Management of TAVI Underexpansion with Self-Expanding Valves: A Practical Approach
Abstract
1. Introduction
2. Definition and Clinical Implications
3. Mechanisms of TAVI Underexpansion and Management
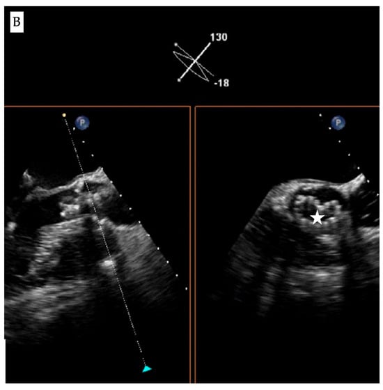
3.1. Valve Infolding
- Before full release: The recommendation is to recapture, retrieve and reload the valve onto a new delivery catheter.If a high risk of infolding persists after several re-sheathing maneuvers, a more aggressive valve predilatation may be effective. Finally, switching to a BEV could be considered as a bail-out option.
- After full release: Failure to identify this complication usually leads to hemodynamic instability due to severe aortic regurgitation. In this situation, urgent balloon post-dilatation is necessary to resolve the acute prosthetic dysfunction [18]. Careful manipulation of the guidewire is essential to avoid losing wire position and the risk of rewiring through the valve’s stent frame.A valve-in-valve implantation using a BEV or emergency cardiac surgery have been suggested as bail-out measures, if post-dilatation is insufficient to improve the patient’s clinical condition [11].
3.2. Guidewire Crossing Through an Inadequate Pathway
3.3. True Underexpansion
4. Technical Considerations on Postdilatation
5. Conclusions
Funding
Institutional Review Board Statement
Informed Consent Statement
Data Availability Statement
Conflicts of Interest
Abbreviations
| TAVI | Transcatheter aortic valve implantation |
| THV | Transcatheter heart valve |
| SEV | Self-expanding transcatheter valve |
| BEV | Balloon-expandable transcatheter valve |
| PVL | Paravalvular leak |
| HU | Hounsfield unit |
| ViV | Valve-in-valve |
| CT | Computed tomography |
| LVOT | Left ventricle outflow tract |
| CT | Computed tomography |
References
- Zou, Q.; Wei, Z.; Sun, S. Complications in transcatheter aortic valve replacement: A comprehensive analysis and management strategies. Curr. Probl. Cardiol. 2024, 49, 102478. [Google Scholar] [CrossRef] [PubMed]
- Kazuno, Y.; Maeno, Y.; Kawamori, H.; Takahashi, N.; Abramowitz, Y.; Babak, H.; Kashif, M.; Chakravarty, T.; Nakamura, M.; Cheng, W.; et al. Comparison SAPIEN 3 SAPIEN XT transcatheter heart valve stent-frame expan-sion: Evaluation using multi-slice computed tomography. Eur. Heart J. Cardiovasc. Imaging 2016, 17, 1054–1062. [Google Scholar] [CrossRef] [PubMed]
- Schultz, C.J.; Piazza, N.; Mollet, N.; Krestin, G. Geometry degree apposition CoreValve ReValving system multislice computed to-mography after implantation patients aortic stenosis. J. Am. Coll. Cardiol. 2009, 54, 911–918. [Google Scholar] [CrossRef] [PubMed]
- Martin, C.; Sun, W. Transcatheter valve underexpansion limits leaflet durability: Im-plications valve-in-valve procedures. Ann. Biomed. Eng. 2017, 45, 394–404. [Google Scholar] [CrossRef]
- Fuchs, A.; De Backer, O.; Brooks, M.; de Knegt, M.; Bieliauskas, G.; Yamamoto, M.; Yanagisawa, R.; Hayashida, K.; Søndergaard, L.; Kofoed, K. Subclinical leaflet thickening and stent frame geometry in self-expanding transcatheter heart valves. EuroIntervention 2017, 13, e1067–e1075. [Google Scholar] [CrossRef]
- Gunning, P.S.; Saikrishnan, N.; Yoganathan, A.P.; McNamara, L.M. Total ellipse of the heart valve: The impact of eccentric stent distortion on the regional dynamic deformation of pericardial tissue leaflets of a transcatheter aortic valve replacement. J. R. Soc. Interface 2015, 12, 20150737. [Google Scholar] [CrossRef]
- Chau, K.C.; Chen, S.; Crowley, A.; Redfors, B.; Li, D.; Hahn, R.H.; Douglas, P.D.; Alu, M.A.; Finn, M.F.; Kodali, S.; et al. Paravalvular regurgitation after transcatheter aortic valve replacement in intermediate-risk patients: A pooled PARTNER 2 study. EuroIntervention 2022, 17, 1053–1060. [Google Scholar] [CrossRef]
- Mack, M.J.; Leon, M.B.; Smith, C.R.; Miller, D.C.; Moses, J.W.; Tuzcu, E.M.; Webb, J.G.; Douglas, P.S.; Anderson, W.N.; Blackstone, E.H.; et al. 5-year outcomes of transcatheter aortic valve replacement or surgical aortic valve replacement for high surgical risk patients with aortic stenosis (PARTNER 1): A randomised controlled trial. Lancet 2015, 385, 2477–2484. [Google Scholar] [CrossRef]
- Reardon, M. One-Year Outcomes of Acurate Neo2 vs Approved TAVR Devices in All-Risk Patients with Severe AS: The ACURATE IDE Trial; TCT: Washington, DC, USA, 2024. [Google Scholar]
- Musallam, A.; Rogers, T.; Ben-Dor, I.; Torguson, R.; Khan, J.M.; Satler, L.F.; Waksman, R. Self-expanding transcatheter aortic valve-frame infolding: A case series with a warning message. JACC Cardiovasc. Interv. 2020, 13, 789–790. [Google Scholar] [CrossRef]
- Veulemans, V.; Piuhola, J.; Niemelä, M.; Maier, O.; Piayda, K.; Polzin, A.; Jung, C.; Westenfeld, R.; Kelm, M.; Zeus, T. Incidence Risk Assessment Infolding Using Self-Expandable De-vices TAVR. Struct. Heart 2022, 6, 100008. [Google Scholar] [CrossRef]
- Ben-Dor, I.; Rogers, T.; Satler, L.F.; Waksman, R. A word of caution using self-expanding transcatheter aortic valve-frame infolding. Catheter. Cardiovasc. Interv. 2019, 93, 555–558. [Google Scholar] [CrossRef] [PubMed]
- Abdelghani, M.; Ghalban, A.E.; Landt, M.; Richardt, G. Mohamed Abdel-Wahab, Vivo Stent Frame Infolding Self-Expanding Transcatheter Aortic Valve After Resheathing. JACC Cardiovasc. Interv. 2018, 11, 1204–1206. [Google Scholar] [CrossRef] [PubMed]
- Ancona, M.B.; Romano, V. Self-expanding transcatheter aortic valve infolding: Current evidence, diagnosis, management. Catheter. Cardiovasc. Interv. 2020, 98, E299–E305. [Google Scholar] [CrossRef]
- Pozzi, M.; Rioufol, G.; Delannoy, B. “PAC-MAN” sign: Insidious complication after transcatheter aortic valve deployment. Int. J. Cardiol. 2013, 167, e192–e194. [Google Scholar] [CrossRef] [PubMed]
- Bernardi, F.; Rodés-Cabau, J.; Tirado-Conte, G.; Santos, I.A.; Plachtzik, C.; Cura, F.; Sztejfman, M.; Mangione, F.; Tumeleiro, R.; Esteves, V.; et al. Incidence, predictor, and clinical outcomes of multiple resheathing with self-expanding valves during transcatheter aortic valve replacement. J. Am. Heart Assoc. 2021, 10, e020682. [Google Scholar] [CrossRef]
- Karrowni, W.; Fakih, S.; Nassar, P. Infolding of self-expandable transcatheter heart valve: Case report and review of literature. Cureus. Cureus 2020, 12, e10093. [Google Scholar] [CrossRef]
- Armijo, G.; Castro-Mejía, A.F.; Jimenez-Quevedo, P.; Vera-Urquiza, R.; de Agustín, J.A.; Nombela-Franco, L. Stent frame infolding of a 34-mm evolut-R in a patient with a mechanical mitral valve. JACC Cardiovasc. Interv. 2020, 13, e25–e27. [Google Scholar] [CrossRef]
- Willens, H.J.; Wolpowitz, A.; Nitzberg, W.D.; Kessler, K.M. Transesophageal echocardiography to diagnose and assess repair of aortic cusp perforation caused by directional coronary atherectomy. Am. Heart J. 1995, 130, 612–613. [Google Scholar] [CrossRef]
- Ancona, M.B.; Vella, C.; Beneduce, A.; Moroni, F.; Ancona, F.; Russo, F.; Ferri, L.A.; Bellini, B.; Verzini, A.; Monaco, F.; et al. Impella implantation as a rescue strategy in balloon aortic valvuloplasty complicated by acute aortic regurgitation. J. Cardiovasc. Med. 2022, 23, e1–e2. [Google Scholar] [CrossRef]
- Ghizzoni, G.; Ancona, M.B.; Romano, V.; Bellini, B.; Ferri, L.; Russo, F.; Vella, C.; Gentile, D.; Chionchio, G.; Macelletti, V.; et al. Mind the “commissural drop” when crossing the aortic valve! Catheter. Cardiovasc. Interv. 2023, 102, 538–541. [Google Scholar] [CrossRef]
- Du, Y.; Sorajja, P.; Fukui, M.; Hashimoto, G.; Ahmed, A.; Gössl, M. “Commissural drop” wiring technique facilitates catheter crossing of severely stenotic aortic valve. Chin. Med. J. 2020, 134, 245–246. [Google Scholar] [CrossRef] [PubMed]
- Pio, M.; Bax, S.; Delgado, J. How valvular calcification can affect outcomes transcatheter aortic valve implantation. Expet. Rev. Med. Dev. 2020, 17, 773–784. [Google Scholar]
- Flores-Umanzor, E.; Keshvara, R.; Reza, S.; Asghar, A.; Anwar, M.R.; Cepas-Guillen, P.L.; Osten, M.; Halankar, J.; Abrahamyan, L.; Horlick, E. A systematic review of contrast-enhanced computed tomography calcium scoring methodologies and impact of aortic valve calcium burden on TAVI clinical outcomes. J. Cardiovasc. Comput. Tomogr. 2023, 17, 373–383. [Google Scholar] [CrossRef]
- Blanke, P.; Weir-McCall, J.R.; Achenbach, S.; Delgado, V.; Hausleiter, J.; Jilaihawi, H.; Marwan, M.; Nørgaard, B.L.; Piazza, N.; Schoenhagen, P.; et al. Computed Tomography Imaging in theContext of Transcatheter Aortic ValveImplantation (TAVI)/TranscatheterAortic Valve Replacement (TAVR). JACC Cardiovasc. Imaging 2019, 12, 1–24. [Google Scholar] [CrossRef]
- Fukui, M.; Cavalcante, J.L.; Bapat, V.N. Deformation in transcatheter heart valves: Clinical implications and considerations. J. Cardiol. 2024, 83, 351–358. [Google Scholar] [CrossRef]
- Allen, K.B.; Chhatriwalla, A.K.; Cohen, D.J.; Saxon, J.T.; Aggarwal, S.; Hart, A.; Baron, S.; Davis, J.R.; Pak, A.F.; Dvir, D.; et al. Bioprosthetic valve fracture to facilitate transcatheter valve-in-valve implantation. Ann. Thorac. Surg. 2017, 104, 1501–1508. [Google Scholar] [CrossRef] [PubMed]
- Beaupré, F.; Garot, P. 3 ways to mitigate the risk of transcatheter heart valve underexpansion and dysfunction in valve-in-valve TAVR. JACC Cardiovasc. Interv. 2023, 16, 527–529. [Google Scholar] [CrossRef]
- Husain, A.; Tzimas, G.; Akodad, M.; Jelisejevas, J.; Offen, S.; Millar, K.; Leipsic, J.A.; Blanke, P.; Wood, D.A.; Sellers, S.L.; et al. Novel real-time fluoroscopic assessment method of transcatheter heart valve expansion following balloon-expandable TAVR. Circ. Cardiovasc. Interv. 2025, 18, e014617. [Google Scholar] [CrossRef] [PubMed]
- Kaneko, U.; Hachinohe, D.; Kobayashi, K.; Shitan, H.; Horita, R.; Ootake, R.; Fujita, T. Steep right anterior oblique view of self-expandable transcatheter aortic valve to timely detect stent under-expansion or non-uniform expansion before final release: A case series. Eur. Heart J.-Case Rep. 2024, 8, ytae405. [Google Scholar] [CrossRef]
- Tarantini, G.; Basso, C.; Fovino, L.N.; Fraccaro, C.; Thiene, G.; Rizzo, S. Left ventricular outflow tract rupture during transcatheter aortic valve implantation: Anatomic evidence of the vulnerable area. Cardiovasc. Pathol. 2017, 29, 7–10. [Google Scholar] [CrossRef]
- Kim, W.-K.; Charitos, E.; Renker, M.; Hamm, C.; Seidler, T.; Hamm, C.W.; Choi, Y.-H.; Sossalla, S. Contemporary risk assessment of aortic root injury for new-generation balloon-expandable transcatheter heart valves. Can. J. Cardiol. 2024, 40, 1266–1269. [Google Scholar] [CrossRef] [PubMed]
- Ancona, M.B.; Cianfanelli, L.; Romano, V.; Montorfano, M. Rottura dell’anello aortico durante impianto transcatetere di valvola aortica: Prevenzione e gestione della complicanza. G. Ital. Cardiol. 2020, 21, 13–16. [Google Scholar]






| Anatomical Factors | Device-Related Factors |
|---|---|
| Eccentric or severe calcification of the native valve | Re-sheathing an SEV [16] |
| Type 1 bicuspid aortic valve | Inadequate valve loading |
| High ellipticity of the aortic annulus Severe tortuosity of the aorto-iliac and femoral artery | Larger valve sizes (e.g., ≥29 mm) |
Disclaimer/Publisher’s Note: The statements, opinions and data contained in all publications are solely those of the individual author(s) and contributor(s) and not of MDPI and/or the editor(s). MDPI and/or the editor(s) disclaim responsibility for any injury to people or property resulting from any ideas, methods, instructions or products referred to in the content. |
© 2025 by the authors. Licensee MDPI, Basel, Switzerland. This article is an open access article distributed under the terms and conditions of the Creative Commons Attribution (CC BY) license (https://creativecommons.org/licenses/by/4.0/).
Share and Cite
Hameau, R.; Ancona, M.B.; Romano, V.; Ferri, L.; Bellini, B.; Russo, F.; Vella, C.; Papageorgiu, C.; Napoli, F.; Licciardi, M.; et al. Management of TAVI Underexpansion with Self-Expanding Valves: A Practical Approach. J. Cardiovasc. Dev. Dis. 2025, 12, 215. https://doi.org/10.3390/jcdd12060215
Hameau R, Ancona MB, Romano V, Ferri L, Bellini B, Russo F, Vella C, Papageorgiu C, Napoli F, Licciardi M, et al. Management of TAVI Underexpansion with Self-Expanding Valves: A Practical Approach. Journal of Cardiovascular Development and Disease. 2025; 12(6):215. https://doi.org/10.3390/jcdd12060215
Chicago/Turabian StyleHameau, Rene, Marco B. Ancona, Vittorio Romano, Luca Ferri, Barbara Bellini, Filippo Russo, Ciro Vella, Christos Papageorgiu, Francesca Napoli, Marco Licciardi, and et al. 2025. "Management of TAVI Underexpansion with Self-Expanding Valves: A Practical Approach" Journal of Cardiovascular Development and Disease 12, no. 6: 215. https://doi.org/10.3390/jcdd12060215
APA StyleHameau, R., Ancona, M. B., Romano, V., Ferri, L., Bellini, B., Russo, F., Vella, C., Papageorgiu, C., Napoli, F., Licciardi, M., Ricchetti, G., Tripoli, A., Sabarese, R., Zaccaria, L., & Montorfano, M. (2025). Management of TAVI Underexpansion with Self-Expanding Valves: A Practical Approach. Journal of Cardiovascular Development and Disease, 12(6), 215. https://doi.org/10.3390/jcdd12060215

