MRI Liver Imaging Integrated with Texture Analysis in Native Liver Survivor Patients with Biliary Atresia after Kasai Portoenterostomy: Correlation with Medical Outcome after Surgical Treatment
Abstract
1. Introduction
2. Materials and Methods
2.1. Patient Population
2.2. Magnetic Resonance Imaging
2.3. Quantitative Imaging Analysis
2.4. Statistical Analysis
3. Results
3.1. Patient Population
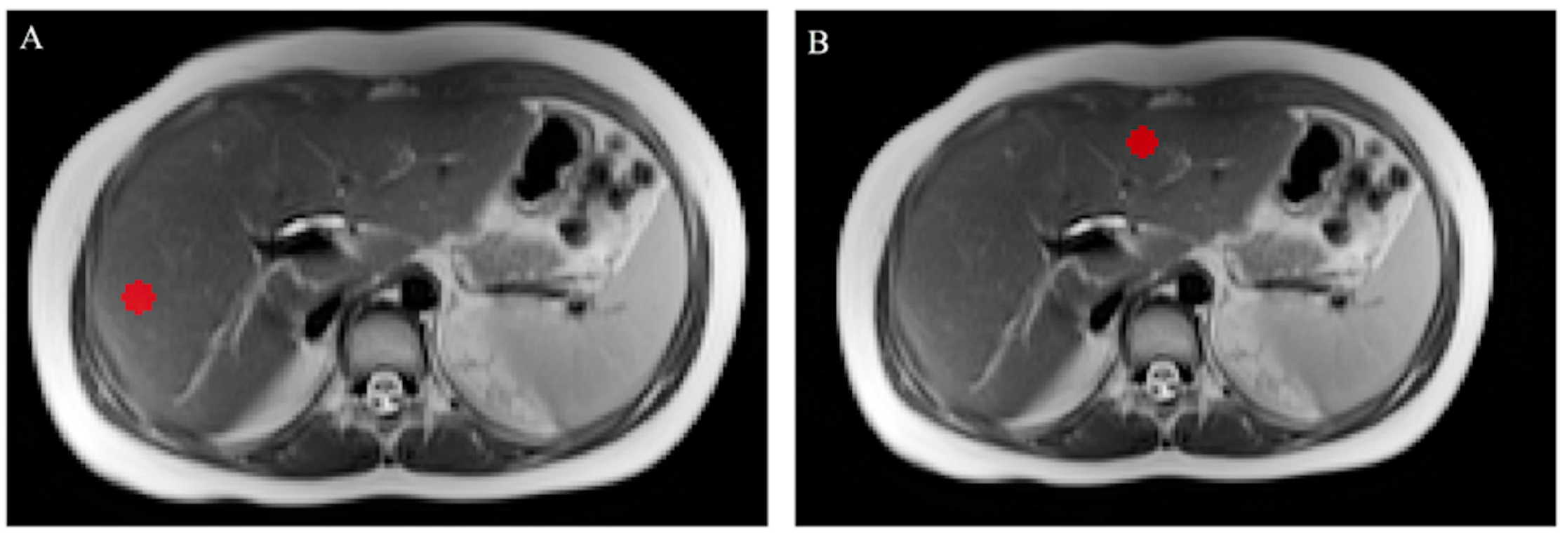
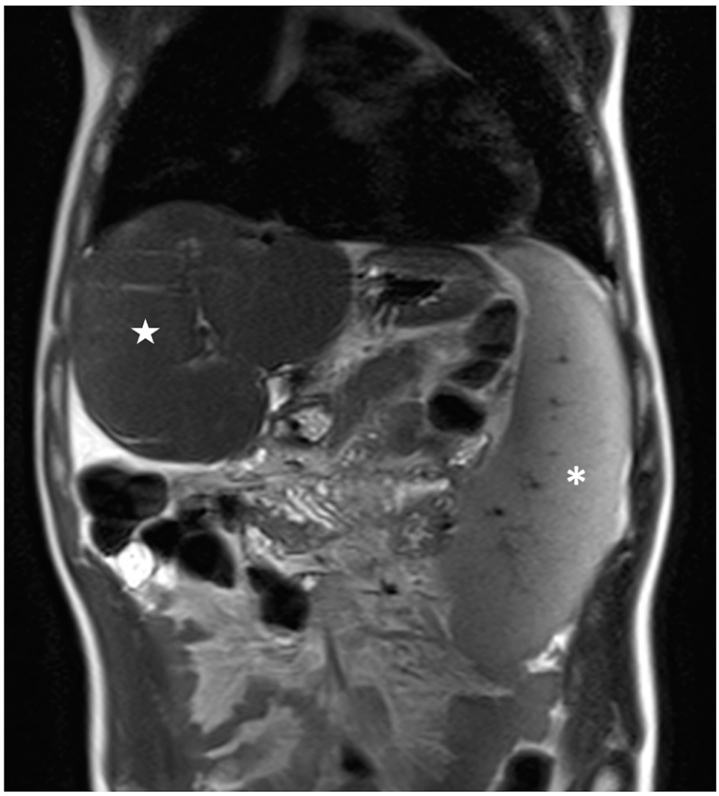
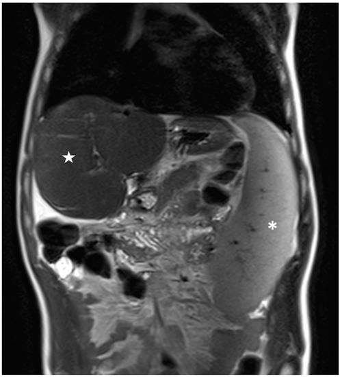
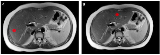
3.2. Magnetic Resonance Imaging
4. Discussion
Supplementary Materials
Author Contributions
Funding
Institutional Review Board Statement
Informed Consent Statement
Data Availability Statement
Conflicts of Interest
References
- Neto, B.; Borges-Dias, M.; Trindade, E.; Estevão-Costa, J.; Campos, J.M. Biliary Atresia—Clinical Series. GE Port. J. Gastroenterol. 2018, 25, 68–73. [Google Scholar] [CrossRef] [PubMed]
- Baumann, U.; Ure, B. Biliary atresia. Clin. Res. Hepatol. Gastroenterol. 2012, 36, 257–259. [Google Scholar] [CrossRef] [PubMed]
- Lee, W.S.; Ong, S.Y.; Foo, H.W.; Wong, S.Y.; Kong, C.X.; Seah, R.B.; Ng, R.T. Chronic liver disease is universal in children with biliary atresia living with native liver. World J. Gastroenterol. 2017, 23, 7776–7784. [Google Scholar] [CrossRef] [PubMed]
- Ng, V.L.; Haber, B.H.; Magee, J.C.; Miethke, A.; Murray, K.F.; Michail, S.; Karpen, S.J.; Kerkar, N.; Molleston, J.P.; Romero, R.; et al. Medical Status of 219 Children with Biliary Atresia Surviving Long-Term with Their Native Livers: Results from a North American Multicenter Consortium. J. Pediatr. 2014, 165, 539–546.e2. [Google Scholar] [CrossRef] [PubMed]
- Jeon, T.Y.; Yoo, S.Y.; Kim, J.H.; Eo, H.; Lee, S.K. Serial ultrasound findings associated with early liver transplantation after Kasai portoenterostomy in biliary atresia. Clin. Radiol. 2013, 68, 588–594. [Google Scholar] [CrossRef]
- Yan, H.; Du, L.; Zhou, J.; Li, Y.; Lei, J.; Liu, J.; Luo, Y. Diagnostic performance and prognostic value of elastography in patients with biliary atresia and after hepatic portoenterostomy: Protocol for a systematic review and meta-analysis. BMJ Open 2021, 11, 1–4. [Google Scholar] [CrossRef] [PubMed]
- Liu, Y.; Peng, C.; Wang, K.; Wu, D.; Yan, J.; Tu, W.; Chen, Y. The utility of shear wave elastography and serum biomarkers for diagnosing biliary atresia and predicting clinical outcomes. Eur. J. Pediatr. 2021, 181, 73–82. [Google Scholar] [CrossRef] [PubMed]
- Takahashi, A.; Hatakeyama, S.I.; Kuroiwa, M.; Suzuki, N.; Toki, F.; Suzuki, M.; Suehiro, T.; Shimura, T.; Kuwano, H. Time-course changes in the liver of biliary atresia patients on magnetic resonance imaging. Pediatr. Int. 2009, 51, 66–70. [Google Scholar] [CrossRef]
- Takahashi, A.; Hatakeyama, S.; Suzuki, N.; Kuroiwa, M.; Ikeda, H.; Murakami, J.; Sakurai, M.; Matsuyama, S.; Tsuchida, Y. MRI findings in the liver in biliary atresia patients after the Kasai operation. Tohoku J. Exp. Med. 1997, 181, 193–202. [Google Scholar] [CrossRef]
- Mo, Y.H.; Jaw, F.S.; Ho, M.C.; Wang, Y.C.; Peng, S.S.F. Hepatic ADC value correlates with cirrhotic severity of patients with biliary atresia. Eur. J. Radiol. 2011, 80, e253–e257. [Google Scholar] [CrossRef]
- Peng, S.S.-F.; Jeng, Y.-M.; Hsu, W.-M.; Yang, J.C.-T.; Ho, M.-C. Hepatic ADC map as an adjunct to conventional abdominal MRI to evaluate hepatic fibrotic and clinical cirrhotic severity in biliary atresia patients. Eur. Radiol. 2015, 25, 2992–3002. [Google Scholar] [CrossRef] [PubMed]
- Gillies, R.J.; Kinahan, P.E.; Hricak, H. Radiomics: Images are more than pictures, they are data. Radiology 2016, 278, 563–577. [Google Scholar] [CrossRef] [PubMed]
- Caruso, M.; Cuocolo, R.; Di Dato, F.; Mollica, C.; Vallone, G.; Romeo, V.; Petretta, M.; Liuzzi, R.; Mainenti, P.P.; Iorio, R.; et al. Ultrasound, shear-wave elastography, and magnetic resonance imaging in native liver survivor patients with biliary atresia after Kasai portoenterostomy: Correlation with medical outcome after treatment. Acta Radiol. 2020, 61, 1300–1308. [Google Scholar] [CrossRef] [PubMed]
- Caruso, M.; Di Dato, F.; Mollica, C.; Vallone, G.; Romeo, V.; Liuzzi, R.; Mainenti, P.P.; Petretta, M.; Iorio, R.; Brunetti, A.; et al. Imaging prediction with ultrasound and MRI of long-term medical outcome in native liver survivor patients with biliary atresia after kasai portoenterostomy: A pilot study. Abdom. Radiol. 2021, 46, 2595–2603. [Google Scholar] [CrossRef] [PubMed]
- Freeman, R. The new liver allocation system: Moving toward evidence-based transplantation policy. Liver Transplant. 2002, 8, 851–858. [Google Scholar] [CrossRef]
- Barshes, N.R.; Lee, T.C.; Udell, I.W.; O’Mahoney, C.A.; Karpen, S.J.; Carter, B.A.; Goss, J.A. The pediatric end-stage liver disease (PELD) model as a predictor of survival benefit and posttransplant survival in pediatric liver transplant recipients. Liver Transplant. 2006, 12, 475–480. [Google Scholar] [CrossRef]
- Caruso, M.; Ricciardi, C.; Delli Paoli, G.; Di Dato, F.; Donisi, L.; Romeo, V.; Petretta, M.; Iorio, R.; Cesarelli, G.; Brunetti, A.; et al. Machine Learning Evaluation of Biliary Atresia Patients to Predict Long-Term Outcome after the Kasai Procedure. Bioengineering 2021, 8, 152. [Google Scholar] [CrossRef]
- Van Der Vorst, J.R.; Van Dam, R.M.; Van Stiphout, R.S.A.; Van Den Broek, M.A.; Hollander, I.H.; Kessels, A.G.H.; Dejong, C.H.C. Virtual Liver Resection and Volumetric Analysis of the Future Liver Remnant using Open Source Image Processing Software. World J. Surg. 2010, 34, 2426–2433. [Google Scholar] [CrossRef]
- Yushkevich, P.A.; Piven, J.; Hazlett, H.C.; Smith, R.G.; Ho, S.; Gee, J.C.; Gerig, G. User-guided 3D active contour segmentation of anatomical structures: Significantly improved efficiency and reliability. Neuroimage 2006, 31, 1116–1128. [Google Scholar] [CrossRef]
- Zwanenburg, A.; Vallières, M.; Abdalah, M.A.; Aerts, H.J.W.L.; Andrearczyk, V.; Apte, A.; Ashrafinia, S.; Bakas, S.; Beukinga, R.J.; Boellaard, R.; et al. The Image Biomarker Standardization Initiative: Standardized Quantitative Radiomics for High-Throughput Image-based Phenotyping. Radiology 2020, 295, 328–338. [Google Scholar] [CrossRef]
- Gourtsoyianni, S.; Santinha, J.; Matos, C.; Papanikolaou, N. Diffusion-weighted imaging and texture analysis: Current role for diffuse liver disease. Abdom. Radiol. 2020, 45, 3523–3531. [Google Scholar] [CrossRef] [PubMed]
- Varghese, B.A.; Cen, S.Y.; Hwang, D.H.; Duddalwar, V.A. Texture Analysis of Imaging: What Radiologists Need to Know. Am. J. Roentgenol. 2019, 212, 520–528. [Google Scholar] [CrossRef] [PubMed]





| Classification Criteria of Medical Outcome * | Ideal Medical Outcome | Nonideal Medical Outcome | |
|---|---|---|---|
| Laboratory parameters | White cell count | ≥4000/mm3 | <4000/mm3 |
| Platelet count | ≥150,000/mm3 | <150,000/mm3 | |
| Total bilirubin | ≤1.2 mg/dL | >1.2mg/dL | |
| Albumin | ≥3.5 g/dL | <3.5 g/dL | |
| International Normalized Ratio (INR) | ≤1.2 | >1.2 | |
| Alanine aminotransferase (ALT) | ≤40 UI/l | >40 UI/l | |
| Aspartate aminotransferase (AST) | ≤40 UI/l | >40 UI/l | |
| γ-glutamyl transpeptidase (GGT) | ≤55 UI/l | >55 UI/l | |
| Complications of CLD | Portal hypertension | Absent | Present |
| Variceal bleeding | Absent | Present | |
| Fractures | Absent | Present | |
| Hepatopulmonary syndrome | Absent | Present | |
| Porto-pulmonary hypertension | Absent | Present | |
| Cholangitis in the 12 months preceding imaging exams | Absent | Present |
| Axial T1 FFE | Axial and Coronal T2 SSTSE | DWI B Values = 50/400/800 s/mm2 | MR Cholangiopancreatography (MRCP) | |
|---|---|---|---|---|
| Repetition Time (TR) | 214 ms | 417 ms | 5100 ms | 1050 ms |
| Echo Time (TE) | 46 ms | 80 ms | 68 ms | 2600 ms |
| Flip Angle | 80° | 80° | 90° | |
| Acquisition Matrix | 192 × 512 | 192 × 512 | 128 × 80 | 256 × 320 (reconstruction matrix 256 × 512) |
| Slice thickness | 5 mm | 5 mm | 5 mm | 40 mm |
| # | Sex | Age (Years) | Height (cm) | Laboratory Abnormalities ° | CLD Complications | PELD § | MELD § |
|---|---|---|---|---|---|---|---|
| 1 | M | 10 | 147 | - | - | −10 | / |
| 2 | M | 16 | 188 | - | - | / | 7 |
| 3 | F | 16 | 160 | - | - | / | 7 |
| 4 | M | 14 | 171 | - | - | / | 7 |
| 5 | F | 15 | 165 | - | - | / | 6 |
| 6 | M | 10 | 135 | - | - | −9 | / |
| 7 | F | 14 | 169 | - | - | / | 7 |
| 8 | M | 18 | 174 | - | - | / | 8 |
| 9 | M | 18 | 184 | - | - | / | 7 |
| 10 | M | 17 | 174 | - | - | / | 7 |
| 11 | F | 17 | 165 | - | - | / | 6 |
| # | Sex | Age (Years) | Height (cm) | Laboratory Abnormalities ° | CLD Complications | PELD § | MELD § |
|---|---|---|---|---|---|---|---|
| 1 | M | 15 | 166 | WBC | Portal hypertension, cholangitis | / | 7 |
| 2 | M | 9 | 137 | WBC, PLT | Portal hypertension | −8 | / |
| 3 | F | 11 | 136 | AST, ALT, WBC, PLT | Portal hypertension, cholangitis | −8 | / |
| 4 | F | 15 | 153 | PLT | Portal hypertension, variceal bleeding, cholangitis | / | 9 |
| 5 | M | 12 | 161 | ALT, WBC, PLT | Portal hypertension, | −8 | / |
| 6 | M | 29 | 175 | TB, PLT | Portal hypertension, | / | 9 |
| 7 | M | 11 | 149 | GGT, WBC, PLT | Portal hypertension, | −7 | / |
| 8 | F | 14 | 162 | AST, WBC, PLT | Portal hypertension, cholangitis | / | 9 |
| 9 | M | 18 | 180 | TB | - | / | 9 |
| 10 | M | 14 | 163 | TB | - | / | 9 |
| 11 | M | 16 | 167 | TB | Cholangitis | / | 10 |
| 12 | M | 9 | 134 | PLT | - | −10 | / |
| 13 | F | 17 | 160 | TB | Cholangitis | / | 8 |
| 14 | F | 8 | 128 | ALT, WBC | Cholangitis | −10 | / |
| 15 | M | 17 | 167 | WBC, PLT | - | / | 7 |
| 16 | F | 17 | 153 | PLT | Portal hypertension, cholangitis | / | 9 |
| 17 | M | 13 | 155 | WBC, PLT | Portal hypertension, | / | 9 |
| 18 | F | 14 | 162 | AST, ALT, TB, PLT | Portal hypertension, cholangitis | / | 12 |
| 19 | M | 18 | 174 | TB | Cholangitis | / | 12 |
| MRI Parameter | Group 1 (Mean ± SD) | Group 2 (Mean ± SD) | p Value |
|---|---|---|---|
| Liver volume (cm3) | 1140.94 ± 134.62 | 954.88 ± 218.31 | 0.02 |
| Portal vein diameter (mm) | 9.2 ± 1.6 | 9.4 ± 1.9 | 0.70 |
| Spleen volume (cm3) | 231.83 ± 70.97 | 555.49 ± 263.92 | <0.01 |
| Liver ADC mean | 1050.09 ± 114.01 | 1010.05 ± 84.178 | 0.33 |
| Liver ADC minimum | 743.1 ± 134.6 | 749.7 ± 115.5 | 0.89 |
| Liver ADC maximum | 1399.4 ± 158.1 | 1292.4 ± 113.8 | 0.07 |
Disclaimer/Publisher’s Note: The statements, opinions and data contained in all publications are solely those of the individual author(s) and contributor(s) and not of MDPI and/or the editor(s). MDPI and/or the editor(s) disclaim responsibility for any injury to people or property resulting from any ideas, methods, instructions or products referred to in the content. |
© 2023 by the authors. Licensee MDPI, Basel, Switzerland. This article is an open access article distributed under the terms and conditions of the Creative Commons Attribution (CC BY) license (https://creativecommons.org/licenses/by/4.0/).
Share and Cite
Caruso, M.; Stanzione, A.; Ricciardi, C.; Di Dato, F.; Pisani, N.; Delli Paoli, G.; De Giorgi, M.; Liuzzi, R.; Mollica, C.; Romeo, V.; et al. MRI Liver Imaging Integrated with Texture Analysis in Native Liver Survivor Patients with Biliary Atresia after Kasai Portoenterostomy: Correlation with Medical Outcome after Surgical Treatment. Bioengineering 2023, 10, 306. https://doi.org/10.3390/bioengineering10030306
Caruso M, Stanzione A, Ricciardi C, Di Dato F, Pisani N, Delli Paoli G, De Giorgi M, Liuzzi R, Mollica C, Romeo V, et al. MRI Liver Imaging Integrated with Texture Analysis in Native Liver Survivor Patients with Biliary Atresia after Kasai Portoenterostomy: Correlation with Medical Outcome after Surgical Treatment. Bioengineering. 2023; 10(3):306. https://doi.org/10.3390/bioengineering10030306
Chicago/Turabian StyleCaruso, Martina, Arnaldo Stanzione, Carlo Ricciardi, Fabiola Di Dato, Noemi Pisani, Gregorio Delli Paoli, Marco De Giorgi, Raffaele Liuzzi, Carmine Mollica, Valeria Romeo, and et al. 2023. "MRI Liver Imaging Integrated with Texture Analysis in Native Liver Survivor Patients with Biliary Atresia after Kasai Portoenterostomy: Correlation with Medical Outcome after Surgical Treatment" Bioengineering 10, no. 3: 306. https://doi.org/10.3390/bioengineering10030306
APA StyleCaruso, M., Stanzione, A., Ricciardi, C., Di Dato, F., Pisani, N., Delli Paoli, G., De Giorgi, M., Liuzzi, R., Mollica, C., Romeo, V., Iorio, R., Cesarelli, M., Brunetti, A., & Maurea, S. (2023). MRI Liver Imaging Integrated with Texture Analysis in Native Liver Survivor Patients with Biliary Atresia after Kasai Portoenterostomy: Correlation with Medical Outcome after Surgical Treatment. Bioengineering, 10(3), 306. https://doi.org/10.3390/bioengineering10030306

