Transmission Electron Microscopy Tilt-Series Data from In-Situ Chondrocyte Primary Cilia
Abstract
1. Introduction
Previous 3D Reconstructions of Primary Cilia
2. Materials and Methods
2.1. Sample Preparation
2.1.1. Sectioning
2.1.2. Fiducial Marking
2.1.3. Tilt-Series Acquisition
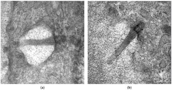
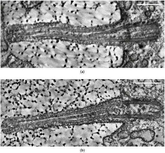
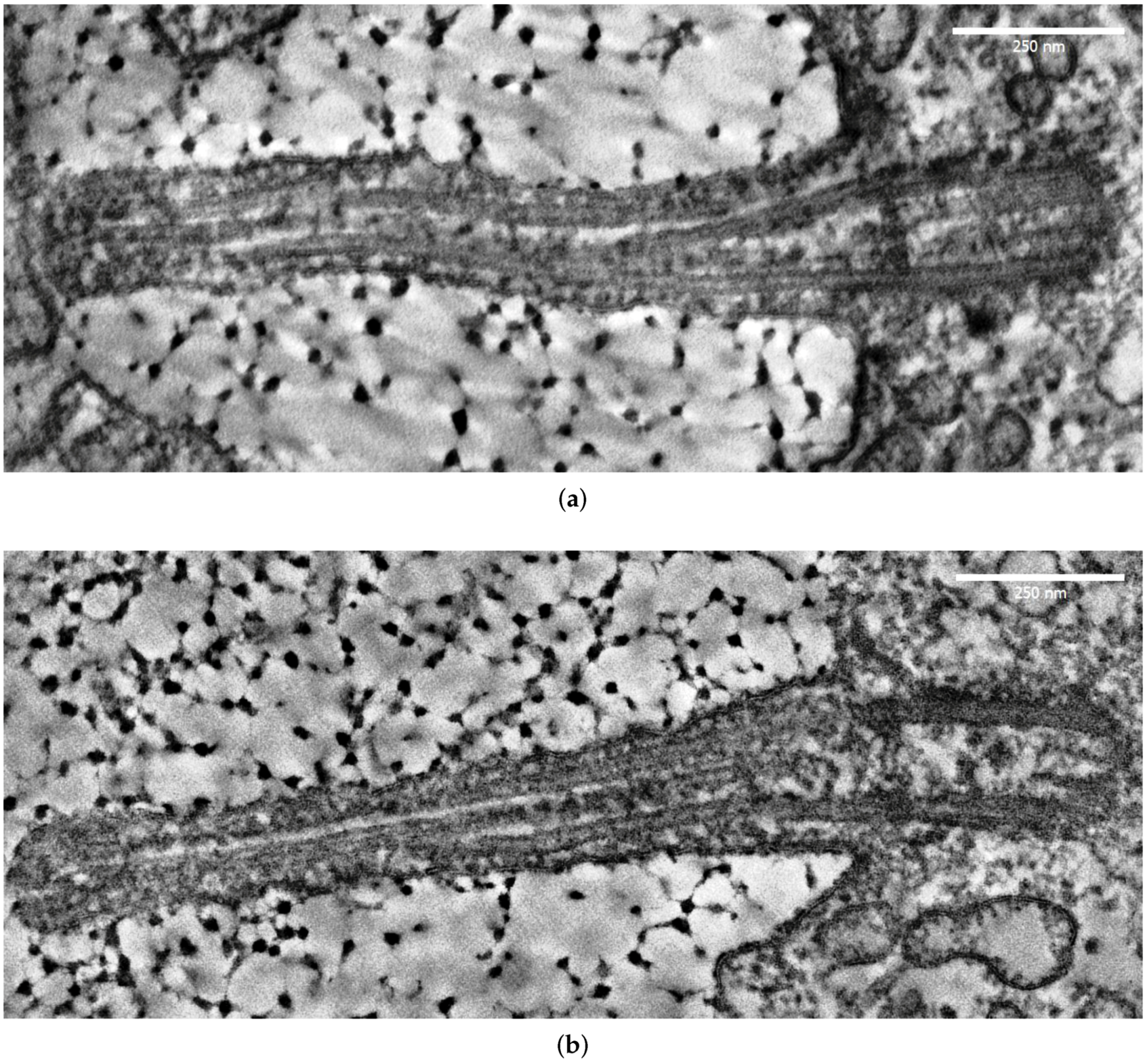
3. Tilt-Series Dataset Description
4. Technical Validation
Data Records
5. Usage Notes
- Scanning headers and reading files.
- Coarse alignment of microscope tilt-series image data.
- Generate seed model.
- Aligning the stack.
- Fine alignment.
- Tomogram generation using back-projection.
6. Discussion and Conclusions
Author Contributions
Funding
Institutional Review Board Statement
Informed Consent Statement
Data Availability Statement
Acknowledgments
Conflicts of Interest
Abbreviations
| TEM | Transmission Electron Microscopy |
| RHT | Ruthenium Hexaamine Trichloride |
| 3D | Three Dimensional |
| IMCD | Inner Medullary Collecting Duct |
| MDCK | Madin-Darby Canine Kidney |
References
- Zimmermann, K. Demonstration: Plastische reconstruction des hirnrohres; Schnittserie, Kaninchenembryo; Photogramm; Praparate von Uterus, Nebenhoden, Darm, Ureter, Niere, Thranendruse. Verhandlungen der Anatomischen Gesellschaft auf der achten Versammlung zu Strassburg, vom 13–16 Mai 1894, 8, 244–245. [Google Scholar]
- Sun, S.; Fisher, R.L.; Bowser, S.S.; Pentecost, B.T.; Sui, H. Three-dimensional architecture of epithelial primary cilia. Proc. Natl. Acad. Sci. USA 2019, 116, 9370–9379. [Google Scholar] [CrossRef]
- Jensen, C.G.; Poole, C.A.; McGlashan, S.R.; Marko, M.; Issa, Z.I.; Vujcich, K.V.; Bowser, S.S. Ultrastructural, tomographic and confocal imaging of the chondrocyte primary cilium in situ. Cell Biol. Int. 2004, 28, 101–110. [Google Scholar] [CrossRef] [PubMed]
- Jennings, M.J. Ultrastructural Modelling of the Matrix-Cilium-Golgi Continuum in Hyaline Chondrocytes. Ph.D. Thesis, University of Otago, Dunedin, New Zealand, 2015. [Google Scholar] [CrossRef]
- Satir, P.; Pedersen, L.B.; Christensen, S.T. The primary cilium at a glance. J. Cell Sci. 2010, 123, 499–503. [Google Scholar] [CrossRef]
- Poole, C.A.; Flint, M.H.; Beaumont, B.W. Analysis of the morphology and function of primary cilia in connective tissues: A cellular cybernetic probe? Cell Motil. 1985, 5, 175–193. [Google Scholar] [CrossRef]
- Alieva, I.B.; Uzbekov, R.E. The centrosome is a polyfunctional multiprotein cell complex. Biochemistry 2008, 73, 626–643. [Google Scholar] [CrossRef]
- Kwon, O.S.; Mishra, R.; Safieddine, A.; Coleno, E.; Alasseur, Q.; Faucourt, M.; Barbosa, I.; Bertrand, E.; Spassky, N.; Le Hir, H. Exon Junction Complex dependent mRNA localization is linked to centrosome organization during ciliogenesis. Nat. Commun. 2021, 12, 1351. [Google Scholar] [CrossRef] [PubMed]
- Takacs, Z.; Proikas-Cezanne, T. Primary cilia mechanosensing triggers autophagy-regulated cell volume control. Nat. Cell Biol. 2016, 18, 591–592. [Google Scholar] [CrossRef] [PubMed]
- Yoon, J.; Comerci, C.J.; Weiss, L.E.; Milenkovic, L.; Stearns, T.; Moerner, W. Revealing nanoscale morphology of the primary cilium using super-resolution fluorescence microscopy. Biophys. J. 2019, 116, 319–329. [Google Scholar] [CrossRef]
- Stayner, C.; Poole, C.A.; McGlashan, S.R.; Pilanthananond, M.; Brauning, R.; Markie, D.; Lett, B.; Slobbe, L.; Chae, A.; Johnstone, A.C.; et al. An ovine hepatorenal fibrocystic model of a Meckel-like syndrome associated with dysmorphic primary cilia and TMEM67 mutations. Sci. Rep. 2017, 7, 1601. [Google Scholar] [CrossRef]
- Lee, J.; Park, K.C.; Sul, H.J.; Hong, H.J.; Kim, K.H.; Kero, J.; Shong, M. Loss of primary cilia promotes mitochondria-dependent apoptosis in thyroid cancer. Sci. Rep. 2021, 11, 4181. [Google Scholar] [CrossRef]
- Patel, H.; Li, J.; Herrero, A.; Kroboth, J.; Byron, A.; Von Kriegsheim, A.; Brunton, V.; Carragher, N.; Hurd, T.; Frame, M. Novel roles of PRK1 and PRK2 in cilia and cancer biology. Sci. Rep. 2020, 10, 3902. [Google Scholar] [CrossRef]
- Shamseldin, H.E.; Shaheen, R.; Ewida, N.; Bubshait, D.K.; Alkuraya, H.; Almardawi, E.; Howaidi, A.; Sabr, Y.; Abdalla, E.M.; Alfaifi, A.Y.; et al. The morbid genome of ciliopathies: An update. Genet. Med. 2020, 22, 1051–1060. [Google Scholar] [CrossRef]
- Fisch, C.; Dupuis-Williams, P. Ultrastructure of cilia and flagella–back to the future! Biol. Cell 2011, 103, 249–270. [Google Scholar] [CrossRef]
- Satir, P. CILIA: Before and after. Cilia 2017, 6, 1. [Google Scholar] [CrossRef]
- Shinohara, K.; Chen, D.; Nishida, T.; Misaki, K.; Yonemura, S.; Hamada, H. Absence of radial spokes in mouse node cilia is required for rotational movement but confers ultrastructural instability as a trade-off. Dev. Cell 2015, 35, 236–246. [Google Scholar] [CrossRef] [PubMed]
- Wilsman, N.J. Cilia of adult canine articular chondrocytes. J. Ultrastruct. Res. 1978, 64, 270–281. [Google Scholar] [CrossRef]
- De Rosier, D.; Klug, A. Reconstruction of three dimensional structures from electron micrographs. Nature 1968, 217, 130–134. [Google Scholar] [CrossRef]
- Poole, C.A.; Jennings, M.J.; Walker, R.J. Modeling the Matrix-Cilium-Golgi continuum in hyaline chondrocytes by electron tomography. Cilia 2012, 1, P39. [Google Scholar] [CrossRef][Green Version]
- Kiesel, P.; Viar, G.A.; Tsoy, N.; Maraspini, R.; Gorilak, P.; Varga, V.; Honigmann, A.; Pigino, G. The molecular structure of mammalian primary cilia revealed by cryo-electron tomography. Nat. Struct. Mol. Biol. 2020, 27, 1115–1124. [Google Scholar] [CrossRef]
- Kremer, J.R.; Mastronarde, D.N.; McIntosh, J.R. Computer visualization of three-dimensional image data using IMOD. J. Struct. Biol. 1996, 116, 71–76. [Google Scholar] [CrossRef]
- Poole, C.A.; Zhang, Z.J.; Ross, J.M. The differential distribution of acetylated and detyrosinated alpha-tubulin in the microtubular cytoskeleton and primary cilia of hyaline cartilage chondrocytes. J. Anat. 2001, 199, 393–405. [Google Scholar] [CrossRef] [PubMed]
- Poole, C.A.; Reilly, H.C.; Flint, M.H. The adverse effects of HEPES, TES, and BES zwitterion buffers on the ultrastructure of cultured chick embryo epiphyseal chondrocytes. In Vitro 1982, 18, 755–765. [Google Scholar] [CrossRef]
- Luft, J.H. Ruthenium red and violet. I. Chemistry, purification, methods of use for electron microscopy and mechanism of action. Anat. Rec. 1971, 171, 347–368. [Google Scholar] [CrossRef] [PubMed]
- Luft, J.H. Ruthenium red and violet. II. Fine structural localization in animal tissues. Anat. Rec. 1971, 171, 369–415. [Google Scholar] [CrossRef]
- Farnum, C.E.; Wilsman, N.J. Orientation of primary cilia of articular chondrocytes in three-dimensional space. Anat. Rec. Adv. Integr. Anat. Evol. Biol. 2011, 294, 533–549. [Google Scholar] [CrossRef] [PubMed]
- Sawyer, L.; Grubb, D.T.; Meyers, G.F. Polymer Microscopy; Springer Science & Business Media: New York, NY, USA, 2008. [Google Scholar]
- Wilsman, N.J.; Fletcher, T.F. Cilia of neonatal articular chondrocytes incidence and morphology. Anat. Rec. 1978, 190, 871–889. [Google Scholar] [CrossRef] [PubMed]
- Dummer, A.; Poelma, C.; DeRuiter, M.C.; Goumans, M.J.T.; Hierck, B.P. Measuring the primary cilium length: Improved method for unbiased high-throughput analysis. Cilia 2016, 5, 7. [Google Scholar] [CrossRef]
- Zheng, S.Q.; Sedat, J.; Agard, D. Automated data collection for electron microscopic tomography. Methods Enzymol. 2010, 481, 283–315. [Google Scholar] [PubMed]
- MessaoudiI, C.; Boudier, T.; Sorzano, C.O.S.; Marco, S. TomoJ: Tomography software for three-dimensional reconstruction in transmission electron microscopy. BMC Bioinform. 2007, 8, 288. [Google Scholar] [CrossRef]
- Nickell, S.; Förster, F.; Linaroudis, A.; Del Net, W.; Beck, F.; Hegerl, R.; Baumeister, W.; Plitzko, J.M. TOM software toolbox: Acquisition and analysis for electron tomography. J. Struct. Biol. 2005, 149, 227–234. [Google Scholar] [CrossRef] [PubMed]
- Gaudette, R.; Mastronarde, D. Using Etomo. 2021. Available online: https://bio3d.colorado.edu/imod/doc/UsingEtomo.html (accessed on 26 March 2021).





| Parameter | Unit | Value |
|---|---|---|
| Max negative tilt | ° | −64.50 |
| Max positive tilt | ° | 64.50 |
| Start tilt (skipping angles) | ° | 0.00 |
| Relaxation Time | s | 2.000 |
| Tile scheme | Linear | |
| Low tilt step | ° | 1.50 |
| High tilt switch | ° | 50.00 |
| High tilt step | ° | 1.50 |
| Camera | CCD | |
| (Initial) Exposure Time | s | 1.00 |
| Binning | 1 | |
| Image pixel size | nm | 1.21 |
| Image area | (0, 0), (2048, 2048) | |
| Apply Corrections | None | |
| Holder name | HT70_4 | |
| Optimized Position | m | 0.44 |
| Tracking after (on) exposures | Yes | |
| Tracking before exposures | No | |
| Reference Image | Floating | |
| Check Focus | −1 | |
| Periodicity (high tilt range) | 1 | |
| Periodicity (low tilt range) | 2 | |
| Periodicity switch angle | 80.00 | |
| Applied Defocus | m | −0.24 |
| Tecnai Magnification | 12,000 | |
| Tilt Axis Angle | ° | 11.18 |
| Parameter | Unit | Value |
|---|---|---|
| Max negative tilt | ° | −60.00 |
| Max positive tilt | ° | 60.00 |
| Start tilt (skipping angles) | ° | 0.00 |
| Tile scheme | Linear | |
| Tilt step | ° | 1.0 |
| Binning | 1 | |
| Image pixel size | nm | 1.21 |
| Image area | (0, 0), (2048, 2048) |
| Parameter | Value |
|---|---|
| Fiducial Diameter | 15 nm |
| Seed Points to select | 25 |
Publisher’s Note: MDPI stays neutral with regard to jurisdictional claims in published maps and institutional affiliations. |
© 2021 by the authors. Licensee MDPI, Basel, Switzerland. This article is an open access article distributed under the terms and conditions of the Creative Commons Attribution (CC BY) license (https://creativecommons.org/licenses/by/4.0/).
Share and Cite
Jennings, M.J.; Molteno, T.C.A.; Walker, R.J.; Bedford, J.J.; Leader, J.P.; Poole, T. Transmission Electron Microscopy Tilt-Series Data from In-Situ Chondrocyte Primary Cilia. Data 2021, 6, 118. https://doi.org/10.3390/data6110118
Jennings MJ, Molteno TCA, Walker RJ, Bedford JJ, Leader JP, Poole T. Transmission Electron Microscopy Tilt-Series Data from In-Situ Chondrocyte Primary Cilia. Data. 2021; 6(11):118. https://doi.org/10.3390/data6110118
Chicago/Turabian StyleJennings, Michael J., Timothy C. A. Molteno, Robert J. Walker, Jennifer J. Bedford, John P. Leader, and Tony Poole. 2021. "Transmission Electron Microscopy Tilt-Series Data from In-Situ Chondrocyte Primary Cilia" Data 6, no. 11: 118. https://doi.org/10.3390/data6110118
APA StyleJennings, M. J., Molteno, T. C. A., Walker, R. J., Bedford, J. J., Leader, J. P., & Poole, T. (2021). Transmission Electron Microscopy Tilt-Series Data from In-Situ Chondrocyte Primary Cilia. Data, 6(11), 118. https://doi.org/10.3390/data6110118

