Brazil Reveals New Clues into Genetic Diversity, Biogeography and Wild Host Association. PLoS Negl. Trop. Dis. 2016, 10, e0004606. [Google Scholar]
- Oliveira, G.G.; Belitardo, D.R.; Balarin, M.R.; Freire, R.L.; Camargo, Z.P.; Ono, M.A. Serological survey of paracoccidioidomycosis in cats. Mycopathologia 2013, 176, 299–302. [Google Scholar] [CrossRef]
- Oliveira, G.G.; Navarro, I.T.; Freire, R.L.; Belitardo, D.R.; Silveira, L.H.; Camargo, Z.P.; Itano, E.N.; Ono, M.A. Serological survey of Paracoccidioidomycosis in sheep. Mycopathologia 2012, 173, 63–68. [Google Scholar] [CrossRef] [PubMed]
- Ono, M.A.; Bracarense, A.P.; Morais, H.S.; Trapp, S.M.; Belitardo, D.R.; Camargo, Z.P. Canine paracoccidioidomycosis: A seroepidemiologic study. Med. Mycol. 2001, 39, 277–282. [Google Scholar] [CrossRef]
- Albano, A.P.; Klafke, G.B.; Brandolt, T.M.; Da Hora, V.P.; Nogueira, C.E.; Xavier, M.O.; Meireles, M.C. Seroepidemiology of Paracoccidioides brasiliensis infection in horses from Rio Grande do Sul, Brazil. Braz. J. Microbiol. 2015, 46, 513–517. [Google Scholar] [CrossRef] [PubMed]
- Benard, G. An overview of the immunopathology of human paracoccidioidomycosis. Mycopathologia 2008, 165, 209–221. [Google Scholar] [CrossRef] [PubMed]



| FEMALE | MALE | |||
|---|---|---|---|---|
| Epidemiologic Data | Acute/Subacute Form | Chronic Form | Acute/Subacute Form | Chronic Form |
| Age | 29.8 ± 3.7 | 49.8 ± 2 | 29.4 ± 1.8 | 51.8 ± 1.2 |
| Exposure to Rural Area | 8/9 88.9% | 19/20 95% | 14/1 93.3% | 39/42 92.9% |
| Cigarette Smoking | 4/11 36.4% | 23/24 95.8% | 11/22 50% | 50/50 100% |
| Alcohol Abuse | 0/11 0% | 4/25 ** 16% | 3/22 13.6% | 25/50 ** 50% |
| Tuberculosis | 1/11 9% | 2/25 8% | 1/22 4.5% | 5/50 10% |
| Cancer | 1/11 9% | 4/25 16% | 0/22 0% | 4/50 8% |
| Other Comorbidities a | 1/11 9% | 8/25 32% | 0/22 0% | 11/50 22% |
| Childbearing Age | 9/11 * 81.8% | 10/25 * 40% | NA | NA |
| FEMALE | MALE | |||
|---|---|---|---|---|
| Clinical Manifestation | Acute/Subacute Form (n = 11) | Chronic Form (n = 25) | Acute/Subacute Form (n = 22) | Chronic Form (n = 50) |
| Fever | 7 63.6% | 1 * 4% | 19 86.4% | 18 * 36% |
| Weight Loss | 10 * 90.9% | 13 52% | 10 * 45.5% | 37 74% |
| Jaundice | 5 45.5% | 0 0% | 4 18.2% | 1 2% |
| Lymph Node Involvement Number of affected chains/patients a | 11 100% 3.9 ± 1.6 | 5 20% 0.3 ± 0.7 | 20 90.9% 3.3 ± 1.9 | 19 38% 0.6 ± 1 |
| Hepatomegaly | 7 63.6% | 2 8% | 10 45.5% | 4 8% |
| Splenomegaly | 6 54.4% | 0 0% | 7 31.8% | 3 6% |
| Skin Lesion | 6 54.5% | 3 * 12% | 9 40.9% | 22 * 44% |
| Ulceration of the Oral/Nasal Mucosa | 1 9% | 10 40% | 5 22.7% | 26 52% |
| Larynx Involvement | 0 0% | 6 24% | 1 4.5% | 9 18% |
| Lung Injury | 3 27.3% | 20 80% | 4 18.2% | 41 82% |
| Bone Lesion | 0 0% | 2 8% | 0 0% | 2 4% |
| CNS Injury | 0 0% | 1 4% | 0 0% | 3 6% |
| FEMALE | MALE | |||
|---|---|---|---|---|
| Laboratory Tests | Acute/Subacute Form | Chronic Form | Acute/Subacute Form | Chronic Form |
| Anemia | 11/11 100% | 5/25 20% | 15/22 61.2% | 16/48 33.4% |
| Leukocytosis | 4/11 36.4% | 5/25 20% | 5/22 22.7% | 16/48 33.3% |
| Leukopenia | 1/11 9% | 0/35 0% | 0/22 0% | 0/48 0% |
| Eosinophilia | 6/11 54.5% | 3/25 ** 12% | 10/22 45.5% | 19/48 ** 39.6% |
| Hypoalbuminemia | 8/9 88.9% | 0/15 ** 0% | 11/17 64.7% | 11/22 ** 50% |
| Hypergammaglobulinemia | 7/9 77.8% | 7/15 46.7% | 15/17 88.2% | 9/22 40.9% |
| Gamma:Albumin Ratio | 0.83 (0.4–1.6) | 0.36 (0.2–0.7) | 1 (0.2–2.6) | 0.57 (0.2–1) |
| C-Reactive Protein | 8/9 88.9% | 11/20 * 55% | 14/15 93.3% | 29/33 * 87.9% |
| Erythrocyte Sedimentation Rate | 5/6 83.3% | 9/10 90% | 5/6 83.3% | 22/27 81.5% |
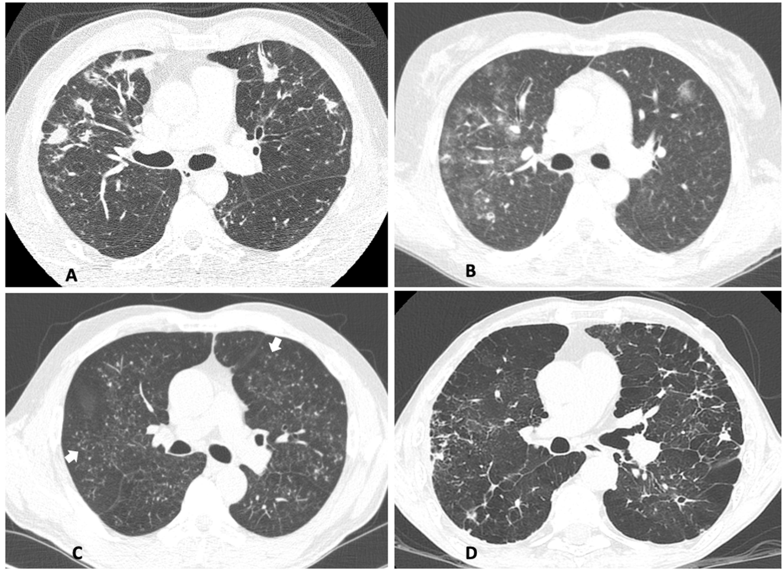
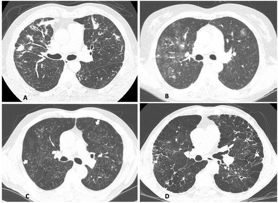
| HRCT Features | Female (n = 13) | Male (n = 21) |
|---|---|---|
| Nodules | 10 77% | 15 71% |
| Ground-Glass Opacities | 12 * 92% | 11 * 52% |
| Micronodules | 9 69% | 13 62% |
| Paraseptal/Centrolobular Emphysema | 4 * 31% | 14 * 67% |
| Bronchial Wall Thickening | 7 54% | 11 52% |
| Parenchymal Bands | 4 31% | 12 57% |
| Interlobular Septal Thickening and/or Reticulation | 6 46% | 8 38% |
| Mediastinal Lymphadenopathy | 4 31% | 10 48% |
| Paracicatricial Emphysema | 2 15% | 9 43% |
| Cavities | 4 31% | 6 29% |
| Architectural Distortion | 1 8% | 5 24% |
| Consolidation | 3 23% | 3 14% |
| Pleural Effusion | 1 8% | 2 10% |
| Pleural Thickening | 0 0% | 2 10% |
Publisher’s Note: MDPI stays neutral with regard to jurisdictional claims in published maps and institutional affiliations. |
© 2021 by the authors. Licensee MDPI, Basel, Switzerland. This article is an open access article distributed under the terms and conditions of the Creative Commons Attribution (CC BY) license (https://creativecommons.org/licenses/by/4.0/).
Share and Cite
Brito, T.G.N.d.; Taborda, M.; Provenci, B.; Costa, A.N.; Benard, G. A Case-Control Study of Paracoccidioidomycosis in Women: The Hormonal Protection Revisited. J. Fungi 2021, 7, 655. https://doi.org/10.3390/jof7080655
Brito TGNd, Taborda M, Provenci B, Costa AN, Benard G. A Case-Control Study of Paracoccidioidomycosis in Women: The Hormonal Protection Revisited. Journal of Fungi. 2021; 7(8):655. https://doi.org/10.3390/jof7080655
Chicago/Turabian StyleBrito, Tereza Graciano Nascimento de, Mariane Taborda, Bruna Provenci, André Nathan Costa, and Gil Benard. 2021. "A Case-Control Study of Paracoccidioidomycosis in Women: The Hormonal Protection Revisited" Journal of Fungi 7, no. 8: 655. https://doi.org/10.3390/jof7080655
APA StyleBrito, T. G. N. d., Taborda, M., Provenci, B., Costa, A. N., & Benard, G. (2021). A Case-Control Study of Paracoccidioidomycosis in Women: The Hormonal Protection Revisited. Journal of Fungi, 7(8), 655. https://doi.org/10.3390/jof7080655

