Effects of Dietary Milk Thistle (Silybum marianum) Supplementation in Ducks Fed Mycotoxin-Contaminated Diets
Abstract
Simple Summary
Abstract
1. Introduction
2. Materials and Methods
2.1. Experimental Animals and Dietary Treatments
2.2. Clinical Status, Measurement of Organ Weights, and Sampling
2.3. Analytical and Histopathological Examination Methods
2.4. Statistical Methods
3. Results
3.1. Health Status and Relative Weight of Organs
3.2. Clinical Chemistry of Blood Serum
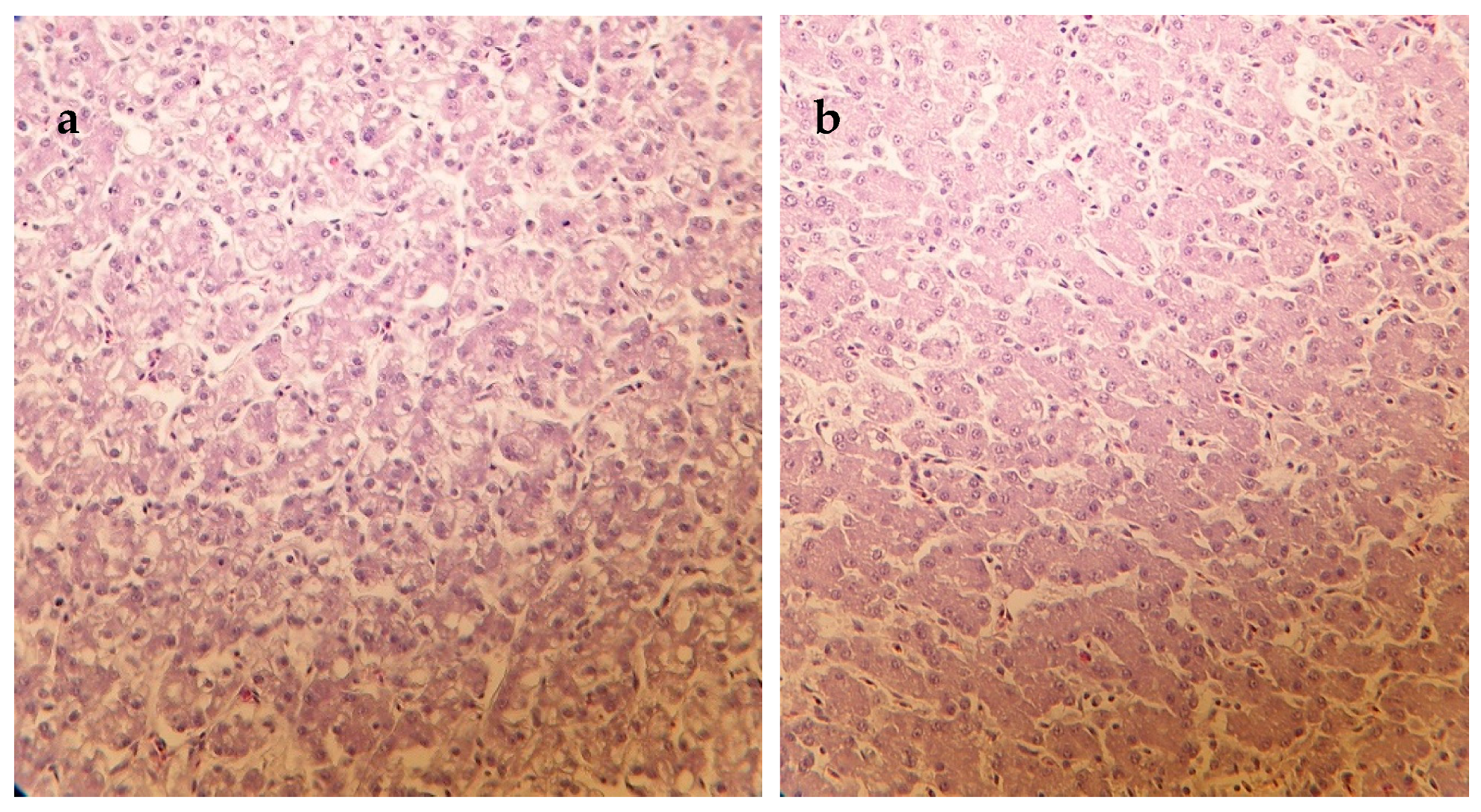
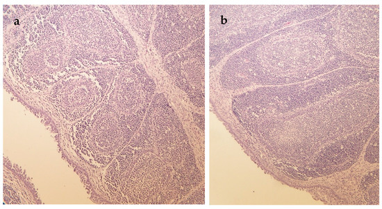
3.3. Histopathology of Liver, Spleen, and Bursa of Fabricius
4. Discussion
5. Conclusions
Author Contributions
Funding
Institutional Review Board Statement
Informed Consent Statement
Data Availability Statement
Acknowledgments
Conflicts of Interest
References
- Pradhan, S.C.; Girish, C. Hepatoprotective Herbal Drug, Silymarin from Experimental Pharmacology to Clinical Medicine. Indian J. Med. Res. 2006, 124, 491–504. [Google Scholar] [PubMed]
- Nencini, C.; Giorgi, G.; Micheli, L. Protective Effect of Silymarin on Oxidative Stress in Rat Brain. Phytomed. Int. J. Phytother. Phytopharm. 2007, 14, 129–135. [Google Scholar] [CrossRef] [PubMed]
- Varzi, H.N.; Esmailzadeh, S.; Morovvati, H.; Avizeh, R.; Shahriari, A.; Givi, M.E. Effect of Silymarin and Vitamin E on Gentamicin-Induced Nephrotoxicity in Dogs. J. Vet. Pharmacol. Ther. 2007, 30, 477–481. [Google Scholar] [CrossRef]
- Trappoliere, M.; Caligiuri, A.; Schmid, M.; Bertolani, C.; Failli, P.; Vizzutti, F.; Novo, E.; di Manzano, C.; Marra, F.; Loguercio, C.; et al. Silybin, a Component of Sylimarin, Exerts Anti-Inflammatory and Anti-Fibrogenic Effects on Human Hepatic Stellate Cells. J. Hepatol. 2009, 50, 1102–1111. [Google Scholar] [CrossRef]
- Sonnenbichler, J.; Zetl, I. Biochemical Effects of the Flavoligand Silybin on RNA, Protein and DNA Synthesis of Macromolecules in Liver Cells. In Plant Flavanoids in Biology and Medicine: Biochemical, Pharmacological, and Structure-Activity Relationships; Alan R. Liss: New York, NY, USA, 1986; Volume 213, pp. 319–331. [Google Scholar]
- Thyagarajan, S.P.; Jayaram, S.; Gopalakrishnan, V.; Hari, R.; Jeyakumar, P.; Sripathi, M.S. Herbal Medicines for Liver Diseases in India. J. Gastroenterol. Hepatol. 2002, 17 (Suppl. S3), S370–S376. [Google Scholar] [CrossRef] [PubMed]
- de Oliveira, D.R.; Tintino, S.R.; Braga, M.F.B.M.; Boligon, A.A.; Athayde, M.L.; Coutinho, H.D.M.; de Menezes, I.R.A.; Fachinetto, R. In Vitro Antimicrobial and Modulatory Activity of the Natural Products Silymarin and Silibinin. BioMed Res. Int. 2015, 2015, 292797. [Google Scholar] [CrossRef]
- Wagoner, J.; Negash, A.; Kane, O.J.; Martinez, L.E.; Nahmias, Y.; Bourne, N.; Owen, D.M.; Grove, J.; Brimacombe, C.; McKeating, J.A.; et al. Multiple Effects of Silymarin on the Hepatitis C Virus Lifecycle. Hepatology 2010, 51, 1912–1921. [Google Scholar] [CrossRef]
- Ramasamy, K.; Agarwal, R. Multitargeted Therapy of Cancer by Silymarin. Cancer Lett. 2008, 269, 352–362. [Google Scholar] [CrossRef]
- Zhang, Z.-S.; Wang, S.; Liu, H.; Li, B.-Z.; Che, L. Constituents and Thermal Properties of Milk Thistle Seed Oils Extracted with Three Methods. LWT 2020, 126, 109282. [Google Scholar] [CrossRef]
- Gruber-Dorninger, C.; Jenkins, T.; Schatzmayr, G. Global Mycotoxin Occurrence in Feed: A Ten-Year Survey. Toxins 2019, 11, 375. [Google Scholar] [CrossRef]
- Awad, W.; Ghareeb, K.; Böhm, J.; Zentek, J. The Toxicological Impacts of the Fusarium Mycotoxin, Deoxynivalenol, in Poultry Flocks with Special Reference to Immunotoxicity. Toxins 2013, 5, 912–925. [Google Scholar] [CrossRef]
- Escrivá, L.; Font, G.; Manyes, L. In Vivo Toxicity Studies of Fusarium Mycotoxins in the Last Decade: A Review. Food Chem. Toxicol. Int. J. Publ. Br. Ind. Biol. Res. Assoc. 2015, 78, 185–206. [Google Scholar] [CrossRef] [PubMed]
- Tedesco, D.; Steidler, S.; Galletti, S.; Tameni, M.; Sonzogni, O.; Ravarotto, L. Efficacy of Silymarin-Phospholipid Complex in Reducing the Toxicity of Aflatoxin B1 in Broiler Chicks. Poult. Sci. 2004, 83, 1839–1843. [Google Scholar] [CrossRef] [PubMed]
- Muhammad, D.; Chand, N.; Khan, S.; Sultan, A.; Mushtaq, M. Rafiullah Hepatoprotective Role of Milk Thistle (Silybum Marianum) in Meat Type Chicken Fed Aflatoxin B1 Contaminated Feed. Pak. Vet. J. 2012, 32, 443–446. [Google Scholar]
- Stoev, S.; Mircheva, T.; Denev, S.; Chobanova, S.; Ivanov, V. The Protective Effect of Silymarin against Ochratoxin A Induced Histopathological and Biochemical Changes in Chicks. J. Adv. Vet. Res. 2021, 11, 1–8. [Google Scholar]
- Serviddio, G.; Bellanti, F.; Stanca, E.; Lunetti, P.; Blonda, M.; Tamborra, R.; Siculella, L.; Vendemiale, G.; Capobianco, L.; Giudetti, A.M. Silybin Exerts Antioxidant Effects and Induces Mitochondrial Biogenesis in Liver of Rat with Secondary Biliary Cirrhosis. Free Radic. Biol. Med. 2014, 73, 117–126. [Google Scholar] [CrossRef]
- Surai, P.F. Silymarin as a Natural Antioxidant: An Overview of the Current Evidence and Perspectives. Antioxidants 2015, 4, 204–247. [Google Scholar] [CrossRef]
- Kim, D.H.; Jin, Y.H.; Park, J.B.; Kobashi, K. Silymarin and Its Components Are Inhibitors of Beta-Glucuronidase. Biol. Pharm. Bull. 1994, 17, 443–445. [Google Scholar] [CrossRef]
- Eid, Y.Z.; Hassan, R.A.; El-soud, S.A.; Eldebani, N. The Protective Role of Silymarin to Ameliorate the Adverse Effects of Ochratoxin-A in Laying Hens on Productive Performance, Blood Biochemistry, Hematological and Antioxidants Status. Braz. J. Poult. Sci. 2022, 24, 1–8. [Google Scholar] [CrossRef]
- Armanini, E.H.; Boiago, M.M.; Cécere, B.G.D.O.; Oliveira, P.V.; Teixeira, C.J.S.; Strapazzon, J.V.; Bottari, N.B.; Silva, A.D.; Fracasso, M.; Vendruscolo, R.G.; et al. Protective Effects of Silymarin in Broiler Feed Contaminated by Mycotoxins: Growth Performance, Meat Antioxidant Status, and Fatty Acid Profiles. Trop. Anim. Health Prod. 2021, 53, 442. [Google Scholar] [CrossRef]
- Egresi, A.; Süle, K.; Szentmihályi, K.; Blázovics, A.; Fehér, E.; Hagymási, K.; Fébel, H. Impact of Milk Thistle (Silybum Marianum) on the Mycotoxin Caused Redox-Homeostasis Imbalance of Ducks Liver. Toxicon Off. J. Int. Soc. Toxinol. 2020, 187, 181–187. [Google Scholar] [CrossRef] [PubMed]
- Peillod, C.; Laborde, M.; Travel, A.; Mika, A.; Bailly, J.D.; Cleva, D.; Boissieu, C.; Le Guennec, J.; Albaric, O.; Labrut, S.; et al. Toxic Effects of Fumonisins, Deoxynivalenol and Zearalenone Alone and in Combination in Ducks Fed the Maximum EUTolerated Level. Toxins 2021, 13, 152. [Google Scholar] [CrossRef]
- Elnaggar, A.; A. El- Said, E.; Ali, R. Physiological And Immunological Responses Of Ducks (Cairina Moschata Domestica) To Silymarin Supplementation. Egypt. Poult. Sci. J. 2021, 40, 895–913. [Google Scholar] [CrossRef]
- Dänicke, S.; Ueberschär, K.H.; Valenta, H.; Matthes, S.; Matthäus, K.; Halle, I. Effects of Graded Levels of Fusarium-Toxin-Contaminated Wheat in Pekin Duck Diets on Performance, Health and Metabolism of Deoxynivalenol and Zearalenone. Br. Poult. Sci. 2004, 45, 264–272. [Google Scholar] [CrossRef] [PubMed]
- Boston, S.; Wobeser, G.; Gillespie, M. Consumption of Deoxynivalenol-Contaminated Wheat by Mallard Ducks under Experimental Conditions. J. Wildl. Dis. 1996, 32, 17–22. [Google Scholar] [CrossRef] [PubMed]
- Janocha, A.; Milczarek, A.; Pietrusiak, D. Impact of Milk Thistle (Silybum marianum [L.] Gaertn.) Seeds in Broiler Chicken Diets on Rearing Results, Carcass Composition, and Meat Quality. Animals 2021, 11, 1550. [Google Scholar] [CrossRef] [PubMed]
- Rotter, B.A.; Prelusky, D.B.; Pestka, J.J. Toxicology of Deoxynivalenol (Vomitoxin). J. Toxicol. Environ. Health 1996, 48, 1–34. [Google Scholar] [CrossRef]
- Liu, J.; Applegate, T. Zearalenone (ZEN) in Livestock and Poultry: Dose, Toxicokinetics, Toxicity and Estrogenicity. Toxins 2020, 12, 377. [Google Scholar] [CrossRef]
- Suchý, P.; Straková, E.; Kummer, V.; Herzig, I.; Písaříková, V.; Blechová, R.; Mašková, J. Hepatoprotective Effects of Milk Thistle (Silybum Marianum) Seed Cakes during the Chicken Broiler Fattening. Acta Vet. Brno 2008, 77, 31–38. [Google Scholar] [CrossRef]
- Kalantar, M.; Salary, J.; Sanami, M.N.; Khojastekey, M.; Matin, H.R.H. Dietary Supplementation of Silybum Marianum or Curcuma Spp on Health Characteristics and Broiler Chicken Performance. Glob. J. Anim. Sci. Res. 2014, 2, 58–63. [Google Scholar]
- Abdulwahid, M.T.; Oleiwi, A.F. Ameliorating Effects of Silymarin against Mycotoxin and Its Effect on Some Production and Hematological Parameters of Broilers. J. Genet. Environ. Resour. Conserv. 2021, 9, 207–214. [Google Scholar]
- Gasthuys, E.; Montesinos, A.; Caekebeke, N.; Devreese, M.; De Baere, S.; Ardiaca, M.; Paepe, D.; Croubels, S.; Antonissen, G. Comparative Physiology of Glomerular Filtration Rate by Plasma Clearance of Exogenous Creatinine and Exo-Iohexol in Six Different Avian Species. Sci. Rep. 2019, 9, 19699. [Google Scholar] [CrossRef] [PubMed]
- Karimi, G.; Ramezani, M.; Tahoonian, Z. Cisplatin Nephrotoxicity and Protection by Milk Thistle Extract in Rats. Evid.-Based Complement. Altern. Med. 2005, 2, 383–386. [Google Scholar] [CrossRef] [PubMed]
- Liang, Z.; Ren, Z.; Gao, S.; Chen, Y.; Yang, Y.; Yang, D.; Deng, J.; Zuo, Z.; Wang, Y.; Shen, L. Individual and Combined Effects of Deoxynivalenol and Zearalenone on Mouse Kidney. Environ. Toxicol. Pharmacol. 2015, 40, 686–691. [Google Scholar] [CrossRef]
- Jia, Z.; Liu, M.; Qu, Z.; Zhang, Y.; Yin, S.; Shan, A. Toxic Effects of Zearalenone on Oxidative Stress, Inflammatory Cytokines, Biochemical and Pathological Changes Induced by This Toxin in the Kidney of Pregnant Rats. Environ. Toxicol. Pharmacol. 2014, 37, 580–591. [Google Scholar] [CrossRef]
- Ou, Q.; Weng, Y.; Wang, S.; Zhao, Y.; Zhang, F.; Zhou, J.; Wu, X. Silybin Alleviates Hepatic Steatosis and Fibrosis in NASH Mice by Inhibiting Oxidative Stress and Involvement with the Nf-κB Pathway. Dig. Dis. Sci. 2018, 63, 3398–3408. [Google Scholar] [CrossRef]
- Wadhwa, K.; Pahwa, R.; Kumar, M.; Kumar, S.; Sharma, P.C.; Singh, G.; Verma, R.; Mittal, V.; Singh, I.; Kaushik, D.; et al. Mechanistic Insights into the Pharmacological Significance of Silymarin. Molecules 2022, 27, 5327. [Google Scholar] [CrossRef]
- Abenavoli, L.; Izzo, A.A.; Milić, N.; Cicala, C.; Santini, A.; Capasso, R. Milk Thistle (Silybum marianum): A Concise Overview on Its Chemistry, Pharmacological, and Nutraceutical Uses in Liver Diseases. Phytother. Res. 2018, 32, 2202–2213. [Google Scholar] [CrossRef]
- Clichici, S.; Olteanu, D.; Nagy, A.-L.; Oros, A.; Filip, A.; Mircea, P.A. Silymarin Inhibits the Progression of Fibrosis in the Early Stages of Liver Injury in CCl₄-Treated Rats. J. Med. Food 2015, 18, 290–298. [Google Scholar] [CrossRef]
- Kachlek, M.; Szabó-Fodor, J.; Szabó, A.; Bors, I.; Celia, C.; Gerencsér, Z.; Matics, Z.; Szendrő, Z.; Tuboly, T.; Balogh-Zándoki, E.; et al. Subchronic Exposure to Deoxynivalenol Exerts Slight Effect on the Immune System and Liver Morphology of Growing Rabbits. Acta Vet. Brno 2017, 86, 37–44. [Google Scholar] [CrossRef]
- Salah-Abbès, J.B.; Abbès, S.; Abdel-Wahhab, M.; Oueslati, R. Immunotoxicity of Zearalenone in Balb/c Mice in a High Subchronic Dosing Study Counteracted by Raphanus Sativus Extract. Immunopharmacol. Immunotoxicol. 2010, 32, 628–636. [Google Scholar] [CrossRef] [PubMed]
- Hermenean, A.; Stan, M.; Ardelean, A.; Pilat, L.; Mihali, C.V.; Popescu, C.; Nagy, L.; Deák, G.; Zsuga, M.; Kéki, S.; et al. Antioxidant and Hepatoprotective Activity of Milk Thistle (Silybum marianum L. Gaertn.) Seed Oil. Open Life Sci. 2015, 10, 225–236. [Google Scholar] [CrossRef]
- Karkanis, A.; Bilalis, D.; Efthimiadou, A. Cultivation of Milk Thistle (Silybum marianum L. Gaertn.), a Medicinal Weed. Ind. Crops Prod. 2011, 34, 825–830. [Google Scholar] [CrossRef]
- Stastnik, O.; Pavlata, L.; Mrkvicova, E. The Milk Thistle Seed Cakes and Hempseed Cakes Are Potential Feed for Poultry. Animals 2020, 10, 1384. [Google Scholar] [CrossRef] [PubMed]
- Liava, V.; Karkanis, A.; Tsiropoulos, N. Yield and Silymarin Content in Milk Thistle (Silybum marianum (L.) Gaertn.) Fruits Affected by the Nitrogen Fertilizers. Ind. Crops Prod. 2021, 171, 113955. [Google Scholar] [CrossRef]
- Wang, T.; Hicks, K.B.; Moreau, R. Antioxidant Activity of Phytosterols, Oryzanol, and Other Phytosterol Conjugates. J. Am. Oil Chem. Soc. 2002, 79, 1201–1206. [Google Scholar] [CrossRef]
- Denev, P.N.; Ognyanov, M.H.; Georgiev, Y.N.; Teneva, D.G.; Klisurova, D.I.; Yanakieva, I.Z. Chemical Composition and Antioxidant Activity of Partially Defatted Milk Thistle (Silybum marianum L.) Seeds. Bulg. Chem. Commun. 2020, 52, 182–187. [Google Scholar]


| Ingredients (g/kg) | Starter Diet (d0–14) | Grower Diet (d15–42) | 
|---|---|---|
| Corn | 700.0 | 760.0 | 
| Extracted soybean meal | 266.0 | 210.0 | 
| Calcium carbonate | 12.0 | 11.0 | 
| Monocalcium phosphate | 12.0 | 10.0 | 
| Sodium chloride | 4.0 | 4.0 | 
| DL-Methionine | 1.0 | 0.0 | 
| Premix 1 | 5.0 | 5.0 | 
| Calculated nutrient content (g/kg) | ||
| AMEn (MJ/kg) | 12.31 | 12.62 | 
| Dry matter | 887.3 | 885.9 | 
| Crude protein | 185.4 | 165.0 | 
| Crude fat | 30.7 | 31.9 | 
| Crude fiber | 27.9 | 26.0 | 
| Calcium | 8.6 | 7.7 | 
| Available phosphorous | 3.5 | 3.0 | 
| Lysine | 9.5 | 8.0 | 
| Methionine | 5.0 | 3.8 | 
| Methionine + cysteine | 8.2 | 6.7 | 
| Variables | Group | Day 14 | Day 28 | Day 42 | |||
|---|---|---|---|---|---|---|---|
| Mean | SEM | Mean | SEM | Mean | SEM | ||
| Body weight (g) | C | 313.60 | 15.75 | 1160.40 | 66.21 | 2393.00 a | 80.23 | 
| MO | 307.60 | 23.18 | 1184.80 | 38.40 | 2102.75 b | 42.53 | |
| MSC | 268.40 | 23.99 | 1090.40 | 40.53 | 2262.00 ab | 52.54 | |
| MS | 355.20 | 32.61 | 1216.00 | 29.83 | 2152.50 ab | 52.42 | |
| Significance | NS | NS | p < 0.05 | ||||
| Liver relative weight (%) | C | 4.55 | 0.42 | 2.73 | 0.20 | 2.72 | 0.06 | 
| MO | 4.15 | 0.07 | 2.79 | 0.15 | 2.34 | 0.09 | |
| MSC | 4.55 | 0.32 | 2.54 | 0.11 | 2.54 | 0.09 | |
| MS | 4.12 | 0.22 | 2.74 | 0.11 | 2.67 | 0.16 | |
| Significance | NS | NS | NS | ||||
| Spleen relative weight (%) | C | 0.09 | 0.01 | 0.10 a | 0.01 | 0.06 | 0.01 | 
| MO | 0.10 | 0.02 | 0.07 ab | 0.01 | 0.07 | 0.01 | |
| MSC | 0.09 | 0.02 | 0.06 b | 0.01 | 0.07 | 0.01 | |
| MS | 0.11 | 0.00 | 0.08 ab | 0.01 | 0.07 | 0.01 | |
| Significance | NS | p < 0.05 | NS | ||||
| Bursa of Fabricius relative weight (%) | C | 0.18 | 0.03 | 0.13 ab | 0.01 | 0.11 | 0.01 | 
| MO | 0.19 | 0.02 | 0.14 a | 0.01 | 0.11 | 0.01 | |
| MSC | 0.19 | 0.04 | 0.11 ab | 0.01 | 0.12 | 0.01 | |
| MS | 0.22 | 0.03 | 0.09 b | 0.01 | 0.11 | 0.01 | |
| Significance | NS | p < 0.05 | NS | ||||
| Variables | Group | Day 14 | Day 28 | Day 42 | |||
|---|---|---|---|---|---|---|---|
| Mean | SEM | Mean | SEM | Mean | SEM | ||
| AST (IU/L) | C | 56.20 | 2.37 | 135.00 | 18.76 | 13.83 | 0.95 | 
| MO | 69.80 | 13.00 | 110.80 | 13.75 | 16.13 | 1.08 | |
| MSC | 58.40 | 7.80 | 131.40 | 30.00 | 13.63 | 1.10 | |
| MS | 64.20 | 5.10 | 137.60 | 30.56 | 12.14 | 1.67 | |
| Significance | NS | NS | NS | ||||
| ALT (IU/L) | C | 50.00 | 1.52 | 38.20 | 3.38 | 26.50 | 1.82 | 
| MO | 52.80 | 7.44 | 34.40 | 3.18 | 27.25 | 2.19 | |
| MSC | 54.20 | 2.73 | 42.20 | 3.18 | 28.88 | 2.22 | |
| MS | 53.20 | 2.63 | 39.40 | 1.81 | 25.43 | 1.04 | |
| Significance | NS | NS | NS | ||||
| Glucose (mmol/L) | C | 9.18 | 0.35 | 9.02 | 0.16 | 8.20 | 0.45 | 
| MO | 8.98 | 0.53 | 8.72 | 0.22 | 7.89 | 0.31 | |
| MSC | 8.96 | 0.38 | 8.72 | 0.39 | 7.48 | 0.21 | |
| MS | 8.72 | 0.56 | 8.96 | 0.29 | 7.84 | 0.15 | |
| Significance | NS | NS | NS | ||||
| Cholesterol (mmol/L) | C | 4.48 | 0.13 | 5.40 | 0.37 | 4.38 | 0.25 | 
| MO | 4.50 | 0.21 | 5.36 | 0.34 | 3.84 | 0.11 | |
| MSC | 4.54 | 0.10 | 5.24 | 0.26 | 4.23 | 0.22 | |
| MS | 4.36 | 0.27 | 5.18 | 0.51 | 5.14 | 0.66 | |
| Significance | NS | NS | NS | ||||
| Triglycerides (mmol/L) | C | 1.73 | 0.27 | 0.99 | 0.13 | 1.66 | 0.28 | 
| MO | 1.46 | 0.27 | 0.89 | 0.07 | 1.75 | 0.39 | |
| MSC | 1.89 1.20 | 0.28 | 1.08 | 0.14 | 1.18 | 0.14 | |
| MS | 1.20 | 0.22 | 1.06 | 0.11 | 1.01 | 0.16 | |
| Significance | NS | NS | NS | ||||
| Creatinine (µmol/L) | C | 21.00 | 0.71 | 19.00 b | 0.45 | 18.50 b | 0.81 | 
| MO | 22.40 | 0.68 | 23.20 a | 1.39 | 23.00 a | 1.00 | |
| MSC | 21.40 | 0.68 | 21.20 ab | 0.07 | 21.88 ab | 1.03 | |
| MS | 21.80 | 1.62 | 20.80 ab | 0.73 | 21.57 ab | 1.17 | |
| Significance | NS | p < 0.05 | p < 0.05 | ||||
| Uric acid (µmol/L) | C | 244.40 | 51.52 | 114.40 | 11.89 | 196.67 | 30.60 | 
| MO | 292.40 | 74.67 | 142.20 | 17.25 | 174.13 | 21.70 | |
| MSC | 206.20 | 17.35 | 181.00 | 15.54 | 150.13 | 9.99 | |
| MS | 260.40 | 18.87 | 154.00 | 16.60 | 143.00 | 7.84 | |
| Significance | NS | NS | NS | ||||
| Variables | Group | Day 14 | Day 28 | Day 42 | |||
|---|---|---|---|---|---|---|---|
| Mean Score | Animals (%) | Mean Score | Animals (%) | Mean Score | Animals (%) | ||
| Liver | |||||||
| vacuolar cell degeneration | C | 2.6 a | 100.0 | 1.2 | 40.0 | 2.4 a | 100.0 a | 
| MO | 1.0 b | 60.0 | 0.4 | 40.0 | 0.6 b | 50.0 b | |
| MSC | 2.0 ab | 100.0 | 1.0 | 80.0 | 1.4 ab | 62.5 a | |
| MS | 1.0 b | 60.0 | 0.6 | 40.0 | 1.6 ab | 100.0 a | |
| Significance | p < 0.05 | NS | NS | NS | p < 0.05 | p < 0.05 | |
| solitary cell death | C | 0.0 | 0.0 | 1.0 a | 100.0 a | 0.1 | 12.5 | 
| MO | 0.0 | 0.0 | 0.0 b | 0.0 b | 0.0 | 0.0 | |
| MSC | 0.0 | 0.0 | 0.4 ab | 40.0 b | 0.0 | 0.0 | |
| MS | 0.0 | 0.0 | 0.0 b | 0.0 b | 0.0 | 0.0 | |
| Significance | NS | NS | p < 0.05 | p < 0.05 | NS | NS | |
| cell death of mononuclear phagocyte system | C | 0.0 | 0.0 | 0.4 | 40.0 | 0.1 | 12.5 | 
| MO | 0.0 | 0.0 | 0.0 | 0.0 | 0.0 | 0.0 | |
| MSC | 0.0 | 0.0 | 0.2 | 20.0 | 0.0 | 0.0 | |
| MS | 0.0 | 0.0 | 0.0 | 0.0 | 0.0 | 0.0 | |
| Significance | NS | NS | NS | NS | NS | NS | |
| interstitial infiltration of lympho- and histiocytes | C | 0.0 | 0.0 | 1.6 a | 80.0 a | 1.1 | 87.5 | 
| MO | 0.2 | 20.0 | 0.4 ab | 40.0 b | 1.1 | 87.5 | |
| MSC | 0.0 | 0.0 | 0.2 b | 20.0 b | 0.9 | 62.5 | |
| MS | 0.2 | 20.0 | 0.0 b | 0.0 b | 0.9 | 75.0 | |
| Significance | NS | NS | p < 0.05 | p < 0.05 | NS | NS | |
| interstitial fibrosis | C | 0.0 | 0.0 | 1.6 a | 100.0 a | 1.1 | 87.5 a | 
| MO | 0.0 | 0.0 | 0.0 b | 0.0 b | 0.3 | 12.5 b | |
| MSC | 0.0 | 0.0 | 0.0 b | 0.0 b | 0.9 | 62.5 a | |
| MS | 0.0 | 0.0 | 0.0 b | 0.0 b | 0.6 | 50.0 a | |
| Significance | NS | NS | p < 0.05 | p < 0.05 | NS | p < 0.05 | |
| Spleen | |||||||
| decreased lymphocyte count | C | 1.0 a | 100.0 a | 0.0 | 0.0 | 0.0 | 0.0 | 
| MO | 0.0 b | 0.0 b | 0.0 | 0.0 | 0.0 | 0.0 | |
| MSC | 0.0 b | 0.0 b | 0.0 | 0.0 | 0.0 | 0.0 | |
| MS | 0.0 b | 0.0 b | 0.0 | 0.0 | 0.0 | 0.0 | |
| Significance | p < 0.05 | p < 0.05 | NS | NS | NS | NS | |
| Bursa of Fabricius | |||||||
| decreased lymphocyte count | C | 1.0 a | 100.0 a | 0.0 | 0.0 | 0.0 | 0.0 | 
| MO | 0.0 b | 0.0 b | 0.0 | 0.0 | 0.0 | 0.0 | |
| MSC | 0.0 b | 0.0 b | 0.0 | 0.0 | 0.0 | 0.0 | |
| MS | 0.0 b | 0.0 b | 0.0 | 0.0 | 0.0 | 0.0 | |
| Significance | p < 0.05 | p < 0.05 | NS | NS | NS | NS | |
| Disclaimer/Publisher’s Note: The statements, opinions and data contained in all publications are solely those of the individual author(s) and contributor(s) and not of MDPI and/or the editor(s). MDPI and/or the editor(s) disclaim responsibility for any injury to people or property resulting from any ideas, methods, instructions or products referred to in the content. | 
© 2023 by the authors. Licensee MDPI, Basel, Switzerland. This article is an open access article distributed under the terms and conditions of the Creative Commons Attribution (CC BY) license (https://creativecommons.org/licenses/by/4.0/).
Share and Cite
Bencze-Nagy, J.; Strifler, P.; Horváth, B.; Such, N.; Farkas, V.; Dublecz, K.; Pál, L. Effects of Dietary Milk Thistle (Silybum marianum) Supplementation in Ducks Fed Mycotoxin-Contaminated Diets. Vet. Sci. 2023, 10, 100. https://doi.org/10.3390/vetsci10020100
Bencze-Nagy J, Strifler P, Horváth B, Such N, Farkas V, Dublecz K, Pál L. Effects of Dietary Milk Thistle (Silybum marianum) Supplementation in Ducks Fed Mycotoxin-Contaminated Diets. Veterinary Sciences. 2023; 10(2):100. https://doi.org/10.3390/vetsci10020100
Chicago/Turabian StyleBencze-Nagy, Jennifer, Patrik Strifler, Boglárka Horváth, Nikoletta Such, Valéria Farkas, Károly Dublecz, and László Pál. 2023. "Effects of Dietary Milk Thistle (Silybum marianum) Supplementation in Ducks Fed Mycotoxin-Contaminated Diets" Veterinary Sciences 10, no. 2: 100. https://doi.org/10.3390/vetsci10020100
APA StyleBencze-Nagy, J., Strifler, P., Horváth, B., Such, N., Farkas, V., Dublecz, K., & Pál, L. (2023). Effects of Dietary Milk Thistle (Silybum marianum) Supplementation in Ducks Fed Mycotoxin-Contaminated Diets. Veterinary Sciences, 10(2), 100. https://doi.org/10.3390/vetsci10020100
 
         
                                                


 
       