Primary Pericardial Well-Differentiated Papillary Mesothelioma in a Spotted Hyena (Crocuta crocuta)
Simple Summary
Abstract
1. Introduction
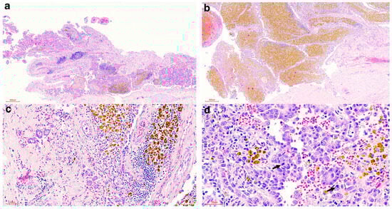
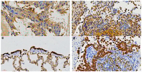
2. Case Report
3. Discussion
4. Conclusions
Author Contributions
Funding
Institutional Review Board Statement
Informed Consent Statement
Data Availability Statement
Acknowledgments
Conflicts of Interest
Abbreviations
| CMH | Cardiac mesothelial hyperplasia |
| HE | Haematoxylin and eosin |
| IHC | Immunohistochemistry |
| IHPE | Idiopathic haemorrhagic pericardial effusion |
| PMH | Papillary mesothelial hyperplasia |
| PPM | Primary pericardial mesothelioma |
| WDPM | Well-differentiated papillary mesothelioma |
References
- Gössinger, H.D.; Siostrzonek, P.; Zangeneh, M.; Neuhold, A.; Herold, C.; Schmoliner, R.; Laczkovics, A.; Tscholakoff, D.; Mösslacher, H. Magnetic resonance imaging findings in a patient with pericardial mesothelioma. Am. Heart J. 1988, 115, 1321–1322. [Google Scholar] [CrossRef]
- Papi, M.; Genestreti, G.; Tassinari, D.; Lorenzini, P.; Serra, S.; Ricci, M.; Pasquini, E.; Nicolini, M.; Pasini, G.; Tamburini, E.; et al. Malignant pericardial mesothelioma. Report of two cases, review of the literature and differential diagnosis. Tumori 2005, 91, 276–279. [Google Scholar] [CrossRef]
- Ikede, B.O.; Zubaidy, A.; Gill, C.W. Pericardial mesothelioma with cardiac tamponade in a dog. Vet. Pathol. 1980, 17, 496–500. [Google Scholar] [CrossRef]
- McDonough, S.P.; MacLachlan, N.J.; Tobias, A.H. Canine pericardial mesothelioma. Vet. Pathol. 1992, 29, 256–260. [Google Scholar] [CrossRef]
- Machida, N.; Tanaka, R.; Takemura, N.; Fujii, Y.; Ueno, A.; Mitsumori, K. Development of pericardial mesothelioma in golden retrievers with a long-term history of idiopathic haemorrhagic pericardial effusion. J. Comp. Pathol. 2004, 131, 166–175. [Google Scholar] [CrossRef]
- Min, J.-H.; Yoon, J.; Son, S.; Song, W.-J.; Lee, S.; Yun, Y.; Park, H.; Cheong, J.; Shank, A.M.M.; Kim, M.-C. A Rare Case of Canine Pericardial Malignant Mesothelioma: Clinicopathologic Findings, Diagnostic Investigations, and Clinical Course with Epirubicin Treatment. J. Vet. Clin. 2024, 41, 170–177. [Google Scholar] [CrossRef]
- Yamamoto, S.; Fukushima, R.; Kobayashi, M.; Machida, N. Mixed form of pericardial mesothelioma with osseous differentiation in a dog. J. Comp. Pathol. 2013, 149, 229–232. [Google Scholar] [CrossRef] [PubMed]
- Tilley, L.; Owens, J.; Wilkins, R.; Patnaik, A. Pericardial mesothelioma with effusion in a cat. J. Am. Anim. Hosp. Assoc. 1975, 11, 60–65. [Google Scholar]
- Carnine, B.L.; Schneider, G.; Cook, J.E.; Leipold, H.W. Pericardial mesothelioma in a horse. Vet. Pathol. 1977, 14, 513–515. [Google Scholar] [CrossRef] [PubMed]
- Wiedner, E.B.; Isaza, R.; Lindsay, W.A.; Case, A.L.; Decker, J.; Roberts, J. Pericardial mesothelioma in a Bengal tiger (Panthera tigris). J. Zoo. Wildl. Med. 2008, 39, 121–123. [Google Scholar] [CrossRef]
- Oreopoulos, G.; Mickleborough, L.; Daniel, L.; De Sa, M.; Merchant, N.; Butany, J. Primary pericardial mesothelioma presenting as constrictive pericarditis. Can. J. Cardiol. 1999, 15, 1367–1372. [Google Scholar] [PubMed]
- Suman, S.; Schofield, P.; Large, S. Primary pericardial mesothelioma presenting as pericardial constriction: A case report. Heart 2004, 90, e4. [Google Scholar] [CrossRef]
- Kocatürk, M.; Salcı, H.; İpek, V.; Çelimli, N.; Yılmaz, Z. Clinical approach to etiology, diagnosis, and treatment in dogs with pericardial effusion–a retrospective study. Ank. Üniversitesi Vet. Fakültesi Derg. 2016, 63, 289–296. [Google Scholar]
- Sane, A.; Roggli, V. Curative resection of a well-differentiated papillary mesothelioma of the pericardium. Arch. Pathol. Lab. Med. 1995, 119, 266–267. [Google Scholar]
- Wang, X.; Ren, W.; Xiao, Y.; Qiao, W.; Li, Y.; Cui, L.; Zhang, X. A giant, well-differentiated papillary mesothelioma of the left atrioventricular groove: Case report and brief review of the literature. J. Clin. Ultrasound 2019, 47, 564–567. [Google Scholar] [CrossRef]
- Butnor, K.J.; Sporn, T.A.; Hammar, S.P.; Roggli, V.L. Well-Differentiated Papillary Mesothelioma. Am. J. Surg. Pathol. 2001, 25, 1304–1309. [Google Scholar] [CrossRef] [PubMed]
- Hoekstra, A.V.; Riben, M.W.; Frumovitz, M.; Liu, J.; Ramirez, P.T. Well-differentiated papillary mesothelioma of the peritoneum: A pathological analysis and review of the literature. Gynecol. Oncol. 2005, 98, 161–167. [Google Scholar] [CrossRef]
- Malpica, A.; Sant’Ambrogio, S.; Deavers, M.T.; Silva, E.G. Well-differentiated papillary mesothelioma of the female peritoneum: A clinicopathologic study of 26 cases. Am. J. Surg. Pathol. 2012, 36, 117–127. [Google Scholar] [CrossRef]
- Galateau-Sallé, F.; Vignaud, J.M.; Burke, L.; Gibbs, A.; Brambilla, E.; Attanoos, R.; Goldberg, M.; Launoy, G. Well-differentiated papillary mesothelioma of the pleura: A series of 24 cases. Am. J. Surg. Pathol. 2004, 28, 534–540. [Google Scholar] [CrossRef]
- Oparka, R.; McCluggage, W.G.; Herrington, C.S. Peritoneal mesothelial hyperplasia associated with gynaecological disease: A potential diagnostic pitfall that is commonly associated with endometriosis. J. Clin. Pathol. 2011, 64, 313–318. [Google Scholar] [CrossRef] [PubMed]
- Pang, V.F.; Chang, P.-H.; Wang, F.-I.; Chin, S.-C.; Jeng, C.-R.; Liu, C.-H.; Chu, P.-Y.; Zhuo, Y.-X. Spontaneous neoplasms in zoo mammals, birds, and reptiles in Taiwan—A 10-year survey. Anim. Biol. 2012, 62, 95–110. [Google Scholar] [CrossRef]
- Nelson, K.G.; Engh, A.L.; McKnight, C.A.; Kiupel, M.; Wise, A.G.; Maes, R.K.; Stevens, H.; Heylen, E.; De Keyser, K.; Rector, A.; et al. Papillomavirus-associated cutaneous papillomas in a population of wild spotted hyenas (Crocuta crocuta). J. Wildl. Dis. 2013, 49, 627–631. [Google Scholar] [CrossRef] [PubMed]
- Nobel, T.A.; Klopfer, U.; Perl, S.; Yakobson, B. Lymphosarcoma in a spotted hyena, Crocuta crocuta. J. S. Afr. Vet. Assoc. 1983, 54, 209. [Google Scholar]
- Singleton, C.L.; Wack, R.F.; Zabka, T.S.; Kent, M.S.; Larsen, R.S. Diagnosis and treatment of chronic T-lymphocytic leukemia in a spotted hyena (Crocuta crocuta). J. Zoo. Wildl. Med. 2007, 38, 488–491. [Google Scholar] [CrossRef]
- Goodnight, A.L.; Traslavina, R.P.; Emanuelson, K.; Affolter, V.K.; Gaffney, P.M.; Vernau, W.; Williams, C.; Wu, C.I.; Sturges, B.K.; Lowenstine, L.J. Squamous cell carcinoma of the anal sac in a spotted hyena (Crocuta crocuta). J. Zoo. Wildl. Med. 2013, 44, 1068–1074. [Google Scholar] [CrossRef] [PubMed]
- Bancroft, J.D.; Gamble, M. Theory and Practice of Histological Techniques; Elsevier Health Sciences: Amsterdam, The Netherlands, 2008. [Google Scholar]
- Ramos-Vara, J.; Miller, M. When tissue antigens and antibodies get along: Revisiting the technical aspects of immunohistochemistry—The red, brown, and blue technique. Vet. Pathol. 2014, 51, 42–87. [Google Scholar] [CrossRef]
- Seal, S.; Simon, H. Primary Pericardial Mesothelioma: A Rare but Serious Consideration. Cureus 2021, 13, e19966. [Google Scholar] [CrossRef] [PubMed]
- Yan, Y.; Lv, W.; Luo, Y.; Hu, J.; Yang, J. Primary malignant pericardial mesothelioma with a survival of 2.5 years: A case report. Transl. Cancer Res. 2022, 11, 1451–1456. [Google Scholar] [CrossRef]
- Garrido, M.J.M.; Rufete, A.M.; Rodríguez-Lescure, Á.; Pérez, J.D.C.; Ardoy, F.; Ponce, C.g.; Mena, A.C. Recurrent pericardial effusion as initial manifestation of primary diffuse pericardial malignant mesothelioma. Clin. Transl. Oncol. 2006, 8, 694–696. [Google Scholar] [CrossRef]
- Istomin, V.; Blondheim, D.S.; Meisel, S.R.; Frimerman, A.; Lapidot, M.; Rachmilevitch, R. Pericardial Effusion due to Primary Malignant Pericardial Mesothelioma: A Common Finding but an Uncommon Cause. Case Rep. Med. 2016, 2016, 4810901. [Google Scholar] [CrossRef]
- Kashinath, S.; Vuyyala, S.; Baig, B.; Verghese, B. Recurrent pericardial effusions and pleural effusion: What are we missing? A rare case of primary pericardial malignant mesothelioma. CHEST 2018, 154, 476A. [Google Scholar] [CrossRef]
- Churg, A. Immunohistochemical staining for vimentin and keratin in malignant mesothelioma. Am. J. Surg. Pathol. 1985, 9, 360–365. [Google Scholar] [CrossRef]
- Schlueter, A.H.; Dehghanpir, S.D.; Boudreaux, B.; Robinson, C.; Menk, P.; Lima, J.C.; Langohr, I.M. Feline mesothelioma: Case report and review of cytologic, immunocytochemical, histopathologic, and immunohistochemical findings. J. Vet. Diagn. Investig. 2021, 33, 753–757. [Google Scholar] [CrossRef] [PubMed]
- Coe, S.E.; Garner, M.M.; Kiupel, M. Immunohistochemical characterization of mesothelioma in 6 large felids. J. Vet. Diagn. Investig. 2021, 33, 767–771. [Google Scholar] [CrossRef]
- Duggan, M.A.; Masters, C.B.; Alexander, F. Immunohistochemical differentiation of malignant mesothelioma, mesothelial hyperplasia and metastatic adenocarcinoma in serous effusions, utilizing staining for carcinoembryonic antigen, keratin and vimentin. Acta Cytol. 1987, 31, 807–814. [Google Scholar]
- Kirejczyk, S.G.; Burnum, A.L.; Brown, C.C.; Sakamoto, K.; Rissi, D.R. Cardiac mesothelial papillary hyperplasia in four dogs. J. Vet. Diagn. Investig. 2018, 30, 479–482. [Google Scholar] [CrossRef]
- Mesfin, G. Spontaneous epicardial fibrous fronds on the atria of beagle dogs. Vet. Pathol. 1990, 27, 458–461. [Google Scholar] [CrossRef] [PubMed]
- Goldsmith, D.A.; Adaska, J.M. Bovine cardiac mesothelial hyperplasia: A common incidental finding in adult cattle. J. Vet. Diagn. Investig. 2020, 32, 65–69. [Google Scholar] [CrossRef] [PubMed]
- Cedres, S.; Valdivia, A.; Priano, I.; Rocha, P.; Iranzo, P.; Pardo, N.; Martinez-Marti, A.; Felip, E. BAP1 Mutations and Pleural Mesothelioma: Genetic Insights, Clinical Implications, and Therapeutic Perspectives. Cancers 2025, 17, 1581. [Google Scholar] [CrossRef]
- Fukasawa, N.; Agemi, Y.; Shiba, A.; Aga, M.; Hamakawa, Y.; Miyazaki, K.; Taniguchi, Y.; Misumi, Y.; Shimokawa, T.; Ono, K. A case of slowly progressive malignant pericardial mesothelioma suggesting the involvement of BAP1 loss. Respirol. Case Rep. 2022, 10, e01004. [Google Scholar] [CrossRef]
- Shinozaki-Ushiku, A.; Ushiku, T.; Morita, S.; Anraku, M.; Nakajima, J.; Fukayama, M. Diagnostic utility of BAP 1 and EZH 2 expression in malignant mesothelioma. Histopathology 2017, 70, 722–733. [Google Scholar] [CrossRef]
- Thomas, J.; Phythyon, J.M. Primary mesothelioma of the pericardium. Circulation 1957, 15, 385–390. [Google Scholar] [CrossRef]
- Godar, M.; Liu, J.; Zhang, P.; Xia, Y.; Yuan, Q. Primary pericardial mesothelioma: A rare entity. Case Rep. Oncol. Med. 2013, 2013, 283601. [Google Scholar] [CrossRef]
- Wang, A.; Liu, B.; Dong, S.; Wang, Y. Case report: A case of primary cardiac malignant mesothelioma. Front. Oncol. 2024, 14, 1356592. [Google Scholar] [CrossRef] [PubMed]
- Choi, W.S.; Im, M.S.; Kang, J.H.; Kim, Y.G.; Hwang, I.C.; Lee, J.M.; Lee, S.; Shin, H.S.; Lee, S.P.; Cho, G.Y. Primary malignant pericardial mesothelioma presenting as acute pericarditis. J. Cardiovasc. Ultrasound 2012, 20, 57–59. [Google Scholar] [CrossRef]
- Belli, E.; Landolfo, K. Primary pericardial mesothelioma: A rare cause of constrictive pericarditis. Asian Cardiovasc. Thorac. Ann. 2015, 23, 599–600. [Google Scholar] [CrossRef]
- Massicotte, G.; Bernier, M.; Piché, M.E.; Cantin, L.; Couture, C. Case Report of Aggressive Primary Pericardial Mesothelioma Presenting as a Constrictive Pericarditis. Circ. Cardiovasc. Imaging 2019, 12, e008621. [Google Scholar] [CrossRef] [PubMed]
- Schwartzenberg, S.; Shapira, Y.; Rubachevski, V.; Sharony, R. Primary cardiac mesothelioma presenting with fulminant recurrent pericarditis: A case report. Eur. Heart J. Case Rep. 2023, 7, ytad100. [Google Scholar] [CrossRef] [PubMed]
- Patel, J.; Sheppard, M.N. Primary malignant mesothelioma of the pericardium. Cardiovasc. Pathol. 2011, 20, 107–109. [Google Scholar] [CrossRef]
- Oka, N.; Orita, Y.; Oshita, C.; Nakayama, H.; Teragawa, H. Primary malignant pericardial mesothelioma with difficult antemortem diagnosis: A case report. World J. Clin. Cases 2022, 10, 12380–12387. [Google Scholar] [CrossRef]
- McGehee, E.; Gerber, D.E.; Reisch, J.; Dowell, J.E. Treatment and Outcomes of Primary Pericardial Mesothelioma: A Contemporary Review of 103 Published Cases. Clin. Lung Cancer 2019, 20, e152–e157. [Google Scholar] [CrossRef]
- Cui, F.; Hu, Y.; Li, Y. A Rare Case of Primary Malignant Pericardial Mesothelioma Diagnosed with Pericardiotomy. Heart Surg. Forum 2022, 25, E840–E842. [Google Scholar] [CrossRef]
- Hai, V.A.; Chau, N.T.M.; Hoanh, H.V.; Van Tri, H.; Pho, D.C.; Van Nam, N. Long-term survival from multidisciplinary treatment of primary malignant pericardial mesothelioma: A case report. Int. J. Surg. Case Rep. 2024, 125, 110615. [Google Scholar] [CrossRef]
- Savarrakhsh, A.; Vakilpour, A.; Davani, S.Z.-N.; Daskareh, M.; Morsaghian, M.; Salari, A.; Mirrazeghi, S.F. Malignant primary pericardial mesothelioma presenting as effusive constrictive pericarditis: A case report study. J. Cardiothorac. Surg. 2021, 16, 298. [Google Scholar] [CrossRef]
- Lajoinie, M.; Chavalle, T.; Floch, F.; Sayag, D.; Lanore, D.; Ponce, F.; Chamel, G. Outcome of dogs treated with chemotherapy for mesothelioma: A retrospective clinical study on 40 cases and a literature review. Vet. Comp. Oncol. 2022, 20, 825–835. [Google Scholar] [CrossRef] [PubMed]
- Hotta, K.; Fujimoto, N. Current evidence and future perspectives of immune-checkpoint inhibitors in unresectable malignant pleural mesothelioma. J. Immunother. Cancer 2020, 8, e000461. [Google Scholar] [CrossRef]
- Nabeta, R.; Kanaya, A.; Elbadawy, M.; Usui, T.; Furuya, T.; Suzuki, K.; Uchide, T. Chemosensitivity of three patient-derived primary cultures of canine pericardial mesothelioma by single-agent and combination treatment. Front. Vet. Sci. 2023, 10, 1267359. [Google Scholar] [CrossRef] [PubMed]
- Nabeta, R.; Nakagawa, Y.; Chiba, S.; Xiantao, H.; Usui, T.; Suzuki, K.; Furuya, T.; Fukushima, R.; Uchide, T. Pericardial Mesothelioma in a Dog: The Feasibility of Ultrasonography in Monitoring Tumor Progression. Front. Vet. Sci. 2019, 6, 121. [Google Scholar] [CrossRef] [PubMed]
- Arponen, O.; Salo, V.; Lönnberg, A.; Vaalavirta, L.; Koivu, H.; Nyandoto, P. Primary pericardial mesothelioma: A case report of a patient treated with an immune checkpoint inhibitor as the second-line treatment. Acta Oncol. 2021, 60, 687–691. [Google Scholar] [CrossRef]
- Nilsson, A.; Rasmuson, T. Primary Pericardial Mesothelioma: Report of a Patient and Literature Review. Case Rep. Oncol. 2009, 2, 125–132. [Google Scholar] [CrossRef]
- Yang, H.; Testa, J.R.; Carbone, M. Mesothelioma epidemiology, carcinogenesis, and pathogenesis. Curr. Treat. Options Oncol. 2008, 9, 147–157. [Google Scholar] [CrossRef]
- Stepien, R.L.; Whitley, N.T.; Dubielzig, R.R. Idiopathic or mesothelioma-related pericardial effusion: Clinical findings and survival in 17 dogs studied retrospectively. J. Small Anim. Pr. 2000, 41, 342–347. [Google Scholar] [CrossRef]
- Smets, P.; Guettrot-Imbert, G.; Hermet, M.; Delevaux, I.; Kemeny, J.L.; Aumaître, O.; André, M. Recurrent pericarditis related to primary pericardial malignant mesothelioma. La Rev. De Médecine Interne 2013, 34, 573–576. [Google Scholar] [CrossRef] [PubMed]
- Kotze, A.; Nxomani, C. The National Zoological Gardens of South Africa: A National Research Facility. Int. Zoo. Yearb. 2011, 45, 30–37. [Google Scholar] [CrossRef]
- Leya, M.; Oh, B.; Ha, S.; Tien, H.T.N.B.; Cha, J.O.; Park, S.-C.; Han, J.-I.; Lim, C.W.; Kim, B. The presence of anthracosis is associated with the environmental air quality of zoo, wildlife, and companion animals in Jeollabuk-do Province, South Korea. Am. J. Vet. Res. 2023, 84, ajvr.23.01.0016. [Google Scholar] [CrossRef] [PubMed]



Disclaimer/Publisher’s Note: The statements, opinions and data contained in all publications are solely those of the individual author(s) and contributor(s) and not of MDPI and/or the editor(s). MDPI and/or the editor(s) disclaim responsibility for any injury to people or property resulting from any ideas, methods, instructions or products referred to in the content. |
© 2025 by the authors. Licensee MDPI, Basel, Switzerland. This article is an open access article distributed under the terms and conditions of the Creative Commons Attribution (CC BY) license (https://creativecommons.org/licenses/by/4.0/).
Share and Cite
van der Weyden, L.; Keet, D.; O’Dell, N. Primary Pericardial Well-Differentiated Papillary Mesothelioma in a Spotted Hyena (Crocuta crocuta). Vet. Sci. 2025, 12, 1170. https://doi.org/10.3390/vetsci12121170
van der Weyden L, Keet D, O’Dell N. Primary Pericardial Well-Differentiated Papillary Mesothelioma in a Spotted Hyena (Crocuta crocuta). Veterinary Sciences. 2025; 12(12):1170. https://doi.org/10.3390/vetsci12121170
Chicago/Turabian Stylevan der Weyden, Louise, Dewald Keet, and Nicolize O’Dell. 2025. "Primary Pericardial Well-Differentiated Papillary Mesothelioma in a Spotted Hyena (Crocuta crocuta)" Veterinary Sciences 12, no. 12: 1170. https://doi.org/10.3390/vetsci12121170
APA Stylevan der Weyden, L., Keet, D., & O’Dell, N. (2025). Primary Pericardial Well-Differentiated Papillary Mesothelioma in a Spotted Hyena (Crocuta crocuta). Veterinary Sciences, 12(12), 1170. https://doi.org/10.3390/vetsci12121170

