Biogenic Synthesis of Silver Nanoparticles Using Pantoea stewartii and Priestia aryabhattai and Their Antimicrobial, Larvicidal, Histopathological, and Biotoxicity Potential
Abstract
1. Introduction
2. Results
2.1. Molecular Identification of Bacteria
2.2. Biosynthesis of Silver Nanoparticles
2.3. Characterization of Silver Nanoparticles
UV–Visible Spectroscopy Analysis
2.4. FT-IR Analysis of Pantoea stewartii- and Priestia aryabhattai-Synthesized Silver Nanoparticles and Bacterial Pellets
2.5. Atomic Force Microscopy
2.6. Larvicidal Bioassay
2.6.1. Larvicidal Activity
2.6.2. Larvicidal Activity of Pantoea stewartii-Synthesized Silver Nanoparticles
2.6.3. Larvicidal Activity of Priestia aryabhattai-Synthesized Silver Nanoparticles
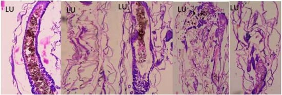
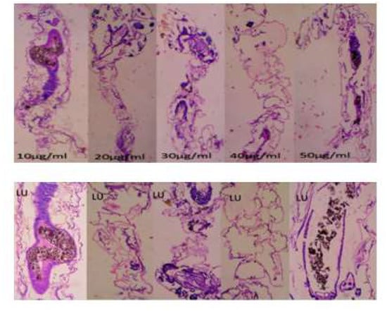
2.7. Histopathological and Stereomicroscopic Analysis
2.8. Antimicrobial Activities of Silver Nanoparticles Synthesized by Microorganisms
2.8.1. Antimicrobial Activity of Priestia aryabhattai (H3)-Synthesized Ag NPs
2.8.2. Antimicrobial Activity of Pantoea stewartii (H2)-Synthesized Ag NPs
2.9. Non-Target Bioassay on A. salina
2.9.1. Toxicity Assay of Pantoea stewartii-Mediated Ag NPs
2.9.2. Toxicity Assay of Priestia aryabhattai-Mediated Ag NPs
2.10. Toxicity Studies on Embryonic Zebrafish
2.11. Toxicity Studies on Embryonic Zebrafish Exposed to Pantoea stewartii-Mediated Ag NPs
2.12. Toxicity Studies on Embryonic Zebrafish Exposed to Priestia aryabhattai-Mediated Ag NPs
3. Discussion
4. Materials and Methods
4.1. Collection of Soil Sample
4.2. Mosquito Larvae
4.3. Bacterial Isolation and Characterization
4.4. Bacterial Characterization Using Molecular Techniques
4.5. Intracellular Synthesis of Silver Nanoparticles
4.6. Washing and Purification of Silver Nanoparticles
4.7. Characterization of Silver Nanoparticles
4.7.1. UV–Visible Spectroscopy Analysis
4.7.2. FT-IR Spectroscopy
4.7.3. Atomic Force Microscopy
4.8. Larvicidal Bioassay
4.9. Histopathological and Stereomicroscopic Analysis
4.10. Antimicrobial Activity of Bacterially Synthesized Silver NPs
4.11. Toxicity Assay on Artemia salina
4.11.1. Cultivation of Artemia salina
4.11.2. Non-Target Bioassay on Artemia nauplii
4.11.3. Embryonic Zebrafish Non-Target Assay
4.12. Statistical Analysis
5. Conclusions
Author Contributions
Funding
Institutional Review Board Statement
Informed Consent Statement
Data Availability Statement
Acknowledgments
Conflicts of Interest
References
- WHO. Dengue and Severe Dengue; Fact Sheet N-117; World Health Organization: Geneva, Switzerland, 2015. [Google Scholar]
- WHO. World Malaria Report 2011. 2011. Available online: http://www.who.int/malaria/world_malariareport (accessed on 10 June 2011).
- Bhatt, S.; Gething, P.W.; Brady, O.J.; Messina, J.P.; Farlow, A.W.; Moyes, C.L.; Drake, J.M. The global distribution and burden of dengue. Nature 2013, 496, 504–507. [Google Scholar] [PubMed]
- Maria, G.; Guzman, S.; Halstead, B.; Harvey, A. Dengue: A continuing global threat. Nat. Rev. Microbiol. 2010, 8, 7–16. [Google Scholar]
- Benelli, G.; Mehlhorn, H. Declining malaria, rising of dengue and Zika virus: Insights for mosquito vector control. Parasitol. Res. 2016, 115, 1747–1754. [Google Scholar] [CrossRef]
- Lise, B.; Peter, B.; Pascal, M. Management of patients with lymphoedema caused by filariasis in North-eastern Tanzania. Physiotherapy 2003, 89, 743–749. [Google Scholar]
- WHO. Guidelines for Laboratory and Field Testing of Mosquito Larvicides; WHO/CDS/WHOPES/GCDPP/13; World Health Organization: Geneva, Switzerland, 2005. [Google Scholar]
- Theresia, N.; Idir, A.; William, N.K.; Jean-Philippe, D. Impact of environment on mosquito response to pyrethroid insecticides: Facts, evidences and prospects. Insect Biochem. Mol. Biol. 2013, 43, 407–416. [Google Scholar]
- Gahlawat, G.; Shikha, S.; Chaddha, B.S.; Chaudhuri, S.R.; Mayilraj, S.; Choudhury, A.R. Microbial glycolipoprotein-capped silver nanoparticles as emerging antibacterial agents against cholera. Microb. Cell Fact. 2016, 15, 1–14. [Google Scholar] [CrossRef]
- Faisal, S.; Khan, M.A.; Jan, H.; Shah, S.A.; Abdullah Shah, S.; Rizwan, M.; Ullah, W.; Akbar, M.T.; Redaina. Edible mushroom (Flammulinavelutipes) as biosource for silver nanoparticles: From synthesis to diverse biomedical and environmental applications. Nanotechnology 2021, 32, 65101. [Google Scholar] [CrossRef] [PubMed]
- Iravani, S.; Korbekandi, H.; Mirmohammadi, S.V.; Zolfaghari, B. Synthesis of silver nanoparticles: Chemical, physical and biological methods. Res. Pharm. Sci. 2014, 9, 385. [Google Scholar]
- Al-Radadi, N.S. Green synthesis of platinum nanoparticles using Saudi’s Dates extract and their usage on the cancer cell treatment. Arab. J. Chem. 2019, 12, 330–349. [Google Scholar] [CrossRef]
- Al-Radadi, N.S. Artichoke (Cynara scolymus L.,) mediated rapid analysis of silver nanoparticles and their utilisation on the cancer cell treatments. J. Comput. Theor. Nanosci. 2018, 15, 1818–1829. [Google Scholar] [CrossRef]
- Al-Radadi, N.S. Green Biosynthesis of Flaxseed Gold Nanoparticles (Au-NPs) as Potent Anticancer Agent against Breast Cancer Cells. J. Saudi Chem. Soc. 2021, 25, 1–22. [Google Scholar] [CrossRef]
- Khodashenas, B.; Ghorbani, H.R. Synthesis of silver nanoparticles with different shapes. Arab. J. Chem. 2019, 12, 1823–1838. [Google Scholar] [CrossRef]
- Govarthanan, M.; Selvankumar, T.; Manoharan, K.; Rathika, R.; Shanthi, K.; Lee, K.J. Biosynthesis and characterization of silver nanoparticles using panchakavya, an Indian traditional farming formulating agent. Int. J. Nanomed. 2014, 9, 1593–1599. [Google Scholar] [CrossRef]
- Aravinthan, A.; Govarthanan, M.; Selvam, K.; Praburaman, L.; Selvankumar, T.; Balamurugan, R.; Kim, J.H. Sunroot mediated synthesis and characterization of silver nanoparticles and evaluation of its antibacterial and rat splenocyte cytotoxic effects. Int. J. Nanomed. 2015, 10, 1977–1983. [Google Scholar]
- Sengottaiyan, A.; Mythili, R.; Selvankumar, T.; Aravinthan, A.; Kamala-Kannan, S.; Manoharan, K. Green synthesis of silver nanoparticles using Solanum indicum L. and their antibacterial, splenocyte cytotoxic potentials. Res. Chem. Intermediat. 2015, 42, 3095–3103. [Google Scholar] [CrossRef]
- Ameen, F.; AlYahya, S.; Govarthanan, M.; ALjahdali, N.; Al-Enazi, N.; Alsamhary, K.; Alshehri, W.A.; Alwakeel, S.S.; Alharbi, S.A. Soil bacteria Cupriavidus sp. mediates the extracellular synthesis of antibacterial silver nanoparticles. J. Mol. Struct. 2020, 1202, 127233. [Google Scholar] [CrossRef]
- Govarthanan, M.; Seo, Y.S.; Lee, K.J.; Jung, I.B.; Hj, J.; Kim, J.S.; Cho, M.; Kamala-Kannan, S. Low-cost and eco-friendly synthesis of silver nanoparticles using coconut (Cocos nucifera) oil cake extract and its antibacterial activity. Artif. Cell Nanomed. Biotechnol. 2016, 44, 1878–1882. [Google Scholar] [CrossRef]
- Varmazyari, A.; Taghizadehghalehjoughi, A.; Sevim, C.; Baris, O.; Eser, G.; Yildirim, S.; Hacimuftuoglu, A.; Buha, A.; Wallace, D.R.; Tsatsakis, A.; et al. Cadmium sulfide-induced toxicity in the cortex and cerebellum: In vitro and in vivo studies. Toxicol. Rep. 2020, 7, 637–648. [Google Scholar] [CrossRef]
- Elumalai, D.; Suman, T.Y.; Hemavathi, M.; Swetha, C.; Kavitha, R.; Arulvasu, C.; Kaleena, P.K. Bio fabrication of gold nanoparticles using Ganoderma lucidum and their cytotoxicity against human colon cancer cell line (HT-29). Bull. Mater. Sci. 2021, 44, 132. [Google Scholar] [CrossRef]
- Govarthanan, M.; Selvankumar, T.; Mythili, R.; Muthusamy, G.; Thangasamy, S.; Raja, M.; Sudhakar, C.; Selvam, K. Biosynthesis of silver nanoparticles from Spirulina microalgae and its antibacterial activity. Environ. Sci. Pollut. Res. 2017, 24, 19459–19464. [Google Scholar]
- Mythili, R.; Selvankumar, T.; Kamala-Kannan, S.; Sudhakar, C.; Ameen, F.; Al-Sabri, A.; Selvam, K.; Govarthanan, M.; Kim, H. Utilization of market vegetable waste for silver nanoparticle synthesis and its antibacterial activity. Mater. Lett. 2018, 225, 101–104. [Google Scholar] [CrossRef]
- Valarmathi, N.; Ameen, F.; Almansob, A.; Kumar, P.; Arunprakash, S.; Govarthanan, M. Utilization of marine seaweed Spyridia filamentosa for silver nanoparticles synthesis and its clinical applications. Mater. Lett. 2020, 263, 127244. [Google Scholar] [CrossRef]
- Eugenia, K.; Joseph, M.; Slocik, T.T. Polyaminoacid-induced growth of metal nanoparticles on layer-by-Layer templates. Chem. Mater. 2008, 20, 5822–5831. [Google Scholar]
- Helms, D.R.; Helms, C.W.; Kosinski, R.J.; Cummings, J.R. Biology in the Laboratory, 3rd ed.; W. H. Freeman: New York, NY, USA, 1998. [Google Scholar]
- Xu, C.; Guo, Y.; Qiao, L.; Ma, L.; Cheng, Y.; Roman, A. Biogenic Synthesis of Novel Functionalized Selenium Nanoparticles by Lactobacillus casei ATCC 393 and Its Protective Effects on Intestinal Barrier Dysfunction Caused by Enterotoxigenic Escherichia coli K88. Front. Microbiol. 2018, 9, 1129. [Google Scholar] [CrossRef] [PubMed]
- Markus, J.; Mathiyalagan, R.; Kim, Y.J.; Abbai, R.; Singh, P.; Ahn, S.; Perez, Z.E.J.; Hurh, J.; Yang, D.C. Intracellular synthesis of gold nanoparticles with antioxidant activity by probiotic Lactobacillus kimchicus DCY51T isolated from Korean kimchi. Enzym. Microb. Technol. 2016, 95, 85–93. [Google Scholar] [CrossRef]
- Mohd Yusof, H.; Mohamad, R.; Zaidan, U.H.; Rahman, N.A. Sustainable microbial cell nanofactory for zinc oxide nanoparticles production by zinc-tolerant probiotic Lactobacillus plantarum strain TA4. Microb. Cell Factories 2020, 19, 10. [Google Scholar] [CrossRef]
- Sintubin, L.; De Windt, W.; Dick, J.; Mast, J.; van der Ha, D.; Verstraete, W.; Boon, N. Lactic acid bacteria as reducing and capping agent for the fast and efficient production of silver nanoparticles. Appl. Microbiol. Biotechnol. 2009, 84, 741–749. [Google Scholar] [CrossRef]
- Król, A.; Railean-Plugaru, V.; Pomastowski, P.; Złoch, M.; Buszewski, B. Mechanism study of intracellular zinc oxide nanocomposites formation. Colloids Surf. A Physicochem. Eng. Asp. 2018, 553, 349–358. [Google Scholar] [CrossRef]
- Teleanu, D.M.; Negut, I.; Grumezescu, V.; Grumezescu, A.M.; Teleanu, R.I. Nanomaterials for drug delivery to the central nervous system. Nanomaterials 2019, 9, 371. [Google Scholar] [CrossRef]
- Firdhouse, M.J.; Lalitha, P. Biosynthesis of silver nanoparticles and its applications. J. Nanotechnol. 2015, 2015, 1–18. [Google Scholar] [CrossRef]
- Yan, J.; Abdelgawad, A.M.; El-Naggar, M.E.; Rojas, O.J. Antibacterial activity of silver nanoparticles synthesized In-situ by solution spraying onto cellulose. Carbohydr. Polym. 2016, 147, 500–508. [Google Scholar] [CrossRef] [PubMed]
- Paladini, F.; Pollini, M. Antimicrobial Silver Nanoparticles for Wound Healing Application: Progress and Future Trends. Materials 2019, 12, 2540. [Google Scholar] [CrossRef] [PubMed]
- Simbine, E.O.; Rodrigues, L.; Da, C.; Lapa-Guimarães, J.; Kamimura, E.S.; Corassin, C.H.; Oliveira, C.A.F.D. Application of silver nanoparticles in food packages: A review. Food Sci. Technol. 2019, 39, 793–802. [Google Scholar] [CrossRef]
- Dakal, T.C.; Kumar, A.; Majumdar, R.S.; Yadav, V. Mechanistic Basis of Antimicrobial Actions of Silver Nanoparticles. Front. Microbiol. 2016, 7, 1831. [Google Scholar] [CrossRef]
- Duran, N.; Marcato, P.D.; Durán, M.; Yadav, A.; Gade, A.; Rai, M. Mechanistic aspects in the biogenic synthesis of extracellular metal nanoparticles by peptides, bacteria, fungi, and plants. Appl. Microbiol. Biotechnol. 2011, 90, 1609–1624. [Google Scholar] [CrossRef]
- Kalaimurugan, D.; Vivekanandhan, P.; Sivasankar, P.; Durairaj, K.; Senthilkumar, P.; Shivakumar, M.S.; Venkatesan, S. Larvicidal activity of silver nanoparticles synthesized by Pseudomonas fluorescens YPS3 isolated from the Eastern Ghats of India. J. Clust. Sci. 2019, 30, 225–233. [Google Scholar] [CrossRef]
- Park, Y.G.; Mun, B.G.; Kang, S.M.; Hussain, A.; Shahzad, R.; Seo, C.W.; Kim, A.Y.; Lee, S.U.; Oh, K.Y.; Lee, D.Y.; et al. Bacillus aryabhattai SRB02 tolerates oxidative and nitrosative stress and promotes the growth of soybean by modulating the production of phytohormones. PLoS ONE 2017, 12, 1–28. [Google Scholar] [CrossRef]
- Das, V.L.; Thomas, R.; Varghese, R.T.; Soniya, E.V.; Mathew, J.; Radhakrishnan, E.K. Extracellular synthesis of silver nanoparticles by the Bacillus strain CS11 isolated from industrialized area. 3 Biotech 2014, 4, 121–126. [Google Scholar] [CrossRef]
- Soni, N.; Prakash, S. Antimicrobial and mosquitocidal activity of microbial synthesized silver nanoparticles. Parasitol. Res. 2015, 114, 1023–1030. [Google Scholar] [CrossRef]
- Encarnacion Baltazar, E.; Escarcega Gonzalez, C.E.; Vasto Anzaldo, X.G.; Cantu Cardenas, M.E.; Morones-Ramírez, J.R. Silver nanoparticles synthesized through green methods using Escherichia coli top 10 (Ec-Ts) growth culture medium exhibit antimicrobial properties against nongrowing bacterial Strains. J. Nanomater. 2019, 2019, 4637325. [Google Scholar] [CrossRef]
- Kumar, P.; Chandrasekaran, R.; Gnanasekar, S. Biocatalysis and agricultural biotechnology antimicrobial and larvicidal activity of eco-friendly silver nanoparticles synthesized from endophytic fungi Phomopsis liquidambaris. Biocatal. Agric. Biotechnol. 2018, 16, 22–30. [Google Scholar]
- Lateef, A.; Adelere, I.A.; Gueguim Kana, E.B.; Asafa, T.B.; Beukes, L.S. Green synthesis of silver nanoparticles using keratinase obtained from a strain of Bacillus safensis LAU 13. Int. Nano Lett. 2015, 5, 29–35. [Google Scholar] [CrossRef]
- Monowar, T.; Rahman, M.; Bhore, S.J.; Raju, G.; Sathasivam, K.V. Silver nanoparticles synthesized by using the endophytic bacterium Pantoea ananatis are promising antimicrobial agents against multidrug resistant bacteria. Molecules 2018, 23, 3220. [Google Scholar] [CrossRef]
- Kalainila, P.; Subha, V.; Ernest Ravindran, R.S.; Sahadevan, R. Synthesis and characterization of silver nanoparticle from Erythrina indica. Asian J. Pharm. Clin. Res. 2014, 7, 39–43. [Google Scholar]
- Bharathi, D.; Josebin, M.D.; Vasantharaj, S. Biosynthesis of silver nanoparticles using stem bark extracts of Diospyros montana and their antioxidant and antibacterial activities. J. Nanostructure Chem. 2018, 8, 83–92. [Google Scholar] [CrossRef]
- Shamaila, S.; Zafar, N.; Riaz, S.; Sharif, R.; Nazir, J.; Naseem, S. Gold nanoparticles: An efficient antimicrobial agent against enteric bacterial human pathogen. Nanomaterials 2016, 6, 71. [Google Scholar] [CrossRef] [PubMed]
- Saravanan, C.; Rajesh, R.; Kaviarasan, T.; Muthukumar, K.; Kavitake, D.; Shetty, P.H. Synthesis of silver nanoparticles using bacterial exopolysaccharide and its application for degradation of azo-dyes. Biotechnol. Rep. 2017, 15, 33–40. [Google Scholar] [CrossRef] [PubMed]
- Banu, A.N.; Balasubramanian, C.; Moorthi, P.V. Biosynthesis of silver nanoparticles using Bacillus thuringiensis against dengue vector, Aedes aegypti (Diptera: Culicidae). Parasitol. Res. 2013, 113, 311–316. [Google Scholar] [CrossRef] [PubMed]
- Rajesh, P.; Sabah, S. Biosynthesis of silver nanoparticles for mosquito control. Br. J. Med. Health Res. 2017, 4, 2394–2967. [Google Scholar]
- Suganya, P.; Vaseeharan, B.; Vijayakumar, S.; Balan, B.; Govindarajan, M.; Alharbi, N.S.; Kadaikunnan, S.; Khaled, J.M.; Benelli, G. Biopolymer zein-coated gold nanoparticles: Synthesis, antibacterial potential, toxicity and histopathological effects against the Zika virus vector Aedes aegypti. J. Photochem. Photobiol. B Biol. 2017, 173, 404–411. [Google Scholar] [CrossRef] [PubMed]
- Fouad, H.; Mao, G.; Tian, J.; Jianchu, M. Larvicidal and pupicidal evaluation of silver nanoparticles synthesized using Aquilaria sinensis and Pogostemon cablin essential oils against dengue and zika viruses vector Aedes albopictus mosquito and its histopathological analysis. Artif. Cells Nanomed. Biotechnol. 2018, 46, 1171–1179. [Google Scholar]
- Kalimuthu, K.; Panneerselvam, C.; Chou, C.; Tseng, L.C.; Murugan, K.; Tsai, K.H.; Alarfaj, A.A.; Higuchi, A.; Canale, A.; Hwang, J.S.; et al. Control of dengue and Zika virus vector Aedes aegypti using the predatory copepod Megacyclops formosanus: Synergy with Hedychium coronarium-synthesized silver nanoparticles and related histological changes in targeted mosquitoes. Process Saf. Environ. Prot. 2017, 109, 82–96. [Google Scholar] [CrossRef]
- Arulvasu, C.; Jennifer, S.M.; Prabhu, D.; Chandhirasekar, D. Toxicity effect of silver nanoparticles in brine shrimp Artemia. Sci. World J. 2014, 2014, 256919. [Google Scholar] [CrossRef] [PubMed]
- Dar, M.A.; Ingle, A.; Rai, M. Enhanced antimicrobial activity of silver nanoparticles synthesized by Cryphonectria sp. evaluated singly and in combination with antibiotics. Nanomed. Nanotechnol. Biol. Med. 2013, 9, 105–110. [Google Scholar] [CrossRef]
- Asharani, P.V.; Wu, Y.L.; Gong, Z.; Valiyaveettil, S. Toxicity of silver nanoparticles in zebrafish models. Nanotechnology 2008, 19, 255102. [Google Scholar] [CrossRef]
- Lee, C.Y.; Horng, J.L.; Chen, P.Y.; Lin, L.Y. Silver nanoparticle exposure impairs ion regulation in zebrafish embryos. Aquat. Toxicol. 2019, 214, 105263. [Google Scholar] [CrossRef]
- Cappuccino, J.G.; Sherman, N. Microbiology: A Laboratory Manual, 10th ed.; Pearson/Benjamin Cummings Pub. Co. Inc.: San Francisco, CA, USA, 2014. [Google Scholar]
- Chaudhari, P.R.; Masurkar, S.A.; Shidore, V.B.; Kamble, S.B. Antimicrobial activity of extracellularly synthesized silver nanoparticles using Lactobacillus species obtained from VIZYLAC capsule. J. Appl. Pharm. Sci. 2012, 2, 25–29. [Google Scholar]
- Rai, M.; Duran, N. Metal Nanoparticles in Microbiology, 1st ed.; Springer: London, UK; New York, NY, USA, 2011; pp. 17–35. [Google Scholar]
- Wilson, J.J.; Deepalakshmi, U.; Ponmanickam, P.; Sivakumar, T. Mosquito larvicidal activity of synthesized silver nanoparticles from selected bacteria against Aedes aegypti. J. Entomol. Res. 2021, 45, 1–12. [Google Scholar] [CrossRef]
- Hassan, H.H.; Aldujaili, N.H. Characterization and optimization of AgNPs biosynthesis by Klebsiella pneumoniae HHHS1 isolated from silver rich environment. Biochem. Cell. Arch. 2018, 18, 2533–2546. [Google Scholar]
- Ragavendran, C.; Mariappan, T.; Natarajan, D. Larvicidal, histopathological efficacy of Penicillium daleae against larvae of Culex quinquefasciatus and Aedes aegypti plus biotoxicity on Artemia nauplii a non-target aquatic organism. Front. Pharmacol. 2017, 8, 773. [Google Scholar] [CrossRef]
- Lourthuraj, A.A.; Selvam, M.M.; Hussain, M.S.; Abdel-Warith, A.W.A.; Younis, E.M.; Al-Asgah, N.A. Dye degradation, antimicrobial and larvicidal activity of silver nanoparticles biosynthesized from Cleistanthus collinus. Saudi J. Biol. Sci. 2020, 27, 1753–1759. [Google Scholar] [CrossRef] [PubMed]
- Kim, K.T.; Truong, L.; Wehmas, L.; Tanguay, R.L. Silver nanoparticle toxicity in the embryonic Zebrafish is governed by particle dispersion and ionic environment. Nanotechnology 2013, 24, 115101. [Google Scholar] [CrossRef] [PubMed]













| Mosquito Larval Species na (150) | Concentration of Ag NPs (µg/mL) | % Mortality | LC50 LUL-UCL (µg/mL) | LC90 LUL-UCL (µg/mL) | Intercept | χ2 | Regression Equation |
|---|---|---|---|---|---|---|---|
| Ae.aegypti | 10 | 17 | 30.584 17.07–54.78 | 106.35 59.37–190.53 | −3.517 | 0.762 | Y = −0.09 X = 28.01 |
| 20 | 30 | ||||||
| 30 | 40 | ||||||
| 40 | 57 | ||||||
| 50 | 80 | ||||||
| Control | 0 | ||||||
| An.stephensi | 10 | 30 | 20.977 12.39–35.48 | 62.55 36.97–105.82 | −3.57 | 0.34 | Y = 0.236 X = 25.64 |
| 20 | 30 | ||||||
| 30 | 63 | ||||||
| 40 | 73 | ||||||
| 50 | 97 | ||||||
| Control | 0 | ||||||
| Cx.quinquefasciatus | 10 | 37 | 14.829 8.54–25.75 | 43.575 25.09–75.68 | −3.206 | 0.864 | Y = 0.516 X = 22.88 |
| 20 | 57 | ||||||
| 30 | 77 | ||||||
| 40 | 87 | ||||||
| 50 | 97 | ||||||
| Control | 0 |
| Mosquito Larval Species na (150) | Concentration of Ag NPs (µg/mL) | % Mortality | LC50 LUL-UCL (µg/mL) | LC90 LUL-UCL (µg/mL) | Intercept | χ2 | Regression Equation |
|---|---|---|---|---|---|---|---|
| Ae.aegypti | 10 | 33 | 20.668 10.98–38.88 | 79.911 42.47–150.34 | −2.87 | 0.507 | Y = 0.207 X = 25.705 |
| 20 | 40 | ||||||
| 30 | 53 | ||||||
| 40 | 70 | ||||||
| 50 | 93 | ||||||
| Control | 0 | ||||||
| An.stephensi | 10 | 47 | 14.015 6.65–29.52 | 66.544 31.58–140.20 | −2.172 | 0.649 | Y = 0.45 X = 24.232 |
| 20 | 53 | ||||||
| 30 | 63 | ||||||
| 40 | 83 | ||||||
| 50 | 93 | ||||||
| Control | 0 | ||||||
| Cx.quinquifasciatus | 10 | 53 | 10.736 5.18–22.22 | 44.394 21.44–91.91 | −2.143 | 0.735 | Y = 0.672 X = 22.6 |
| 20 | 67 | ||||||
| 30 | 73 | ||||||
| 40 | 90 | ||||||
| 50 | 97 | ||||||
| Control | 0 |
| S. No. | Microbial Isolates | Control | Zone of Inhibition (cm) | ||
|---|---|---|---|---|---|
| 30 μL | 50 μL | 80 μL | |||
| 1. | Streptomyces varsoviensis (MTCC-1537) | 1.8 | 1.0 | 1.2 | 1.3 |
| 2. | Penicillium chrysogenum (MTCC-160) | 1.4 | 0.5 | 0.7 | 1.0 |
| 3. | Streptococcus pneumoniae (MTCC-655) | 1.8 | 0.7 | 1.0 | 1.2 |
| 4. | Staphylococcus aureus (MTCC-3160) | 0.8 | - | 0.1 | 0.3 |
| S. No. | Microbial Isolates | Zone of Inhibition (cm) | |||
|---|---|---|---|---|---|
| Control | 30 μL | 50 μL | 80 μL | ||
| 1. | MTCC-1537 Streptomyces varsoviensis | 1.7 | 1.0 | 1.0 | 1.2 |
| 2. | MTCC-160 Penicillium chrysogenum | 1.6 | 1.1 | 1.1 | 1.2 |
| 3. | MTCC-1688 Pseudomonas aeruginosa | 1.4 | 0.4 | 0.8 | 0.9 |
| 4. | MTCC-3160 Staphylococcus aureus | 1.6 | 1.0 | 1.0 | 1.3 |
| 5. | MTCC-733 Salmonella enterica serovar typhi | 1.7 | 0.7 | 0.8 | 1.0 |
| 6. | MTCC-1973 Aspergillus flavus | 2.0 | 0.9 | 1.0 | 1.2 |
| 7. | MTCC-451 Vibrio parahaemolyticus | 0.8 | 0 | 0.1 | 0.2 |
| 8. | MTCC-43 Escherichia coli | 1.5 | 1.0 | 1.2 | 1.5 |
| Concentration of Ag NPs (µg/mL) | Total No. of Artemia Exposed | % Mortality | LC50 (LCL-UCL) µg/mL | LC90 (LCL-UCL) µg/mL | χ2 | Regression Equation |
|---|---|---|---|---|---|---|
| 10 | 10 | 0 | 63.44 38.48–104.58 | 157.095 95.30–258.97 | 0.619 | Y = −0.291 X = 51.634 |
| 20 | 10 | 0 | ||||
| 40 | 10 | 27 | ||||
| 60 | 10 | 37 | ||||
| 90 | 10 | 77 | ||||
| Control | 10 | 0 |
| Concentration of Ag NPs (µg/mL) | Total No. of Artemia Exposed | % Mortality | LC50 (LCL-UCL) µg/mL | LC90 (LCL-UCL) µg/mL | χ2 | Regression Equation |
|---|---|---|---|---|---|---|
| 10 | 10 | 0 | 74.595 42.45–131.06 | 206.893 117.75–363.51 | 0.711 | Y = −0.448 X = 52.218 |
| 20 | 10 | 0 | ||||
| 40 | 10 | 23 | ||||
| 60 | 10 | 30 | ||||
| 90 | 10 | 67 | ||||
| Control | 10 | 0 |
| Concentration of Ag NPs (µg/mL) | Total No. of Embryos Exposed | % Mortality | LC50 (LCL-UCL) µg/mL | LC90 (LCL-UCL) µg/mL | χ2 | Regression Equation |
|---|---|---|---|---|---|---|
| 10 | 10 | 0 | 299.187 76.00–1177.70 | 2038.019 517.748–8022.291 | 0.92 | Y = −1.469 X = 33.186 |
| 20 | 10 | 0 | ||||
| 30 | 10 | 10 | ||||
| 50 | 10 | 14 | ||||
| Control | 10 | 0 |
| Concentration of Ag NPs (µg/mL) | Total No. of Embryos Exposed | % Mortality | LC50 (LCL-UCL) µg/mL | LC90 (LCL-UCL) µg/mL | χ2 | Regression Equation |
|---|---|---|---|---|---|---|
| 10 | 10 | 0 | 101.032 47.53–214.74 | 331.537 155.98–704.66 | 0.716 | Y = −1.13 X = 35.437 |
| 20 | 10 | 0 | ||||
| 30 | 10 | 20 | ||||
| 50 | 10 | 25 | ||||
| Control | 10 | 0 |
Disclaimer/Publisher’s Note: The statements, opinions and data contained in all publications are solely those of the individual author(s) and contributor(s) and not of MDPI and/or the editor(s). MDPI and/or the editor(s) disclaim responsibility for any injury to people or property resulting from any ideas, methods, instructions or products referred to in the content. |
© 2023 by the authors. Licensee MDPI, Basel, Switzerland. This article is an open access article distributed under the terms and conditions of the Creative Commons Attribution (CC BY) license (https://creativecommons.org/licenses/by/4.0/).
Share and Cite
Wilson, J.J.; Harimuralikrishnaa, T.; Sivakumar, T.; Mahendran, S.; Ponmanickam, P.; Thangaraj, R.; Sevarkodiyone, S.; Alharbi, N.S.; Kadaikunnan, S.; Venkidasamy, B.; et al. Biogenic Synthesis of Silver Nanoparticles Using Pantoea stewartii and Priestia aryabhattai and Their Antimicrobial, Larvicidal, Histopathological, and Biotoxicity Potential. Bioengineering 2023, 10, 248. https://doi.org/10.3390/bioengineering10020248
Wilson JJ, Harimuralikrishnaa T, Sivakumar T, Mahendran S, Ponmanickam P, Thangaraj R, Sevarkodiyone S, Alharbi NS, Kadaikunnan S, Venkidasamy B, et al. Biogenic Synthesis of Silver Nanoparticles Using Pantoea stewartii and Priestia aryabhattai and Their Antimicrobial, Larvicidal, Histopathological, and Biotoxicity Potential. Bioengineering. 2023; 10(2):248. https://doi.org/10.3390/bioengineering10020248
Chicago/Turabian StyleWilson, Jeyaraj John, Thangamariyappan Harimuralikrishnaa, Thangavel Sivakumar, Shunmugiah Mahendran, Ponnirul Ponmanickam, Ramasamy Thangaraj, Subramanian Sevarkodiyone, Naiyf S. Alharbi, Shine Kadaikunnan, Baskar Venkidasamy, and et al. 2023. "Biogenic Synthesis of Silver Nanoparticles Using Pantoea stewartii and Priestia aryabhattai and Their Antimicrobial, Larvicidal, Histopathological, and Biotoxicity Potential" Bioengineering 10, no. 2: 248. https://doi.org/10.3390/bioengineering10020248
APA StyleWilson, J. J., Harimuralikrishnaa, T., Sivakumar, T., Mahendran, S., Ponmanickam, P., Thangaraj, R., Sevarkodiyone, S., Alharbi, N. S., Kadaikunnan, S., Venkidasamy, B., Thiruvengadam, M., & Govindasamy, R. (2023). Biogenic Synthesis of Silver Nanoparticles Using Pantoea stewartii and Priestia aryabhattai and Their Antimicrobial, Larvicidal, Histopathological, and Biotoxicity Potential. Bioengineering, 10(2), 248. https://doi.org/10.3390/bioengineering10020248

