Short-Term Exposure to Tebuconazole Triggers Haematological, Histological and Biochemical Disturbances in Rainbow Trout (Oncorhynchus mykiss)
Abstract
1. Introduction
2. Materials and Methods
2.1. Experimental Organism, Toxic Material and Water Quality Parameters
2.2. Experimental Design of Acute Toxicity Study
2.3. Haematological Examination
2.4. Histological Evaluation
2.5. Biochemical Analysis
2.6. Statistical Analysis
3. Results
3.1. Acute Toxicity of Pesticides for Rainbow Trout
3.2. Haematological Parameters
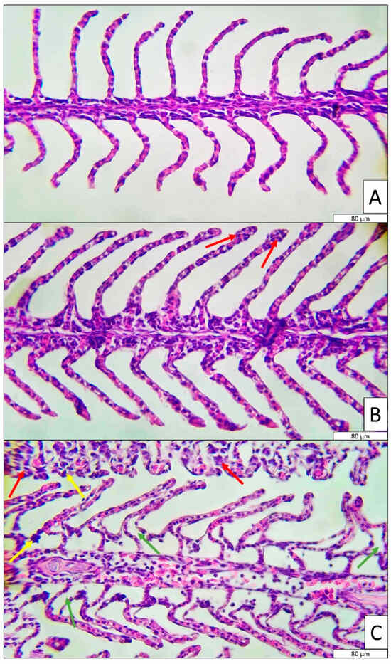
3.3. Histological Alterations
3.4. Biochemical Results
4. Discussion
5. Conclusions
Funding
Institutional Review Board Statement
Informed Consent Statement
Data Availability Statement
Acknowledgments
Conflicts of Interest
References
- Santana, M.S.; Sandrini-Neto, L.; Di Domenico, M.; Prodocimo, M.M. Pesticide Effects on Fish Cholinesterase Variability and Mean Activity: A Meta-Analytic Review. Sci. Total Environ. 2021, 757, 143829. [Google Scholar] [CrossRef]
- Maggi, F.; Tang, F.H.M.; la Cecilia, D.; McBratney, A. PEST-CHEMGRIDS, Global Gridded Maps of the Top 20 Crop-Specific Pesticide Application Rates from 2015 to 2025. Sci. Data 2019, 6, 170. [Google Scholar] [CrossRef]
- Hladik, M.L.; Kolpin, D.W.; Kuivila, K.M. Widespread Occurrence of Neonicotinoid Insecticides in Streams in a High Corn and Soybean Producing Region, USA. Environ. Pollut. 2014, 193, 189–196. [Google Scholar] [CrossRef]
- Wan, N.F.; Fu, L.; Dainese, M.; Kiær, L.P.; Hu, Y.Q.; Xin, F.; Goulson, D.; Woodcock, B.A.; Vanbergen, A.J.; Spurgeon, D.J.; et al. Pesticides Have Negative Effects on Non-Target Organisms. Nat. Commun. 2025, 16, 1360. [Google Scholar] [CrossRef]
- Felix, M.; Holst, N.; Sharp, A. PestTox: An Object Oriented Model for Modeling Fate and Transport of Pesticides in the Environment and Their Effects on Population Dynamics of Non-Target Organisms. Comput. Electron. Agric. 2019, 166, 105022. [Google Scholar] [CrossRef]
- Tauchnitz, N.; Kurzius, F.; Rupp, H.; Schmidt, G.; Hauser, B.; Schrödter, M.; Meissner, R. Assessment of Pesticide Inputs into Surface Waters by Agricultural and Urban Sources—A Case Study in the Querne/Weida Catchment, Central Germany. Environ. Pollut. 2020, 267, 115186. [Google Scholar] [CrossRef]
- Perez-Rodriguez, V.; Souders, C.L.; Tischuk, C.; Martyniuk, C.J. Tebuconazole Reduces Basal Oxidative Respiration and Promotes Anxiolytic Responses and Hypoactivity in Early-Staged Zebrafish (Danio rerio). Comp. Biochem. Physiol. Part C Toxicol. Pharmacol. 2019, 217, 87–97. [Google Scholar] [CrossRef]
- Tust, M.; Kohler, M.; Lagojda, A.; Lamshoeft, M. Comparison of the in Vitro Assays to Investigate the Hepatic Metabolism of Seven Pesticides in Cyprinus carpio and Oncorhynchus mykiss. Chemosphere 2021, 277, 130254. [Google Scholar] [CrossRef]
- Jiang, J.; Chen, L.; Liu, X.; Wang, L.; Wu, S.; Zhao, X. Histology and Multi-Omic Profiling Reveal the Mixture Toxicity of Tebuconazole and Difenoconazole in Adult Zebrafish. Sci. Total Environ. 2021, 795, 148777. [Google Scholar] [CrossRef]
- Bien, C.M.; Espenshade, P.J. Sterol Regulatory Element Binding Proteins in Fungi: Hypoxic Transcription Factors Linked to Pathogenesis. Eukaryot. Cell 2010, 9, 352–359. [Google Scholar] [CrossRef]
- Díaz-Blancas, V.; Medina, D.I.; Padilla-Ortega, E.; Bortolini-Zavala, R.; Olvera-Romero, M.; Luna-Bárcenas, G. Nanoemulsion Formulations of Fungicide Tebuconazole for Agricultural Applications. Molecules 2016, 21, 1271. [Google Scholar] [CrossRef]
- Çilingir Yeltekin, A.; Oğuz, A.R.; Kankaya, E.; Özok, N.; Güneş, İ. Hematological and Biochemical Response in the Blood of Alburnus Tarichi (Actinopterygii: Cypriniformes: Cyprinidae) Exposed to Tebuconazole. Acta Ichthyol. Piscat. 2020, 50, 373–379. [Google Scholar] [CrossRef]
- Liu, N.; Dong, F.; Xu, J.; Liu, X.; Zheng, Y. Chiral Bioaccumulation Behavior of Tebuconazole in the Zebrafish (Danio rerio). Ecotoxicol. Environ. Saf. 2016, 126, 78–84. [Google Scholar] [CrossRef]
- Subbiah, S.; Ramesh, M.; Ashokan, A.P.; Narayanasamy, A. Acute and Sublethal Toxicity of an Azole Fungicide Tebuconazole on Ionic Regulation and Na+/K+-ATPase Activity in a Freshwater Fish Cirrhinus mrigala. Int. J. Fish. Aquat. Stud. 2020, 8, 361–371. [Google Scholar]
- Rabiet, M.; Margoum, C.; Gouy, V.; Carluer, N.; Coquery, M. Assessing Pesticide Concentrations and Fluxes in the Stream of a Small Vineyard Catchment—Effect of Sampling Frequency. Environ. Pollut. 2010, 158, 737–748. [Google Scholar] [CrossRef]
- Cui, N.; Xu, H.; Yao, S.; He, Y.; Zhang, H.; Yu, Y. Chiral Triazole Fungicide Tebuconazole: Enantioselective Bioaccumulation, Bioactivity, Acute Toxicity, and Dissipation in Soils. Environ. Sci. Pollut. Res. 2018, 25, 25468–25475. [Google Scholar] [CrossRef]
- Chang, Y.; Mao, L.; Zhang, L.; Zhang, Y.; Jiang, H. Combined Toxicity of Imidacloprid, Acetochlor, and Tebuconazole to Zebrafish (Danio rerio): Acute Toxicity and Hepatotoxicity Assessment. Environ. Sci. Pollut. Res. 2020, 27, 10286–10295. [Google Scholar] [CrossRef]
- Winston, G.W.; Di Giulio, R.T. Prooxidant and Antioxidant Mechanisms in Aquatic Organisms. Aquat. Toxicol. 1991, 19, 137–161. [Google Scholar] [CrossRef]
- Sevgiler, Y.; Oruç, E.Ö.; Üner, N. Evaluation of Etoxazole Toxicity in the Liver of Oreochromis niloticus. Pestic. Biochem. Physiol. 2004, 78, 1–8. [Google Scholar] [CrossRef]
- Monserrat, J.M.; Martínez, P.E.; Geracitano, L.A.; Lund Amado, L.; Martinez Gaspar Martins, C.; Lopes Leães Pinho, G.; Soares Chaves, I.; Ferreira-Cravo, M.; Ventura-Lima, J.; Bianchini, A. Pollution Biomarkers in Estuarine Animals: Critical Review and New Perspectives. Comp. Biochem. Physiol. Part C Toxicol. Pharmacol. 2007, 146, 221–234. [Google Scholar] [CrossRef]
- Monteiro, D.A.; de Almeida, J.A.; Rantin, F.T.; Kalinin, A.L. Oxidative Stress Biomarkers in the Freshwater Characid Fish, Brycon Cephalus, Exposed to Organophosphorus Insecticide Folisuper 600 (Methyl Parathion). Comp. Biochem. Physiol. Part C Toxicol. Pharmacol. 2006, 143, 141–149. [Google Scholar] [CrossRef]
- Toni, C.; de Menezes, C.C.; Loro, V.L.; Clasen, B.E.; Cattaneo, R.; Santi, A.; Pretto, A.; Zanella, R.; Leitemperger, J. Oxidative Stress Biomarkers in Cyprinus carpio Exposed to Commercial Herbicide Bispyribac-Sodium. J. Appl. Toxicol. 2010, 30, 590–595. [Google Scholar] [CrossRef]
- Macirella, R.; Curcio, V.; Ahmed, A.I.M.; Pellegrino, D.; Brunelli, E. Effect of Short-Term Exposure to Low Concentration of Tebuconazole: Morphological, Histometric and Functional Modifications in Danio rerio Liver. Eur. Zool. J. 2022, 89, 324–338. [Google Scholar] [CrossRef]
- Andreu-Sánchez, O.; Paraíba, L.C.; Jonsson, C.M.; Carrasco, J.M. Acute Toxicity and Bioconcentration of Fungicide Tebuconazole in Zebrafish (Danio rerio). Environ. Toxicol. 2012, 27, 109–116. [Google Scholar] [CrossRef]
- Lacy, B.; Rahman, M.S.; Rahman, M.S. Potential Mechanisms of Na+/K+-ATPase Attenuation by Heat and Pesticides Co-Exposure in Goldfish: Role of Cellular Apoptosis, Oxidative/Nitrative Stress, and Antioxidants in Gills. Environ. Sci. Pollut. Res. 2022, 29, 57376–57394. [Google Scholar] [CrossRef]
- Sancho, E.; Villarroel, M.J.; Fernández, C.; Andreu, E.; Ferrando, M.D. Short-Term Exposure to Sublethal Tebuconazole Induces Physiological Impairment in Male Zebrafish (Danio rerio). Ecotoxicol. Environ. Saf. 2010, 73, 370–376. [Google Scholar] [CrossRef]
- Rahimi, R.; Mirahmadi, S.A.; Hajirezaee, S.; Fallah, A.A. How Probiotics Impact on Immunological Parameters in Rainbow Trout (Oncorhynchus mykiss)? A Systematic Review and Meta-Analysis. Rev. Aquac. 2022, 14, 27–53. [Google Scholar] [CrossRef]
- Minaz, M.; Er, A.; Ak, K.; Nane, İ.D.; İpek, Z.Z.; Kurtoğlu, İ.Z.; Kayış, Ş. Short-Term Exposure to Bisphenol A (BPA) as a Plastic Precursor: Hematological and Behavioral Effects on Oncorhynchus mykiss and Vimba vimba. Water Air Soil Pollut. 2022, 233, 122. [Google Scholar] [CrossRef]
- Minaz, M.; Er, A.; Ak, K.; Nane, I.D.; Ipek, Z.Z.; Yalcın, A.; Kurtoglu, I.Z.; Kayis, S. Investigation of Long-Term Bisphenol A Exposure on Rainbow Trout (Oncorhynchus mykiss): Hematological Parameters, Biochemical Indicator, Antioxidant Activity, and Histopathological Examination. Chemosphere 2022, 303, 135136. [Google Scholar] [CrossRef]
- Er, A.; Minaz, M.; Kayış, Ş. Effect of Pozzolanic Cement Exposure in Nile Tilapia (Oreochromis niloticus). Aquat. Sci. Eng. 2024, 39, 72–76. [Google Scholar] [CrossRef]
- Minaz, M.; Er, A.; Ak, K.; Kurtoğlu, İ.Z.; Kayış, Ş. Acute Toxicity and Histopathological of Bisphenol A in Danube Sturgeon(Acipenser Gueldenstaedtii) Larvae. Pol. J. Environ. Stud. 2024, 33, 3353–3358. [Google Scholar] [CrossRef]
- Minaz, M.; Er, A.; Ak, K.; Serdar, O. Unlocking the Potential of Nutmeg Oil: A Sustainable Alternative for Rainbow Trout Anesthesia in Aquaculture. Aquac. Rep. 2025, 42, 102773. [Google Scholar] [CrossRef]
- Minaz, M.; Er, A.; Ak, K.; Kurtouglu, I.Z.; Kayıs, S. Determining the Appropriate Concentration of an Anesthetic Mixture in Three Different Fish Species with the PROMETHEE Decision Model. Front. Vet. Sci. 2024, 11, 1492769. [Google Scholar] [CrossRef]
- Bernet, D.; Schmidt, H.; Meier, W.; Burkhardt-Holm, P.; Wahli, T. Histopathology in Fish: Proposal for a Protocol to Assess Aquatic Pollution. J. Fish Dis. 1999, 22, 25–34. [Google Scholar] [CrossRef]
- Minaz, M.; Er, A.; Ak, K.; Nane, İ.D.; İpek, Z.Z.; Aslankoç, R. Bisphenol A Used in Plastic Industry Negatively Affects Wild Vimba Bream (Vimba vimba). Turk. J. Fish. Aquat. Sci. 2023, 23, TRJFAS22598. [Google Scholar] [CrossRef]
- Minaz, M.; Er, A.; Ak, K.; Kurtoğlu, I.Z.; Kayış, Ş. Kontrollü Koşullarda Yetiştirilen Farklı Tatlısu Balıklarında Kan Biyokimyasal Parametre Değerleri: Üre, Glukoz, Kreatinin, ALT, AST ve ALP. J. Anatol. Environ. Anim. Sci. 2025, 10, 443–451. [Google Scholar]
- Cooper, C.M. Biological Effects of Agriculturally Derived Surface Water Pollutants on Aquatic Systems—A Review. J. Environ. Qual. 1993, 22, 402–408. [Google Scholar] [CrossRef]
- Zeljezic, D.; Garaj-Vrhovac, V. Sister Chromatid Exchange and Proliferative Rate Index in the Longitudinal Risk Assessment of Occupational Exposure to Pesticides. Chemosphere 2002, 46, 295–303. [Google Scholar] [CrossRef]
- Bernabò, I.; Guardia, A.; Macirella, R.; Sesti, S.; Crescente, A.; Brunelli, E. Effects of Long-Term Exposure to Two Fungicides, Pyrimethanil and Tebuconazole, on Survival and Life History Traits of Italian Tree Frog (Hyla Intermedia). Aquat. Toxicol. 2016, 172, 56–66. [Google Scholar] [CrossRef]
- Sancho, E.; Villarroel, M.J.; Ferrando, M.D. Assessment of Chronic Effects of Tebuconazole on Survival, Reproduction and Growth of Daphnia Magna after Different Exposure Times. Ecotoxicol. Environ. Saf. 2016, 124, 10–17. [Google Scholar] [CrossRef]
- Toni, C.; Ferreira, D.; Kreutz, L.C.; Loro, V.L.; Barcellos, L.J.G. Assessment of Oxidative Stress and Metabolic Changes in Common Carp (Cyprinus carpio) Acutely Exposed to Different Concentrations of the Fungicide Tebuconazole. Chemosphere 2011, 83, 579–584. [Google Scholar] [CrossRef]
- Tofan, L.; Niță, V.; Nenciu, M.; Coatu, V.; Lazăr, L.; Damir, N.; Vasile, D.; Popoviciu, D.R.; Brotea, A.G.; Curtean-Bănăduc, A.M.; et al. Multiple Assays on Non-Target Organisms to Determine the Risk of Acute Environmental Toxicity in Tebuconazole-Based Fungicides Widely Used in the Black Sea Coastal Area. Toxics 2023, 11, 597. [Google Scholar] [CrossRef]
- Wu, C.; Liu, X.; He, M.; Dong, F.; Xu, J.; Wu, X.; Zheng, Y. Acute Toxicity and Bio-Concentration of Tebuconazole in Brachydanio rerio. Asian J. Ecotoxicol. 2017, 12, 302–309. [Google Scholar]
- Er, A.; Minaz, M.; İpek, Z.Z.; Ak, K.; Kurtoğlu, İ.Z.; Kayış, Ş. Assessment of Hematological Indicators, Histological Alterations, and DNA Damage in Danube Sturgeon (Acipenser Gueldenstaedtii) Exposed to the Organophosphate Malathion. Environ. Toxicol. Pharmacol. 2023, 104, 104304. [Google Scholar] [CrossRef]
- Wang, T.; Zhong, M.; Lu, M.; Xu, D.; Xue, Y.; Huang, J.; Blaney, L.; Yu, G. Occurrence, Spatiotemporal Distribution, and Risk Assessment of Current-Use Pesticides in Surface Water: A Case Study near Taihu Lake, China. Sci. Total Environ. 2021, 782, 146826. [Google Scholar] [CrossRef]
- Kahle, M.; Buerge, I.J.; Hauser, A.; Müller, M.D.; Poiger, T. Azole Fungicides: Occurrence and Fate in Wastewater and Surface Waters. Environ. Sci. Technol. 2008, 42, 7193–7200. [Google Scholar] [CrossRef]
- Peng, Y.; Fang, W.; Krauss, M.; Brack, W.; Wang, Z.; Li, F.; Zhang, X. Screening Hundreds of Emerging Organic Pollutants (EOPs) in Surface Water from the Yangtze River Delta (YRD): Occurrence, Distribution, Ecological Risk. Environ. Pollut. 2018, 241, 484–493. [Google Scholar] [CrossRef]
- Płatkiewicz, J.; Frankowski, R.; Cieślak, A.; Grześkowiak, T.; Zgoła-Grześkowiak, A. Long-Term Study of Azoles in Surface Water and Treated Wastewater. J. Environ. Manag. 2025, 380, 124820. [Google Scholar] [CrossRef]
- Rico, A.; Arenas-Sánchez, A.; Alonso-Alonso, C.; López-Heras, I.; Nozal, L.; Rivas-Tabares, D.; Vighi, M. Identification of Contaminants of Concern in the Upper Tagus River Basin (Central Spain). Part 1: Screening, Quantitative Analysis and Comparison of Sampling Methods. Sci. Total Environ. 2019, 666, 1058–1070. [Google Scholar] [CrossRef]
- Malchi, T.; Maor, Y.; Tadmor, G.; Shenker, M.; Chefetz, B. Irrigation of Root Vegetables with Treated Wastewater: Evaluating Uptake of Pharmaceuticals and the Associated Human Health Risks. Environ. Sci. Technol. 2014, 48, 9325–9333. [Google Scholar] [CrossRef]
- Minaz, M.; Kurtoğlu, İ.Z. Long-Term Exposure of Endangered Danube Sturgeon (Acipenser Gueldenstaedtii) to Bisphenol A (BPA): Growth, Behavioral, Histological, Genotoxic, and Hematological Evaluation. Environ. Sci. Pollut. Res. 2024, 31, 30836–30848. [Google Scholar] [CrossRef]
- Dautremepuits, C.; Paris-Palacios, S.; Betoulle, S.; Vernet, G. Modulation in Hepatic and Head Kidney Parameters of Carp (Cyprinus carpio L.) Induced by Copper and Chitosan. Comp. Biochem. Physiol. Part C Toxicol. Pharmacol. 2004, 137, 325–333. [Google Scholar] [CrossRef]
- Ahmad, Z.; Alkahem Al-Balawi, H.F.; Al-Ghanim, K.A.; Al-Misned, F.; Mahboob, S. Risk Assessment of Malathion on Health Indicators of Catfish: Food and Water Security Prospective Research. J. King Saud Univ. Sci. 2021, 33, 101294. [Google Scholar] [CrossRef]
- Shahjahan, M.; Uddin, M.H.; Bain, V.; Haque, M.M. Increased Water Temperature Altered Hemato-Biochemical Parameters and Structure of Peripheral Erythrocytes in Striped Catfish Pangasianodon Hypophthalmus. Fish Physiol. Biochem. 2018, 44, 1309–1318. [Google Scholar] [CrossRef]
- Clauss, T.M.; Dove, A.D.M.; Arnold, J.E. Hematologic Disorders of Fish. Vet. Clin. N. Am. Exot. Anim. Pract. 2008, 11, 445–462. [Google Scholar] [CrossRef]
- Kori-Siakpere, O.; Ubogu, E.O. Sublethal Haematological Effects of Zinc on the Freshwater Fish, Heteroclarias Sp. (Osteichthyes: Clariidae). Afr. J. Biotechnol. 2008, 7, 2068–2073. [Google Scholar] [CrossRef]
- Ucar, A.; Özgeriş, F.B.; Yeltekin, A.Ç.; Parlak, V.; Alak, G.; Keleş, M.S.; Atamanalp, M. The Effect of N-Acetylcysteine Supplementation on the Oxidative Stress Levels, Apoptosis, DNA Damage, and Hematopoietic Effect in Pesticide-Exposed Fish Blood. J. Biochem. Mol. Toxicol. 2019, 33, e22311. [Google Scholar] [CrossRef]
- Speckner, W.; Schindler, J.F.; Albers, C. Age-Dependent Changes in Volume and Haemoglobin Content of Erythrocytes in the Carp (Cyprinus carpio L.). J. Exp. Biol. 1989, 141, 133–149. [Google Scholar] [CrossRef]
- Moeller, H. A Critical Review on the Role of Pollution as a Cause of Fish Diseases. In Fish and Shellfish Pathology; Ellis, A.E., Ed.; European Association of Fish Pathology, Academic Press: London, UK, 1985; pp. 169–182. [Google Scholar]
- Nilsson, G.E. Gill Remodeling in Fish—A New Fashion or an Ancient Secret? J. Exp. Biol. 2007, 210, 2403–2409. [Google Scholar] [CrossRef]
- Piiper, J. Respiratory Gas Exchange at Lungs, Gills and Tissues: Mechanisms and Adjustments. J. Exp. Biol. 1982, 100, 5–22. [Google Scholar] [CrossRef]
- Zawisza, M.; Chadzinska, M.; Steinhagen, D.; Rakus, K.; Adamek, M. Gill Disorders in Fish: Lessons from Poxvirus Infections. Rev. Aquac. 2024, 16, 234–253. [Google Scholar] [CrossRef]
- Bainy, A.C.D.; Saito, E.; Carvalho, P.S.M.; Junqueira, V.B.C. Oxidative Stress in Gill, Erythrocytes, Liver and Kidney of Nile Tilapia (Oreochromis niloticus) from a Polluted Site. Aquat. Toxicol. 1996, 34, 151–162. [Google Scholar] [CrossRef]
- Tresnakova, N.; Famulari, S.; Zicarelli, G.; Impellitteri, F.; Pagano, M.; Presti, G.; Filice, M.; Caferro, A.; Gulotta, E.; Salvatore, G.; et al. Multi-Characteristic Toxicity of Enantioselective Chiral Fungicide Tebuconazole to a Model Organism Mediterranean Mussel Mytilus Galloprovincialis Lamarck, 1819 (Bivalve: Mytilidae). Sci. Total Environ. 2023, 862, 160874. [Google Scholar] [CrossRef]
- Glusczak, L.; dos Santos Miron, D.; Moraes, B.S.; Simões, R.R.; Schetinger, M.R.C.; Morsch, V.M.; Loro, V.L. Acute Effects of Glyphosate Herbicide on Metabolic and Enzymatic Parameters of Silver Catfish (Rhamdia quelen). Comp. Biochem. Physiol. Part C Toxicol. Pharmacol. 2007, 146, 519–524. [Google Scholar] [CrossRef]
- da Fonseca, M.B.; Glusczak, L.; Silveira Moraes, B.; de Menezes, C.C.; Pretto, A.; Tierno, M.A.; Zanella, R.; Gonçalves, F.F.; Lúcia Loro, V. The 2,4-D Herbicide Effects on Acetylcholinesterase Activity and Metabolic Parameters of Piava Freshwater Fish (Leporinus obtusidens). Ecotoxicol. Environ. Saf. 2008, 69, 416–420. [Google Scholar] [CrossRef]
- Tada, Y.; Fujitani, T.; Yoneyama, M. Acute Renal Toxicity of Thiabendazole (TBZ) in ICR Mice. Food Chem. Toxicol. 1992, 30, 1021–1030. [Google Scholar] [CrossRef]



| Concentration (mg L−1) | Total Fish (n) | Number of Dead Fish (n) | |||
|---|---|---|---|---|---|
| 24th h | 48th h | 72nd h | 96th h | ||
| Control (0 mg L−1) | 30 | 0 | 0 | 0 | 0 |
| 7.5 mg L−1 | 30 | 0 | 0 | 0 | 4 |
| 9.0 mg L−1 | 30 | 5 | 11 | 14 | 17 |
| 10.5 mg L−1 | 30 | 6 | 14 | 22 | 24 |
| 12.0 mg L−1 | 30 | 8 | 18 | 25 | 27 |
| 15.0 mg L−1 | 30 | 12 | 21 | 28 | 30 |
| 18.0 mg L−1 | 30 | 30 | 30 | 30 | 30 |
| LC10 (mg L−1) | 9.47 mg L−1 | 7.78 mg L−1 | 7.53 mg L−1 | 7.17 mg L−1 | |
| LC50 (mg L−1) | 13.63 mg L−1 | 11.22 mg L−1 | 9.77 mg L−1 | 9.05 mg L−1 | |
| LC90 (mg L−1) | 19.61 mg L−1 | 16.17 mg L−1 | 12.66 mg L−1 | 11.42 mg L−1 | |
| Tissue | Reaction Pattern | Alteration | Importance Factor | Score Value | Index |
|---|---|---|---|---|---|
| Gill | Regressive changes | Architectural and structural alterations | IF1 = 1 | SV1 = 0–6 | GIRC |
| Progressive changes | Hypertrophy | IF3 = 1 | SV3 = 0–6 | GIPC | |
| Hyperplasia | IF4 = 2 | SV4 = 0–6 |
| Control | MTC | LC50 | F | p | |
|---|---|---|---|---|---|
| WBC | 31.51 ± 3.0 a | 23.73 ± 3.9 b | 18.97 ± 2.5 b | 23.209 | 0.001 |
| RBC | 1.39 ± 0.1 a | 1.26 ± 0.2 ab | 1.06 ± 0.1 b | 7.134 | 0.007 |
| HGB | 12.25 ± 0.8 a | 10.8 ± 1.7 ab | 8.87 ± 0.6 b | 8.887 | 0.003 |
| HCT | 22.81 ± 2.6 a | 22.98 ± 3.0 a | 18.2 ± 1.3 b | 3.469 | 0.043 |
| LYM | 28.85 ± 2.6 a | 22.73 ± 3.5 b | 17.65 ± 2.3 c | 21.196 | 0.001 |
| MCV | 176.18 ± 2.2 ab | 181.37 ± 4.5 a | 171.45 ± 7.9 b | 5.319 | 0.018 |
| MCH | 87.9 ± 1.2 a | 85.35 ± 4.3 a | 83.4 ± 2.8 a | 0.731 | 0.498 |
| MCHC | 50.02 ± 1.2 a | 48.1 ± 1.9 b | 50.15 ± 2.2 a | 5.216 | 0.019 |
| Tissues | Reaction Pattern | Symptoms | Severities | ||
|---|---|---|---|---|---|
| Control | MTC | LC50 | |||
| Gill | Regressive changes | Architectural and structural alterations | + | ++ | ++++ |
| Progressive changes | Hyperplasia | + | ++ | ++++ | |
| Hypertrophy | - | + | +++ | ||
| RC | PC | OI | ||
|---|---|---|---|---|
| Gill | Control | 1.12 ± 0.22 c | 3.58 ± 0.90 c | 4.70 |
| MTC | 2.29 ± 0.44 b | 6.53 ± 0.69 b | 8.82 | |
| LC50 | 5.32 ± 1.13 a | 15.44 ± 3.72 a | 20.76 | |
| F values | 91.259 | 75.461 |
Disclaimer/Publisher’s Note: The statements, opinions and data contained in all publications are solely those of the individual author(s) and contributor(s) and not of MDPI and/or the editor(s). MDPI and/or the editor(s) disclaim responsibility for any injury to people or property resulting from any ideas, methods, instructions or products referred to in the content. |
© 2025 by the author. Licensee MDPI, Basel, Switzerland. This article is an open access article distributed under the terms and conditions of the Creative Commons Attribution (CC BY) license (https://creativecommons.org/licenses/by/4.0/).
Share and Cite
Er, A. Short-Term Exposure to Tebuconazole Triggers Haematological, Histological and Biochemical Disturbances in Rainbow Trout (Oncorhynchus mykiss). Toxics 2025, 13, 630. https://doi.org/10.3390/toxics13080630
Er A. Short-Term Exposure to Tebuconazole Triggers Haematological, Histological and Biochemical Disturbances in Rainbow Trout (Oncorhynchus mykiss). Toxics. 2025; 13(8):630. https://doi.org/10.3390/toxics13080630
Chicago/Turabian StyleEr, Akif. 2025. "Short-Term Exposure to Tebuconazole Triggers Haematological, Histological and Biochemical Disturbances in Rainbow Trout (Oncorhynchus mykiss)" Toxics 13, no. 8: 630. https://doi.org/10.3390/toxics13080630
APA StyleEr, A. (2025). Short-Term Exposure to Tebuconazole Triggers Haematological, Histological and Biochemical Disturbances in Rainbow Trout (Oncorhynchus mykiss). Toxics, 13(8), 630. https://doi.org/10.3390/toxics13080630

