Simple Summary
African swine fever (ASF) has led to substantial economic losses in the global swine industry. Developing reliable serological assays is essential to complement nucleic acid-based methods for monitoring ASFV transmission. In this study, we constructed an indirect ELISA using three ASFV proteins as coating antigens and demonstrated its high sensitivity, specificity, and repeatability. Our results indicate that this ELISA exhibits strong agreement with a commercially available kit when testing clinical samples, thus providing a practical and economical approach for large-scale serological screening of ASF.
Abstract
African swine fever (ASF), caused by the African swine fever virus (ASFV), is a highly contagious and fatal disease. Accurate detection in the early stages of an outbreak relies on molecular methods, but serological monitoring at the population level is also crucial for assessing the extent of exposure and past infections. This experiment developed an indirect enzyme-linked immunosorbent assay (ELISA) to detect antibodies against ASFV, using three ASFV RNA polymerase subunits (H359L, C147L, and D339L) as coating antigens. The recombinant proteins were successfully expressed in Escherichia coli and purified. Using a checkerboard titration method, we systematically optimized key assay parameters, determining the optimal coating conditions to be a mixture of H359L, C147L, and D339L at a volume ratio of 1:2:2, with individual concentrations of 1 μg/mL, 0.4 μg/mL, and 0.5 μg/mL, respectively. Other optimized parameters included a serum dilution of 1:200, a blocking buffer containing 5% skim milk, and specific incubation conditions for the secondary antibody and substrate. The cut-off value was established at 0.430 ( + 4SD) based on 30 negative sera. The established triple-antigen indirect ELISA exhibited high sensitivity (detecting positives at dilutions up to 1:3200) and excellent specificity (no cross-reactivity with antisera against CSFV, PRRSV, PRV, PCV2, and PEDV. Both intra and inter assay repeatability were confirmed, with coefficients of variation ranging from 1.020% to 7.600%. Validation with 123 clinical serum samples demonstrated a 96.75% concordance rate with a commercial kit. In conclusion, the three-antigen indirect ELISA established in this study exhibits high specificity and sensitivity, making it suitable for serological surveillance and exposure assessment of ASFV antibodies. It can be combined with molecular detection for epidemiological investigations and integrated prevention and control measures.
1. Introduction
African Swine Fever (ASF) is a highly virulent infectious disease caused by the African Swine Fever Virus (ASFV). It poses a persistent and severe threat to global pig farming due to its near 100% mortality rate caused by high-pathogenicity strains [1,2,3]. Currently, there is still a lack of commercially available effective vaccines or antiviral drugs on the market, making rapid molecular detection for early case finding and accurate outbreak surveillance essential to prevention and control efforts [4,5,6]. ASFV belongs to the nucleocytoplasmic giant DNA viruses, and one of its key biological characteristics is that the virus autonomously encodes a set of eukaryotic-like viral DNA-dependent RNA polymerase (vRNAP) and its associated transcription factors within the cytoplasm, thereby independently completing the transcription and expression of its genome [7,8,9,10]. This unique virus-specific transcription mechanism not only provides a molecular basis for elucidating the replication cycle of ASFV, but also reveals novel target resources for developing highly specific immunoassays for serological surveillance [11,12,13,14].
With breakthroughs in structural biology techniques such as cryo-electron microscopy, high-resolution structures of some large DNA viruses, such as poxviruses and ASFV vRNAP, have been resolved, clarifying their conserved core composed of multiple subunits as well as virus-specific adaptive structural domains [15,16]. Within this complex transcriptional machinery, several core subunits exhibit remarkable biological characteristics, showing great potential as highly efficient targets for immune detection [17,18]. Among them, H359L is highly conserved in ASFV genotype II strains and is essential for ASFV replication [19,20]. Notably, D339L incorporates an N-terminal OB-fold for RNA interaction and a C-terminal domain homologous to eukaryotic 2’–O–methyltransferase, suggesting co-transcriptional capping coordination, while C147L enhances complex stability. This structural analysis elucidates ASFV-specific transcriptional adaptations and provides rational antigen choices for specific immunoassays [17,21].
In acute ASF caused by highly virulent strains, the peak of viremia typically occurs prior to seroconversion, and antibodies may still be undetectable before death; therefore, molecular methods (such as qPCR) are the gold standard for early clinical diagnosis. In contrast, serological tests primarily reflect past exposure and are more suitable for epidemiological monitoring at the herd level and tracking of seroconversion [21,22,23]. Within this framework, ELISA is a pragmatic tool for ASFV antibody detection, enabling serosurveillance and complementing molecular diagnostics rather than substituting for them in acute-phase individual confirmation. Based on this rationale, we expressed and purified three ASFV vRNAP subunits (H359L, C147L, and D339L) in Escherichia coli and developed an indirect ELISA using their mixture as the coating antigen. Through optimization of antigen concentration and ratio, as well as serum dilution, our aim was to establish a highly specific, sensitive, and reproducible ASFV antibody assay for serological surveillance and exposure assessment, thereby providing data to support epidemiological investigations and integrated control strategies.
2. Materials and Methods
2.1. Strains, Plasmids, and Sera
Escherichia coli (E. coli) DH5α competent cells (Takara, Dalian, China) were used for plasmid amplification and cloning, and E. coli BL21(DE3) cells (TransGen Biotech, Beijing, China) were used as the host strain for recombinant protein expression with the pET-32a(+) expression vector. ASFV-positive sera were purchased from the China Institute of Veterinary Drug Control. Clinical serum samples were collected from pig farms across diverse regions, comprising field cases from an active outbreak with various clinical states. ASFV-negative sera and sera positive for porcine circovirus type 2 (PCV2), pseudorabies virus (PRV), classical swine fever virus (CSFV), porcine reproductive and respiratory syndrome virus (PRRSV), and porcine epidemic diarrhea virus (PEDV) were stored in our laboratory.
2.2. Sequence Analysis and Optimization
The amino acid sequences of H359L, C147L, and D339L were analyzed via the IEDB database (http://tools.immuneepitope.org/bcell/) (accessed on 20 May 2025) to assess their immunogenicity, hydrophilicity, and transmembrane regions (Figures S1–S3). The nucleotide sequences of H359L, C147L, and D339L from the reference strain China/LN/2018/1 (GenBank accession number: OP856591.1) were aligned with homologous sequences of ASFV. A phylogenetic tree was inferred using the neighbor-joining method implemented in MEGA XI (v11.0.13) and combined with 1000 bootstrap replicates to evaluate branch support (Figure S4). According to the E. coli expression system, H359L, C147L, and D339L were optimized and synthesized, and then the synthesized sequences were cloned into the pET–32a–N vector.
2.3. Recombinant Protein Production and Purification
The resultant constructs were transformed into competent Escherichia coli BL21(DE3) cells. Protein expression was induced with 0.5 mM IPTG when the optical density at 600 nm (OD600) reached 0.6. Subsequently, the cells were incubated either at 37 °C for 6 h or at 16 °C for 16 h (overnight). After induction, the cells were harvested and lysed via sonication. The lysates were clarified by centrifugation at 8000× g and then filtered through a 0.22 μm membrane. Proteins were purified by Ni2+-affinity chromatography using a 20–300 mM imidazole gradient, followed by size-exclusion chromatography on a Superdex 200 column (20 mM Tris—HCl, 150 mM NaCl, pH 8.0; flow rate: 1 mL/min). Target fractions were pooled according to the defined elution peaks.
2.4. Western Blotting
The purified recombinant proteins were subjected to SDS–PAGE on 12% acrylamide gels under reducing conditions. Subsequently, they were electrotransferred onto nitrocellulose membranes (NC membranes). The membranes were blocked for 2 h at 37 °C with a 5% (w/v) skim-milk solution dissolved in TBST buffer (20 mM Tris—HCl, 150 mM NaCl, 0.1% Tween–20, pH 7.6). Following blocking, the membranes were incubated overnight at 4 °C with a mouse anti-His tag monoclonal primary antibody (Abmart, Shanghai, China; catalog no. M30111), which was diluted 1:1000 in the blocking buffer. After three 10 min washes with TBST, the membranes were incubated for 2 h at room temperature with an HRP-conjugated goat anti-mouse IgG secondary antibody (Cat# ab6789, RRID: AB_955694, Abcam, Cambridge, UK), which was diluted 1:5000 in TBST. After three additional 10 min washes with TBST, protein signals were visualized via chemiluminescence detection using the SuperSignal™ West Pico ECL substrate as per the manufacturer’s protocol. The signals were then imaged with an Amersham Imager 600 system, with exposure times ranging from 5 s to 5 min.
2.5. Determination of Optimal Reaction Conditions for Three-Antigen Indirect ELISA
H359L and D339L were serially diluted to 4, 2, 1, 0.5, 0.25, and 0.125 μg/mL, and C147L to 3.2, 1.6, 0.8, 0.4, 0.2, and 0.1 μg/mL. The three proteins at different dilutions were separately coated on 96-well microtiter plates. Their optimal coating concentrations were determined by the 450-nm absorbance (D-values) and positive-to-negative absorbance ratios (P/N values) of positive and negative wells. Then, H359L, C147L and D339L were mixed, and double-antigen combinations at various ratios were coated on plates. The optimal coating ratio and concentration of the double-antigen were determined based on D—and P/N values at 450 nm. Under the optimal double-antigen coating conditions, the optimal conditions for the blocking solution (5% BSA, 35% skim milk powder, 1% gelatin), primary antibody dilution (1:50–1:800), secondary antibody dilution (1:5000–1:50,000), and TMB reaction time (5–20 min) were screened using the single variable method.
2.6. Determination of Critical Values
Thirty ASFV negative serum samples were collected. The ELISA test was performed under the optimized conditions. ASFV-inactivated positive serum and negative serum were used as controls. The OD450 values were measured and statistically analyzed to calculate the standard deviation and mean. According to the calculation formula, samples with values greater than + 4SD were considered positive, those less than + 3SD were considered negative, and those in the intermediate range were considered suspected.
2.7. Sensitivity, Specificity, and Reproducibility Experiments
Inactivated positive serum samples of ASFV were serially diluted at ratios of 1:100, 1:200, 1:400, 1:800, 1:1600, 1:3200, and 1:6400 to verify the sensitivity of the detection method.
Based on the established ELISA methods for H359L, C147L, and D339L proteins, positive serum samples of CSFV, PRRSV, PEDV, PRV, and PCV2 were used for ELISA detection. Meanwhile, inactivated positive and negative ASFV serum samples were set as controls to verify the specificity of these two detection methods.
Four ASFV positive serum samples and two negative serum samples were selected as test specimens. The same batch of H359L, C147L, and D339L antigens were used for coating, and three replicates were set up to test the intra-batch repeatability of the kit. Additionally, antigens of H359L, C147L, and D339L from three different batches were used for coating to conduct both inter-batch repeatability tests. The stability of the kit was evaluated based on the respective coefficient of variation (CV).
2.8. Testing of Clinical Samples
Using the optimized indirect ELISA detection method for H359L, C147L, and D339L, 123 clinical samples were examined with both this optimized method and commercial indirect ELISA kits (cat. no. Y.ME02C; Luoyang Pu–tai Biological Technology Co., Ltd., Luoyang, China). The concordance rate of this method was calculated as follows: Concordance rate (%) = [(the total number of positive − result concordances + the total number of negative result concordances)/the total number of samples] × 100%.
3. Results
3.1. Temperature-Optimized Expression and Purification of Recombinant ASFV Proteins H359L, C147L, and D339L
Recombinant ASFV RNA polymerase subunits H359L, C147L, and D339L were expressed in E. coli BL21(DE3) using pET–32a(+) vectors. Temperature gradient screening (16 °C vs. 37 °C) revealed significantly enhanced solubility at 16 °C for all targets, with C147L exhibiting the most substantial improvement (3.2-fold increase in soluble fraction); consequently, large-scale expression was conducted at 16 °C (Figure 1A,C,E and Figure S5). Sequential purification by Ni–NTA affinity chromatography and Superdex 200 size-exclusion chromatography. SDS–PAGE analysis confirmed homogeneity, displaying single bands at predicted molecular weights: 55 kDa (H359L), 35 kDa (C147L), and 54 kDa (D339L) (Figure 1B,D,F and Figure S5).
Figure 1.
SDS–PAGE analysis of recombinant protein expression and purification. Panels (A,C,E): temperature-dependent expression of pET–32a–H359L, pET–32a–C147L, and pET–32a–D339L at 37 °C and 16 °C. Each panel includes lanes for whole-cell lysate (W), soluble supernatant (S), insoluble pellet (P), and an uninduced control (U). Panels (B,D,F): purification of pET–32a–H359L (B), pET–32a–C147L (D), and pET–32a–D339L (F) by size-exclusion chromatography (SEC). Lanes 1–6 (B,D) and 1–12 (F) correspond to SEC fractions; M denotes the molecular weight marker (protein ladder).
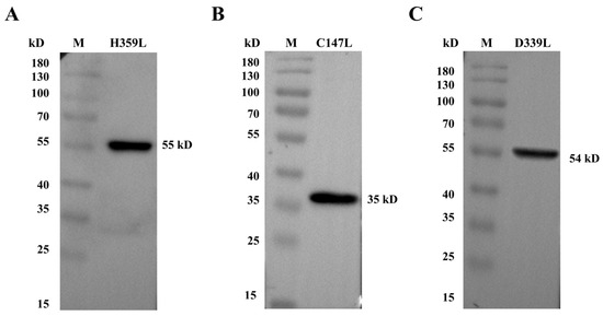
3.2. Western Blotting Confirmed the Expression of the Recombinant Proteins
H359L, C147L, and D339L proteins. Distinct bands were clearly detected at their expected molecular weights: 55 kDa for H359L (Figure 2A and Figure S5), 35 kDa for C147L (Figure 2B and Figure S5), and 54 kDa for D339L (Figure 2C and Figure S5), demonstrating an exact correspondence between the predicted and observed protein sizes.
Figure 2.
Western blotting was conducted to analyze recombinant protein expression. (A) Purified pET–32a–H359L protein characterization. (B) Purified pET–32a–C147L protein characterization. (C) Purified pET–32a–D339L protein characterization.
3.3. Optimization of Experimental Conditions for the Triple-Protein ELISA
To determine the optimal experimental conditions, a checkerboard titration assay was conducted. The results indicated that the optimal coating concentrations of H359L, C147L, and D339L were 1 μg/mL, 0.4 μg/mL, and 0.5 μg/mL, respectively. The optimal dilution ratio of the serum as the primary antibody was 1:200 (Figure 3A). Regarding the blocking conditions, compared with using 5% BSA and 1% gelatin, blocking with 5% skim milk for 60 min exhibited better blocking efficiency (Figure 3B). In addition, the dilution ratio of the secondary antibody and the reaction time of the substrate-enzyme were also investigated. The results showed that for H359L and D339L, the optimal dilution of the secondary antibody was 1:30,000, and the substrate-enzyme reaction time was 15 min; for C147L, the optimal dilution of the secondary antibody was 1:20,000, and the substrate-enzyme reaction time was 10 min (Figure 3C,D). To develop an indirect ELISA method based on H359L, C147L, and D339L, the coating ratios of these three proteins were evaluated. By calculating the P/N values, we found that the optimal concentration ratio of H359L, C147L, and D339L was 1:2:2 (Table 1).
Figure 3.
Optimal conditions of ELISA. (A) Optimized concentrations of coating protein and dilution ratio of serum. (B) Optimized blocking solution and optimal blocking duration. (C) Determination of the optimal dilution factor for the enzyme-labeled secondary antibody. (D) Optimal duration of substrate–enzyme interaction.
Table 1.
Coating volume ratio of H359L, C147L and D339L.
3.4. Determination of Cut-Off Value, Sensitivity, Repeatability, and Specificity
The optimized ELISA method was used to detect 30 negative serum samples, and the absorbance values at 450 nm (OD450) were read. The results are presented in Table 2. By calculation, the mean value () was 0.286, the standard deviation (SD) was 0.036, + 3SD was 0.394, and + 4SD was 0.430. Therefore, samples were considered positive when the OD450 value was >0.430, negative when the OD450 value was <0.394, and questionable when the OD450 value was >0.394 but <0.430.
Table 2.
Negative serum test result (OD450 value).
Using the optimized ELISA detection method, the ASFV-positive serum samples after serial dilution were detected. As shown in Figure 4A, when the serum dilution was 1:3200, the ELISA test was still positive. Therefore, the maximum dilution was 1:3200.
Figure 4.
Sensitivity and specificity testing of ELISA. (A) Sensitivity test results. (B) Specificity test results.
The optimized indirect ELISA method was used to detect ASFV-negative serum and positive sera of ASFV, CSFV, PRRSV, PRV, PCV2, and PEDV. As shown in Figure 4B, only the ASFV-positive serum showed a positive reaction, while the others were negative, indicating that this method has good specificity.
3.5. Repeatability Tests
The repeatability of the established indirect ELISA was evaluated using serum samples obtained from pigs on farms with laboratory-confirmed ongoing ASF virus circulation. This field-derived panel consisted of four positive and two negative sera, representing a spectrum of natural infection states. For the intra-assay repeatability, each serum sample was tested in three replicates on the same microplate. For the inter-assay repeatability, the same set of samples was tested in triplicate across three independent experiments performed on different days. The coefficient of variation (CV) was calculated for each sample across its replicates. As shown in Table 3, the intra-assay CVs ranged from 1.020% to 6.795%, and the inter-assay CVs ranged from 1.477% to 7.600%. All CV values were below the widely accepted threshold of 10–15% for immunoassays, demonstrating that the established indirect ELISA method possesses excellent repeatability and is robust for reliable use.
Table 3.
Results of the repeatability assay for three-antigen indirect ELISA.
3.6. Clinical Sample Detection
The established method was used to detect 123 clinical serum samples, and the results were compared with those obtained from the commercial kit. The results showed that the coincidence rate between the two methods was 96.75%, which indicated that the established ELISA method had good accuracy and was suitable for the detection of ASFV antibodies in clinical serum samples (Table 4).
Table 4.
Clinical sample test results.
4. Discussion
Since the first case of ASF in China was reported in Shenyang City, Liaoning Province in August 2018, the ASFV has spread rapidly across the country, inflicting substantial losses on the Chinese pig-farming industry [2,22,23]. Currently, no effective vaccines or drugs for controlling ASF are available on the market. Therefore, the prevention and control measures mainly include epidemiological monitoring, enhanced feeding management, and the control and culling of infected animals [24].
In recent years, ELISA methods based on different antigens and detection principles have made significant progress in the field of ASFV antibody detection. In terms of detection strategies, blocking ELISA and competitive ELISA have attracted attention due to their high specificity. For example, some studies have constructed a blocking ELISA based on chimeric viral-like nanoparticles and P54 antigen epitopes [25]. Another team utilized phage display technology to screen for the nanobody Nb75 targeting p30 and established a competitive ELISA method [26]. Notably, some methods have begun to be explored for differentiating wild-type viruses from gene-deleted strains. For instance, a dual-protein ELISA based on CD2v and p30 has been developed to identify low-virulence mutant strains lacking the CD2v gene [27]. Furthermore, studies integrating p30, CD2v, and MGF505 proteins have demonstrated superior sensitivity in the established detection system, highlighting the potential of multi-target combined detection in complex infection scenarios [28]. Meanwhile, viral surveillance in other fields, such as the metagenomic analysis of non-human primates in zoos, also underscores the importance of broad pathogen monitoring by revealing potential biological hazards [29].
In antigen design, researchers have increasingly moved from single-protein targets (e.g., p72 or p30) to multi-protein combinations to improve detection sensitivity and diagnostic coverage. For example, an indirect ELISA using a p22–p30 antigen pair demonstrated higher sensitivity and improved concordance rates [30]. Other studies reported a dual-antigen indirect ELISA based on p30 and pB602L [31]. In addition, indirect ELISAs incorporating multiple antigenic epitopes from p30, p54, and p72 have broadened the antibody-recognition spectrum and, to varying degrees, improved assay robustness [32]. Other proteins such as pK205 [33], I329L [34], pB206L [35], pS273R [36] have been used to detect specific antibodies against African swine fever.
In this study, we first analyzed the signal peptide characteristics, hydrophilicity, and B-cell epitopes of the H359L, C147L, and D339L proteins. Comparative sequence analyzes across different strains indicated that these three proteins are highly conserved and possess strong antigenicity. Codon optimization was performed for all three proteins. The results showed that recombinant H359L, C147L, and D339L were expressed in soluble form and exhibited high immunoreactivity following expression and purification. Using the triple-antigen assay developed in this study in parallel with a commercial ELISA kit, we tested 123 clinical samples and achieved an overall concordance of 96.75%. Some researchers have developed an ELISA test based on recombinant antigen proteins containing multiple significant epitopes, and the antibody detection coincidence rate for African swine fever virus reached 99.00%, comparable to commercial products [37,38]. The indirect ELISA established here demonstrated good specificity, excellent repeatability and reproducibility, and sensitivity comparable to previously reported indirect ELISA methods. Therefore, it is well suited for antibody detection and epidemiological surveillance of African swine fever virus.
The comparative validation of our triple-antigen ELISA against a commercially available kit revealed a high concordance rate (96.75%), underscoring the reliability of our method. However, the observed discrepancies warrant discussion, as they highlight the potential advantages of our approach. Commercial kits often rely on a single, immunodominant antigen (e.g., p72). While highly effective for detecting antibodies against that specific protein, this approach might be less sensitive in identifying animals with atypical or waning antibody responses. In contrast, the use of three RNA polymerase subunits (H359L, C147L, and D339L) in our assay likely broadens the serological window by capturing a more diverse antibody repertoire. This multi-antigen strategy could be particularly advantageous for detecting infections in sub-acute or chronically infected animals, where the antibody profile may differ from that in acute cases.
Furthermore, the phylogenetic analysis confirming the high conservation of our target antigens across diverse ASFV strains provides a strong rationale for expecting our ELISA to possess a wide detection spectrum. Since these polymerase subunits are essential for viral replication, they are under strong functional constraint, leading to minimal genetic variation. This suggests that our assay has the potential to detect antibodies against a wide range of ASFV field strains, not just the homologous strain used for antigen production. The successful detection of clinical samples, which inherently contain antibodies against various circulating field strains, further supports this assertion. While the recombinant proteins were based on the China/LN/2018/1 strain, their conserved nature implies that the assay should successfully detect infections caused by other genotypes. Future work should include direct testing against a panel of well-characterized sera from animals infected with geographically distinct ASFV strains to definitively confirm its pan–specific detection capability.
In conclusion, the established triple-antigen indirect ELISA method does not cross-react with antibodies against other porcine viruses (such as PRRSV, CSFV, PCV2, PRV, and PEDV). The maximum dilution of serum that can be detected is 1:3200 for ASFV-positive serum, indicating good sensitivity of the method. The intra-batch and inter-batch reproducibility of this test is CV < 10%, demonstrating good reproducibility. Compared with commercial kits, the triple-antigen indirect ELISA exhibits better detection performance. The current study provides a new platform for ASFV antibody detection, although further validation with large sample sizes is still needed for this method.
Supplementary Materials
The following supporting information can be downloaded at: https://www.mdpi.com/article/10.3390/vetsci13020144/s1, Figure S1: Employed the IEDB web tool to predict B-cell epitopes for ASFV proteins H359L, C147L, and D339L (yellow); Figure S2: Presents the hydrophobicity analysis of ASFV H359L, C147L, and D339L using the ProScale method. A score below 0 indicates hydrophilicity; Figure S3: Analysis of the transmembrane regions of ASFV H359L, C147L, and D339L using TMHMM; Figure S4: Genetic evolutionary analysis of ASFV H359L, C147L, and D339L. The phylogenetic tree was generated using MEGA7.0 with the neighbor-joining method and 1000 bootstrap replicates; Figure S5: Original images.
Author Contributions
C.X.: Writing—review and editing, writing—original draft, methodology, formal analysis, data curation. H.L. and H.G.: methodology, formal analysis, investigation. X.T.: investigation. L.L.: investigation. S.H.: supervision. J.D.: supervision. X.Z.: writing—review and editing. R.L.: writing—review and editing, project administration, funding acquisition. All authors have read and agreed to the published version of the manuscript.
Funding
This research was funded by the Agricultural Science and Technology Innovation Program (ASTIP-IAS15) and the Shaanxi Provincial Innovation Capability Support Program (grant number 2025JC–GXPT–018).
Institutional Review Board Statement
Not applicable.
Informed Consent Statement
Not applicable.
Data Availability Statement
The original contributions presented in this study are included in the article. Further inquiries can be directed to the corresponding authors.
Conflicts of Interest
The authors declare no conflicts of interest.
References
- Canter, J.A.; Aponte, T.; Ramirez-Medina, E.; Pruitt, S.; Gladue, D.P.; Borca, M.V.; Zhu, J.J. Serum Neutralizing and Enhancing Effects on African Swine Fever Virus Infectivity in Adherent Pig PBMC. Viruses 2022, 14, 1249. [Google Scholar] [CrossRef]
- Xu, F.; Li, N.; Xue, Y.; Wang, Z.; Fang, Z.; An, H.; Liu, S.; Weng, C.; Huang, L.; Wang, G. From hemorrhage to apoptosis: Understanding the devastating impact of ASFV on piglets. Microbiol. Spectr. 2025, 13, e0290224. [Google Scholar] [CrossRef] [PubMed]
- Ruedas-Torres, I.; Thi To Nga, B.; Salguero, F.J. Pathogenicity and virulence of African swine fever virus. Virulence 2024, 15, 2375550. [Google Scholar] [CrossRef] [PubMed]
- Ding, L.; Ren, T.; Bing, G.; Wang, Z.; Wang, B.; Ni, J.; Liu, Y.; Zhao, R.; Zhu, Y.; Li, F.; et al. Establishment of a Triplex qPCR Assay for Differentiating Highly Virulent Genotype I Recombinant Virus From Low-Virulence Genotype I and Genotype II African Swine Fever Viruses Circulating in China. Transbound. Emerg. Dis. 2024, 2024, 6206857. [Google Scholar] [CrossRef] [PubMed]
- Xia, Y.J.; Xu, L.; Zhao, J.J.; Li, Y.X.; Wu, R.Z.; Song, X.P.; Zhao, Q.Z.; Liu, Y.B.; Wang, Q.; Zhang, Q.Y. Development of a quadruple PCR-based gene microarray for detection of vaccine and wild-type classical swine fever virus, African swine fever virus and atypical porcine pestivirus. Virol. J. 2022, 19, 201. [Google Scholar] [CrossRef]
- Han, H.; Zhang, D.; Hao, W.; Liu, A.; Xia, N.; Cui, M.; Luo, J.; Jiang, S.; Zheng, W.; Chen, N.; et al. Parallel and Visual Detections of ASFV by CRISPR-Cas12a and CRISPR-Cas13a Systems Targeting the Viral S273R Gene. Animals 2025, 15, 1902. [Google Scholar] [CrossRef]
- Ramirez-Medina, E.; O’Donnell, V.; Silva, E.; Espinoza, N.; Velazquez-Salinas, L.; Moran, K.; Daite, D.A.; Barrette, R.; Faburay, B.; Holland, R.; et al. Experimental Infection of Domestic Pigs with an African Swine Fever Virus Field Strain Isolated in 2021 from the Dominican Republic. Viruses 2022, 14, 1090. [Google Scholar] [CrossRef]
- Wang, Y.; Kang, W.; Yang, W.; Zhang, J.; Li, D.; Zheng, H. Structure of African Swine Fever Virus and Associated Molecular Mechanisms Underlying Infection and Immunosuppression: A Review. Front. Immunol. 2021, 12, 715582. [Google Scholar] [CrossRef]
- Sonntag, K.C.; Darai, G. Evolution of viral DNA-dependent RNA polymerases. Virus Genes. 1995, 11, 271–284. [Google Scholar] [CrossRef]
- Geng, S.; Zhang, Z.; Fan, J.; Sun, H.; Yang, J.; Luo, J.; Guan, G.; Yin, H.; Zeng, Q.; Niu, Q. Transcriptome Profiling Reveals That the African Swine Fever Virus C315R Exploits the IL-6 STAT3 Signaling Axis to Facilitate Virus Replication. Viruses 2025, 17, 309. [Google Scholar] [CrossRef]
- Cwynar, P.; Stojkov, J.; Wlazlak, K. African Swine Fever Status in Europe. Viruses 2019, 11, 310. [Google Scholar] [CrossRef] [PubMed]
- Zhao, D.; Sun, E.; Huang, L.; Ding, L.; Zhu, Y.; Zhang, J.; Shen, D.; Zhang, X.; Zhang, Z.; Ren, T.; et al. Highly lethal genotype I and II recombinant African swine fever viruses detected in pigs. Nat. Commun. 2023, 14, 3096. [Google Scholar] [CrossRef] [PubMed]
- Chathuranga, K.; Lee, J.S. African Swine Fever Virus (ASFV): Immunity and Vaccine Development. Vaccines 2023, 11, 199. [Google Scholar] [CrossRef] [PubMed]
- Du, X.; Liu, Y.; Duan, L.; Tsai, S.Y.; Yaros, J.P.; Wu, F. Elimination of ASFV via Precise Culling in a Large-Scale Breeding Herd in China: A Field Experience. Animals 2025, 15, 2521. [Google Scholar] [CrossRef]
- Grimm, C.; Hillen, H.S.; Bedenk, K.; Bartuli, J.; Neyer, S.; Zhang, Q.; Hüttenhofer, A.; Erlacher, M.; Dienemann, C.; Schlosser, A.; et al. Structural Basis of Poxvirus Transcription: Vaccinia RNA Polymerase Complexes. Cell 2019, 179, 1537–1550.e19. [Google Scholar] [CrossRef]
- Grimm, C.; Bartuli, J.; Boettcher, B.; Szalay, A.A.; Fischer, U. Structural basis of the complete poxvirus transcription initiation process. Nat. Struct. Mol. Biol. 2021, 28, 779–788. [Google Scholar] [CrossRef]
- Pilotto, S.; Sýkora, M.; Cackett, G.; Dulson, C.; Werner, F. Structure of the recombinant RNA polymerase from African Swine Fever Virus. Nat. Commun. 2024, 15, 1606. [Google Scholar] [CrossRef]
- Zhao, D.; Wang, N.; Feng, X.; Zhang, Z.; Xu, K.; Zheng, T.; Yang, Y.; Li, X.; Ou, X.; Zhao, R.; et al. Transcription regulation of African swine fever virus: Dual role of M1249L. Nat. Commun. 2024, 15, 10058. [Google Scholar] [CrossRef]
- Yang, S.; Wang, Y.; Yang, J.; Tian, Z.; Wu, M.; Sun, H.; Zhang, X.; Zhao, Y.; Luo, J.; Guan, G.; et al. African swine fever virus RNA polymerase subunits C315R and H359L inhibition host translation by activating the PKR-eIF2a pathway and suppression inflammatory responses. Front. Microbiol. 2024, 15, 1469166. [Google Scholar] [CrossRef]
- Weng, W.; Wang, H.; Ye, M.; Hu, D.; Wu, J.; Qu, Y.; Gao, P.; Zhang, Y.; Zhou, L.; Ge, X.; et al. Revisiting the early event of African swine fever virus DNA replication. J. Virol. 2025, 99, e0058425. [Google Scholar] [CrossRef]
- Cackett, G.; Sýkora, M.; Portugal, R.; Dulson, C.; Dixon, L.; Werner, F. Transcription termination and readthrough in African swine fever virus. Front. Immunol. 2024, 15, 1350267. [Google Scholar] [CrossRef]
- Li, M.; Zheng, H. Insights and progress on epidemic characteristics, pathogenesis, and preventive measures of African swine fever virus: A review. Virulence 2025, 16, 2457949. [Google Scholar] [CrossRef] [PubMed]
- Mighell, E.; Ward, M.P. African Swine Fever spread across Asia, 2018–2019. Transbound. Emerg. Dis. 2021, 68, 2722–2732. [Google Scholar] [CrossRef] [PubMed]
- Gallardo, M.C.; Reoyo, A.T.; Fernández-Pinero, J.; Iglesias, I.; Muñoz, M.J.; Arias, M.L. African swine fever: A global view of the current challenge. Porc. Health Manag. 2015, 1, 21. [Google Scholar] [CrossRef] [PubMed]
- Huang, C.; Cao, C.; Xu, Z.; Lin, Y.; Wu, J.; Weng, Q.; Liu, Z.; Jin, Y.; Chen, P.; Hua, Q. A blocking ELISA based on virus-like nanoparticles chimerized with an antigenic epitope of ASFV P54 for detecting ASFV antibodies. Sci. Rep. 2023, 13, 19928. [Google Scholar] [CrossRef]
- Zhao, J.; Zhu, J.; Wang, Y.; Yang, M.; Zhang, Q.; Zhang, C.; Nan, Y.; Zhou, E.M.; Sun, Y.; Zhao, Q. A simple nanobody-based competitive ELISA to detect antibodies against African swine fever virus. Virol. Sin. 2022, 37, 922–933. [Google Scholar] [CrossRef]
- Lv, C.; Zhao, Y.; Jiang, L.; Zhao, L.; Wu, C.; Hui, X.; Hu, X.; Shao, Z.; Xia, X.; Sun, X.; et al. Development of a Dual ELISA for the Detection of CD2v-Unexpressed Lower-Virulence Mutational ASFV. Life 2021, 11, 1214. [Google Scholar] [CrossRef]
- Zhang, S.; Zuo, Y.; Gu, W.; Zhao, Y.; Liu, Y.; Fan, J. A triple protein-based ELISA for differential detection of ASFV antibodies. Front. Vet. Sci. 2024, 11, 1489483. [Google Scholar] [CrossRef]
- Liang, R.; Tang, X.; Liang, L.; Ding, J. Viral metagenomic analysis reveals potential biologicalhazards in non-human primates in a zoo. Anim. Res. One Health 2024, 3, 217–228. [Google Scholar] [CrossRef]
- Li, J.; Jiao, J.; Liu, N.; Ren, S.; Zeng, H.; Peng, J.; Zhang, Y.; Guo, L.; Liu, F.; Lv, T.; et al. Novel p22 and p30 dual-proteins combination based indirect ELISA for detecting antibodies against African swine fever virus. Front. Vet. Sci. 2023, 10, 1093440. [Google Scholar] [CrossRef]
- Zhou, L.; Song, J.; Wang, M.; Sun, Z.; Sun, J.; Tian, P.; Zhuang, G.; Zhang, A.; Wu, Y.; Zhang, G. Establishment of a Dual-Antigen Indirect ELISA Based on p30 and pB602L to Detect Antibodies against African Swine Fever Virus. Viruses 2023, 15, 1845. [Google Scholar] [CrossRef]
- Li, D.; Zhang, Q.; Liu, Y.; Wang, M.; Zhang, L.; Han, L.; Chu, X.; Ding, G.; Li, Y.; Hou, Y.; et al. Indirect ELISA Using Multi-Antigenic Dominants of p30, p54 and p72 Recombinant Proteins to Detect Antibodies against African Swine Fever Virus in Pigs. Viruses 2022, 14, 2660. [Google Scholar] [CrossRef]
- Niu, Y.; Zhang, G.; Zhou, J.; Liu, H.; Chen, Y.; Ding, P.; Qi, Y.; Liang, C.; Zhu, X.; Wang, A. Differential diagnosis of the infection caused by wild-type or CD2v-deleted ASFV strains by quantum dots-based immunochromatographic assay. Lett. Appl. Microbiol. 2022, 74, 1001–1007. [Google Scholar] [CrossRef]
- Shen, Z.; Qiu, W.; Luan, H.; Sun, C.; Cao, X.; Wang, G.; Peng, J. I329L protein-based indirect ELISA for detecting antibodies specific to African swine fever virus. Front. Cell Infect. Microbiol. 2023, 13, 1150042. [Google Scholar] [CrossRef]
- Yang, Y.; Xia, Q.; Sun, Q.; Zhang, Y.; Li, Y.; Ma, X.; Guan, Z.; Zhang, J.; Li, Z.; Liu, K.; et al. Detection of African swine fever virus antibodies in serum using a pB602L protein-based indirect ELISA. Front. Vet. Sci. 2022, 9, 971841. [Google Scholar] [CrossRef] [PubMed]
- Zhang, J.; Zhang, K.; Sun, S.; He, P.; Deng, D.; Zhang, P.; Zheng, W.; Chen, N.; Zhu, J. Specific Monoclonal Antibodies against African Swine Fever Virus Protease pS273R Revealed a Novel and Conserved Antigenic Epitope. Int. J. Mol. Sci. 2024, 25, 8906. [Google Scholar] [CrossRef] [PubMed]
- Afayibo, D.J.A.; Zhang, Z.; Sun, H.; Fu, J.; Zhao, Y.; Amuda, T.O.; Wu, M.; Du, J.; Guan, G.; Niu, Q.; et al. Establishment of an ELISA Based on a Recombinant Antigenic Protein Containing Multiple Prominent Epitopes for Detection of African Swine Fever Virus Antibodies. Microorganisms 2024, 12, 943. [Google Scholar] [CrossRef] [PubMed]
- Jung, M.C.; Le, V.P.; Yoon, S.W.; Le, T.N.; Trinh, T.B.N.; Kim, H.K.; Kang, J.A.; Lim, J.W.; Yeom, M.; Na, W.; et al. A Robust Quadruple Protein-Based Indirect ELISA for Detection of Antibodies to African Swine Fever Virus in Pigs. Microorganisms 2023, 11, 2758. [Google Scholar] [CrossRef]
Disclaimer/Publisher’s Note: The statements, opinions and data contained in all publications are solely those of the individual author(s) and contributor(s) and not of MDPI and/or the editor(s). MDPI and/or the editor(s) disclaim responsibility for any injury to people or property resulting from any ideas, methods, instructions or products referred to in the content. |
© 2026 by the authors. Licensee MDPI, Basel, Switzerland. This article is an open access article distributed under the terms and conditions of the Creative Commons Attribution (CC BY) license.



