Use of Computed Tomography in the Clinical Diagnosis of Lower Respiratory Tract Diseases in Sheep
Simple Summary
Abstract
1. Introduction
2. Materials and Methods
2.1. Animals and Inclusion Criteria
2.2. CT Imaging Protocol
2.3. Post-Mortem Examination
2.3.1. Histopathology
2.3.2. Pathogen Detection
2.4. Statistical Analysis
3. Results
3.1. Case Distribution
3.2. Clinical Findings
3.3. Tomographic Findings
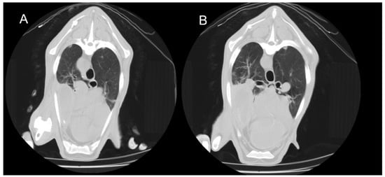
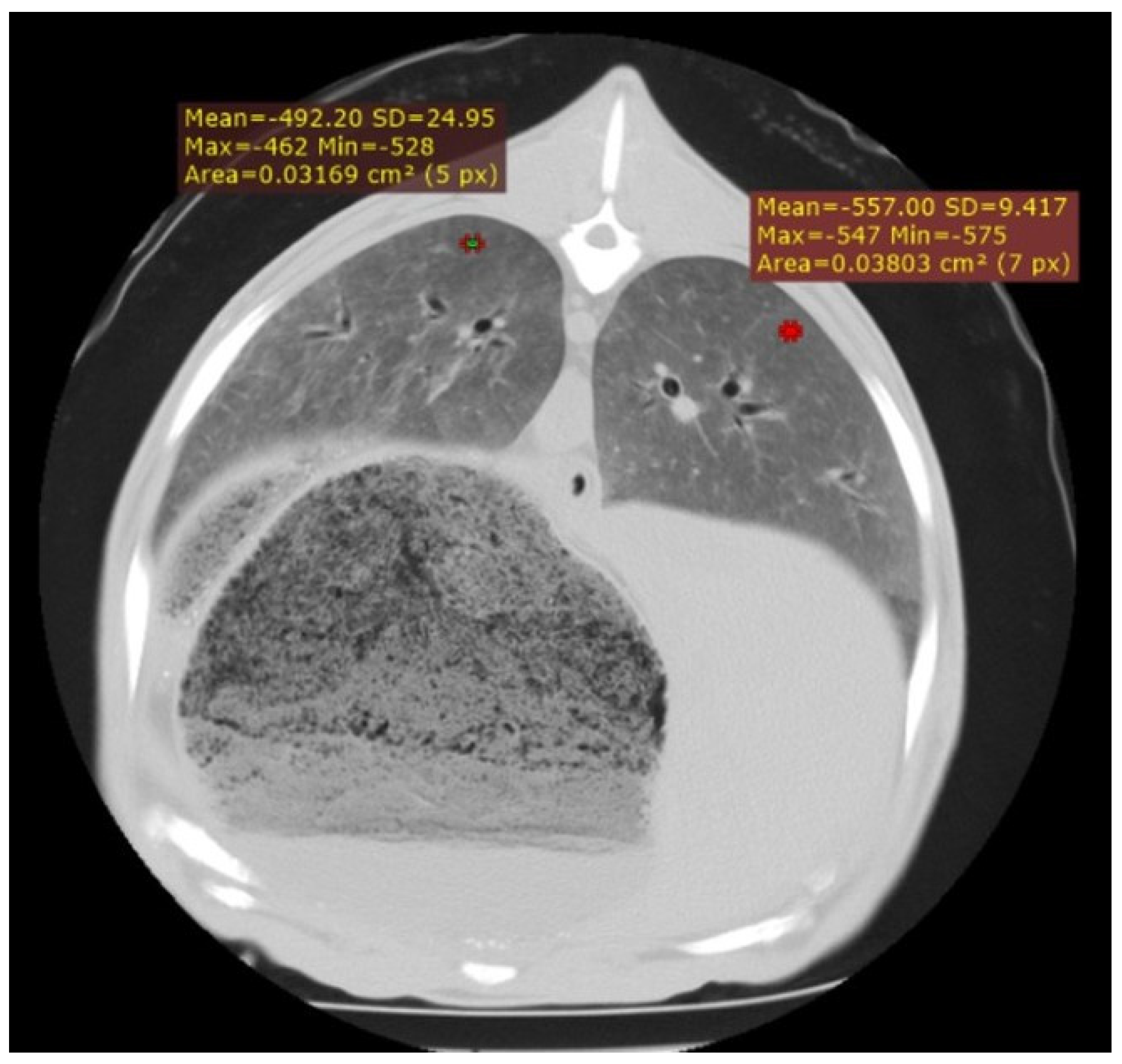
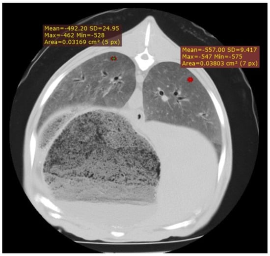
3.3.1. Interstitial Pneumonia (SRLV)
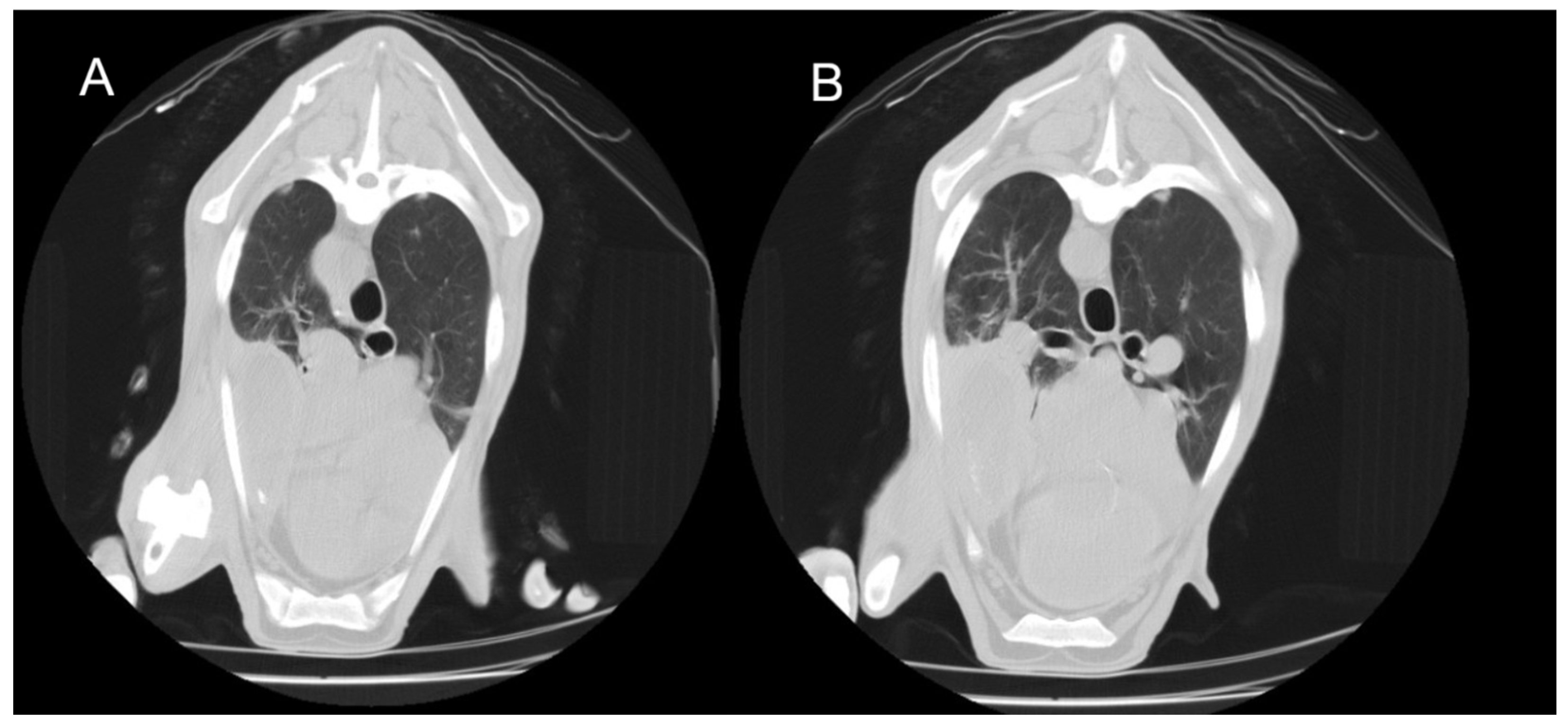
3.3.2. Gangrenous Pneumonia (GN)
3.3.3. Chronic Form of Ovine Respiratory Complex (ORC)
3.3.4. Caseous Lymphadenitis (CLA)
3.3.5. Verminous Pneumonia (VP)
3.3.6. Ovine Pulmonary Adenocarcinoma (OPA)
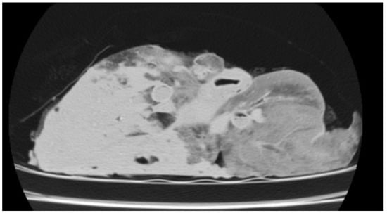
3.3.7. Pulmonary Hydatidosis (PH)
3.4. Post-Mortem Findings
3.4.1. Histopathological Findings
3.4.2. Pathogen Detection
3.4.3. Statistical Analysis
4. Discussion
Author Contributions
Funding
Institutional Review Board Statement
Informed Consent Statement
Data Availability Statement
Acknowledgments
Conflicts of Interest
References
- Skapetas, B.; Kalaitzidou, M. Current status and perspectives of sheep sector in the world. Livest. Res. Rural Dev. 2017, 29, e2000. [Google Scholar]
- Mazinani, M.; Rude, B. Population, world production and quality of sheep and goat products. Am. J. Anim. Vet. Sci. 2020, 15, 291–299. [Google Scholar] [CrossRef]
- Hossain, M.E.; Islam, S. Why sheep matter? A holistic perspective on productive, social, and economic benefits. Res. Rev. J. Life Sci. 2025, 15, 22–31. [Google Scholar]
- Radostits, O.M.; Gay, C.C.; Hinchcliff, K.W.; Constable, P.D. Veterinary Medicine: A Textbook of the Diseases of Cattle, Sheep, Pigs, Goats and Horses, 10th ed.; Saunders Elsevier: Philadelphia, PA, USA, 2010. [Google Scholar]
- Lacasta, D.; Fernández, A.; González, J.; Ramos, J.; Ortín, A.; Ferrer, L. Gangrenous pneumonia, ovine respiratory complex and visceral form of caseous lymphadenitis: Relevance in lower respiratory tract disorders of adult sheep. Small Rumin. Res. 2019, 180, 100–105. [Google Scholar] [CrossRef]
- Overview of Respiratory Diseases of Sheep and Goats. Available online: https://www.merckvetmanual.com/respiratory-system/respiratory-diseases-of-sheep-and-goats/overview-of-respiratory-diseases-of-sheep-and-goats (accessed on 12 September 2025).
- Lacasta, D.; Ruiz, H. Respiratory disorders in adult sheep. In Differential Diagnosis in Sheep, 1st ed.; Quintas, H., Lacasta, D., Ferrer, L.M., Eds.; Dr. Herriot: Zaragoza, Spain, 2022; pp. 31–39. [Google Scholar]
- Scott, P.R.; Gessert, M.E. Respiratory system disorders of sheep. In Sheep Medicine; Scott, P.R., Ed.; CRC Press: Boca Raton, FL, USA, 2015; pp. 211–238. [Google Scholar]
- Navarro, T.; Ramos, J.; De Arcaute, M.R.; González, J. Predisposing factors inducing ovine respiratory complex in intensive-reared lambs. Small Rumin. Res. 2019, 180, 106–111. [Google Scholar] [CrossRef]
- Navarro, T.; Ramos, J.; Figueras, L.; González, J. Epidemiology of ovine respiratory complex in lambs. Small Rumin. Res. 2019, 179, 70–74. [Google Scholar] [CrossRef]
- Lacasta, D.; González, J.; Navarro, T.; Saura, F.; Acín, C.; Vasileiou, N. Significance of respiratory diseases in the health management of sheep. Small Rumin. Res. 2019, 181, 99–102. [Google Scholar] [CrossRef]
- Navarro, T.; González, J.M.; González, B.; Ortín, A.; Pérez, J.; Ferrer, L.M.; Ramos, J.J.; Lacasta, D. Gross pathological findings in 258 necropsied animals from an intensive dairy flock. In Proceedings of the Deutsche Veterinärmedizinische Gesellschaft and ECSRHM Annual Congress, Freiburg, Germany, 15–17 June 2016. [Google Scholar]
- González Saínz, J.M. Factors Conditioning the Survival of Ternasco-Type Lambs: A Study of the Ovine Respiratory Complex. Presentation, Lesion Patterns, Implicated Agents and Serotyping of Pasteurella haemolytica. Ph.D. Thesis, University of Zaragoza, Zaragoza, Spain, 2016. [Google Scholar]
- Sánchez-Fernández, A.; Gardón, J.C.; Ibáñez, C.; Bueso-Ródenas, J. Use of ultrasonography for the evaluation of lung lesions in lambs with respiratory complex. Animals 2025, 15, 1153. [Google Scholar] [CrossRef]
- Griffiths, D.J.; Martineau, H.M.; Cousens, C. Pathology and pathogenesis of ovine pulmonary adenocarcinoma. J. Comp. Pathol. 2010, 142, 260–283. [Google Scholar] [CrossRef]
- Cousens, C.; Meehan, J.; Collie, D.; Wright, S.; Chang, Z.; Todd, H.; Moore, J.; Grant, L.; Daniel, C.R.; Tennant, P.; et al. Tracking ovine pulmonary adenocarcinoma development using an experimental jaagsiekte sheep retrovirus infection model. Genes 2024, 15, 1019. [Google Scholar] [CrossRef]
- Scott, P.R. Overview of Aspiration Pneumonia. In MSD Veterinary Manual; Merck & Co., Inc.: Rahway, NJ, USA, 2017; Available online: https://www.msdvetmanual.com/respiratory-system/aspiration-pneumonia/overview-of-aspiration-pneumonia (accessed on 22 September 2025).
- Biescas, E.; Jirón, W.; Climent, S.; Fernández, A.; Pérez, M.; Weiss, D.; Solomon, A.; Luján, L. AA amyloidosis induced in sheep principally affects the gastrointestinal tract. J. Comp. Pathol. 2009, 140, 238–246. [Google Scholar] [CrossRef]
- De Miguel, R.; Arrieta, M.; Rodríguez-Largo, A.; Echeverría, I.; Resendiz, R.; Pérez, E.; Ruiz, H.; Pérez, M.; de Andrés, D.; Reina, R.; et al. Worldwide prevalence of small ruminant lentiviruses in sheep: A systematic review and meta-analysis. Animals 2021, 11, 784. [Google Scholar] [CrossRef]
- Minguijón, E.; Reina, R.; Pérez, M.; Polledo, L.; Villoria, M.; Ramírez, H.; Leginagoikoa, I.; Badiola, J.J.; García-Marín, J.F.; de Andrés, D.; et al. Small ruminant lentivirus infections and diseases. Vet. Microbiol. 2015, 181, 75–89. [Google Scholar] [CrossRef] [PubMed]
- Benavides, J.; Fuertes, M.; García-Pariente, C.; Otaola, J.; Delgado, L.; Giraldez, J.; García Marín, J.F.; Ferreras, M.C.; Pérez, V. Impact of maedi-visna in intensively managed dairy sheep. Vet. J. 2013, 197, 607–612. [Google Scholar] [CrossRef] [PubMed]
- Dorella, F.; Pacheco, L.G.C.; Oliveira, S.C.; Miyoshi, A.; Azevedo, V. Corynebacterium pseudotuberculosis: Microbiology, biochemical properties, pathogenesis and molecular studies of virulence. Vet. Res. 2006, 37, 201–218. [Google Scholar] [CrossRef]
- Ruiz, H.; Ferrer, L.M.; Ramos, J.J.; Baselga, C.; Alzuguren, O.; Tejedor, M.T.; De Miguel, R.; Lacasta, D. The relevance of caseous lymphadenitis as a cause of culling in adult sheep. Animals 2020, 10, 1962. [Google Scholar] [CrossRef]
- Torky, H.A.; Saad, H.M.; Khaliel, S.A.; Kassih, A.T.; Sabatier, J.; Batiha, G.E.; Hetta, H.F.; Elghazaly, E.M.; De Waard, M. Isolation and molecular characterization of Corynebacterium pseudotuberculosis: Association with proinflammatory cytokines in caseous lymphadenitis pyogranulomas. Animals 2023, 13, 296. [Google Scholar] [CrossRef]
- López, C.M.; Fernández, G.; Viña, M.; Cienfuegos, S.; Panadero, R.; Vázquez, L.; Díaz, P.; Pato, J.; Lago, N.; Dacal, V.; et al. Protostrongylid infection in meat sheep from northwestern Spain: Prevalence and risk factors. Vet. Parasitol. 2011, 178, 108–114. [Google Scholar] [CrossRef] [PubMed]
- Panayotova-Pencheva, M.S.; Tsvyatkov, M. Some pathological features of lungs from domestic and wild ruminants with single and mixed protostrongylid infections. Vet. Med. Int. 2010, 2010, 741062. [Google Scholar] [CrossRef]
- Baghezza, S.; Mamache, B.; Belkhiri, M.; Bennoune, O.; Djabaa, S. Anatomo-pathological study of lung lesions in slaughtered sheep at Batna municipal Slaughterhouse (Eastern Algeria). Comp. Clin. Pathol. 2019, 29, 247–254. [Google Scholar] [CrossRef]
- Castells, E.; Lacasta, D.; Climent, M.; Pérez, M.; Sanromán, F.; Jiménez, C.; Ferrer, L.M. Diagnostic imaging techniques of the respiratory tract of sheep. Small Rumin. Res. 2019, 180, 112–126. [Google Scholar] [CrossRef]
- Castells, E.; Quílez, P.; Ortín, A.; Villanueva Saz, S.; Ruiz de Arcaute, M.; Climent, M.; De las Heras, M.; Ruiz, H.; Navarro, T.; Lacasta, D. Assessment of computed tomography as a diagnostic tool for upper respiratory tract disorders in sheep. Animals 2025, 15, 1445. [Google Scholar] [CrossRef] [PubMed]
- Caffrey, J.M.; Thomas, P.K.; Appt, S.E.; Burkart, H.B.; Weaver, C.M.; Kleinberger, M.; Gayzik, F.S. Contrast enhanced computed tomography of small ruminants: Caprine and ovine. PLoS ONE 2023, 18, e0287529. [Google Scholar] [CrossRef]
- Hathcock, J.T.; Stickle, R.L. Principles and concepts of computed tomography. Vet. Clin. N. Am.-Small Anim. Pract. 1993, 23, 399–415. [Google Scholar] [CrossRef] [PubMed]
- Vecchi, V.; Langer, T.; Bellomi, M.; Rampinelli, C.; Chung, K.K.; Cancio, L.C.; Gattinoni, L.; Batchinsky, A.I. Low-dose CT for quantitative analysis in acute respiratory distress syndrome. Crit. Care 2013, 17, R183. [Google Scholar] [CrossRef]
- Wildi, K.; Colombo, S.M.; McGuire, D.; Ainola, C.; Heinsar, S.; Sato, N.; Sato, K.; Liu, K.; Bouquet, M.; Wilson, E.; et al. An appraisal of lung computer tomography in very early anti-inflammatory treatment of two different ovine ARDS phenotypes. Sci. Rep. 2024, 14, 2162. [Google Scholar] [CrossRef]
- Pérez, M.; Biescas, E.; de Andrés, X.; Leginagoikoa, I.; Salazar, E.; Berriatua, E.; Reina, R.; Bolea, R.; de Andrés, D.; Juste, R.A.; et al. Visna/maedi virus serology in sheep: Survey, risk factors and implementation of a successful control programme in Aragón (Spain). Vet. J. 2010, 186, 221–225. [Google Scholar] [CrossRef] [PubMed]
- Vilallonga, D. Estudio de la Etiología e Impacto Económico de los Decomisos en un Matadero de Ovinos. Ph.D. Thesis, Universidad de Extremadura, Cáceres, Spain, 2013. [Google Scholar]
- Tamarozzi, F.; Legnardi, M.; Fittipaldo, A.; Drigo, M.; Cassini, R. Epidemiological distribution of Echinococcus granulosus sensu lato infection in human and domestic animal hosts in European Mediterranean and Balkan countries: A systematic review. PLoS Negl. Trop. Dis. 2020, 14, e0008519. [Google Scholar] [CrossRef]
- Alexander, K.; Joly, H.; Blond, L.; D’Anjou, M.A.; Nadeau, M.È.; Olive, J.; Beauchamp, G. A comparison of computed tomography, computed radiography, and film-screen radiography for the detection of canine pulmonary nodules. Vet. Radiol. Ultrasound 2012, 53, 258–265. [Google Scholar] [CrossRef]
- Armbrust, L.J.; Biller, D.S.; Bamford, A.; Chun, R.; Garrett, L.D.; Sanderson, M.W. Comparison of three-view thoracic radiography and computed tomography for detection of pulmonary nodules in dogs with neoplasia. J. Am. Vet. Med. Assoc. 2012, 240, 1088–1094. [Google Scholar] [CrossRef]
- Cadore, J.L.; Loubeyre, P.; Vuillermoz, S.; Court-Fortune, I.; Revel, D.; Mornex, J.F. Early diagnosis of lentivirus-induced infiltrative lung disease in sheep by high-resolution computed tomography. Eur. Respir. J. 1997, 10, 1456–1464. [Google Scholar] [CrossRef]
- Cadoria, J.L.; Guiguen, F.; Cordier, G.; Loire, R.; Lyon, M.; Chastang, J.; Greenland, T.; Court-Fortune, I.; Revel, D.; Mornex, J.F. Early events in the experimental interstitial lung disease induced in sheep by the Visna-Maedi virus. Immunol. Lett. 1993, 39, 39–43. [Google Scholar] [CrossRef]
- Humann-Ziehank, E.; Ganter, M.; Deegen, E. Imaging and score-based quantification of ovine pulmonary adenocarcinoma using computed tomography as an additional tool in advanced clinical diagnosis. Small Rumin. Res. 2011, 96, 201–210. [Google Scholar] [CrossRef]
- Humann-Ziehank, E.; Wolf, P.; Renko, K.; Schomburg, L.; Bruegmann, M.L.; Andreae, A.; Brauer, C.; Ganter, M. Ovine pulmonary adenocarcinoma as an animal model of progressive lung cancer and the impact of nutritional selenium supply. J. Trace Elem. Med. Biol. 2011, 25 (Suppl. S1), S30–S34. [Google Scholar] [CrossRef]
- García, P.M. Evaluación Anatomoclínica Mediante Tomografía Computarizada en 100 Perros Presentados en EVAC (Estudios Veterinarios de Alta Complejidad). Ph.D. Thesis, Facultad de Veterinaria, Universidad de Buenos Aires, Buenos Aires, Argentina, 2015. [Google Scholar]
- De Langhe, E.; Vande Velde, G.; Hostens, J.; Himmelreich, U.; Nemery, B.; Luyten, F.P.; Vanoirbeek, J.; Lories, R.J. Quantification of lung fibrosis and emphysema in mice using automated micro-computed tomography. PLoS ONE 2012, 7, e43123. [Google Scholar] [CrossRef]
- Tran, M.C.; Crockett, D.C.; Tran, T.K.; Phan, P.A.; Federico, F.; Bruce, R.; Perchiazzi, G.; Payne, S.J.; Farmery, A.D. Quantifying heterogeneity in an animal model of acute respiratory distress syndrome: A comparison of inspired sinewave technique to computed tomography. Sci. Rep. 2024, 14, 4897. [Google Scholar] [CrossRef] [PubMed]
- Buccardi, M.; Grandi, A.; Ferrini, E.; Buseghin, D.; Villetti, G.; Civelli, M.; Sverzellati, N.; Aliverti, A.; Pennati, F.; Stellari, F.F. Micro-CT-assisted identification of the optimal time-window for antifibrotic treatment in a bleomycin mouse model of long-lasting pulmonary fibrosis. Sci. Rep. 2024, 14, 14792. [Google Scholar] [CrossRef] [PubMed]
- Wuschner, A.E.; Wallat, E.M.; Flakus, M.J.; Shanmuganayagam, D.; Meudt, J.; Christensen, G.E.; Reinhardt, J.M.; Miller, J.R.; Lawless, M.J.; Baschnagel, A.M.; et al. Radiation-induced Hounsfield unit change correlates with dynamic CT perfusion better than 4DCT-based ventilation measures in a novel-swine model. Sci. Rep. 2021, 11, 13156. [Google Scholar] [CrossRef] [PubMed]
- De Las Heras Guillamón, M.; Borderías Clau, L. The sheep as a large animal experimental model in respiratory diseases research. Arch. Bronconeumol. 2010, 46, 499–501. [Google Scholar] [CrossRef]
- Martin, W.B. Respiratory infections of sheep. Vet. Clin. N. Am.-Food Anim. Pract. 1996, 12, 1–15. [Google Scholar] [CrossRef]
- Duan, Y.; Zhang, H.; Li, X.; Wang, Q.; Chen, J. Identification of concurrent infection with Jaagsiekte sheep retrovirus and Maedi-Visna virus in sheep with respiratory disease. J. Vet. Sci. 2024, 25, e1457971. [Google Scholar] [CrossRef] [PubMed]
- Hodor, A.; Smith, K.; Brown, L.; Jones, M. Retroviral coinfection (Jaagsiekte and Maedi-Visna viruses) in sheep with respiratory disease. Front. Vet. Sci. 2024, 11, 1457971. [Google Scholar] [CrossRef] [PubMed]
- Mao, R.; Qi, H.; Pei, L.; Hao, J.; Dong, J.; Jiang, T.; Ainiwaer, A.; Shang, G.; Xu, L.; Shou, X.; et al. CT scanning in identification of sheep cystic echinococcosis. Biomed. Res. Int. 2017, 2017, 4639202. [Google Scholar] [CrossRef] [PubMed]
- Scott, P. Thoracic ultrasonography as an adjunct to clinical examination in sheep. Small Rumin. Res. 2016, 152, 107–118. [Google Scholar] [CrossRef]
- Ferrer, L.M.; Ramos, J.J.; Castells, E.; Ruiz, H.; Climent, M.; Lacasta, D. Use of computed tomography and thermography for the diagnosis of respiratory disorders in adult sheep. In Sheep Farming—An Approach to Feed, Growth and Health; IntechOpen: London, UK, 2020; pp. 53–75. [Google Scholar]









| Lesion/Disease | Location/Distribution | HU Range | Notes/Interpretation |
|---|---|---|---|
| SRLV | Diffuse, entire lung parenchyma | 800 to −400 HU | Severity-dependent: mild (−700 to −800 HU), moderate (−550 to −700 HU), severe (−400 to −550 HU); reflects cellular infiltration |
| GN | Cranioventral lobes, may extend | 20 to 50 HU (walls), 150 to 600 HU (purulent/necrotic content) | Hypodense necrotic tissue; high HU in purulent/putrid areas |
| Chronic ORC | Lobar consolidations, some collapsed regions | 40 to 60 HU | Hyperdense, airless areas; alveolar collapse and parenchymal remodelling |
| CLA | Mediastinal lymph nodes, sometimes pulmonary parenchyma | 10 to 60 HU (non-calcified), 100–200 HU (developing calcification), 150–600 HU (central calcification) | Rounded hyperdense structures; HU increases with calcification |
| VP | Caudal/diaphragmatic regions (Dictyocaulus), dorsal (Protostrongylus) | −100 to −300 HU | Hyperdense nodules; partially aerated tissue with inflammatory infiltrate |
| OPA | Primary masses with satellite nodules | −5 to −30 HU (primary), −90 to −200 HU (metastases) | Solid masses; differences in tissue composition between primary and metastatic lesions |
| PH | Lower lobes, unilateral/bilateral | −50 to −75 HU | Well-defined cysts with liquid content; calcified cysts show higher HU |
| Disease | Clinical Evaluation vs. Post-Mortem Finding | CT Evaluation vs. Post-Mortem Findings | ||
|---|---|---|---|---|
| Cohen’s Kappa Statistic (κ) | Agreement Interpretation | Cohen’s Kappa Statistic (κ) | Agreement Interpretation | |
| SRLV | −0.02 | No agreement | 0.90 | Almost perfect agreement |
| ORC | 0.45 | Moderate agreement | 0.61 | Substantial agreement |
| GP | 0.30 | Fair agreement | 0.92 | Almost perfect agreement |
| CLA | 0 | No agreement | 0.94 | Almost perfect agreement |
| VP | −0.03 | No agreement | 0.77 | Substantial agreement |
| OPA | 0.37 | Fair agreement | 0.37 | Fair agreement |
| PH | 0 | No agreement | 1 | Almost perfect agreement |
Disclaimer/Publisher’s Note: The statements, opinions and data contained in all publications are solely those of the individual author(s) and contributor(s) and not of MDPI and/or the editor(s). MDPI and/or the editor(s) disclaim responsibility for any injury to people or property resulting from any ideas, methods, instructions or products referred to in the content. |
© 2025 by the authors. Licensee MDPI, Basel, Switzerland. This article is an open access article distributed under the terms and conditions of the Creative Commons Attribution (CC BY) license (https://creativecommons.org/licenses/by/4.0/).
Share and Cite
Castells, E.; Quílez, P.; Lacasta, D.; Ortín, A.; Villanueva-Saz, S.; Climent, M.; Luján, L.; Guallar, D.; Hedman, C.A.; Ruiz, H.; et al. Use of Computed Tomography in the Clinical Diagnosis of Lower Respiratory Tract Diseases in Sheep. Vet. Sci. 2025, 12, 1070. https://doi.org/10.3390/vetsci12111070
Castells E, Quílez P, Lacasta D, Ortín A, Villanueva-Saz S, Climent M, Luján L, Guallar D, Hedman CA, Ruiz H, et al. Use of Computed Tomography in the Clinical Diagnosis of Lower Respiratory Tract Diseases in Sheep. Veterinary Sciences. 2025; 12(11):1070. https://doi.org/10.3390/vetsci12111070
Chicago/Turabian StyleCastells, Enrique, Pablo Quílez, Delia Lacasta, Aurora Ortín, Sergio Villanueva-Saz, María Climent, Lluís Luján, David Guallar, Carlos Alfonso Hedman, Héctor Ruiz, and et al. 2025. "Use of Computed Tomography in the Clinical Diagnosis of Lower Respiratory Tract Diseases in Sheep" Veterinary Sciences 12, no. 11: 1070. https://doi.org/10.3390/vetsci12111070
APA StyleCastells, E., Quílez, P., Lacasta, D., Ortín, A., Villanueva-Saz, S., Climent, M., Luján, L., Guallar, D., Hedman, C. A., Ruiz, H., & de Arcaute, M. R. (2025). Use of Computed Tomography in the Clinical Diagnosis of Lower Respiratory Tract Diseases in Sheep. Veterinary Sciences, 12(11), 1070. https://doi.org/10.3390/vetsci12111070

