Impending Chemotherapeutic Impact of Arthrospira platensis Nanoparticles and/or Sorafenib against Hepatocellular Carcinoma through Modulation of Antioxidant Status, Tumor Marker Genes, and Anti-Inflammatory Signaling Pathways
Abstract
1. Introduction
2. Materials and Methods
2.1. Chemicals
2.2. Animals
2.3. Experimental Design
2.4. Biochemical Parameters
2.5. Antioxidant Status Markers in Liver
2.6. Gene Expression-Analysis (RT-PCR)
2.7. Histopathological and Immunohistochemical Examination
2.8. Statistical Analysis
3. Results
3.1. Body Weight and Liver Weight
3.2. Hepatic and Oxidative Injury Markers
3.3. Molecular Analysis
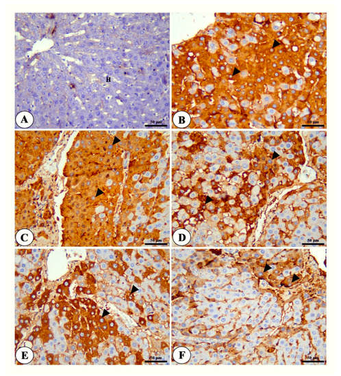
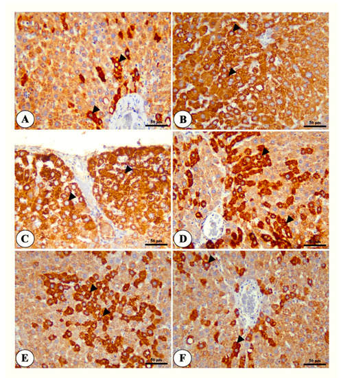
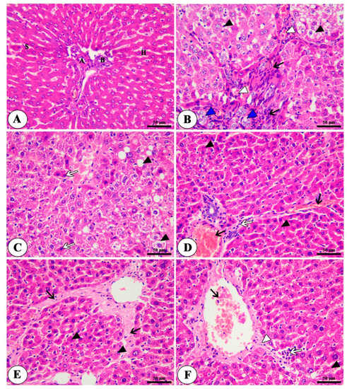
3.4. Histopathological and Immunohistochemical Findings
4. Discussion
5. Conclusions
Supplementary Materials
Funding
Institutional Review Board Statement
Informed Consent Statement
Data Availability Statement
Conflicts of Interest
References
- Sung, H.; Ferlay, J.; Siegel, R.L.; Laversanne, M.; Soerjomataram, I.; Jemal, A.; Bray, F. Global cancer statistics 2020: GLOBOCAN estimates of incidence and mortality worldwide for 36 cancers in 185 countries. CA A Cancer J. Clin. 2021, 71, 209–249. [Google Scholar] [CrossRef] [PubMed]
- Singh, A.K.; Kumar, R.; Pandey, A.K. Hepatocellular carcinoma: Causes, mechanism of progression and biomarkers. Curr. Chem. Genom. Transl. Med. 2018, 12, 9. [Google Scholar] [CrossRef] [PubMed]
- Dhanasekaran, R.; Bandoh, S.; Roberts, L.R. Molecular pathogenesis of hepatocellular carcinoma and impact of therapeutic advances. F1000Research 2016, 5. [Google Scholar] [CrossRef]
- Cavalcante, G.C.; Schaan, A.P.; Cabral, G.F.; Santana-da-Silva, M.N.; Pinto, P.; Vidal, A.F.; Ribeiro-dos-Santos, Â. A cell’s fate: An overview of the molecular biology and genetics of apoptosis. Int. J. Mol. Sci. 2019, 20, 4133. [Google Scholar] [CrossRef]
- Wilhelm, S.M.; Carter, C.; Tang, L.; Wilkie, D.; McNabola, A.; Rong, H.; Chen, C.; Zhang, X.; Vincent, P.; McHugh, M. BAY 43-9006 exhibits broad spectrum oral antitumor activity and targets the RAF/MEK/ERK pathway and receptor tyrosine kinases involved in tumor progression and angiogenesis. Cancer Res. 2004, 64, 7099–7109. [Google Scholar] [CrossRef]
- Heimbach, J.K.; Kulik, L.M.; Finn, R.S.; Sirlin, C.B.; Abecassis, M.M.; Roberts, L.R.; Zhu, A.X.; Murad, M.H.; Marrero, J.A. AASLD guidelines for the treatment of hepatocellular carcinoma. Hepatology 2018, 67, 358–380. [Google Scholar] [CrossRef]
- Tiffany, W.L.K.; Rehman, A.; Olynyk, J. Tyrosine Kinase Inhibitors in the Treatment of Hepatocellular Carcinoma. In Hepatocellular Carcinoma; Tirnitz-Parker, J.E.E., Ed.; Codon Publications: Brisbane, Autralia, 2019; Chapter 4. [Google Scholar]
- Cheng, A.-L.; Kang, Y.-K.; Chen, Z.; Tsao, C.-J.; Qin, S.; Kim, J.S.; Luo, R.; Feng, J.; Ye, S.; Yang, T.-S. Efficacy and safety of sorafenib in patients in the Asia-Pacific region with advanced hepatocellular carcinoma: A phase III randomised, double-blind, placebo-controlled trial. Lancet Oncol. 2009, 10, 25–34. [Google Scholar] [CrossRef] [PubMed]
- Fornari, F.; Giovannini, C.; Piscaglia, F.; Gramantieri, L. Elucidating the molecular basis of sorafenib resistance in HCC: Current findings and future directions. J. Hepatocell. Carcinoma 2021, 8, 741. [Google Scholar] [CrossRef]
- Singh, D.; Singh, M.; Yadav, E.; Falls, N.; Dangi, D.S.; Kumar, V.; Ramteke, P.W.; Verma, A. Attenuation of diethylnitrosamine (DEN)–Induced hepatic cancer in experimental model of Wistar rats by Carissa carandas embedded silver nanoparticles. Biomed. Pharmacother. 2018, 108, 757–765. [Google Scholar] [CrossRef]
- Mabrouk, M.M.; Ashour, M.; Labena, A.; Zaki, M.A.; Abdelhamid, A.F.; Gewaily, M.S.; Dawood, M.A.; Abualnaja, K.M.; Ayoub, H.F. Nanoparticles of Arthrospira platensis improves growth, antioxidative and immunological responses of Nile tilapia (Oreochromis niloticus) and its resistance to Aeromonas hydrophila. Aquac. Res. 2021, 53, 125–135. [Google Scholar] [CrossRef]
- Parvatkar, R.R.; D'Souza, C.; Tripathi, A.; Naik, C.G. Aspernolides A and B, butenolides from a marine-derived fungus Aspergillus terreus. Phytochemistry 2009, 70, 128–132. [Google Scholar] [CrossRef] [PubMed]
- Saleh, A.A.; Eid, Y.Z.; Ebeid, T.A.; Ohtsuka, A.; Hioki, K.; Yamamoto, M.; Hayashi, K. The modification of the muscle fatty acid profile by dietary supplementation with Aspergillus awamori in broiler chickens. Br. J. Nutr. 2012, 108, 1596–1602. [Google Scholar] [CrossRef] [PubMed]
- Fox, E.M.; Howlett, B.J. Secondary metabolism: Regulation and role in fungal biology. Curr. Opin. Microbiol. 2008, 11, 481–487. [Google Scholar] [CrossRef] [PubMed]
- Salar, R.K.; Purewal, S.S.; Sandhu, K.S. Bioactive profile, free-radical scavenging potential, DNA damage protection activity, and mycochemicals in Aspergillus awamori (MTCC 548) extracts: A novel report on filamentous fungi. 3 Biotech 2017, 7, 1–9. [Google Scholar] [CrossRef]
- Niemiec, T.; Łozicki, A.; Pietrasik, R.; Pawęta, S.; Rygało-Galewska, A.; Matusiewicz, M.; Zglińska, K. Impact of Ag nanoparticles (AgNPs) and multimicrobial preparation (EM) on the carcass, mineral, and fatty acid composition of Cornu aspersum aspersum snails. Animals 2021, 11, 1926. [Google Scholar] [CrossRef] [PubMed]
- Shaman, A.A.; Zidan, N.S.; Atteia, H.H.; Alalawy, A.I.; Alzahrani, S.; AlBishi, L.A.; Helal, A.I.; Braiji, S.H.; Farrag, F.; Shukry, M. Arthrospira platensis nanoparticles defeat against diabetes-induced testicular injury in rat targeting, oxidative, apoptotic, and steroidogenesis pathways. Andrologia 2022, 54, e14456. [Google Scholar] [CrossRef]
- Assar, D.H.; Mokhbatly, A.-A.A.; Ghazy, E.W.; Ragab, A.E.; Abou Asa, S.; Abdo, W.; Elbialy, Z.I.; Mohamed, N.E.; El-Far, A.H. Ameliorative effects of Aspergillus awamori against the initiation of hepatocarcinogenesis induced by diethylnitrosamine in a rat model: Regulation of Cyp19 and p53 gene expression. Antioxidants 2021, 10, 922. [Google Scholar] [CrossRef]
- Lu, M.; Fei, Z.; Zhang, G. Synergistic anticancer activity of 20 (S)-Ginsenoside Rg3 and Sorafenib in hepatocellular carcinoma by modulating PTEN/Akt signaling pathway. Biomed. Pharmacother. 2018, 97, 1282–1288. [Google Scholar] [CrossRef]
- Beutler, E.; Duron, O.; Kelly, B.M. Improved method for the determination of blood glutathione. J. Lab. Clin. Med. 1963, 61, 882–888. [Google Scholar]
- Preuss, H.G.; Jarrell, S.T.; Scheckenbach, R.; Lieberman, S.; Anderson, R.A. Comparative effects of chromium, vanadium and Gymnema sylvestre on sugar-induced blood pressure elevations in SHR. J. Am. Coll. Nutr. 1998, 17, 116–123. [Google Scholar] [CrossRef]
- Nishikimi, M.; Rao, N.A.; Yagi, K. The occurrence of superoxide anion in the reaction of reduced phenazine methosulfate and molecular oxygen. Biochem. Biophys. Res. Commun. 1972, 46, 849–854. [Google Scholar] [CrossRef] [PubMed]
- Livak, K.J.; Schmittgen, T.D. Analysis of relative gene expression data using real-time quantitative PCR and the 2−ΔΔCT method. Methods 2001, 25, 402–408. [Google Scholar] [CrossRef] [PubMed]
- Ibrahim, T.R.; Abdel-Raouf, S.M. Immunohistochemical study of Glypican-3 and HepPar-1 in differentiating hepatocellular carcinoma from metastatic carcinomas in FNA of the liver. Pathol. Oncol. Res. 2015, 21, 379–387. [Google Scholar] [CrossRef] [PubMed]
- Elblehi, S.S.; El-Sayed, Y.S.; Soliman, M.M.; Shukry, M. Date palm pollen extract avert doxorubicin-induced cardiomyopathy fibrosis and associated oxidative/nitrosative stress, inflammatory cascade, and apoptosis-targeting bax/bcl-2 and caspase-3 signaling pathways. Animals 2021, 11, 886. [Google Scholar] [CrossRef] [PubMed]
- El-Magd, M.A.; Mohamed, Y.; El-Shetry, E.S.; Elsayed, S.A.; Gazia, M.A.; Abdel-Aleem, G.A.; Shafik, N.M.; Abdo, W.S.; El-Desouki, N.I.; Basyony, M.A. Melatonin maximizes the therapeutic potential of non-preconditioned MSCs in a DEN-induced rat model of HCC. Biomed. Pharmacother. 2019, 114, 108732. [Google Scholar] [CrossRef]
- Tai, W.-T.; Cheng, A.-L.; Shiau, C.-W.; Liu, C.-Y.; Ko, C.-H.; Lin, M.-W.; Chen, P.-J.; Chen, K.-F. Dovitinib Induces Apoptosis and Overcomes Sorafenib Resistance in Hepatocellular Carcinoma through SHP-1–Mediated Inhibition of STAT3Dovitinib Inhibits STAT3. Mol. Cancer Ther. 2012, 11, 452–463. [Google Scholar] [CrossRef] [PubMed]
- Kapadia, G.J.; Azuine, M.A.; Tokuda, H.; Hang, E.; Mukainaka, T.; Nishino, H.; Sridhar, R. Inhibitory effect of herbal remedies on 12-O-tetradecanoylphorbol-13-acetate-promoted Epstein–Barr virus early antigen activation. Pharmacol. Res. 2002, 45, 213–220. [Google Scholar] [CrossRef]
- Jayakumar, S.; Madankumar, A.; Asokkumar, S.; Raghunandhakumar, S.; Kamaraj, S.; Josephine Divya, M.G.; Devaki, T. Potential preventive effect of carvacrol against diethylnitrosamine-induced hepatocellular carcinoma in rats. Mol. Cell. Biochem. 2012, 360, 51–60. [Google Scholar] [CrossRef]
- Elsadek, B.; Mansour, A.; Saleem, T.; Warnecke, A.; Kratz, F. The antitumor activity of a lactosaminated albumin conjugate of doxorubicin in a chemically induced hepatocellular carcinoma rat model compared to sorafenib. Dig. Liver Dis. 2017, 49, 213–222. [Google Scholar] [CrossRef]
- Khan, F.; Khan, T.J.; Kalamegam, G.; Pushparaj, P.N.; Chaudhary, A.; Abuzenadah, A.; Kumosani, T.; Barbour, E.; Al-Qahtani, M. Anti-cancer effects of Ajwa dates (Phoenix dactylifera L.) in diethylnitrosamine induced hepatocellular carcinoma in Wistar rats. BMC Complement. Altern. Med. 2017, 17, 1–10. [Google Scholar] [CrossRef]
- Saleem, S.; Shaharyar, M.A.; Khusroo, M.J.; Ahmad, P.; Rahman, R.U.; Ahmad, K.; Alam, M.J.; Al-Harbi, N.O.; Iqbal, M.; Imam, F. Anticancer potential of rhamnocitrin 4′-β-D-galactopyranoside against N-diethylnitrosamine-induced hepatocellular carcinoma in rats. Mol. Cell. Biochem. 2013, 384, 147–153. [Google Scholar] [CrossRef] [PubMed]
- Elguindy, N.M.; Yacout, G.A.; El Azab, E.F.; Maghraby, H.K. Chemoprotective effect of Elettaria cardamomum against chemically induced hepatocellular carcinoma in rats by inhibiting NF-κB, oxidative stress, and activity of ornithine decarboxylase. South Afr. J. Bot. 2016, 105, 251–258. [Google Scholar] [CrossRef]
- Kadasa, N.M.; Abdallah, H.; Afifi, M.; Gowayed, S. Hepatoprotective effects of curcumin against diethyl nitrosamine induced hepatotoxicity in albino rats. Asian Pac. J. Cancer Prev. 2015, 16, 103–108. [Google Scholar] [CrossRef] [PubMed]
- Abdel Salam, O.M.; Shaffie, N.M.; Sleem, A.A. Hepatoprotective effects of citric acid and aspartame on carbon tetrachloride-induced hepatic damage in rats. EXCLI J. 2009, 8, 41–49. [Google Scholar]
- Richard, D.; Kefi, K.; Barbe, U.; Bausero, P.; Visioli, F. Polyunsaturated fatty acids as antioxidants. Pharmacol. Res. 2008, 57, 451–455. [Google Scholar] [CrossRef]
- Ray, A. Cancer preventive role of selected dietary factors. Indian J. Cancer 2005, 42, 15. [Google Scholar] [CrossRef]
- Patil, G. Role of ascorbic acid on mercuric chloride toxicity in vital organs of mice. Indian J. Environ. Toxicol. 1999, 9, 53–55. [Google Scholar]
- Ferruzzi, M.; Böhm, V.; Courtney, P.; Schwartz, S. Antioxidant and antimutagenic activity of dietary chlorophyll derivatives determined by radical scavenging and bacterial reverse mutagenesis assays. J. Food Sci. 2002, 67, 2589–2595. [Google Scholar] [CrossRef]
- Fathy, A.H.; Bashandy, M.A.; Bashandy, S.A.; Mansour, A.M.; Elsadek, B. Sequential analysis and staging of a diethylnitrosamine-induced hepatocellular carcinoma in male Wistar albino rat model. Can. J. Physiol. Pharmacol. 2017, 95, 1462–1472. [Google Scholar] [CrossRef]
- Aly, S.M.; Fetaih, H.A.; Hassanin, A.A.; Abomughaid, M.M.; Ismail, A.A. Protective effects of garlic and cinnamon oils on hepatocellular carcinoma in albino rats. Anal. Cell. Pathol. 2019, 1–15. [Google Scholar] [CrossRef]
- Filmus, J.; Capurro, M.; Rast, J. Glypicans. Genome Biol. 2008, 9, 1–6. [Google Scholar] [CrossRef] [PubMed]
- Ma, W.-J.; Wang, H.-Y.; Teng, L.-S. Correlation analysis of preoperative serum alpha-fetoprotein (AFP) level and prognosis of hepatocellular carcinoma (HCC) after hepatectomy. World J. Surg. Oncol. 2013, 11, 1–7. [Google Scholar] [CrossRef] [PubMed]
- Abdel-Hamid, N.; El-Moselhy, M.; El-Baz, A. Hepatocyte lysosomal membrane stabilization by olive leaves against chemically induced hepatocellular neoplasia in rats. Int. J. Hepatol. 2011, 1–6. [Google Scholar] [CrossRef] [PubMed]
- Rodriguez-Antona, C.; Ingelman-Sundberg, M. Cytochrome P450 pharmacogenetics and cancer. Oncogene 2006, 25, 1679–1691. [Google Scholar] [CrossRef] [PubMed]
- McFadyen, M.C.; Murray, G.I. Cytochrome P450 1B1: A novel anticancer therapeutic target. Future Oncol. 2005, 1, 259–263. [Google Scholar] [CrossRef] [PubMed]
- van Gijssel, H.E.; Maassen, C.; Mulder, G.J.; Meerman, J. p53 protein expression by hepatocarcinogens in the rat liver and its potential role in mitoinhibition of normal hepatocytes as a mechanism of hepatic tumour promotion. Carcinogenesis 1997, 18, 1027–1033. [Google Scholar] [CrossRef]
- Ahmed, O.M.; Ahmed, A.A.; Fahim, H.I.; Zaky, M.Y. Quercetin and naringenin abate diethylnitrosamine/acetylaminofluorene-induced hepatocarcinogenesis in Wistar rats: The roles of oxidative stress, inflammation and cell apoptosis. Drug Chem. Toxicol. 2022, 45, 262–273. [Google Scholar] [CrossRef] [PubMed]
- Abouzed, T.K.; Althobaiti, F.; Omran, A.F.; Eldomany, E.B.; El-Shazly, S.A.; Alharthi, F.; Elkattawy, A.M.; Kahilo, K.A.A.; Dorghamm, D.A. The chemoprevention of spirulina platensis and garlic against diethylnitrosamine induced liver cancer in rats via amelioration of inflammatory cytokines expression and oxidative stress. Toxicol. Res. 2022, 11, 22–31. [Google Scholar] [CrossRef] [PubMed]
- Raghunandhakumar, S.; Paramasivam, A.; Senthilraja, S.; Naveenkumar, C.; Asokkumar, S.; Binuclara, J.; Jagan, S.; Anandakumar, P.; Devaki, T. Thymoquinone inhibits cell proliferation through regulation of G1/S phase cell cycle transition in N-nitrosodiethylamine-induced experimental rat hepatocellular carcinoma. Toxicol. Lett. 2013, 223, 60–72. [Google Scholar] [CrossRef] [PubMed]
- Huynh, H.; Ngo, V.C.; Koong, H.N.; Poon, D.; Choo, S.P.; Thng, C.H.; Chow, P.; Ong, H.S.; Chung, A.; Soo, K.C. Sorafenib and rapamycin induce growth suppression in mouse models of hepatocellular carcinoma. J. Cell. Mol. Med. 2009, 13, 2673–2683. [Google Scholar] [CrossRef]
- Plesa, G.; Zheng, L.; Medvec, A.; Wilson, C.B.; Robles-Oteiza, C.; Liddy, N.; Bennett, A.D.; Gavarret, J.; Vuidepot, A.; Zhao, Y. TCR affinity and specificity requirements for human regulatory T-cell function. Blood J. Am. Soc. Hematol. 2012, 119, 3420–3430. [Google Scholar] [CrossRef] [PubMed]
- Wu, C.W.; Farrell, G.C.; Yu, J. Functional role of peroxisome-proliferator-activated receptor γ in hepatocellular carcinoma. J. Gastroenterol. Hepatol. 2012, 27, 1665–1669. [Google Scholar] [CrossRef] [PubMed]
- Yu, J.; Shen, B.; Chu, E.S.; Teoh, N.; Cheung, K.F.; Wu, C.W.; Wang, S.; Lam, C.N.; Feng, H.; Zhao, J. Inhibitory role of peroxisome proliferator-activated receptor gamma in hepatocarcinogenesis in mice and in vitro. Hepatology 2010, 51, 2008–2019. [Google Scholar] [CrossRef] [PubMed]






| Gene | Direction | Primer Sequence | Accession Number |
|---|---|---|---|
| CYP19 | Sense | CGTCATGTTGCTTCTCATCG | EF110566 |
| Antisense | TACCGCAGGCTCTCGTTAAT | ||
| p53 | Sense | CCCAGGGAGTGCAAAGAGAG | NM_030989.3 |
| Antisense | TCTCGGAACATCTCGAAGCG | ||
| GAPDH | Sense | TCAAGAAGGTGGTGAAGCAG | NM_017008.4 |
| Antisense | AGGTGGAAGAATGGGAGTTG | ||
| TNF-α | Sense | GACCCTCACACTCAGATCATCTTCT | NM_012675.3 |
| Antisense | TTGTCTTTGAGATCCATGCCATT | ||
| iNOS | Sense | TCTTCAAGGACCTACCTCAGGC | S71597.1 |
| Antisense | GCTAAGGCAAAGCTGCTAGGTC | ||
| TGF B-1 | Sense | TCACTTGTTTTGGTGGATGC | NM_021587.2 |
| Antisense | TTCTGTCTCTCAAGTCCCCC | ||
| PPAR-γ | Sense | TGTGGACCTCTCTGTGATGG | NM_013124.3 |
| Antisense | CATTGGGTCAGCTCTTGTGA | ||
| FOXO-1 | Sense | AGATCTACGAGTGGATGGTG | NM_001191846.3 |
| Antisense | GGACAGATTGTGGCGAATTC | ||
| Ki-67 | Sense | CTTTGCGCCATGCTGAAACT | NM_001271366.1 |
| Antisense | ATGACGACCTGGACATCGG |
| Liver Relative Weight ‖ | Liver Weight (g) | Gain Relative Weight * | Body Gain (kg) | Final Weight (kg) | Initial Weight (kg) | Groups |
|---|---|---|---|---|---|---|
| 1.98 d | 4.97 ± 0.12 d | 33.6 ± 2.3 a | 0.084 ± 0.01 a | 0.25 ± 0.01 a | 0.166 ± 0.02 a | Control |
| 4.57 a | 6.91 ± 0.22 a | −11.9 ± 1.02 e | −0.018 ± 0.02 e | 0.151 ± 0.02 d | 0.169 ± 0.01 a | HCC |
| 2.65 b | 5.34 ± 0.14 b | 15.4 ± 1.15 d | 0.031 ± 0.01 d | 0.201 ± 0.03 c | 0.17 ± 0.011 a | HCC + SOR |
| 2.5 b | 5.25 ± 0.16 b | 18.5 ± 2.01 c | 0.039 ± 0.01 c | 0.21 ± 0.01 c | 0.171 ± 0.03 a | HCC + NSP |
| 2.30 c | 5.12 ± 0.17 c | 21.17 ± 2.1 b | 0.047 ± 0.02 b | 0.222 ± 0.04 b | 0.175 ± 0.02 a | HCC + SOR + NSP |
| Groups | ALP (IU/L) | AST (IU/L) | ALT (IU/L) | GGT (IU/L) | Total Protein (g/dl) | Albumin (g/dl) | Globulin (g/dl) |
|---|---|---|---|---|---|---|---|
| Control | 18.1 ± 1.2 d | 40.5 ± 1.4 d | 23.4 ± 1.2 d | 12.22 ± 1.5 d | 5.7 ± 0.48 b | 3.3 ± 0.11 a | 2.2 ± 0.14 b |
| HCC | 25.2 ± 2.1 a | 98.3 ± 3.8 a | 89.2 ± 2.1 a | 27.9 ± 1.2 a | 6.2 ± 0.42 a | 2.9 ± 0.21 b | 3.9 ± 0.25 a |
| HCC + SOR | 21.8 ± 1.3 b | 55.2 ± 3.5 b | 45.2 ± 1.6 b | 19.2 ± 1.3 b | 5.1 ± 0.47 b | 3 ± 0.14 a | 2.1 ± 0.22 b |
| HCC + NSP | 20.1 ± 1.4 b | 51.1 ± 2.1 b | 40.1 ± 1.5 b | 17.6 ± 1.2 b | 5.3 ± 0.35 b | 3.1 ± 0.25 a | 2.2 ± 0.21 b |
| HCC + SOR + NSP | 19.2 ± 1.5 c | 47.2 ± 2.5 c | 39.1 ± 1.2 c | 15.3 ± 1.1 c | 5.5 ± 0.74 b | 3.2 ± 0.23 a | 2.3 ± 0.21 b |
| Groups | Cellular Atypia | Macrosteatosis | Fibrosis | Congestion | Mono Nuclear Cells |
|---|---|---|---|---|---|
| control | - | - | - | - | - |
| HCC | +++ | +++ | +++ | +++ | +++ |
| HCC+SOR | ++ | + | + | ++ | ++ |
| HCC+NSP | ++ | ++ | + | ++ | ++ |
| HCC+SOR+NSP | + | + | + | + | + |
Disclaimer/Publisher’s Note: The statements, opinions and data contained in all publications are solely those of the individual author(s) and contributor(s) and not of MDPI and/or the editor(s). MDPI and/or the editor(s) disclaim responsibility for any injury to people or property resulting from any ideas, methods, instructions or products referred to in the content. |
© 2023 by the author. Licensee MDPI, Basel, Switzerland. This article is an open access article distributed under the terms and conditions of the Creative Commons Attribution (CC BY) license (https://creativecommons.org/licenses/by/4.0/).
Share and Cite
Ghamry, H.I. Impending Chemotherapeutic Impact of Arthrospira platensis Nanoparticles and/or Sorafenib against Hepatocellular Carcinoma through Modulation of Antioxidant Status, Tumor Marker Genes, and Anti-Inflammatory Signaling Pathways. Toxics 2023, 11, 107. https://doi.org/10.3390/toxics11020107
Ghamry HI. Impending Chemotherapeutic Impact of Arthrospira platensis Nanoparticles and/or Sorafenib against Hepatocellular Carcinoma through Modulation of Antioxidant Status, Tumor Marker Genes, and Anti-Inflammatory Signaling Pathways. Toxics. 2023; 11(2):107. https://doi.org/10.3390/toxics11020107
Chicago/Turabian StyleGhamry, Heba I. 2023. "Impending Chemotherapeutic Impact of Arthrospira platensis Nanoparticles and/or Sorafenib against Hepatocellular Carcinoma through Modulation of Antioxidant Status, Tumor Marker Genes, and Anti-Inflammatory Signaling Pathways" Toxics 11, no. 2: 107. https://doi.org/10.3390/toxics11020107
APA StyleGhamry, H. I. (2023). Impending Chemotherapeutic Impact of Arthrospira platensis Nanoparticles and/or Sorafenib against Hepatocellular Carcinoma through Modulation of Antioxidant Status, Tumor Marker Genes, and Anti-Inflammatory Signaling Pathways. Toxics, 11(2), 107. https://doi.org/10.3390/toxics11020107
