Pathology of Free-Living Loggerhead Turtle (Caretta caretta) Embryos on the Island of Linosa (Italy)
Simple Summary
Abstract
1. Introduction
2. Materials and Methods
2.1. Samples Collection
2.2. Biometric Data Collection
2.3. Gross and Histological Examination
2.4. Electron Microscopy
2.5. Temperature Collection
2.6. Statistical Analysis
3. Results
3.1. Egg Depth Distributions and Biometric Data
3.2. Gross and Histological Examination
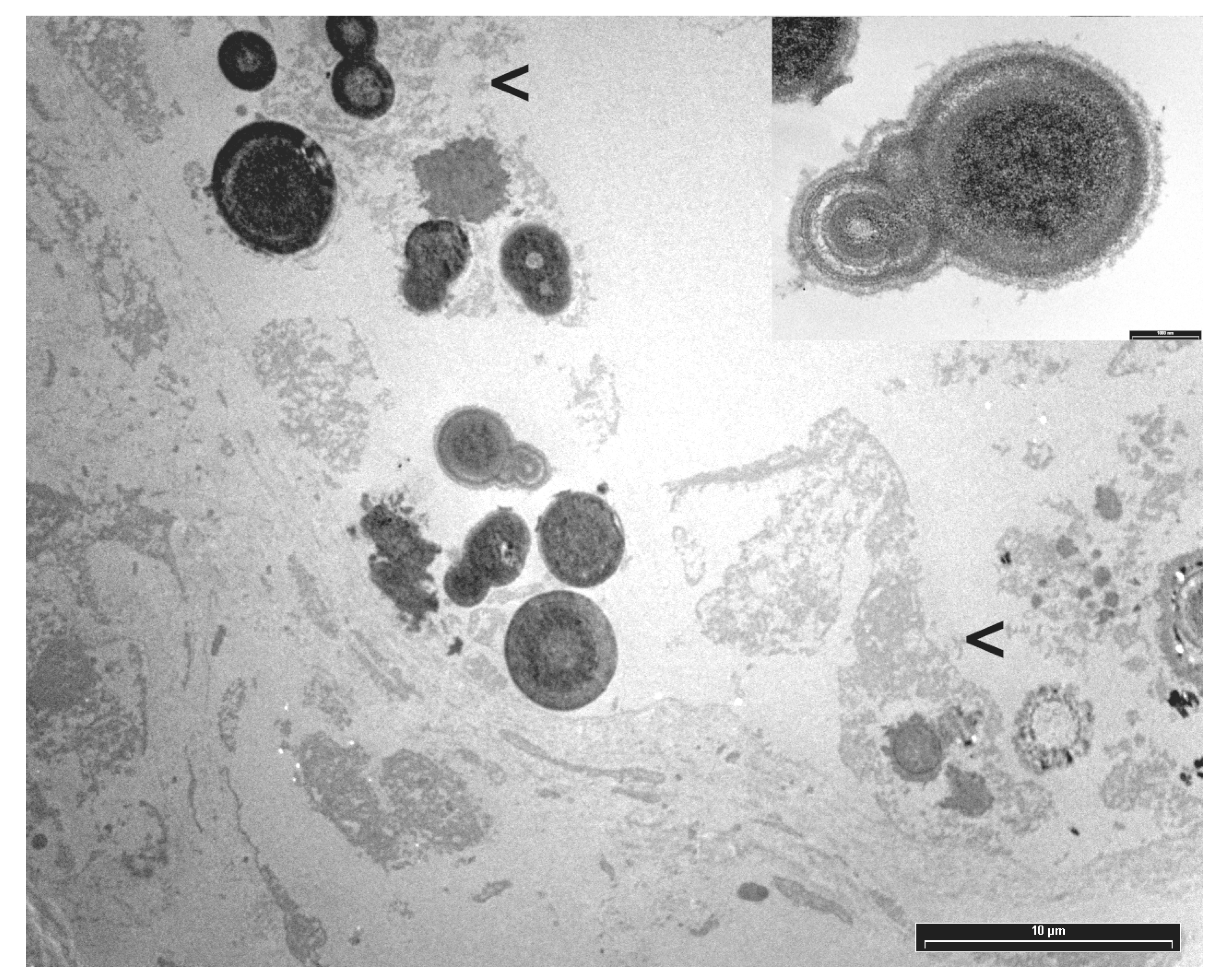
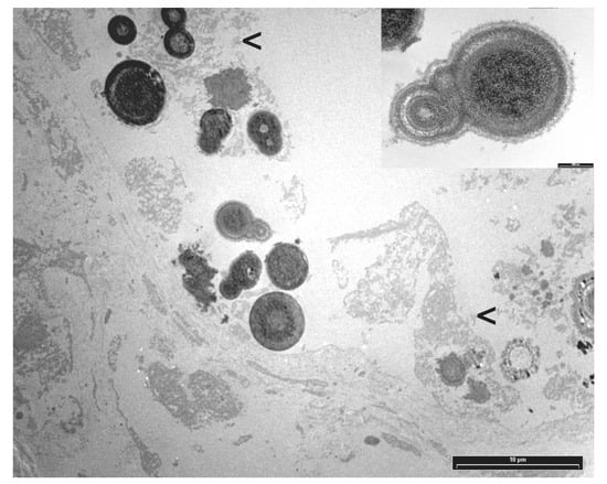
3.3. Electron Microscopy
3.4. Histochemical Staining
3.5. Statistical Analysis
4. Discussion
5. Conclusions
Author Contributions
Funding
Institutional Review Board Statement
Informed Consent Statement
Data Availability Statement
Conflicts of Interest
Abbreviations
| IUCN | International Union for Conservation of Nature |
| SCL | standard carapace length |
| SCW | standard carapace width |
| HL | head length |
| HW | head width |
| HE | hematoxylin-eosin stain |
| PAS | periodic acid Schiff |
| TEM | transmission electron microscopy |
References
- Pritchard, P.; Mortimer, J. Taxonomy, External Morphology, and Species Identification. In Research and Management Techniques for the Conservation of Sea Turtles; SSC/IUCNN Marine Turtle Specialist Group: Gland, Switzerland, 1999; pp. 21–38. [Google Scholar]
- Mingozzi, T.; Masciari, G.; Paolillo, G.; Pisani, B.; Russo, M.; Massolo, A. Discovery of a Regular Nesting Area of Loggerhead Turtle Caretta Caretta in Southern Italy: A New Perspective for National Conservation. Biodivers. Conserv. Eur. 2006, 7, 277–299. [Google Scholar] [CrossRef]
- Balletto, E.; Giacoma, C.; Paolillo, G.; Mari, F.; Dell’Anna, L. Piano d’Azione per la Conservazione Della Tartaruga Marina Caretta Caretta Nelle Isole Pelagie; Edi. Tur. S.r.l.: Rome, Italy, 2003; pp. 1–62. [Google Scholar]
- Casale, P. Caretta Caretta (Mediterranean Subpopulation); IUCN Red List of Threatened Species. Available online: https://www.iucn.it/scheda.php?id=1108177324 (accessed on 7 December 2023).
- Casale, P. Sea Turtles in the Mediterranean: Distribution, Threats and Conservation Priorities; IUCN: Fontainebleau, France, 2010; ISBN 978-2-8317-1240-6. [Google Scholar]
- Casale, P.; Broderick, A.C.; Camiñas, J.A.; Cardona, L.; Carreras, C.; Demetropoulos, A.; Fuller, W.J.; Godley, B.J.; Hochscheid, S.; Kaska, Y.; et al. Mediterranean Sea Turtles: Current Knowledge and Priorities for Conservation and Research. Endanger. Species Res. 2018, 36, 229–267. [Google Scholar] [CrossRef]
- Depellegrin, D.; Menegon, S.; Farella, G.; Ghezzo, M.; Gissi, E.; Sarretta, A.; Venier, C.; Barbanti, A. Multi-Objective Spatial Tools to Inform Maritime Spatial Planning in the Adriatic Sea. Sci. Total Environ. 2017, 609, 1627–1639. [Google Scholar] [CrossRef] [PubMed]
- Vlachogianni, T.; Fortibuoni, T.; Ronchi, F.; Zeri, C.; Mazziotti, C.; Tutman, P.; Varezić, D.B.; Palatinus, A.; Trdan, Š.; Peterlin, M.; et al. Marine Litter on the Beaches of the Adriatic and Ionian Seas: An Assessment of Their Abundance, Composition and Sources. Mar. Pollut. Bull. 2018, 131, 745–756. [Google Scholar] [CrossRef]
- Santoro, M.; Hernández, G.; Caballero, M.; García, F. Aerobic bacterial flora of nesting green turtles (Chelonia mydas) from tortuguero national park, costa rica. J. Zoo Wildl. Med. 2006, 37, 549–552. [Google Scholar] [CrossRef]
- Durmuş, S.H.; Ilgaz, Ç.; Gü çlü, Ö.; Özdemir, A. The Effect of the Predicted Air Temperature Change on Incubation Temperature, Incubation Duration, Sex Ratio and Hatching Success of Loggerhead Turtles. Anim. Biol. 2011, 61, 369–383. [Google Scholar] [CrossRef]
- Caracappa, S.; Persichetti, M.F.; Piazza, A.; Caracappa, G.; Gentile, A.; Marineo, S.; Crucitti, D.; Arculeo, M. Incidental Catch of Loggerhead Sea Turtles (Caretta caretta) along the Sicilian Coasts by Longline Fishery. PeerJ 2018, 6, e5392. [Google Scholar] [CrossRef]
- Gleason, F.H.; Allerstorfer, M.; Lilje, O. Newly Emerging Diseases of Marine Turtles, Especially Sea Turtle Egg Fusariosis (SEFT), Caused by Species in the Fusarium Solani Complex (FSSC). Mycology 2020, 11, 184–194. [Google Scholar] [CrossRef]
- Risoli, S.; Sarrocco, S.; Terracciano, G.; Papetti, L.; Baroncelli, R.; Nali, C. Isolation and Characterization of Fusarium spp. from Unhatched Eggs of Caretta Caretta in Tuscany (Italy). Fungal Biol. 2023, 127, 1321–1327. [Google Scholar] [CrossRef]
- Esposito, M.; Canzanella, S.; Iaccarino, D.; Pepe, A.; Di Nocera, F.; Bruno, T.; Marigliano, L.; Sansone, D.; Hochscheid, S.; Gallo, P.; et al. Trace Elements and Persistent Organic Pollutants in Unhatched Loggerhead Turtle Eggs from an Emerging Nesting Site along the Southwestern Coasts of Italy, Western Mediterranean Sea. Animals 2023, 13, 1075. [Google Scholar] [CrossRef]
- Chemello, G.; Trotta, E.; Notarstefano, V.; Papetti, L.; Di Renzo, L.; Matiddi, M.; Silvestri, C.; Carnevali, O.; Gioacchini, G. Microplastics Evidence in Yolk and Liver of Loggerhead Sea Turtles (Caretta caretta), a Pilot Study. Environ. Pollut. 2023, 337, 122589. [Google Scholar] [CrossRef] [PubMed]
- Duncan, E.M.; Broderick, A.C.; Fuller, W.J.; Galloway, T.S.; Godfrey, M.H.; Hamann, M.; Limpus, C.J.; Lindeque, P.K.; Mayes, A.G.; Omeyer, L.C.M.; et al. Microplastic Ingestion Ubiquitous in Marine Turtles. Glob. Change Biol. 2019, 25, 744–752. [Google Scholar] [CrossRef] [PubMed]
- Pietroluongo, G.; Centelleghe, C.; Sciancalepore, G.; Ceolotto, L.; Danesi, P.; Pedrotti, D.; Mazzariol, S. Environmental and Pathological Factors Affecting the Hatching Success of the Two Northernmost Loggerhead Sea Turtle (Caretta caretta) Nests. Sci. Rep. 2023, 13, 2938. [Google Scholar] [CrossRef] [PubMed]
- Jensen, M.P.; Allen, C.D.; Eguchi, T.; Bell, I.P.; LaCasella, E.L.; Hilton, W.A.; Hof, C.A.M.; Dutton, P.H. Environmental Warming and Feminization of One of the Largest Sea Turtle Populations in the World. Curr. Biol. 2018, 28, 154–159.e4. [Google Scholar] [CrossRef]
- Hall, J.M.; Sun, B. Heat Tolerance of Reptile Embryos: Current Knowledge, Methodological Considerations, and Future Directions. J. Exp. Zool. Part A Ecol. Integr. Physiol. 2021, 335, 45–58. [Google Scholar] [CrossRef]
- Miller, J.D.; Mortimer, J.A.; Limpus, C.J. A Field Key to the Developmental Stages of Marine Turtles (Cheloniidae) with Notes on the Development of Dermochelys. Chelonian Conserv. Biol. 2017, 16, 111–122. [Google Scholar] [CrossRef]
- Wyneken, J. The Anatomy of Sea Turtles; Technical Memorandum; Department of Commerce, NOAA, U.S.: Miami, FL, USA, 2001. [Google Scholar]
- Merendi, F.; Zaccaroni, A.; Zucchini, M.; Affronte, M.; Scaravelli, D.; Simoni, P. Rilievi Necroscopici, Esami Citologici, Istologici e Determinazione Dei Metalli Pesanti e Arsenico in Tartarughe Marine (Caretta caretta) Spiaggiate in Emilia Romagna. In Proceedings of the 1st Annual Congress of the Italian Association of Veterinary Pathologists (AIPVet), Gargnano, Italy, 30 April–1 May 2004; pp. 32–35. [Google Scholar]
- Torrent, A.; González-Díaz, O.M.; Monagas, P.; Orós, J. Tissue Distribution of Metals in Loggerhead Turtles (Caretta caretta) Stranded in the Canary Islands, Spain. Mar. Pollut. Bull. 2004, 49, 854–860. [Google Scholar] [CrossRef]
- Prearo, M.; Squadrone, S.; Tarasco, R.; Zizzo, N.; Appino, S.; Pavoletti, E.; Abete, M. Presenza Di Metalli Pesanti in Tartarughe Comuni (Caretta caretta) Spiaggiate Lungo Le Coste Pugliesi. In Proceedings of the 11th annual congress of Italian Society of Veterinary Diagnostic Laboratory (SIDILV), Parma, Italy, 30 September–2 October 2009; pp. 220–221. [Google Scholar]
- Storelli, M.M.; Marcotrigiano, G.O. Chlorobiphenyls, HCB, and Organochlorine Pesticides in Some Tissues of Caretta caretta (Linnaeus) Specimens Beached along the Adriatic Sea, Italy. Bull. Environ. Contam. Toxicol. 2000, 64, 481–488. [Google Scholar] [CrossRef]
- Alam, S.K.; Brim, M.S. Organochlorine, PCB, PAH, and Metal Concentrations in Eggs of Loggerhead Sea Turtles (Caretta caretta) from Northwest Florida, USA. J. Environ. Sci. Health B 2000, 35, 705–724. [Google Scholar] [CrossRef]
- van de Merwe, J.P.; Hodge, M.; Whittier, J.M.; Ibrahim, K.; Lee, S.Y. Persistent Organic Pollutants in the Green Sea Turtle Chelonia mydas: Nesting Population Variation, Maternal Transfer, and Effects on Development. Mar. Ecol. Prog. Ser. 2010, 403, 269–278. [Google Scholar] [CrossRef]
- Stewart, K.R.; Keller, J.M.; Templeton, R.; Kucklick, J.R.; Johnson, C. Monitoring Persistent Organic Pollutants in Leatherback Turtles (Dermochelys coriacea) Confirms Maternal Transfer. Mar. Pollut. Bull. 2011, 62, 1396–1409. [Google Scholar] [CrossRef] [PubMed]
- Cañas, J.E.; Anderson, T.A. Organochlorine Contaminants in Eggs: The Influence of Contaminated Nest Material. Chemosphere 2002, 47, 585. [Google Scholar] [PubMed]
- Green, D.E.; Albers, P.H. Diagnostic Criteria for Selenium Toxicosis in Aquatic Birds: Histologic Lesions. J. Wildl. Dis. 1997, 33, 385–404. [Google Scholar] [CrossRef] [PubMed][Green Version]
- Liu, X.; Liang, C.; Zhou, M.; Chang, Z.; Li, L. Exposure of Cyprinus carpio var. Larvae to PVC Microplastics Reveals Significant Immunological Alterations and Irreversible Histological Organ Damage. Ecotoxicol. Environ. Saf. 2023, 249, 114377. [Google Scholar] [CrossRef]
- Johnson, J.C.; Schwiesow, T.; Ekwall, A.K.; Christiansen, J.L. Reptilian Melanomacrophages Function under Conditions of Hypothermia: Observations on Phagocytic Behavior. Pigment. Cell Res. 1999, 12, 376–382. [Google Scholar] [CrossRef]
- Agius, C.; Roberts, R.J. Melano-Macrophage Centres and Their Role in Fish Pathology. J. Fish Dis. 2003, 26, 499–509. [Google Scholar] [CrossRef]
- Mader, D. Reptile Medicine and Surgery. In Saunders; Elsevier: Philadelphia, PA, USA, 2006. [Google Scholar]
- Frye, F. Biomedical and Surgical Aspects of Captive Reptile Husbandry; Krieger Publishing Company: Malabar, FL, USA, 1991. [Google Scholar]
- Miller, J. Embryology of Marine Turtles. In Biology of the Reptilia; Wiley-Interscience: Hoboken, NJ, USA, 1985; pp. 269–328. [Google Scholar]
- Lutz, P.; Musick, J.; Wyneken, J. The Biology of Sea Turtles; CRC Press: London, UK, 1997. [Google Scholar]
- Ackerman, R. The Nest Environment and the Embryonic Development of Sea Turtles. In The Biology of Sea Turtles; CRC Press: London, UK, 1997; pp. 83–106. [Google Scholar]
- Packard, G.; Packard, M. The Physiological Ecology of Reptilian Eggs and Embryos. In Biology of the Reptilia; Academic Press: Cambridge, UK, 1988; pp. 523–605. [Google Scholar]
- Moran, K.; Bjorndal, K.; Bolten, A. Effects of the Thermal Environment on the Temporal Pattern of Emergence of Hatchling Loggerhead Turtles Caretta Caretta. Mar. Ecol. Prog. Ser. 1999, 189, 251–261. [Google Scholar] [CrossRef][Green Version]
- Matsuzawa, Y.; Sato, K.; Sakamoto, W.; Bjorndal, K. Seasonal Fluctuations in Sand Temperature: Effects on the Incubation Period and Mortality of Loggerhead Sea Turtle (Caretta caretta) Pre-Emergent Hatchlings in Minabe, Japan. Mar. Biol. 2002, 140, 639–646. [Google Scholar] [CrossRef]
- Davenport, J. Temperature and the Life-History Strategies of Sea Turtles. J. Therm. Biol. 1997, 22, 479–488. [Google Scholar] [CrossRef]


| Depth | Nest 1 | Nest 2 | Nest 3 | Nest 4 | Nest 5 |
|---|---|---|---|---|---|
| 13–18 cm | - | - | 1 | - | - |
| 19–23 cm | 3 | - | - | - | 1 |
| 24–28 cm | 3 | - | 8 | 3 | - |
| 29–33 cm | 6 | 2 | 3 | 1 | - |
| 34–38 cm | - | 3 | 1 | 2 | - |
| 39–43 cm | - | 6 | - | - | - |
| Total | 12 | 11 | 13 | 6 | 1 |
| JULY | AUGUST | ||||
|---|---|---|---|---|---|
| Year | Average Temperature | SD | Year | Average Temperature | D |
| 2 years before | 25.7 °C | 1.15 | 2 years before | 26.1 °C | 0.94 |
| 1 year before | 25.8 °C | 1.18 | 1 year before | 25.8 °C | 1.07 |
| Sampling year | 30.2 °C | 0.73 | Sampling year | 30.7 °C | 1.28 |
| 1 year after | 25.7 °C | 1.64 | 1 year after | 27.2 °C | 1.51 |
| 2 years after | 26.8 °C | 1.15 | 2 years after | 27.1 °C | 0.76 |
| Depth | Nest 1 | Nest 2 | Nest 3 | Nest 4 | Nest 5 |
|---|---|---|---|---|---|
| 13–18 cm | - | - | 1 (out of 1) | - | - |
| 19–23 cm | 2 (out of 3) | - | - | - | 0 (out of 1) |
| 24–28 cm | 3 (out of 3) | - | 3 (out of 8) | 1 (out of 3) | - |
| 29–33 cm | 3 (out of 6) | 2 (out of 2) | 1 (out of 3) | 0 (out of 1) | - |
| 34–38 cm | - | 2 (out of 3) | 0 (out of 1) | 1 (out of 2) | - |
| 39–43 cm | - | 6 (out of 6) | - | - | - |
| Total | 8 (out of 12) | 10 (out of 11) | 5 (out of 13) | 2 (out of 6) | 0 (out of 1) |
Disclaimer/Publisher’s Note: The statements, opinions and data contained in all publications are solely those of the individual author(s) and contributor(s) and not of MDPI and/or the editor(s). MDPI and/or the editor(s) disclaim responsibility for any injury to people or property resulting from any ideas, methods, instructions or products referred to in the content. |
© 2025 by the authors. Licensee MDPI, Basel, Switzerland. This article is an open access article distributed under the terms and conditions of the Creative Commons Attribution (CC BY) license (https://creativecommons.org/licenses/by/4.0/).
Share and Cite
Scaglione, F.E.; Cuccato, M.; Longato, E.; Pregel, P.; Zucca, D.; Nannarelli, S.; De Lucia, A.; Pilia, M.; Manuali, E.; Gobbi, M.; et al. Pathology of Free-Living Loggerhead Turtle (Caretta caretta) Embryos on the Island of Linosa (Italy). Vet. Sci. 2025, 12, 328. https://doi.org/10.3390/vetsci12040328
Scaglione FE, Cuccato M, Longato E, Pregel P, Zucca D, Nannarelli S, De Lucia A, Pilia M, Manuali E, Gobbi M, et al. Pathology of Free-Living Loggerhead Turtle (Caretta caretta) Embryos on the Island of Linosa (Italy). Veterinary Sciences. 2025; 12(4):328. https://doi.org/10.3390/vetsci12040328
Chicago/Turabian StyleScaglione, Frine Eleonora, Matteo Cuccato, Erica Longato, Paola Pregel, Daniele Zucca, Stefano Nannarelli, Alessandra De Lucia, Marco Pilia, Elisabetta Manuali, Marco Gobbi, and et al. 2025. "Pathology of Free-Living Loggerhead Turtle (Caretta caretta) Embryos on the Island of Linosa (Italy)" Veterinary Sciences 12, no. 4: 328. https://doi.org/10.3390/vetsci12040328
APA StyleScaglione, F. E., Cuccato, M., Longato, E., Pregel, P., Zucca, D., Nannarelli, S., De Lucia, A., Pilia, M., Manuali, E., Gobbi, M., Bollo, E., & Appino, S. (2025). Pathology of Free-Living Loggerhead Turtle (Caretta caretta) Embryos on the Island of Linosa (Italy). Veterinary Sciences, 12(4), 328. https://doi.org/10.3390/vetsci12040328

