In Situ Hybridization of Feline Leukemia Virus in a Case of Osteochondromatosis
Abstract
1. Introduction
2. Case Presentation
2.1. Materials and Methods
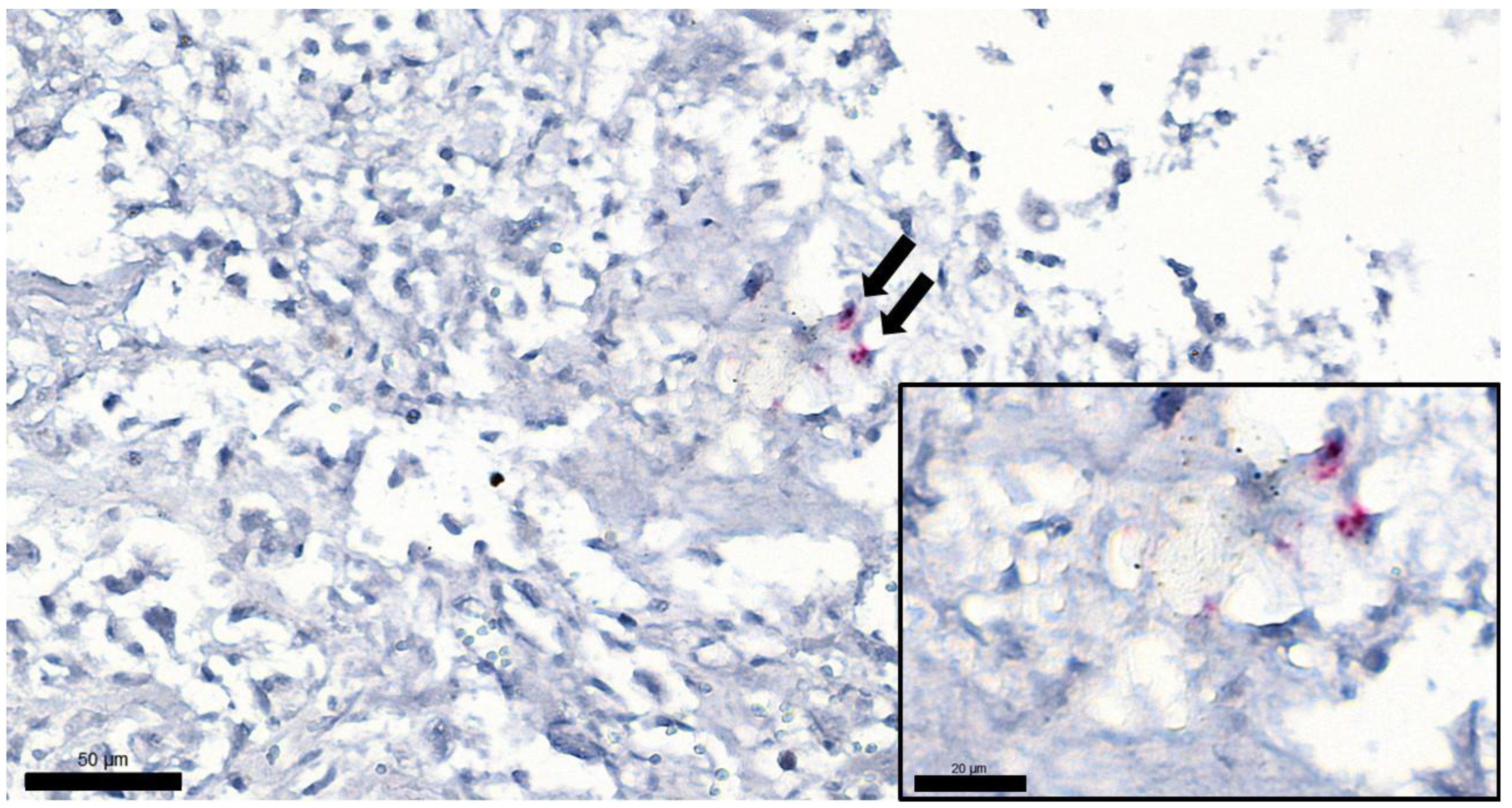
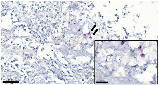
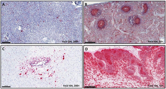
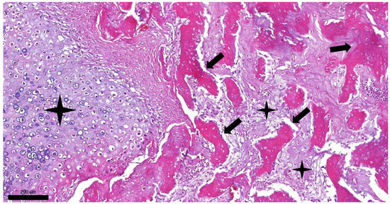
2.2. Results
3. Discussion
Author Contributions
Funding
Institutional Review Board Statement
Informed Consent Statement
Data Availability Statement
Acknowledgments
Conflicts of Interest
References
- Pool, R.R.; Carrig, C.B. Multiple cartilaginous exostoses in a cat. Vet. Pathol. 1972, 9, 350–359. [Google Scholar] [CrossRef] [PubMed]
- Thompson, K.G.; Pool, R.R. Tumors of bones. In Tumors in Domestic Animals, 5th ed.; Meuten, D.J., Ed.; John Wiley & Sons, Inc.: Ames, IA, USA, 2017; pp. 368–369. [Google Scholar]
- Rosa, C.; Kirberger, R.M. Extraskeletal osteochondroma on a cat’s elbow. J. S. Afr. Vet. Assoc. 2012, 83, 104. [Google Scholar] [CrossRef][Green Version]
- de Oliveira Reis, M.; Santos de Mello, L.; Hesse, K.L.; Lorenzett, M.P.; dos Reis, K.D.H.L.; Campos, F.S.; Roehe, P.M.; Pavarin, S.P. Osteochondroma in a young cat infected by feline leukemia virus. Ciênc. Rural 2017, 47, 1. [Google Scholar] [CrossRef][Green Version]
- Nolff, M.C.; Puff, C.; Länger, B.; Fehr, M. Feline osteochondromatosis in a FeLV-negative European shorthair cat. Tierärztliche Prax. Kleintiere 2014, 42, 55–59. [Google Scholar]
- Levitin, B.; Aroch, I.; Aizenberg, I.; Foreman, O.; Shamir, M. Linear osteochondromatosis in a cat. Vet. Radiol. Ultrasound 2003, 44, 660–664. [Google Scholar] [CrossRef]
- de Brot, S.; Grau-Roma, L.; Vidal, E.; Segales, J. Occurrence of osteochondromatosis (multiple cartilaginous exostoses) in a domestic pig (Sus scrofa domesticus). J. Vet. Diagn. Investig. 2013, 25, 599–602. [Google Scholar] [CrossRef]
- Franch, J.; Font, J.; Ramis, A. Multiple cartilaginous exostosis in a Golden Retriever cross-bred puppy. Clinical, radiographic and backscattered scanning microscopy findings. Vet. Comp. Orthop. Traumatol. 2005, 18, 189–193. [Google Scholar]
- Leone, N.C.; Shupe, J.L.; Gardner, E.J. Hereditary multiple exostosis. A comparative human-equine-epidemiologic study. J. Hered. 1987, 78, 171–177. [Google Scholar] [CrossRef]
- Matthews, K.A.; Strait, K.; Connor-Stroud, F.; Courtney, C.L. Osteochondromatosis in a Rhesus macaque (Macaca mulatta). Comp. Med. 2012, 62, 149–152. [Google Scholar]
- Unni, K.K. Cartilaginous lesions of bone. J. Orthop. Sci. 2001, 6, 457–472. [Google Scholar] [CrossRef]
- Chester, D.K. Multiple cartilaginous exostoses in two generations of dogs. J. Am. Vet. Med. Assoc. 1971, 159, 895–897. [Google Scholar]
- Mozos, E.; Novales, M.; Ginel, P.J.; Pérez, J.; Pool, R.R. A newly recognized pattern of canine osteochondromatosis. Vet. Radiol. Ultrasound 2005, 43, 132–137. [Google Scholar] [CrossRef]
- Wood, B.C.; Grant, D.C.; McKlveen, T.L. What’s your diagnosis? J. Am. Vet. Med. Assoc. 2002, 221, 939–940. [Google Scholar] [CrossRef]
- Pool, R.R.; Harris, J.M. Feline osteochondromatosis. Feline Pract. 1975, 5, 24–30. [Google Scholar]
- Dernell, W.S.; Ehrhart, N.P.; Straw, R.C.; Vail, D.M. Tumours of the skeletal system. In Withrow & MacEwen’s Small Animal Clinical Oncology, 4th ed.; Withrow, S.J., Vail, D.M., Eds.; Elsevier Saunders: St Louis, MO, USA, 2005; pp. 540–574. [Google Scholar]
- Harasen, G.L.G.; Little, S.E. Musculoskeletal Diseases. In The Cat, 1st ed.; Little, S.E., Ed.; Elsevier: Ottawa, ON, Canada, 2011; pp. 726–730. [Google Scholar]
- Hardy, W.D.; Geering, J.G.; Old, L.J.; de Harven, E.; Brodey, R.S.; McDonough, S. Feline leukemia virus: Occurrence of viral antigen in the tissues of cats with lymphosarcoma and other diseases. Science 1969, 166, 1019–1021. [Google Scholar] [CrossRef]
- Jackson, M.L.; Haines, D.M.; Meric, S.M.; Misra, V. Feline leukemia virus detection by immunohistochemistry and polymerase chain reaction in formalin-fixed, paraffin-embedded tumor tissue from cats with lymphosarcoma. Can. J. Vet. Res. 1993, 57, 269–276. [Google Scholar]
- Fujino, Y.; Satoh, H.; Hisasue, M.; Masuda, K.; Ohno, K.; Tsujimoto, H. Detection of the integrated feline leukemia viruses in a cat lymphoid tumor cell line by fluorescence in situ hybridization. J. Hered. 2003, 94, 251–255. [Google Scholar] [CrossRef][Green Version]
- Wang, F.; Flanagan, J.; Su, N.; Wang, L.; Bui, S.; Nielson, A.; Wu, X.; Vo, H.; Ma, X.; Luo, Y. RNAscope: A novel in situ RNA analysis platform for formalin-fixed, paraffin-embedded tissues. J. Mol. Diagn. 2012, 14, 22–29. [Google Scholar] [CrossRef]
- Szilasi, A.; Dénes, L.; Jakab, C.; Erdélyi, I.; Resende, T.; Vannucci, F.; Csomor, J.; Mándoki, M.; Balka, G. In situ hybridization of feline leukemia virus in a primary neural B-cell lymphoma. J. Vet. Diagn. Investig. 2020, 32, 454–457. [Google Scholar] [CrossRef]
- Tandon, R.; Cattori, V.; Gomes-Keller, M.A.; Meli, M.L.; Golder, M.C.; Lutz, H.; Hofmann-Lehmann, R. Quantitation of feline leukaemia virus viral and proviral loads by Taq-Man® real-time polymerase chain reaction. J. Virol. Methods 2005, 130, 124–132. [Google Scholar] [CrossRef]
- Walsh, L.; Freemont, A.J.; Hoyland, J.A. The effect of tissue decalcification on mRNA retention within bone for in-situ hybridization studies. Int. J. Exp. Pathol. 1993, 74, 237–241. [Google Scholar] [PubMed]





Publisher’s Note: MDPI stays neutral with regard to jurisdictional claims in published maps and institutional affiliations. |
© 2022 by the authors. Licensee MDPI, Basel, Switzerland. This article is an open access article distributed under the terms and conditions of the Creative Commons Attribution (CC BY) license (https://creativecommons.org/licenses/by/4.0/).
Share and Cite
Szilasi, A.; Koltai, Z.; Dénes, L.; Balka, G.; Mándoki, M. In Situ Hybridization of Feline Leukemia Virus in a Case of Osteochondromatosis. Vet. Sci. 2022, 9, 59. https://doi.org/10.3390/vetsci9020059
Szilasi A, Koltai Z, Dénes L, Balka G, Mándoki M. In Situ Hybridization of Feline Leukemia Virus in a Case of Osteochondromatosis. Veterinary Sciences. 2022; 9(2):59. https://doi.org/10.3390/vetsci9020059
Chicago/Turabian StyleSzilasi, Anna, Zsófia Koltai, Lilla Dénes, Gyula Balka, and Míra Mándoki. 2022. "In Situ Hybridization of Feline Leukemia Virus in a Case of Osteochondromatosis" Veterinary Sciences 9, no. 2: 59. https://doi.org/10.3390/vetsci9020059
APA StyleSzilasi, A., Koltai, Z., Dénes, L., Balka, G., & Mándoki, M. (2022). In Situ Hybridization of Feline Leukemia Virus in a Case of Osteochondromatosis. Veterinary Sciences, 9(2), 59. https://doi.org/10.3390/vetsci9020059

