Rothia nasimurium as a Cause of Disease: First Isolation from Farmed Geese
Abstract
1. Introduction
2. Materials and Methods
2.1. Isolation and Purification
2.2. Bacterial Identification
2.2.1. Observation of Gram Staining
2.2.2. Bacterial Biochemical Test
2.2.3. Matrix-Assisted Laser Desorption/Ionization Time-of-Flight Mass Spectrometry (MALDI-TOF MS)
2.3. Sequence Analysis of 16S rRNA
2.4. Antibiotic Susceptibility Testing
2.5. Animal Regression Experiment
3. Results
3.1. Isolation and Purification
3.2. Bacterial Identification
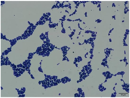
3.2.1. Gram Staining
3.2.2. Bacterial Biochemical Test
3.2.3. MALDI-TOF MS Identification
3.3. Sequence Analysis of 16S rRNA of the Bacteria
3.4. Antibiotic Susceptibility Testing
3.5. Animal Regression Experiment
4. Discussion
5. Conclusions
Author Contributions
Funding
Institutional Review Board Statement
Informed Consent Statement
Data Availability Statement
Acknowledgments
Conflicts of Interest
References
- Collins, M.D.; A Hutson, R.; Båverud, V.; Falsen, E. Characterization of a Rothia-like organism from a mouse: Description of Rothia nasimurium sp. nov. and reclassification of Stomatococcus mucilaginosus as Rothia mucilaginosa comb. nov. Int. J. Syst. Evol. Microbiol. 2000, 50, 1247–1251. [Google Scholar] [CrossRef] [PubMed]
- Zaura, E.; Keijser, B.J.F.; Huse, S.M.; Crielaard, W. Defining the healthy “core microbiome” of oral microbial communities. BMC Microbiol. 2009, 9, 259. [Google Scholar] [CrossRef] [PubMed]
- Kernaghan, S.; Bujold, A.R.; MacInnes, J.I. The microbiome of the soft palate of swine. Anim. Heal. Res. Rev. 2012, 13, 110–120. [Google Scholar] [CrossRef] [PubMed]
- Mann, E.; Pinior, B.; Wetzels, S.U.; Metzler-Zebeli, B.U.; Wagner, M.; Schmitz-Esser, S. The Metabolically Active Bacterial Microbiome of Tonsils and Mandibular Lymph Nodes of Slaughter Pigs. Front. Microbiol. 2015, 6, 1362. [Google Scholar] [CrossRef]
- Zhao, Q.Y. A case report of Rothia nasimurium infection in rabbit. Chin. J. Rabbit. Farming 2021, 2, 36–37. (In Chinese) [Google Scholar]
- Bemis, D.A.; Bryant, M.J.; Reed, P.P.; Brahmbhatt, R.A.; Kania, S.A. Synergistic hemolysis between β-lysin-producing Staphylococcus species and Rothia nasimurium in primary cultures of clinical specimens obtained from dogs. J. Veter. Diagn. Investig. 2014, 26, 437–441. [Google Scholar] [CrossRef]
- Hansen, C.M.; Meixell, B.W.; Van Hemert, C.; Hare, R.F.; Hueffer, K. Microbial Infections Are Associated with Embryo Mortality in Arctic-Nesting Geese. Appl. Environ. Microbiol. 2015, 81, 5583–5592. [Google Scholar] [CrossRef][Green Version]
- Gaiser, R.A.; Medema, M.H.; Kleerebezem, M.; van Baarlen, P.; Wells, J.M. Draft Genome Sequence of a Porcine Commensal, Rothia nasimurium, Encoding a Nonribosomal Peptide Synthetase Predicted To Produce the Ionophore Antibiotic Valinomycin. Genome Announc. 2017, 5, e00453-17. [Google Scholar] [CrossRef]
- Wang, M.; Li, Y.; Lin, X.; Xu, H.; Li, Y.; Xue, R.; Wang, G.; Sun, S.; Li, J.; Lan, Z.; et al. Genetic characterization, mechanisms and dissemination risk of antibiotic resistance of multidrug-resistant Rothia nasimurium. Infect. Genet. Evol. 2021, 90, 104770. [Google Scholar] [CrossRef]
- Li, N. Distribution and Resistance of Airborne Bacteria in Farms. PhD. Thesis, PLA Academy of Military Medical Sciences, Beijing, China, 2011. [Google Scholar]
- Molter, C.; Escobar, A.; Schroeder, C. Backyard Poultry and Waterfowl Sedation and Anesthesia. Veter. Clin. North Am. Exot. Anim. Pr. 2021, 25, 163–180. [Google Scholar] [CrossRef]
- Zhao, X.J. Isolation and Identification of Pathogenic Bacteria of Duck Serositis and Evaluation of Vaccine Effect. Ph.D. Thesis, Yangzhou University, Yangzhou, China, May 2021. [Google Scholar]
- Zhang, D.S. Investigation of Molecular Epidemiology and Analysis of Tetracycline Resistance Genes in Dairy Cows in Jiangsu Province. Ph.D. Thesis, Yangzhou University, Yangzhou, China, 2017. [Google Scholar]
- Lin, W.D. Analysis of the Characters of Resistance Pattern of Staphylococci Isolated from Bovine Mastitis in Jiangsu Province. Ph.D. Thesis, Yangzhou University, Yangzhou, China, 2016. [Google Scholar]
- Huang, P. Analysis of Drug Resistance and Epidemiological Characteristics of Extended-Spectrum β-Lactamase Producing Escherichia coli. Ph.D. Thesis, Yangzhou University, Yangzhou, China, 2019. [Google Scholar]
- Lynch, K.D.; Brian, G.; Ahwang, T.; Newie, T.; Newie, V.; Perrett, C.; Wharton, G.; Brown, A.; Tozer, S.; Kaldor, J.M.; et al. Discord between presence of follicular conjunctivitis and Chlamydia trachomatis infection in a single Torres Strait Island community: A cross-sectional survey. Aust. N. Z. J. Public Heal. 2022, 16, 16. [Google Scholar] [CrossRef] [PubMed]
- Abu, D.; Abula, T.; Zewdu, T.; Berhanu, M.; Sahilu, T. Asymptomatic Bacteriuria, antimicrobial susceptibility pattern and associated risk factors among pregnant women attending antenatal care in Assosa General Hospital, Western Ethiopia. BMC Microbiol. 2021, 21, 1–8. [Google Scholar] [CrossRef] [PubMed]
- Cheng, W.; Shi, H.; Teng, M.; Yu, M.; Feng, B.; Ding, C.; Yu, S.; Yang, F. Rapid identification of bacterial mixtures in urine using MALDI-TOF MS-based algorithm profiling coupled with magnetic enrichment. Analyst 2021, 147, 443–449. [Google Scholar] [CrossRef] [PubMed]
- Bianey, G.L.; Katarzyna, W.; Alma, R.C.E.; Oracio, S.T.; Israel, E.D.; Kazimierz, W. Mass spectrometry-based identifcation of bacteria isolated from industrially contaminated site in Salamanca (Mexico) and evaluation of their potential for DDT degradation. Folia Microbiol. 2021, 66, 355–369. [Google Scholar]
- Xu, J.; Guo, S.; Li, D.; Wang, Q.; Chen, C. Study on Anti-diarrhea Effect of the Prescription of 4 Tibetan Veterinary Drugs. Agric. Biotechnol. 2017, 6, 32–37. [Google Scholar] [CrossRef]
- Yang, C.; Li, H.; Zhang, T.; Chu, Y.; Zuo, J.; Chen, D. Study on antibiotic susceptibility of Salmonella typhimurium L forms to the third and forth generation cephalosporins. Sci. Rep. 2020, 10, 1–5. [Google Scholar] [CrossRef]
- Sarshar, S.; Mirnejad, R.; Babapour, E. Frequency of blaCTX-M and blaTEM Virulence Genes and Antibiotic Resistance Profiles among Klebsiella pneumoniae Isolates in Urinary Tract Infection (UTI) Samples from Hashtgerd, Iran. Rep. Biochem. Mol. Biol. 2021, 10, 412–419. [Google Scholar] [CrossRef]
- Moosavian, M.; Sima, M.K.; Khosravi, N.A.; Montazeri, E.A. Detection of OqxAB Efflux Pumps, a Multidrug-Resistant Agent in Bacterial Infection in Patients Referring to Teaching Hospitals in Ahvaz, Southwest of Iran. Int. J. Microbiol. 2021, 2021, 1–5. [Google Scholar] [CrossRef]
- Phocas, F.; Belloc, C.; Bidanel, J.; Delaby, L.; Dourmad, J.Y.; Dumont, B.; Ezanno, P.; Fortun-Lamothe, L.; Foucras, G.; Frappat, B.; et al. Review: Towards the agroecological management of ruminants, pigs and poultry through the development of sustainable breeding programmes: I-selection goals and criteria. Animal 2016, 10, 1749–1759. [Google Scholar] [CrossRef]
- Davis, T.; White, R. Breeding animals to feed people: The many roles of animal reproduction in ensuring global food security. Theriogenology 2020, 150, 27–33. [Google Scholar] [CrossRef]
- Fath, M.K.; Azargoonjahromi, A.; Jafari, N.; Mehdi, M.; Alavi, F.; Daraei, M.; Mohammadkhani, N.; Mueller, A.-L.; Brockmueller, A.; Shakibaei, M.; et al. Exosome application in tumorigenesis: Diagnosis and treatment of melanoma. Med Oncol. 2022, 39, 19. [Google Scholar] [CrossRef]
- Zhou, X.; Huang, D.; Wang, R.; Wu, M.; Zhu, L.; Peng, W.; Tu, H.; Deng, X.; Zhu, H.; Zhang, Z.; et al. Targeted therapy of rheumatoid arthritis via macrophage repolarization. Drug Deliv. 2021, 28, 2447–2459. [Google Scholar] [CrossRef] [PubMed]
- Ramachandran, P.; Rachuri, N.K.; Martha, S.; Shakthivel, R.; Gundala, A.; Battu, T.S. Implications of Overprescription of Antibiotics: A Cross-Sectional Study. J. Pharm. Bioallied Sci. 2019, 11, S434–S437. [Google Scholar] [CrossRef] [PubMed]
- Sola, A. Abuse of Antibiotics in Perinatology: Negative Impact for Health and the Economy. NeoReviews 2020, 21, e559–e570. [Google Scholar] [CrossRef] [PubMed]
- Helaly, A.M.N.; El-Attar, A.M.; Khalil, M.; Ghorab, D.S.E.-D.A.; El-Mansoury, A.M. Antibiotic Abuse Induced Histopathological and Neurobehavioral Disorders in Mice. Curr. Drug Saf. 2019, 14, 199–208. [Google Scholar] [CrossRef]
- HOTSTAR-India Study Group; Das, M.K.; Mahapatra, A.; Pathi, B.; Panigrahy, R.; Pattnaik, S.; Mishra, S.S.; Mahapatro, S.; Swain, P.; Das, J.; et al. Harmonized One Health Trans-Species and Community Surveillance for Tackling Antibacterial Resistance in India: Protocol for a Mixed Methods Study. JMIR Res. Protoc. 2020, 9, e23241. [Google Scholar] [CrossRef]
- Rothia nasimurium. Available online: https://www.ncbi.nlm.nih.gov/nuccore/MW617271.1 (accessed on 17 February 2021).





| Substrate | Result |
|---|---|
| Glucose | + |
| Lactose | − |
| Maltose | + |
| Mannitol | − |
| Sucrose | + |
| Sodium citrate | − |
| Hydrogen sulfide | − |
| Urea | − |
| Drug Name | Judging Standard | Actual Result | Result | Drug Name | Judging Standard | Actual Result | Result |
|---|---|---|---|---|---|---|---|
| Tetracycline | ≥15, ≤11 | 0 | resistant | Imipenem | ≥23, ≤19 | 16 | resistant |
| Cefepime | ≥25, ≤18 | 0 | resistant | Amikacin | ≥17, ≤14 | 24 | susceptible |
| Methoxybenzylaminopyrimidine | ≥16, ≤10 | 0 | resistant | Cefoxitin | ≥18, ≤14 | 0 | resistant |
| Cefotaxime/clavulanic acid | ≥26, ≤22 | 19 | resistant | Fosfomycin | ≥16, ≤12 | 19 | susceptible |
| Azithromycin | ≥13, ≤12 | 0 | resistant | Norfloxacin | ≥17, ≤12 | 0 | resistant |
| Ceftazidime | ≥18, ≤14 | 0 | resistant | Ampicillin/sulbactam | ≥15, ≤11 | 19 | susceptible |
| Compound sulfamethoxazole | ≥18, ≤13 | 0 | resistant | Aztreonam | ≥21, ≤17 | 0 | resistant |
| Levofloxacin | ≥17, ≤13 | 0 | resistant | Chloramphenicol | ≥18, ≤12 | 0 | resistant |
| Cefazolin | ≥23, ≤19 | 25 | susceptible | Gentamicin | ≥15, ≤12 | 0 | resistant |
| Meropenem | ≥20, ≤15 | 11 | resistant | Azlocillin | ≥15, ≤11 | 0 | resistant |
Publisher’s Note: MDPI stays neutral with regard to jurisdictional claims in published maps and institutional affiliations. |
© 2022 by the authors. Licensee MDPI, Basel, Switzerland. This article is an open access article distributed under the terms and conditions of the Creative Commons Attribution (CC BY) license (https://creativecommons.org/licenses/by/4.0/).
Share and Cite
Kang, Y.; Zhou, H.; Jin, W. Rothia nasimurium as a Cause of Disease: First Isolation from Farmed Geese. Vet. Sci. 2022, 9, 197. https://doi.org/10.3390/vetsci9050197
Kang Y, Zhou H, Jin W. Rothia nasimurium as a Cause of Disease: First Isolation from Farmed Geese. Veterinary Sciences. 2022; 9(5):197. https://doi.org/10.3390/vetsci9050197
Chicago/Turabian StyleKang, Yuhui, Hongshan Zhou, and Wenjie Jin. 2022. "Rothia nasimurium as a Cause of Disease: First Isolation from Farmed Geese" Veterinary Sciences 9, no. 5: 197. https://doi.org/10.3390/vetsci9050197
APA StyleKang, Y., Zhou, H., & Jin, W. (2022). Rothia nasimurium as a Cause of Disease: First Isolation from Farmed Geese. Veterinary Sciences, 9(5), 197. https://doi.org/10.3390/vetsci9050197
